ARTÍCULOS DE INVESTIGACIÓN
STRUCTURE AND HISTOCHEMISTRY OF THE FLORAL NECTARY OF Bauhinia monandra (FABACEAE)
Estructura e histoquímica del nectario floral de Bauhinia monandra (Fabaceae)
STRUCTURE AND HISTOCHEMISTRY OF THE FLORAL NECTARY OF Bauhinia monandra (FABACEAE)
Acta Biológica Colombiana, vol. 28, no. 1, pp. 64-74, 2023
Universidad Nacional de Colombia, Facultad de Ciencias, Departamento de Biología
Received: 25 June 2020
Revised document received: 17 September 2021
Accepted: 07 March 2022
ABSTRACT: The structure and histochemistry of the floral nectary of Bauhinia monandra Kurz (Fabaceae) were investigated. Besides possessing medicinal properties, this tree is also used in the recovery of degraded areas and urban arborization. Nectaries samples were obtained from newly bloomed flowers. The nectary was located on the tubular hypanthium. This tube was partially coated by a nectary epidermis, whose cells had secretory features such as a relatively large nucleus, a dense cytoplasm, and small vacuoles. Subjacent to the nectary epidermis, there was a nectary parenchyma with eight to fifteen layers of cells which also have secretory features. Both the nectary epidermis and nectary parenchyma possessed starch grains. Subjacent to the nectary parenchyma passed collateral to amphicribral concentric vascular bundles constituted by more phloem than xylem. Although these vascular bundles did not emit terminations directed to the nectary parenchyma, the arrangement of the latter about the former suggests the supply of nectar precursors by the vascularisation. In the basal region of the hypanthium tube occurred modified stomata which were probably the main route of nectar release; and tector trichomes, possibly involved in the nectar retention.
Keywords: Anatomy, flower, Leguminosae, medicinal plant, secretory structure.
RESUMEN: La estructura e histoquímica del nectario floral de Bauhinia monandra Kurz (Fabaceae) fueron investigadas. Además de poseer propiedades medicinales, este árbol también se utiliza en la recuperación de áreas degradadas y en la arborización urbana. Se obtuvieron muestras de nectarios de flores recién abiertas. El nectario se ubicó en el hipanto tubular. Este tubo estaba parcialmente cubierto por una epidermis nectarífera, cuyas células tenían características secretoras, como un núcleo relativamente grande, un citoplasma denso y pequeñas vacuolas. Subyacente a la epidermis nectarífera, había un parénquima nectarífero con ocho a quince capas de células que también tenían características secretoras. Tanto la epidermis nectarífera como el parénquima nectarífero contenían granos de almidón. Subyacente al parénquima nectarífero había haces vasculares colaterales o concéntricos anficribrales constituidos por más floema que xilema. Aunque estos haces vasculares no emitieron terminaciones dirigidas al parénquima nectarífero, la disposición de este último en relación con los primeros sugiere el suministro de precursores de néctar por la vascularización. En la región basal del tubo de hipanto había estomas modificados que probablemente eran la ruta principal de liberación de néctar; y tricomas tectores, posiblemente activos en la retención de néctar.
Palabras clave: Anatomía, estructura secretora, flor, Leguminosae, planta medicinal.
INTRODUCTION
Fabaceae Lindl. comprises about 19,500 species distributed in approximately 770 genera, being considered the third largest family of Angiosperms. Bauhinia L. is a pantropical genus, one of the largest of Fabaceae, comprising about 150-160 species, in addition to several undescribed ones (Lewis et al., 2005; LPWG, 2017). Traditionally, it was placed in the paraphyletic Caesalpinioideae subfamily (Lewis et al., 2005). Recently, after the taxonomic reorganization of Fabaceae, Bauhinia was placed in the newly circumscribed subfamily Cercidoideae (LPWG, 2017). The Bauhinia is represented by wood species, sometimes multi-stemmed, either trees, shrubs, and sub-shrubs, as well as a few semi-scandent species. The branches may have pairs of well-developed thorns and extrafloral nectaries. The flowers have a long and tubular hypanthium, and the fruit is a dehiscent woody or coriaceous legume (Moreira et al., 2013; Castellanos and Forero, 2019).
Bauhinia monandra Kurz is a perennial tree native from Madagascar, Africa (Sinou et al., 2009). Like other species of the genus, it is used as a medicinal plant (Salatino et al., 1999). Different parts of the plant are used in folk medicine as anti-diabetic, anti-nephritic, diuretic, digestive, anti-hemorrhoidal, and anti-inflammatory, among other applications (Quijano et al., 2018).
