Reporte de caso
Linfoma difuso de células B rico en células T en un canino: reporte de caso
Canine diffuse lymphoma of B-cell rich in T-cell: a case report
Linfoma difuso de células B rico em células T em um canino: relato de caso
Linfoma difuso de células B rico en células T en un canino: reporte de caso
CES Medicina Veterinaria y Zootecnia, vol. 12, núm. 1, pp. 53-69, 2017
Universidad CES
Recepción: 06 Octubre 2016
Aprobación: 28 Abril 2017
Resumen: Se reporta el caso de un Linfoma difuso de células grandes de células B rico en células T de bajo grado de comportamiento multicéntrico diagnosticado mediante evaluación histopatológica e inmunohistoquímica en un canino. En febrero de 2016 se remite al área de cátedra y servicio de patología veterinaria de la Universidad de Nariño, Pasto, Colombia, un canino hembra mestiza de ocho años de edad; el propietario reporta la presencia de dos masas en el cuello, decaimiento, anorexia y pérdida de peso. Se realiza biopsia por aspiración con aguja fina (BACAF) de masas submandibulares y linfonodos poplíteos evidenciando proliferación neoplásica de células redondas de característica linfoide, por lo cual el propietario decidió realizar eutanasia y necropsia. Se tomaron muestras para realizar la técnica de inclusión en parafina y coloración de Hematoxilina - Eosina (H/E) de rutina, adicionalmente se emplearon anticuerpos inmunohistoquímicos para CD45, CD3 y CD79a DAKO® los cuales se aplicaron a médula ósea, nódulos linfáticos, piel y fueron contrastados con hematoxilina de Meyer. Los hallazgos de H/E e inmunohistoquímica corresponden a un linfoma difuso de células B rico en células T de bajo grado, de comportamiento multicéntrico con metástasis en páncreas, hígado, pulmón, intestino delgado, médula ósea y piel. Se concluye que el uso de marcadores inmunohistoquímicos demuestran ser una herramienta de gran utilidad para el diagnóstico de neoplasias linfoides al correlacionarlos con la evaluación clínica e histopatológica.
Palabras clave: citología, histopatología, inmunohistoquímica, neoplasia linfoide, perro.
Abstract: Was reported a diffuse large cell lymphoma, both B cell and rich in T cell, low-grade behavior multicenter, diagnosed by histopathological and immunohistochemical evaluation. In February 2016 in the veterinary clinic "Carlos Martinez H." University of Nariño, Pasto, Colombia, entered a canine female, crossbreed, eight years old; owner reported the presence of two masses in neck, with decay, anorexia and weight loss. Was taken a sample fine-needle biopsy aspiration (FNA) of submandibular masses and popliteal lymph nodes, showing neoplastic proliferation of round cells of lymphoid feature, so the owner decided to perform euthanasia and necropsy. Were sampled for inclusion paraffin technique, and staining hematoxylin - eosin (H / E), further immunohistochemical antibodies to CD45, CD3 and CD79a DAKO® which were applied and were compared with hematoxylin-eosin finds. Findings belong to diffuse lymphoma diffuse of B-cell rich in low-grade T-cell with multicentric distribution with metastases in pancreas, liver, lung, small intestine, bone marrow and skin. In conclusion, use of immunohistochemically markers proves a useful tool for diagnosis of lymphoid neoplasms when the findings are correlated with clinical and histopathological evaluation.
Keywords: cytology, histopathology, immunohistochemistry, lymphoid neoplasia, dog.
Resumo: O caso de um linfoma difuso de células grande de células B rico em células T baixo grau comportamento multicêntrico diagnosticada por histopatológico e imuno-histoquímica em um canino é relatado. Em fevereiro de 2016, refere-se à área de ensino e serviço de patologia veterinária da Universidade de Nariño, Pasto, Colômbia, uma fêmea mestiça canino oito anos de idade; o proprietário relatou a presença de dois massas cervicais, deterioração, anorexia e perda de peso. Biópsia aspiração é executada com aspiração com agulha fina (FNA) de massas dos nodos linfáticos submandibulares poplítea e que mostram a proliferação neoplásica de células redondas recurso linfoide, ou que o proprietário decidiu eutanásia e necropsia. Foram tomadas amostras para inclusão em parafina técnica e hematoxilina - eosina (H/E), adicionalmente foi usado os anticorpos imuno-histoquímica CD45, CD3 e CD79a - DAKO® que foram aplicadas para a medula óssea, os nódulos linfáticos, e a pele a foram comparadas com a corante hematoxilina de Meyer. Os resultados de H/E e imuno-histoquímica para corresponder a um linfoma difuso de células grande de células B rico em células T baixo grau comportamento multicêntrico com metástase no pâncreas, fígado, pulmão, intestino delgado, medula óssea e pele. Conclui-se que o uso de marcadores imuno-histoquímica se revela uma ferramenta útil para o diagnóstico de neoplasias linfoides para correlacionar com a avaliação clínica e histopatológica.
