Odontologia
Effects of rapid maxillary expansion with six months of retention and no further orthodontic treatment
Efeitos da expansão rápida da maxila com 6 meses de contenção e sem posterior tratamento ortodôntico
Effects of rapid maxillary expansion with six months of retention and no further orthodontic treatment
Acta Scientiarum. Health Sciences, vol. 38, no. 1, pp. 89-94, 2016
Universidade Estadual de Maringá
Received: 21 January 2015
Accepted: 04 February 2016
Abstract: Previous investigations addressing the long-term effects of rapid or slow expansion on the face and teeth involved the use of a orthodontic fixed appliance following expansion therapy. The present study evaluated changes in dentoskeletal aspects following rapid maxillary expansion (RME) and determine the stability of these changes over three years of follow up. Ten children with bilateral posterior crossbite were evaluated (experimental group). Dental casts and lateral cephalograms were evaluated prior to RME (T0) as well as three months (T1), one year (T2) and three years (T3) after RME. The measures were compared to a control group composed of 21 individuals using ANOVA and the Student’s t-test (p > 0.05). Changes on the transverse plane revealed significant expansion of the upper dental arch three months after RME, stable after three years. Expansion at the cusp level was similar to that at the gingival level. No significant changes were found in the angular and linear cephalometric measures among T0, T1, T2 and T3, and in comparison to the control group (p > 0.05). We concluded that early RME produces stable transverse increases in the upper arch after three years without significantly altering sagittal and vertical dentoskeletal relationships, and neither inclined teeth.
Keywords: maxillary expansion, palatal expansion technique, orthodontics interceptive, cephalometrics.
Resumo: A expansão rápida ou lenta da maxila seguida do uso de aparelhos ortodônticos fixos altera a face e os dentes. Este estudo avaliou as mudanças dentoesqueléticas após a expansão rápida da maxila (ERM) e determinou a estabilidade dessas mudanças em três anos de acompanhamento. Dez crianças com mordida cruzada posterior bilateral foram avaliadas (grupo experimental). Modelos de estudo e telerradiografias laterais foram avaliadas antes da ERM (T0), assim como três meses (T1), um ano (T2) e três anos (T3) após a ERM. As medidas foram comparadas às de um grupo controle composto de 21 pacientes por meio do teste ANOVA e teste t Student (p > 0,05). As mudanças no plano transversal revelaram uma expansão significante no arco superior três meses após a ERM, que se manteve estável após três anos. A expansão ao nível das cúspides foi similar à do nível gengival. Mas nenhuma diferença significante foi encontrada estre as medidas cefalométricas angulares e lineares ao longo dos períodos T0, T1, T2, e T3 e nem quando se comparou essas medidas às do grupo controle (p > 0,05). Conclui-se que A ERM precoce produz aumentos transversais estáveis no arco superior sem alterar significantemente as relações sagitais e verticais dentoesqueléticas e nem inclinar dentes.
Palavras-chave: expansão maxilar, técnica de expansão palatine, ortodontia interceptor, cefalometria.
Introduction
Rapid maxillary expansion (RME) was popularized by Andrew Haas and it has been widely used for the treatment of maxillary transverse deficiency with or without posterior crossbite (Kartalian, Gohl, Adamian, & Enciso, 2010). RME is employed for the orthopedic increase of the maxilla on the transverse plane and a gain in bone tissue in the median portion of the palate (Phatouros & Goonewardene, 2008). The orthopedic and dental effects of RME have been evaluated through a cephalometric analysis of lateral cephalograms, dental casts and computerized tomograms (Kartalian et al., 2010; Isaacson & Murph, 1964; Davis & Kronman, 1969; Sandikcioglu & Hazar, 1997; Doruk, Bicakci, Basciftci, Agar, & Babacan, 2004; Garib, Henriques, Carvalho, & Gomes, 2007; Angelieri et al., 2013). Studies have demonstrated temporary mandibular clockwise rotation immediately following RME in growing patients (Doruk et al., 2004; Garib et al., 2007).
