Resumen : El sarcoide equino es la neoplasia más común de los équidos y representa más de la mitad de las neoplasias de la piel de los caballos. El objetivo del presente trabajo fue realizar una compilación del conocimiento actual sobre etiología, fisiopatología, diagnóstico y tratamiento de esta patología. El agente etiológico del sarcoide equino es el virus del papiloma bovino tipo 1 y 2 que afecta a équidos de todas las razas, sexos y edades. El traumacutáneo, la presencia de vectores como insectos y algunos haplotipos genéticos son potenciales factores de riego. Se diagnostica a partir de la apariencia clínica, clasificándose en 6 tipos diferentes. La confirmación del diagnóstico se realiza mediante histopatología y las alternativas terapéuticas disponibles son muy variadas incluyendo cirugía, quimioterapia, radioterapia, inmunoterapia y otras. En conclusión, ésta es una patología de curso impredecible, no existiendo tratamiento efectivo por sí solo, ya que existe una alta probabilidad de recurrencia y solo el empleo de nuevas modalidades terapéuticas combinadas permite obtener mejores resultados. La prevención probablemente se verá facilitada en el futuro por el desarrollo de vacunas contra el virus del papiloma bovino.
Palabras clave: equinoequino,oncologíaoncología,papilomaviruspapilomavirus,sarcoidesarcoide,tumortumor.
Abstract: The equine sarcoid is the most common neoplasm of equidae and represents more than half of the skin neoplasms of horses. The objective of the present work was to make a compilation of current knowledge about etiology, pathophysiology, diagnosis and treatment of this pathology. The etiological agent of the equine sarcoid is the bovine papilloma virus type 1 and 2 which affects equines of all races, sexes and ages. Cutaneous trauma, the presence of vectors such as insects and some genetic haplotypes are potential risk factors. It is diagnosed from the clinical appearance, classified into 6 different types. The confirmation of the diagnosis is made by histopathology and the therapeutic alternatives available are very varied, including surgery, chemotherapy, radiotherapy, immunotherapy and others. In conclusion, this is a pathology of unpredictable course, there is no effective treatment by itself, since there is a high probability of recurrence and only the use of new combined therapeutic modalities allows to obtain better results. Prevention will likely be facilitated in the future by the development of vaccines against the bovine papilloma virus.
Keywords: equine, oncology, papillomavirus, sarcoid, tumor.
Resumo : O sarcoide eqüino é a neoplasia mais comum dos equídeos e representa mais da metade das neoplasias de pele dos equinos. O objetivo do presente trabalho foi fazer uma compilação dos conhecimentos atuais sobre etiologia, fisiopatologia, diagnóstico e tratamento desta patologia. O agente etiológico do sarcoide eqüino é o papilomavírus bovino tipo 1 e 2, que afeta equinos de todas as raças, sexos e idades. Trauma cutâneo, a presença de vetores como insetos e alguns haplótipos genéticos são fatores de risco potenciais. É diagnosticado a partir da aparência clínica, classificada em 6 tipos diferentes. A confirmação do diagnóstico é feita pela histopatologia e as alternativas terapêuticas disponíveis são muito variadas, incluindo cirurgia, quimioterapia, radioterapia, imunoterapia e outras. Em conclusão, esta é uma patologia de curso imprevisível, não há tratamento efetivo por si só, uma vez que há uma alta probabilidade de recorrência e apenas o uso de novas modalidades terapêuticas combinadas permite obter melhores resultados. A prevenção provavelmente será facilitada no futuro pelo desenvolvimento de vacinas contra o vírus do papiloma bovino.
Palavras-chave: equino, sarcoide, oncologia, papilomavírus, tumor.
Artículo de revisión
Sarcoide equino: revisión y actualización
Equine sarcoid: a review and Update
Sarcoide eqüino: revisão e atualização
Recepción: 09 Agosto 2018
Aprobación: 09 Noviembre 2018
Entre todas las especialidades veterinarias, la dermatología y la oncología se destacan por su frecuencia de aparición en la clínica 39. En los caballos, aproximadamente el 50% de los tumores se presentan en la piel, de los cuales destacan el sarcoide, el carcinoma de células escamosas y el melanoma 22.
El sarcoide equino (del griego sarx ídos que quiere decir semejante a la carne 16), fue descrito por primera vez en el año 1936 por Jackson 35 y afecta a équidos sin predisposición por raza, sexo o edad 6. Se cree que la causa es la infección por Papillomavirus bovino tipo 1 y 2 (PVB1 y PVB2) 9,36,44. Ha sido reportado en caballos, burros, mulas y cebras 17,32,37de distintas edades, aunque comúnmente de 3 a 12 años, con un pico a los 7 años de edad 34.
Los sarcoides son clasificados según su apariencia clínica y su comportamiento en 6 tipos, incluyendo: oculto, verrucoso, nodular, fibroblástico, mixto y maligno 17,23,46, puediendo desarrollarse en cualquier sitio, como único o múltiples tumores, de uno o más de los tipos antes mencionados 46. Los sitios de mayor predisposición incluyen la cara, los miembros en su porción distal, el cuello o el abdomen ventral, y áreas de lesión y cicatrización previa. Los sarcoides que se localizan en la porción distal de las extremidades y en la región periorbitaria tienen un peor pronóstico de resolución 2,8. A pesar que hasta la fecha no se ha descrito que los sarcoides tengan la capacidad de hacer metástasis pueden afectar significativamente la función y la estética de los equinos afectados en función de la localización y el tamaño del tumor 28. Su diagnóstico se basa generalmente en la exploración clínica 46, pero en algunos casos se hace necesario recurrir a la biopsia para el posterior estudio histopatológico que confirme su presencia. Sin embargo, en la mayoría de los casos se inicia el tratamiento sin realizar la biopsia debido a que ésta podría empeorar la clínica 24.
