Medicina
Received: 03 February 2016
Accepted: 02 December 2016
DOI: https://doi.org/10.4025/actascihealthsci.v39i2.30844
Abstract: This study evaluated the expression of bradykinin (BK) in human placenta from healthy and preeclamptic women. This is a non-randomized experimental study, in which we performed histological analysis of placental tissue to observe changes that occur in each kind of placenta as well as immunohistochemical analysis to investigate the expression of bradykinin. We used ‘Paleontological Statistics software package for education and data analysis’ 3.06 and R for the statistical analysis. The Ethics Committee of the University of Rio Grande do Norte State approved this experiment under protocol number 166370, according to the determinations established by Resolutions 466/12 and 441/11.We found differences between the two kinds of placenta concerning the diameter of the vessels and the rate of cytotrophoblastic invasion. Student’s t-test evidenced significant difference (p = 7.6395 x 10-5) indicating greater marking of BK per section in the healthy placenta group. The result of more significant expression of bradykinin in healthy placenta can be used as a starting point for deeper researches aiming to better characterize and quantify this expression.
Keywords: gynecology, obstetrics, immunohistochemistry.
Resumo: Este estudo avaliou a expressão de bradicinina em placentas humanas saudáveis e pré-eclâmpticas. Trata-se de um estudo de caráter experimental não randomizado, no qual foi feita uma análise histológica dos tecidos placentários, permitindo a observação das alterações ocorridas em cada tipo de placenta, e a técnica de imuno-histoquímica, a fim de investigar a presença de bradicinina. Foi utilizado o Paleontological Statistics software package for education and data analysis 3.06 para a análise estatística. Este estudo foi aprovado pelo Comitê de Ética da Universidade do Estado do Rio Grande do Norte sob o protocolo número 166.370, de acordo com as diretrizes estabelecidas nas Resoluções 466/12 e 441/11. Foi possível observar diferenças no diâmetro dos vasos e na invasão citotrofoblástica entre os dois tipos de placentas. O teste t de Student mostrou significância estatística (p = 7,6395 x 10-5) para uma maior marcação de BK por secção no grupo de placentas saudáveis. O resultado obtido com relação à expressão mais significante de bradicinina em placentas saudáveis pode ser visto como precursor de uma pesquisa mais aprofundada, para melhor caracterizar e quantificar essa expressão.
Palavras-chave: ginecologia, obstetrícia, imuno-histoquímica.
Introduction
Pre-eclampsia (PE) is classically defined as proteinuric gestational hypertension and represents is still the second greatest cause of direct maternal death. It is responsible for approximately 80,000 maternal deaths and 500,000 perinatal deaths worldwide every year. Over 99% of these cases happen in countries that are less developed, especially in South Asia and Sub-Saharan Africa (Steegers, Von Dadelszen, Duvekot, & Pijnenborg, 2010; Hutcheon, Lisonkova, & Joseph, 2011). The etiology of this disease is not yet fully known, but PE is characterized as a multi-systemic disease that occurs after the 20th week of gestation. Many theories speculate that the abnormal development of the placenta in the beginning of the pregnancy leads to systemic inflammation, oxidative stress and endothelial dysfunction, which in turn lead to PE’s clinical manifestations (Hermes, Van Kesteren, & De Groot, 2012; Anderson, Olsson, Kristenses, Äkerström, & Hansson, 2012).
In most cases of PE, the pregnant mother was previously normotensive with no history of hypertension. However, certain risk factors predispose women to PE during pregnancy, these include: nulliparity; age over 40 years; obesity; interval between pregnancies of more than 10 years; maternal or paternal history of PE or gestational hypertension; pre-existing vascular disease; pre-existing renal disease; and multiple pregnancies. Women with pre-existing high blood pressure have an increased risk of complications if they also develop PE. Women who have had PE have 16 % chance of having recurrent PE in future pregnancies (Steegers et al., 2010; Powe, Levine & Karumanchi, 2011).
