CARTAS CIENTÍFICAS
Masa compresiva en el pericardio anterior: la dificultad del diagnóstico diferencial
Masa compresiva en el pericardio anterior: la dificultad del diagnóstico diferencial
Revista argentina de cardiología, vol. 91, núm. 1, pp. 92-94, 2023
Sociedad Argentina de Cardiología
Presentamos el caso de un varón de 79 años, fumador, hipertenso, portador de diabetes tipo 2, con un síndrome coronario crónico con revascularización quirúrgica en 2009, y un adenocarcinoma de próstata en control por Urología mediante vigilancia activa. El paciente fue derivado a Urgencias por disnea de moderados esfuerzos de tres semanas de evolución y el hallazgo de un derrame pleural derecho en una radiografía de tórax. A su llegada, se encontraba hemodinámicamente estable (tensión arterial 153/93 mmHg, frecuencia cardiaca 99 lpm) y con una saturación de oxígeno a aire ambiente del 89%, pero sin taquipnea en reposo. En la exploración física destacaban una ingurgitación yugular hasta el tercio medio del músculo esternocleidomastoideo, la abolición del murmullo vesicular en la base pulmonar derecha, y edemas bilaterales con fóvea hasta ambas rodillas.
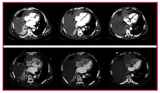
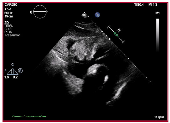
El electrocardiograma (ECG) mostraba ritmo sinusal, a 89 lpm con ondas T negativas de V1-V4, ya presentes en estudios previos. En la analítica se objetivó función renal normal (urea 31 mg/dL, creatinina 0,77 mg/dL, tasa de filtración glomerular 86 ml/ min/1,73 m2) con todos los iones en rango, proteína C reactiva 25,98 mg/L, lactato deshidrogenasa 950 U/L, creatinina kinasa 55 U/L, NT-proBNP 950 pg./mL, troponina T ultrasensible 25 ng/L, hemoglobina 11,2 g/dL, 335000 plaquetas, 11430 leucocitos, dímero D 4860 ng/mL. Para completar el diagnóstico, se realizó una tomografía computarizada (TC) no sincronizada en la que se describía una lesión hipodensa localizada sobre las cavidades cardiacas derechas (Figura 1). Como primera posibilidad diagnóstica se planteó un hemopericardio por rotura cardíaca o dehiscencia del bypass, siendo probable también el diagnóstico de una neoplasia. Ante estos hallazgos, se solicitó valoración por Cardiología. En el ecocardiograma (ETT) se objetivó una masa sólida y heterogénea en el saco pericárdico anterior, con adherencias en las cavidades derechas y compresión del surco auriculoventricular derecho, que no captaba contraste ecocardiográfico (Figura 2). El cuadro no impresionaba una rotura cardíaca, no solo por los hallazgos ecocardiográficos, también porque no había presentado dolor torácico ni alteraciones sugestivas de isquemia aguda en el ECG, y se encontraba hemodinámicamente estable, lo que, a su vez, hacía poco probable la dehiscencia del bypass.


Dada la discordancia, se decidió realizar una TC sincronizada para una mejor caracterización de la lesión, que mostró una masa pre-cardíaca derecha de 8,5 × 10 cm, de aparente dependencia pericárdica y que mostraba realce tras la administración de contraste intravenoso (Figura 1). Estos hallazgos planteaban el diagnóstico diferencial con metástasis o una neoplasia pericárdica primaria.
El diagnóstico diferencial de las masas mediastínicas se basa principalmente en la localización de la masa, su composición y la edad del paciente. 1 Las diferentes técnicas radiológicas, incluyendo TC y resonancia magnética cardíaca (RMC) resultan de gran utilidad en el diagnóstico. Teniendo en cuenta la localización de la lesión, anterior al corazón y que llegaba a contactar con la pared torácica anterior, se planteó un amplio diagnóstico diferencial que incluía tanto las diferentes lesiones que se pueden presentar a nivel del mediastino anterior como las masas dependientes del tejido pericárdico.
