Casos clínicos
Neumorraquis postraumático en un perro de raza American Staffordshire Terrier
Post-traumatic pneumorrhachis in a dog American Staffordshire Terrier breed
Pneumorrhachis pós-traumático em um cão da raça American Staffordshire Terrier
Neumorraquis postraumático en un perro de raza American Staffordshire Terrier
CES Medicina Veterinaria y Zootecnia, vol. 12, núm. 3, pp. 230-235, 2017
Universidad CES
Recepción: 05 Diciembre 2017
Aprobación: 12 Diciembre 2017
Resumen: El Neumorraquis es la presencia de aire intrarraquídeo y puede presentarse extra o intramedular. Se ha demostrado su relación con eventos traumáticos en la cavidad torácica como el neumotórax y neumomediastino. Se presenta el caso de un perro de raza American Staffordshire Terrier, que sufrió un accidente por caída desde una altura de dos pisos, lo que produjo un trauma torácico severo con presencia de neumomediastino. Se realizó una toracocentesis para restituir la función respiratoria y la negatividad torácica. En el examen neurológico, el paciente presentó paraplejia de tipo espástica, hiperestesia a nivel de la columna toracolumbar e incontinencia urinaria. Se tomaron radiografías simples de columna sin resultados concluyentes, por lo que se realizó una tomografia helicoidal multicorte, encontrándose aire en localización intrarraquídea compatible con Neumorraquis de tipo traumático. Aunque el Neumorraquis es reportado como benigno, en el presente caso, desencadenó alteraciones severas en el tejido medular con consecuencias graves neurológicas.
Palabras clave: Neumotórax, neumomediastino, paraplejia, tomografía.
Abstract: Pneumorrhachis is the presence of intratracheal air and may be extra or intramedullary. Its relationship with traumatic events in the thoracic cavity such as pneumothorax and pneumomediastinum has been demonstrated. We present the case of a dog of the American Staffordshire Terrier breed, which suffered a fall accident from a height of two floors, producing a severe thoracic trauma with the presence of pneumomediastinum. Thoracentesis was performed to restore respiratory function and thoracic negativity. In the neurological examination, the patient presented spastic paraplegia, hyperesthesia at the level of the thoracolumbar spine and urinary incontinence. Simple x-rays of the spine were taken without conclusive results, so a multislice helical tomography was performed, finding air in the intrarachidian location compatible with traumatic Pneumorrhachis. Although the Pneumorrhachis is reported as benign, in the present case, it triggered severe alterations in the medullary tissue with serious neurological consequences.
Keywords: Pneumothorax, pneumomediastinum, paraplegia, tomography.
Resumo: O Pneumorrhachis é a presença de ar intraspinal e pode se apresentar dentro e fora da medula. Demostrou-se sua relação com eventos traumáticos na cavidade torácica como o pneumotórax e o pneumomediastino. Se Apresenta o caso de um cão de raça American Staffordshire Terrier, que sofreu um acidente pela queda dele desde uma altura de dois andares, produzindo-lhe um trauma torácico grave, com a presença de pneumomediastino. Foi realizada uma toracocentese para restaurar a função respiratória e a negatividade torácica. No exame neurológico o paciente apresentou paraplegia espástica, hiperestesia ao nível da coluna toracolombar e incontinência urinária. Foram realizadas radiografias simples da coluna sem resultados conclusivos, assim, foi realizada uma tomografia helicoidal multicorte onde encontrou-se ar intraspinal, o qual foi compatível com o Pneumorrhachis traumático. Embora o Pneumorrhachis é relatado como benigno, no presente caso provocou alterações graves no tecido medular com consequências neurológicas graves.
Palavras-chave: Pneumotórax, pneumomediastino, paraplegia, tomografia.
Introducción
El Neumorraquis (NR) es la presencia de aire en el canal medular, pudiendo ser extra o intramedular, constituyendo un hallazgo radiológico visible pero raro. El NR recibe otros nombres como neumocele intraespinal, neumatosis espinal, subdural o subaracnoidea, enfisema espinal o enfisema epidural1.
El NR se produce por tres mecanismos: directamente por el ingreso de aire a través de una aguja al espacio epidural, por traumatismos directos sobre la columna vertebral o a través del mediastino dorsal o posterior2. En este último caso, el aire difunde desde el mediastino posterior o el espacio retrofaríngeo al espacio epidural sin encontrar resistencia, a través de los planos fasciales hacia el canal medular. Generalmente la presencia del NR suele ser asintomática y en la mayoría de los casos es un hallazgo casual, que desaparece espontáneamente a las pocas semanas3. Sin embargo en casos traumáticos, las repercusiones neurológicas son de importancia con déficit pasajero o permanente por lo que se recomienda su seguimiento.
