Odontologia
Histological and morphological evaluation of condylar cartilage of young rats in response to stimulation of mandibular protrusion
Avaliação histológica e morfológica da cartilagem condilar de ratos frente a estímulos de protrusão mandibular
Histological and morphological evaluation of condylar cartilage of young rats in response to stimulation of mandibular protrusion
Acta Scientiarum. Health Sciences, vol. 39, no. 2, pp. 219-226, 2017
Universidade Estadual de Maringá
Received: 11 May 2015
Accepted: 02 September 2015
Abstract: The aim of this study was to evaluate the histogical and morphological aspects of the condyle in response to mandibular protrusion induced by composite resin occlusal planes. Thirty five-week-old male Wistar rats were selected and randomly divided in two groups. One group received a composite resin type of oclusal plane that induced mandibular protrusion, and the other was the control group, without treatment. Animals were euthanized after experimental time intervals of 7, 21 and 30 days. For histological analysis, thickness of the proliferative, serial and hypertrophic layers was measured, as well as each layer separately. The highest difference in cartilage thickness was observed at day 21, showing a significant increase of the proliferative layer. There were also other histomorphological changes related to occlusal plane interference. Condylar forward repositioning induced by composite occlusal planes influenced the endochondral ossification, increasing the proliferative layer.
Keywords: articular cartilage, mandibular condyle, angle class II malocclusion.
Resumo: Este estudo teve como objetivo avaliar os aspectos histológicos e morfológicos do côndilo mandibular diante da protrusão induzida por um plano inclinado fixo de resina. Para tanto, trinta ratos Wistar machos com cinco semanas de vida foram divididos aleatoriamente em dois grupos. Um grupo experimental (E) recebeu o plano inclinado fixo de resina, que induziu a mandíbula à protrusão, e o outro consistiu no grupo controle (C), sem tratamento. Os animais foram eutanasiados após 7, 21 e 30 dias de experimento. Para análise histológica, foi realizada a mensuração da espessura condilar total, incluindo as camadas proliferativa, seriada e hipertrófica, assim como cada camada separadamente. A maior espessura da cartilagem foi observada em 21 dias no grupo E, com significante aumento da camada proliferativa. Também foram verificados níveis de histodiferenciação nos demais períodos, caracterizando interferência do plano inclinado. Concluiu-se que a indução do posicionamento condilar em avanço por meio do plano inclinado fixo interferiu no processo de ossificação endocondral, aumentando a atividade da camada proliferativa.
Palavras-chave: cartilagem articular, côndilo mandibular, má-oclusão de angle classe II.
Introduction
Biomechanical forces produced by postural movement of the mandible and/or orthopedic-orthodontic treatments may induce an adaptive response from the condylar cartilage (Shen & Darendeliler, 2005; Cholasueksa, Warita & Soma, 2004; Fuentes et al., 2003a; Fuentes et al., 2003b; Gribel, 1999; Lam, Sadowsky & Omerza, 1999; Nerder, Bakke & Solow, 1999; Hesse, Artun, Joondeph & Kennedy, 1997). This condylar remodeling and adaptation is inherent to the type of secondary cartilaginous tissue, accompanying the normal process of development of the stomatognathic system (Petrovic, Stutzmann, & Oudet, 1975).
The positioning of the mandible is constantly explored during orthopedic-orthodontic treatment, by means of using fixed or removable devices when seeking to achieve a correct maxillomandibular relationship. The cooperation of patients as regards of the use of removable appliances may be a limiting factor for successful treatment. Therefore, fixed alternatives are preferred. The selective wear technique and the use of occlusal planes made of resin bound to the teeth or the Planas Direct Tracks (PDT) (Planas, 2013; Belanger, 1992; Simões, 1981; Thilander, Wahlund, & Lennartsson, 1984; Buck, 1970) are an alternative that promotes mandibular advancement, seeking a response of anterior growth (Planas, 2013; Hesse et al., 1997; Simões, 1981). In particular, the inclined resin bonded planes are a simple alternative to induce mandibular anterior repositioning (Planas, 2013; Chibinski, Czlusniak, & Melo, 2005; Gribel & Gribel, 2005; Ramirez-yañez, 2003; Gribel, 2002). The presence of advancement devices seems to induce adaptive changes in the condylar cartilage (Liu, Kaneko, & Soma, 2007a; Sato, Muramoto, & Soma, 2006), glenoid fossa and articular eminence (Liu, Kaneko, & Soma, 2007b; Tuominen, Kantomaa, Pirttiniemi, & Poikela, 1996; Woodside, Metaxas, & Altuna, 1987), but little has been described about the effects of PDT.