Palavras-chave: citologia, histopatologia, imuno-histoquímica, neoplasia linfoide, cão.
Introducción
El linfoma es un tumor maligno que se origina de los linfonodos y tejido linfático, corresponde entre el 5 - 24% de las condiciones neoplásicas del perro 1,2,3.
Esta neoplasia se presenta en caninos, comúnmente entre los 6 a 12 años de edad, sin diferencias entre sexos 1,4,5, siendo la alteración linfoproliferativa de mayor incidencia en pequeños animales 6.
Las clasificaciones de los linfomas han sido diversas y han ido evolucionando en los últimos años. La mayoría de los esquemas han sido adaptados de linfomas humanos. La clasificación de la Kiel y Working Formulation, consideran únicamente los criterios morfológicos, como el crecimiento dentro del linfonódulo (nodular o difuso), y el tamaño de las células neoplásicas (pequeñas, grandes o mixtas) 7. La clasificación propuesta por la Organización Mundial de la Salud (OMS) en 2008 separa los linfomas desde su origen celular como célula precursora o célula madura y define cada tipo según características clínicas, morfológicas, inmunofenotípicas y genéticas 8,9,10 obteniendo como ventaja la caracterización de los linfomas extraganglionares, distinguiendo cada entidad histopatológica según la diferenciación, tamaño celular y la agresividad 9,10,11. La aplicación de la clasificación histológica de la OMS es un sistema práctico para patólogos veterinarios no especialistas en hematopatología 12,13 (Tabla 1, Figura 1).


La localización más común corresponde a los linfonodos del cuello, y supraclaviculares. Según el sitio de su ocurrencia, el linfoma se puede dividir en: multicéntrico, gastrointestinal, cutáneo, del sistema nervioso central y nodo extra- linfático entre otros 1.
El linfoma multicéntrico corresponde a la presentación más frecuente; el linfoma de células B se presenta en un 60% a 70% y el originario de células T en un 30% a 40% de los casos (1,15,16. Un 7,5% de los casos corresponden a otros tipos de linfomas 5,7.
Los signos clínicos más típicos se manifiestan con agradamiento progresivo, cambios en consistencia y textura y dolor de los linfonodos; su presentación frecuentemente se asocia con un historial de enfermedad no definida, inapetencia con un curso de días o unas pocas semanas. La signología clínica presentada refleja la disfunción del tejido u órgano afectado como úlceras, vómito, ictericia, entre otros1,17. Las anormalidades en el laboratorio clínico son poco específicas a excepción de la presencia de hipercalcemia en un 20 a 40% de los linfomas de células T y la detección en sangre periférica de linfocitos anormales en un 10 a 20% de los casos de linfomas de células B 18,19.
El diagnóstico de neoplasias linfoides es un proceso que requiere de varias etapas que incluye el examen clínico, diagnóstico por imagen, citología, hematología, perfil bioquímico, histopatología y técnicas auxiliares como la citometría de flujo e inmunofenotificación 20).
La inmunofenotipificación puede realizarse mediante citometría de flujo y por inmunohistoquímica, la ventaja de la primera es que se pueden analizar muestras más pequeñas obtenidas mediante técnicas menos invasivas. En contraste, la inmunohistoquímica tiene como ventaja la identificación de los subconjuntos de células conservando la arquitectura de los nódulos linfáticos 21.
El diagnóstico de linfoma maligno se realiza por histopatología y citología, siendo la inmunohistoquímica, fundamental para los casos donde no se puede alcanzar una caracterización histológica precisa que permita establecer la línea celular involucrada e instaurar un protocolo terapéutico adecuado 1,10.
Una adecuada metodología de diagnóstico permite establecer una aproximación diagnóstica más precisa de las neoplasias derivadas del sistema linfoide. El objetivo del artículo consiste en reportar un caso de un Linfoma difuso de células grandes de células B rico en células T de bajo grado de comportamiento multicéntrico diagnosticado mediante evaluación histopatológica e inmunohistoquímica en un canino.
Descripción del caso
En febrero de 2016 se remite al área de cátedra y servicio de patología veterinaria de la Universidad de Nariño, Pasto, Colombia, un canino hembra mestiza de ocho años de edad y 19 kg de peso para realizar una biopsia por aspiración con aguja fina (BACAF) de masas submandibulares y linfonodos poplíteos.
