IMÁGENES EN CARDIOLOGÍA
Aneurisma vs pseudoaneurisma ventricular izquierdo. Ser o no ser, esa es la cuestión
Left ventricular aneurysm vs. pseudoaneurysm: To Be, or Not to Be, That Is the Question
Aneurisma vs pseudoaneurisma ventricular izquierdo. Ser o no ser, esa es la cuestión
Revista argentina de cardiología, vol. 90, núm. 6, pp. 479-481, 2022
Sociedad Argentina de Cardiología
Las complicaciones mecánicas del infarto agudo de miocardio, como la comunicación interventricular, la ruptura de la pared libre del ventrículo izquierdo o la insuficiencia mitral aguda por ruptura del músculo papilar son eventos poco frecuentes.
La incidencia de pseudoaneurisma ventricular izquierdo en la era pre intervencionista se estimaba en 6% con una reducción actual menor al 1% con las técnicas de revascularización por angioplastia. Aproximadamente el 40% se producían dentro de las 24 horas y el 85% dentro de la primera semana. 1) (2) (3
La diferenciación entre un aneurisma ventricular verdadero y un pseudoaneurisma en un paciente que se presenta con un infarto evolucionado, requiere de la evaluación clínica y la información suministrada por los distintos métodos diagnósticos. A menudo, su hallazgo es incidental. Y en alguno de ellos, la diferenciación entre una entidad y la otra puede llegar a ser dificultosa. El criterio clásico es comparar el diámetro del cuello con el diámetro máximo de la cavidad producida por la lesión. Cuando el cuello es más pequeño que la cavidad, se sospecha un pseudoaneurisma y cuando es mayor, en un aneurisma verdadero. 4. Sin embargo, este criterio tiene muchas limitaciones y es finalmente la anatomía patológica quien brinda el diagnóstico a través de la composición tisular de la pared.
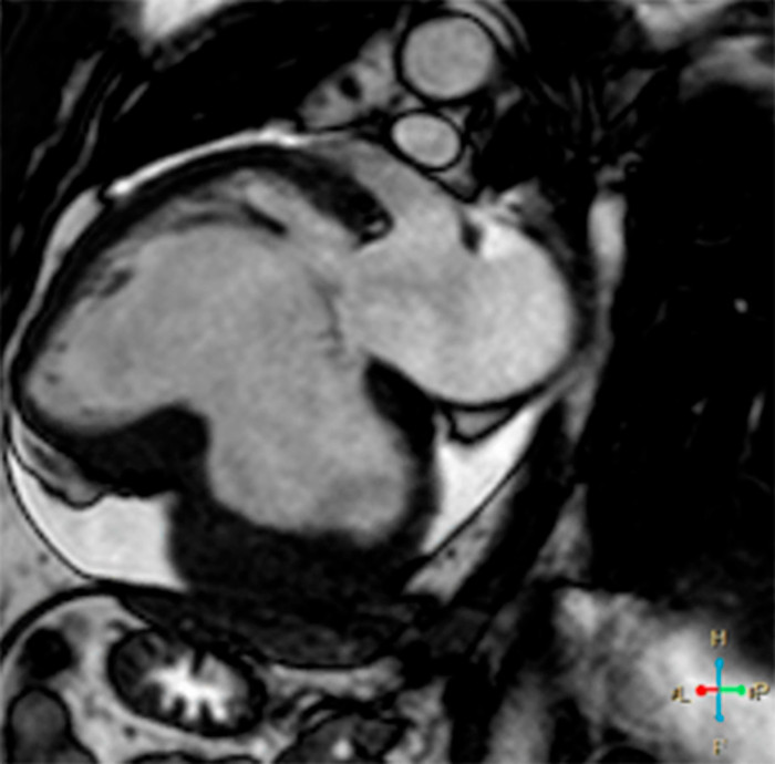
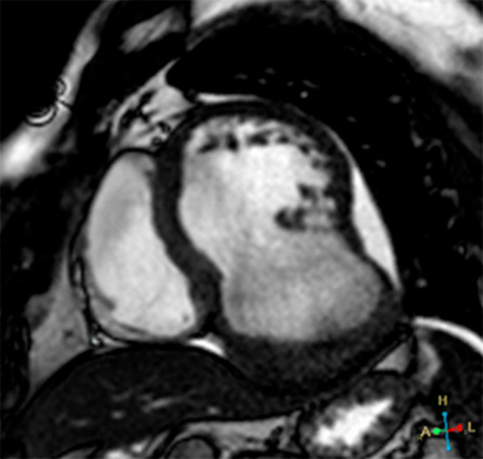
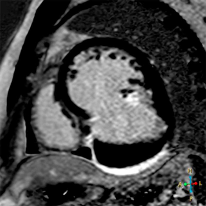
Se presenta el caso de un paciente de sexo masculino, de 50 años de edad, derivado por infarto agudo de miocardio de cara inferior, 25 días previos a la consulta, no habiendo sido revascularizado. Se encontraba clínicamente estable. Debido a presentar mala ventana acústica, se solicita la realización de una resonancia magnética cardíaca con contraste no ferromagnético (gadoterato de meglumina). Bajo esta técnica, se observa una cavidad en comunicación con la cámara ventricular izquierda, de cuello ancho y la presencia en su interior de un trombo que tapiza su superficie (Fig. 1, dos cámaras y Fig. 2, eje corto). Tras la administración del contraste, se observa realce tardío a los 10 minutos de la pared de esta estructura (Fig. 3, eje corto), certificando la naturaleza aneurismática y descartando el pseudoaneurisma ventricular. Debido a su tamaño, ante la posibilidad de desarrollo de falla cardíaca o evento embólico, se decide su intervención quirúrgica para plástica ventricular certificando la anatomía patológica la naturaleza fibrótica de su pared.



BIBLIOGRAFÍA
Becker RC, Gore JM, Lambrew C, Weaver WD, Rubison RM, French WJ, et al. A composite view of cardiac rupture in the United States National Registry of Myocardial Infarction. J Am Coll Cardiol 1996;27:1321-6. https://doi.org/10.1016/0735-1097(96)00008-3.
López-Sendón J, González A, López de Sá E, Coma-Canella I, Roldán I, Domínguez F, et al. Diagnosis of subacute ventricular wall rupture after acute myocardial infarction: sensitivity and specificity of clinical, hemodynamic and echocardiographic criteria. J Am Coll Cardiol 1992;19:1145-53. https://doi.org/10.1016/0735-1097(92)90315-e.
Wilansky S, Moreno CA, Lester SJ. Complications of myocardial infarction. Crit Care Med 2007;35(8 Suppl):S348-54. https://doi.org/10.1097/01.CCM.0000270244.90395.67.
Gatewood RP Jr, Nanda NC. Differentiation of left ventricular pseudoaneurysm from true aneurysm with two dimensional echocardiography. Am J Cardiol 1980;46:869-78. https://doi.org/10.1016/0002-9149(80)90442-7.
Declaración de intereses
(Véanse formularios de conflicto de intereses de los autores en la web/Material suplementario).