Las alternativas terapéuticas que se utilizan en la actualidad se basan principalmente en la utilización de cirugía y/u otras terapias descritas en la literatura como la quimioterapia, la radioterapia y el uso de antivirales. La decisión final de tratamiento es compleja para el clínico, el cual debe basarse en su experiencia para determinar el o los métodos adecuados según el tipo de sarcoide, su localización, su tamaño y valor económico 17.
El diagnóstico del sarcoide equino no representa una gran dificultad para el médico veterinario clínico, sin embargo, la decisión de elegir el tratamiento adecuado muchas veces es complicada debido a que en la literatura se describen diversas alternativas terapéuticas con diferentes tasas de éxito y a que en los últimos años se han probado distintas combinaciones de técnicas quirúrgicas y médicas que han mejorado el pronóstico disminuyendo la tasa de recurrencia. El propósito del presente artículo fue contribuir al conocimiento y comprensión del sarcoide equino que permitirá al especialista en equinos realizar un adecuado abordaje desde el punto de vista clínico y terapéutico.
El desarrollo de esta patología se ha asociado con la infección por el virus del papiloma bovino tipo 1 y tipo 2 (VPB-1 y VPB-2) 9,19,44, además, existe evidencia de que el VPB tipo 13 también pudiese estar involucrado en el desarrollo de lesiones compatibles con sarcoides, lo cual fue observado en 2 equinos en Brasil 31. Además, la infección por VPB en equinos representa la única infección conocida por papiloma virus entre diferentes especies 17,46,28. En la actualidad se han descrito y caracterizado 13 tipos de VPB en el ganado bovino, los que son clasificados en los géneros Deltapapillomavirus, Xipapillomavirus, y Epsilonpapillomavirus31. De los anteriores, los del género Deltapapillomavirus, son importantes en los equinos por ser los implicados en el desarrollo de sarcoides.
Los papilomavirus son pequeños virus icosaédricos que consisten en una cápside que alberga un genoma circular de ADN bicatenario, siendo usualmente especie específicos que requieren un ambiente de células epiteliales para completar su ciclo de vida, pero en otros tipos de células, generalmente fibroblastos dérmicos, residen como episomas circulares de ADN que se replican y continúan expresando proteínas reguladoras y transformadoras. El genoma del virus del papiloma se divide transcripcionalmente en una región tardía y una región temprana. Los genes producidos por la región temprana estimulan la proliferación celular y son los responsables del mantenimiento y replicación del genoma viral dentro de la célula en división 18,39,41. Tres de los genes tempranos del VPB; E5, E6 y E7 expresados en sarcoides equinos son conocidos por tener la capacidad de transformar las células de normales a neoplásicas 51. Las únicas variaciones del genoma del VPB encontradas en sarcoides equinos son también halladas en líneas celulares de sarcoide equino, y solo esas variantes del genoma del VPB tienen la capacidad de transformar las células equinas. Esas líneas celulares son morfológicamente transformadas resultando en hiperproliferación, extensión de su vida media o inmortalización y adquieren la capacidad de crecer independientemente del sustrato 39. En algunos tumores estudiados, se ha detectado la presencia de ADN de VPB y la presencia de la proteína E5, sin embargo, al analizar la piel normal que los rodeaba se pudo aislar el ADN viral pero no fue detectada la expresión de la proteína E5 8, lo que demuestra que la expresión de esta proteína es la responsable del desarrollo de sarcoides.
El ADN de VPB ha sido detectado en el 100% de los sarcoides examinados 5,17,46, habiéndose identificado también los oncogenes virales del gen de la cápside proporcionando evidencia de la implicación directa de VPB en la patogénesis de esta enfermedad. Asimismo, la inoculación con VPB en equinos clínicamente sanos produjo el crecimiento de tumores tipo sarcoide 9, lo que también fue comprobado por Hartl et al. en un estudio realizado el año 2011 donde se demostró la formación de pseudo sarcoides palpables 11 a 32 días después de la inoculación con partículas de viriones de VPB-1 por vía intradérmica, los cuales se observaron exclusivamente en los sitios de punción 19.
El sarcoide equino tiene una distribución mundial 8,31,46, afectando a perisodáctilos de distintas especies, reportándose en caballos, burros, mulas y cebras 14,32,37,40, con una prevalencia total del 1% al 12% 17, aunque puede ser más alta en algunas poblaciones, representando la neoplasia más común de los équidos en todo el mundo. Además, ha sido diagnosticado también en jirafas y antílopes 22.
El sarcoide puede afectar a equinos de todas las razas y edades sin predisposición aparente por el sexo ni por color de la capa teniendo cierta predisposición por caballos castrados y jóvenes 6. De acuerdo con Knottenbelt et al.26, los equinos castrados son más susceptibles que los sementales no existiendo diferencias estadísticas significativas entre sementales y yeguas. A pesar de que la enfermedad puede afectar a caballos de todas las razas, se ha reconocido cierta predisposición en algunas, de tal modo que los sarcoides son relativamente más comunes en los Cuarto de milla, Appaloosas, Pura Sangre, Haflingers y árabes 17, y menos comunes en los Standardbreds 8, de distintas edades, aunque generalmente de 3 a 12 años, con un pico a los 7 años de edad 34. Distintos factores, tanto ambientales como genéticos parecen jugar un rol importante en la presentación del sarcoide, donde el principal factor extrínseco descrito es la infección por el virus del papiloma bovino tipo 1 y 2 (VPB-1, VPB-2) 9,19,44. Con respecto a este virus, se ha descrito que la prevalencia de los VPB 1 o 2 está relacionada con la ubicación geográfica, siendo en Europa y Australia más prevalente el VPB tipo 1, a diferencia de lo reportado en Estados Unidos y Canadá, donde es más prevalente el VPB tipo 217,31.