Therefore, the aim of the present study was to evaluate the rat mandibular condyle response to mandibular protrusion induced by the fixed inclined plane made of composite resin.
Material and method
Thirty male Wistar rats, 5 weeks old were randomly divided into 2 groups: Control (C) and Experimental (E). The animals in both groups were fed a pasty diet and water ad libidum. Light was controlled (simulating a night-day cycle) and a temperature of 23ºC was monitored.
Animals of the Group E received an intraoral device (an inclined occlusal plane made of resin), capable of promoting mandibular advancement and changing functional occlusion (Figure 1). For this purpose, impressions were taken of the animals' mouths to allow fabrication of the devices and their inclination to be adjusted on the plaster casts. After this, a matrix was manufactured in acetate in order to allow standardization of the technique. The devices were made of resin composite Z-250 (3M Dental Products, St. Paul, MN/USA), on the maxillary and mandibular incisors.
Animals were anesthetized with a combination 1:1 of ketamine (10%) + xylazine (2%), via intramuscular injection, at the dose of 0.5 mg 100-1 g. With sedated animals, enamel etching was performed, with subsequent application of light polymerizing adhesive, insertion and light polymerization of a thin layer of resin, filling the acetate matrix with resin, and adaptation of the appliances to the teeth for final light polymerization. After this, accompanying the inclination attributed to the maxillary incisors, a polyester strip was adapted with the purpose of adding resin composite to the mandibular incisors. Thus, an inclined plane was established, capable of inducing the advanced position of the mandible.
The presence of the devices and their inclination prevented the mouth from closing in habitual occlusion, which caused mandibular protrusion (Figure 2).


The animals in Group C did not receive any device, and was the Control Group (Figure 3). This study was approved by the Institutional Review Board State of the University of Maringá (UEM), 080/2008.

Tissue preparation
Animals were euthanized by deep anesthesia after time intervals of treatment of 7, 21 and 30 days. Immediately after death, the heads of the animals were sectioned, dissected and immersed in fixative solution (Bouin) for 4 days. After consecutive changes of alcohol in a series of increasing concentrations, the regions of the temporomandibular joint (TMJ) were dissected. After this, the parts were decalcified in a solution containing 20% sodium citrate, formol and distilled water, for 5 days. To remove the decalcifying agent, the parts were washed in running water for 4 hours. The histological routine was performed, and after this the parts were embedded, following the same plane of orientation as the ramus parallel to the surface of the block.
Semi-serial sections, 7 μm thick, were made in the parasagittal plane of the condyle region, using a Leica RM 145® microtome, and stained with hematoxylin and eosin, mounted on slides with the use of Permount. Because this concerned a symmetrical protrusion of the two condyles, only the TMJs of the right side were sectioned.
Morphometric Analysis
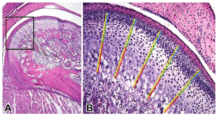
Images were captured in high definition format by an optical microscope (MOTIC BA400) and sent to a computer. With the image analysis software - Image-Pro-Plus 4 (Media Cybernetics, USA), the thicknesses of the proliferative, serial and hypertrophic layers were measured, providing 6 cuts from each animal. In each cut, 5 measurements were made in each layer, totaling 30 measurements for each animal (Figure 4).

Statistical Analysis
This was a double-blind study and the results were analyzed in the software STATISTICA 7. Data distribution was not normal, so that non parametric tests were used. The groups were evaluated by the Kruskal-Wallis test.
Results
There were significant differences in the total thickness of cartilage in all the experimental time intervals (Table 1). In Group E, after 7 days of placing the devices, alterations in the arrangement and characteristics of the cells were found (Figures 5A and B); the total thickness reduced by 33% when compared with Group C (Table 1).
