CARTAS CIENTÍFICAS
El accidente cerebrovascular (ACV) posterior acompañado de isquemia arterial de miembro superior es una asociación infrecuente como forma de presentación clínica. Sus causas pueden ser embolia, disección aortica, trauma vascular, el síndrome de opérculo torácico, trastornos de la coagulación y, menos común, la trombosis arterial subclavia.
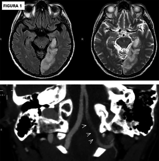
Se presenta un varón de 59 años, extabaquista (40 pack/year), hipertenso y dislipidémico, que presentó un trastorno de la marcha de 2 semanas de evolución y relató un registro de hipotensión arterial en el miembro superior izquierdo. En consulta con su médico laboral se constató afasia de expresión, hemianopsia temporal derecha e inestabilidad de la marcha, y se decidió su internación. En el electrocardiograma se constató ritmo sinusal; en el ecocardiograma, función sistólica ventricular izquierda conservada, sin shunt intracavitario ni trombos intraluminales. En el eco Doppler de vasos de cuello: ateromas subintimales carotídeos sin hallazgos hemodinámicamente significativos, con flujo de muy baja velocidad en la arteria vertebral izquierda. La tomografía axial computada (TAC) de cerebro reveló áreas hipodensas en la sustancia blanca bifrontoparietales. La angioresonancia magnética nuclear de cerebro evidenció una lesión isquémica aguda temporo-occipital izquierda en territorio de la arteria cerebral posterior izquierda, con ausencia de flujo en el segmento intracraneal de la arterial vertebral. (Figura 1)

RMN: resonancia magnética nuclear
Al segundo día el paciente refirió parestesias en el miembro superior izquierdo, se detectó disminución de la temperatura con ausencia de pulsos humeral, radial y cubital.
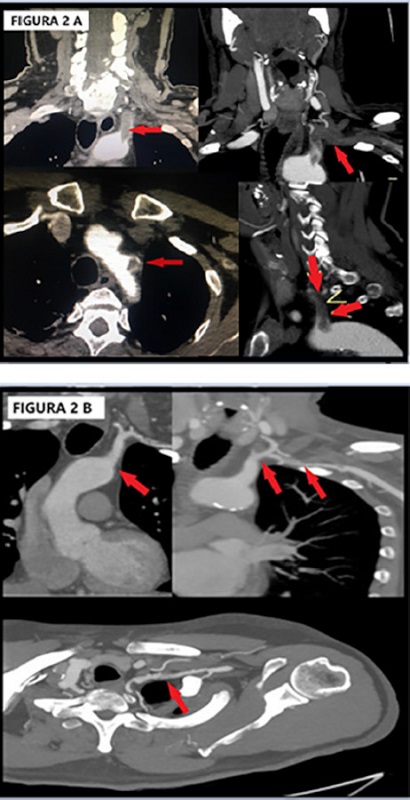
El eco Doppler arterial del miembro superior izquierdo mostró flujo monofásico de muy baja velocidad y resistencia en las arterias humeral, radial y cubital, con trombosis arterial subclavia. Se descartó disección aortica y síndrome de opérculo torácico por angiotomografía de vasos de cuello y cayado aórtico, que mostró trombosis completa arterial subclavia izquierda desde su origen, con parte del trombo intraaórtico, y alteración de la tinción de la arteria vertebral homolateral en segmento intraóseo e intracraneal (Figura 2A).

En la TAC de tórax, abdomen y pelvis: enfisema pulmonar bilateral. En el laboratorio: plaquetas 373.000 mil/mm3, dímero D y anticuerpos antifosfolípidos IgG e IgM normal, Inhibidor Lúpico negativo, homocisteína normal, anticuerpos anti Beta 2 Glicoproteína IgG e IgM negativo. Proteína C: 108%, Proteína S libre: 66%. En el electrocardiograma Holter de 24hs: ritmo sinusal predominante, sin extrasístoles ventriculares ni supraventriculares. Al 4to día la resonancia magnética nuclear (RMN) de cerebro de control no evidenció trasformación hemorrágica de la lesión temporo-occipital.
Por la trombosis completa arterial subclavia izquierda con extensión intraaórtica asociada a accidente cerebrovascular posterior isquémico, se descartó el tratamiento endovascular o quirúrgico por el alto riesgo de complicaciones embolicas sistémicas y se decidió anticoagulación con heparina sódica por bomba de infusión continua, bajo estricto control neurológico y posterior rotación a acenocumarol vía oral. Al día 10 se fue de alta sin complicaciones neurológicas, ni isquémicas en el miembro superior. Al año se suspendió la anticoagulación debido a hematuria y hematemesis reiteradas, y continuó con clopidogrel y cilostazol vía oral. El último control a los 3 años por angiotomografía evidenció recanalización parcial de la trombosis subclavia, con desaparición total del trombo intraaórtico en el ostium subclavio. (Figura 2B)
El paciente se encuentra asintomático, con recuperación de pulso humeral; se repitieron estudios de trombofilia que fueron negativos.
El 20-25% de los ACV ocurren en el sistema de circulación posterior (arteria cerebral posterior, basilar y vertebral) y pueden comprometer el tronco encefálico, cerebelo, tálamo y/o la región temporo-occipital. Caplan et. al describieron la embolia como el mecanismo más frecuente de ACV posterior (40-54%), principalmente de origen cardíaco (24% de los casos), mientras que la embolia arterio-arterial solo se informó en el 14%. 1 Otros mecanismos son las lesiones ateroscleróticas de las grandes arterias, oclusión de vasos pequeños, y causas raras como trastornos de la coagulación o ateroembolia carotídea asociada al origen fetal de la arteria cerebral posterior. Debido a la amplia área cerebral irrigada por el sistema arterial vertebrobasilar, los accidentes isquémicos en este territorio dan variados signos y síntomas. Los signos más frecuentes son ataxia de la marcha, debilidad unilateral de una extremidad, disartria, nistagmo y defectos en el campo visual, mientras que los síntomas referidos suelen ser vértigo, mareos, náuseas y vómitos, dolor de cabeza y alteración de la conciencia.
