CARTA CIENTÍFICA
Detección de tromboembolismo pulmonar e infarto de miocardio por medio de densidad de electrones sin contraste
Non-Contrast Electron Density Detection of Pulmonary Thromboembolism and Myocardial Infarction
Detección de tromboembolismo pulmonar e infarto de miocardio por medio de densidad de electrones sin contraste
Revista argentina de cardiología, vol. 92, núm. 1, pp. 81-83, 2024
Sociedad Argentina de Cardiología
La mayoría de las investigaciones sobre tomografía computarizada (TC) espectral se han relacionado con su capacidad para mejorar la caracterización de tejidos en imágenes realzadas con contraste, mientras que estudios preliminares estimaban su utilidad para la caracterización de tejidos en exámenes no contrastados. 1,2
La TC espectral de doble capa permite la estimación directa de la densidad de electrones (DE) del tejido basado en vóxeles (del inglés volumetric pixel, la unidad mínima procesable de una matriz tridimensional, el equivalente del píxel en un objeto 2D) sin modificación de los protocolos de adquisición. 3 Estudios previos han sugerido una mejor caracterización tisular con la utilización de imágenes de DE. 4
Se presenta el caso de un paciente internado con ataque cerebrovascular isquémico agudo, cuya TC para descartar un origen embólico cardíaco identificó la presencia de tromboembolismo pulmonar e infarto de miocardio, los cuales fueron corroborados utilizando exploración de calcio coronario sin contraste.
Se trata de un paciente masculino de 66 años, con hipertensión arterial y diabetes tipo 2 como factores de riesgo coronario, y antecedentes de cirugía de bypass coronario (arteria mamaria interna izquierda a la arteria coronaria descendente anterior) hace 17 años. Se presentó en la clínica con hemianopsia derecha 30 horas luego del comienzo de los síntomas (NIHSS 2). Su presión arterial era normal (129/85 mmHg) y el pulso era regular (77 lpm). Se realizó una resonancia magnética cerebral, que demostró lesión temporooccipital isquémica aguda, con oclusión del segmento P2 de la arteria cerebral posterior, fuera de la ventana terapéutica para un tratamiento agudo.
Cinco días antes había sido admitido en otra institución debido a infarto de miocardio sin elevación del segmento ST, y luego de ser sometido a revascularización coronaria percutánea con colocación de un stent en la arteria circunfleja izquierda fue dado de alta sin complicaciones.
En el momento de su internación, la medicación diaria incluía aspirina 100 mg, clopidogrel 75 mg, bisoprolol 2,5 mg, dapaglifozina 10 mg y rosuvastatina 20 mg.
El ECG mostró ritmo sinusal, con onda T negativa en derivaciones DIII y aVF. La determinación de troponina arrojó un primer valor de 500 ng/mL, y luego valores menores.
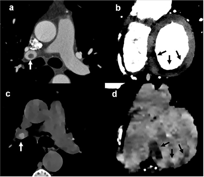
Se efectuó un ecocardiograma transtorácico, que indicó función global ventricular izquierda preservada (fracción de eyección ventricular izquierda 58%) con hipocinesia inferior e inferolateral. Se solicitó una TC (Escáner IQon Spectral, Philips Healthcare, Países Bajos) para descartar un origen embólico (Figura 1). Las imágenes realzadas mediante contraste identificaron la presencia de tromboembolismo pulmonar (Figura 1, panel a, flecha) y un marcado defecto de perfusión de la pared ventricular izquierda basal inferior (Figura 1, panel b, flechas). Se detectó un stent permeable en la arteria circunfleja izquierda, a la vez que se identificó una lesión irregular grave en la arteria coronaria derecha (grande y dominante) distal (Figura 2). Es de destacar que utilizando imágenes de DE, el score de calcio coronario sin contraste (colimación 32 × 0,625, espesor 2,5 mm, 120 kV, 80 mAs, velocidad de rotación 0,33 segundos, gatillado al 75% del intervalo RR), permitió detectar tanto el tromboembolismo pulmonar

(Figura 1, panel c, flecha) como el infarto de miocardio basal inferior (Figura 1, panel d, flechas). El valor de DE medido en el área de alta densidad correspondiente al trombo pulmonar fue de 107,8 % EDW (porcentaje medio de DE relativo al agua), en comparación con valores de 104, 3 % EDW en el tronco de la arteria pulmonar y de 103,9 % EDW en la aorta ascendente. El valor de DE medido en el área de baja densidad correspondiente al infarto de miocardio fue de 101,9 %EDW, en comparación con valores de 104 % EDW en el miocardio remoto.
