CARTAS CIENTÍFICAS
Endocarditis infecciosa de válvula tricúspide nativa
Endocarditis infecciosa de válvula tricúspide nativa
Revista argentina de cardiología, vol. 91, núm. 1, pp. 94-96, 2023
Sociedad Argentina de Cardiología
Al Director:
La endocarditis infecciosa derecha es poco habitual, pero con capacidad de ser mortal. Representa 5-10% de todos los casos. Está asociada la mayoría de las veces al uso de drogas intravenosas, se presenta con menor frecuencia en pacientes con acceso venoso, dispositivos intravasculares o cardiopatías congénitas de base, y excepcionalmente en pacientes no adictos ni con malformaciones cardíacas. 1
Presentamos el caso de un paciente masculino de 58 años con hipertensión arterial y dislipidemia, y el antecedente de cirugía de reemplazo de la válvula aortica con prótesis mecánica por estenosis aortica en 2019.
Es ingresado a sala general por síndrome febril en estudio. Al examen físico cardiovascular no se detecta alteración en los ruidos cardíacos, ni signos de insuficiencia cardiaca congestiva. En el ECG: taquicardia sinusal y bloqueo aurículo ventricular de primer grado (PR 220 mseg).
En la analítica de ingreso se destacan: leucocitos 31 840/mm3 (neutrófilos 96%, linfocitos 1,7%), proteína C reactiva 58,9 mg/L (rango normal 0-5), procalcitonina 4,55 ng/mL (rango normal 0-0,1), bilirrubina total 1,33 mg/dL, indirecta 0,83 mg/dL, y directa 0,50 mg/dL.
Durante la internación se detecta en hemocultivos Staphilococcus Aureus metilicilino sensible. Por sospecha de endocarditis infecciosa se realiza ecocardiograma transesofágico, en donde no se detectan vegetaciones y la válvula mecánica es normofuncionante. Al cuarto día de antibióticos se toman nuevos hemocultivos, sin desarrollo de crecimiento bacteriano, y al décimo día se realiza nuevamente ecocardiograma transesofágico, sin observarse vegetaciones en válvulas cardiacas, razón por la cual se descarta endocarditis infecciosa. El paciente cumple 14 días de antibióticos endovenosos y posteriormente recibe el alta.
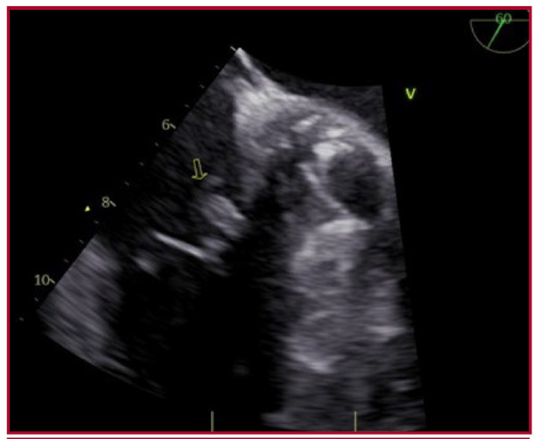
A la semana reingresa por fiebre y decaimiento general; se constata mayor prolongación del intervalo PR en el ECG, de 270 mseg (Figura 1A). En la analítica: leucocitos 11 870/mm3 (neutrófilos 87%, linfocitos 4,7%), proteína C reactiva 25,6 mg/L, procalcitonina 0,19 ng/mL, eritrosedimentación 32 mm/h. Se toman nuevos hemocultivos, donde se aísla Staphilococcus Aureus metilicilino sensible. Se realiza ecocardiografía transtorácica, que revela imagen con movilidad independiente a nivel de la válvula tricúspide, de 0,6 cm x 0,6 cm. Se corrobora en el ecocardiograma transesofágico (ETE) una vegetación de 0,9 cm por 0,6 cm a nivel de la valva septal, insuficiencia tricuspídea leve y válvula protésica normofuncionante (Figura 2).
Se decide tratamiento conservador con cefazolina endovenosa por 6 semanas. El bloqueo AV de primer grado mejora a la quinta semana de antibiótico (Figura 1B). Se efectúa ecocardiograma transtorácico de control a la segunda y sexta semana de tratamiento, que no evidencia vegetación en la válvula tricúspide.


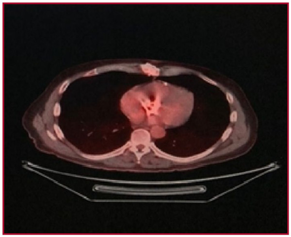
Por sospecha de afectación de la válvula protésica se realiza de forma ambulatoria tomografía por emisión de positrones/tomografía computarizada (PET /TC) que evidencia moderada captación difusa del radiotrazador en la topografía del reemplazo valvular aórtico, lo cual en ausencia de foco hipercaptante dominante y SUV max 3,5 sugiere ausencia de proceso infeccioso activo (Figura 3).