La aparición de traumas a nivel cutáneo, incluyendo el trauma iatrogénico durante un procedimiento quirúrgico son considerados como cofactores en el desarrollo de estos tumores 10 y puede haber antecedentes de heridas 3 a 6 meses antes de la observación del sarcoide 39. La aparición de sarcoides diseminados en rebaños de familias de equinos que viven juntos, son ejemplos consistentes de casos múltiples con un origen infeccioso vinculado a la transmisión del virus entre ellos, ya sea a través de fómites o insectos hematófagos 2,21. Barbet et al.2 describieron que en un mismo animal es posible la diseminación de los sarcoides hacia labios y ojos cuando este se muerde o se rasca, por otro lado Haspeslagh et al.21 afirman que esta diseminación es favorecida por las moscas hematófagas (Stomoxys calcitrans), que pueden inocular el VPB cuando se alimentan 8.
Las distintas tasas de presentación entre razas sugieren susceptibilidad o resistencia ligada a componentes genéticos heredables 10,44. Knottenbelt et al.26 reportaron una alta prevalencia en ciertos rebaños salvajes de cebras con alta consanguinidad en Sudáfrica, con porcentajes de presentación de sarcoides de 25 a 53%, lo que parece compatible con la posibilidad de la existencia de un componente genético ligado a la susceptibilidad de presentación de sarcoides, lo que posteriormente fue demostrado por Staiger et al.44 en un estudio donde se evidenció la relación entre la presentación de sarcoide equino y la presencia de alelos del complejo mayor de histocompatibilidad equino (CMH) donde se concluyó que la presencia de los haplotipos de Antígeno de Leucocitos Equinos ELA-A3 y ELA W-3 (ELA por las siglas en inglés: Equine Leukocyte Antigen) representan factores de riesgo para el desarrollo de sarcoides 8
Para realizar el diagnóstico de sarcoide es muy importante prestar atención a la apariencia clínica de las lesiones donde la presencia de más de una lesión con características de sarcoide es indicadora de la enfermedad 46, de hecho, la gran mayoría de los caballos afectados tienen más de una lesión y muchos tienen más de 30 24,25. La presencia de múltiples tumores con características de varios tipos de sarcoide en un individuo hace que el diagnostico sea sencillo, debido a que no existe otra patología con el mismo rango de presentaciones clínicas 24, que además requieren, como en cualquier lesión neoplásica o pseudotumoral, de un estudio histopatológico para confirmar el diagnóstico.
Las lesiones pueden variar mucho de tamaño, pueden aparecer en cualquier zona del cuerpo, pero ocurren con mayor frecuencia en la cabeza (especialmente en las orejas, comisuras de los labios y en la zona periocular), cuello, extremidades, región ventral del abdomen, ingles y axilas 2,25. Los sarcoides tienen apariencia variable, rara vez son pruriginosos y se clasifican según su apariencia macroscópica y comportamiento en seis tipos diferentes: oculto, verrucoso, nodular, fibroblástico, mixto y maligno 23.
El sarcoide oculto es el tipo más leve y más superficial, se sitúan comúnmente en la piel de la región periorbital y perioral, en cuello y áreas con poco pelo (como la superficie medial de los miembros torácicos y muslos, axilas e ingles), en prepucio y área escapular 39, comienzan como áreas anulares planas de piel ligeramente engrosada, escamosa a hiperqueratinizada que progresivamente se vuelve alopécica e hiperpigmentada de forma variable y puede ser difícil de identificar especialmente cuando los animales presentan el pelaje de invierno 24 (Figura 1). Los sarcoides ocultos tienen un crecimiento lento y pueden permanecer estáticos durante años y ocasionalmente se resuelven de forma espontánea 34, de hecho, existen casos de sarcoides ocultos que permanecieron estáticos por más de 15 años sin tratamiento; sin embargo, se debe prestar atención inmediata ante la presencia de un sarcoide oculto debido al posible desarrollo extensivo de sarcoides verrucosos, o a la conversión en sarcoide de tipo fibroblástico. Lo anterior puede ocurrir en cualquier momento con o sin lesión aparente 24.
El sarcoide verrucoso se desarrolla frecuentemente en ubicaciones como la cara, cuello, axila, ingles, prepucio, y rodete coronario 17. Las lesiones visibles son muy similares a una “verruga”, donde la piel se torna seca, escamosa, elevada, alopécica, con engrosamiento epidérmico, hiperqueratinizada y liquenificada, que puede ser pedunculada o de base amplia con forma de coliflor 39 (Figura 2). A menudo hay alopecia y engrosamiento de la piel alrededor de la propia lesión indicando un grado de invasión perilesional, no existiendo respuesta inflamatoria, excepto cuando se infectan secundariamente 24. Los sarcoides verrucosos tienen comúnmente un crecimiento lento y rara vez se vuelven agresivos si no son lesionados, pudiendo ser sésiles durante largos períodos de tiempo y, al igual que con otras formas de sarcoides, pueden transformarse rápidamente en sarcoides fibroblásticos mucho más invasivos cuando son lesionados. Aunque se han descrito casos que empeoran sin razón aparente 39.