Due to its rapid growth and lush flowers, B. monandra is commonly used in forest reestablishment as well as urban afforestation (Burnie et al., 2004; Santos et al., 2014). The inflorescences of this species are short racemes composed of 1-5 zygomorphic flowers displaying a cream or pale-pinkish claw and light pink petals tinged with dark pink spots (macula), specially on the banner (Torres-Colín et al., 2009). The hypanthium is tubular and accumulates a sweetened solution.
According to Fahn (1979), nectaries are nectar-producing structures, a sugary solution consisting basically of sucrose, fructose, and glucose. They occur in several species, in different plant organs, and can present variable structures (Bentley and Elias, 1983; Nepi, 2007). When located in the vegetative organs, they generally provide recompenses for animals, mainly ants, which confer them protection against herbivorous predation and pathogens attacks (Heil, 2011; Beaumont et al., 2016). Ifpresent in the flower, the produced nectar often serves as a reward for pollinators (Heil, 2011; Etcheverry et al., 2012).
Ecological studies on Bauhinia have shown the diversity of pollinating animals for this genus, including bats, bees, hummingbirds, moths, and butterflies (Hokche and Ramirez, 1990; Lau et al., 2009). Nectar is the main resource, exposed to specialized or non-specialized pollen vectors, such as in Bauhinia championii (Benth.) Benth., B. corymbosa Roxb., and B. glauca Benth. (Lau et al., 2009). However, little is known about the anatomical structure of the nectary in Bauhinia.
Considering the importance of B. monandra, to know a key structure in its sexual reproduction and thus offer elements for taxonomy studies, reproductive biology, and ecology of this species, the present work aimed at describing the anatomy of the floral nectary of B. monandra and detecting, by using histochemical tests, the different chemicals present in the nectary tissues.
MATERIALS AND METHODS
Fully opened flowers of Bauhinia monandra, which were pre-anthetic the day before, were collected in January 2014 from cultivated trees growing in the Universidade Estadual do Sudoeste da Bahia (UESB), Campus of Vitória da Conquista, Bahia State, Brazil (14o53'28" S; 40o48'14" W), at 823 meters above sea level. The voucher specimens, obtained by the second author of the present work, were deposited in the Herbarium of the Universidade Estadual de Santa Cruz (UESC), Bahia State, Brazil, under the no 21964, 21965, and 21966. The nectar samples of three flowers of three individuals were tested with Keto-Diabur-Test® (Roche Diagnostics; Hoffmann-La Roche, Risch-Rotkreuz, Switzerland). The hypanthium samples containing the nectary were manually removed from at least nine flowers of each of the three individuals studied here. Each hypanthium was then subdivided into three parts (basal, middle, and apical) by using a razor blade, and was immediately fixed in a solution containing glutaraldehyde and paraformaldehyde at pH 7.2 (Karnovsky, 1965) and stored in 70 % ethanol.
LIGHT MICROSCOPY
Three samples of each of the three different parts of the hypanthium from each individual, which were stored in 70 % ethanol, were progressively dehydrated to 95 % ethanol and then embedded in glycol-methacrylate resin (Historesin® Leica; Leica Microsystems, Heidelberg, Germany). Serial sections optimized for histochemistry studies (Leitão, 2018) 3 µm thick were obtained with a Leitz 1212 rotary microtome (Ernst Leitz Optical Works, Wetzlar, Germany). The sections were placed on slides and submitted to different contrasting and histochemical techniques: for structural characterization and metachromasy observation was used 0.025 % Toluidine blue O was in Mcllvane buffer at pH 4.0 (Vidal, 1977); for total carbohydrates detection, the Periodic Acid Schiff reaction (Maia, 1979); to demonstrate the presence of mucilage, 5 % tannic acid and 3 % ferric chloride (Pizzolato and Lillie, 1973) or 0.05 % Alcian blue at pH 2.5 (Whiteman 1973); to identify the presence of total proteins 0.1 % Ponceau Xylidine 2R at pH 2.5 (Vidal, 1970); for phenols, 10 % potassium dichromate (Gabe, 1968) and to locate lipids, Sudan black B or Sudan IV solution saturated in 70 % ethanol (Pearse, 1980).
The temporary slides were made in water (Johansen, 1940). For the analysis and photographic documentation, a Leica DM750 light microscope equipped with Leica ICC50HD digital image capture system (Leica Microsystems, Wetzlar, Germany) and the polarized light feature were employed. The anatomical descriptions were made according to terminologies proposed by Nepi (2007).