| Total | Hypertrophic | Serial | Proliferative | |
| C7 | 240.51 ± 39.43 | 131.06 ± 33.84* | 65.92 ± 22.88* | 43.54 ± 10.72* |
| E7 | 161.13 ± 43.98 | 58.38 ± 27.35 | 44.57 ± 18.82 | 58.18± 18.58 |
| C21 | 170.42 ± 23.77 | 72.92 ± 17.28** | 54.99 ± 13.35** | 42.50 ± 10.23** |
| E21 | 278.23 ± 94.88 | 73.81 ± 30.57 | 96.71 ± 52.13 | 107.70 ± 47.28 |
| C30 | 157.29 ± 24.89 | 73.95 ± 16.69# | 51.94 ± 13.86# | 31.39 ± 12.30# |
| E30 | 121.24 ± 29.04 | 44.50 ± 14.93 | 41.48 ± 14.53 | 35.25 ± 13.98 |

Although the proliferative layer of Group E was slightly higher (Figures 5A and B), with an increase of 33% (Table 1), the hypertrophic and serial layers showed a reduction in thickness of 55 and 33%, respectively, (Table 1), when compared with Group C (Figures 6B and D).
After 21 days, in Group E, it was possible to observe considerable predominance of cells of the proliferative layer (Figures 5C and D), representing an increase of 63% in total thickness, due to the increase in thickness of the hypertrophic (75%) and proliferative (153%) layers, according to the data shown in Table 1 and Figures 6B and D.
At the experimental time interval of 30 days, Groups C and E (Figures 5E and F) were shown to be close with regard to the behavior of condylar cartilage, however, there was a small increase in the proliferative layer in Group E (close to12% more than in Group C) (Table 1).
The growth without interference revealed by Group C demonstrated a reduction in total thickness (including the sub-layers) of the condylar cartilage (Figures 5A, C and E) over time.

Discussion
In Class II, due to mandibular deficiency (Hägg et al., 2008), the goal of an orthopedic-orthodontic treatment is to favor mandibular growth, although the extent to which this may be possible, beyond the genetic thresholds, is still controversial. The signs of malocclusion are already present in primary dentition, persist in mixed dentition and tend to become consolidated as the patient gets older (Baccetti, Franchi, Mcnamara, & Tollaro, 1997). In view of the body of current evidence, the most adequate time (time-benefit) to promote this correction occurs during the pubertal phase, involving the growth spurt (Baccetti et al., 1997; Mcnamara & Bryan, 1987) although it is also possible to obtain response to mandibular advancement at earlier stages.
The animals used in this study attained the period of rat life between 5 and 9 weeks, corresponding to the prepubertal phase up to the pubertal growth spurt (Shen & Darendeliler, 2005). The experimental model of the TMJ of rats is well accepted and has been widely studied due to the similarity to the human TMJ (Ren, Maltha, & Kuijpers-Jagtman, 2004).
Orthodontic or orthopedic devices that promote changes in mandibular posture include fixed or removable devices, with the fixed type being more efficient because it does not depend on cooperation from the patient. In the present study, fixed inclined planes were used, which promoted mandibular advancement when the rats occluded. Classical studies (Charlie, Petrovic, & Herrmann-Stutzmann, 1969; Petrovic, 1972; Stutzmann & Petrovic, 1979; Vardimon, Stutzmann, Graber, Voss, & Petrovic, 1989) examined the histological effects of mandibular protrusion on the condylar cartilage of rats and demonstrated acceleration of its growth. They concluded that, firstly, an increase would occur in the prechondroblastic layer, followed by increase in the hypertrophic layer, increasing the endochondral condylar growth. When used bone markers, it was also observed a condylar increase in response to advancement in rats aged 4 weeks (Petrovic, Stutzmann, & Gasson, 1981), and an increase in the proliferative, pre- and chondroblastic layers, resulting in total mandibular augmentation, beyond that of the control rats. In spite of these results, other studies have demonstrated a reduction in the hypertrophic layer in comparison with the total layer, in response to mandibular advancement in rats, corroborating the findings of the present study. Ghafari & Degroote (1986) verified an increase in the rest layer and acceleration of ossification in the hypertrophic layer, which was less thick in the experimental group, with regard to total cartilage.