For placental formation, intense vasculogenesis and angiogenesis are required, which will determine the pattern of placental villi (Bilban et al., 2010). The development of capillaries in placental villi extends throughout the first trimester until weeks 10-12, when the vasculogenesis signals cease. Then, the formed vessels grow in volume and length, curl up around themselves, branch out and make their way through the trophoblast, beginning the process of angiogenesis. The basic mechanisms through which angiogenesis takes place show various forms of growth, including budding, intussusception, elongation and branching (Geva, Ginzinger, Moore, Ursell, & Jaffe, 2005).
Regarding the physio-morphological changes that characterize the PE, in normal pregnancies, the spiral arteries of the myometrium and the decidua, which perfuse the placenta, undergo severe remodeling, includig disintegration of the tunica media and the internal elastic lamina, as well as replacement of the endothelium by extravillous trophoblast cells expressing endothelial phenotype. At the end of the process, the spiral arteries present diameters at least four times larger than those found in arteries not involved in pregnancy. In PE, these vessels undergo minor modifications, with apparent replacement of cells from the media layer by invasive trophoblasts, increased apoptosis of trophoblast cells, placental ischemia and loss of vasomotor control (Charnock Jones, Kaufmann, & Mayhew, 2004).
Bradykinin (BK) is a low molecular weight nonapeptide that exerts powerful effects on different pathophysiological conditions. For example, BK is an effective antihypertensive, antithrombogenic, antiproliferative and participates in inflammatory processes through activation of endothelial cells. The connection of endothelial BK to B2 receptors leads to the production of nitric oxide (NO), formation of prostacyclin, elevation of intracellular Ca2+ and formation of the hyperpolarization factor, which causes vasodilation and increased vascular permeability. In contrast, the B1 receptor is expressed on the cell surface mainly in response to injury, and produces the classic symptoms of inflammation such as redness, heat, pain and swelling (Maurer et al., 2011).
In an attempt to elucidate the mechanisms involved in the onset of PE, some researchers evaluate the expression of markers in placental tissues. This study aimed to analyze the relationship of BK with this pathology. This hypothesis was based on the knowledge of the intrinsic physio-pathological characteristics of BK as a powerful antihypertensive, vasodilation and inflammatory agent, since there are indications that in PE hypertensive syndrome, the placenta does not present immune tolerance, but the development of inflammatory response and late rejection of the fetus. As the role of BK during pregnancy is still poorly understood in the specific literature, this study seeks to provide information and stimulate further investigation about the role this nonapeptide plays in the onset and maintenance of the PE process.
Material and methods
Population characteristics and material sampling
This study is a non-randomized experiment. Placentas from term pregnancies were obtained from healthy patients, non-hypertensive, not affected by PE, who underwent caesarean sections, from May 2013 to December 2013 at the Almeida e Castro Hospital and Maternity in Mossoro, state of Rio Grande do Norte. The reason we have not included placentas from normal deliveries is the contact there is between the placenta and the vaginal bacterial flora in this type of delivery, which could interfere with our experimental results. The collection of human tissue respected the ethical, practical and biosecurity principles stipulated by Resolutions 466/12 and 441/11, consistent with the requirements imposed by the Research Ethics Committee of the University of Rio Grande do Norte State (UERN), which approved this study, under the number 166370. We collected the biological material after obtaining the Informed Consent signed by patients and/or guardians, and then stored it in the Molecular Biology of Reproduction Laboratory at the Federal Rural University of the Semi-arid (UFERSA).
We included in this study pregnant patients with PE who were diagnosed with increased blood pressure levels (> 140 90 mmHg-1) measured twice, in a period of 4 to 6 hours and proteinuria (> 0.3 g 24h-1). In addition to either having or having not presented the following changes: hemoconcentration, hypoalbuminemia, alterations in liver function tests, as well as coagulation tests and increased urate levels (≥6 mg dl-1); all of which manifested after the 20th week of pregnancy. Control group consisted of pregnant women without blood tension changes or any other conditions acquired during pregnancy or pre-existing conditions, but to whom caesarean delivery was indicated. Patients affected by HIV and Hepatitis B or C were excluded from this study. Moreover, placentas with many ischemic areas or calcifications were also excluded after mandatory macroscopic examination. Because of the difficulty to obtain placentas from women with PE, the age of the patient was not considered an exclusion criterion.