Los timomas se presentan como una masa ovalada, homogénea, de contornos bien definidos en la TC, a diferencia de lo que ocurría en nuestro paciente. El bocio tiroideo y los teratomas suelen acompañarse de calcificaciones o áreas quísticas, 1) (2 y teniendo en cuenta que los hallazgos de la TC de nuestro caso no mostraban calcificaciones, estas dos últimas entidades parecían poco probables. Los linfomas representan el 20% de los tumores mediastínicos en los adultos, y los linfomas de Hodgkin son el subtipo más frecuente. 1) (2) (3 Dentro de este último grupo, el linfoma B mediastínico de células grandes constituye una entidad independiente dentro de la clasificación de neoplasias linfoides malignas, con una frecuencia estimada en torno a un 2-3% de los linfomas no Hodgkin y entre un 6-10% de los linfomas de células B grandes. Este tumor suele presentarse como una masa mediastínica de expansión rápida y puede asociarse a derrame pleural y pericárdico. 4) (5
El paciente ingresó en planta de Cardiología para
completar el estudio. Se realizó una toracocentesis guiada por ecografía del derrame pleural, y se obtuvo un líquido serohemático compatible con un exudado según los criterios de Light, que mostraba en el estudio citológico una extensión hipercelular de características compatibles con un proceso linfoproliferativo B. Para completar el estudio se practicó una biopsia de aguja gruesa de la masa mediastínica y se confirmó el diagnóstico de linfoma B de células grandes primario mediastínico. Finalmente se inició el primer ciclo del tratamiento quimioterápico con rituximab, ciclofosfamida, doxorrubicina liposómica no pegilada, vincristina y prednisolona. Tras cuatro ciclos de tratamiento, presentó remisión parcial objetivada mediante TC, y tras completar los seis ciclos de quimioterapia, en la tomografía por emisión de positrones se observó una remisión metabólica completa. Durante el seguimiento el paciente ha presentado una buena situación clínica, y en el último control se decidió retirar el reservorio.
Este caso clínico ilustra la importancia de realizar un diagnóstico diferencial adecuado de las masas mediastínicas, ya que algunas de estas tienen un tratamiento curativo, y la utilidad del diagnóstico multimodal de imagen para poder realizar una adecuada caracterización de algunas lesiones
BIBLIOGRAFÍA
Prosch H, Röhrich S, Tekin ZN, Ebner L. The role of radiological imaging for masses in the prevascular mediastinum in clinical practice. J Thorac Dis 2020;12:7591-7. doi: 10.21037/jtd-20-964
Nakazono T, Yamaguchi K, Egashira R, Mizuguchi M, Irie H. Anterior mediastinal lesions: CT and MRI features and differential diagnosis. Jpn J Radiol 2021;39:101-17. doi: 10.1007/s11604-020-01031-2
Pfau D, Smith DA, Beck R, Gilani KA, Gupta A, Caimi P. Primary Mediastinal Large B-Cell Lymphoma: A Review for Radiologists. AJR Am J Roentgenol 2019;213:W194-W210. doi: 10.2214/AJR.19.21225
Lees C, Keane C, Gandhi MK, Gunawardana J. Biology and therapy of primary mediastinal B-cell lymphoma: current status and future directions. Br J Haematol 2019;185:25-41. doi: 10.1111/bjh.15778
Martelli M, Ferreri A, Di Rocco A, Ansuinelli M, Johnson PW. Primary mediastinal large B-cell lymphoma. Crit Rev Oncol Hematol. 2017;113:318-27. doi: 10.1016/j.critrevonc.2017.01.009
Notas de autor
Dirección para separatas: Uxue Idiazabal Rodriguez. Correo electrónico: uxue_278@hotmail.com
Declaración de intereses