SCANNING ELECTRON MICROSCOPY
Three samples of each of the three different parts of the hypanthium from each individual, which were stored in 70 % ethanol, were dehydrated in an ethanol series (85 %, 95 %, and 100 % ethanol), for 15 min in each solution. After being placed three times in 100 % ethanol, the samples were submitted to ethanol/acetone (3:1, 1:1, 1:3) and 100 % acetone three times, and submitted to CO2 critical point drying, by using a Bal-Tec CPD030 (Balzers, Schaan, Liechtenstein). The cathodic deposition of gold was carried out in a Bal-Tec SCD050 (Balzers, Schaan, Liechtenstein) sputter coater. For observation and photographic documentation, a Quanta 250 (FEI Company, Oregon, USA) scanning electron microscope equipped with a digital image capture system was used at 10 kV.
RESULTS
The secretion could fill the hypanthium tube. It was colorless and had a sweet taste, reacting positively to the Keto-Diabur-Test®, attesting that it was nectar, and therefore, it was exuded by a nectary.
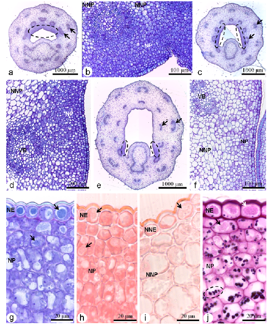
The newly opened flowers of Bauhinia monandra had lighter petals, which became pinker as the flowers aged (Fig. 1a). The receptacle was characterized by the tubular and constricted hypanthium measuring about 2.5 cm in length and with a discreet opening (Fig. 1b-d). The nectar accumulated inside the hypanthium (Fig. 1e). The nectary tissues were present, dorsally involving the basal third of the tube (Fig. 2a, b) and acropetally bifurcating in "Y", forming two branches that run on the sides of the tube up to its opening, where the insertions of the floral parts were (Fig. 2c-f).

The epidermis of the tube was single-layered and slightly papillose (Figs. 2g-j, 3a-c). In the secretory portions of the tube, the nectary epidermis consisted of smaller cells with dense cytoplasm, strongly stained by Toluidine blue O pH 4.0 (TBO) (Fig. 2g) and Ponceau Xylidine (Fig. 2h). The vacuole was relatively smaller than in the other epidermal cells of the tube (Fig. 2i). Some cells contained intravacuolar corpuscular material tending to a spherical shape, which stained with TBO (Fig. 2g), was positive for Periodic Acid Schiff reaction (Fig. 2j) and weakly positive for Ponceau Xylidine (Fig. 2h). These corpuscles could also be found in the non-nectary epidermis of the tube (Fig. 2i). The nectary epidermis presented an especially thin cuticle in the basal portion of the tube, not always detectable with Sudan (Fig. 3a). However, in the nectary epidermis at the upper portions of the tube, the cuticle was thicker (Fig. 3b), although thinner compared to the non-nectary epidermis (Fig. 3c).


Modified stomata occurred only in the basal third of the length of the tube (Fig. 4a) and distributed in a non-oriented manner (Fig. 4b). At the basal two-thirds of the tube, as well as close to its opening, there were normal uniseriate multicellular tector trichomes, with a tapered extremity and a dilated middle portion, ornamented by a rugosity like micro verrucas on their surface (Figs. 3d, 4c-d). Similar trichomes occurred in abundance on the outer surface of the hypanthium (Fig. 4c).

The nectary parenchyma was characterized by juxtaposed cells, organized in eight to fifteen layers (Fig. 2b, d, f), being thicker in the basal region of the tube (Fig. 2b). The cells were smaller, with cytoplasmic content more intensely stained with TBO (Figs. 2g, 3e) and Ponceau Xylidine (Fig. 2h) when compared to the non-nectary parenchyma cells (Fig. 2d, f, i). In longitudinal cuts, the cells were anticlinal elongated, and the stratification of the tissue was evident. Also, some cells organized in a cords-like pattern were visible crossing several layers of the tissue (Fig. 3f).
In the nectary parenchyma, the cell walls were stained purple with TBO, that is, they were metachromatic. The vacuoles were small and numerous (Fig. 3e). In the cytoplasm of these cells (Figs. 2j, 3g), as well as in the nectary or non-nectary parenchyma cells adjacent to the vascular bundles, large amounts of starch grains occurred, especially in the phloem proximities (Fig. 3g, h). In the adjacent non-nectary parenchyma cells as in the nectary and non-nectary epidermis cells, starch grains also occurred, but they were smaller than those found in the nectary parenchyma cells (Figs. 2j, 3g).