Bell & LeCompte, (1981) observed that the slow maxillary expansion modified more intermolar distance than the intercanine distance in patients 4-9 years. Similar data were obtained by Vargo et al. (2007) in children with a mean age of 8.8 years. In 2007, Rungcharassaeng, Caruso, Kan, Kim, & Taylor, (2007) challenged those data. They found that in children aged 10-16 years, the anteroposterior dental expansion was uniform. Other studies claim that the RME, performed in patients aged 16-18 years, provides the opening of the sutures and inclination of posterior anchored teeth (Asanza, Cisneros, & Nieberg, 1997; Handelman, Wang, Begole, & Haas, 2000). However, this inclination may be less than the body movement of the posterior teeth when the RME is performed for patients in early mixed dentition and permanent (Spillane & McNamara, 1995; Garib, Henriques, Janson, Freitas, & Coelho, 2005). Moreover, all previous investigations in growing patients addressing the long-term effects of rapid or slow expansion on the face and teeth involved the use of a fixed appliance following expansion therapy (Kartalian et al., 2010; Doruk et al., 2004; Garib et al., 2007; McNamara Jr., Baccetti, Franch, & Herberger, 2003; Geran, McNamara Jr., Baccetti, Franch, & Shapiro, 2006; Baccetti, Mucedero, Leonardi, & Cozza, 2009).
The aim of the present study was to determine changes in dentoskeletal aspects following RME as well as possible relapse in three years of follow up without the use of orthodontic therapy in the follow-up phase.
Material and methods
This study received approval from the Institutional Review Board of the Universidade Estadual de Maringá (UEM) under process numbers 110/2008. Parents/guardians who agreed to the participation of their children signed a statement of informed consent.
Based on a previous study (Cordasco et al., 2012) the minimum sample size was determined to be eight individuals. Twenty-five children with bilateral posterior crossbite were recruited, ten of whom (7 males and 3 females; mean age at baseline: 8.3 ± 1.24 years) had not undergone any other interventions in the three years of follow up and were selected for the experimental group (EG). The inclusion criteria were maxillary transverse deficiency (McNamara et al., 2003), bilateral posterior crossbite and the presence of the permanent maxillary first molars and primary or permanent maxillary canines. The exclusion criteria were systemic disease and a history of orthopedic or orthodontic treatment.
The activation protocol of the Haas appliance modified for the mixed dentition was 2 x ¼ turns per day (Silva Filho, Valladares Neto, & Almeida, 1989). Expansion was completed when the palatal cusp of the maxillary first molars touched buccal cusp of the mandibular first molars (14 days after the onset of expansion, on average). The appliance was kept in the oral cavity for three months to maintain the expansion and was then replaced with a removable retainer (Hawley) worn just at night, for an additional six months.
Dental casts and lateral cephalograms were obtained prior to RME (T0) as well as three months (T1), one year (T2) and three years (T3) after expansion (Figure 1). Lateral cephalograms were acquired from the same radiograph device (Ortholarix, Gendex, Italy). Cephalometric and dental cast measures at T0, T2 and T3 were compared to those of a control group (CG) made up of individuals with normal occlusion and similar ages to those in the EG. The same eligibility criteria were applied to the CG.

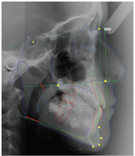
The following cephalometric measurements were evaluated: SNA, SNB, ANB, SN.GoGn, SN.PP, 1.PP and 1.PM (McNamara Jr., 1984) (Figure 2). The lateral cephalograms were scanned (HP Scanjet G4050, USA) and imported to a cephalometric analysis program (Cef X, CDT Softwares, Campo Grande, Brazil) (Figure 1). Intercanine and intermolar distances were measured on the plaster casts at T0, T1, T2 and T3 with the aid of a digital caliper (precision: 0.01 mm) (Mitutoyo-Japan). Four measures were made: A) gingival intermolar distance (union between palatal gingival margin and tooth); B) cusp intermolar distance (mesiopalatal cusps); C) gingival intercanine distance; and D) cusp intercanine distance (Lagravere, Major, Flores-Mir, & Orth, 2005) (Figure 3). The difference between the cusp and gingival measures allowed the determination of whether RME caused inclination of the teeth. One month after first measures, 50% of the lateral cephalograms and dental casts were randomly selected and the measures were repeated.


Results and discussion
Results
None of the variables evaluated presented any statistically significant systematic errors. Random errors from ranged from 0 to 0.63 mm on the dental casts as well as from 0 to 2.75 degrees and 0.05 to 0.35 mm on the lateral cephalograms.
None of the cephalometric measures underwent any significant change among the four periods evaluated (T0, T1, T2 and T3) (Table 1). Moreover, no significant differences in these measures were found in comparison with the CG (Table 2).