In total, 30 placentas were collected, 20 from healthy patients (control group) and 10 from patients affected by PE (experimental group), defined by their clinical and laboratory aspects. Under aseptic conditions, the placentas were dissected to obtain longitudinal fragments, in triplicate, of about 1 cm³ from the area of placental cotyledons, on the maternal side, in a maximum period of 30-40 minutes after birth. Areas with too much ischemia were avoided. The fragments were washed 3 times in dextrose fluid at room temperature to remove excess red blood cells, and further clean the tissue. From these fragments, histological analyses were performed.
Histological analysis of the placentas
For the histological analysis, samples were embedded in paraffin. First, the tissues were fixed in 10% formaldehyde dextrose solution. Then, they underwent a series of three baths, one hour each, at different concentrations of ethanol (70, 90 and 100%); followed by two baths of 30 minutes in xylene and two baths of 1.5 hours in paraffin. The blocks were sectioned at 7 micrometers (μm) cuts. The tissues, in triplicate, were then mounted on slides and sent for staining or for the immunohistochemical assay (IHC). The staining procedure consisted of hydration with xylene (two baths of 10 minutes each) and descending sequence of ethanol (three baths of 10 minutes each at 100, 90 and 70%). Lastly, the slides were stained with hematoxylin and eosin (HE), for 1 minute.
We gathered images through light microscopy, using a specific software to obtain and store the microscopic images for printing (IMAGE pro-LIGHT). There were nine slides per placenta, and 27 images / placenta. The criteria for reading the slides stained with HE, took into account the integrity of placental tissues and histological findings, evidenced by the decidua, myometrium and placental villi, which were all observed under the microscope under 10, 40 and 100x magnification lenses.
Immunohistochemistry (IHC)
Slides containing the 7 µm sections were deparaffinized in xylene twice, 10 minutes each, and rehydrated in descending concentrations of ethanol (100, 95, 90 and 70%), ending with distilled water for 10 minutes. Antigen retrieval was performed using citrate buffer pH 6.0 and applying three pulses of 7 minutes each in a microwave (full power). The blocking of endogenous peroxidase was performed with 3% hydrogen peroxide for 60 minutes. To detect BK, the slides were incubated in a humidity chamber at 4°C overnight with the anti-bradykinin primary monoclonal antibody (1: 200) produced in mice (Rhea Biotech, São Paulo, Brazil) and diluted in phosphate triton buffer (TPBS) 1%. Subsequently, sections were incubated in a humidity chamber for 2 hours and at room temperature with the secondary antibody (1: 1000) ‘Rabbit anti-mouse’ (Sigma, St. Louis, Mo, USA) diluted in phosphate buffered saline (PBS). Samples were incubated with the Streptoavidin-biotin-peroxidase complex for about one hour. The binding sites for peroxidase were detected through staining, using the chromogen diaminobenzidine (DAB). In all steps, the sections were washed three times in PBS. Finally, the slides were dehydrated, cleared with xylene and analyzed (Athar et al., 2004).
The criteria for reading the slides, stained by IHC, was the BK marking in the deciduous region of the placenta, identified by the brown staining. The observation of the microscope slides was performed at 10, 40 and 100x magnifications.
Statistical analysis
We entered the data gathered in this experiment in the programs ‘Paleontological Statistics software package for education and data analysis’ 3:06 (Past) and R (Ihaka & Gentleman, 1996; Hammer, Harper, & Ryan, 2001), in which the statistical evaluations were performed after the calculations for mean values and standard deviation. The Shapiro-Wilk test was used to verify the normality of the data and the parametric Student’s t-test was applied to compare the means of BK markings per section between the group of healthy placentas and the preeclamptic placentas group. The graph was plotted in boxplot. We adopted the significance level of 5%.