The vascular bundles were of the collateral or amphicribral concentric type, with a "C" or circular shape, respectively (Fig. 2a-f). They had more phloem than xylem (Fig. 3h-j). In the apical half of the hypanthium, larger vascular bundles occurred in two large concentric rings. The outer ring had ten vascular bundles. The inner one was incomplete, in horseshoe format. It had nine vascular bundles located in opposition to the bundles of the outer ring. Between the most ventral vascular bundle of the outer ring and the nectary tube, there was a small ring of smaller vascular bundles that were directed towards the fertile whorls of the flower (Fig. 2a, c, e).
Only the vascular bundles of the inner ring passed close to the nectary parenchyma (Fig. 2a, c, e), without, however, emitting vascular terminations to itself (Fig. 3i). Nevertheless, an arrangement of nectary parenchyma cells in association with nearby vascular bundles was notorious (Figs. 2b, d, 3i). In the basal third of the hypanthium, the five most dorsal vascular bundles passed beneath the nectary parenchyma (Fig. 2a). In the upper two-thirds (middle and apical), one to three bundles on each side were the closest to the nectary (Fig. 2c, e).
Idioblasts containing calcium oxalate crystals of the druse type occurred around the vascular bundles, especially in the phloem proximities (Fig. 3i-k). The results of the potassium dichromate and tannic acid/ferric chloride tests were negative, so no phenolic compounds or mucilages were detected in the investigated tissues, respectively.
DISCUSSION
The floral nectary of Bauhinia monandra is in the receptacle, a common feature in the Fabaceae family (Fahn, 1952; Paiva and Machado, 2008). Structurally, this is a modification in the hypanthium, which has developed the property of secreting and accumulating nectar and is therefore classified as a hypanthial nectary (Bernardello, 2007). The hypanthium is tubular in shape and the nectary tissues occur in specific regions of the tube. In the other regions, there is an ordinary epidermis without stomata, subtended by a non-nectary (fundamental) parenchyma.
Both nectary epidermis and nectary parenchyma cells have a relatively small vacuole(s) and a large nucleus, and cytoplasm heavily stained with Ponceau Xylidine. Such characteristics indicate high metabolic activity in the tissues (Nepi, 2007) during the process of nectar secretion. In the vacuole of some B. monandra nectary cells occurs a corpuscle that stains with TBO, which demonstrates the presence of anionic radicals, that is, acid nature (Ribeiro and Leitão, 2020), and reacts positively to Periodic Acid Schiff reaction, confirming the presence of insoluble polysaccharides. The positive, although weak, result of Ponceau Xylidine also indicates the presence of proteins. Similar corpuscles were described for orchid nectaries (Stpiczyriska et al., 2003, 2005; Leitão et al., 2014), without, however, concluding their function.
The nectary parenchyma is the most voluminous secretory tissue of the B. monandra nectary and, consequently, is the most active in the process of nectar secretion. Its cells are slightly larger than the epidermal ones and have relatively large starch grains. These structures are common in the nectary parenchyma of several species. In comparative observations of Hymenaea stignocarpa Mart. ex Hayne nectaries, before and after secretion, it was found that starch grains are hydrolyzed during nectar production (Paiva and Machado, 2008). Starch hydrolysis leads to the increase of osmotic pressure within the cells resulting in water inflow along the sugar concentration gradient, from vascularization to the nectary parenchyma (Stpiczyriska et al., 2012). Many authors also inferred that starch hydrolysis in the nectary cells contributes directly to the carbohydrate content of nectar (Rachmilevitz and Fahn, 1973; Nepi et al., 1996; Nepi, 2007; Paiva, 2012; Paiva and Martins, 2014).
The vascular bundles in contact with the nectary parenchyma are in the inner ring of the hypanthium vascularisation. Although these vascular bundles do not emit vascular terminations directed towards the nectary parenchyma, this last tissue has its innermost layers arranged to involve some of these vascular bundles. This structural pattern is also reported for the hypantial nectary of Caesalpinia gilliesi (Wall. ex Hook) Dietrich (Fabaceae) (Cocucci et al., 1992). This association between nectary parenchyma and vascular bundles suggests that the phloem is a significant supplier of photoassimilates for nectar production. This phloem function is widely reported (Coutinho and Meira, 2015; Silva et al., 2017; Zhang and Zhao, 2018), with a positive correlation between the phloem quantity in the nectary vascularization and the sugar concentration in the nectar (Davis et al., 1998).
