Ciências da Saúde
Does Clonazepam induce salivary gland toxicity? A morphometric analysis of salivary glands in pregnant mice
Does Clonazepam induce salivary gland toxicity? A morphometric analysis of salivary glands in pregnant mice
Acta Scientiarum. Health Sciences, vol. 45, e60003, 2023
Universidade Estadual de Maringá

Recepción: 23 Julio 2021
Aprobación: 07 Enero 2022
Abstract: Physiological alterations in pregnancy may induce changes in salivary secretion and a predisposition to anxiety disorders. Clonazepam, a benzodiazepine, is recommended as the first choice for the treatment of anxiety disorders. To date, no studies have described the consequences of using this drug on the salivary glands of pregnant women. Therefore, the objective was to evaluate the alterations induced by exposure to Clonazepam in the salivary glands of pregnant mice. Twenty-two pregnant Swiss mice were divided into a control group (C) and a treated group (T), which received distilled water and 10 mg Kg-1 of Clonazepam, respectively, via gavage, daily, from the 5 to the 17th day of pregnancy. On the 18th day, euthanasia and collection of salivary glands were carried out, and the salivary glands were histologically processed and morphometrically analyzed under an optical microscope. The area, perimeter, and diameter of the acini and the thickness of the secretory ducts of each gland were measured. Parametric data (expressed as mean and standard deviation) were analyzed using the Student's t-test, and non-parametric data (expressed as median and interquartile range) using the Mann-Whitney test (p <0.05). Parotid glands’ acinar diameters (C: 44.1 ± 12.2 µm; T: 36.5 ± 7.8 µm; p =0.002) and ductal thicknesses (C: 16.9 [14.3-21.3] µm; T: 15.1 [13.4-16.3] µm; p =0.043) were statistically smaller in the T group than in the C group. No further alterations were found in other parameters from parotid glands, nor in submandibular and sublingual glands. It is concluded that Clonazepam induces morphological alterations in the parotid glands of pregnant mice. These alterations are probably associated with hyposalivation and xerostomia, already described as a common complaint among the users of benzodiazepines. Further studies are, therefore, suggested to assess the implications of these findings on pregnant women’s oral health.
Keywords: psychotropic drugs, anxiety disorders, pregnancy, salivary glands, xerostomia, oral health.
Introduction
Worldwide, around 270 million people suffer from anxiety disorders (Baxter, Vos, Scott, Ferrari, & Whiteford, 2014) and pregnant women are among the affected profiles (Goodman, 2004). One of the drugs indicated for the treatment of anxiety disorders is clonazepam (Wang et al., 2016), from the class of benzodiazepines, which are known to induce xerostomia (Tredwin, Scully, & Bagan-Sebastian, 2005; Lee, Mistry, Sharma, & Coatesworth, 2006; Vinayak, Annigeri, Mittal, & Patel, 2013). Because xerostomia is potentially associated with hyposalivation or alteration in salivary content (Mohammed, 2014), the treatment with Clonazepam during pregnancy is likely to impair pregnant women’s oral health.
Benzodiazepines are positive allosteric modulators of the gamma-aminobutyric acid (GABA-A) receptor (Kapil, Green, Le Lait, Wood, & Dargan, 2014), and are commonly used as adjuvants to balance mood and to mitigate anxiety, agitation, and sleep problems, and as they are generally well-tolerated and present a rapid onset of action, they are considered effective to treat anxiety (Kaplan & DuPont, 2005; Krystal, 2015). Clonazepam is one of the most frequently recommended and widely used drug among benzodiazepines (Kaplan & DuPont, 2005).
The GABA-A receptors are the main inhibitory neurotransmitter receptors in the brain and are the site of action for benzodiazepines (Sieghart & Sperk, 2002). They are composed of five subunits and, depending on the subunit, these receptors exhibit distinct pharmacological properties (Sieghart & Sperk, 2002). The already described expression of these receptors in the salivary glands of murine models (Yamagishi & Kawaguchi, 1998), is probably the reason why xerostomia is induced as a side effect of Clonazepam and other benzodiazepines.
