ARTÍCULO ORIGINAL
Estudio preliminar de correlación fenotipo-genotipo en miocardiopatías de pacientes derivados a un centro de alta complejidad del conurbano bonaerense
A Preliminary Study of the Phenotype-Genotype Correlation in Cardiomyopathies in PatientsReferred to a Tertiary Healthcare Center in the Suburbs of Buenos Aires
Estudio preliminar de correlación fenotipo-genotipo en miocardiopatías de pacientes derivados a un centro de alta complejidad del conurbano bonaerense
Revista argentina de cardiología, vol. 91, núm. 1, pp. 55-69, 2023
Sociedad Argentina de Cardiología
Recepción: 02 Diciembre 2022
Aprobación: 30 Enero 2023
RESUMEN
Introducción: Las miocardiopatías se definen como un trastorno del miocardio en el que el músculo cardíaco es estructural y funcionalmente anormal, en ausencia de enfermedad arterial coronaria, hipertensión arterial (HTA), enfermedad valvular y enfermedad cardíaca congénita. Estas enfermedades son relativamente frecuentes, y suponen una importante causa de morbimortalidad a nivel global. Aunque el estudio genético se recomienda para el cribado familiar, la falta de datos robustos sobre asociaciones genotipofenotipo específicas ha reducido su impacto en el manejo clínico.
Objetivos: El objetivo de este estudio es analizar la frecuencia de mutaciones en una población de pacientes con miocardiopatía derivados a un centro de alta complejidad y el análisis de la correlación genotipo-fenotipo en las mutaciones identificadas.
Material y métodos: Se estudiaron en forma prospectiva 102 pacientes con sospecha de miocardiopatía hipertrófica (MCH) familiar, de los cuales 70 constituían casos índices, de una cohorte ambispectiva de pacientes con miocardiopatías controladas en un hospital público de alta complejidad de tercer nivel de atención de la provincia de Buenos Aires, desde enero 2012 al 30 agosto 2022.
Resultados: De 102 pacientes 83 fueron considerados afectados. De eelos, 31 eran MCH y 52 fenocopias, sin diferencia en el pronóstico. Se realizó estudio genético en 77 pacientes, de los cuales 57 presentaron mutaciones reconocibles, en el 80% de los casos coincidentes con un Score de Mayo ≥3. Se detectaron 28 variantes de significado incierto.
Conclusiones: Se comprobó que realizar estudio molecular guiado por el Score de Mayo permitió obtener un alto grado de probabilidad de detectar mutaciones. Se evidenció la importancia del estudio molecular debido a la existencia de solapamiento fenotípico y genotípico de las miocardiopatías. El conocimiento de la variante genética causal actualmente no afecta el manejo clínico de la mayoría de los pacientes con MCH, pero es de ayuda ante un pequeño grupo de genes que tienen opciones de tratamiento.
Palabras clave: Cardiomiopatías+ Cardiomiopatía Hipertrófica+ Sarcómeros+ Estudio de Asociación Genética+ Pruebas Genética.
ABSTRACT
Background: Cardiomyopathies are defined as a disorder of the myocardium in which the heart muscle is structurally and functionally abnormal, in the absence of coronary artery disease, hypertension (HT), valvular heart disease and congenital heart disease. These diseases are relatively common and a major cause of morbidity and mortality worldwide. Although genetic testing is recommended for family screening, lack of solid data on specific genotype-phenotype associations has reduced its impact on clinical management.
Objectives: This study aims to analyze the frequency of mutations in a population of patients with cardiomyopathy referred to a tertiary healthcare center and to analyze the genotype-phenotype correlation of the identified mutations.
Methods: We prospectively included 102 patients with suspected familial hypertrophic cardiomyopathy (HCM), 70 of which were index cases, from an ambispective cohort of patients with cardiomyopathies treated in a tertiary healthcare public hospital in the province of Buenos Aires, from January 2012 to August 30, 2022.
Results: Of 102 patients, 83 were considered affected. Of these, 31 were HCM and 52 were phenocopies, with no difference in prognosis. A genetic study was carried out in 77 patients, of whom 57 presented recognizable mutations, in 80% of the cases coinciding with a Mayo Score ≥3. Twenty-eight variants of uncertain significance were detected.
Conclusions: It was confirmed that molecular testing guided by the Mayo Score provided high probability of detecting mutations. Molecular testing proved to be important due to the phenotypic and genotypic overlap in cardiomyopathies. Understanding the causative genetic variant, nowadays, does not affect the clinical management of most HCM patients, but is helpful in a small group of genes with treatment options.
Key words: Cardiomyopathies, Cardiomyopathy Hypertrophic/genetics, Sarcomeres, Genetic Association Studies, Genetic Testing.