The metachromasia assumed by the walls of the nectary parenchyma cells, when stained with TBO, indicates high hydrophilicity. Stomata are the outlet of nectar in numerous nectaries where it is produced by nectary parenchyma (Carmo-Oliveira et al., 2017; Paiva, 2017). These stomata are generally modified and often described as unable to control the ostiole aperture (Stpiczyriska et al., 2005; 2012). In B. monandra, nectary stomata are visibly modified, with an appearance quite distinct from the leaf stomata (Antunes et al., 2021), and most likely are unable to regulate their opening.
Moreover, in the basal third of the nectary, the cuticle is extremely thin or invisible under the light microscope. In this region, the subjacent nectary parenchyma has its maximum thickness, with the largest number of cell layers. In the rest of the tube, the nectary epidermis does not have stomata and its cuticle is thicker than in the basal third, although it is usually thinner than the non-nectary epidermis lining the lumen of the tube. Probably, there is a direct relationship between stomata number and the volume of secreted nectar (Davis, 2001). Thus, it can be inferred that, in the B. monandra nectary, the maximum nectar production occurs in the basal third of the nectary tube. Although the stomata would be the main route of nectar exiting, the external periclinal walls of the other nectary epidermis cells also seem to participate in this process, since they do not have characteristics of an impermeable wall.
Concerning the upper two-thirds of the nectary, where the nectary epidermis is covered by a distinct cuticle, no subcuticular nectar accumulation nor cuticle detachment were observed (Subramanian and Inamdar, 1989; Stpiczyriska et al., 2011; Paiva, 2012; Gonzalez and Marazzi, 2018), nor cuticle ruptures (Paiva and Machado, 2006; Vesprini et al., 2012), as described for several nectaries in different families, whose epidermis has noticeable secretory activity. There are nectaries whose nectary epidermis has a permeable cuticle, which remains intact after nectar secretion (Coutinho et al., 2010). Thus, we may infer that all the nectary epidermis cells from the B. monandra nectary are very likely to contribute to the nectar secretion in the tube lumen since they have characteristics of secretory cells.
The trichomes found inside the tube of the B. monandra floral nectary are of the tector type, that is, they do not have secretory activity and consequently do not participate in the nectar secretion. Tector trichomes are reported for the nectaries of Solanum stramonifolium Jacq. (Solanaceae) which apparently are involved in protecting these secretory structures (Falcão et al., 2003). In Prunus persica L. Batsch (Rosaceae), it is speculated that they attenuate the nectar evaporation (Radice and Galati, 2003), which may perhaps make sense for the floral nectary of B. monandra. In this species, although the nectar is retained within a tube, its flowers are agitated by the wind, thus becoming susceptible to nectar loss. Thus, it can be speculated that these trichomes act as an aid to the nectar retention inside the tube.
The length of the floral tube of many groups of plants is correlated with the length of the buccal parts (proboscis) of several pollinating insects (Nilsson, 1988). For the Bauhinia genus, a huge diversity of pollinators is reported, such as bats, birds, bees, butterflies, and moths (Hokche and Ramirez, 1990; Lau et al., 2009). However, in the present study, no information was found about the B. monandra pollinator. Nevertheless, the constricted tube form of the B. monandra nectary is typical of flowers pollinated by moths or butterflies (Nilsson, 1988; Yamasaki and Sakai, 2013).
CONCLUSIONS
It is concluded that the secretory tissues of B. monandra floral nectary are a continuum of epidermal and parenchymal cells that partially involves the tubular hypanthium, whose nectar precursors are mainly from vascular bundles crossing this region. Modified stomata at the base of the tube would be the main route of nectar elimination, although nectary epidermal cells appear to participate in this process.
ACKNOWLEDGEMENTS
We thank Prof. Ph.D. Claudenir Simões Caires, from the Department of Natural Sciences of UESB - Universidade Estadual do Sudoeste da Bahia, for the identification of the species; Prof. Ph.D. Delmira da Costa Silva, from the Department of Biological Sciences of UESC - Universidade Estadual de Santa Cruz, and MSc Lucas Ribeiro, from the Center of Electronic Microscopy of UESC, for the support in the electron microscopy procedures; Alex Bruno Alves Couto, from the undergraduate degree in Forest Engineering, for helping in the samples acquisition; Valdir Carvalho Ribeiro, from the undergraduate degree in Biological Sciences, for revising the English translation of the manuscript, and the FAPESB - Fundação de Amparo à Pesquisa do Estado da Bahia, for providing the research grant to the first author. There are no conflicts of interest.
REFERENCES
Antunes MN, Pereira FR, Leitão CAE. Structural characterization of the leaf of Bauhinia monandra Kurz (Fabaceae - Cercidoideae). Braz Arch Biol Technol. 2021;64:e21200618. Doi: https://doi.org/10.1590/1678-4324-2021200618.