El sarcoide nodular crece frecuentemente en la región periorbital, ingles y prepucio 17 como masas grandes, firmes, bien definidas o bien circunscritas 46. Existen 2 subtipos reconocidos: los tipo A, que no presentan afección cutánea, donde la piel se mueve libremente sobre el nódulo que es generalmente esférico y los nódulos tipo B en los cuales existe afección variable de la piel, la cual no puede moverse libremente 34 (Figura 3). Los sarcoides nodulares, al igual que los otros tipos de sarcoides, tienden a permanecer estáticos y se vuelven más agresivos cuando son ulcerados o lesionados 39. A diferencia de los tipos de sarcoides antes mencionados, esta clase de sarcoides es extremadamente propensa a la transformación fibroblástica, presentando un crecimiento rápido de una forma más maligna después de la interferencia traumática o trauma autoinfligido 34.

El sarcoide fibroblástico tiene predisposición por ubicaciones como la axila, ingles, región periorbital, porción distal de los miembros, rodete coronario y sitios de otros sarcoides que han sufrido algún trauma 46. Son carnosos, con aspecto altamente vascular, elevados y ulcerados con infiltración local y, secundariamente, es muy frecuente que presenten infección y/o miasis 13,39. Se han descrito dos subtipos de sarcoide fibroblástico: el tipo 1, pedunculados con un cuello estrecho y una masa carnosa relativamente grande, y el tipo 2, que tienen una base sésil más ancha y a menudo tienen extensas prolongaciones dérmicas y subdérmicas (Figura 4) 34. Los sarcoides fibroblásticos pueden desarrollarse espontáneamente o pueden aparecer rápidamente cuando cualquiera de las otras formas de sarcoide sufren cualquier tipo de traumatismo. A pesar de su apariencia agresiva, los sarcoides fibroblásticos no tienen la capacidad de metastatizar pero pueden propagarse localmente en la dermis mediante invasión/extensión local 24.
El sarcoide mixto puede incluir dos o más de los tipos de sarcoide anteriormente mencionados (Figura 5). Estas mezclas son comunes en lesiones que permanecen estáticas durante mucho tiempo, o aquellas que sufren algún tipo de trauma y, a menudo se vuelven más agresivos a medida que se produce la transformación fibroblástica 39. Este tipo de sarcoide probablemente representa un estado progresivo/ transitorio entre sarcoides verrucosos, fibroblásticos y nodulares. Las variaciones en la proporción de los diversos tipos de sarcoides son numerosas, y las mezclas de cualquiera o de todos los tipos anteriores se producen comúnmente como consecuencia de biopsia o lesión 24.

El sarcoide maligno es la forma menos frecuente de presentación y se trata de tumores agresivos e invasivos que proliferan rápidamente y pueden propagarse a lo largo de los planos y vasos fasciales. Cuando existe afección de vasos linfáticos es posible palparlos como uno o más “cordones” del tumor, asimismo pueden presentarse numerosos nódulos ulcerados en la superficie de la piel (Figura 6). Presentan una elevada tasa de crecimiento y una alta recurrencia después de su escisión quirúrgica 17 y tienden a localizarse con más frecuencia en sitios como la mandíbula, la cara (especialmente en la región periorbital), codos, axila, y en la superficie medial del muslo 39, tendiendo a desarrollarse como consecuencia de repetidos traumas (por ejemplo, cirugía).
Es importante destacar que debido a la diversidad de tipos de lesiones, producidas por los diferentes tipos de sarcoide, se hace necesario considerar un listado de los diagnósticos diferenciales para cada uno de ellos, el cual es presentado en la tabla 1 elaborada a partir de artículo publicado por Pilsworth y Knottenbelt 34.

El veterinario clínico tiene dos opciones para confirmar la presencia de un sarcoide equino. La primera consiste en la obtención de caspa o descamaciones epiteliales del sarcoide, frotis de la piel o raíces de pelos, tanto de la lesión como de los bordes de ella, para una posterior extracción de ADN y realización de ensayo por reacción en cadena de la polimerasa (PCR) específica para VPB-1 o VPB-2 17,42. Si se logra identificar la presencia de ADN viral, existe una alta probabilidad de que la lesión sea un sarcoide verdadero y este método es aplicable a todos los tipos de sarcoide, siendo especialmente útil en el caso de sarcoides ocultos. La segunda opción es invasiva y consiste en tomar una muestra del tejido afectado (biopsia) para el posterior examen histopatológico 34, siendo esta la única prueba confirmatoria para llegar al diagnóstico definitivo. Al realizar la biopsia, ya sea utilizando la técnica de biopsia escisional, biopsia parcial en cuña o aspirado por aguja fina, existe un elevado riesgo de exacerbación de la lesión y de recurrencia o transformación en un tipo más agresivo, pero este riesgo disminuye considerablemente cuando se utiliza la técnica de biopsia escisional, siempre que se haga la extracción de la masa acompañada de amplios márgenes de tejido sano 24.