Various experimental models that have evaluated mandibular growth in response to advancement have been published (Carlson, 1999; Mcnamara & Bryan, 1987; Mcnamara & Carlson, 1979; Meikle, 2007). Analyses were made by means of radiographic (Liu et al., 2007a), histological (Liu et al., 2007b), and immunohistochemicalstudies (Sato et al., 2006), comparison of different consistencies of food (Bresin & Kiliaridis, 2002; Maki, Nishioka, Shioiri, Takahashi, & Kimura, 2002), calcium restriction (Watanabe, Imamura, Uchikanbori, Fujita, & Maki, 2008), Type X collagen expression (Rabie & Hägg, 2002; Rabie, Xiong, & Hägg, 2004; Shen, Zhao, Kaluarachchi, & Rabie, 2006), Type II collagen expression (Rabie et al., 2004; Tuominen et al., 1996), transcription factor Sox 9 (Papadopoulou et al., 2007; Rabie, She & Hägg, 2003a) and vascular endothelial growth factor – VEGF (Rabie & Hägg, 2002; Rabie, Shum, & Chayanupatkul, 2002b). Some studies have demonstrated that forward positioning of the mandible causes cellular responses capable of promoting increase in cartilage by endochondral ossification, culminating in bone neoformation (Leung, Rabie, & Hägg, 2004; Rabie, Leung, Chayanupatkul & Hägg, 2002a; Rabie et al., 2002b; Rabie et al., 2003a; Shen et al., 2006). In the present study, it was possible to observe changes in the cartilage thickness of rats submitted to mandibular advancement in comparison with the controls.In a time interval of 7 days, a reduction in total thickness was verified, however, the thickness in the proliferative layer increased when the Groups E were compared with Groups C. It is supposed that the advancement promotes stretching of the muscle fibers, and the condyle is positioned more anteriorly in the glenoid fossa, elongating the tendons and stimulating the region of the retrodiscal pad. According to Rabie and Hägg (2002), due to the high adaptive capacity, an increase in cell responses occurs, leading to the proliferation of new blood vessels, a fact confirmed by the high level of expression of vascular endothelial growth factor (VEGF), a potent regulator of neovascularization, present in the region of the condyle and articular fossa (Leung et al., 2004).
After the experimental time interval of 21 days, it was possible to find a significant increase in the condylar cartilage in Group E, particularly in the proliferative layer. Other studies (Rabie, Wong, & Tsai, 2003c; Shen & Darendeliler, 2005) have demonstrated that mandibular advancement accelerates and increases condylar growth, by the differentiation of mesenchymal cells into chondrocytes, leading to the formation and increase in the amount of cartilaginous matrix. To regulate this process, some genetic control mechanisms, such as transcription factor Sox 9 (Rabie et al., 2003a), mediator of mechanical Ihh - Indian hedgehog - signal transduction (Tang, Rabie, & Hägg, 2004) and negative feedback involving PTH-rP - parathyroid hormone related protein (Rabie, Tang, Xiongi, & Hägg, 2003b), are closely related.
Collagen Type X is specifically expressed in hypertrophic cartilage, confirming its role in the terminal stage of chondrocyte maturation (Fukada, Shibata, Suzuki, Ohya, & Kuroda, 1999). Rabie and Hägg (2002) observed a significant increase in the expression of this protein when the mandible was stimulated in the position of advancement, and verified an important correlation between the synthesis of this protein and the quantity of endochondral ossification. Among the properties of Collagen Type X, the facility to be resorbed is outstanding, with it being replaced by bone matrix and interfering in the calcification process during endochondral ossification (Bonen & Schmid, 1991).
After 30 days, it was possible to register a greater similarity between the condylar cartilage in Group C and E, however, the hypertrophic layer was smaller in Group E. It is interesting to point out a similarity between the two groups, but in Group E, the mandible continued to be supported in a forward position. Some authors (Leung et al., 2004; Rabieet al., 2002a; Rabie et al., 2002b; Shen et al., 2006) have found that in this period, replacement of cartilage by bone occurs. The transition from chondrogenesis to osteogenesis occurs in the erosive zone, where the chondrocytes begin to synthesize alkaline phosphatase, and concomitantly, the cartilaginous matrix undergoes calcification (Meikle, 2007). In a stage of calcification, the matrix inhibits the diffusion of nutrients into the tissue, culminating in the death of the chondrocytes. With the death of the chondrocytes, a large portion of the matrix becomes segmented, forming a series of gaps in the region. The discontinuity of the intercellular matrix and the spaces formed by the gaps create a situation that favors vascular invasion. The capillary vessels that occupy the region bring progenitor bone cells and bone marrow cells that will differentiate into osteoblasts (Cancedda, Castagnola, Cancedda, Dozin, & Quatro, 2000; Garant, 2003). The osteoblasts assume their positions on the spicules and cartilaginous remnants, initiate the synthesis of bone or osteoid tissue, which will subsequently be calcified, resulting in bone neoformation (Gartner & Hiatt, 1997). Therefore, the similarity of the results between Group C and E is considered favorable for mandibular growth, considering that it would be indicative of acceleration of ossification in the experimental group. Further studies with markers and measurement of the total mandibular length may confirm this fact.