La trombosis de la arteria subclavia ocurre debido a daño en la íntima de la pared del vaso; la aterosclerosis es la etiología más frecuente, y se localiza más en las áreas carótido-subclavia derecha y subclavio-vertebral izquierda, por lo que estas regiones suelen estar involucradas en la trombosis oclusiva. Los factores de riesgo para aterosclerosis subclavia son la hipertensión arterial, el tabaquismo, la diabetes, la obesidad y la dislipidemia. 2 La trombosis de la arteria subclavia se presenta en menos del 1% de la población y en general es asintomática, por lo que es una patología subdiagnosticada. La trombosis subclavia izquierda es cuatro veces más común que la derecha. 2
La aparición de síntomas isquémicos por disminución del flujo arterial debido a la trombosis arterial subclavia está condicionada a la presencia o no de circulación colateral, y las manifestaciones clínicas más frecuentes incluyen la claudicación intermitente y parestesias en el miembro superior. Las complicaciones de la trombosis arterial subclavia son la gangrena isquémica del miembro superior, principalmente digital, la isquemia arterial aguda del miembro y rara vez el ACV isquémico posterior. La patogenia de estos infartos en territorio vertebro-basilar se debería a una embolia arterio-arterial o a la propagación “retrograda” a la arteria vertebral a partir de una trombosis arterial subclavia homolateral. 3),(4
Otras causas descriptas de trombosis arterial subclavia asociadas a ACV posterior son los estados de hipercoagulabilidad (déficit de Proteína S, trombocitemia esencial, etc.), la disección aórtica, el trauma arterial, la embolia cardiaca y el síndrome de opérculo torácico con compromiso arterial (SOT arterial), que se caracteriza por una enfermedad de la arteria subclavia debida a compresión por anomalías óseas como una costilla cervical, con lesión de la íntima con o sin dilatación post-estenótica y formación de trombos propensos a embolización distal, que genera complicaciones graves como la isquemia arterial de la extremidad superior y más infrecuentemente un ACV posterior isquémico. 3)(4)(5)(6
Castillo Costa y col. reportaron un caso de ACV posterior con isquemia de miembro superior por trombosis de la aorta estructuralmente sana con embolia sistémica. 7
La angiotomografía del cayado de la aorta y el miembro superior comprometido permite confirmar el diagnóstico de trombosis arterial subclavia como posible fuente embolígena en pacientes con ACV posterior, así como identificar algunas de sus causas (aterosclerótica, SOT arterial, disección, traumática, etc.)
El tratamiento de la trombosis arterial subclavia en pacientes complicados con un ACV posterior dependerá del grado de isquemia del miembro superior y de la patología vascular que la originó. En líneas generales, las intervenciones terapéuticas endovasculares o quirúrgicas (embolectomía o el tratamiento descompresivo con revascularización en el SOT arterial) solo están indicadas en pacientes que presentan su miembro superior amenazado, debido al riesgo de embolización sistémica que existe durante la intervención. 3)(4 El tratamiento anticoagulante mediante infusión endovenosa inicial de heparina sódica y posterior anticoagulación oral es una terapéutica efectiva descripta para pacientes con trombosis arterial subclavia y ACV posterior que cursa con una isquemia del miembro superior compensada para evitar la progresión de la trombosis arterial y su cuadro clínico. 2)(5)(6
En resumen, el ACV isquémico posterior es una complicación infrecuente de la trombosis arterial subclavia, que debe sospecharse en pacientes con infartos del territorio vertebro-basilar y ausencia de pulso arterial en el miembro superior homolateral. Su diagnóstico puede confirmarse por angiotomografía.
BIBLIOGRAFIA
Caplan L, Chung CS, Wityk R, Glass T, Tapia J, Pazdera L, et al. New England medical center posterior circulation stroke registry: I. Methods, data base, distribution of brain lesions, stroke mechanisms, and outcomes. J Clin Neurol 2005;1:14-30. doi: 10.3988/jcn.2005.1.1.14
Hassan SA, Akhtar A, Falah NU, Khan M, Zahra U. A Case of Subclavian Artery Thrombosis. Cureus 2020;12:e6842. Doi: 10.7759/cureus.6842
Vemuri C, McLaughlin LN, Abuirqeba AA, Thompson RW. Clinical presentation and management of arterial thoracic outlet syndrome. J Vasc Surg 2017;65:1429-9. doi: 10.1016/j.jvs.2016.11.039
Baek JH, Shin DH, Kang CK, Lee YB. Distal subclavian artery occlusion causing multiple cerebral infarcts consequence of retrograde flow of a thrombus? J Cerebrovasc Endovasc Neurosurg 2013; 15:221-4. doi: 10.7461/jcen.2013.15.3.221
Kumar KR, Kiley M. Essential thrombocythaemia presenting with subclavian artery thrombosis and multiple embolic events. BMJ Case Rep. 2009;2009:bcr11.2008.1240. Doi: 10.1136/bcr.11.2008.1240
Chavali S, Shukla U, Chauta S. Traumatic subclavian arterial thrombosis presenting with cerebral infarct--a case report. Heart, Lung & Circulation. 2014;23:e202-6. Doi: 10.1016/j.hlc.2014.04.254
Castillo Costa Y, Delfino F, Mauro V, Barsotti A, Saltos F, Barrero C. Trombosis de aorta estructuralmente sana con embolia sistémica.
Notas
Declaración de intereses