Xerostomia is an important side effect of psychotropic drugs, including benzodiazepines (and Clonazepam, as well), and it is mentioned as a complaint by up to 60% of patients being treated with these drugs (Kopittke, Gomez, & Barros, 2005). To date, however, no studies describe the toxicological effect of Clonazepam on salivary glands. Therefore, this study aimed to evaluate the morphometric alterations induced by Clonazepam exposure on the major salivary glands of pregnant mice.
Material and methods
All procedures herein described abide by the Brazilian Guidelines for the Care and Use of Animals for Scientific and Didactic Purposes, proposed by the National Council for the Control of Animal Experimentation (Brasil, 2013), and were approved by the Ethics Committee on the Use of Animals, of the State University of Londrina, under process 264.2018.20, according to official letter 18/2018.
Animals
A total of 22 female mice and 11 male mice, adults, species Mus musculus, Swiss strain, weighing approximately 35g, were obtained from the Central Animal Facility of the Center of Biological Sciences, State University of Londrina.Before the experiment, the animals were allowed seven days of acclimation in the vivarium of the Department of General Biology at the same university. They were housed in polypropylene cages, measuring 30 x 20 cm x 13 cm, covered with zinc-coated wire, lined with wood shavings, and had access to water and food (Nuvilab, Nuvital, Colombo, Paraná, Brazil) ad libitum. During the acclimation period and the experiment, the mice were kept under controlled 12-hour light/dark cycles, and a temperature of 22 (± 2ºC).
The mice were placed to mate, in a 2 females:1 male proportion, and after that, the females were examined every 12 hours for the occurrence of the ‘vaginal plug’, which determines day zero of pregnancy (Thorpe, Burgess, Sadkowski, & De Catanzaro, 2013; Binder, Evans, Gardner, Salamonsen, & Hannan, 2014), on which the females were identified and weighed.
Experimental design
Female mice were distributed into two experimental groups with 11 animals in each. Females in the treated group (T) received daily doses of 10 mg Kg-1 of Clonazepam oral solution (drops) 2.5 mg mL-1 (Medley Farmacêutica, Campinas, São Paulo, Brazil); and those in the control group (C) received saline solution in volumes equivalent to the drug solution (Pereira & Machado, 2008). The treatment period for both groups was from the 5 to the 17th day of pregnancy.
Euthanasia procedures
On the 18th day of pregnancy, female mice were euthanized by cervical dislocation, followed by the collection of the major salivary glands: parotid, submandibular, and sublingual.
Salivary gland analysis
After being collected and dissected, the submandibular, sublingual, and parotid salivary glands were fixed in Bouin's solution for 24 hours, and then in ethanol at 70%. Histological processing was carried out using ethanol at 95 and 100%, and xylol. After that, the specimens were embedded in paraffin and were cut in the sagittal direction and stained with hematoxylin and eosin. The slides were photographed using a digital camera under a light microscope (Moticam, Motic Co, Xiamen, China), and the images were analyzed using the Motic Image Plus 2.0 program (Motic Co, Xiamen, China), with 100x magnification. For each of the glands in each slide, a field was analyzed, in which the following morphometric parameters (µm) were measured in triplicate: perimeter and the largest diameter of the acini, the thickness of the duct wall, and in µm2, the area of the acini (Lima, Salles, Costa, Ramos, & Salles, 2016).
Statistical analysis of the data
The collected data were analyzed using the GraphPad Prism 5 program (GraphPad Software, Inc., La Jolla, CA, USA). As the data related to the morphometric parameters were collected in triplicate, the three values collected per parameter, per analyzed field were considered for the analysis. The D'Agostino Pearson test was used to evaluate the distribution of the data. Parametric data were analyzed using the unpaired Student's t-test and were expressed as mean and standard deviation. Non-parametric data were analyzed by the Mann-Whitney U test and were expressed as median and interquartile ranges. The significance level was set at 5% (p<0.05).