INTRODUCCIÓN
Las miocardiopatías se definen como un trastorno del miocardio en el que el músculo cardíaco es estructural y funcionalmente anormal, en ausencia de enfermedad arterial coronaria, hipertensión arterial (HTA), enfermedad valvular y enfermedad cardíaca congénita. Estas enfermedades son relativamente frecuentes, y suponen una importante causa de morbimortalidad a nivel global. 1
Existen diferentes clasificaciones que pretenden ayudar a distinguir algunas miocardiopatías de otras, aunque muchas veces resultan más un factor de confusión que una ayuda en la clasificación. 2) (3
La miocardiopatía hipertrófica (MCH) es una enfermedad primaria del miocardio producida por mutaciones de genes que codifican proteínas del sarcómero, con una prevalencia estimada de hasta 1/200-500 personas, a menudo hereditaria, con una expresión genética y fenotípica compleja y una historia natural, que afecta a ambos sexos. 4) (5) (6) (7
Se han descrito miles de mutaciones en más de 50 genes en asociación con la MCH, aunque la frecuencia de mutaciones identificadas es variable en diferentes estudios y los datos disponibles en nuestro medio son escasos. 4) (5) (6) (7
Los mecanismos por los cuales las variantes del sarcómero dan como resultado el fenotipo clínico no se han dilucidado aún. Los genes del sarcómero desencadenan cambios en el miocardio, que conducen a hipertrofia y fibrosis, un ventrículo pequeño y rígido con rendimiento sistólico y diastólico deteriorado a pesar de una fracción de eyección del ventrículo izquierdo (FEVI) conservada. Diversas características, como arterias coronarias intramurales anormales responsables de la isquemia y las anomalías de la válvula mitral, parecen no tener una asociación directa con las variantes del sarcómero. 4) (5) (6) (7
Se cree que los pacientes que carecen de una variante patogénica tienen MCH no mendeliana y probablemente tienen un mejor pronóstico que los pacientes con mutaciones patogénicas sarcoméricas. Identificar la base genética de la MCH crea oportunidades para comprender cómo se desarrolla la enfermedad y cómo interrumpir su progresión. 5
Aunque el estudio genético se recomienda para el cribado familiar, la falta de datos robustos sobre asociaciones genotipo-fenotipo específicas ha reducido su impacto en el manejo clínico. 5
El objetivo de este estudio es analizar la frecuencia de mutaciones en una población de pacientes con miocardiopatía derivados a un centro de alta complejidad y el análisis de la correlación genotipo-fenotipo en las mutaciones identificadas.
MATERIAL Y MÉTODOS
Sujetos del estudio
Se estudiaron en forma prospectiva 102 pacientes con sospecha MCH familiar, de los cuales 70 constituían casos índice, de una cohorte ambispectiva de pacientes con miocardiopatías controladas en un hospital público de alta complejidad de tercer nivel de atención de la provincia de Buenos Aires desde enero de 2012 al 30 agosto de 2022.
El diagnóstico de MCH se realizó de acuerdo con los criterios de la OMS y del grupo de trabajo de enfermedad miocárdica y pericárdica de la Sociedad Europea de Cardiología. 1
Los “afectados” de MCH eran aquellos que presentaban 1 criterio mayor electrocardiográfico (ECG) o en la ecocardiografía transtorácica (ETT), o 2 criterios menores ETT más 1 menor ECG, o 2 criterios menores ECG más 1 menor ETT. 7
A los pacientes con diagnóstico de miocardiopatía se les realizó historia clínica y familiar incluyendo 3 generaciones, exploración física, genograma, ECG, ETT, ECG Holter (en afectados), ergometría o test cardiopulmonar de esfuerzo (en afectados), hemograma y bioquímica completa con NTproBNP y Troponina (en afectados).
Parámetros ecocardiográficos
Los estudios se realizaron con un Ecocardiógrafo Epiq 7 CVx 3D (Philips Medical Systems) utilizando un transductor S5-1. Se obtuvieron mediciones de la FEVI y función diastólica de acuerdo con las recomendaciones de la Sociedad Americana de Ecocardiografía. 8) (9
Una FEVI <52% en hombres y <54% en mujeres fue considerada deprimida.
El análisis de Speckle-tracking se realizó de acuerdo con las recomendaciones vigentes del consenso EACI/ASE. 10 Los bucles de cine a partir de tres vistas apicales del VI estándar (cuatro, dos y tres cámaras) se registraron utilizando imágenes con armónicas en escala de grises, con la mayor velocidad de cuadros posible (55-90 cuadros/seg). El análisis de los archivos grabados se realizó off line por un ecocardiografista experimentado no cegado al diagnóstico del paciente.
El strain longitudinal global (SLG) por 2D se evaluó en 16 segmentos promediados del VI (Software para el post-procesado del strain: TOMTEC. Dynamic Heart Model). El operador ajustó manualmente la región de interés en segmentos que no se pudo rastrear correctamente. Valor normal de SLG global Philips: -21± 2%.
Cardioresonancia magnética (CRM)
Se empleó un equipo Philips Medical Systems Achieva Serie X de 3T. Se tomaron imágenes anatómicas del corazón con secuencias Sangre Negra y Sangre Blanca. Se realizó estudio funcional con imágenes de cine gatilladas. Se realizaron adquisiciones con secuencias de realce en T2 y en T1, supresión grasa, secuencia con TE variable y Tagging. Con la inyección de gadolinio (dosis total: 0,2 mmol/kg) se realizaron secuencias de primer paso (0,1 mmol/kg) e imágenes tardías (Realce Tardío), que luego fueron post-procesadas y evaluadas con el programa Extended MR Space 2.6.3.3.
Análisis mutacional
Se utilizó la puntuación de predictor de genotipos de HCM de Mayo (Score de Mayo), para predecir el rendimiento diagnóstico de las pruebas genéticas y guiar el uso del método NGS (secuenciación de nueva generación). 11) (12
Se realizó test molecular a aquellos con Score de Mayo ≥3 (rango de -1 a 5) o a los familiares de pacientes con mutaciones positivas. Se invitó a familiares de primer grado a realizar un estudio clínico, ECG y ETT, para identificar a los afectados, a los que se les ofreció realizar estudio genético.