En los anamnésicos, el propietario reporta la presencia de dos masas en el cuello, decaimiento, anorexia y pérdida de peso, desconociendo el tiempo de evolución del problema. Al examen clínico se evidenciaron dos masas localizadas bilateralmente en la región mandibular de 8 cm de diámetro aproximadamente, de consistencia firme e indoloras a la palpación, linfonodos poplíteos e inguinales aumentados de tamaño, consistencia dura y móviles, tónsilas aumentadas de tamaño, mamas abdominales e inguinales con evidencia de proceso inflamatorio (Figura 2), adicionalmente, se observó alopecia bilateral simétrica en la zona perianal y región abdominal. En el hemograma se reportó eritrocitosis y leucocitosis con neutrofilia, linfocitosis, eosinofilia y monocitosis.

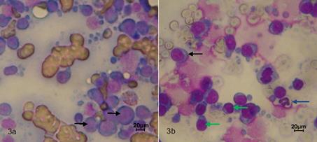
En la evaluación citológica de las masas submandibulares se evidenció proliferación neoplásica de células redondas de característica linfoide, de gran tamaño con evidente alteración morfológica tanto celular como nuclear (pleomorfismo celular y nuclear, anisocitosis y anisocariosis, megalocitosis y megalocariosis), cromatina de aspecto de grumos, nucléolos evidentes y figuras mitóticas normales y atípicas sugestivo de un linfoma (Figura 3a).
En la evaluación citológica de los linfonodos poplíteos adicionalmente se observó población celular heterogénea (macrófagos, células plasmáticas y linfocitos), gran cantidad de linfocitos reactivos, debido al aumento de su tamaño, basofilia del citoplasma y la irregularidad de la membrana (Figura 3b).

Debido a las características reportadas en la evaluación citológica, el propietario decidió realizar eutanasia y necropsia para evaluación macroscópica y microscópica.
Evaluación anatomopatológica
Descripción macroscópica
Apariencia externa. condición corporal 4/5, membranas mucosas oral y conjuntival moderadamente pálidas.
Piel y anexos. Presencia de gran cantidad de material acuoso de aspecto serosanguinolento en tejido subcutáneo, presencia de múltiples focos de hemorragia localizados en tejido subcutáneo de la región abdominal e inguinal.
Sistema linfático. Nódulos linfáticos submandibulares, inguinales, cervicales, mesentéricos, mediastínicos, axilares, preescapulares, y mamarios severamente aumentados de tamaño con dimensiones que comprenden entre 3 cm hasta 8 cm de diámetro, coloración beige de consistencia semidura al corte (Figuras 4a y 4b). Bazo con severo aumento de tamaño, presencia de áreas de coloración blanquecina, de forma irregular de aproximadamente 1 cm de diámetro con distribución multifocal las cuales profundizan al corte (Figura 4e). Medula ósea de coloración rojiza y de aspecto hemorrágico.

Sistema digestivo. Cavidad abdominal con gran cantidad de líquido acuoso de aspecto serosanguinolento. Estómago moderadamente distendido, mucosa con múltiples áreas de aspecto hemorrágico con distribución multifocal. Intestino: serosa con áreas hemorrágicas distribuidas sobre el borde mesentérico de yeyuno, íleon y colon. Mucosa con moderada cantidad de material de aspecto mucoide de coloración beige en duodeno y yeyuno y de color verde oscuro en íleon, ciego y colón. Hígado con moderado aumento en su tamaño y bordes ligeramente redondeados (Figura 4c). Páncreas moderadamente pálido y presencia de áreas de aspecto hemorrágico entremezcladas con focos blanquecinos de distribución multifocal (Figura 4d).
Sistema cardiorespiratorio. Cavidad torácica con gran cantidad de líquido de aspecto serosanguinolento, con presencia de flóculos y material de aspecto fibrinoso. Presencia de múltiples adherencias que comprometen pared torácica, diafragma corazón y pulmones. Árbol traqueobronquial con abundante cantidad de material de aspecto espumoso, pulmones severamente pálidos con presencia de múltiples áreas de forma irregular de tamaños variables de coloración blanquecina distribuidas al azar en el parénquima pulmonar. Saco pericárdico con moderada cantidad de material de aspecto acuoso. Corazón con moderado aumento de tamaño, de forma redondeada y septo moderadamente desviado.
Sistema genitourinario. Vejiga con múltiples focos de aspecto hemorrágico distribuidas al azar en serosa y mucosa de aspecto engrosado con áreas de aspecto hemorrágico de distribución multifocal. Riñones con moderada congestión en región corticomedular, se observa moderada dilatación de pelvis renal y los uréteres, mucho más acentuada en el uréter del lado derecho.