![Cephalometric measurements at baseline (T0), three months (T1), one year (T2)
and three years (T3) after expansion in experimental group (mean and standard
deviation [SD] values; p-values: ANOVA).](../307245984012_gt1.png)

No statistically significant differences were found in the intercanine distances or intermolar distances between T0 and T1, indicating that the RME does not cause inclination of the teeth. A small relapse was found in both the canine and molar regions, but this relapse did not achieve statistical significant (T2 – T1 and T3 – T2). Gains in the transverse dimension were found in both the canine and molar regions (T3 – T0), with no statistically significant difference between these regions (Table 3).

Discussion
Changes in dentoskeletal aspects following maxillary expansion have been the object of a number of studies. Spillane & McNamara (1995), McNamara Jr. et al. (2003) and Geran et al. (2006) studied the effects of RME on children at ages similar to those of the present study. However, RME was followed by a fixed orthodontic appliance in all three studies, whereas changes in the three years following RME without the use of a fixed orthodontic appliance were examined in the present investigation.
Aside from its transverse effect, it has been reported that RME can cause the downward displacement of the maxilla associated to the extrusion of the maxillary posterior teeth, which can lead to the rotation of the maxillary plane in the clockwise direction, thereby increasing the vertical dimension of the face (Doruk et al., 2004; Bayram, Ozer, Arici, & Alkan, 2001) without significantly altering the position of the incisors (Garib et al., 2007; Bayram et al., 2001). However, these vertical effects are generally temporary, with a return to the initial position over time (Doruk et al., 2004; Garib et al., 2007). Lineberger, McNamara, Baccetti, Herberger, & Franch (2012) found no significant skeletal changes in the vertical dimension of hyperdivergent patients with the use of a fixed expansion appliance in comparison to individuals with a normal vertical relationship. Therefore, the maxilla and mandible are not expected to undergo sagittal or vertical alterations in relation to the base of the skull following RME (Spillane & McNamara, 1995; Silva Filho et al., 1989; McNamara Jr., 1984; Lagravere et al., 2005; Çörekçi & Göyenç, 2013).
The present findings are in agreement with data reported by Garib et al. (2007) who found that RME maxillary incisors, Doruk et al. (2004) found that RME leads to the inclination of these teeth in the buccal direction in cases of anterior maxillary transverse deficiency and in the lingual direction in cases of posterior maxillary transverse deficiency. In the present investigation, however, no change was found in the inclination of the incisors. The longitudinal data demonstrate that RME is a safe method for the correction of maxillary transverse deficiency and does not affect sagittal or vertical dentoskeletal characteristics.
Besides the increase in the width of the upper arch (Geran et al., 2006; McNamara Jr., 1984; Podesser, Williams, Crismani, & Bantleon, 2007; Christie, Boucher, & Chung, 2010; Weissheimer et al., 2011) studies have reported a greater transverse increase in the anterior region in comparison to the posterior region (Lagravere et al., 2005; Bayram et al., 2001; Christie et al., 2010). In the present investigation, however, similar increases were found in both regions (Table 3), demonstrating parallel expansion. This finding is in agreement with data reported in previous studies (Rungcharassaeng et al., 2007; Podesser et al., 2007; Christie et al., 2010). In a systematic review carried out by Lione, Franch, & Cozza (2013) the authors concluded that the intense forces applied for short periods in growing patients move the anchoring teeth and alveolar bone at the same magnitude and in the same direction. Analyzing possible differences between appliances that concentrate the expansion in the anterior region (fan-type rapid maxillary expansion) and those that concentrate the expansion in the posterior region (RME), Çörekçi & Göyenç (2013) found that the transverse increase in the intercanine region was similar with both appliances, but the transverse increase in the intermolar region was significantly greater in the RME group.
RME is the treatment of choice in cases of maxillary transverse deficiency due to its speed and predictability as well as the little orthodontic effect on the inclination of the teeth. Although the present study did not evaluate the expansion of the buccal bone related to inclination (Kartalian et al., 2010), the orthopedic movement provided by RME appears not to lead to inclination of the teeth, since the increase in the cusp region was statistically similar to that in the gingival region for both the canines and molars (Table 3). Rungcharassaeng et al. (2007) expanded the maxilla with the Hyrax appliance in patients with a mean age of 13.8 years over a three- month period and found inclination of the premolars and molars. Garib et al. (2005) found that the RME caused both inclination and movement of the body of posterior teeth. However, Kartalian et al. (2010) found that the inclination of the molar region resulted from the inclination of the alveolar bone. Kanomi, Deguchi, Kakuno, Yamamoto-Takano, & Roberts (2013) concluded that the efficiency of the RME is inversely proportional to age and that fixed expansion appliances achieve better results in children aged six to 15 years.
