Orgánica y Bioquímica
Condiciones para el análisis electrofóretico de proteínas apoplásticas de tallos y raíces de clavel (Dianthus caryophyllus L) para estudios proteómicos
Electrophoretic conditions for analysis of apoplastic proteins in stems and roots of carnation (Dianthus caryophyllus L) for proteomic studies
Condições para a análise eletroforética de proteínas apoplásticas de caules e raízes de cravo (Dianthus caryophyllus L) para estudos proteômicos
Condiciones para el análisis electrofóretico de proteínas apoplásticas de tallos y raíces de clavel (Dianthus caryophyllus L) para estudios proteómicos
Revista Colombiana de Química, vol. 46, núm. 2, pp. 5-16, 2017
Universidad Nacional de Colombia

Recepción: 13 Octubre 2016
Aprobación: 14 Febrero 2017
Resumen: Dianthus caryophyllus
Palabras clave: Fluido apoplástico, Fusarium oxysporum f. sp. dianthi, planta patógeno, electroforesis.
Abstract: En el presente estudio se describe un flujo de trabajo que puede ser aplicado a diferentes especies vegetales, con el fin de obtener extractos apoplásticos que puedan ser usados para análisis proteómicos. Para ello, usando tallos y raíces de clavel, se evaluaron parámetros claves para la extracción de estas proteínas. Se determinó que para esta especie (Dianthus caryophyllus L) se debe usar la solución amortiguadora fosfato de sodio 0,1 M pH 6,5, cloruro de sodio 50 mM y 0,1% β-mercaptoetanol para la infiltración; con tres tiempos de vacío de 20 s a 70 kPa y centrifugación a 1000 x g durante 20 min a 4 ºC, seguido de precipitación y concentración de proteínas con el método (TCA-Ácido tricloroacético)/acetona. Bajo estas condiciones, se obtienen extractos que permiten análisis electroforéticos en 2D de proteínas de apoplasto, usando para el isolectroenfoque tiras con gradientes de pH 5-8 para raíz y pH 3-10 para tallo. Las condiciones descritas permitirán profundizar sobre el papel de las proteínas apoplásticas en diversidad de fenómenos biológicos que involucren esta especie vegetal.
Keywords: Apoplastic fluid, Fusarium oxysporum f. sp. dianthi, plant-pathogen, electrophoresis.
Resumo: In the present study a workflow, that can be applied to different plant species, to obtain a high quality apoplastic extract and for proteomic analysis was described. For that, using carnation roots and stems, some important parameters for the extraction of these proteins were evaluated. The best conditions for the infiltration were provided by using a sodium phosphate buffer pH 6.5 0.1 M, sodium chloride 50 mM and β-mercaptoethanol 0.1%, with 3 vacuum times at 70 kPa for 20 s and centrifuged at 4°C at 1,000 g for 20 min, and then a subsequent protein precipitation and concentration with the (TCA-Trichloroacetic acid)/acetone protocol. These conditions can be used to obtain a good quality extract for 2D electrophoretic analysis of apoplastic proteins. Strips with pH gradients between 5-8 and 3-10 were used to run isoelectric analysis for extracts obtained from apoplast in roots and stems respectively. The conditions described can be used to perform studies focused to apoplastic proteins and its role in biological phenomena involving this plant species.
Palavras-chave: Fluido apoplástico, Fusarium oxysporum f sp. dianthi, patógeno de planta, eletroforese.
Resumo: No presente estudo, é descrito um fluxo de trabalho que pode ser aplicado a espécies vegetais diferentes, para obter extratos apoplásticos que podem ser utilizados para análise proteômico. Para isto, utilizando os caules e as raízes do cravo, foram avaliados parâmetros considerados chave para a extração destas proteínas. Determinou-se que para esta espécie, deve ser utilizada uma solução tampão de fosfato de sódio 0,1 M pH 6,5 com cloreto de sódio 50 mM e 0,1% β-mercaptoetanol para a infiltração; com três aplicações de vácuo de 20 s a 70 kPa e centrifugação a 1000 x g por 20 minutos a 4ºC, e subsequente precipitação e concentração de proteínas usando (TCA-Ácido tricloroacético)/acetona. Nestas condições podem-se obter extratos que permitem a análise eletroforética 2D de proteínas do apoplasto utilizando para a focalização isoeléctrica tiras com gradientes de pH 5-8 para a raiz e de pH 3-10 para o caule. As condições descritas permitirão aprofundar sobre o papel das proteínas apoplásticas numa diversidade de fenômenos biológicos que envolvem esta espécie de planta.
Palavras-chave: Fluido apoplástico, Fusarium oxysporum f sp. dianthi, patógeno de planta, eletroforese.
Introducción
El apoplasto de la planta, compuesto por la matriz de la pared celular y los espacios intercelulares, juega un papel importante en una amplia gama de procesos fisiológicos: interacción celular, transporte de agua y nutrientes, interacciones planta-patógeno, percepción y transducción de señales ambientales, entre otros (1, 2).
La llegada de los fitopatógenos al apoplasto vegetal es una fase crítica en la mayoría de las enfermedades infecciosas, pues es donde se presentan los primeros eventos que determinan la susceptibilidad o la resistencia (1). Durante la activación de los mecanismos de defensa de las plantas, se requiere la regulación de una amplia variedad de proteínas que están implicadas en el fortalecimiento de la pared celular y en diversos niveles de la percepción y degradación de patógenos. La regulación fina de dichas proteínas presentes en el apoplasto de la planta es esencial para una rápida y efectiva percepción del patógeno, lo que conduce a mantener la integridad de la pared celular de la planta (3-5).
Sin embargo, aunque es evidente la importancia del proteoma apoplástico durante una interacción planta-patógeno dada, ésta permanece pobremente caracterizada comparada con el proteoma intracelular. Esto se debe especialmente a la dificultad para obtener suficiente fluido apoplástico, sin romper la membrana celular y sin la contaminación con proteínas citoplasmáticas (1). Considerando que los estudios sobre el cambio dinámico de la composición de proteínas del apoplasto han generado nuevo conocimiento acerca de la respuesta de las plantas al estrés biótico (3, 6), se requiere de protocolos adecuados para la extracción del fluido apoplástico en aquellas especies vegetales que son abordadas por primera vez en este tipo de estudios. Esto es aún más determinante cuando se pretende aplicar técnicas de separación de proteínas altamente resolutivas, basadas en aproximaciones holísticas propias de los estudios proteómicos, en donde la contaminación con proteínas citoplasmáticas puede generar confusión durante la interpretación de resultados. Durante este tipo de análisis, se debe evitar la contaminación con componentes no proteicos que puedan interferir con las técnicas de separación e identificación de proteínas como electroforesis bidimensional en gel (2 DE) con posterior análisis por espectrometría de masas (MS) o cromatografía líquida acoplada a espectrometría de masas (LC-MS). La técnica más empleada para la extracción del fluido apoplástico está basada en la combinación de tres factores: i) vacío, ii) infiltración y iii) centrifugación. Este método posee dos pasos decisivos: la infiltración con vacío, donde se emplea una solución apropiada, y la centrifugación (7-9).