Cuando ocurre cualquier tipo de trauma, ya sea accidental o iatrogénico, de manera inmediata se instaura el proceso de reparación que implica división celular 39. Lo anterior es relevante considerando que el ADN viral del VPB se almacena dentro de las células de los sarcoides en episomas extracromosomales y que se replica en sincronía con la división celular17. En consecuencia, para obtener una muestra no se recomienda la aspiración con aguja fina ni la biopsia parcial o en cuña, ya que aumentan el riesgo de exacerbación de la lesión o de recurrencia en tipos más agresivos de sarcoide al estimular la división de las células del tumor. Siempre que sea necesario realizar una biopsia es adecuado efectuar la resección completa de toda la masa tumoral con un amplio margen de seguridad de tal manera que se eliminen por completo las células tumorales 25. Además, según Sellon 40, cuando se realiza la toma de la biopsia o la escisión existe el riesgo de autoinoculación del sarcoide a través de los instrumentos quirúrgicos utilizados en el procedimiento, por tanto, se recomienda que el instrumental que haya tenido contacto con el tumor no sea utilizado en la piel sana adyacente. Si los tumores son de pequeño tamaño pueden ser enviados intactos, pero cuando son de gran tamaño, se debe cortar una porción representativa de éste para ser enviada al laboratorio en una solución de formol neutra tamponada al 10% 34,46.
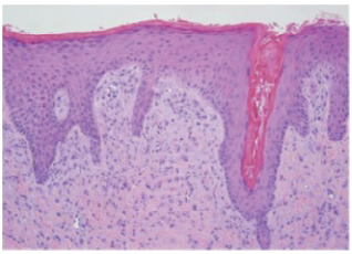
En el laboratorio, a partir de la biopsia, se realizan cortes histológicos que son evaluados en busca de alteraciones que permitan confirmar la presencia de un sarcoide, cuyas características histopatológicas típicas incluyen acantosis epidérmica, hiperqueratosis e hiperplasia con crestas epidérmicas (folículos pilosos en su mayoría atróficos) en el tejido fibroblástico dérmico que contienen fibroblastos inmaduros con figuras mitóticas en una masa fibrocelular en espiral 7,39,46. Otra característica típica de los sarcoides es el patrón de “valla de puntas” que corresponde a los fibroblastos en la unión dermoepidérmica orientados de manera perpendicular a la membrana basal (Figura 7) 46. Las células tumorales pueden aparecer de fusiformes a estrelladas y la dermis puede tener fibras de colágeno y fibroblastos en una espiral clásica, enredado o en patrón de espina de pescado y las figuras mitóticas pueden ser numerosas, y a menudo con hipercromasia y atipia 7,40.

Aunque el sarcoide no tiene la capacidad de metastatizar no es una neoplasia benigna, siendo descrita como una enfermedad progresiva que invade y destruye el tejido que la rodea que raramente remite espontáneamente y con frecuencia recurre tras la escisión quirúrgica. La decisión de mantenerla sólo en observación y sin tratamiento únicamente debe hacerse con el consentimiento informado del propietario 8,39, y debe tenerse en cuenta también, que no todos los caballos con sarcoides pueden ser sanados 4. Debido la variedad de formas de presentación del sarcoide, no existe un tratamiento universal efectivo único 34 y las alternativas terapéuticas descritas en la actualidad son variadas. Se han utilizado técnicas quirúrgicas y no quirúrgicas con distintas tasas de éxito y ninguna de las técnicas ha demostrado ser exitosa del todo. Básicamente, el sarcoide equino se aborda de dos maneras: la primera consiste en la observación sin realizar tratamiento en aquellos tumores de pequeño tamaño que no causan incomodidad ni dolor al caballo y que no impiden el uso de éste y la segunda forma de abordarla es la escisión quirúrgica por si sola o combinada con otras alternativas de tratamiento 39. Por lo tanto, los veterinarios deben disponer de un repertorio de tratamientos en los que sean competentes y deben ser capaces de determinar el tratamiento más adecuado para cada caso 4,17.
La escisión quirúrgica temprana y completa es el pilar del tratamiento del sarcoide 3. Cuando no se realiza la eliminación completa de la lesión, se produce la recurrencia de un tumor que es biológica e histopatológicamente más agresivo y requiere de escisión más amplia 8. Como regla general, una escisión macroscópica o histológicamente incompleta (es decir; márgenes positivos o menores de 5 mm), debe ser seguida de reescisión si es posible, o por un tratamiento adyuvante 39. Siempre que los márgenes de la escisión incluyan más de 1 cm de tejido sano, el riesgo de recurrencia será bajo, y no se recomienda otro tratamiento, excepto revisión por lo menos en un año 3. El acceso a técnicas moleculares (por ejemplo, PCR) que detecten el ADN viral, y la detección específicamente de VPB con los genes E5 o E6 presentes en los márgenes puede ser más importante que el ancho de éstos en la predicción del pronóstico 4,47. Pilsworth y Knottenbelt 34 y Carr 8 coinciden en que el inicio temprano, la larga duración, el gran tamaño y la localización en la porción distal de las extremidades parecen ser factores que aumentan el riesgo de recurrencia después de la cirugía
Después de la escisión quirúrgica existe una alta tasa de recurrencia en todas las lesiones, excepto en las más limitadas y definidas, la cual puede reducirse con la utilización de un electrobisturí. A pesar de lo anterior, la tasa de recurrencia tras la escisión quirúrgica es de 50 a 64% a los 6 meses 3. Se describe que la escisión resulta ser eficaz cuando se aplica en lesiones superficiales como sarcoides de tipo oculto y verrucoso siempre que la escisión sea amplia y cuando la herida pueda ser cerrada y luego protegida durante la cicatrización. Cuando no se logra el cierre de la herida es muy probable que exista recurrencia, aunque el tumor puede tardar hasta 5 años en reaparecer 24.