Beaumont KP, Mackay DA, Whalen MA. Ant defence of a dioecious shrub, Adriana quadripartita (Euphorbiaceae), with extrafloral nectaries. Aust J Bot. 2016;64:539-546. Doi: https://doi.org/10.1071/BT16034.
Bentley B, Elias T. The biology of nectaries. New York: Columbia University Press; 1983. 259 p.
Bernardello, G. A systematic survey of floral nectaries. In: Nicolson SW, Nepi M, Pacini E, editor(s). Nectaries and nectar. Dordrecht: Springer; 2007. p. 19-128.
Burnie G, Forrester S, Greig D, Guest S, Harmony M, Hobley S, Jackson G, Lavarack P, Letgett M, McDonald R, Macoboy S, Molyneux B, Moodie D, Moore J, Newman D, North T, Pienaar K, Purdy G, Silk J, Ryan S, Schien G. Botanica: the illustrated A-Z of over 10,000 garden plants and how to cultivate them. Sydney: Könemann; 2004. 1020 p.
Carmo-Oliveira R, Oliveira PE, Morretes BL. Appendicular origin and structure of the spur of Vochysiaceae flowers. Acta Bot Bras. 2017;31:433-444. Doi: https://doi.org/10.1590/0102-33062017abb0117.
Castellanos C, Forero E. El género Bauhinia L. sensu stricto (Leguminosae: Cercidoideae: Cercideae) en Colombia. In: Forero E, Castellanos C, editor(s). Estudios en leguminosas colombianas III. Bogotá: Academia Colombiana de Ciencias Exactas, Físicas y Naturales; 2019, p. 23-73.
Cocucci AA, Galetto L, Sersic A. El syndrome floral de Caesalpinia gilliesii (Fabaceae - Caesalpinioideae). Darwiniana. 1992;31:111-135.
Coutinho IAC, Meira RMSA. Structural diversity of extrafloral nectaries in Chamaecrista sect. Apoucouita. Botany. 2015;93:379-388. Doi: https://doi.org/10.1139/cjb-2014-0227.
Coutinho IAC, Valente VMM, Meira RMS. Ontogenetic, anatomical and histochemical study of the extrafloral nectaries of Sapium biglandulosum (Euphorbiaceae). Aust J Bot. 2010;58:224-232. Doi: https://doi.org/10.1071/BT09200.
Davis AR. Searching and breeding for structural features of flowers correlated with high nectar-carbohydrate production. Acta Hortic. 2001;561:107-121. Doi: https://doi.org/10.17660/ActaHortic.2001.561.16.
Davis AR, Pylatuik JD, Paradis JC, Low NH. Nectar-carbohydrate production and composition vary in relation to nectary anatomy and location within individual flowers of several species of Brassicaceae. Planta. 1998;205:305-318. Doi: https://doi.org/10.1007/s004250050325.
Etcheverry AV, Figueroa-Castro D, Figueroa-Fleming T, Alemán MM,Juárez VD, López-Spahr D, Yáñez CN, Gómez CA. Generalised pollination system of Erythrina dominguezii (Fabaceae: Papilionoideae) involving hummingbirds, passerines and bees. Aust J Bot. 2012;60:484-494. Doi: https://doi.org/10.1071/BT11325.
Fahn, A. On the structure of floral nectaries. Bot Gaz. 1952; 113:464-470. Doi: https://doi.org/10.1086/335735.
Fahn A. Secretory tissues in plants. London: Academic Press; 1979. 302 p.
Falcão PF, Melo-de-Pinna GF, Leal IR, Almeida-Cortez JS. Morphology and anatomy of extrafloral nectaries in Solanum stramonifolium (Solanaceae). Can J Bot. 2003;81:859-864. Doi: https://doi.org/10.1139/b03-083.
Gabe M. Techniques histologiques. Paris: Masson and Co.; 1968. 1113 p.
Gonzalez AM, Marazzi B. Extrafloral nectaries in Fabaceae: filling gaps in structural and anatomical diversity in the family. Bot J Linn Soc. 2018;187:26-45. Doi: https://doi.org/10.1093/botlinnean/boy004.
Heil M. Nectar: generation, regulation and ecological functions. Trends Plant Sci. 2011;16:191-200. Doi: https://doi.org/10.1016/j.tplants.2011.01.003.
Hokche O, Ramirez N. Pollination ecology of seven species of Bauhinia L. (Leguminosae: Caesalpinioideae). Ann Missouri Bot Gard. 1990;77:559-572. Doi: https://doi.org/102307/2399520.