Debido a que la solubilidad de las proteínas depende de diversos factores como la temperatura, la constante dieléctrica del medio, el pH, la fuerza iónica y la presencia de agentes reductores, diferentes soluciones de infiltración han sido utilizadas para la obtención de fluido apoplástico en diversas especies vegetales, entre las que se encuentran agua (10), ácido ascórbico 20 mM/CaCl2 20 mM (11), sorbitol 100 mM (12), solución amortiguadora Tris-HCl 25 mM, pH 8,0 (13), solución amortiguadora fosfato de sodio 100 mM (14), NaCl 50 mM (15) ó solución amortiguadora Tris-HCl 50 mM pH 8,0 NaCl 3,5% p/v y β-mercaptoetanol 0,1% v/v (5).
En el presente estudio se evaluaron parámetros como pH (empleando Tris-HCl pH 8,0 y Na2HPO4-NaH2PO4 pH 6,5), fuerza iónica (NaCl 0,5 mM y 0,6 M), así como el efecto de la adición de un agente reductor como el β-mercaptoetanol.
En cuanto a la velocidad de centrifugación, se ha determinado que, empleando hojas de diversas especies de plantas, un incremento en la fuerza de centrifugación puede conducir a la contaminación con proteínas citoplasmáticas. De acuerdo a dichos estudios se determina que si la fuerza de centrifugación no excede las 1000 g, la contaminación citoplasmática es despreciable (8).
Los análisis de proteínas apoplásticas son dispendiosos teniendo en cuenta la baja concentración de proteínas que se presentan en los fluidos obtenidos bajo las técnicas reportadas (1, 4, 15). Es por ello que se hace necesario usar diferentes técnicas de precipitación que además de concentrar las proteínas, permiten la eliminación de interferentes que pueden afectar la separación electroforética posterior. Para ello se han reportados diferentes métodos que incluyen la precipitación usando diferentes solventes y soluciones salinas (4, 15-19). Sin embargo, dependiendo de la naturaleza de la matriz vegetal a estudiar, estos pueden causar pérdida de proteína debido a la cantidad de pasos experimentales implicados o a la pérdida de solubilidad en la fase final de disolución. Es por ello que se deben evaluar las condiciones más convenientes teniendo en cuenta la matriz vegetal objeto de estudio.
Los análisis comparativos de proteínas usando técnicas altamente resolutivas se han convertido en una de las herramientas más importantes durante los análisis proteómicos en plantas. Dentro de estas se incluyen la técnica de electroforesis en dos dimensiones (2DE), la cual ha permitido el estudio de proteínas apoplásticas en diferentes especies vegetales (1, 4, 5, 15, 20, 21). Es por ello que, con el fin de determinar algunas de las condiciones más relevantes que se deben tener en cuenta para el análisis mediante esta técnica en el caso del apoplasto del clavel, se evaluó el efecto que tenían el empleo de diferentes rangos de pH en la separación durante la primera dimensión, así como cantidad de proteína empleada en la misma, sobre el número de manchas spots y la resolución de los mismos. Si bien es cierto que el uso de gradientes de pH más estrechos aumentan la resolución y facilitan los estudios comparativos, usar estos rangos puede obviar información relevante para la especie vegetal objeto de estudio, dependiendo de las proteínas contenidas en la muestra.
En este estudio, se describe el flujo de trabajo para la selección de las condiciones experimentales más adecuadas para el análisis de proteínas presentes en el apoplasto de raíces y tallos de clavel, incluyendo tanto las condiciones de extracción de fluido apoplástico, como las usadas para análisis electroforéticos de alta resolución (electroforesis en 1D y 2D, por ejemplo). Para ello, se evaluaron diferentes condiciones: selección de la solución de infiltración en la obtención del fluido apoplástico, selección del método de precipitación de proteínas y selección de condiciones para electroforesis en 1D SDS-PAGE y 2D IEF-SDS-PAGE. Estas condiciones experimentales podrán ser empleadas posteriormente en análisis proteómicos para la identificación de proteínas relacionadas con resistencia al marchitamiento vascular generado por el hongo Fusarium oxysporum f. sp. dianthi (Fod), patógeno que causa las mayores pérdidas económicas en el cultivo de esta flor. Así mismo, este flujo de trabajo propuesto puede ser usado para la selección de condiciones experimentales en el estudio inicial de las proteínas del apoplasto en otras especies vegetales.
Materiales y métodos
Material Vegetal
Se emplearon tallos y raíces de esquejes indexados de clavel (Dianthus caryophyllus L), libres de patógenos, con tres a cuatro semanas de enraizamiento de la variedad Golem y de la variedad Gran Slam, donados por la empresa Florval S.A.S-Sede QFC (Gachancipá- Cundinamarca, Colombia).
Preparación del inóculo de Fod
El hongo aislado empleado en este experimento fue previamente revirulentado en la variedad de clavel - Solex que es altamente susceptible al marchitamiento vascular generado por Fod. Este microorganismo se cultivó en PDA (Papa Dextrosa Agar) durante cinco días. Dos cm2 del medio colonizado por el hongo se transfirieron a medio líquido Czapek-Dox-Broth (Fluka); la suspensión resultante permaneció en agitación durante cinco días a 200 rpm y 25ºC. Posteriormente, se filtró en condiciones asépticas para retirar el micelio del sobrenadante y se llevó a una concentración 1 x 106 conidias/mL (por conteo con el hematocitómetro).
Inoculación del material vegetal con el patógeno
La inoculación de los esquejes se realizó de acuerdo con las condiciones establecidas en Higuera (22). Los esquejes control y los inoculados se sembraron y mantuvieron bajo las mismas condiciones por los días de duración del ensayo: con riego de agua por aspersión, bajo condiciones constantes de temperatura, radiación fotosintéticamente activa y humedad relativa (22).
Selección de las condiciones de extracción del fluido apoplástico de clavel
La extracción de las proteínas presentes en el fluido apoplástico de clavel fue realizada empleando la técnica de infiltración con vacío-centrifugación (8) con algunas modificaciones. Se emplearon 5,0 g de tallos o raíces de clavel cortados en segmentos de 0,5-1,0 cm de longitud. Para la infiltración, el material vegetal se colocó dentro de tubos falcon (50 mL) y se adicionaron 20 mL de solución de infiltración. Posteriormente, empleando una bomba de vacío de paleta Gast G588DX, se realizaron 3 pulsos de vacío de 20 s con intervalos de 30 s, generando una presión de 70 kPa.
Los tallos o raíces fueron infiltrados con las siguientes soluciones de infiltración: 1. Tris-HCl 50 mM pH 8,0/NaCl 50 mM/ β-mercaptoetanol 0,1 % v/v; 2. Tris-HCl 50 mM pH 8,0/NaCl 0,6 M/ β-mercaptoetanol 0,1 % v/v; 3. NaH2PO4-Na2HPO4 0,1 M pH 6,5/NaCl 50 mM/ β-mercaptoetanol 0,1 % v/v; 4. NaH2PO4-Na2HPO4 0,1 M pH 6,5/NaCl 0,6 M/β-mercaptoetanol 0,1 % v/v; 5. agua/ β-mercaptoetanol 0,1 % v/v y 6. NaH2PO4-Na2HPO4 0,1 M pH 6,5/NaCl 50 mM. La selección de la solución de infiltración se realizó teniendo en cuenta el rendimiento (mg proteína/g material vegetal base seca), contaminación con proteínas intracelulares y calidad en la separación en 1D SDS-PAGE.