Conclusion
After histological and morphometrical evaluation, changes were observed in the condylar cartilage during the experimental time interval of 30 days. The mandibular advancement position proposed in this experimental model was capable of changing the thickness and characteristics of condylar cartilage. The stimulation promoted cell histodifferentiation and proliferation, initiating the cascade of endochondral ossification events.
References
Baccetti, T., Franchi, L., Mcnamara, J. A., & Tollaro, I. (1997). Early dentofacial features of Class II malocclusion: a longitudinal study from the deciduous through the mixed dentition. American Journal of Orthodontics and Dentofacial Orthopedics, 111(5), 502-509.
Belanger, G. K. (1992). The rationale and indications for equilibration in the primary dentition. Quintessence International, 23(3), 169-174.
Bonen, D. K., & Schmid, T. M. (1991). Elevated extracellular calcium concentrations induce type X collagen synthesis in chondrocyte cultures. The Journal of Cell Biology, 115(4), 1171-1178.
Bresin, A., & Kiliaridis, S. (2002). Dento-skeletal adaptation after bite-raising in growing rats with different masticatory muscle capacities. European Journal of Orthodontics, 24(3), 223-237.
Buck, D. L. (1970). The fixed W arch for correction of posterior crossbites in children. The Journal of the American Dental Association, 81(5), 1140-1142.
Cancedda, R., Castagnola, P., Cancedda, F. D., Dozin, B., & Quarto, R. (2000). Developmental control of chondrogenesis and osteogenesis. The International Journal of Developmental Biology, 44(6), 707-714.
Carlson, D. S. (1999). Growth modification: from molecules to mandibles. In J. A. McNamara. Growth modification: what works, what doesn't, and why? (p. 17-65, Craniofacial Growth Series, 35). Ann Arbor, MI: Center for Human Growth and Development; University of Michigan.
Charlier, J. P., Petrovic, A., & Herrmann-Stutzmann, J. (1969). Effects of mandibular hyperpropulsion on the prechondroblastic zone of young rat condyle. American Journal of Orthodontics, 55(1), 71-74.
Chibinski, A. C. R., Czlusniak, G. D., & Melo, M. D. (2005). Pistas diretas planas: terapia ortopédica para correção de mordida cruzada funcional. Revista Clínica de Ortodontia Dental Press, 4(3), 64-72.
Cholasueksa, P., Warita, H., &Soma, K. (2004). Alterations of the rat temporomandibular joint in functional posterior displacement of the mandible. The Angle Orthodontist, 74(5), 677-683.
Fuentes, M. A., Opperman, L. A., Buschang, P., Bellinger, L. L., Carlson, D. S., & Hinton, R. J. (2003a). Lateral functional shift of the mandible: Part I. Effects on condylar cartilage thickness and proliferation. American Journal of Orthodontics and Dentofacial Orthopedics, 123(2), 153-159.
Fuentes, M. A.,Opperman, L. A., Buschang, P., Bellinger, L. L., Carlson, D. S., & Hinton, R. J. (2003b). Lateral funfional shift of the mandible: Part II. Effects on gene expression in condylar cartilage. American Journal of Orthodontics and Dentofacial Orthopedics, 123(2), 160-166.
Fukada, K., Shibata, S., Suzuki, S., Ohya, K., & Kuroda, T.(1999). In situ hybridisation study of type I, II, X collagens and aggrecanmRNas in the developing condylar cartilage of fetal mouse mandible. Journal of Anatomy, 3(3), 321-329.
Garant, P. R. (2003). Oral cells and tissues. Chicago, IL: Quintessence.
Gartner, L. P., & Hiatt, J. L. (1997). Color textbook of histology. Philadelphia, PA: Saunders.
Ghafari, J., & Degroote, C. (1986).Condylar cartilage response to continuous mandibular displacement in the rat. The Angle Orthodontist, 56(1), 49-57.
Gribel, M. N. (2002). Planas direct tracks in the early treatment of unilateral crossbite with mandibular postural deviation. Why worry so soon? World Journal of Orthodontics, 3(6), 239-249.