El componente técnico de la secuenciación confirmatoria lo realizó Invitae Corporation a partir de muestras de saliva recogidas mediante un hisopado bucal. La clasificación de variantes identificadas se realizó con pautas del American College of Medical Genetics and Genomics. 13
Todos los pacientes firmaron un consentimiento informado y el estudio fue aprobado por el comité de ética de la institución.
Estudio de la correlación genotipo-fenotipo
Para la descripción de las características fenotípicas se utilizó la clasificación de Maron con los cuatro fenotipos clásicos, según la ubicación y el grado de hipertrofia. 14
Para correlacionar fenotipo (F) con genotipo (G) se utilizó la clasificación de Lever que permite evaluar la probabilidad pretest según subtipo anatómico. 15
Se definió MCH obstructiva cuando presentaba un gradiente de presión intraventricular significativo (≥30 mmHg) en reposo, obstructiva latente cuando el gradiente se evidenciaba después de maniobras de provocación (Valsalva/ de pie/ejercicio) y no obstructivas a aquellas con gradiente < 30 mmHg.
Definiciones en ANEXO.
Eventos cardiovasculares
Se definió como eventos cardiovasculares (ECV) la presencia o ausencia de los siguientes:
Necesidad de colocación de cardiodefibrilador implantable
(CDI) o marcapasos
Muerte súbita
Internación por causa cardiovascular
Miectomía septal o ablación septal con alcohol
El seguimiento se realizó durante 3 años posterior al diagnóstico mediante controles clínicos por consultorios externos o llamados telefónicos.
Análisis estadístico
Se utilizó el programa estadístico Epi Info para PC versión 7.2.4.0 y Statistix 7.
Las variables cualitativas se describieron utilizando números y porcentajes. Las variables cuantitativas se describieron utilizando media y desvío estándar o mediana y rango intercuartilo (RIC), dependiendo de si la distribución era normal o no respectivamente.
Para las comparaciones entre grupos se utilizó el test de Student para variables continuas con distribución normal, y pruebas no paramétricas (U de Mann-Whitney) para variables continuas con distribución no normal; y test de Chi cuadrado (χ²) o test exacto de Fisher en el caso de variables categóricas. Se consideró estadísticamente significativo un valor de p < 0,05.
RESULTADOS
Se evaluaron 102 pacientes. El diagrama del flujo diagnóstico se presenta en la .

La presencia de fenotipo compatible con MCH se determinó en base a los criterios eléctricos y ecocardiográficos. Se clasificó a los pacientes en dos grupos: “afectados” (n = 83, 81,4%, IC 95% 72,4-88,4%) y “no afectados” (19, 18,6%, IC95% 11,6- 27,5%) (Tabla 1 A).
La edad media de diagnóstico de los síntomas fue de 39 ± 16,7 años, con inicio más temprano en las mujeres (34,7± 15 años; p< 0,001), aquellos con antecedentes familiares (36,7± 16 años; p< 0,001) y variantes patogénicas en TNNT2.

A. Parámetros clínicos y electrocardiografía
AI: aurícula izquierda; BCRD: bloqueo completo de rama derecha; BCRI: bloqueo completo de rama izquierda; BNP: péptido natriurético B; CF: clase funcional; FA: fibrilación auricular; HBAI: hemibloqueo anterior izquierdo; HVI: hipertrofia ventricular izquierda; FEVI: fracción de eyección del ventrículo izquierdo; FSVI: Función sistólica ventricular izquierda; parox: paroxística; SLG: strain longitudinal global; TAS: tensión arterial sistólica Las variables cualitativas se presentan como n (%), y las cuantitativas como media ± desviación estándar o mediana y rango intercuartiloEntre los afectados la presencia de síntomas fue más frecuente en los hombres (n = 43) que en las mujeres (n = 40) y el síntoma más frecuente fue la disnea.
Se realizó ECG y ETT al 100% de los pacientes, y CRM a 64 (62,7%). No se realizó CRM por claustrofobia, negación y presencia de dispositivos cardíacos.
En la Tabla 1 B se muestran las características de los 83 “afectados”. El 71% (n=59) tenía FEVI conservada, frente al 100% de los no afectados; p < 0,001. El 37,4% (n = 31) eran MCH y el 62,6% (n = 52) fenocopias. Aproximadamente la mitad de las MCH eran obstructivas (51,6%) y la mayoría tenía FEVI conservada (25, el 80%). El SLG promedio de los pacientes con amiloidosis fue de 14% (9-17) estadísticamente diferente (p = 0,01) al de los pacientes con MCH, y el índice FEVI/SLG con un valor de corte ≥4,3 ± 1,6 permitió diferenciar amiloidosis de MCH (p <0,001), como en estudios anteriores. 16

B. Características ecocardiográficas y de cardioresonancia de la población “afectada”
AI: aurícula izquierda; FEVI: fracción de eyección del ventrículo izquierdo; FEVD: fracción de eyección del VD; IMVI: índice de masa del ventrículo izquierdo I. Vol AI: índice de volumen de aurícula izquierda; MCH: miocardiopatía hipertrófica; OTSVI: obstrucción del tracto de salida del ventrículo izquierdo PSAP: presión sistólica de la arteria pulmonar; RTG: realce tardío con gadolinio; SIV: septum interventricular; SLG: strain longitudinal global Las variables cualitativas se presentan como n (%), y las cuantitativas como media ± desviación estándar o mediana y rango intercuartiloMutaciones identificadas
Se realizó estudio molecular a 77 pacientes (75,5%), de los cuales 57 (el 75%) presentaban mutaciones (G+) y 20 (26%) no (G-). De los 57 pacientes con G+, 46 (80,7%) tenían un Score de Mayo ≥3; p <0,001 vs. los pacientes con G-. Se detectaron 22 (28,5%) variantes de significado incierto (VUS, por sus siglas en inglés) (Figuras 2 y 3). Dos pacientes presentaban 2 variantes patogénicas en heterocigosis y 10 presentaban VUS además de la mutación patogénica.