Posteriormente, los fragmentos de material vegetal se filtraron al vacío durante 5 s y se transfirieron a un tubo falcon de 50 mL con un aditamento especial, un círculo de plástico con orificios, que permitió separar el fluido apoplástico de las raíces o los tallos empleados, por centrifugación a 1000 x g durante 20 min a 4 ºC (23).
Para la obtención de una mayor cantidad de fluido apoplástico se realizaron ensayos empleando una segunda centrifugación sobre el mismo material vegetal. El fluido apoplástico fue colectado en la parte inferior del tubo y los extractos se guardaron a -20 ºC.
Verificación de contaminación intracelular
Para evaluar si los fluidos apoplásticos obtenidos presentaban contaminación con proteínas intracelulares, generada por un posible rompimiento de las membranas plasmáticas, se determinó la actividad de dos enzimas intracelulares. La malato deshidrogenasa (MDH), empleada para estimar el nivel de daño en la membrana celular, y la α-manosidasa, como marcador de proteínas procedentes de vacuola (1).
La actividad MDH fue determinada por un método modificado a partir de lo reportado por Zhang et al. (24). La actividad enzimática fue medida de acuerdo a la disminución en la absorbancia a 340 nm durante 90 s; por adición de 10 µL de fluido apoplástico a 300 µL de la mezcla de reacción (oxaloacetato (C4H4O5) 0,17 mM y NADH 0,094 mM disueltos en solución amortiguadora Na2HPO4-NAH2PO4 0,1 M pH 7,4.) a 20 ºC, usando un espectrofotómetro (Genesys uv 10, ThermoFisher, USA). El mismo sistema de reacción, únicamente con adición de buffer fue empleado como blanco. La actividad se expresó en porcentaje relacionado con un extracto total, donde el material vegetal fue macerado con nitrógeno líquido para romper las membranas celulares.
La actividad α-manosidasa fue determinada por un método modificado por Ramírez (23), a partir de lo reportado por Boller y Kende (25), en donde se emplean 100 µL del sustrato p-nitrofenol-α-manopiranosido 5 mM disuelto en solución amortiguadora CH3COONa-CH3COOH 0,01 M pH 4,0 y 20 µL de fluido apoplástico. Las muestras se incubaron durante 2 h a 37 °C. La reacción se detuvo con 1,1 mL de Na2CO3 0,2 M y se midió la absorbancia a 420 nm empleando un espectrofotómetro (Genesys uv 10, ThermoFisher, USA). La actividad para estas dos enzimas, se expresó en porcentaje en relación con un extracto total, donde el material vegetal fue macerado con nitrógeno líquido para romper las membranas celulares.
Efecto del β-mercaptoetanol en la solución de infiltración
Para identificar el efecto de la adición de un agente reductor (β-mercaptoetanol) en la extracción del fluido apoplástico de raíces y tallos de clavel, se realizó un ensayo empleando las soluciones de infiltración 3 y 6. La selección de las condiciones se realizó teniendo en cuenta el rendimiento (mg proteína/g material vegetal base seca), contaminación con proteínas intracelulares y calidad en la separación en 1D SDS-PAGE.
Precipitación de proteínas
Con el fin de eliminar interferentes que pueden llegar a afectar la separación y análisis electroforéticos posteriores, las proteínas contenidas en los diferentes extractos fueron precipitadas empleando dos métodos diferentes, uno basado en la precipitación con ácido tricloroacético (TCA)-acetona y el otro basado en la precipitación con TCA-acetona y subsecuente extracción con fenol (16).
Para el método TCA-acetona se partió de 1 mL de fluido apoplástico y se adicionó 1 mL de TCA al 10% p/v con ditiotreitol (DTT) 0,07% p/v en acetona. Los tubos se agitaron y se mantuvieron a 4 ºC durante toda la noche. Luego de centrifugar a 16000 x g durante 15 min a 4 ºC, el sobrenadante se descartó y al pellet se le hicieron 4 lavados, 3 de ellos con 1 mL de acetona pura y finalmente 1 con acetona al 80% (v/v), centrifugando a 16000 x g durante 5 minutos a 4 ºC, después de cada paso de lavado. El pellet resultante se secó a temperatura ambiente para eliminar los residuos de acetona.
Para el método TCA-acetona con posterior extracción con fenol, se partió de 1 mL de fluido apoplástico y se adicionó 1 mL de TCA al 100% p/v en acetona. Los tubos se agitaron y se mantuvieron a 4 ºC durante toda la noche. Luego de centrifugar a 16000 x g durante 15 min a 4 ºC, el sobrenadante se descartó y el pellet se resuspendió en 1 mL de una mezcla (1:1) de fenol saturado y solución amortiguadora de lisis (sacarosa 30% p/v, SDS 2% p/v y β-mercaptoetanol 5% v/v). Después de homogenizar vigorosamente con la punta de la micropipeta e incubar por 5 min en hielo, se centrifugó a 16000 x g durante 5 min a 4 ºC. La fase fenólica (superior) se transfirió a un tubo nuevo y se le adicionó 1 mL de acetato de amonio 0,1 M en metanol. Luego de dejar precipitar toda la noche a -20 ºC, se centrifugó a 16000 x g durante 5 min a 4 ºC para eliminar finalmente el sobrenadante por decantación. El pellet resultante se lavó con 1 mL de metanol al 100% y posteriormente con 1 mL de acetona al 80%, realizando centrifugaciones en cada caso a 16000 x g durante 5 min a 4 ºC. Finalmente, el pellet se secó a temperatura ambiente para eliminar los residuos de acetona.
Para la separación de las proteínas por electroforesis los pellets obtenidos por ambos métodos (TCA-acetona o TCA-acetona/fenol) fueron resuspendidos en 100 µL o 50 µL de solución de solubilización (urea 7 M, tiourea 2 M, CHAPS 4% (p/v), Tritón X-100 0,5% (p/v) y DTT 100 mM), de acuerdo a si la muestra de fluido apoplástico provenía de tallo o raíz, respectivamente; las muestras se agitaron por 4 horas a 4 ºC. La selección del protocolo de extracción de proteínas se realizó teniendo en cuenta la cantidad de proteína obtenida (µg proteína/g material vegetal peso fresco) y la calidad de la separación en 1D SDS-PAGE.
2627 La cuantificación de proteínas provenientes de fluido apoplástico de clavel se realizó empleando el método de Bradford (), de acuerdo a la modificación de Ramagli (), empleando el reactivo de Bio-Rad®. Para ello se tomaron 1 µL de muestra, 250 µL del reactivo de Bradford y 749 µL de agua ultrapura. Las muestras se procesaron con réplica técnica, midiendo la absorbancia a 595 nm en un espectrofotómetro (Genesys uv 10, ThermoFisher, USA). Se utilizó Albúmina Sérica Bovina (BSA) como estándar de proteína.
Electroforesis SDS-PAGE
Dentro de las condiciones evaluadas para la separación de proteínas presentes en el fluido apoplástico de raíces y tallos de clavel se tuvieron en cuenta el tiempo de calentamiento de las muestras (5 y 10 min) y la cantidad de proteína empleada (5, 10, 15 y 20 µg), esto con el fin de definir las condiciones fundamentales para obtener la mejor calidad de los geles de electroforesis en 1D.