Gribel, M. N. (1999). Tratamento de mordidas cruzadas unilaterais posteriores com desvio postural mandibular com Pistas Diretas Planas. Revista Dental Press de Ortodontia e OrtopediaMaxilar, 4(5), 47-54.
Gribel, M. N., & Gribel, B. F. (2005). Planas direct tracks in young patients with Class II malocclusion. World Journal of Orthodontics, 6(4), 355-368.
Hägg, U., Rabie, A. B., Bendeus, M., Wong, R. W., Wey, M. C., Du, X., & Peng, J. (2008). Condylar growth and mandibular positioning with stepwise vs maximum advancement. American Journal of Orthodontics and Dentofacial Orthopedics, 134(4), 525-536.
Hesse, K. L., Artun, J., Joondeph, D. R., & Kennedy, D. B. (1997). Changes in condylar position and occlusion associated with maxillary expansion for correction of functional unilateral posterior crossbite. American Journal of Orthodontics and Dentofacial Orthopedics, 111(4), 410-418.
Lam, P. H., Sadowsky, C., & Omerza, F. (1999). Mandibular asymmetry and condylar position in children with unilateral posterior crossbite. American Journal of Orthodontics and Dentofacial Orthopedics, 115(5), 569-575.
Leung, F. Y., Rabie, A. B., & Hägg, U. (2004). Neovascularization and bone formation in the condyle during stepwise mandibular advancement. European Journal of Orthodontics, 26(2), 137-141.
Liu, C., Kaneko, S., & Soma, K. (2007a). Effects of a mandibular lateral shift on the condyle and mandibular bone in growing rats. The Angle Orthodontist, 77(5),787-793.
Liu, C., Kaneko, S., & Soma, K. (2007b). Glenoid fossa responses to mandibular lateral shift in growing rats. The Angle Orthodontist, 77(4), 660-667.
Maki, K., Nishioka, T., Shioiri, E., Takahashi, T., & Kimura, M. (2002). Effects of dietary consistency on the mandible of rats at the growth stage: computed X-ray densitometric and cephalometric analysis. The Angle Orthodontist, 72(5), 468-475.
Mcnamara, J. A., & Bryan, F. A. (1987). Long-term mandibular adaptations to protrusive function: an experimental study in Macacamulatta. American Journal of Orthodontics and Dentofacial Orthopedics, 92(2), 98-108.
Mcnamara, J. A., & Carlson, D. S. (1979). Quantitative analysis of temporo-mandibular joint adaptations of protrusive function. American Journal of Orthodontics and Dentofacial Orthopedics, 76(6), 593-611.
Meikle, M. C. (2007). Remodeling the dentofacial skeleton: the biological basis of orthodontics and dentofacial orthopedics. Journal of Dental Research, 86(1), 12-24.
Nerder, P. H., Bakke, M., & Solow, B. (1999). The functional shift on the mandible in unilateral posterior crossbite and the adaptation of the temporomandibular joint: a pilot study. EuropeanJournalofOrthodontics, 21(2), 155-166.
Papadopoulou, A. K., Papachristou, D. J., Chatzopoulos, S. A., Pirttiniemi, P., Papavassiliou, A. G., & Basdra, E. K. (2007). Load application induces changes in the expression levels of Sox-9, FGFR-3 and VEGF in condylar chondrocytes. Federation of European Biochemical Societies Letters, 581(10), 2041-2046.
Petrovic, A., Stutzmann, J., & Gasson N. (1981). The final lenght of the mandible: is it genetically determined? In D. S. Carlson. Craniofacial Biology (2nd ed., p. 105-126, Monograph No. 10, Craniofacial Growth Series). Ann Arbor, MI: Center for Human Growth and Development, The University of Michigan,
Petrovic, A. G. (1972). Mechanisms and regulation of mandibular condylar growth. Acta Morphologica Neerlando-Scandinavica, 10(1), 25-34.
Petrovic, A. G., Stutzmann, J. J., & Oudet, C. L. (1975). Control processes in the postnatal growth of the condylar cartilage of the mandible. In J. A. McNamara. Determinants of mandibular form and growth, (p. 101-153, Monograph No. 4, Craniofacial Growth Series). Ann Arbor: Center for Human Growth and Development, University of Michigan.
Planas, P. (2013). Rehabilitaciónneuro-oclusal (RNO). Madrid, ES: Ripano.