Entre los 19 no afectados se pudo descartar la enfermedad en 6 (31,6%), mientras que 13 (68,4%) fueron portadores asintomáticos. La penetrancia de la enfermedad (“afectados con mutaciones”) fue del 77,2% (44 de los 57 con G+); de los 44, 16 (36,4%) eran MCH.
Correlación Fenotipo-Genotipo
La forma de presentación más frecuente fue el tipo 1 y 3 de Maron (afección septal y anterolateral), con más G+ detectados en la tipo 1 en la MCH (9, el 75%) y en la tipo 3 en las fenocopias (13, el 68,4%), p<0,001.
La clasificación de Lever 2 y 4 (septum reverso y neutro, respectivamente) resultó de gran utilidad a la hora de valorar la probabilidad de presentar un G+ basado en el fenotipo (F) anatómico expresado por el paciente (Tabla 2 y Figura 4).


Imagen de ecocardiografía Doppler color de fuente propia. Figura modificado de : Lever HM, Karam RF, Currie PJ, Healy BP. Hypertrophic cardiomyopathy in the elderly. Distinctions from the Young based on cardiac shape. Circulation 1989; 79(3):580-9.
No hubo diferencias significativas en ECV, tratamiento médico o intervenciones realizadas entre los pacientes con G+ o G- (Figura 5).
La mediana de tiempo desde el inicio de la miocardiopatía hasta un ECV fue de 2,4 años. No se produjeron mas ECV en los pacientes con fenocopias (29, el 55,7%) que en las MCH (17, el 54,8%), p = 0,93. Se produjeron más muertes cardiovasculares en los hombres (10, 21,7%) que las mujeres (3, 5,3%); p = 0,01.

DISCUSIÓN
Las miocardiopatías son un grupo heterogéneo de enfermedades del miocardio asociadas con disfunción mecánica y/o eléctrica que generalmente presentan una hipertrofia o dilatación ventricular inapropiada y se deben a una variedad de causas, frecuentemente genéticas. 1
Para que la genética sea una herramienta útil en la toma de decisiones clínicas es necesario disponer de información detallada sobre las características clínicas y morfológicas de los portadores de las diferentes mutaciones, como la que proporciona este estudio.
El Score de Mayo permitió elegir mejor a los probandos y que el estudio molecular sea costo-efectivo, con la limitación financiera evidente.
La remodelación hipertrófica también ocurre en trastornos que clínicamente imitan a la MCH, incluida la enfermedad de Fabry (mutaciones en GLA) y la amiloidosis por transtiretina (TTR) entre otros. Se han informado más de 1500 mutaciones en al menos 8 genes de proteínas del sarcómero en la MCH, aunque la mayoría (80%) de las mutaciones alteran la cadena pesada de B-miosina (MYH7) o el gen de la proteína C ligada a miosina (MYBPC3). El diverso origen molecular combinado con la variabilidad genómica de fondo y las diferencias en el estilo de vida entre los pacientes ha dificultado la comprensión definitiva de las relaciones genotípicas y fenotípicas. 4
Estudios previos sugieren que las mutaciones en MYH7 causan entre un 15-30% de los casos de MCH. 17) (18 En nuestros pacientes, las mutaciones en este gen son menos frecuentes y aparecen en un 7,5% de las familias estudiadas, esta diferencia puede deberse al grado de selección de la población estudiada.
Aunque no encontramos diferencias significativas en la edad en el momento del diagnóstico, la edad media de los pacientes con G+ fue de 37,4 ± 15 años, frente a 42,4 ± 18 años en los G-, similar a otras series. 19) (20
Un dato interesante de nuestro estudio fue la mayor frecuencia de mutaciones identificadas en mujeres (36, 63%; p=0,06), sin significancia estadística; pero como el patrón de herencia habitual en la MCH es autosómico dominante cabría esperar que un 50% de los pacientes fueran mujeres. Sin embargo, en prácticamente todas las series descritas, la proporción de mujeres ronda entre el 30 y el 40%, y suelen ser mayores en el momento del diagnóstico. En nuestro estudio ocurrió lo contrario (edad de diagnóstico de las mujeres: 37 ± 15 años, frente a 46,5 ± 15 años en los hombres; p<0,01). (17-20)
Las mujeres tuvieron una mayor prevalencia del fenotipo obstructivo, síntomas más graves con requerimiento de terapia de reducción septal e incluso una paciente se trasplantó. Sin embargo, hubo mayor mortalidad en hombres que en mujeres.