Se emplearon geles discontinuos de poliacrilamida en formato de 7 cm, empleando 5% para el gel de concentración y 12% para el gel de resolución, bajo condiciones reductoras con β-mercaptoetanol. La electroforesis se corrió a corriente constante (13 mA en el gel de concentración y 18 mA en el gel de resolución) según protocolo de Bio-Rad® en el equipo Mini- PROTEAN® Tetra Cell (Bio-Rad, California, USA), usando como buffer de corrido Tris base 25 mM, glicina 0,20 M y SDS 0,10 % p/v. Los geles fueron teñidos con azul de Coomassie coloidal G-250 (ver Visualización de proteínas).
El análisis de la metodología seleccionada en muestras de fluido apoplástico proveniente de claveles control e inoculados fue realizada empleando el sistema Stain-Free Criterion de Bio-Rad®, USA, con geles preteñidos y prefrabricados con un gradiente continuo del 4 al 20% y como marcador de peso molecular Precisión Plus Protein Standards Bio-Rad®, USA. Esto se realizó con el fin de determinar con la mayor sensibilidad posible los cambios en los perfiles electroforéticos por efecto de la infección con el patógeno. Se emplearon 20 µg de proteína por muestra, procedente de fluido apoplástico de tallo y raíz, y la separación se realizó a voltaje constante (150 V), empleando como buffer de corrido Tris-Base 25 mM, glicina 0,20 M y SDS 0,10% p/v.
Visualización de proteínas
ara los geles de poliacrilamida al 12%, se realizó tinción con azul de Coomassie coloidal G-250 (20). El protocolo consistió en la incubación de los geles con la solución de tinción (metanol 20% v/v, sulfato de amonio 0,8% p/v, ácido fosfórico 2,25% v/v y Coomassie coloidal G-250 0,1% p/v) durante 72 h. El exceso del agente de tinción se eliminó mediante lavados con agua ultrapura durante 5 min, solución de metanol al 25% v/v durante 5 min y solución de sulfato de amonio al 20% p/v para mantenerlos.
Los geles del sistema Stain-Free Criterion de Bio-Rad®, USA, fueron visualizados usando el equipo Criterion Stain FreeTM - Gel Imaging System de Bio-Rad®, USA.
La calidad de la separación se evaluó en cada órgano de la planta determinando tanto el número de bandas obtenido para cada uno de los tratamientos ensayados, como la resolución en la separación de las mismas. Para los diferentes ensayos se usó el programa Image Lab de Bio-Rad®, USA.
Electroforesis 2D
Primera dimensión-enfoque isoeléctrico (IEF)
Para la separación en la primera dimensión se usaron tiras IPG (Inmovilizd pH Gradient) de 11 cm, en el rango de pH 3-10 y pH 5-8 Bio-Rad®, USA. Se usaron 100 µg o 200 µg de proteína de cada órgano y se mezclaron con solución de hidratación (urea 7 M, tiourea 2 M, CHAPS 4% p/v, azul de bromofenol 0,1% p/v, DTT 100 mM y anfolitos 0,2% v/v en el rango de pH 3-10 o 5-8 según las tiras empleadas), hasta completar 185 µL. El isoelectroenfoque se corrió en el equipo Protean IEF cell (Bio-Rad®, California, USA), aplicando las siguientes condiciones: 16 h de rehidratación activa a 50 V; 250 V, 15 min; 8000 V, 1 h 30 min; 8000 V/h hasta acumular 30000 V y 500 V 1 h. Se empleó una temperatura de 20 ºC y una corriente de 50 µA por tira. Una vez finalizado el programa, las tiras IPG se almacenaron a -20 °C (16).
Segunda dimensión-SDS-PAGE
Antes de realizar la electroforesis SDS-PAGE las tiras se sometieron a un proceso de equilibrio, como indica Ardila et al. (16). Para la segunda dimensión se usaron geles prefabricados del sistema Criterion de Bio-Rad®, USA, con un gradiente de 4 a 20%, empleando el patrón de peso molecular antes mencionado. La tira y el marcador de peso molecular se colocaron sobre la superficie del gel; posteriormente éste se selló con agarosa al 1% p/v mezclada con azul de bromofenol 0,001 % p/v. La segunda dimensión se corrió a 150 V constantes, en una cámara del sistema Criterion de Bio-Rad®, USA.
Análisis de imágenes 2 DE
Las imágenes de los geles 2DE se adquirieron empleando el equipo Stain-Free CriterionTM Gel Imaging System de Bio-Rad®, USA. El análisis de la imagen se realizó con el programa PDQuest 7.2 BioRad®, utilizando parámetros para la detección de spots. Además, se evalúo de manera visual la presencia de stricking en los diferentes geles obtenidos para extractos de tallos y raíces de clavel, para determinar la existencia de contaminantes no proteicos y la separación de las proteínas teniendo en cuenta la cantidad aplicada y el rango de pH empleado en las tiras del isoelectroenfoque.
Análisis estadístico
Para el rendimiento en la obtención de proteínas con las diferentes soluciones de infiltración se realizó un análisis estadístico, igualmente para el análisis de las actividades enzimáticas empleadas como marcadores de contaminación intracelular y para la selección del método de precipitación de proteínas, evaluados usando triplicados biológicos. Los datos fueron reportados como medias +/- SD. El análisis de varianza y las diferencias significativas entre las medias se analizaron mediante ANOVA de una vía utilizando Statgraphics® Software versión 5.1. (p < 0,05).
Resultados y discusión
Obtención de fluido apoplástico de clavel
Selección de la solución de infiltración
De las cinco soluciones de infiltración evaluadas, se encontró que el mayor rendimiento de extracción para proteínas apoplásticas de raíces y tallos de clavel se obtuvo con la solución amortiguadora número 2 (Figura 1).

Sin embargo, la selección de la solución de infiltración debe considerar la actividad enzimática α-manosidasa y malato deshidrogenasa (MDH), indicadores de la contaminación con proteínas intracelulares (1, 24, 25). Al respecto, se encontró que para el caso de la actividad MDH en los fluidos apoplásticos obtenidos, el β-mercaptoetanol puede actuar como interferente, debido a su carácter reductor (Tabla 1).

Los resultados se presentan como el promedio de tres determinaciones. N.D.: No detectado
Por el contrario, para el caso de la actividad α-manosidasa, no se observa efecto en el método de determinación cuando dicho agente está presente en las soluciones de infiltración evaluadas (Tabla 1). Los resultados encontrados muestran que los valores más bajos de contaminación intracelular, al nivel de significancia trabajado (p < 0,05), se obtienen al emplear la solución amortiguadora número 3. Se presentaron valores menores al 0,3% respecto a la actividad encontrada para el extracto crudo, lo cual está dentro de los valores reportados en otras investigaciones, como es el caso del fluido apoplástico proveniente de papa (Solanum tuberosum L. variedad Spunta y variedad Innovator) en su interacción con el patógeno Phytophthora infestans (5).