A pesar de las limitaciones de la cirugía, la escisión de los sarcoides nodulares tipo A conlleva un pronóstico algo mejor, siempre que el procedimiento se realice correctamente donde la incisión de la piel no debe afectar directamente o en la periferia inmediata del sarcoide. Una vez hecho esto, el nódulo generalmente puede ser retirado suavemente lejos de la cápsula del tejido conectivo subcutáneo. Las lesiones nodulares en los párpados son potencialmente muy peligrosas, debido a que comúnmente tienen extensas ramificaciones a través de los tejidos adyacentes y la cirugía a menudo falla en estos casos. Sin embargo, Haspeslagh et al.20 describieron casos donde se logra éxito en el procedimiento. Los sarcoides nodulares de tipo B tienen ramificaciones extensas dentro de la piel adyacente lo que puede llevar a dificultades mayores con la cirugía y la recurrencia subsecuente del sarcoide. Los sarcoides fibroblásticos, mixtos y malignos generalmente no son adecuados para la escisión quirúrgica como único tratamiento. Se ha demostrado que se puede mejorar el pronóstico después de la cirugía combinándola con otras modalidades como criocirugía, compuestos citotóxicos tópicos, inyecciones intralesionales de cisplatino o radiación 8,17.
Se ha descrito la ligadura de la lesión utilizando hilos de nylon o anillos elásticos aplicados con alicates especiales (elastrator), cuyo efecto mecánico impide la vascularización de la masa, siendo un método económico que puede aplicarse de manera muy rápida, pero no es aplicable para lesiones planas o muy grandes y en aquellas donde no están bien definidos los márgenes. Es indicado para lesiones que presentan un pedúnculo, siempre que permitan la obliteración del flujo sanguíneo hacia el tumor. De hecho, es solo aplicable para sarcoides nodulares tipo A 3,17,24.
Se describen buenos resultados con el uso de escisión con láser de CO2, con una eficacia del 62 al 81% de los casos tratados en periodos de seguimiento de 6-12 meses 39. El uso de laser de CO2 es especialmente efectivo en combinación con la aplicación posterior de Aciclovir, proporcionando muy buenos resultados para la ablación de sarcoides localizados en el pabellón auricular 8. La terapia del sarcoide equino con la utilización de laser demuestra estar asociada con un buen pronóstico postquirúrgico, dado que el 83% de los caballos tratados no presentó recurrencia12. La baja incidencia de recurrencia del tumor al seguir este método de tratamiento se puede deber al cierre inmediato de los vasos sanguíneos y a la destrucción de las células tumorales 17.
La criocirugía ha sido una modalidad de tratamiento efectiva, que se ha asociado con tasas de curación de 42-100% en un plazo de un año. Sin embargo, cuando fue utilizada para el tratamiento de sarcoides perioculares, presentó una recurrencia del 91% 8. Esta técnica no está recomendada para sitios anatómicos como la parte distal de los miembros y el área periocular, debido a que en esos lugares existe una estrecha relación con los tejidos vitales subyacentes que podrían ser dañados en el momento de aplicar esta técnica, además, las complicaciones frecuentes de la criocirugía incluyen: retraso de la cicatrización, cicatrices extensas, y despigmentación del pelo y la piel, si es usada en la cara o área periocular; parálisis del nervio facial y pérdida de la función del parpado superior 3. Scott y Miller 39 mencionan que en algunos caballos tratados que presentaron múltiples sarcoides se observó la regresión espontanea de los sarcoides no intervenidos, produciéndose tal vez como resultado de una respuesta crioinmune a los componentes celulares de los sarcoides.
La escisión completa o citorreducción del tumor, es efectiva cuando es combinada con quimioterapia o aplicación tópica de pomadas de Aciclovir 8. El quimioterápico de elección actual es el cisplatino, que está disponible en forma de perlas de dextrano biodegradables, y puede ser utilizado intralesionalmente o implantado en los márgenes de escisión como terapia adyuvante para prevenir la recurrencia 17. Una ventaja de esta forma farmacéutica es que el manejo de las perlas es más seguro para quien lo manipule, en comparación con la forma líquida, y además las perlas evitan la administración continua del cisplatino al tumor o al lecho de la herida al menos durante 10 días 45. El cisplatino interfiere negativamente con la cicatrización de la herida, debido a que actúa contra las células que se dividen rápidamente 3. En consecuencia, se recomienda aplicarlas para tratar los márgenes de escisión una vez que la herida primaria quirúrgica haya cicatrizado, las cuales se aplican realizando incisiones punzantes con una hoja de bisturí del número 11 separadas aproximadamente 15 mm en un patrón cuadrado o a lo largo de los márgenes de la herida y posteriormente se cierran con un patrón de sutura simple o en cruz 17.
La teleterapia o radioterapia de haz externo tiene éxito sólo en el 10-30% de los casos a diferencia de la braquiterapia intersticial (con emisores gamma o aceleradores lineales) que ha demostrado ser muy exitosa usando varios tipos de implantes, como oro 198, iridio 192 o radón 222, con los cuales se han logrado tasas de curación del 50 al 100% de los casos tratados 39,50,52, siendo el iridio 192 el que ha demostrado tener los mejores resultados con tasas de éxito del 81-100% 12. Se reporta una tasa de recurrencia del 0% para lesiones perioculares tratadas con braquiterapia, y existen informes anecdóticos sobre el tratamiento exitoso de sarcoides malignos con distintas dosis de radioterapia por acelerador lineal 17. Sin embargo, en muchos lugares no existe fácil acceso a instalaciones para realizar esta terapia, y los costos de tratamiento son elevados 8. Dentro de las posibles complicaciones se pueden incluir pérdida de pigmento en la piel y el pelo, fibrosis tisular, y catarata y/o ulceración corneal cuando se tratan sarcoides perioculares 39.
