CARTAS CIENTÍFICAS
Septostomía transeptal auricular con balón en paciente con hipertensión arterial pulmonar severa y lupus eritematoso sistémico.
Septostomía transeptal auricular con balón en paciente con hipertensión arterial pulmonar severa y lupus eritematoso sistémico.
Revista argentina de cardiología, vol. 91, núm. 2, pp. 164-166, 2023
Sociedad Argentina de Cardiología
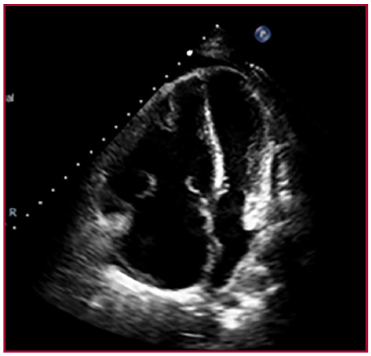
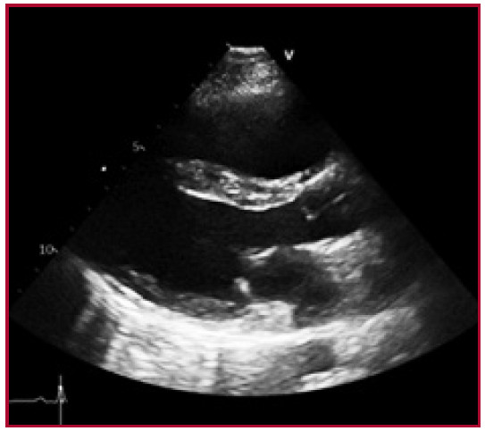
Se describe el caso de una paciente de sexo femenino de 20 años con diagnóstico previo de enfermedad mixta del tejido conectivo en 2018, sin seguimiento en los últimos 18 meses, tiroiditis de Hashimoto y bronquiectasias. Acudió a Guardia Externa por dolor abdominal, náuseas y diarrea. A su ingreso se constataron signos de insuficiencia cardíaca derecha (edemas en miembros inferiores, ingurgitación yugular sin colapso inspiratorio, reflujo hepatoyugular positivo y hepatomegalia), aumento de la intensidad del segundo ruido cardíaco a expensas del componente pulmonar, y soplo sistólico en foco tricuspídeo. El estudio diagnóstico inicial incluyó un electrocardiograma con signos de sobrecarga de cavidades derechas y bloqueo completo de rama derecha, y radiografía de tórax con aumento del segundo arco pulmonar derecho e índice cardiotorácico conservado. En el ecocardiograma Doppler se observó dilatación de cavidades derechas, disfunción grave del ventrículo derecho, insuficiencia tricuspídea grave con velocidad de regurgitación pico mayor que 4,5 metros por segundo (m/s), presión sistólica de la arteria pulmonar (PSAP) de 105 mm Hg, presión media de la arteria pulmonar (PAPm) de 55 mm Hg y derrame pericárdico leve. (Figura 1). Consecutivamente se realizó cateterismo cardíaco derecho que confirmó el diagnóstico de hipertensión arterial pulmonar (HAP) grave con presión media de aurícula derecha de 11 mm Hg, PAPm de 63 mm Hg, presión de enclavamiento pulmonar de 10 mm Hg, resistencia vascular pulmonar de 21 unidades Woods (UW), gradientes transpulmonar y diastólico de 53 mm Hg y 43 mm Hg respectivamente, gasto cardiaco (GC) de 3,20 L/min , índice cardíaco (IC) de 2,6 L/min/m2, índice de volumen sistólico (IVS) 23 ml/lat/m2, saturación venosa mixta de 65% y saturación arterial de 97%. Por falla ventricular derecha marcada, inició infusión endovenosa continua de furosemida sin respuesta favorable, soporte inotrópico con milrinona a dosis máxima que posteriormente se rotó a levosimendán 0.1 ug/kg/ min y soporte vasopresor con noradrenalina a dosis intermedias. La paciente evolucionó de forma desfavorable con signos de bajo gasto cardíaco y falla grave del ventrículo derecho. Debido a la falta de acceso inmediato a prostanoides parenterales, se realizó septostomía transeptal con balón de forma exitosa (fenestración de 5 mm) (Figura 2). La paciente presentó mejoría del estado clínico, con derivación precoz a un centro de mayor complejidad para valoración pretrasplante e inicio de infusión continua de epoprostenol endovenoso, con dosis en ascenso hasta 12 ng/kg/min, previo destete y suspensión de inotrópicos, e inicio de ambrisentán 10 mg y tadalafilo 10 mg con buena tolerancia. En el ecocardiograma Doppler control presentó dilatación moderada de cavidades derechas, PSAP de 70 mm Hg y solución de continuidad interauricular de 0,9 mm. (Figura 3) El cateterismo cardiaco evolutivo demostró descenso de la PAPm, RVP y mejoría del GC e IC (43 mm Hg, 7,3 UW, 4,8 l/min y 3,6 l/min/m2, respectivamente). Fue valorada por el servicio de Reumatología que confirmó el diagnóstico de lupus eritematoso sistémico por criterios clínicos e inmunológicos y nefritis lúpica grado II por biopsia renal.