Sistema nervioso. aparentemente normal.
Diagnóstico de necropsia. Los hallazgos macroscópicos evidencian un proceso tumoral aparentemente neoplásico de origen linfoide, de comportamiento multicéntrico; adicionalmente las alteraciones observadas en tracto gastrointestinal sugieren una moderada enterocolitis catarral, y los hallazgos en el sistema genitourinario no descartan la participación de un proceso inflamatorio de tipo infeccioso secundario en vejiga ascendente a través de las vías urinarias.
De acuerdo a los resultados de la evaluación macroscópica se tomaron muestras de nódulos linfáticos, bazo, médula ósea, pulmones, riñón, músculo estriado, piel, glándula salival parótida y tejido adiposo. Se fijaron en formol bufferado al 10%, se cortaron y se procesaron mediante la técnica de inclusión en parafina y coloración de Hematoxilina - Eosina (H/E) para evaluación histopatológica.
Evaluación microscópica H/E
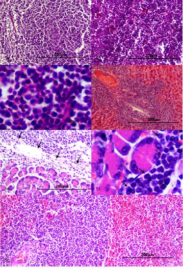
Nódulos linfáticos. Se evidencia proliferación celular neoplásica de origen linfoide la cual presenta un patrón de crecimiento infiltrativo que compromete la corteza y médula. Las células son de forma redondeada, de pequeño tamaño, basofílicas intensas, se distribuyen en forma de paquetes celulares densos pobremente delimitados por estroma de tejido conectivo, núcleo de gran tamaño y escaso citoplasma; se evidencia moderado pleomorfismo celular, moderada anisocitosis, y moderada megalocitosis. Se observa moderado pleomorfismo nuclear, moderada anisocariosis y severa megalocariosis. Se contabilizaron tres figuras mitóticas en diez campos al azar a 400x. Adicionalmente se evidenció presencia de células neoplásicas comprometiendo la pared de vasos linfáticos y células neoplásicas en el interior de los mismos (Figuras 5a, 5b, 5c).

Hígado. Moderados cambios microcirculatorios, focos de congestión y hemorragia con distribución multifocal y centrolobulillar, presencia de múltiples y extensas áreas de infiltrado de células neoplásicas de tipo linfoide con distribución predominantemente centrolobulillar y perilobulillar (Figura 5d).
Páncreas. Moderados cambios microcirculatorios, focos de congestión y hemorragia con distribución multifocal, se evidencia áreas de metástasis e infiltración de células neoplásicas correspondientes a células aparentemente de origen linfoide (Figura 5e, 5f).
Bazo. Moderados cambios microcirculatorios focos de congestión hemorragia enlodamiento y eritrofagocitosis. En pulpa blanca se evidencia proliferación celular neoplásica de tipo linfoide las cuales se organizan formando paquetes celulares densos pobremente delimitados, con un patrón de crecimiento infiltrativo que se extiende de forma difusa sobre la pulpa roja. Las células son de forma redondeada, de pequeño tamaño, basofílicas intensas con moderado pleomorfismo celular, moderada anisocitosis, y moderada megalocitosis. Se observó moderado pleomorfismo nuclear, moderada anisocariosis y severa megalocariosis. Se contabilizaron dos figuras mitóticas en diez campos al azar a 400x. Adicionalmente se evidenciaron múltiples áreas de linfocitólisis (Figura 5g).
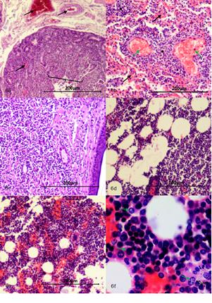
Intestino delgado. Se evidencia severos cambios microcirculatorios, múltiples focos de congestión, hemorragia y enlodamiento con distribución multifocal en mucosa, submucosa, muscular. La luz con gran cantidad de detritos celulares, se evidencia focos con modera atrofia y fusión de las vellosidades, focos con cambios asociados a muerte celular en la punta de la vellosidad y escasos focos de hiperplasia del epitelio que recubre la mucosa, núcleos con picnosis, cariorrexis y cariolisis, moderado infiltrado inflamatorio linfoplasmocitario con distribución difusa, severo edema de la submucosa (Figura 6a).

Intestino grueso. Con similares cambios reportados en el Intestino delgado, pero con menor severidad.
Pulmones. Severos cambios microcirculatorios y múltiples y extensas áreas de congestión, hemorragia, enlodamiento y edema con distribución difusa, presencia de múltiples focos correspondientes a células neoplásicas de origen linfoide; adicionalmente en epitelio bronquiolar se evidencian focos con cambios asociados a muerte celular, áreas de moderada hiperplasia del mismo, moderada hiperplasia de células caliciformes, focos de aplanamiento del epitelio bronquiolar y severo infiltrado inflamatorio predominantemente mononuclear compuesto por macrófagos, células plasmáticas y escasos PMNs neutrófilos con distribución bronquiointersticial (Figura 6b).