Es posible administrar la quimioterapia tanto por inyección intratumoral (intralesional) como por aplicación tópica. Un fármaco que se ha usado por vía intralesional es la bleomicina (Blenoxane®, Bristol-Meyers; en solución de 15mg en 20 ml de agua estéril) a dosis de 1 ml de solución/10 mm de lesión cada 1 o 2 semanas hasta 1 a 5 inyecciones 39, siendo las lesiones con un diámetro menor de 2,5 cm más propensas a responder de manera positiva a la bleomicina 39,45. En estudios recientes, Tamzali y kemp-Symonds 45 reportan que el tratamiento con bleomicina intralesional fue efectivo solo en el 23,5% de los animales tratados y el 41,7% presentaron recurrencia. Además, existe actualmente una preparación tópica de bleomicina encapsulada en liposomas (Bleosome) que demostró ser efectiva en la remisión de sarcoides en el 44% de los casos, siendo especialmente eficaz sobre sarcoides ocultos y verrucosos 29.
El cisplatino es actualmente el agente más eficaz para la quimioterapia intratumoral con tasas de éxito del 87 al 97% 12. Se prefiere una suspensión cristalina de cisplatino, aceite de sésamo y emulsión de monooleato de sorbitán (Span 80), que debe ser aplicada en 4 dosis de 1 mg cisplatino/cm3 de tejido 3 en intervalos de 2 semanas entre cada aplicación, lo cual puede realizarse con o sin cirugía citorreductora. Con este método se observó una tasa de curación general (definida como control local a los 4 años) del 93%. Es importante destacar que el tratamiento tiene menor eficacia sobre los tumores grandes y los tratados previamente con otras modalidades, y nuevamente, los sarcoides perioculares no responden de buena manera pudiendo llegar a tener una recurrencia del 67%. Además, las reacciones locales son más probables de ocurrir y ser más severas después de la tercer y cuarta inyección 39.
Según Bergvall 3, la administración intratumoral de 5-fluorouracilo durante más de 7 inyecciones a dosis de 50 mg/cm3 de tejido, cada 2 semanas, fue efectiva en el 61,5% de los caballos tratados (seguimiento de 3 años), donde los factores que afectaron el pronóstico incluyeron sarcoides de más de 13 cm de diámetro y los tratados previamente con otras modalidades 4. Además, Knottenbelt et al.29 describen que la aplicación tópica de 5-fluorouracilo en combinación con bleomicina demostró ser efectiva en el 77% de los casos tratados.
La aplicación tópica de varios agentes citotóxicos y quimioterápicos puede ser efectiva en el tratamiento de pequeños sarcoides 17,27,29, siempre que se realice un tratamiento diario durante al menos 30-90 días. Algunos ejemplos de tales fármacos incluyen: podofilina al 50% en alcohol, pentoxido de arsénico al 1% en dimetilsulfoxido (DMSO), podofilina al 50% en tintura de benzoina, 5-fluorouracilo al 5%, y una mezcla de 5-fluoroacilo, tiouracilo y varias sales de metales pesados, pero sus resultados fueron en gran medida anecdóticos e inconsistentes 17,27.
La mezcla de 5- fluorouracilo / tiouracilo / sales de metales pesados (AW-3-LUDES y AW-4 LUDES, Universidad de Liverpool) aplicado por vía tópica fue efectivo en el 80% de los sarcoides tratados únicamente con estos fármacos, pero si las lesiones han recibido tratamiento previo (por ejemplo, cirugía, criocirugía, vacuna de Bacillus calmette-guerin), la tasa de resolución cae al 35-50% 17.
Otro agente tópico que ha logrado un éxito generalizado en el tratamiento de sarcoides es el imiquimod (Aldara®, 3M Pharmaceuticals) 15, cuyas propiedades antitumorales se atribuyen a una influencia sobre el sistema inmune y la actividad proapoptótica directa (activación aumentada de Bcl-2 y caspasa) 39. En un estudio realizado en México, Guerrero 15 aplicó una pequeña capa de crema de imiquimod al 5% sobre la superficie de los sarcoides con una frecuencia de 3 veces por semana en días no consecutivos hasta la resolución del tumor o durante 32 días, resultando en la reducción del tamaño de los sarcoides en el 80% de los casos y en la reducción total de los tumores en un periodo de tiempo de 8 a 32 semanas en el 60% de los tratados.
La electroquimioterapia (EQT) permite mejorar la eficiencia del quimioterápico en las células diana mediante la convergencia de dos técnicas; la quimioterapia y la electropermeabilización de las membranas celulares 43, lo cual mejora la entrada a la célula a aquellos quimioterápicos, como la bleomicina o el cisplatino, que tienen poca capacidad para atravesar la membrana plasmática 43, 45. En un estudio realizado en Eslovenia, se trataron 31 caballos y un burro, que tenían distintos tipos de sarcoides localizados en diferentes sitios anatómicos, con el objetivo de probar la eficacia de la EQT con cisplatino como tratamiento único (18 animales), o adyuvante para escisión completa de la masa más márgenes de seguridad (14 animales). Se obtuvo, con tratamiento único (1 a 3 sesiones, en la mayoría de los casos, cada 4 semanas), una respuesta completa en 92,3% y parcial en el 7,7% de los nódulos tratados, solo en un caso hubo recurrencia después de 60 meses. Los animales tratados con EQT más cisplatino como tratamiento adyuvante para la escisión mostraron un 100% de respuesta positiva completa y solo uno presento recurrencia a los 14 meses después de la escisión 49.