La identificación de mutaciones en diferentes familias permite hacer una valoración más precisa de la correlación genotipo-fenotipo y la interpretación adecuada del papel patogénico de cada mutación. Varios hallazgos de nuestro estudio inciden en la importancia de realizar un estudio familiar completo. Mientras que en algunas mutaciones, como la TNNT2 c.812A>T (p.Asn271Ile), el fenotipo se reproduce de forma similar en la mayor parte de los portadores, en otras, como la MYBPC3 c.1808_1821del (p.Ile603Thrfs*6), llama la atención la gran diferencia entre el fenotipo de los casos índice (hipertrofia severa en pacientes jóvenes) y los familiares portadores con hipertrofia ligera, a pesar de tener edades similares o mayores. En estos casos debe considerarse la posibilidad de que haya factores genéticos o ambientales adicionales que expliquen la gran diferencia de expresión. En varios trabajos se ha demostrado que los pacientes con MCH pueden presentar más de una mutación y que la presencia de dobles mutaciones se asocia con una expresión más severa de la enfermedad como es el caso de dos pacientes de nuestro estudio. 6) (17) (18) (19) (20
En la práctica clínica es frecuente la coincidencia de la MCH con hipertensión arterial (8 pacientes con MCH en nuestro estudio, el 25,8%) debido a la alta prevalencia de ambas enfermedades. Esta situación hemodinámica modifica necesariamente el fenotipo de la MCH como también el ejercicio (corazón del atleta) y otras comorbilidades (diabetes mellitus, obesidad e insuficiencia renal crónica), está claro que a menudo es imposible distinguir la causa real o el principal modificador de la hipertrofia del VI.
Actualmente, se cree que la amiloidosis TTR de tipo natural o wild-type (wt), intensamente estudiada y subdiagnosticada, tiene una prevalencia relativamente alta. En nuestro estudio se detectaron 46 pacientes con amiloidosis cardíaca (45%) de los cuales 60,7% fueron amiloidosis TTRv (variante), 26% TTRwt, y el resto otras amiloidosis. Creemos que la amiloidosis fue el factor que contribuyó a la mayor mortalidad en el grupo “fenocopias” con respecto al grupo MCH.
Limitaciones
Estudio realizado en un solo centro de derivación de tercer nivel de atención con individuos probablemente más graves y sintomáticos.
Podría haber alguna mutación adicional que no hubiera sido identificada debido al uso de paneles predeterminados de genes.
La recogida de muestras no es posible en sujetos fallecidos ni en los que han declinado participar en el estudio o no han sido avisados por el caso índice.
CONCLUSIONES
Se comprobó que realizar estudio molecular guiado por el Score de Mayo permitió obtener un alto grado de probabilidad de detectar mutaciones. Se evidenció la importancia del estudio molecular debido a la existencia de solapamiento fenotípico y genotípico de las miocardiopatías.
El conocimiento de la variante genética causal actualmente no afecta el manejo clínico de la mayoría de los pacientes con MCH, pero es de ayuda en un pequeño grupo de genes, como GAA, GLA, LAMP2, PRKAG2 y TTR, que están indiscutiblemente asociados con enfermedades que imitan la MCH y tienen perfiles clínicos, patrones de herencia y opciones de tratamiento distintivos, por lo cual, en estos casos, el estudio molecular representa un paso significativo hacia enfoques personalizados.
BIBLIOGRAFÍA
Elliott P, Andersson B, Arbusteini E, Bilinska Z, Cecchi F, Charron P, et al. Classification of the cardiomyopathies: a position statement from the european society of cardiology working group on myocardial and pericardial diseases, Eur Heart J 2008;29:270-6 doi: 10.1093/eurheartj/ehm342
Thiene G, Corrado D, Basso C. Revisiting definition and classification of cardiomyopathies in the era of molecular medicine. Eur Heart J 2008;29:144-6. doi: 10.1093/eurheartj/ehm585
Maron BJ, Desai MY, Nishimura RA, Spirito P, Rakowski H, Towbin JA, et al. Diagnosis and Evaluation of Hypertrophic Cardiomyopathy. J Am Coll Cardiol. 2022;79:372-89. doi: 10.1016/j.jacc.2021.12.002.
Ommen SR, Mital S, Burke MA, Day SM, Deswal A, Elliott P, et al. 2020 AHA/ACC guideline for the diagnosis and treatment of patients with hypertrophic cardiomyopathy: a report of the American College of Cardiology/American Heart Association Joint Committee on Clinical Practice Guidelines. Circulation 2020;142:e558-e631. doi: 10.1161/CIR.0000000000000937
Mazzarotto F, Olivotto I, Boschi B, Girolami F, Poggesi C, Barton PJR, et al. Contemporary Insights Into the Genetics of Hypertrophic Cardiomyopathy: Toward a New Era in Clinical Testing? J Am Heart Assoc 2020;0:e015473. doi: 10.1161/JAHA.119.015473
Maron BJ, Maron MS, Semsarian C. Genetics of Hypertrophic Cardiomyopathy After 20 Years: Clinical Perspectives. J Am Coll Cardiol 2012;60:705-15. doi: 10.1016/j.jacc.2012.02.068.