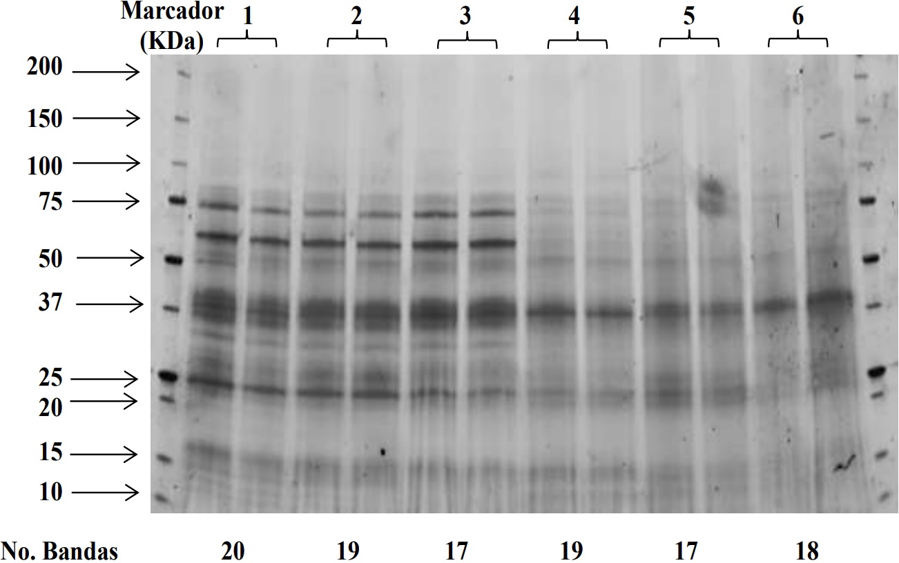
En cuanto a la evaluación de los perfiles de separación de las proteínas por SDS-PAGE, se evidencia que el mayor número de bandas se obtiene con la solución amortiguadora número 2 (Figura 2, carril 2). Sin embargo, es probable que este mayor número de bandas se deba a la presencia de proteínas intracelulares, en concordancia con los resultados previamente descritos que sugieren contaminación intracelular al usar dicha solución de infiltración (Tabla 1).

Estos resultados contrastan con lo encontrado con la solución de infiltración número 3 (Figura 2, carril 3), en donde además de presentar baja contaminación intracelular (actividad α-manosidasa del 0,3% comparada con el 24,5% obtenida para la solución número 2), el número de bandas es superior al encontrado con las demás soluciones de infiltración evaluadas. Lo anterior indica que dicha solución es una buena candidata para ser usada en la obtención de proteínas a partir del apoplasto de tallos de clavel. Resultados similares se encontraron para fluido apoplástico procedente de raíces de clavel (datos no mostrados).
Resultados reportados en la literatura para la extracción de fluido apoplástico de hojas maíz muestran que al emplear NaH2PO4-Na2HPO4 100 mM como solución amortiguadora, se presenta poco daño en la membrana plasmática y buena extracción de proteínas adheridas a la pared celular (15).
La presencia de bandas de proteínas con un peso molecular menor a 15 kDa es significativa en los extractos obtenidos con la solución de Tris-HCl de mayor fuerza iónica (Figura 2, carril 2). Esto no es común en el apoplasto, donde estas proteínas normalmente se encuentran en niveles bajos (15). Es probable que la baja polaridad del tris conlleve a una disrupción de las membranas plasmáticas de las células que constituyen el tejido y generen una mayor contaminación con proteínas intracelulares de este tamaño.
En conjunto, estos resultados indican que para la obtención de fluido apoplástico de tejido vegetal de clavel, se debe emplear la solución de infiltración número 3 con pH 6,5, baja fuerza iónica y presencia de agente reductor. Estos resultados sin duda, deben estar asociados a la similitud en términos de pH y fuerza iónica que existe entre esta solución de infiltración y las condiciones encontradas en tejidos vegetales.
Considerando que la centrifugación es un paso determinante para la obtención de un extracto libre de contaminantes intracelulares y en la cantidad de fluido apoplástico obtenido, se decidió evaluar la posibilidad de realizar centrifugaciones adicionales para aumentar la cantidad final de fluido apoplástico. Se determinó que una segunda centrifugación permite aislar más fluido apoplástico sin contaminación intracelular, según la determinación del marcador α-manosidasa (Resultados no mostrados). Esto sugiere que la centrifugación adicional a 1000 x g puede ser empleada para obtener una mayor cantidad de extracto sin contaminación por ruptura celular, resultados que no han sido reportados previamente, en otras especies vegetales.
Uso de agentes reductores
Considerando que el uso de agentes reductores como el β-mercaptoetanol puede aumentar la estabilidad y la solubilidad de las proteínas, pero que, a su vez, puede interferir en uno de los marcadores de contaminación intracelular (como la actividad enzimática de la MDH), se decidió evaluar si realmente era necesario su uso en la solución de infiltración previamente seleccionada. Para ello, se realizaron ensayos usando la solución amortiguadora de NaH2PO4-Na2HPO4 0,1 M pH 6,5/NaCl 50mM con y sin β-mercaptoetanol 0,1% v/v y se compararon parámetros como el rendimiento, la contaminación intracelular y los perfiles de separación por electroforesis en 1D. De acuerdo a los resultados obtenidos (Figura 3), no se encontraron diferencias estadísticamente significativas entre los dos tratamientos evaluados en términos del rendimiento de extracción (p < 0,05). Así mismo, la comparación de la actividad α-manosidasa tampoco muestra diferencias entre los mismos (Tabla 2), lo que indica que el uso de este agente reductor no afecta la estabilidad de la membrana plasmática durante el proceso de infiltración.


Los resultados se presentan como el promedio de tres determinacionesz NzDz: No detectado
El efecto que presentan el pH, la fuerza iónica y las características químicas de los componentes de la solución de extracción previamente seleccionada (NaH2PO4-Na2HPO4 pH 6,5/NaCl 50mM) sobre la estabilidad de la membrana, se puede comprobar con la determinación de la actividad MDH en fluido apoplástico obtenido con esta solución sin agente reductor. Considerando que su actividad es apenas el 1% con respecto al valor obtenido para extracto crudo, se evidencia que no existe contaminación citoplasmática al usar dicha solución (Tabla 1). Estos resultados son similares a los encontrados en otros estudios (28) en donde se ha observado que la actividad enzimática MDH de los fluidos de apoplasto es apenas del 1 al 3% del valor obtenido para un extracto crudo de la misma especie vegetal (29). En general, estos resultados son considerados bajos si se tiene en cuenta que hay reportes donde se han tolerado valores en el rango del 3 al 10% (30). La localización citoplásmatica de la MDH permite que la determinación de su actividad sea comúnmente usada como marcador de la calidad del fluido apoplástico obtenido; la baja o ausencia de actividad para esta enzima indica una pobre o ausente contaminación con proteínas citoplasmáticas (1, 3).
Así mismo, los resultados obtenidos para la solución amortiguadora NaH2PO4-Na2HPO4 pH 6,5/NaCl 50mM, con y sin agente reductor, no muestran diferencias significativas en cuanto a rendimiento y contaminación intracelular (Tabla 2 y Figura 3). Sin embargo, al realizar la electroforesis 1D SDS-PAGE, se determinó que existe mayor intensidad en las bandas de proteínas con peso molecular de aprox. 31 KDa y 7 KDa, cuando se emplea β-mercaptoetanol dentro de la solución de infiltración (Figura 4, carril 2). Esto indica que es necesario el uso de éste dentro de la solución de infiltración a emplearse en esta parte del proceso. Estos resultados son predecibles, considerando que la presencia de este agente reductor en la solución de infiltración evita la posible formación de puentes disulfuro entre proteínas que presenten grupos sulfhidrilo libres, que en este caso tienen pesos moleculares de 31 y 7 kDa. La posible formación de estructuras oligoméricas bajo condiciones no reductoras es un fenómeno previamente descrito para varias proteínas en otros modelos (31, 32).