Results and discussion
Histological analysis of the placentas
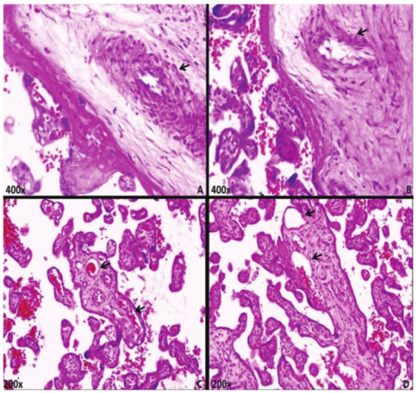
Through the histological analysis of placental tissues, we were able to evaluate the differences between healthy placentas and those ones from women with pre-eclampsia, and obatined an overview of their morphology. These differences, also described in previous studies, refer mainly to the increase in the diameter of blood vessels in healthy placentas and the poor replacing of the endothelial layer in the maternal spiral arteries by extravillous cytotrophoblasts of fetal origin, as can be seen in Figure 1.
Immunohistochemistry (IHC)
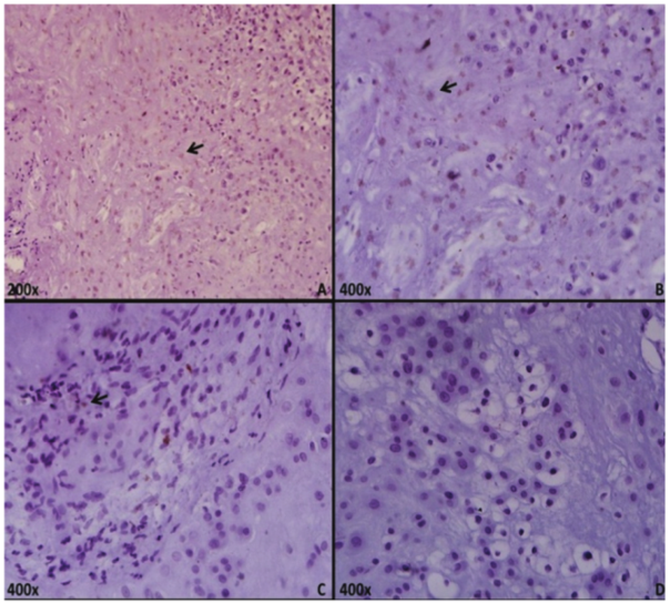
Figure 2 illustrates the result obtained through IHC. A and B refer to healthy placentas, C and D to placentas from women with pre-eclampsia.
It is possible to observe more marking (brown staining) of bradykinin in healthy placentas, in the region of the decidua basalis, 86 (85.66 ± 2.59) BK markings per section (400X), while in placentas from women with pre-eclampsia, this marking is very weak and almost absent, showing 6 (5.67 ± 0.94) BK markings per section.


The sample presented normal distribution (> 0.05) and the Student’s t-test evidence significant difference (p < 0.05) for higher marking of BK per section in the healthy placentas group, as can be seen in Figure 3.
Due to the intrinsic properties of BK as an effective antihypertensive, vasodilatation and inflammatory agent, we used the present study to identify, through IHC assay, the BK expression per section in healthy placentas and in placentas from women with pre-eclampsia. These results indicate that BK has greater expression in healthy placentas, with a statistically significant (7.6395 x 10-5) difference when compared to the other study group. Other authors corroborate our results on the possible involvement of BK with the physio-pathological mechanisms of PE.

Hoegh, Borup, Nielsen, Sorensen and Hviid (2010) identified placental genes that may contribute to the development of PE. Through the techniques of microarray and real-time PCR, they evaluated 21 genes differentially expressed, including the BK gene. This gene presented twice the expression in healthy placentas, indicating that it may be involved in the development of hypertension and poor vascularization in PE patients. Erices, Corthorn, Lisboa and Valdés (2011) worked with cell cultures to assess the effect of BK on the migration of extravillous trophoblasts in the first trimester of pregnancy. Mainly through immunocytochemistry techniques, they verified the expression of BK receptors in cultured endothelial progenitor cells. These authors concluded that BK stimulates a conformation of the filopodia type for the cell membrane, which is vital to the migration process.