Results and discussion
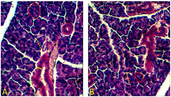
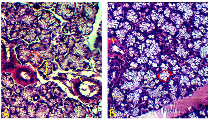
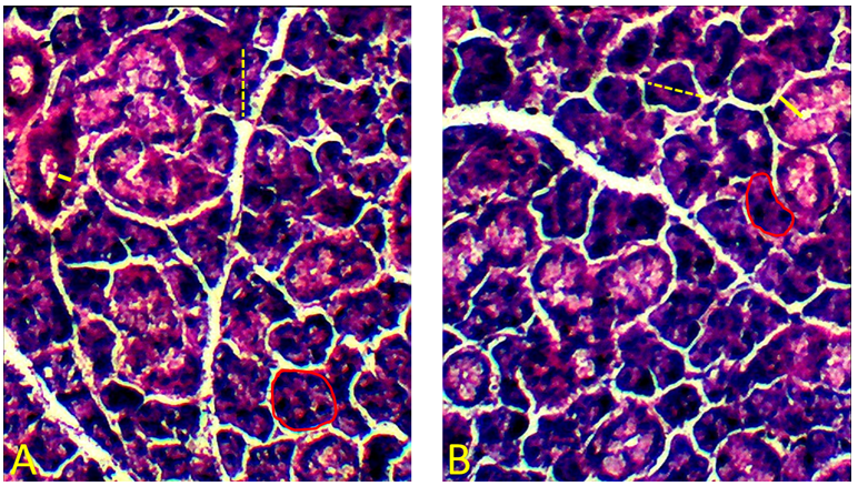
Table 1 shows the results of the morphometric analyses for the three major salivary glands. The parotid gland’s acinar diameters and ductal thicknesses were significantly smaller in the T group than in the C group (Figure 1). No further differences were found regarding the other morphometric parameters of parotid glands, nor for the morphometric parameters of sublingual (Figure 2) and submandibular glands (Figure 3).

Figures 1, 2, and 3 present photomicrographs of the parotid, submandibular, and sublingual salivary glands, respectively.

To the best of our knowledge, this study is the first to describe the toxicological effects of Clonazepam on the salivary glands of pregnant mice. The main finding was that this drug induced alterations in morphometric parameters of the parotid glands of pregnant mice exposed to the drug. Likely, the morphometric alterations described for the pregnant animal model used also occur in humans, due to the similar constitution of the salivary glands between the species. In both humans and mice, the parotid glands are composed of serous acini, the submandibular glands of mixed acini, and the sublingual glands predominantly of mucous acini (Li et al., 2011). Furthermore, it is possible that these morphological alterations are associated with functional alterations, for instance, in the production and secretion of saliva (Rinaldi et al., 2015).


The effect of benzodiazepines on the salivary glands of rodents has already been described in the literature. In one study, the authors found that benzodiazepines acted directly on acinar cells in rodent parotid glands by inhibiting the release of amylase (Okubo & Kawaguchi, 1998). Although there are no previous studies in the literature describing the results of the morphometry of acini in major salivary glands as a result of exposure to benzodiazepines, a reduction in the number of acinar cells in parotid glands in rats was found as a result of chronic exposure to two benzodiazepines, Midazolam and Lorazepam (Rinaldi et al., 2015). Moreover, it was shown that the chronic use of Midazolam was able to induce apoptosis of acinar cells (Rinaldi et al., 2018). Furthermore, Diazepam, also a benzodiazepine, has been shown to induce atrophy in parotid gland acini in rodents (Rinaldi et al., 2015).
Benzodiazepine drugs induce xerostomia, which is the sensation of dry mouth (Tredwin et al., 2005; Lee et al., 2006; Vinayak et al., 2013). In addition, their chronic use causes hyposalivation, which is a decrease in salivary flow (Mattioli et al., 2016). Pregnancy, by itself, can alter the physiology of the oral cavity and, therefore, the production and secretion of saliva. A decrease in salivary flow during the second and third trimesters, a drop in pH, and a change in salivary content are examples of alterations in saliva that can occur due to the gestational hormonal changes (Lasisi & Ugwuadu, 2014; Karnik, Pagare, Krishnamurthy, Vahanwala, & Waghmare, 2015). Since the present study was conducted in a pregnant animal model, the morphometric alterations found in mice salivary glands due to Clonazepam exposure reflect the consequence of the exposure to the drug in association with alterations induced by pregnancy on the morphology of the glands.