Johansen DA. Plant microtechnique. New York: McGraw-Hill; 1940. 523 p.
Karnovsky MJ. A formaldehyde-glutaraldehyde fixative of high osmolality for use in electron microscopy. J Cell Biol. 1965;27:137-138.
Lau CPY, Saunders RMK, Ramsden L. Floral biology, breeding systems and population genetic structure of three climbing Bauhinia species (Leguminosae: Caesalpinioideae) in Hong Kong, China. J Trop Ecol. 2009;25:147-159. Doi: https://doi.org/10.1017/S0266467408005762.
Leitão CAE. Working optimally with serial sections in glycol methacrylate resin. Braz Arch Biol Technol. 2018;61:e18180103. Doi: https://doi.org/10.1590/1678-4324-2018180103.
Leitão CAE, Dolder MAH, Cortelazzo AL. Anatomy and histochemistry of the nectaries of Rodriguezia venusta (Lindl.) Rchb. f. (Orchidaceae). Flora. 2014;209:233-243. Doi: https://doi.org/10.1016/j.flora.2014.03.002.
Lewis G, Schrire, B, Mackinder, B, Lock, M.. Legumes of The World. Kew: Royal Botanic Gardens; 2005. 577p.
LPWG. A new subfamily classification of the Leguminosae based on a taxonomically comprehensive phylogeny. Taxon. 2017;66:44-77. Doi: https://doi.org/10.12705/661.3.
Maia V. Técnica histológica. São Paulo: Atheneu; 1979. 246p.
Moreira FF, Vaz AMSF, Mendonça CBF, Gonçalves-Esteves V. The systematic value of pollen morphology in trees and shrubs species of Bauhinia L. (Caesalpinioideae - subg. Bauhinia - sect. Pauletia) occurring in Brazil. Acta Bot Bras. 2013;27:400-417. Doi: https://doi.org/10.1590/S0102-33062013000200014.
Nepi M. Nectary structure and ultrastructure. In: Nicolson SW, Nepi M, Pacini E, editor(s). Nectaries and nectar. Dordrecht: Springer ; 2007. p. 129-166.
Nepi M, Ciampolini F, Pacini E. Development and ultrastructure of Cucurbita pepo nectaries of male flowers. Ann Bot. 1996;78:95-104. Doi: https://doi.org/10.1006/anbo.1996.0100.
Nilsson LA. The evolution of flowers with deep corolla tubes. Nature. 1988;334:147-149. Doi: https://doi.org/10.1038/334147a0.
Paiva EAS. Anatomy, ultrastructure, and secretory activity of the floral nectaries in Swietenia macrophylla (Meliaceae). Am J Bot. 2012;99:1910-1917. Doi: https://doi.org/10.3732/ajb.1200122.
Paiva EAS. How does the nectar of stomata-free nectaries cross the cuticle? Acta Bot Bras. 2017;31:525-530. Doi: https://doi.org/10.1590/0102-33062016abb0444.
Paiva EAS, Machado SR. Ontogenesis, structure and ultrastructure of Hymenaea stigonocarpa (Fabaceae: Caesalpinioideae) colleters. Rev Biol Trop. 2006;54:943- 950. Doi: https://doi.org/10.15517/rbt.v54i3.13692.
Paiva EAS, Machado SR. The floral nectary of Hymenaea stigonocarpa (Fabaceae, Caesalpinioideae): structural aspects during floral development. Ann Bot. 2008;101:125-133. Doi: https://doi.org/10.1093/aob/mcm268.
Paiva EAS, Martins LC. Structure of the receptacular nectary and circadian metabolism of starch in the ant-guarded plant Ipomoea cairica (Convolvulaceae). Plant Biol. 2014;16:244-251. Doi: https://doi.org/10.1111/plb.12038.
Pearse AGE. Histochemistry: theoretical and applied, Vol I. London: Longman Group Limited; 1980. 759 p.
Pizzolato P, Lillie RD. Mayer's tannic acid-ferric chloride stain for mucins. J Histochem Cytochem. 1973;21:56-64. Doi: https://doi.org/10.1177/21.1.56.
Quijano JGC, Muñoz DER, Alejandro, MAM. Uso y conocimiento de Bauhinia monandra Kurz en una zona urbana de Quintana Roo. Rev Etnobiología 2018;16:48-57.
Rachmilevitz T, Fahn, A. Ultrastructure of nectaries of Vinca rosea L., Vinca major L. and Citrus sinensis Osbeck cv. Valencia and its relation to the mechanism of nectar secretion. Ann Bot. 1973;37:1-9. Doi: https://doi.org/10.1093/oxfordjournals.aob.a084662.