Studies have documented the stability of RME (Garib et al., 2005; McNamara Jr. et al., 2003). However, there are few data on the relapse potential following expansion (Lione et al., 2013; Kanomi et al., 2013), which is reported to occur more in the anterior region than the posterior region. Although not statistically significant, relapse in the present study (T3 – T1) was 0.66 mm (82.95% RME stability) between the cusps of the canines and 0.85 mm (79.7% RME stability) between the cusps of the molars (Table 3). Similar findings are reported by Vargo et al. (2007) and Handelman et al. (2000) who found a greater percentage of relapse following slow expansion of the maxilla in the region of the molars (26%) in comparison to the canines (16%). However, one should bear in mind that the expansion appliance remained in position for 2.3 years in the study by Vargo et al. (2007) thereby preventing relapse.
In the present investigation, residual expansion was similar in both the canine and molar regions (3.21 mm in both cases). At the gingival level, however, residual expansion was greater in the molar region. This difference can be explained by the difference in the buccolingual dimension between primary and permanent canines, as exfoliation of the primary canines occurred in two patients of the EG.
Conclusion
We concluded that early RME produces transverse increases in the maxillary arch with nearly 80% stability after three years of follow up and without significantly altering dentoskeletal measures in the vertical or sagittal directions and neither inclined teeth.
References
Angelieri, F., Cevidanes, L. H. S., Franchi, L., Gonçalves, J. R., Benavides, E., & McNamara JR, J. A. (2013). Midpalatal suture maturation: Classification method for individual assessment before rapid maxillary expansion. American Journal of Orthodontics and Dentofacial Orthopedics, 144(5), 759-769.
Asanza, S., Cisneros, G. J., & Nieberg, L. G. (1997). Comparison of Hyrax and bonded expansion appliances. Angle Orthodontist, 67(1), 115-122.
Baccetti, T., Mucedero, M., Leonardi, M., & Cozza, P. (2009). Interceptive treatment of palatal impaction of maxillary canines with rapid maxillary expansion: a randomized clinical trial. American Journal of Orthodontics and Dentofacial Orthopedics, 136(5), 657-661.
Bayram, M., Ozer, M., Arici, S., & Alkan, A. (2001). Nonextraction treatment with rapid maxillary expansion and mandibular symphyseal distraction osteogenesis and vertical skeletal dimensions. Angle Orthodontist, 77(2), 266-272.
Bell, R. A., & LeCompte, E. J. (1981). The effects of maxillary expansion using a quad helix appliance during the deciduous and mixed dentitions. American Journal of Orthodontics and Dentofacial Orthopedics, 79(2), 152-161.
Christie, K. F., Boucher, N., & Chung, C. H. (2010). Effects of bonded rapid palatal expansion on the transverse dimensions of the maxilla: a cone-beam computed tomography study. American Journal of Orthodontics and Dentofacial Orthopedics, 137(4), 79-85.
Cordasco, G., Nucera, R., Fastuca, R., Matarese, G., Lindauer, S. J., Leone, P.,. Martina, R. (2012). Effects of orthopedic maxillary expansion on nasal cavity size in growing subjects: a low dose computer tomography clinical trial. International Journal of Pediatric Otorhinolaryngology, 76(11), 1547-1551.
Çörekçi, B., & Göyenç, Y. (2013). Dentofacial changes from a fan-type rapid maxillary expansion vs traditional rapid maxillary expansion in early mixed dentition: A prospective clinical trial. Angle Orthodontist, 83(2), 842-850.
Davis, W. M., & Kronman, J. H. (1969). Anatomical changes induced by splitting of the midpalatal suture. Angle Orthodontist, 39(2), 126-132.
Doruk, C., Bicakci, A. A., Basciftci, F. A., Agar, U., & Babacan, H. (2004). A comparison of the effects of rapid maxillary expansion and fan-type rapid maxillary expansion on dentofacial structures. Angle Orthodontist, 74(2), 184-194.
Garib, D. G., Henriques, J. F. C., Janson, G., Freitas, M. R., & Coelho, R. A. (2005). Rapid maxillary expansion – tooth tissue-borne versus tooth-borne expanders: a computed tomography evaluation of dentoskeletal effects. Angle Orthodontist, 75(4), 548-557.
Garib, D. G., Henriques, J. F. C., Carvalho, P. E. G., & Gomes, S. C. (2007). Londitudinal effects of rapid maxillary expansion. Angle Orthodontist, 77(3), 442-448.