Piel. Epidermis aparentemente normal, en la dermis se evidencia proliferación celular neoplásica de células origen linfoide la cual se organiza a manera de paquetes celulares densos y en algunos áreas se organizan en forma de cordones pobremente delimitados por estroma de tejido conectivo que compromete a dermis superficial, dermis profunda, y tejido subcutáneo y tejido muscular. Las células son de forma redondeada núcleos grandes muy escaso citoplasma con moderado pleomorfismo celular, moderada anisocitosis, y moderada megalocitosis. Se evidencia moderado pleomorfismo nuclear, moderada anisocariosis y severa megalocariosis. No se contabilizaron figuras mitóticas en diez campos al azar a 400X, adicionalmente se evidenció la presencia de células neoplásicas dentro de lumen de algunos vasos sanguíneos (Figura 6c).
Tejido adiposo. Presencia de extensas áreas correspondientes a proliferación de células neoplásicas de origen linfoide con características similares a las mencionadas en hígado y páncreas (Figura 6d).
Médula ósea. Se evidencia severo aumento de la fracción celular con presencia múltiples focos de células neoplásicas aparentemente de origen linfoide (Figuras 6e, 6f).
Riñón. Severos cambios microcirculatorios, focos de congestión, hemorragia, y enlodamiento con distribución multifocal. En la corteza se evidencia glomérulos con severa retracción glomerular y glomeruloesclerósis; Sin embargo, se observan algunos focos con presencia de glomérulos de aspecto tumefacto. Se observan áreas con moderado aumento en el espacio de bowman, presencia de material eosinofílico homogéneo y focos de obsolescencia glomerular. Medula: Epitelio tubular con áreas con cambios asociados a muerte celular. Núcleos con picnosis, cariorrexis y cariolisis. Túbulos con presencia de material eosinofílico compatible con proteína, cilindros hialinos y depósitos de mineral.
Músculo estriado. Presencia de infiltración de células neoplásicas de origen linfoide con características similares a las mencionadas en los demás tejidos como páncreas, pulmón, hígado, bazo.
Parótida. Moderados cambios microcirculatorios, múltiples focos de congestión y hemorragia con distribución multifocal y presencia de células neoplásicas las cuales infiltran el parénquima funcional aparentemente de origen linfoide con característica similar a las reportadas en los demás tejidos.
Diagnóstico H/E
Los hallazgos microscópicos corresponden a un linfoma difuso de células grandes de comportamiento multicéntrico.
Evaluación inmunohistoquímica
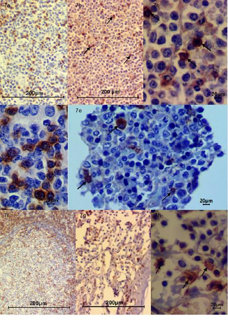
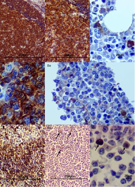
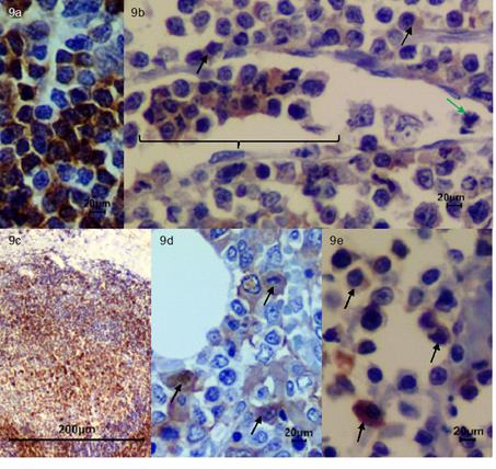
Con base en los resultados de la evaluación microscópica en H/E; se emplearon anticuerpos inmunohistoquímicos para CD45, (marcador de tumores de células redondas) DAKO®, CD3 (marcador de elección para tumores de linfocitos T) DAKO® y CD79a (marcador de elección para tumores derivados de linfocitos B) DAKO® dirigidos contra anticuerpos humanos obtenidos de cultivo celular de ratón y conejo (tabla 2). Los cuales se aplicaron a médula ósea, nódulos linfáticos y piel y fueron contrastados con hematoxilina de Meyer. El procedimiento se realizó en Inmunotech Laboratories SAS, Bogotá, Colombia.