Electroforesis SDS-PAGE
Se deben tener en cuenta también algunos parámetros experimentales para la obtención de una buena resolución en los geles de proteínas en SDS-PAGE, por ejemplo, el tiempo de calentamiento de la muestra y la cantidad de proteína sembrada en cada pozo del gel. En el formato empleado en la presente investigación (7 cm), se encontró que un tiempo de calentamiento de 10 min permite aumentar la nitidez de las bandas, debido a que probablemente en este tiempo se presenta una mayor interacción entre los agentes denaturantes presentes en el buffer carga y las proteínas del extracto (Resultados no mostrados). En cuanto a la cantidad de proteína empleada, se encuentró que a partir de 10 µg (Figura 5, carril 2 y 6) se presenta una buena sensibilidad para la detección de las bandas, lo cual representa una gran ventaja dado que la cantidad de proteína obtenida a partir de fluido apoplástico es baja, alrededor de 100 µg proteína/g material vegetal peso fresco (Tabla 3).


Los resultados se presentan como el promedio de tres determinaciones ± la desviación estánda
Precipitación y concentración de proteínas para electroforesis
En este caso, se emplearon dos métodos reportados para precipitación de proteínas de tallos y raíces de clavel (16). El método A se basa en el uso de TCA/acetona y el método B, se basa en el uso de TCA/acetona/fenol. La selección se realizó teniendo en cuenta el rendimiento en la cantidad de proteína finalmente solubilizada determinada por Bradford (Tabla 3) y la separación en 1D SDS-PAGE (Figura 6).

Los resultados obtenidos muestran que al emplear el método B, se presenta una menor recuperación de proteína a la obtenida con el método A presentando un 60,4% y 44,0% de lo obtenido con el método A, para tallo y raíz respectivamente (Tabla 3). Por otro lado, al evaluar el número de bandas durante la separación de las proteínas presentes en los diferentes extractos mediante electroforesis en 1D SDS-PAGE (Figura 6) se encontró que, si bien es cierto que los dos métodos empleados no presentan contaminantes que afecten la calidad de la separación y la resolución de las bandas, sí se presentan diferencias en el número de bandas que corroboran los resultados obtenidos en rendimiento.
Se encontró a través del método B un menor número de bandas (Figura 6, carriles 2 y 4), debido probablemente a la pérdida de proteínas durante el procedimiento experimental descrito. Esto indica que para la precipitación de proteínas presentes en el fluido apoplástico de tallos y raíces de clavel, se debe emplear el método A que incluye únicamente el tratamiento con TCA y acetona, tal y como ha sido reportado en estudios con otras especies vegetales (19,33, 34). En general, estos resultados contrastan con lo encontrado en estudios previos realizados con el grupo de investigación, donde el método que incluye fenol presenta los mejores resultados en términos de número de bandas y presencia de contaminantes no proteícos para extractos totales de tallos y raíces (16). Lo anterior debido a que el fenol es uno de los agentes disociadores más fuertes que disminuye las interacciones entre las proteínas y diversos contaminantes (35-37).
Los resultados encontrados en clavel muestran claramente cómo el método de precipitación y concentración de proteínas depende de la complejidad de la muestra a trabajar ya que, cuando se parte de material vegetal total, es necesario emplear el método TCA/acetona/fenol para eliminar interferentes en análisis electroforéticos como carbohidratos, ácidos nucleicos, fenoles, lípidos y sales (20). Por el contrario, para el caso del fluido apoplástico, debido a que es una muestra que presenta un menor número de moléculas interferentes, el método TCA/acetona es suficiente para generar una muestra que pueda ser empleada en análisis electroforéticos, contando además con un buen rendimiento en la obtención de proteínas, necesario en este tipo de estudios donde la cantidad de fluido apoplástico obtenido a partir de material vegetal es tan bajo.
Electroforesis SDS-PAGE de muestras inoculadas con Fod
Con el fin de verificar que las condiciones seleccionadas fueran adecuadas para el análisis de proteínas del fluido apoplástico de raíces y tallos de clavel, durante la inoculación con el patógeno Fod, se realizó un análisis diferencial cualitativo de las bandas de proteínas presentes en el apoplasto de dichos tejidos, comparando con el correspondiente control. De esta manera, bajo las condiciones previamente descritas se realizaron extracciones de apoplasto a partir de material vegetal sin inocular con el patógeno (día 0 y día 7, control) e inoculado con el mismo (día 7) (Figura 7). Los resultados muestran que las condiciones seleccionadas pueden ser usadas de manera exitosa, tanto para tejidos control, como para aquellos que han sido inoculados con el patógeno.

Al comparar los diferentes tratamientos se evidencia que no existen diferencias cualitativas entre las proteínas presentes en el apoplasto de las muestras control y las muestras inoculadas, al menos bajo las condiciones de detección empleadas. Estos resultados son similares a los encontrados en trabajos previos realizados en el grupo de investigación, donde no se presentan diferencias cualitativas apreciables en el número de bandas en extractos totales de proteínas, entre controles e inoculados con el patógeno usando electroforesis en 1D (16). Los resultados obtenidos en esta parte de la investigación muestran además que la metodología puede ser empleada de manera confiable para análisis de proteínas provenientes de fluido apoplástico, de tallos y raíces control e inoculados con el patógeno.
Análisis de apoplasto de raíces y tallos de clavel por 2DE (IEF-SDS-PAGE)
La Figura 8 muestra los resultados obtenidos para proteínas apoplásticas de tallo, donde se encuentra un mayor número de manchas y una mayor resolución durante la separación, al emplear tiras de IPG en el rango de pH 3-10 (Tabla 4). Los resultados obtenidos en este órgano son similares a los obtenidos en estudios proteómicos del apoplasto de hojas de colza (Brassica napus) en su interacción con Verticillum longisporum, donde se encuentran 170 spots, empleando 80 µg de proteína y tiras de IPG pH 3-10 (3).


Para el caso de la raíz (Figura 9), empleando 200 µg de proteína y tiras de IPG pH 5-8, la resolución en las manchas de proteína es superior. De hecho, si se comparan los dos rangos de pH a esta misma concentración de proteína, no existen diferencias importantes entre el número de manchas resueltas, pero sí en la resolución de la separación, siendo mayor en el primero. Por lo anterior, para este órgano de la planta, el análisis de proteínas apoplásticas se debe realizar usando tiras de IPG en rango pH 5-8 para la primera separación por isolectroenfoque. Estos resultados son similares a los obtenidos en otros estudios, en donde se han encontrado los mismos rangos de pH para la separación en la primera dimensión (18, 34).

