CARTAS CIENTÍFICAS
Espondiloartropatía inflamatoria como única manifestación del mixoma auricular izquierdo
Espondiloartropatía inflamatoria como única manifestación del mixoma auricular izquierdo
Revista argentina de cardiología, vol. 91, núm. 2, pp. 160-162, 2023
Sociedad Argentina de Cardiología
Los tumores cardíacos son infrecuentes. Su incidencia es de 0,002%. Pueden originarse en el miocardio o en el pericardio, son primarios y secundarios, estos últimos 20 veces más frecuentes. 1
Las neoplasias primarias cardíacas son poco comunes: representan un 0,25%. El 75% son benignas e incluyen mixomas, rabdomiomas, fibromas y lipomas. 2
El mixoma auricular es el tumor cardíaco benigno más frecuente. Un 75% se origina en la aurícula izquierda, un 20% en la aurícula derecha y el 5% restante en los ventrículos. 1 Clínicamente los mixomas pueden ser asintomáticos y hallarse incidentalmente, o bien ocasionar sintomatología variada que depende de su ubicación, tamaño y movilidad. La triada sintomática clásica incluye manifestaciones sistémicas (pérdida de peso, fatiga, fiebre), cardíacas (arritmias, insuficiencia mitral o tricúspidea por interferir en la coaptación valvular, pericarditis, disnea, síncope) y fenómenos embólicos (pulmonares o sistémicos). 2 Si bien estas son las manifestaciones más frecuentes se han descripto formas de presentación atípicas.
El ecocardiograma Doppler es el método de elección para el diagnóstico y a su vez para establecer las características y repercusión hemodinámica.
Se describe a continuación el caso clínico de un mixoma auricular izquierdo de presentación atípica.
Mujer de 61 años, dislipidémica y extabaquista. Sin antecedentes cardiovasculares. Consulta por artralgias sacroilíacas de meses de evolución, por lo que se realizan determinaciones de laboratorio, que revelan eritrosedimentación (84 mm/h) y proteína C reactiva (6,2 mg/L) elevadas, sin otra alteración.
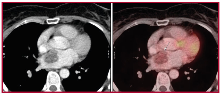
La paciente es evaluada por el servicio de Reumatología, que diagnostica espondiloartropatía inflamatoria con marcadores inflamatorios persistentemente elevados sin cumplir criterios de enfermedad reumatológica, por lo que se solicita tomografía por emisión de positrones (PET) que evidencia tumor único en aurícula izquierda (Figura 1).

Se prosigue con la realización de un ecocardiograma Doppler que evidencia imagen heterogénea redondeada en la aurícula izquierda, adherida al septum interauricular, sésil, con amplio movimiento anárquico, en contacto con la vena pulmonar superior derecha sin invadirla. Dicha imagen no interfiere con la apertura y cierre de la válvula mitral (Figura 2).

Por ello se decide realizar una tomografía que evidencia masa en la aurícula izquierda en contacto con el septum interauricular de 30 × 22 mm, de densidad heterogénea, con bordes regulares, con realce luego de la administración de contraste endovenoso, sin evidencia de invasión de venas pulmonares. Se interpreta como posible mixoma auricular, por lo que se decide resección quirúrgica. Se realiza abordaje transeptal, se reseca tumoración de 5 cm sin complicaciones y se envía muestra a Anatomía Patológica.
Se recibe resultado, que informa proliferación de células fusiformes, sin atipia, en regueros y perivasculares en medio de estroma laxo con signos de hemorragia antigua y reciente, base con escaso tejido fibroso y miocitos, compatible con mixoma.
Tras la resección quirúrgica, en el seguimiento la paciente evoluciona con mejoría de los síntomas articulares hasta su desaparición y normalización de los marcadores inflamatorios.
El mixoma representa el tumor cardíaco benigno más frecuente; es más habitual en mujeres en edad adulta, 2 tal como el caso presentado.
La localización más común es la aurícula izquierda (75%). Es un tumor intracavitario, pediculado o sésil, móvil, y suele estar adherido a través de una base de implantación al septum interauricular.
Las manifestaciones clínicas de los mixomas dependen de la localización, el tamaño y la movilidad. La tríada sintomática más frecuente incluye obstrucción intracardíaca, embolias y manifestaciones sistémicas.