More studies on the effects of Clonazepam on the morpho-physiology of salivary glands are needed, especially in pregnant experimental models and pregnant women. Thus, in addition to proving the association between morphological and functional alterations in the salivary glands, it will still be possible to verify whether there are clinical implications for these alterations. In this way, dental surgeons can better intervene to prevent oral complications in pregnant patients using Clonazepam, resulting from the sum of effects between the drug and the physiological alterations inherent to pregnancy.
Conclusion
Clonazepam induces a reduction in acinar diameters and ductal thicknesses of the parotid gland of pregnant mice. These morphological alterations are probably associated with functional alterations in saliva production and secretion, for instance, hyposalivation and xerostomia, already described as common complaints among the users of benzodiazepine drugs. Further studies are, therefore, suggested to assess the implications of our findings on pregnant women’s oral health.
Acknowledgements
The authors would like to thank Melyssa Costa and Carlos Lourenço, Histology technicians from the Department of General Biology at the State University of Londrina, for all their help in processing the histological specimens.
References
Binder, N. K., Evans, J., Gardner, D. K., Salamonsen, L. A., & Hannan, N. J. (2014). Endometrial signals improve embryo outcome: Functional role of vascular endothelial growth factor isoforms on embryo development and implantation in mice. Human Reproduction, 29(10), 2278-2286. DOI: https://doi.org/10.1093/humrep/deu211
Brasil. Ministério da Ciência, Tecnologia e Inovação. Conselho Nacional de Controle de Experimentação Animal. (2013). Diretriz brasileira para o cuidado e a utilização de animais para fins científicos e didáticos (Vol. 2). Brasília, DF: Concea.
Baxter, A. J., Vos, T., Scott, K. M., Ferrari, A. J., & Whiteford, H. A. (2014). The global burden of anxiety disorders in 2010. Psychological Medicine, 44(11), 2363–2374. DOI: https://doi.org/10.1017/S0033291713003243
Goodman, J. H. (2004). Postpartum depression beyond the early postpartum period. Journal of Obstetric, Gynecologic & Neonatal Nursing, 33(4), 410-420. DOI: https://doi.org/10.1177/0884217504266915
Kapil, V., Green, J. L., Le Lait, M.-C., Wood, D. M., & Dargan, P. I. (2014). Misuse of the γ-aminobutyric acid analogues baclofen, gabapentin and pregabalin in the UK. British Journal of Clinical Pharmacology, 78(1), 190-191. DOI: https://doi.org/10.1111/bcp.12277
Kaplan, E. M., & DuPont, R. L. (2005). Benzodiazepines and anxiety disorders: a review for the practicing physician. Current Medical Research and Opinion, 21(6), 941-950. DOI: https://doi.org/10.1185/030079905X48401
Karnik, A., Pagare, S., Krishnamurthy, V., Vahanwala, S., & Waghmare, M. (2015). Determination of salivary flow rate, pH, and dental caries during pregnancy: A study. Journal of Indian Academy of Oral Medicine and Radiology, 27(3), 372-376. DOI: https://doi.org/10.4103/0972-1363.170454
Kopittke, L., Gomez, R., & Barros, H. M. T. (2005). Opposite effects of antidepressants on unstimulated and stimulated salivary flow. Archives of Oral Biology, 50(1), 17-21.
Krystal, A. D. (2015). New developments in insomnia medications of relevance to mental health disorders. Psychiatric Clinics of North America, 38(4), 843-860. DOI: https://doi.org/10.1016/j.psc.2015.08.001
Lasisi, T. J., & Ugwuadu, P. N. (2014). Pregnancy related changes in human salivary secretion and composition in a Nigerian population. African Journal of Medicine and Medical Sciences, 43(4), 347-351.