McKenna WJ, Spirito P, Desnos M, Dubourg O, Komajda M. Experience from clinical genetics in hypertrophic cardiomyopathy: proposal for new diagnostic criteria in adult members of affected families. Heart 1997;77:130-2. doi: 10.1136/hrt.77.2.130
Lang RM, Badano LP, Mor-Avi V, Afilalo J, Armstrong A, Ernande L, et al. Recommendations for cardiac chamber quantification by echocardiography in adults: an update from the American Society of Echocardiography and the European Association of Cardiovascular Imaging. J Am Soc Echocardiogr 2015;28:1-39. doi: 10.1016/j.echo.2014.10.003
Nagueh SF, Smiseth OA, Appleton CP, Byrd BF 3rd , Dokainish H, Edvardsen T, et al. Recommendations for the evaluation of left ventricular diastolic function by echocardiography: an update from the American Society of Echocardiography and the European Association of Cardiovascular Imaging. J Am Soc Echocardiogr 2016;29:277-314. doi: 10.1016/j.echo.2016.01.011
Voigt JU, Pedrizzetti G, Lysyansky P, Marwick TH, Houle H, Baumann R, et al. Definitions for a common standard for 2D speckle tracking echocardiography: consensus document of the EACVI/ ASE/Industry Task Force to Standardize Deformation Imaging. J Am Soc Echocardiogr 2015;28:183-93. doi: 10.1016/j.echo.2014.11.003
Bonaventura J, Norambuena P, Tomašov P, Jindrová D, Šedivá H, Macek M Jr , et.al. The utility of the Mayo Score for predicting the yield of genetic testing in patients with hypertrophic cardiomyopathy. Arch Med Sci. 2019;15:641-9. doi: 10.5114/aoms.2018.78767.
Bos J.M., Will M.L., Gersh B.J., Kruisselbrink T.M., Ommen S.R., Ackerman M.J. Characterization of a Phenotype-Based Genetic Test Prediction Score for Unrelated Patients With Hypertrophic Cardiomyopathy. Mayo Clin. Proc. 2014;89:727-37. doi: 10.1016/j.mayocp.2014.01.025.
Bennett RL, Steinhaus KA, Uhrich SB, O’Sullivan CK, Resta RG, Lochner-Doyle D, et al. Recommendations for standardized human pedigree nomenclature. Pedigree Standardization Task Force of the National Society of Genetic Counselors. Am J Hum Genet. 1995;56:745-52.
Maron BJ. Hypertrophic cardiomyopathy. Curr Probl Cardiol 1993;18:639-704. doi: 10.1016/0146-2806(93)90025-w
Lever HM, Karam RF, Currie PJ, Healy BP. Hypertrophic cardiomyopathy in the elderly. Distinctions from the young based on cardiac shape. Circulation 1989;79:580-9. doi: 10.1161/01.CIR.79.3.580
Saad A, Arbucci R, Rousse G, Darú V, Merlo P, Lowenstein J y col. Perfiles ecocardiográficos del strain 2D permiten diferenciar a la amiloidosis cardíaca de la miocardiopatía hipertrófica con fracción de eyección conservada. Rev Argent Cardiol 2018;86:20-6. doi: 10.7775/rac.v86.i6.14239
Maron BJ, McKenna WJ, Danielson GK, Kappenberger LJ, Kuhn HJ, Seidman CE, et al. ACC/ESC clinical expert consensus document on hypertrophic cardiomyopathy: a report of the American College of Cardiology Task Force on Clinical Expert Consensus Documents and the European Society of Cardiology Committee for Practice Guidelines (Committee to Develop an Expert Consensus Document on Hypertrophic Cardiomyopathy). Eur Heart J 2003;24:1965-9. doi: 10.1016/S0195-668X(03)00479-2
Laredo R, Monserrat L, Hermida-Prieto M, Fernández X, Rodríguez I, Cazón L, et al. Mutaciones en el gen de la cadena pesada de la betamiosina en la miocardiopatía hipertrófica. Rev Esp Cardiol 2006;59:1008-18. doi: 10.1157/13093977
Richard P, Charron P, Carrier L, Ledeuil C, Cheav T, Pichreau C, et al. Hypertrophic cardiomyopathy: distribution of disease genes, spectrum of mutations, and implications for a molecular diagnosis strategy. Circulation 2003;107:2227-32 http://doi.org/10.1161/01.CIR.0000066323.15244.5
García-Castro M, Cotoa E, Reguerob JR, Berrazuetac JR, Álvareza V, Alonso B, et al. Mutaciones en genes sarcoméricos en la miocardiopatía hipertrófica. Rev Esp Cardiol . 2009;62:48-5. doi: 10.1016/S0300-8932(09)70020-X
ANEXO 1
Criterios diagnósticos de MCH. World Health Organization/International Society and Federation of Cardiology.1997

bloqueo completo de rama izquierda del haz de His ECG: electrocardiograma ETT: ecocardiograma transtorácico HVI:hipertrofia ventricular izquierda SAM: movimiento anterior sistólico
Cuadro modificado de McKenna WJ, Spirito P, Desnos M, Dubourg O, Komajda M. Experience from clinical genetics in hypertrophic cardiomyopathy: proposal for new diagnostic criteria in adult members of affected families. Heart 1997;77(2):130-132
Criterios diagnósticos de MCH de ESC.2008
Adultos
Grosor de la pared ≥15 mm en uno o más segmentos miocárdicos del VI -determinado por cualquier técnica de imagen: ecocardiografía, imagen por cardioresonancia magnética (CRM) o tomografía computarizada (TC)- que no puede explicarse únicamente por condiciones de carga
Niños
Engrosamiento de la pared del VI con un Z score >2 desviaciones estandar de la media esperable.