Evaluación del paciente
Anamnesis
Fue llevado a consulta un can de raza American Staffordshire terrier de 6 años de edad y 25 kg de peso, que sufrió un accidente por caída desde una altura de dos pisos.
Hallazgos al examen clínico
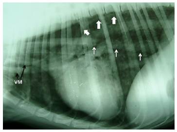
Al ingreso a consulta el paciente presentaba un estado de conciencia en depresión, con mucosas pálidas y cianóticas. La frecuencia cardiaca estaba incrementada (140 Ipm) y respiración abdominal marcada con posición ortopneica. A la auscultación no se lograron identificar los sonidos respiratorios con claridad. Sobre la base de la anamnesis y la exploración física se concluyó en un neumotórax bilateral. Se realizó un estudio radiográfico simple, comprobando el diagnóstico y denotando además la presencia de neumomediastino (Figura 1). Se administró oxígeno al 100% con mascarilla y se realizó una toracocentesis, obteniendo 500 cm3 de aire de ambos hemitórax, restituyendo la función pulmonar y mejorando clínicamente al paciente.

Examen neurológico
A la exploración neurológica, el paciente presentaba hiperestesia en la región de la columna lumbar, paraplejia de tipo espástica con hiperreflexia bilateral, incontinencia urinaria y ausencia de sensibilidad profunda. Los miembros anteriores no mostraron alteraciones neurológicas importantes. Se inmovilizó al paciente en decúbito lateral y luego se administraron analgésicos sistémicos: morfina 0,5 mg/kg y meloxican 0,2 mg/kg ambos por vía intramuscular.
Ayudas diagnósticas
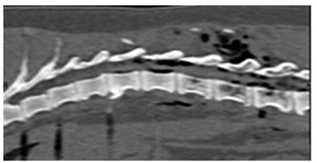
Se realizaron radiografías en dos incidencias de columna torácica y lumbar, sin distinción de trazos de fractura ni de evidencia de colapso intervertebral en la presunción hernias discales de origen traumático. Debido a la inconsistencia de los hallazgos y al estado neurológico del paciente se sugirió al propietario realizar un estudio de la columna toraco lumbar por tomografía computarizada.
Se realizó un estudio de tomografía helicoidal multicorte (TEM) de columna Tora-co-lumbar realizado en posición supina, con adquisición volumétrica de 1,0 mm y cortes de 5 mm desde T8 a S1. En la TEM se identificó alineación longitudinal y curvatura de columna toraco lumbosacra anteroposterior de aspecto conservado, sin observarse signos en relación a listesis ni fracturas. Se evidenció aire intrarraquídeo compatible con Neumorraquis y enfisema de partes blandas pre y paravertebrales toraco lumbares, Dicho producía cambios compresivos sobre el cordón medular (Figuras 2-4). Sobre la base de los hallazgos por TEM y el mal pronóstico debido al severo daño neurológico, los responsables del paciente tomaron la decisión de realizar la eutanasia.



Discusión
Las causas del NR han sido clasificadas en iatrogénicas, no traumáticas y traumáticas. Las causas iatrogénicas son las más comunes y son generalmente consecuencia de maniobras quirúrgicas y de la administración de analgesia epidural. Las causas no traumáticas se han descrito como consecuencia de infecciones asi como en neumotórax y neumomediastino espontaneo o no traumático4. Entre las causas traumáticas del NR están las fracturas y luxaciones de la columna vertebral y el traumatismo pélvico5. Además se han reportado NR en fracturas del cráneo y como un evento posterior a craneotomía en perros6.
En el presente caso, debido al antecedente traumático, el NR tuvo relación con el neumotórax y neumomediastino que desarrolló el paciente posterior a la caída. Los planos fasciales del mediastino se comunican fácilmente con los planos fasciales del cuello, el saco pericárdico y el espacio epidural7. De esta manera, debido a la presión motriz de un neumotórax o neumomediastino, el aire puede perforar estos los planos a través de los agujeros neurales resultando en un NR8. Sin embargo, el NR puede presentarse como consecuencia de afecciones o maniobras quirúrgicas en el tracto respiratorio superior como en una rinotomía por rinitis fúngica9. En seres humanos, también se relaciona al NR con alteraciones de la presión intratorácica como la tos y el asma10. Estos eventos desencadenaron también un neumomediastino el cual desencadenó el ingreso de aire al espacio epidural.
El NR puede ser clasificado como interno (intradural) y externo (extradural). El NR externo generalmente no produce alteraciones, sin embargo, el NR interno suele relacionarse con procesos traumáticos encefálicos y es un indicador de lesión grave11. La localización y distribución del aire dentro del canal espinal dependerá del sitio de disección del aire, del volumen de aire intraespinal, de la capacidad del espacio intraespinal y el posicionamiento del paciente. En la NR externa, el aire epidural generalmente se ubica en la región epidural dorsal, ya que es menos resistente debido a la menor cantidad de tejido conectivo, esto al compararlo con la red vascular ventral12. La TEM, es la herramienta de elección para el diagnóstico de esta lesión1. Sin embargo, la diferenciación entre un NR intra y extradural puede ser complicado, por lo que es indispensable realizar el monitoreo del estado neurológico del paciente.