Regarding the histological findings, we observed that, in healthy pregnancy, the spiral arteries of the myometrium and the decidua that perfuse the placenta undergo severe remodeling, presenting, at the end of process, diameters at least four times larger than those found in the arteries which are not involved in the pregnancy. In PE patients, these vessels undergo minor modifications, with apparent substitution of the media layer cells by invasive trophoblasts, increased apoptosis of trophoblast cells, placental ischemia and loss of vasomotor control. Our results are consistent with the findings of other authors (Moll, Nienartowicz, Hees, Wrobel, & Lenz, 1988; Zhou, Damsky, & Fisher, 1997; Rein et al., 2003; Roberts & Gammill, 2005; Benirschke, Kaufmann, & Baergen, 2006).
It is not certain why, in PE cases, the trophoblast cannot perform its functions of invasion and remodeling of uterine vessels properly. Nevertheless, it is indisputable that immunological changes are crucial in this sense (Parham, 2004; Lash et al., 2006; Saito, Nakashima, Shima, & Ito, 2010). Trophoblast cells have particular characteristics as to the expression of HLA molecules (Human Leukocitary Antigen). They express only HLA-G, HLA-C and HLA-E. Saito, Sakai, Sasaki, Nakashima and Shiozaki (2007) demonstrated reduction in the percentage of regulatory T cells in patients with pre-eclampsia; this would lead to increased activation of lymphocytes and thus, greater inflammatory response. Therefore, one can infer that the breakdown of maternal-fetal or maternal-placental tolerance could lead to deficient placentation, inflammatory response and, consequently, to pre-eclampsia (Oliveira, Karumanchi, & Sass, 2010).
Through IHC, we detected greater levels of BK marking in healthy placentas. This technique, based on the principle of antigen-antibody reaction, enables the identification of cellular attributes, not normally distinguishable through histology. The IHC reactions can be employed in many different occasions, among which we can mention: basic research (study of the location and distribution of biomarkers in different parts of the tissue); diagnosis of undifferentiated tumors; diagnosis of various infectious diseases; determining different types of lymphomas and leukemia.
Conclusion
This study permitted the successful identification of the expression of BK in healthy placentas and those from women with pre-eclampsia, using IHC techniques, which lead to productive results as to the expression of BK. In addition, it made possible to obtain greater knowledge concerning placental changes during pregnancy, especially in placentas affected by PE. Therefore, with this research, we expect to stimulate more in-depth studies about the relationship between BK and PE, and possibly future alternatives for exogenous treatment of this disease.
References
Anderson, U. D., Olsson, M. G., Kristenses, K. H., Äkerström, B., & Hansson, S. R. (2012). Review: biochemical markers to predict preeclampsia. Placenta, 33(1), 42-47.
Athar, M., An, K. P., Tang, X., Morel, K. D., Kim, A. L., Kopelovich, L., & Bickers, D. R. (2004). Photoprotective effects of sulindac against ultraviolet B-induced phototoxicity in the skin of SKH-1 hairless mice. Toxicology and Applied Pharmacology, 195(1), 370-378.
Benirschke, K., Kaufmann, P., & Baergen, R. N. (2006). Pathology of the human placenta. 5th ed. New York, NY: Springer.
Bilban, M., Tauber, S., Haslinger, P., Pollheimer, J., Saleh, L., Pehamberger, H., ... Knöfler, M. (2010). Trophoblast invasion: assessment of cellular models using gene expression signatures. Placenta, 31(11), 989-996.
Charnock Jones, D. S., Kaufmann, P., & Mayhew, T. M. (2004). Aspects of human fetoplacental vasculogenesis and angiogenesis. I. Molecular recognition. Placenta, 25(1), 103-113.
Erices, R., Corthorn, J., Lisboa, F., & Valdés, G. (2011). Bradykinin promotes migration and invasion of human immortalized trophoblasts. Reproductive Biology Endocrinology, 9, 97.
Geva, E., Ginzinger, D. G., Moore, D. H., Ursell, P. C., & Jaffe, R. B. (2005). In utero angiopoietin-2 gene delivery remodels placental blood vessel phenotype: a murine model for studying placental angiogenesis. Molecular Human Reproduction, 11(4), 253-260.
