CARTAS CIENTÍFICAS
Del paro al ECMO en el tromboembolismo de pulmón: trabajo entre hospitales.
Del paro al ECMO en el tromboembolismo de pulmón: trabajo entre hospitales.
Revista argentina de cardiología, vol. 91, núm. 4, pp. 305-307, 2023
Sociedad Argentina de Cardiología
El tromboembolismo de pulmón (TEP) es una entidad prevalente que compromete un gran espectro de pacientes, con amplio rango de edades y comorbilidades. Puede afectar a pacientes jóvenes sin comorbilidades relevantes, y causar un gran impacto en términos de morbimortalidad. El TEP de alto riesgo es el que reviste mayor mortalidad, sobre todo en aquellos que se presentan con paro cardiorrespiratorio (PCR). Además es un porcentaje significativo el de los pacientes que manifiestan síntomas de gravedad o descompensación hemodinámica a su ingreso o durante su evolución. La estrategia indicada en estos pacientes es la reperfusión inmediata. Lo más respaldado en la actualidad es la trombolisis sistémica, dejando al tratamiento quirúrgico (ya sea embolectomía quirúrgica o la asistencia con oxigenación por membrana extracorpórea venoarterial (ECMO V-A) como una segunda opción, cuando el tratamiento médico falla o está contraindicado. Sin embargo, existen datos de centros con experiencia que sugieren que las técnicas quirúrgicas son seguras y efectivas. A continuación se presenta un caso clínico acerca de un paciente con TEP masivo y PCR, donde se lleva a cabo trabajo entre dos centros en pos de asistencia ventricular como terapia de rescate.
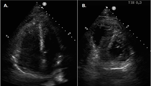
Se presenta el caso de un paciente masculino de 39 años, sin factores de riesgo ni antecedentes cardiovasculares, que como otros antecedentes refiere haberse sometido a una cirugía de tendón de Aquiles 45 días previos a la consulta. Concurre al Servicio de Urgencias por haber presentado en su domicilio un episodio de disnea súbita asociado a síncope sin pródromos con traumatismo craneoencefálico (TEC) Durante su estadía en Guardia presenta nuevo episodio sincopal. Se realiza un ecocardiograma transtorácico (ETT) Doppler (Figura 1) con evidencia de dilatación de cavidades derechas; por lo que, asociado al antecedente reciente de cirugía traumatológica, se sospecha TEP. Rápidamente evoluciona con PCR, por lo que se realizan maniobras de reanimación cardiopulmonar avanzadas y se decide, debido a antecedente de TEC, instaurar tratamiento percutáneo con tromboaspiración y trombolíticos locales. El paciente evoluciona con inestabilidad hemodinámica por lo que, tras descartar hemorragia intracraneal con tomografía, se administran trombolíticos sistémicos, a pesar de lo cual el paciente persiste con shock refractario a dosis máximas de drogas vasoactivas. Se establece contacto con Centro de Alta Complejidad y se activa el equipo de ECMO móvil. El paciente es asistido con ECMO venoarterial en el centro de origen una vez corregida la coagulopatía y posteriormente se traslada al Centro de Alta Complejidad. El paciente ingresa inestable hemodinámicamente, en asistencia ventricular y respiratoria, con requerimiento de dosis máximas de noradrenalina, vasopresina y milrinona; presenta en laboratorio injuria renal y hepática agudas, acidosis metabólica con hiperlactacidemia y coagulopatía marcada. Los valores de troponina T ultrasensible y de NT-proBNP al ingreso son 6700 ng/L y 480 pg./ mL respectivamente. El electrocardiograma (Figura 2) evidencia taquicardia sinusal y la radiografía de tórax, cardiomegalia y signos francos de redistribución de flujo bilateral. Durante las primeras 24 horas el paciente persiste con shock mixto (interpretado como cardiogénico y vasopléjico) con requerimiento de drogas vasoactivas, falla multiorgánica y coagulopatía marcada; se establecen cuidados postparo, sostén hemodinámico, corrección del medio interno, bajo asistencia ventricular. Tras corregir valores críticos de fibrinógeno se instaura tratamiento anticoagulante con heparina sódica en infusión continua, ajustado a valores de anti Factor Xa. Evoluciona con descenso de drogas vasoactivas, mejoría de la función ventricular derecha por ETT por lo que a las 72 horas se realiza prueba de weaning de la ECMO que resulta favorable y se decide retirar asistencia circulatoria sin complicaciones. El paciente permanece bajo intubación orotraqueal, con respuesta neurológica intacta y buen volumen urinario con respuesta a diuréticos endovenosos (a pesar de valores séricos de creatinina en ascenso con pico de 10 mg/dL, pero sin requerimiento de hemodiálisis); por lo que al séptimo día de su ingreso la extubación es exitosa. Realiza rehabilitación kinésica motora y respiratoria exhaustiva posterior; se descarta síndrome antifosfolipídico y otras trombofilias; realiza balance negativo con diuresis forzada a expensas de furosemida con buena respuesta, por lo que retorna a su centro de origen para continuar con la rehabilitación en sala general, con un ECG con evidencia de aumento de los voltajes (Figura 2) y un ETT con función biventricular completamente normalizada.