La NR suele ser asintomática y se reabsorbe espontáneamente por lo que su manejo suele ser conservador en la mayoría de pacientes3, sin embargo casos graves de NR puede requerir descompresión medular quirúrgica como alternativa de trata-miento13,14. En el presente caso, el paciente presentó los signos neurológicos como consecuencia de un NR severo que produjo una compresión medular, sin embargo no se pudo descartar una invasión del aire en intradural. El efecto compresivo del NR así como el daño sostenido sobre el parénquima medular en la región torácica y lumbar, desencadenaron los signos propios de una lesión de la Neurona motora superior15. Por otro lado, los signos presentados como incontinencia urinaria y la ausencia de sensibilidad profunda contribuyeron a dar un pronóstico malo por el daño neurológico.
Conclusiones
En el abordaje al paciente con trauma de tórax y columna vertebral, el Médico Veterinario puede considerar al neumorraquis dentro de los diagnósticos diferenciales. Si bien es cierto el NR no es una patología de presentación frecuente, su relación con alteraciones respiratorias como el neumotórax y principalmente el neumomediastino, sustentan su descarte en los pacientes afectados.
Referencias
1. El-Halabi D, Alkandari T, Yaktien MM. Traumatic air in spinal canal (pneumorrhachis). Anaesthesiol Intensive Ther 2012; 44: 25-27.
2. Ehmann MR, Paziana K, Stolbach AI. Case Series: Pneumorrhachis Secondary to Spontaneous Pneumomediastinum. J Emerg Med 2016; 50 (2):43-45.
3. Fonseca AZ, Santin S, Ribeiro M. Spontaneous pneumorrhachis. Am J Emerg Med 2016; 34 (12):2465.e3-2465.e4.
4. Mahajan PS, Al Maslamani NJ, Purayil NK. Rare case of pneumorrhachis, pneu-momediastinum, pneumothorax, and surgical emphysema secondary to bronchial asthma. Int Med Case Rep J 2014; 6 (7):35-39.
5. Gelalis ID, Karageorgos A, Arnaoutoglou C, Gartzonikas D, Politis A, Georgakopou-los N, et al. Traumatic pneumorrhachis: etiology, pathomechanism, diagnosis, and treatment. Spine 2011; 11 (2):153-157.
6. Cavanaugh RP, Aiken SW, Schatzberg SJ. Intraventricular tension pneumocepha-lus and cervical subarachnoid pneumorrhachis in a bull mastiff dog after craniotomy. J Small Anim Pract 2008; 49 (5):244-8.
7. Manden PK, Siddiqui AH. Pneumorrhachis, pneumomediastinum, pneumoperi-cardium and subcutaneous emphysema as complications of bronchial asthma. Ann Thorac Med 2009; 4 (3): 143-145.
8. Oertel MF, Korinth MC, Reinges MHT, Krings T, Terbeck S, Gilsbach JM. Pathoge-nesis, diagnosis and management of pneumorrhachis. Eur Spine J 2006; 15 (5): 636-643.
9. Launcelott ZA, Palmisano MP, Stefanacci JD, Whitney BL. Ventricular pneumo-cephalus, cervical subarachnoid pneumorrhachis, and meningoencephalitis in a dog following rhinotomy for chronic fungal rinitis. J Am Vet Med Assoc 2016; 248 (4):430-435.
10. Fernández GC, Ibáñez CB, Monteagudo E, Gómez J. Pneumorrhachis and spontaneous pneumomediastinum, asthmatic rare complication. An Pediatr (Barc) 2015; 82 (5): 207-208.
11. Dwarakanth S, Banzerji A, Chandramouli BA. Posttraumatic intradural pneumo-rrhachis: a rare entity. IJNT 2009; 6: 151-152.
12. Boezaart AP, Levendig BJ. Epidural air-filled bubbles and unblocked segments. Can J Anaesth 1989; 36: 603-604.
13. Cornelis I, Monticelli P, De Decker S. Postoperative symptomatic haematoma and pneumorrhachis in a dog with a thoracolumbar intervertebral disc extrusion. Aust Vet J 2016; 94 (12):467-469.
14. Macdonald NJ, Pettitt RA, McConnell JF. Pneumorrhachis in a rottweiler. J Small Anim Pract 2011; 52 (11):608-611.
15. Granger N, Carwardine D. Acute spinal cord injury: tetraplegia and paraplegia in small animals. Vet Clin North Am Small Anim Pract 2014; 44 (6):1131-1156.
Notas