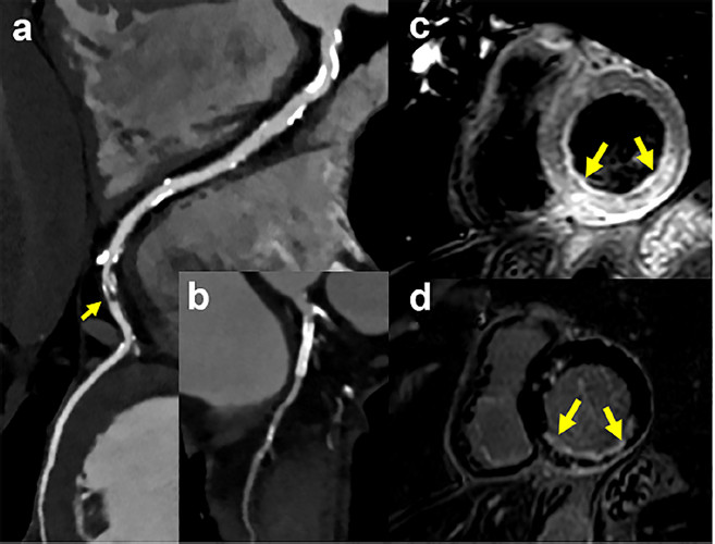
La resonancia magnética cardíaca confirmó los hallazgos (Figura 2) mostrando edema miocárdico transmural utilizando imágenes ponderadas en T2, y un infarto subendocárdico inferior.

El caso fue interpretado como un ataque cerebrovascular isquémico en el contexto de un infarto agudo de miocardio. Dada la presencia de tromboembolismo pulmonar, el paciente recibió enoxaparina 60 dos veces al día durante 7 días y posteriormente apixaban oral 5 mg dos veces al día. El paciente evolucionó de manera estable y fue dado de alta.
La evaluación del infarto agudo de miocardio y el tromboembolismo pulmonar requiere estudios contrastados con contraste. A pesar de que la TC de doble energía mejora la caracterización del tejido, con un valor incremental en diversas situaciones clínicas que involucran especialmente imágenes cardiotorácicas, la mayor parte de las investigaciones acerca de la TC de doble energía trata sobre la capacidad de mapas de densidad de yodo e imágenes de baja monoenergía para optimizar la discriminación de tejidos. Por el contrario, el potencial de imágenes espectrales para estudios sin contraste continúa siendo muy subutilizado, particularmente el rol de imágenes de DE.
El score de calcio coronario (SCC) ha sido ampliamente validado para la evaluación del riesgo de enfermedad cardiovascular en pacientes asintomáticos. Sin embargo, el rol de la determinación del SCC como selector dentro del departamento de emergencias es incierto o aún desaconsejado. En este aspecto, un extenso registro reciente, que incluía pacientes que acudían al departamento de emergencias con dolor torácico agudo y riesgo bajo a intermedio de síndrome coronario agudo, y que fueron sometidos a valoración del SCC y angiotomografía coronaria, identificó un valor predictivo negativo de 99% del SCC para descartar enfermedad coronaria obstructiva y revascularización.
