CARTAS CIENTÍFICAS
Pericarditis efuso-constrictiva y síndrome de descompresión pericárdica: abordaje multiimágenes
Pericarditis efuso-constrictiva y síndrome de descompresión pericárdica: abordaje multiimágenes
Revista argentina de cardiología, vol. 90, núm. 6, pp. 486-488, 2022
Sociedad Argentina de Cardiología
La pericarditis efuso-constrictiva (PEC) es una afección en que, en presencia de derrame pericárdico significativo, ocurre constricción cardíaca. Por su parte, el síndrome de descompresión pericárdica se define como la descompensación hemodinámica posterior al drenaje pericárdico. Ambas entidades se presentan en la población con poca frecuencia, y acarrean alta morbimortalidad, por lo cual es de interés su conocimiento, sospecha y tratamiento.
El objetivo de este trabajo es presentar un caso clínico de un paciente masculino de 36 años, sedentario y extabaquista, quien consultó al departamento de emergencias por disnea en clase funcional II-III asociada a edemas de miembros inferiores de un mes de evolución. Al examen físico presentaba signos de insuficiencia cardíaca: taquicardia (120 lpm), TA 140/80 mmHg, ruidos cardíacos hipofonéticos, ingurgitación yugular 3/3, edemas miembros inferiores, hipoventilación en base izquierda, saturación arterial de O2 98% al aire ambiente, y abdomen distendido.
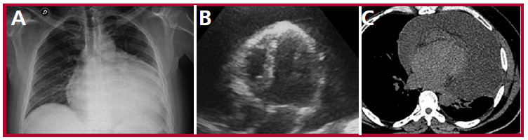
En el laboratorio no se evidenciaron alteraciones de relevancia (Hematocrito 45%, Creatinina 1,2 mg/ dL; urea 25 mg/dL; plaquetas 240mil/mm3, leucocitos 9100/mm3). El electrocardiograma mostró taquicardia sinusal, con complejos QRS de bajo voltaje y en la radiografía de tórax se evidenció aumento del índice cardiotorácico, con imagen en botellón (Figura 1, A).
Se realizó un ecocardiograma Doppler junto a la cama el paciente, que evidenció derrame pericárdico grave circunferencial, con máxima separación entre hojas de 7,5 mm, función ventricular izquierda conservada, colapso de cavidades derechas y vena cava inferior dilatada (Figura 1, B). Ante dichos hallazgos se decidió realización de drenaje pericárdico de emergencia, y se extrajeron 2,2 litros de líquido citrino.
El cultivo del líquido pericárdico fue positivo para E. Coli por lo que se inició tratamiento antibiótico dirigido; posteriormente se interpretó el hallazgo como contaminante. Por otra parte, para la evaluación de la etiología del derrame, se tomaron muestras sanguíneas para marcadores tumorales, perfil de anticuerpos, serologías (HIV, Hepatitis, CMV, VRDL, Chagas) y factores inflamatorios, que resultaron negativos.
Luego de la pericardiocentesis el paciente evolucionó con oligoanuria, somnolencia, hipotensión y frialdad distal, por lo que se realizó nuevo ecocardiograma, donde se constató disfunción biventricular con dilatación grave de cavidades derechas. Se inició soporte inotrópico endovenoso con adecuada respuesta.
Una vez estabilizado, se solicitó una tomografía de tórax que excluyó calcificación pericárdica y mostró derrame pericárdico leve a moderado, asociado a atelectasia pasiva del parénquima pulmonar izquierdo (Figura 1, C). Se completó evaluación mediante resonancia magnética nuclear cardíaca, donde se observaron volúmenes, espesores parietales y fracción de eyección del ventrículo izquierdo conservadas, deterioro de la fracción de eyección del ventrículo derecho con dilatación del mismo, dilatación biauricular, derrame pericárdico moderado y aplanamiento sistólico del septum interventricular (acentuado luego de inspiración forzada). Se observó realce tardío de gadolinio a nivel del pericardio (Figura 2, A, B y C). Dichos hallazgos fueron compatibles con la presencia de una pericarditis efuso-constrictiva.