La endocarditis infecciosa derecha es usual en adictos a drogas de uso parenteral y malformaciones cardiacas; es una patología potencialmente grave, con una mortalidad que fluctúa entre el 23 y el 31 %. La endocarditis izquierda y derecha, simultánea, se presentan en un 13%, y la derecha por sí sola en un 10%. 1) (2
La endocarditis de la válvula tricúspide nativa aislada (EITNA) suele darse de forma espontánea, sin un precedente evidente de procedimientos dentales o quirúrgicos; sin embargo, la piel suele ser la puerta de entrada más frecuente (sobre todo en el caso de S. Aureus). En este caso clínico no se pudo identificar el factor predisponente. El agente infeccioso más frecuentemente aislado es Staphylococcus aureus (70% de los casos), seguidos por Streptococcus y Enterococcus.3
En relación con la presentación clínica, constantemente aparece fiebre persistente ligada a fenómenos pulmonares, anemia y microhematuria (síndrome tricuspídeo de Nandakumar y Raju). Además, se resalta la ausencia de estigmas periféricos de endocarditis y de soplos cardíacos destacables en la mayoría de los pacientes. 4
Si la fiebre es prolongada (si permanece luego de 2 semanas de tratamiento antibiótico adecuado) suele asociarse a extensión perivalvular de la infección, a nuevas embolizaciones sépticas o a infección nosocomial sobreagregada. El cuadro clínico, la positividad en los hemocultivos y la ecocardiografía, son los instrumentos diagnósticos fundamentales en la EITNA. 4
La utilidad de la PET/TC es relevantemente mayor en la endocarditis de válvula protésica que en la endocarditis infecciosa de válvula nativa, y es una excelente alternativa, en caso de estudios ecográficos negativos o dudosos. La integración de la PET/TC como una herramienta diagnóstica en la endocarditis, permite reclasificar al 76% de los pacientes con endocarditis infecciosa válvula protésica de “posible” a “definitiva” 5
En lo referente al tratamiento, el 80 % de pacientes con EITNA consiguen ser tratados de manera exitosa con terapia médica. Sin embargo, se aconseja realizar cirugía en casos de infección no controlada o insuficiencia cardíaca derecha con insuficiencia tricúspidea refractaria al tratamiento. El tratamiento quirúrgico repara la disfunción valvular y elimina el foco infeccioso, razón por la cual su aporte es valioso para disminuir la mortalidad asociada a la insuficiencia cardíaca 6
En relación con el pronóstico con el tratamiento médico (antibiótico) se consigue una elevada tasa de éxito, la instauración de la insuficiencia cardíaca es infrecuente y solo el 25% de los casos precisan recambio valvular o cirugía. 1. La mortalidad en la EITNA es menor que la declarada para la endocarditis con condición predisponente. 6
Este caso nos indica la necesidad de tener en cuenta la EITNA, su presentación clínica, tratamiento y pronostico, así como la utilidad del PET/TC para confirmar la afectación valvular protésica.
BIBLIOGRAFÍA
Zaldívar AÁ, Cardoso AA, Ramon RD. Endocarditis Infecciosa Derecha. Presentación de un caso. Rev Cub Cardiol Cirug Cardiovasc 2019;25(4).
Pérez Domínguez JA, Aguilar Almaguer O, González Céspedes JC, Escandell Reyes A, Leyva Castro R, Rodríguez Peña MM. Complicaciones sistémicas en endocarditis infecciosa de válvula tricúspide. Multimed 2019;23:543-51.
Salamanca MA. Endocarditis tricuspídea secundaria a infección asociada a catéter venoso central. Reporte de dos casos. In Anales de la Facultad de Medicina 2020;81:330-32. UNMSM. Facultad de Medicina.
Alkan G, Emiroglu M, Sert A, Kartal A, Öc M. Endocarditis infecciosa de la válvula tricúspide asociada con meningitis aséptica: presentación infrecuente en una niña. Arch Argent Pediatr 2020:e22-e25.
Ladrón-de-Guevara H, Canelo L, Bitar H, Ramón Soto J. Imágenes en endocarditis infecciosa: No todo es ecocardiografía. Rev Chil infectol, 2021;38:260-70.
Álvarez F, Torrez J, Galleguillos G, Saavedra J. Endocarditis infecciosa cámaras derechas. Reporte de un caso. Rev Chil Anest 2021;50.
Notas
Notas de autor
Dirección para separatas: Servicio de Cardiología. Sanatorio Adventista del Plata, Entre Ríos, Argentina - E-mail: manu2792@hotmail.com
Declaración de intereses