La prevalencia de HAP en enfermedad del tejido conectivo (ETC) es elevada, principalmente en la esclerodermia y en segundo lugar en el lupus eritematoso sistémico, con un valor que ronda entre 0,5 y 17,5%, de acuerdo al método diagnóstico utilizado. 1 Esta entidad continúa presentando una elevada morbimortalidad a pesar de la evidencia observada con el tratamiento de drogas específicas, mayor comparada con la HAP idiopática (sobrevida a 1 año en la HAP por ETC 86%, vs 93% en la HAP idiopática). 2 Los pacientes que no responden al tratamiento máximo combinado, incluyendo prostanoides parenterales, deben ser referidos a trasplante bipulmonar.3 Sin embargo, muchos pacientes con HAP no son candidatos a trasplante o aguardan tiempos excesivos y fallecen antes de llegar a ser trasplantados. Es por esto que la septostomía transeptal debe ser considerada en aquellos que se encuentran en lista de trasplante bipulmonar, que no responden al esquema terapéutico máximo o en caso de que éste no sean tolerado o no estén disponible. 4 Es fundamental recordar que este procedimiento está contraindicado en caso de saturación de oxigeno arterial menor que 90%, presión en la aurícula derecha mayor que 20 mm Hg y valor de hemoglobina menor que 12 mg/dL y debe ser realizado en centros de referencia. Diversos estudios han reportado mejoría de los síntomas y de variables hemodinámicas luego de la septostomía, con descompresión del ventrículo derecho, aumento de la precarga del ventrículo izquierdo y del transporte sistémico de oxigeno sin complicaciones asociadas al procedimiento en centros con elevada experiencia. 5
Recientemente se publicó un metaanálisis de 6 estudios con 204 pacientes que observó una reducción en la presión de la aurícula derecha (p <0,001), aumento del índice cardíaco (p <0,001) y de la presión de la aurícula izquierda (p <0,001), pero con reducción significativa de la saturación de oxígeno y una mortalidad a las 48 horas y 30 días de 4,8% y 14,6%, respectivamente. 6
Estos datos sugieren que la septostomía atrial es un procedimiento invasivo y relativamente seguro en centros de experiencia y solo debe indicarse en pacientes con HAP grave en estado avanzado como puente al trasplante o cuando no hay respuesta al triple esquema que incluye un prostanoide parenteral, o en situaciones en que el tratamiento farmacológico no está disponible.
BIBLIOGRAFÍA
Tselios K, Gladman D, Urowitz M. Systemic lupus erythematosus and pulmonary arterial hypertension: links, risks, and management strategies. Open Access Rheumatol 2016;9:1-9. Doi: 10.2147/OARRR.S123549
Chung L, Liu J, Parsons L, Hassoun P, McGoon M, Badesch D, et al. Characterization of connective tissue disease-associated pulmonary arterial hypertension from REVEAL: identifying systemic sclerosis as a unique phenotype. Chest.2010;138:1383-94. doi: 10.1378/chest.10-0260
Stacel T, Latos M, Urlik M, Necki M, Antonczyk R, Hrapkowicz T Et al. Interventional and Surgical Treatments for Pulmonary Arterial Hypertension. J. Clin. Med. 2021;10:3326. doi: 10.3390/jcm10153326
Velázquez I, Albarrán A, Jiménez C, García J, Martín R y Escribano P. Septostomía auricular en el tratamiento de la hipertensión arterial pulmonar grave del adulto. Rev Esp Cardiol 2016;69:78-81. https://doi.10.1016/j.recesp.2015.09.011
Chiu JS, Zuckerman WA, Turner ME, Richmond ME, Kerstein D, Krishnan U Et al. Balloon atrial septostomy in pulmonary arterial hypertension: effect on survival and associated outcomes. J Heart Lung Transplant. 2015;34:376-80. doi: 10.1016/j.healun.2015.01.004
Khan M, MD; Memon, M; Amin E; Yamani N; Khan S; Vincent M. et al Use of Balloon Atrial Septostomy in Patients with Advanced Pulmonary Arterial Hypertension. A Systematic Review and Meta-Analysis. Chest 2019; 156:53-63. doi: 10.1016/j.ijcard.2019.02.051
Notas
Notas de autor
Dirección para separatas:Guillermina Sorasio - Tel 1156639403- guillerminasorasio@gmail.com
Declaración de intereses