IMÁGENES EN CARDIOLOGÍA
Trombos en ambas aurículas en paciente con fibrilación auricular detectados por tomografía cardiovascular
Thrombi in both atria detected by cardiovascular tomography in a patient with atrial fibrillation
Trombos en ambas aurículas en paciente con fibrilación auricular detectados por tomografía cardiovascular
Revista argentina de cardiología, vol. 91, núm. 4, pp. 302-303, 2023
Sociedad Argentina de Cardiología
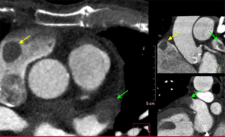
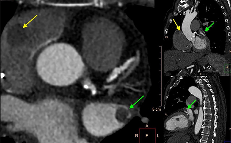
Paciente de sexo femenino de 84 años con antecedentes de hipertensión arterial, diabetes, accidente cerebrovascular y fibrilación auricular en tratamiento anticoagulante con acenocumarol. Presenta estenosis aórtica grave (gradientes pico 74 mmHg, medio 44 mmHg, área 0,6 cm2) con función ventricular izquierda global deprimida en grado moderado. Se realiza tomografía cardiovascular como planificación de implante percutáneo de válvula aórtica (TAVI).
En el estudio se observan defectos de relleno de contraste en fases precoces y tardías en el techo de la aurícula derecha próximo a la orejuela y en orejuela auricular izquierda, compatibles con trombos (Figuras 1 y 2).


La trombosis de la orejuela izquierda es un hallazgo frecuente en fibrilación auricular, cuya prevalencia (hasta 8% con tratamiento anticoagulante y 5-27% sin tratamiento anticoagulante) depende en gran medida de la población estudiada. Sin embargo, la trombosis de la orejuela derecha es infrecuente (se estima su prevalencia en 0,6-0,75%), posiblemente por menor incidencia dada la anatomía de la misma (más abierta y con menor potencialidad de rémora que la izquierda) pero también por menor búsqueda sistemática y dificultades en la evaluación de dicha estructura. 1 Sin embargo, estudios de autopsia sugieren que la prevalencia de trombosis entre ambas aurículas es similar. 2
La tomografía cardiovascular es un excelente instrumento para evaluar trombosis auricular, que se observa como una estructura definida con bordes netos, que genera defectos de relleno del contraste tanto en fases precoces como tardías luego de la infusión del mismo (para distinguirlo de los fenómenos de rémora, que pueden tener defectos precoces que corrigen en fases tardías). Tiene una elevada sensibilidad y especificidad para detección de trombos en aurícula izquierda. 3 Sin embargo, no siempre es sencillo lograr un adecuado contraste de las cavidades derechas y particularmente la orejuela derecha, en especial en estudios dirigidos a evaluar “estructuras izquierdas” (coronarias, venas pulmonares, válvulas), por lo que una trombosis auricular derecha puede pasar desapercibida. La baja señal en unidades Hounsfield en la tomografía no contrastada o el ratio de las unidades Hounsfield entre trombo y la aorta utilizando equipos de doble fuente 4 pueden ayudar a la identificación de la trombosis auricular mediante tomografía cardiovascular.
BIBLIOGRAFÍA
García-Fernández MÁ, Cresti A. Right Atrial Appendage Thrombus: "Can Be Found if You Look for It." JACC Case Rep. 2023;5:101702. doi: 10.1016/j.jaccas.2022.101702
Richardson AC, Omar M, Velarde G, Missov E, Percy R, Sattiraju S. Right Atrial Appendage Thrombus in Atrial Fibrillation: A Case Report and Review of the Literature. J Investig Med High Impact Case Rep. 2021;9:23247096211010050. doi: 10.1177/23247096211010048
Pathan F, Hecht H, Narula J, Marwick TH. Roles of Transesophageal Echocardiography and Cardiac Computed Tomography for Evaluation of Left Atrial Thrombus and Associated Pathology: A Review and Critical Analysis. JACC Cardiovasc Imaging. 2018;11:616-27. doi: 10.1016/j.jcmg.2017.12.019
Li W, Liu M, Yu F, Zhu W, Yu X, Guo X, Yang Q. Detection of left atrial appendage thrombus by dual-energy computed tomography-derived imaging biomarkers in patients with atrial fibrillation. Front Cardiovasc Med. 202222;9:809688. doi: 10.3389/fcvm.2022.809688
Notas de autor
Declaración de intereses