Un análisis comparativo preliminar permite observar que algunas de las manchas proteicas se comparten en geles obtenidos a partir de fluido apoplástico de raíces y tallos de la planta, indicando que muchos de ellos deben contener proteínas que participan en procesos conservados en las células vegetales a nivel extracelular. Así mismo, se evidencian también manchas proteicas que son particulares de cada órgano, las cuales probablemente deben estar asociadas a otros procesos que se llevan a cabo de manera tejido-dependiente. Diferencias en la distribución de proteínas en función del órgano de la planta objeto de estudio han sido reportados en diferentes especies vegetales (38, 39).
Conclusiones
Para la obtención de fluido apoplástico presente en tallos o raíces de clavel, se debe emplear la solución amortiguadora NaH2PO4-Na2HPO4 0,1 M pH 6,5/NaCl 50 mM/β-mercaptoetanol 0,1% v/v como solución de infiltración, ya que presenta buen rendimiento en la obtención de proteínas y la menor contaminación con proteínas intracelulares. Además, se pueden realizar dos centrifugaciones sobre el mismo material vegetal para obtener una mayor cantidad de fluido apoplástico, sin generar rompimiento de la membrana citoplasmática. En cuanto a la precipitación de proteínas, el método TCA/acetona presenta un rendimiento superior al 80% comparado con el método TCA/acetona/fenol, eliminando interferentes de tipo no proteico, presentes en la muestra. Para los análisis proteómicos en 2D (IEF-SDS-PAGE), se deben emplear 200 µg de proteína y tiras de IPG con pH 3-10 cuando las muestras proceden de fluido apoplástico de tallo, y 200 µg de proteína y tiras de IPG con pH 5-8 cuando proceden de fluido apoplástico de raíz. Este procedimiento puede ser aplicado a otras especies vegetales, con el fin de estudiar la dinámica del proteoma apoplástico en procesos biológicos que pueden incluir la interacción con patógenos.
Agradecimientos
Los autores agradecen la financiación de la Universidad Nacional de Colombia Sede Bogotá (Proyecto DIB No. 201010023394), a Colciencias por la financiación del proyecto No. 110165842786 y al programa de apoyo a estudiantes de doctorado convocatoria 617. Especial agradecimiento a Florval S.A.S-Sede QFC por la donación del material vegetal empleado en estos estudios.
Referencias
1. Delaunois, B.; Jeandet, P.; Clément, C.; Baillieul, F.; Dorey S.; Cordelier, S. Uncovering plant-pathogen crosstalk through apoplastic proteomic studies. Front. Plant Sci.2014, 5, 249. DOI: https://doi.org/10.3389/fpls.2014.00249.
2. Ge, Y.; Bi, Y.; Guest, D.I. Defense responses in leaves of resistant and susceptible melon (Cucumis melo L.) cultivars infected with Colletotrichum lagenarium. Physiol. Mol. Plant Pathol. 2013, 81, 13–21. DOI: https://doi.org/10.1016/j.pmpp.2012.09.002
3. Floerl, S.; Druebert, C.; Majcherczyk, A.; Karlovsky, P.; Kues, U.; Polle, A. Defence reactions in the apoplastic proteome of oilseed rape (Brassica napus var. napus) attenuate Verticillium longisporum growth but not disease symptoms. BMC Plant Biol. 2008, 8, 129. DOI: https://doi.org/10.1186/1471-2229-8-129
4. Floerl, S.; Majcherczyk, A.; Possienke, M.; Feussner, K.; Tappe, H.; Gatz, C.; et al.Verticillium longisporum Infection Affects the Leaf Apoplastic Proteome, Metabolome, and Cell Wall Properties in Arabidopsis thaliana. PLoS ONE. 2012, 7, (2), e31435. DOI: https://doi.org/10.1371/journal.pone.0031435.
5. Fernández, M. B.; Pagano, M.R.; Daleo, G.R.; Guevara, M.G. Hidrofobic proteins secreted into the apoplast may contribute to resistance against Phytophthora infestans in potato. Plant Physiol. Biochem. 2012, 60, 59-66. DOI: http://dx.doi.org/10.1016/j.plaphy.2012.07.017
6. Goulet, C.; Goulet, M.C.; Michaud, D. 2-DE proteome maps for the leaf apoplast of Nicotiana benthamiana. Proteomics. 2010, 10, 2536–2544. DOI: https://doi.org/10.1002/pmic.200900382
7. Olivieri, F.; Godoy, A.V.; Escande, A.; Casalongué, A.C. Analysis of intercellular washing fluids of potato tubers and detection of increased proteolytic activity upon fungal infection. Physiol. Plant.1998, 104, 232-238. DOI: https://doi.org/10.1034/j.1399-3054.1998.10402118.
8. Lohaus, G.; Pennewiss, K.; Sattelmacher, B.; Hussmann, M.; Hermann Muehling, K. Is the infiltration-centrifugation technique appropriate for the isolation of apoplastic fluid? A critical evaluation with different plant species. Physiol. Plant. 2001, 111, 457–465.
9. Agrawal, G.K.; Jwa, N.S.; Lebrun, M.H.; Job, D.; Rakwal R. Plant secretome: unlocking secrets of the secreted proteins. Proteomics. 2010, 10, 799–827. DOI: https://doi.org/10.1002/pmic.200900514
10. Wimmer, M.A.; Mühling, K.H.; Läuchli, A.; Brown, P.H.; Goldbach, H.E. The interaction between salinity and boron toxicity affects the subcellular distribution of ions and proteins in wheat leaves. Plant Cell Environ. 2003, 26, 1267-1274. DOI: https://doi.org/10.1046/j.0016-8025.2003.01051.x
11. Tasgin, E.; Atici, O.; Nalbantoglu, B.; Popova, L.P. Effects of salicylic acid and cold treatments on protein levels and on the activities of antioxidant enzymes in the apoplast of winter wheat leaves. Phytochemistry. 2006, 67, 710-715. DOI: https://doi.org/10.1016/j.phytochem.2006.01.022
12. Mühling, K.H.; Läuchli, A. Interaction of NaCl and Cd stress on compartmentation pattern of cations, antioxidant enzymes and proteins in leaves of two wheat genotypes differing in salt tolerance. Plant Soil. 2003, 253, 219-231.