Familiares
Presencia inexplicable de un aumento del grosor del VI ≥13 mm en uno o más segmentos miocárdicos del VI, medido por cualquier técnica de imagen (ecocardiografia, CRM o TC).
Tomado de Elliott P, Andersson B, Arbustini E, Bilinska Z, Cecchi F, Charron P, et al. Classification of the cardiomyopathies:
a position statement from the European Society Of Cardiology Working Group on Myocardial and Pericardial Diseases. Eur Heart J 2008;29(2):270-6
- “Fenocopias de MCH (Imitaciones)”: enfermedades cardíacas o sistémicas capaces de producir HVI que no deben etiquetarse como MCH. El uso de MCH para describir el aumento del grosor de la pared del VI asociado con trastornos sistémicos o causas secundarias de hipertrofia del VI (HVI) puede generar confusión. Los trastornos sistémicos incluyen: síndromes metabólicos y multiorgánicos como las RASopatías (variantes en varios genes implicados en la señalización de RAS-MAPK), miopatías mitocondriales, enfermedades de almacenamiento de glucógeno/lisosoma en niños y miocardiopatía de Fabry, amiloidosis, sarcoidosis, hemocromatosis y Danon en adultos. En estas enfermedades, aunque la magnitud y distribución del aumento del grosor de la pared del VI pueden ser similares a las de la MCH aislada causada por variantes en los genes sarcoméricos, los mecanismos fisiopatológicos responsables de la hipertrofia, la evolución natural y las estrategias de tratamiento no son los mismos.
- El criterio ecocardiográfico de amiloidosis quedó definido por la presencia de HVI con un punto de corte de ≥12 mm a nivel septal o pared posterior según 10th Internacional Symposium on Amyloidosis 2004.

Los hallazgos de la NGS se compararon con el Mayo Score (rango de -1 a 5) según las variables clínicas y ecocardiográficas. Un paciente con la puntuación Mayo 5 tenía una mutación patogénica (100 % de rendimiento). Los pacientes con una puntuación de Mayo de 4 tenían una mutación patogénica en el 71 % de los casos. Los pacientes con una puntuación de Mayo de 3 o 2 tenían una mutación patogénica en el 50 y el 35 % de los casos, respectivamente. El rendimiento de las pruebas genéticas con una puntuación de -1 a 1 fue bajo (6-21%).
ANEXO 2


Esta clasificación ha resultado de gran utilidad a la hora de valorar la probabilidad de presentar un estudio genético positivo basado en el fenotipo anatómico expresado por el paciente, en lo que se ha venido a llamar estudio genético guíado por ecocardiografía.
Modificado de: Lever HM, Karam RF, Currie PJ, Healy BP. Hypertrophic cardiomyopathy in the elderly. Distinctions from the young based on cardiac shape. Circulation 1989 Mar; 79(3):580-9.
ANEXO 3
CASOS CLINICOS

Ejemplo de Genograma de una familia evaluada. Referencias: cuadrados: varones, círculos: mujeres, rojo: p con diagnóstico clínico de MCH, blancos: p sin MCH ni mutación o no estudiado, símbolos con punto negro central: portadores de mutación sin fenotipo de MCH, símbolos con barra negra vertical: sujetos con posible MCH por historia clínica (no comprobado). Línea diagonal: p fallecidos, flecha: caso índice.
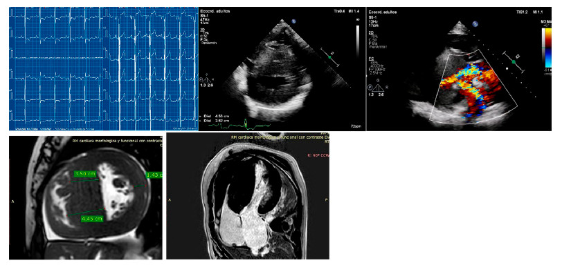
El caso índice es una mujer con hipertrofia severa diagnosticada a los 37 años, con implante de CDI por taquicardia ventricular (TV) monomorfa sostenida sincopal a los 47 años. La CRM que evidenció Miocardio no compacto (MNC) y G+ (MYH7: c.1208G>A (p. Arg403Gln). Sus 3 hijos presentan G+, dos de ellos con F+, ECG patológico (hipertrofia ventricular izquierda y ondas T negativas en la cara anterolateral) ECG y CRM de uno de sus hijos arriba y de la paciente abajo.


ANEXO 4
Análisis mutacional
A partir de muestras de saliva recogidas mediante un hisopado bucal El ADN genómico obtenido de la muestra enviada se enriquece para las regiones seleccionadas mediante un protocolo basado en la hibridación y se secuencia mediante la tecnología Illumina. Todas las regiones seleccionadas se secuencian con una profundidad ≥50x o se complementan con análisis adicionales.
Las lecturas se alinean con una secuencia de referencia (GRCh37) y los cambios de secuencia se identifican e interpretan en el contexto de una sola transcripción clínicamente relevante, que se indica a continuación.