Ante el diagnóstico de constricción pericárdica se realizó cateterismo derecho donde se objetivó igualación de las presiones telediastólicas en las cavidades derechas e izquierdas, con curva de presión diastólica del ventrículo izquierdo con típica morfología en raíz cuadrada. El paciente evolucionó con mejoría hemodinámica; se logró la suspensión de soporte inotrópico dentro de las 48-72hs, y el cuadro fue interpretado como síndrome de descompresión hemodinámica. Se decidió otorgar el egreso institucional y control ambulatorio.
El paciente intercurrió nuevamente con signos de sobrecarga hídrica y recidiva de derrame pericárdico grave, asociado a adherencias pericárdicas. Se interpretó el cuadro como pericarditis efuso-constrictiva de probable etiología idiopática. Se decidió realización de pericardiectomía total con toma de muestra para biopsia del tejido pericárdico, la cual mostró en la macroscopía tejido parduzco de superficies lisas blanquecinas brillantes, al corte consistencia firme-elástica, y en la microscopía pericardio fibroso con vasos congestivos, infiltrado inflamatorio crónico a predominio perivascular, sin atipias. El procedimiento quirúrgico fue bien tolerado, sin complicaciones.
En cuanto a la etiología de la PEC, la prevalencia no está del todo clara; el 30-40% son idiopáticas o virales. Existen otras etiologías como la pericarditis secundaria a terapia radiante o a neoplasias, por quimioterapia, tuberculosa, traumática, secundaria a enfermedad renal crónica en estadio final y posterior a cirugías, entre otras, 1) (2


La PEC es una forma infrecuente de síndrome pericárdico, en que la constricción cardíaca ocurre en presencia de derrame pericárdico significativo y se produce a expensas principalmente del pericardio visceral. En consecuencia, la pericardiocentesis puede producir mejoría transitoria, con recidiva del derrame y el cuadro clínico, por lo que es necesaria la pericardiectomía. 3) (4 En cuanto a la pericardiocentesis, el drenaje de grandes cantidades de líquido pericárdico en poco tiempo puede llevar a dilatación grave de las cavidades derechas por descompresión y descompensación hemodinámica. Por ello, se recomienda un drenaje progresivo y paulatino. 5) (6
El abordaje multiimágenes de estas patologías pericárdicas permite no solo determinar el compromiso hemodinámico de la enfermedad, sino también identificar la etiología, tomar conductas y mejorar el manejo terapéutico del paciente, siendo esto último de gran importancia por la tórpida evolución de la enfermedad.
BIBLIOGRAFÍA
Área de Normas y Consensos. Consenso de enfermedades del pericardio. Sociedad Argentina de Cardiología. Rev Argent Cardiol 2017;85(7).
Hancock EW. A clearer view of effusive-constrictive pericarditis. N Engl J Med 2004;350:435-7. https://doi.org/10.1056/NEJMp038199.
Sagristá-Sauleda J, Almenar L, Ferrer JA, Bardají A, Bosch X, Guindo J, et al. Guías de práctica clínica de la Sociedad Española de Cardiología en patología pericárdica. Rev Esp Cardiol 2000;53:394412. https://doi.org/10.1016/S0300-8932(00)75105-0.
Yacoub M, Quintanilla Rodriguez BS; Mahajan K. ConstrictiveEffusive Pericarditis. 2022 Jan. NCBI. NIH. https://www.ncbi.nlm.. nih.gov/books/NBK519579/
Sagristà-Sauleda J, Angel J, Sánchez A, Permanyer-Miralda G, Soler-Soler J. Effusive-Constrictive Pericarditis. N Engl J Med 2004;350:469-75. https://doi.org/10.1056/NEJMoa035630.
Sagristá-Sauleda J. Diagnóstico y guía terapeútica del paciente con taponamiento cardíaco o constricción pericárdica. Rev Esp Cardiol 2003;56:195-205. https://doi.org/10.1016/S0300-8932(03)76845-6.
Declaración de intereses
(Véanse formularios de conflicto de intereses de los autores en la web/Material suplementario).
Consideraciones éticas: No aplican.