Según una serie francesa de 112 casos, el 67% se presentó con insuficiencia cardíaca secundaria a obstrucción de la válvula mitral, el 29% se manifestó con embolias, las más frecuentes cerebrales, y un 34% con síntomas generales como fiebre, pérdida de peso o símil enfermedad del tejido conectivo. 3
La obstrucción intracardíaca es frecuente en los mixomas pediculados ubicados en la aurícula izquierda que protruyen hacia el ventrículo izquierdo y que producen déficit de coaptación de la válvula mitral y la consiguiente insuficiencia valvular. Si bien menos frecuente, los localizados en la aurícula derecha pueden protruir hacia la válvula tricúspidea y generar regurgitación. En ambos casos pueden manifestarse con insuficiencia cardíaca o síncope. 3
Las embolias son más frecuentes en los mixomas papilares, ya que pierden consistencia y se hacen más frágiles con el movimiento anárquico. El sitio de embolia depende de la localización del tumor. Los mixomas de la aurícula izquierda suelen embolizar al sistema nervioso, generando accidente cerebro-vascular o amaurosis. La afección de las arterias coronarias, renales o de miembros inferiores es menos frecuente. 4
Los síntomas constitucionales pueden aparecer como enfermedades del tejido conectivo, con mal estado general, pérdida de peso, anorexia y fiebre. Estas manifestaciones son más frecuentes en mujeres que en hombres y en mixomas ubicados en la aurícula derecha. 4
Se cree que las manifestaciones extra cardíacas son causadas por fenómenos embólicos e inflamación causada por la liberación de citoquinas. 5 La polimialgia reumática, manifestación que motiva a la consulta de nuestra paciente, es infrecuente. Se caracteriza por dolor muscular en articulaciones proximales y aumento de los niveles de marcadores inflamatorios en sangre, es frecuente en adultos jóvenes y afecta con mayor frecuencia a mujeres (relación 3:1). 6
El ecocardiograma Doppler es esencial para el diagnóstico de los mixomas, para definir localización, tamaño y complicaciones. Tanto la resonancia cardíaca como la tomografía multicorte cardíaca aportan información adicional para la toma de decisiones.
El tratamiento del mixoma es su extirpación por cirugía, lo que reduce el riesgo de embolia. Si bien el riesgo de recurrencias es bajo, se recomienda el seguimiento con ecocardiograma Doppler. 4
En el caso presentando la paciente debuta con manifestaciones reumatologícas con marcadores inflamatorios persistentemente elevados, por lo que se le solicitaron múltiples estudios en los que se halló incidentalmente el mixoma auricular izquierdo.
Sin dudas el mixoma sigue siendo una entidad de difícil diagnóstico. El hecho de que la mayoría sean asintomáticos o se presenten con síntomas inespecíficos hace que sea una entidad poco sospechada y en su mayoría diagnosticada incidentalmente. Es fundamental tener en cuenta las posibles manifestaciones cardiovasculares y sistémicas para así sospecharlo, diagnosticarlo y tratarlo oportunamente.
BIBLIOGRAFÍA
El Sabbagh A, Al-Hijji MA, Thaden JJ, Pislaru SV, Pislaru C, Pellikka PA, et al. Cardiac myxoma: the great mimicker. JACC Cardiovasc Imaging 2017;10:203-6. doi: 10.1016/j.jcmg.2016.06.018
Tyebally S, Chen D, Bhattacharyya S, Mughrabi A, Hussain Z, Manisty C, et al. Cardiac Tumors: JACC CardioOncology State-of-the-Art Review. JACC CardioOncol. 2020;2:293-311. doi: 10.1016/j.jaccao.2020.05.009
Pinede L, Duhaut P, Loire R. Clinical presentation of left atrial cardiac myxoma. A series of 112 consecutive cases. Medicine (Baltimore). 2001;80:159-72. doi: 10.1097/00005792-200105000-00002
Islam AKMM. Cardiac myxomas: A narrative review. World J Cardiol. 2022;14:206-19. doi: 10.4330/wjc.v14.i4.206
Macias E, Nieman E, Yomogida K, Petrucci O, Javidan C, Baszis K, et al. Rare presentation of an atrial myxoma in an adolescent patient: a case report and literature review. BMC Pediatr. 2018;18:373. doi: 10.1186/s12887-018-1313-6
Mano Y, Yoshizawa A, Itabashi Y, Ohki T, Takahashi T, Mori M, et al. Left atrial myxoma detected after an initial diagnosis of polymyalgia rheumatica. Intern Med. 2014;53:441-4. doi: 10.2169/internalmedicine.53.1300
Notas
Notas de autor