El TEP es una condición potencialmente mortal, por lo que se trata de una urgencia cardiovascular, con una incidencia anual de 70 casos por cada 100000 habitantes.1 Se trata de la tercera causa de muerte cardiovascular, detrás del infarto de miocardio y accidente cerebrovascular.2) (3 La mortalidad de la embolia pulmonar masiva ronda el 30% mientras que en aquéllos que experimentan paro cardiorrespiratorio puede ser cercana al 95%. 4 Las guías de práctica clínica actuales recomiendan la terapia de reperfusión inmediata en pacientes con TEP de alto riesgo: en los pacientes con descompensación hemodinámica se recomienda trombolisis sistémica, dejando en un segundo lugar los métodos invasivos (embolectomía quirúrgica o percutánea o asistencia ventricular) cuando el primero está contraindicado o falla.5 Sin embargo en centros de alta complejidad con amplia experiencia en métodos quirúrgicos (embolectomía y ECMO V-A), con la implementación de los mismos, se ha visto disminuida drásticamente la mortalidad en los pacientes con TEP masivo, incluyendo aquellos que han experimentado paro cardiorrespiratorio, a los cuales se indica asistencia con ECMO con mortalidad cercana al 25%. 2) (3 Por lo tanto, en un medio como el nuestro, se torna fundamental la formación de equipos multidisciplinarios y multicéntricos, que permitan, en primer lugar, la detección precoz de los pacientes con TEP de alto riesgo para en un segundo lugar, establecer estrategias de actuación acorde a cada paciente, como ser la derivación a centros de alta complejidad y experiencia, y en caso de ser candidatos, poder llevar a cabo asistencia ventricular o embolectomía quirúrgica cuando esté indicada. De esta manera, generando redes interhospitalarias, de rápida identificación y respuesta, podría verse disminuida la alta morbimortalidad que presenta este subgrupo de alto riesgo. Por otro lado, cabe la reflexión de un cambio de paradigma en el manejo de estos pacientes, ya que las técnicas quirúrgicas en centros donde éstas están desarrolladas podrían implementarse como terapia inicial, en lugar de terapia de rescate como ocurre actualmente, consiguiendo así un impacto favorable en la evolución de estos pacientes. Podría tratarse de directivas futuras a nivel mundial, que en nuestro medio impresionan no ser aún reproducibles; sin embargo, con la potencial existencia de centros de referencia que centralicen las derivaciones de centros circundantes de pacientes con requerimiento de terapia quirúrgica de rescate, podría en un futuro implementarse como terapia inicial de acuerdo con la experiencia.
BIBLIOGRAFÍA
Ubaldini J, Bilbao J, Spennato Mario C, Bonorino J, Flores LA, Kenar M, et al. Consenso de Enfermedad Tromboembólica Aguda. JE Ubaldini, et al. Rev Argent Cardiol 2016;84:74-91. doi: 10.7775/rac.es.v84.i1.7739.
Goldberg JB, Giri J, Kobayashi T, Ruel M, Mittnacht AJC, Rivera-Lebron B, et al. Surgical Management and Mechanical Circulatory Support in High-Risk Pulmonary Embolisms: Historical Context, Current Status, and Future Directions: A Scientific Statement From the American Heart Association. Circulation 2023;147:e628-47. Doi: 10.1161/CIR.0000000000001117
Goldberg JB, Spevack DM, Ahsan S, Rochlani Y, Dutta T, Ohira S. Survival and Right Ventricular Function After Surgical Management of Acute Pulmonary Embolism. J Am Coll Cardiol 2020;76:903-11. doi: 10.1016/j.jacc.2020.06.065
Laher AE, Richards G. Cardiac arrest due to pulmonary embolism. Indian Heart J 2018;70:731-5. doi: 10.1016/j.ihj.2018.01.014
Konstantinides SV, Meyer G, Becattini C, Bueno H, Geersing GJ, Harjola VP, et al. 2019 ESC Guidelines for the diagnosis and management of acute pulmonary embolism developed in collaboration with the European Respiratory Society (ERS). Eur Heart J 2020;41:543-603. doi: 10.1093/eurheartj/ehz405
Notas
Declaración de intereses