Se observó leve inmunomarcación para CD45 y una moderada inmunomarcación para CD3 y CD79a en las células neoplásicas de nódulo linfático, piel y médula ósea (Tabla 2). Sin embargo, la intensidad de la inmunomarcación varió en diferentes áreas del tejido; siendo fuerte en algunas regiones, moderada en otras y escasa en algunos focos (Figuras 7, 8, 9).



Diagnóstico final
Los hallazgos evidenciados en las láminas de H/E y los resultados en la evaluación inmunohistoquímica corresponden a una neoplasia maligna de origen linfoide con presencia de células B y células de tipo T que de acuerdo a la clasificación de la OMS se cataloga como un linfoma difuso de células B rico en células T de bajo grado, de comportamiento multicéntrico con metástasis en páncreas, hígado, pulmón, intestino delgado, medula ósea y piel. Adicionalmente, se evidencia moderada enterocolitis necrótica de origen bacteriano y moderada bronconeumonía mononuclear bacteriana.
Discusión
El presente reporte constituye el primer intento de aproximación diagnóstica de neoplasias linfoides en perros empleando marcadores inmunohistoquímicos en el área de cátedra y servicio de patología veterinaria en la Universidad de Nariño.
Respecto a la forma de presentación del tumor, Sueiro et al. (2004) mencionan que el 74,5% de los casos corresponden a la forma multicéntrica lo cual coincide con este reporte; adicionalmente los mismos autores mencionan que de estos, el 72,7% corresponden a linfomas de células B y el 21,8 % representan neoplasias de células T 22.
Valli et al., basados en la clasificación de la OMS, catalogaron 992 casos de linfoma, encontrando que el linfoma difuso de células grandes B corresponde al 39,3% de los linfomas en caninos 13. En el presente caso se evidenció la manifestación multicéntrica de un linfoma de células B rico en células T de organización difusa, que, de acuerdo a la clasificación de la OMS, corresponde a lo descrito para los casos de linfoma difuso de células B rico en células T. Sin embargo, el reporte constituye una aproximación diagnóstica y para confirmarlo, se sugiere el empleo de un panel más completo de marcadores inmunohistoquímicos para tener mayor precisión diagnóstica.
En Colombia se presentan diagnósticos de tumores linfoides, pero la mayoría de estos se limitan al diagnóstico morfológico y características clínicas, debido a que el uso de marcadores inmunohistoquímicos en medicina veterinaria es de poco uso, es por eso que para este caso se empleó los marcadores y metodología que usualmente se utiliza en medicina humana. Se recomienda el empleo de CD34, el cual se expresa en células linfoproliferativas progenitoras, CD21 el cual inmunomarca para células B maduras, CD20 útil en la expresión de células B inmaduras, CD9 el cual permitiría descartar posibles leucemias linfocíticas de células B crónicas, y CD 20 útil para diferenciar células B5,15, lo cual permitiría tener mayor precisión diagnóstica, debido a que nos permiten descartar otras entidades neoplásicas de linfocitos B.
De igual forma Meuten (2002), Wilkerson et al. (2005) y Willman et al. (2009) afirman que inmunotipificación celular resulta ser el factor más importante asociado con el pronóstico en los linfomas; debido que esta técnica permite identificar un linaje o estado de diferenciación del linfocito, comprobándose que el linfoma de células T tiene un peor pronóstico que el linfoma de células B 5,21,23).
Wilkerson et al. (2005), Martini et al. (2015) y Pawlak (2014), proponen el siguiente panel para inmunofenotipificación de linfomas caninos: CD45, CD44, CD18 (Todos los leucocitos); CD3, CD5 (Linfocitos T); CD4 (Linfocitos T colaboradores); CD8 (Linfocitos T citotóxicos), CD21, IgG de superficie (linfocitos B maduros), IgM de superficie (linfocitos B inmaduros); CD14 (Monocitos); CD172a (Granulocitos/ monocitos); CD34 (Célula madre); CD79a (linfocitos B todas las etapas, es un marcador útil para distinguir Células B inmaduras de tumores de células plasmáticas) 21,24,25.
Por lo anteriormente expuesto el diagnóstico histopatológico e inmonohistoquímico tiene ventajas con respecto al diagnóstico citológico, ya que las características tisulares, como patrón, invasión de tejidos adyacentes, línea celular e infiltración neoplásica a nivel capsular son evaluadas en la histopatología y proporcionan información importante a la hora de establecer un protocolo terapéutico adecuado, de acuerdo a lo mencionado por Valli, Puicón, y Álvarez 8,10,26.