Rabie, A. B., & Hägg, U. (2002). Factors regulating mandibular condylar growth. American Journal of Orthodontics and Dentofacial Orthopedics, 122(4), 401-409.
Rabie, A. B., Leung, F.Y., Chayanupatkul, A., & Hägg, U. (2002a). The correlation between neovascularization and bone formation in the condyle during forward mandibular positioning. The Angle Orthodontist,72(4), 431-438.
Rabie, A. B., She, T. T., & Hägg, U. (2003a). Functional appliance therapy accelerates and enhances condylar growth. American Journal of Orthodontics and Dentofacial Orthopedics, 123(1), 40-48.
Rabie, A. B., Shum, L., & Chayanupatkul, A. (2002b). VEGF and bone formation in the glenoid fossa during forward mandibular positioning. American Journal of Orthodontics and Dentofacial Orthopedics, 122(2), 202-209.
Rabie, A. B., Tang, G. H., Xiongi, H., & Hägg, U. (2003b). PTHrP regulates chondrocyte maturation in condylar cartilage. Journalof Dental Research, 82(8), 627-631.
Rabie, A. B., Wong, L., & Tsai, M. (2003c). Replicating mesenchymal cells in the condyle and the glenoid fossa during mandibular forward positioning. American Journal of Orthodontics and Dentofacial Orthopedics, 123(1), 49-57.
Rabie, A. B., Xiong, H., & Hägg, U. (2004). Forward mandibular positioning enhances condylar adaptation in adult rats. European Journal of Orthodontics, 26(4), 353-358.
Ramirez-Yañes, G. O. (2003). Planas direct tracks for early crossbitecorretion. Journal of Clinical Orthodontics, 37(3), 294-298.
Ren, Y., Maltha, J. C., & Kuijpers-Jagtman, A. M. (2004). The rat as a model for orthodontic tooth movement--a critical review and a proposed solution. European Journal of Orthodontics, 26(5), 483-490.
Sato, C., Muramoto, T., & Soma, K. (2006). Functional lateral deviation of the mandible and its positional recovery on the rat condylar cartilage during the growth period. The Angle Orthodontist, 76(4), 591-597.
Shen, G., & Darendeliler, M. A. (2005).The adaptive remodeling of condylar cartilage - a transition from chondrogenesis to osteogenesis. Journal of Dental Research, 84(8), 691-699.
Shen, G., Zhao, Z., Kaluarachchi, K., & Rabie, A. B. (2006). Expression of type X collagen and capillary endothelium in condylar cartilage during osteogenic transition-a comparison between adaptive remodelling and natural growth. European Journa lof Orthodontics, 28(3), 210-216.
Simões, W. A. (1981). Selective grinding and Planas’ Direct Tracks as a source of prevention. The Journal of Pedodontics, 5(4), 298-314.
Stutzmann, J., & Petrovic, A. (1979). Intrinsic regulation of the condylar cartilage growth rate. European Journal of Orthodontics, 1(1), 41-54.
Tang, G. H., Rabie, A. B., & Hägg, U. (2004). Indian hedgehog: a mechanotransduction mediator in condylar cartilage. Journalof Dental Research, 83(5), 434-438.
Thilander, B., Wahlund, S., & Lennartsson, B. (1984). The effect of early interceptive treatment in children with posterior cross-bite. European Journal of Orthodontics, 6(1), 25-34.
Tuominen, M., Kantomaa, T., Pirttiniemi, P., & Poikela, A. (1996). Growth and type-II collagen expression in the glenoid fossa of the temporomandibular joint during altered loading: a study in the rat. European Journal of Orthodontics, 18(1), 3-9.
Vardimon, A. D., Stutzmann, J. J., Graber, T. M., Voss, L. R., & Petrovic, A.G.(1989). Functional orthopedic magnetic appliance (FOMA) II - modus operandi. American Journal of Orthodontics and Dentofacial Orthopedics, 95(5), 371-87.
Watanabe, K., Imamura, H., Uchikanbori, S., Fujita, Y., & Maki, K. (2008). Effects of restricted calcium intake on bone and maxillofacial growth. The Angle Orthodontist,78(3), 445-452.
Woodside, D. G., Metaxas, A., & Altuna, G. (1987). The influence of functional appliance therapy on glenoid fossa remodeling. American Journal of Orthodontics and Dentofacial Orthopedics, 92(3), 181-198.
Author notes
rssterada@uem.br