El enriquecimiento y el análisis se centran en la secuencia de codificación de los transcritos indicados, 20 pb de secuencia intrónica flanqueante y otras regiones genómicas específicas que han demostrado ser causantes de la enfermedad en el momento del diseño del ensayo. Los promotores, las regiones no traducidas y otras regiones no codificantes no se interrogan de otro modo. Para algunos genes, solo se analizan los loci específicos (indicados en la tabla anterior). Las eliminaciones y duplicaciones exónicas se llaman mediante un algoritmo interno que determina el número de copias en cada objetivo al comparar la profundidad de lectura para cada objetivo en la secuencia probando con la profundidad de lectura media y la distribución de profundidad de lectura, obtenidas de un conjunto de datos clínicos. Los marcadores en los cromosomas X e Y se analizan con fines de control de calidad y pueden detectar desviaciones del complemento de cromosomas sexuales esperado. Tales desviaciones pueden incluirse en el informe de acuerdo con las directrices internas. La confirmación de la presencia y la ubicación de las variantes notificables se realiza según los criterios estrictos establecidos por Invitae (1400 16th Street, San Francisco, CA 94103, n.° 05D2040778), según sea necesario, utilizando uno de varios enfoques ortogonales validados (PubMed ID 30610921). Los siguientes análisis se realizan si son relevantes para la solicitud. Para los exones 12 a 15 de PMS2, el genoma de referencia se modificó para obligar a todas las lecturas de secuencias derivadas de PMS2 y el pseudogen PMS2CL a alinearse con PMS2, y los algoritmos de llamada de variantes se modificaron para admitir una expectativa de 4 alelos. Si se identifica una variante rara de SNP o indel mediante este método, tanto PMS2 como el pseudogén PMS2CL se amplifican mediante PCR de largo alcance y la ubicación de la variante se determina mediante la secuenciación SMRT de Pacific Biosciences (PacBio) del exón relevante en ambos amplicones de largo alcance. Si se identifica una CNV, se ejecuta MLPA o MLPA-seq para confirmar la variante. Si se confirma, tanto PMS2 como PMS2CL se amplifican mediante PCR de largo alcance, y PacBio secuencia la identidad de las diferencias fijas entre PMS2 y PMS2CL a partir del amplicón de largo alcance para desambiguar la ubicación de la CNV.
El componente técnico de la secuenciación confirmatoria lo realiza Invitae Corporation (1400 16th Street, San Francisco, CA 94103, #05D2040778). Para la prueba de expansión repetida de C9orf72, las unidades repetidas de hexanucleótidos se detectan mediante PCR con cebado repetido (RP-PCR) con cebadores marcados con fluorescencia, seguido de electroforesis capilar. Rangos de referencia de interpretación: benigno (rango normal): <25 unidades repetidas, incierto: 25-30 unidades repetidas, patógeno (mutación completa): >=31 unidades repetidas. Se usa una segunda ronda de RP-PCR que utiliza un conjunto de cebadores que no se superponen para confirmar la llamada inicial en el caso de tamaños de alelo sospechosos de 22 o más repeticiones. Para el análisis de ARN de los genes indicados en la tabla Genes Analyzed, el ADN complementario se sintetiza mediante transcripción inversa a partir de ARN derivado de una muestra de sangre y se enriquece con secuencias de genes específicas mediante hibridación de captura. Después de la secuenciación de alto rendimiento con la tecnología Illumina, las lecturas de salida se alinean con una secuencia de referencia (construcción del genoma GRCh37; derivado personalizado del transcriptoma RefSeq) para identificar las ubicaciones de las uniones de exón a través de la detección de lecturas divididas. El uso relativo de las uniones exónicas en una muestra de prueba se evalúa cuantitativamente y se compara con el uso observado en las muestras de control. El uso anormal de la unión exónica se evalúa como evidencia en el marco de interpretación de variantes de Sherloc. Si se pronostica un patrón de empalme anormal en base a una variante de ADN fuera del rango notificable típico, como se describió anteriormente, la presencia de la variante se confirma mediante secuenciación de ADN específica. La secuenciación del ARN la realiza Invitae Corporation (1400 16th Street, San Francisco, CA 94103, #05D2094793). Invitae Corporation (5 Technology Drive, Irvine CA 92618, n.° 05D1052995) realiza el componente técnico del cultivo de células de fibroblastos y la extracción de gDNA a partir de una biopsia con sacabocados de la piel.
Un PMID es un identificador único que hace referencia a un artículo científico publicado. Busque por PMID en http://www.ncbi.nlm.nih.gov/pubmed.
Un rsID es un identificador único que hace referencia a una sola posición genómica y se utiliza para asociar información de frecuencia de población con cambios de secuencia en esa posición. Las frecuencias de población informadas se derivan de varios sitios públicos que agregan datos de proyectos de secuenciación de población a gran escala, incluidos ExAC (http://exac.broadinstitute.org), gnomAD (http://gnomad.broadinstitute.org) y dbSNP (http://ncbi.nlm.nih.gov/SNP).
Una ID de MedGen es un identificador único que hace referencia a un artículo en MedGen, la base de datos centralizada de información sobre trastornos genéticos y fenotipos del NCBI.
Busque por ID de MedGen en http://www.ncbi.nlm.nih.gov/medgen . Un número OMIM es un identificador único que se refiere a una entrada completa en la herencia mendeliana en línea del hombre (OMIM). Busque por número OMIM en http://omim.org/. Invitae utiliza información de personas que se someten a pruebas para informar la interpretación de variantes. Si se cita “Invitae” como referencia en los detalles de la variante, esto puede referirse al individuo en esta solicitud y/o a las observaciones internas históricas.
Notas de autor
Dirección para correspondencia: Gisela Streitenberger - E-mail: gisestreitenberger@yahoo.com.ar
Declaración de intereses