En cuanto al pronóstico de supervivencia Valli afirma que perros que padecían linfomas con un índice mitótico mayor de 20 mitosis/400x sobrevivían 33 días, mientras aquellos con índice mitótico menor de 20 mitosis / 400x sobrevivían 188 días en promedio 13. En este caso la presentación correspondió al de bajo grado.
Adicionalmente, para los casos en los cuales se empleen marcadores inmunohistoquímicos Chaves y colaboradores recomiendan que la presencia o ausencia de inmunomarcación siempre debe correlacionarse con los hallazgos en HE y hallazgos encontrados en la exploración clínica 27.
Finalmente, se sugiere que en la medida de lo posible cuando se realicen diagnósticos de remisión de biopsias, al clínico se le suministre información morfológica y se determine el tipo de celular presente (células T o B) para que este pueda establecer el protocolo terapéutico más adecuado para su paciente.
Conclusión
El presente reporte constituye el primer intento de confirmación diagnóstica con ayuda de marcadores inmunohistoquímicos en tumores linfoideos en el área de cátedra y servicio de patología de la Universidad de Nariño. El uso de marcadores inmunohistoquímicos demuestran ser una herramienta de gran utilidad para el diagnóstico oncológico de tumores linfoides al correlacionar la evaluación clínica y la evaluación histopatológica en H/E; Sin embargo, en casos de neoplasias altamente indiferenciadas se recomienda el empleo de un panel completo de marcadores para poder realizar un a mejor aproximación diagnóstica.
Referencias
1. Withrow S, Vail D,. Page Withrow & MacEwen’s Small Animal Clinical Oncology. 5th ed. USA: Saunders. 2012. https://www.elsevier.com/books/withrow-and-ma¬cewens-small-animal-clinical-oncology/withrow/978-1-4377-2362-5
2. Vail DM. Hematopoietic tumors. In Ettinger SJ, Feldman EC. Textbook of veteri nary internal medicine. Philadelphia: Saunders, 2000. p.507-522.
3. Gear R. Practical update on canine lymphoma. Classification and diagnosis. In Practice. 2009; 31: 380-4.
4. Pastor M, Chalvet-Monfray K, Marchal T, Keck G, Magnol JP, Fournel-Fleury C, et al. Genetic and environmental risk indicators in canine non-Hodgkin’s lym phomas: breed associations and geographic distribution of 608 cases diagnosed throughout France over 1 year. J Vet Intern Med. 2009; 23:301-10. https://www.ncbi.nlm.nih.gov/pubmed/19192140
5. Meuten DJ. Tumors in domestic animals. 4th Edition. USA: Wiley-Blackwell. 2002. http://www.wiley.com/WileyCDA/WileyTitle/productCd-0813826527.html
6. Fan TM. Lymphoma updates. Vet Clin North Am Small Anim Pract. 2003; 33(3):455-71. https://www.ncbi.nlm.nih.gov/pubmed/12852231
7. Parodi AL. Classification of malignant lymphoma in domestic animals: history and conceptual evolution. European Journal of Veterinary Pathology. 2001; 7(2):43-47. https://www.vetjournal.it/images/archive/pdf_riviste/2675.pdf
8. Valli, VE. Veterinary Comparative Hematopathology. Oxford: Blackwell Publishing. 2007. http://onlinelibrary.wiley.com/doi/10.1002/9780470344545.fmatter/pdf
9. Valli V, Caswell J, Jacobs R, Parodi A. Histological classification of hematopoie tic tumors of domestic animals. Washington: Armed Forces Institute of Patho logy and the World Health Oganization. 2002. http://www.worldcat.org/title/histological-classification-of-hematopoietic-tumors-of-domestic-animals/oclc/50469953
10. Puicón V, Sandoval N, Gouveia D. Clasificación histopatológica de linfomas ca ninos en la casuística del laboratorio de patología veterinaria de la Universidad Nacional Mayor de San Marcos (1996-2012). Rev Inv Vet. 2014; 25(4): 508-15. http://revistasinvestigacion.unmsm.edu.pe/index.php/veterinaria/article/view File/10811/9817
11. Jubb, Kennedy, and Palmers. Pathology of domestic animals. 6th ed. USA: El sevier. 2016. https://www.elsevier.com/books/jubb-kennedy-andampamp-pal mers-pathology-of-domestic-animals-volume-3/maxie/978-0-7020-5319-1
12. Valli VE, San Myint M, Barthel A, Bienzle D, Caswell J, Colbatzky F, et al. Classi fication of canine malignant lymphomas according to the World Health Organi zation criteria. Vet Pathol. 2011; 48(1):198-211. https://www.ncbi.nlm.nih.gov/pubmed/20861499
13. Valli V, Kass P, San Myint M, Scott F. Canine lymphomas association of classi fication type, disease stage, tumor subtype, mitotic rate, and treatment with survival. Vet Pathol. 2013; 50(5):738-48. https://www.ncbi.nlm.nih.gov/pub med/23444036
14. Head K. Histological classification of tumors of the alimentary system of domes tic animals. USA: Armed Forces Institute of Pathology in cooperation with the American Registry of Pathology and the World Health Organization Collaborating Center for Worldwide Reference on Comparative Oncology. 2003.