Lee, C. A., Mistry, D., Sharma, R., & Coatesworth, A. P. (2006). Rhinological, laryngological, oropharyngeal and other head and neck side effects of drugs. Journal of Laryngology and Otology, 120(2), 1-10. DOI: https://doi.org/10.1017/S0022215105005839
Li, B. B., Chen, Z. B., Li, B. C., Lin, Q., Li, X. X., Li, S. L., … Yu, G. Y. (2011). Expression of ghrelin in human salivary glands and its levels in saliva and serum in Chinese obese children and adolescents. Archives of Oral Biology, 56(4), 389-394. DOI: https://doi.org/10.1016/j.archoralbio.2010.10.014
Lima, K. S., Salles, A. E., Costa, G. A., Ramos, S. P., & Salles, M. J. S. (2016). Efeitos do metilfenidato sobre as glândulas salivares maternas de camundongos. Revista de Odontologia da UNESP, 45(6), 316-321. DOI: https://doi.org/10.1590/1807-2577.19415
Mattioli, T. M. F., Alanis, L. R. A., Sapelli, S. S., Lima, A. A. S., Noronha, L., Rosa, E. A. R., … Gregio, A. M. T. (2016). Effects of benzodiazepines on acinar and myoepithelial cells. Frontiers in Pharmacology, 7(1), 1-8. DOI: https://doi.org/10.3389/fphar.2016.00173
Mohammed, A. A. (2014). Update knowledge of dry mouth - a guideline for dentists. African Health Sciences, 14(3), 736-742. DOI: https://doi.org/10.4314/ahs.v14i3.33
Okubo, M., & Kawaguchi, M. (1998). Inhibitory regulation of amylase release in rat parotid acinar cells by benzodiazepine receptors. European Journal of Pharmacology, 359(2-3), 243-249. DOI: https://doi.org/10.1016/S0014-2999(98)00628-1
Pereira, W. F., & Machado, M. Q. M. (2008). Estudo comparativo do efeito ansiolítico da Erythrina verna (mulungu) e o clonazepam (rivotril) em modelo animal de ansiedade. Horizonte Científico, 1(9), 315-333.
Rinaldi, M., Johann, A., Rocha, F., Ignacio, S., Rosa, E., Alanis, L., … Gregio, A. (2015). Histomorphometric analysis of salivary gland in wistar rats treated chronically with two benzodiazepines. Current Pharmaceutical Biotechnology, 16(6), 573-578. DOI: https://doi.org/10.2174/138920101606150407115258
Rinaldi, M., Johann, A. C. B. R., Bettega, P. V. C., Rocha, F., Ignácio, S. A., Rosa, E. A. R., … Hardy, A. M. T. G. (2018). The apoptotic effect of midazolam on the salivary gland of rats and the reversal effect by pilocarpine. Canadian Journal of Physiology and Pharmacology, 96(9), 898-901. DOI: https://doi.org/10.1139/cjpp-2018-0076
Sieghart, W., & Sperk, G. (2002). Subunit composition, distribution and function of gaba-a receptor subtypes. Current Topics in Medicinal Chemistry, 2(8), 795-816. DOI: https://doi.org/10.2174/1568026023393507
Thorpe, J. B., Burgess, P. S., Sadkowski, M., & De Catanzaro, D. (2013). Estrogen-progesterone balance in the context of blastocyst implantation failure induced by predator stress. Psychoneuroendocrinology, 38(12), 3048-3056. DOI: https://doi.org/10.1016/j.psyneuen.2013.09.001
Tredwin, C. J., Scully, C., & Bagan-Sebastian, J.-V. (2005). Drug-induced disorders of teeth. Journal of Dental Research, 84(7), 596-602. DOI: https://doi.org/10.1177/154405910508400703
Vinayak, V., Annigeri, R., Mittal, S., & Patel, H. (2013). Adverse affects of drugs on saliva and salivary glands. Journal of Orofacial Sciences, 5(1), 15-20. DOI: https://doi.org/10.4103/0975-8844.113684
Wang, S.-M., Kim, J.-B., Sakong, J. K., Suh, H.-S., Oh, K. S., Woo, J.-M., … Lee, K.-U. (2016). The efficacy and safety of clonazepam in patients with anxiety disorder taking newer antidepressants: a multicenter naturalistic study. Clinical Psychopharmacology and Neuroscience, 14(2), 177-183. DOI: https://doi.org/10.9758/cpn.2016.14.2.177
Yamagishi, H., & Kawaguchi, M. (1998). Characterization of central- and peripheral-type benzodiazepine receptors in rat salivary glands. Biochemical Pharmacology, 55(2), 209-214. DOI: https://doi.org/10.1016/S0006-2952(97)00433-4
Notas de autor
salmjs00@gmail.com