Radice S, Galati BG. Floral nectary ultrastructure of Prunus persica (L.) Batch cv. Forastero (Newcomer), an Argentine peach. Plant Syst Evol. 2003;238:23-32. Doi: https://doi.org/10.1007/s00606-002-0279-9.
Ribeiro VC, Leitão CAE. Utilisation ofToluidine blue O pH 4.0 and histochemical inferenceds in plant sections obtained by free-hand. Protoplasma. 2020;257:993-1008. Doi: https://doi.org/10.1007/s00709-019-01473-0.
Salatino A, Blatt CTT, Santos DYAC, Vaz AMSF. Foliar flavonoids of nine species of Bauhinia. Rev Bras Bot. 1999;22:17-20. Doi: 10.1590/S0100-84041999000100003.
Santos OG, Pereira RCA, Sousa FJB, Paiva LGG, Bezerra MGA. Análise do crescimento de mudas de Bauhinia monandra, Kurz. Hortic Bras. 2014;31:S2611-S2618.
Silva MS, Coutinho IAC, Araújo MN, Meira RMSA. Morphoanatomy of nectaries of Chamaecrista (L.) Moench sections Chamaecrista, Caliciopsis and Xerocalyx (Leguminosae: Caesalpinioideae). Acta Bot Bras. 2017;31:445-458. Doi: https://doi.org/10.1590/0102-33062017abb0101.
Sinou C, Forest F, Lewis G P, Bruneau A. The genus Bauhinia s.l. (Leguminosae): a phylogeny based on the plastid trnL-trnF region. Botany. 2009;87:947-960. Doi: https://doi.org/10.1139/B09-065.
Stpiczyniska M, Davies KL, Gregg A. Nectary structure and nectar secretion in Maxillaria coccinea (Jacq.) L.O. Williams ex Hodge (Orchidaceae). Ann Bot. 2003;93:87-95. Doi: https://doi.org/10.1093/aob/mch008.
Stpiczyniska M, Davies KL, Kaminiska M. Comparative anatomy of the nectary spur in selected species of Aeridinae (Orchidaceae). Ann Bot. 2011;107:327-345. Doi: https://doi.org/10.1093/aob/mcq246.
Stpiczyniska M, Kaminiska M, Zych M. Nectary structure in dichogamous flowers of Polemonium caeruleum L. (Polemoniaceae). Acta Biol Crac. 2012;54:61-68. Doi: https://doi.org/10.2478/v10182-012-0019-6.
Stpiczyniska M, Milanesi C, Faleri C, Cresti M. Ultrastructure of the nectary spur of Platanthera chlorantha (Custer) Rchb. (Orchidaceae) during successive stages of nectar secretion. Acta Biol Crac. 2005;47:111-119.
Subramanian RB, Inamdar JA. The structure, secretion and biology of nectaries in Tecomaria capensis Thunb (Bignoniaceae). Phytomorphology. 1989;39:69-74. Doi: https://doi.org/10.2307/2445877.
Torres-Colín R, Stefano RD, Can LL. El género Bauhinia (Fabaceae, Caesalpinioideae, Cercideae) en la península de Yucatán (México, Belice y Guatemala). Rev Mex Biodivers. 2009;80:293-301. Doi: https://doi.org/10.22201/ib.20078706e.2009.002.625.
Vesprini JL, Pacini E , Nepi M . Floral nectar production in Helleborus foetidus: an ultrastructural study. Botany. 2012;90:1308-1315. Doi: https://doi.org/10.1139/b2012-101.
Vidal BC. Dichroism in collagen bundles stained with Xylidine Ponceau 2R. Ann Histochim. 1970;15:289-296.
Vidal BC. Acid glycosaminoglycans and endochondral ossification: microspectrophotometric evaluation and macromolecularorientation. Cell Mol Biol. 1977;22:45-64.
Whiteman P. The quantitative measurement of Alcian blueglycosaminoglycan complexes. Biochem J. 1973;131:343-350. Doi: https://doi.org/10.1042/bj1310343.
Yamasaki E, Sakai S. Wind and insect pollination (ambophily) of Mallotus spp. (Euphorbiaceae) in tropical and temperate forests. Aust J Bot. 2013;61:60-66. Doi: https://doi.org/10.1071/bt12202.
Zhang X, Zhao L. Morphology, structure and ultrastructure of staminal nectary in Lamprocapnos (Fumarioideae, Papaveraceae). Flora. 2018;242:128-136. Doi: https://doi.org/10.1016/j.flora.2018.03.015.
Notes
Author notes
*For correspondence:candreel@yahoo.com.br