Hammer, Ø., Harper, D. A. T., & Ryan, P. D. (2001). PAST: Paleontological statistics software package for education and data analysis. Palaeontologia Electronica, 4(1), 1-9.
Hermes, W., Van Kesteren, F., & De Groot, C. J. (2012). Preeclampsia and cardiovascular risk. Minerva Ginecologica, 64(1), 281-292.
Hoegh, A. M., Borup, R., Nielsen, F. C., Sorensen, S., & Hviid, T. V. (2010). Gene expression profiling of placentas affected by pre-eclampsia. Journal of Biomedicine and Biotechnology, 2010(2010), ID 787545, 1-11. doi:10.1155/2010/787545.
Hutcheon, J. A., Lisonkova, S., & Joseph, K. S. (2011). Epidemiology of preeclampsia and the other hypertensive disorders of pregnancy. Best Practice & Research Clinical Obstetrics & Gynaecology, 25(4), 391-403.
Ihaka, R., & Gentleman, R. (1996). R: a language for data analysis and graphics. Journal of Computational and Graphcal Statistics, 5(1), 299-314.
Lash, G. E, Otun, H. A., Innes, B. A., Kirkley, M., De Oliveira, L., Searle, R. F., … Bulmer, J. N. (2006). Interferon-γ inhibits extravillous trophoblast cell invasion by a mechanism that involves both changes in apoptosis and protease levels. The FASEB Journal, 20(14), 2512-2518.
Maurer, M., Bader, M., Bas, M., Bossi, F., Cicardi, M., Cugno, M., … Magerl, M. (2011). New topics in bradykinin research. Allergy, 66(11), 1397-1406.
Moll, W., Nienartowicz, A., Hees, H., Wrobel, K-H., & Lenz A. (1988). Blood flow regulation in the uteroplacental arteries. Trophoblast Research, 3(1), 83-96.
Oliveira, L. G., Karumanchi, A., & Sass, N. (2010). Pré-eclâmpsia: estresse oxidativo, inflamação e disfunção endotelial. Revista Brasileira de Ginecologia e Obstetrícia, 32(12), 609-616.
Parham, P. (2004). NK cells and trophoblasts: partners in pregnancy. The Journal of Experimental Medicine, 200(8), 951-955.
Powe, C. E., Levine, R. J., & Karumanchi, S. A. (2011). Preeclampsia, a disease of the maternal endothelium: the role of antiangiogenic factors and implications for later cardiovascular disease. Circulation, 123(1), 2856-2869.
Rein, D. T., Breidenbach, M., Hönscheid, B., Friebe-Hoffmann, U., Engel, H., Göhring, U. J., ... Schöndorf, T. (2003). Preeclamptic women are deficient of interleukin-10 as assessed by cytokine release of trophoblast cells in vitro. Cytokine, 7(23), 119-125.
Roberts, J. M., & Gammill, H. S. (2005). Preeclampsia: recent insights. Hypertension, 46(1), 1243-1249.
Saito, S., Nakashima, A., Shima, T., & Ito, M. (2010). Th1/Th2/Th17 and 17. Regulatory T-cell paradigm in pregnancy. American Journal of Reproductive Immunology, 63(6), 601-610.
Saito, S., Sakai, M., Sasaki, Y., Nakashima, A., & Shiozaki, A. (2007). Inadequate tolerance induction may induce pre-eclampsia. Journal of Reproductive Immunology, 76(1-2), 30-39.
Steegers, E. A., Von Dadelszen, P., Duvekot, J. J., & Pijnenborg, R. (2010). Preeclampsia. The Lancet, 376(9741), 631-644.
Zhou, Y., Damsky, C. H., & Fisher, S. J. (1997). Preeclampsia is associated with failure of human cytotrophoblasts to mimic a vascular adhesion phenotype. One cause of defective endovascular invasion in this syndrome? The Journal of Clinical Investigation, 99(9), 2152-2164.
Author notes
jessy_biotec@hotmail.com