Geran, R. G., McNamara Jr., J. A., Baccetti, T., Franch, L., & Shapiro, L. M. (2006). A prospective long-term study on the effects of rapid maxillary expansion in the early mixed dentition. American Journal of Orthodontics and Dentofacial Orthopedics, 129(5), 631-640.
Handelman, C. S., Wang, L., Begole, E. A., & Haas, A. J. (2000). Nonsurgical Rapid Maxillary Expansion in Adults: Report on 47 cases using the Haas expander. Angle Orthodontist, 70(2), 129-144.
Isaacson, R. J., & Murphy, T. D. (1964). Some effects of RME in cleft lip and palate patients. Angle Orthodontist, 34(3), 143-154.
Kanomi, R., Deguchi, T., Kakuno, E., Yamamoto-Takano, T., & Roberts, W. E. (2013). CBCT of skeletal changes following rapid maxillary expansion to increase arch-length with a development-dependent bonde or banded appliance. Angle Orthodontist, 83(5), 851-857.
Kartalian, A., Gohl, E., Adamian, M., & Enciso, R. (2010). Cone-beam computerized tomography evaluation of the maxillary dentoskeletal complex after rapid palatal expansion. American Journal of Orthodontics and Dentofacial Orthopedics, 138(4), 486-492.
Lagravere, M. O., Major, P. W., Flores-Mir, C., & Orth, C. (2005). Long-term dental arch changes after rapid maxillary expansion treatment: a systematic review. Angle Orthodontist, 75(2), 155-161.
Lineberger, M. W., McNamara, J. A., Baccetti, T., Herberger, T., & Franchi L. (2012). Effects of rapid maxillary expansion in hyperdivergent patients. American Journal of Orthodontics and Dentofacial Orthopedics, 142(1), 60-69.
Lione, R., Franchi, L., & Cozza, P. (2013). Does rapid maxillary expansion induce adverse effects in growing subjects? Angle Orthodontist, 83(1), 172-182.
McNamara Jr., J. A. (1984). A method of cephalometric evaluation. American Journal of Orthodontics and Dentofacial Orthopedics, 86(6), 449-469.
McNamara Jr., J. A., Baccetti, T., Franch, L., & Herberger, T. A. (2003). Rapid maxillary expansion followed by fixed appliances: a long-term evaluation of changes in arch dimensions. Angle Orthodontist, 73(4), 344-353.
Phatouros, A., & Goonewardene, M. S. (2008). Morphologic changes of the palate after rapid maxillary expansion: A 3-dimensional computes tomography evaluation. American Journal of Orthodontics and Dentofacial Orthopedics, 134(1), 117-124.
Podesser, B., Williams, S., Crismani, A. G., & Bantleon, H. P. (2007). Evaluation of the effects of rapid maxillary expansion in growing children using computer tomography scanning: a pilot study. European Journal of Orthodontics, 29(1), 37-44.
Rungcharassaeng, K., Caruso, J. M., Kan, J. Y. K., Kim, J., & Taylor, G. (2007). Factors affecting buccal bone changes of maxillary posterior teeth after rapid maxillary expansion. American Journal of Orthodontics and Dentofacial Orthopedics, 132(4), 428.e1-e8.
Sandikcioglu, M., & Hazar, S. (1997). Skeletal and dental changes after maxillary expansion in mixed dentition. American Journal of Orthodontics and Dentofacial Orthopedics, 111(3), 321-327.
Silva Filho, O. G., Valladares Neto, J., & Almeida, R. R. (1989). Early correction of posterior crossbite: biomechanical characteristics of the appliances. Journal of Pedodontics, 13(3), 195-221.
Spillane, L. M., & McNamara JR., J. A. (1995). Maxillary adaptation to expansion in the mixed dentition. Seminars in Orthodontics, 1(3), 176-187.
Vargo, J., Buschang, P. H., Boley, J. C., English, J. D., Behrents, R. G., & Owen III, A. H. (2007). Treatment effects and short-term relapse of maxillomandibular expansion during the early to mid mixed dentition. American Journal of Orthodontics and Dentofacial Orthopedics, 131(4), 456-463.
Weissheimer, A., De Menezes, L. M., Mezomo, M., Dias, D. M., De Lima, E. M., & Rizzatto, S. M. (2011). Immediate effects of rapid maxillary expansion with Haas-type and hyrax-type expanders: a randomized clinical trial. American Journal of Orthodontics and Dentofacial Orthopedics, 140(3), 366–376.
Appendix
License information: This is an open-access article distributed under the terms of the Creative Commons Attribution License, which permits unrestricted use, distribution, and reproduction in any medium, provided the original work is properly cited.