15. Modiano JF, Breen M, Valli VE, Wojcieszyn J W, Cutter GR. Predictive value of p16 or Rb inactivation in a model of naturally occurring canine non-Hodgkin’s lympho ma. Leukemia. 2007; 21:184-7. http://journals.sagepub.com/doi/abs/10.1354/vp.44-4-467
16. Ponce F, Marchal T, Magnol JP, Turinelli V, Ledieu D, Bonnefont C, et al. A morpho logical study of 608 cases of canine malignant lymphoma in France with a focus on comparative similarities between canine and human lymphoma morphology. Vet Pathol. 2010. https://www.ncbi.nlm.nih.gov/pubmed/20472804
17. Curiel JM, Mccaw DL, Teck MA, Schmidt DA. Multiple mucocutaneous lymphosar coma in dog. Canadian Veterinary Journal. 1998; 29(12):1001-2.
18. Lurie DM, Milner RJ, Suter SE, Vernau W. Immunophenotypic and cytomorphologic subclassification of T-cell lymphoma in the boxer breed. Vet Immunol Immunopa thol. 2008; 125(1-2):102-10. https://www.ncbi.nlm.nih.gov/pubmed/18579219
19. Fournel-Fleury C, Ponce F, Felman P, Blavier A, Bonnefont C, Chabanne L, et al. Canine T-cell lymphomas: a morphological, immunological and clinical study of 46 new cases. Vet Pathol. 2002; 39(1):92-109. https://www.ncbi.nlm.nih.gov/pubmed/12102223
20. Comazzi S, Gelain, M. Use of flow cytometric immunophenotyping to refine the cytological diagnosis of canine lymphoma. Vet J. 2011; 188(2):149-55. https://www.ncbi.nlm.nih.gov/pubmed/20413335
21. Wilkerson M, Dolce K, Koopman T, Shuman W, Chun R, Garrett L, et al. Lineage differentiation of canine lymphoma/leukemias and aberrant expression of CD molecules. Veterinary Immunology and Immunopathology. 2005; 106:179-96. ht tps://www.ncbi.nlm.nih.gov/pubmed/15963817
22. Sueiro FAR, Alessi AC, Vassallo J. Canine lymphomas: a morphological and im munohistochemical study of 55 cases, with observations on p53 immunoex pression. J Comp Path. 2004; 131:207-13. https://www.ncbi.nlm.nih.gov/pub med/15276860
23. Willmann P, Müllauer L, Guija De Arespacochaga A, Reifinger M, Mosberger I, Thalhammer J. Pax5 immunostaining in paraffin-embedded sections of canine non-Hodgkin lymphoma: A novel canine pan pre-B and B-cell marker. Vet Im munol Immunopathol. 2009; 128(4):359-65. https://www.ncbi.nlm.nih.gov/pub med/19100628
24. Martini V, Marconato L, Poggi A, Riondato F, Aresu L, Cozzi M, et al. Canine small clear cell/T-zone lymphoma: clinical presentation and outcome in a retrospecti ve case series. Vet Comp Oncol. 2016; 14:117-26.
25. Pawlak A, Rapak A, Drynda A, Poradowski D, Zbyeyt I, Dzimira S, et al. Immu nophenotypic characterization of canine malignant lymphoma: a retrospective study of cases diagnosed in Poland Lower Silesia, over the period 2011-2013. Veterinary and comparative oncology. 2014.
26. Álvarez F, Aburto F, Gerardo A, Chávez G. Estudio histológico e inmunofenotípico de linfoma canino en el centro de México. Vet Méx. 2009; 40(2):141-55.
27. Chaves-Velásquez CA, Astaíza-Martínez JM, Benavides-Melo CJ, Vallejo-Timarán DA. Tumor maligno derivado de melanocitos en piel de un bovino de presenta ción inusual: estudio de caso. Rev Med Vet. 2015; (29): 63-72. http://www.scielo.org.co/pdf/rmv/n29/n29a07.pdf
Notas
Notas de autor
*Autor para correspondencia: Carmenza Janneth Benavides Melo, Programa de Medicina Veterinaria, Universidad de Nariño. Calle 18 Kra 50, Ciudadela Universitaria Torobajo, Pasto, Colombia. E-mail:benavidesmelo@gmail.com