De acuerdo a nuestro conocimiento, este es el primer caso que manifiesta que el examen de SCC potencialmente podría detectar, además de la presencia y extensión de calcificaciones coronarias, el tromboembolismo de la arteria pulmonar y cambios tisulares tempranos asociados con infarto de miocardio. El estudio de SCC es una herramienta no sofisticada, rápida, y segura (asociada con dosis baja de radiación), que no requiere contraste. Cuando se realiza en un tomógrafo con configuración de doble capa, la valoración de SCC permite obtener simultáneamente datos espectrales tales como imágenes de DE sin afectar el flujo de trabajo de rutina. 4 Efectivamente, en un estudio previo, las imágenes de DE tuvieron la menor desviación de inserción de fantomas de tejido-equivalente en comparación con otros parámetros espectrales. 5 Nuestros hallazgos están en línea con los de una comunicación preliminar reciente con inclusión de estudios de TC de tórax no gatillada, que mostraban el potencial de las imágenes de DE para mejorar la detección de estructuras de bajo contraste, en parte debido a la casi absoluta ausencia de ruido en las imágenes de DE. 6 En nuestro caso, la clara identificación de tromboembolismo pulmonar utilizando exámenes no contrastados podría conducir a más investigaciones en el campo de la detección de embolia cardíaca y pulmonar. De hecho, el embolismo pulmonar es una de las mayores complicaciones del ataque cerebrovascular, con altas tasa de muerte. Asimismo, la posible identificación del infarto de miocardio sin el requerimiento de administración de contraste proporcionaría un valor agregado a los exámenes no realzados, lo cual es probablemente relevante para pacientes con disfunción renal o aquellos en riesgo de nefropatía inducida por el contraste.
En conclusión, presentamos el primer informe que muestra el potencial del estudio de SCC realizado en un tomógrafo espectral de doble capa para identificar además de la presencia y extensión de calcificaciones coronarias, tromboembolismo de la arteria pulmonar y signos de infarto de miocardio.
BIBLIOGRAFIA
Chakrabarti R, Gupta V, Vyas S, Gupta K, Singh V. Correlation of dual energy computed tomography electron density measurements with cerebral glioma grade. Neuroradiol J 2022;35:352-62. https://doi.org/10.1177/19714009211047455
Shim E, Kim BH, Kang WY, Hong SJ, Kang CH, Ahn KS, et al. Diagnostic performance of electron-density dual-energy CT in detection of cervical disc herniation in comparison with standard gray-scale CT and virtual non-calcium images. Eur Radiol 2022;32:2209-20. https://doi.org/10.1007/s00330-021-08374-y
Mei K, Ehn S, Oechsner M, Kopp FK, Pfeiffer D, Fingerle AA, et al. Dual-layer spectral computed tomography: measuring relative electron density. Eur Radiol Experiment 2018;2:20. https://doi.org/10.1186/s41747-018-0051-8
Abdullayev N, Große Hokamp N, Lennartz S, Holz JA, Romman Z, Pahn G, et al. Improvements of diagnostic accuracy and visualization of vertebral metastasis using multi-level virtual noncalcium reconstructions from dual-layer spectral detector computed tomography. Eur Radiol 2019;29:5941-49. https://doi.org/10.1007/s00330-019-06233-5
Hua CH, Shapira N, Merchant TE, Klahr P, Yagil Y. Accuracy of electron density, effective atomic number, and iodine concentration determination with a dual-layer dual-energy computed tomography system. Med Phys 2018;45:2486-97. https://doi.org/10.1002/mp.12903
Rodriguez-Granillo GA, Cirio J, Vila JF, Langzam E, Ivanc T, Fontana L, et al. Noncontrast Myocardial Characterization in Acute Myocardial Infarction Using Electron Density Imaging. J Thorac Imaging. 2023. Epub ahead of print. https://doi.org/10.1097/RTI.0000000000000749
Consideraciones éticas
Financiamiento
Notas de autor
Dirección para correspondencia: Gastón A. Rodriguez-Granillo: Instituto Medico ENERI, Clínica La Sagrada Familia. Av. Libertador 6647 (C1428ARJ), Buenos Aires, Argentina. grodriguezgranillo@gmail.com
Declaración de intereses