13. Alves, M.; Francisco, R.; Martins, I.; Ricardo, C.P.P. Analysis of Lupinus albus leaf apoplastic proteins in response to boron deficiency. Plant Soil. 2006, 279, 1-11. DOI: https://doi.org/10.1007/s11104-005-3154-y
14. Anand, A.; Lei, Z.; Sumner, L.W.; Mysore, K.S.; Arakane, Y.; Bockus, W.W.; et al. Apoplastic extracts from a transgenic wheat line exhibiting lesion-mimic phenotype have multiple pathogenesis-related proteins that are antifungal. Mol. Plant-Microbe Interact. 2004, 17, 1306-1317. DOI: https://doi.org/10.1094/MPMI.2004.17.12.1306
15. Witzel, K.; Shahzad, M.; Matros, A.; Mock, H.P.; Mühling, K.H. Comparative evaluation of extraction methods for apoplastic proteins from maize leaves. Plant Methods. 2011, 7, 48. DOI: https://doi.org/10.1186/1746-4811-7-48
16. Ardila, H.D.; Fernández, R.G.; Higuera, B.L.; Redondo, I.; Martínez, S.T. Protein extraction and gel-based separation methods to analyze responses to pathogens in carnation (Dianthus caryophyllus L): Methods in Molecular Biology. Plant Proteomics. Jorrín-Novo, J., Ed.; Humana Press. New York Heidelberg Dordrecht London. 2014, 573-591. DOI: https://doi.org/10.1007/978-1-62703-631-3_39
17. Bodzon-Kulakowska, A.; Bierczynska-Krzysik, A.; Dylag, T.; Drabik, A.; Suder, P.; Noga, M.; et al. Methods for samples preparation in proteomic research. J. Chromatogr. B. 2007, 849(1-2), 1–31. DOI: http://doi.org/10.1016/j.jchromb.2006.10.040
18. Maldonado, A. M.; Echevarría-Zomeño, S.; Jean-Baptiste, S.; Hernández, M.; Jorrín-Novo, J. V. Evaluation of three different protocols of protein extraction for Arabidopsis thaliana leaf proteome analysis by two-dimensional electrophoresis. J. Proteomics. 2008, 71(4), 461–72. DOI: http://doi.org/10.1016/j.jprot.2008.06.012
19. Shaw, M. M.; Riederer, B. M. Sample preparation for two-dimensional gel electrophoresis. Proteomics. 2003, 3, (8), 1408-17. DOI: http://dx.doi.org/10.1002/pmic.200300471
20. Delaunois, B.; Colby, T.; Belloy, N.; Conreux, A.; Harzen, A.; Baillieul, F.; et al. Large-scale proteomic analysis of the grapevine leaf apoplastic fluid reveals mainly stress-related proteins and cell wall modifying enzymes. BMC Plant Biol. 2013, 13, 1-24. DOI: http://doi.org/10.1186/1471-2229-13-24
21. Kim, S. G.; Wang, Y.; Lee, K. H.; Park, Z. Y.; Park, J.; Wu, J. et al. In-depth insight into in vivo apoplastic secretome of rice-Magnaporthe oryzae interaction. J. Proteomics. 2013, 78, 58–71. DOI: http://doi.org/10.1016/j.jprot.2012.10.029
22. Higuera, B. L. Contribución al estudio de la participación de los compuestos fenólicos en los mecanismos de la interacción Clavel Dianthus caryophyllus L - Fusarium oxysporum f. sp. dianthi. Tesis de doctorado. Facultad de Ciencias. Universidad Nacional de Colombia. 2001.
23. Ramírez, E. Evaluación de los niveles de actividad y transcripcionales in vivo de algunas enzimas hidrolíticas secretadas por Fusarium oxysporum f. sp. dianthi en su interacción con el clavel Dianthus caryophyllus L. Tesis de Maestría. Facultad de Ciencias. Universidad Nacional de Colombia. 2014.
24. Zhang, L.; Tian, L.H.; Zhao, J.F.; Song, Y.; Zhang, C.J.; Guo, Y. Identification of an apoplastic protein involved in the initial phase of salt stress response in rice root by two-dimensional electrophoresis. Plant Physiol. 2009, 149, 916–28.
25. Boller, T.; Kende, H. Hydrolytic enzymes in the central vacuole of plant cells. Plant Physiol. 1979, 63, 1123 -1132.
26. Bradford, M. M. A rapid and sensitive method for the quantitation of microgram quantities of protein utilizing the principle of protein dye binding. Anal. Biochem. 1976, 72, 248-254.
27. Ramagli, L.S.; Rodríguez, L.V. Quantitation of microgram amounts of protein in two‐dimensional polyacrylamide gel electrophoresis sample buffer. Electrophoresis. 1985, 6, (11), 559-563.
28. Führs, H.; Götze, S.; Specht, A.; Erban, A.; Gallien, S.; Heintz, D.; et al. Characterization of leaf apoplastic peroxidases and metabolites in Vigna unguiculata in response to toxic manganese supply and silicon. J. Exp. Bot. 2009, 60, 1663–78. DOI: https://doi.org/10.1093/jxb/erp034
29. Alexandersson, E.; Ali, A.; Resjö, S.; Andreasson, E. Plant secretome proteomics. Front. Plant Sci. 2013, 4, 9. DOI: https://doi.org/10.3389/fpls.2013.00009
30. Song, Y.; Zhang, C.; Ge, W.; Zhang, Y.; Burlingame, A. L.; Guo, Y. Identification of NaCl stress-responsive apoplastic proteins in rice shoot stems by 2D-DIGE. J. Proteomics. 2011, 74, 1045– 1067. DOI: https://doi.org/10.1016/j.jprot.2011.03.009
31. Buyel, J. F.; Twyman, R. M.; Fischer, R. Extraction and downstream processing of plant-derived recombinant proteins. Biotechnol. Adv. 2015, 33, 902–913. DOI: http://dx.doi.org/10.1016/j.biotechadv.2015.04.010
32. Hancock, R. E. W.; Carey, A. M. Outer Membrane of Pseudomonas aeruginosa: Heat- and 2- Mercaptoethanol-Modifiable Proteins. J. Bacteriol. 1979, 140(3), 902–910.
33. Valero Galván, J.; Valledor, L.; Navarro Cerrillo, R. M.; Gil Pelegrín, E.; Jorrín-Novo, J. V. Studies of variability in Holm oak (Quercus ilex subsp. ballota [Desf.] Samp.) through acorn protein profile analysis. J. Proteomics. 2011, 74(8), 1244–55. DOI: http://doi.org/10.1016/j.jprot.2011.05.003
34. Curto, M.; Camafeita, L. E.; López, J. A.; Maldonado, A. M.; Rubiales, D.; Jorrín, J. V. A proteomic approach to study pea (Pisum sativum) responses to powdery mildew (Erysiphe pisi). Proteomics. 2006, S1´06, 163–74.
35. Castillejo, M.A.; Amiour, N.; Dumas-Gaudot, E.; Rubiales, D.; Jorrín, J. V. A proteome approach to studying plant response to crenate broomrape (Orobanche crenata) in pea (Pisum sativum). Phytochemistry. 2004, 65, 1817–1828.
36. Jellouli, N.; Salem, A. B.; Ghorbel, A.; Jouira, H. B. Evaluation of Protein Extraction Methods for Vitis vinifera Leaf and Root Proteome Analysis by Two-Dimensional Electrophoresis. J. Integr. Plant Biol.2010, 52(10), 933–940. DOI: http://doi.org/10.1111/j.1744-7909.2010.00973.x
37. Carpentier, S. C.; Witters, E.; Laukens, K.; Deckers, P. Preparation of protein extracts from recalcitrant plant tissues: An evaluation of different methods for two-dimensional gel electrophoresis analysis. Proteomics. 2005, 5, 2497–2507. DOI: http://doi.org/10.1002/pmic.200401222
38. Kieffer, P.; Schröderc, P.; Dommesb, J.; Hoffmanna, L.; Renauta, J.; Hausmana, J. F. Proteomic and enzymatic response of poplar to cadmium stress. J. proteomics. 2009, 72, 379-396. DOI: http://doi.org/10.1016/j.jprot.2009.01.014
39. Baerenfaller, K.; Grossmann, J.; Grobei, M. A.; Hull, R.; Hirsch-hoffmann, M.; Yalovsky, S.; et al. Genome-Scale Proteomics Reveals. Science. 2008, 320, 938–941. DOI: http://doi.org/10.1126/science.1157956
Notas de autor
apmartinezg@unal.edu.co