El Aciclovir (acycloguanosine; pomada al 5%) es altamente eficaz en el tratamiento del sarcoide oculto (de espesor tumoral menor a 5 mm), o como terapia tópica adjunta después de la escisión quirúrgica del tumor 3,27. Esta pomada puede ser aplicada una o dos veces al día sobre el sitio de escisión o sobre la lesión tan pronto como la herida esté seca. Cuando el tratamiento se realiza exclusivamente con la pomada de Aciclovir, la regresión completa del sarcoide tarda 1 a 8 meses, pero cuando se usa junto con cirugía, el tratamiento sólo se aplica durante 2 meses, siendo bien tolerado por los caballos sin producir prurito ni dolor 17. Se han probado también algunas terapias que se utilizan para combatir papilomatosis en seres humanos como la aplicación local de cidofovir, demostrando buenos resultados en el tratamiento de sarcoides en una yegua, que presentaba sarcoides mixtos 17, además, se logró resolver un sarcoide oculto y uno fibroblástico con éxito con esta técnica 3. Otro enfoque interesante derivado de la medicina humana podría ser el uso tópico de mitomicinas, especialmente mitomicina A y C 17.
La inmunoterapia con productos comerciales de micobacterias (Bacillus calmette-guerin) ha sido más efectiva en el tratamiento de sarcoides perioculares que en los sarcoides de los miembros y axilas 3. Las inyecciones intralesionales se administran cada 2-3 semanas, con un promedio de cuatro tratamientos (rango 2-9) 39. Las reacciones inflamatorias post-inyección son comunes y pueden conducir a necrosis, ulceración y secreción, por esto, los propietarios deben ser informados de que las lesiones generalmente parecen empeorar antes de que se produzca la curación. Algunas reacciones adversas descritas son malestar transitorio, anorexia, linfadenopatía, pirexia (hasta 40°C), leucocitosis y además, después de inyecciones repetidas de Bacillus calmette-guerin completo atenuado se han dado casos de anafilaxia fatal 39, sin embargo, para evitarla, Bervall 3 indica que se puede utilizar 1,1 mg/kg de flunixin de meglumina y 0,2 mg/kg de dexametasona después de la tercera inyección.
Otras alternativas de inmunoterapia se describen en la literatura, las cuales no son utilizadas comúnmente por los clínicos debido que existe poca información acerca de ellas y a que no han demostrado tener mejores resultados que los obtenidos con otras técnicas. Se han utilizado inyecciones intratumorales de interleuquina-2 (IL-2), como inmunomodulador, pero solo se ha logrado la resolución completa de sarcoides en el 14% de los tumores tratados 39. Asimismo, en un estudio realizado por Otten et al.33, la inyección intratumoral de factor de necrosis tumoral (TNF) en combinación con compuestos de xantatos demostró ser efectiva solo en el 50% de los sarcoides, presentándose conjuntamente efectos adversos como fiebre, cojera y edema, por lo que el tratamiento debió ser suspendido 8,33. Otra alternativa que fue estudiada fue el uso Baypamun P, un parapoxvirus inactivado utilizado como estimulador inmunológico inespecífico, pero demostró ser ineficaz en el tratamiento de sarcoides equinos3. Se describe también la utilización de vacunas para tratar el sarcoide equino, pero no se han generalizado 3. En un estudio realizado en burros que fueron inoculados con partículas quiméricas similares al virus de papiloma bovino Asharafi et al.1 lograron una tendencia a la reducción de los tumores y a una reducción de su progresión, pero no la remisión total de los tumores. Una forma barata y técnicamente fácil de inmunoterapia es el autoimplante del tejido de un sarcoide del mismo caballo. Esta técnica consiste en remover una lesión y cortarla en pequeños cubos, envolverlos en gasa, sumergirlos en nitrógeno líquido, descongelarlos e implantarlos de forma subcutánea en cuatro sitios a lo largo del cuello del equino 38. Con lo cual Hainisch y Brand 17 lograron la completa regresión de los tumores en 12 de 15 caballos.
Consiste en administrar un agente fotosensibilizante, permitiéndole acumularse en el tejido neoplásico, el cual es activado posteriormente por luz visible provocando que los radicales libres liberados y el oxígeno dañen el endotelio vascular y las membranas celulares de los sarcoides. A pesar de esto, la utilización de esta terapia como método de tratamiento para sarcoides solo causó una reducción en el tamaño pero no logró eliminarlos, por tanto, su uso no está indicado para tratar este tipo de lesiones 39.
La hipertermia por radiofrecuencia ha sido eficaz para el tratamiento de algunos sarcoides, pero con los datos disponibles actualmente no es posible elaborar recomendaciones específicas 39. Es improbable que este método se convierta en una alternativa práctica de terapia para cualquiera de los sarcoides, además de que el método no tiene ningún beneficio aparente sobre las otras alternativas de tratamiento. De acuerdo a Bergvall 3, con esta técnica sólo un pequeño número de casos se resolvió y se mantuvo en remisión durante 6 meses a 1 año, además demostró ser ineficaz para el tratamiento de sarcoides perioculares.
Las preparaciones con Sanguinaria canadensis L., y cloruro de zinc (XXTERRA®, Larson Laboratories; Indian Mud, Original Cream Company; Animex, NIES) han sido recomendadas para el tratamiento del sarcoide en equinos 3. Estas mezclas son cáusticas, escaróticas, y se cree que actúan alterando la antigenicidad tumoral dando como resultado la muerte de células neoplásicas dejando intacto el tejido sano circundante. XXTERRA® ha demostrado ser una buena alternativa de tratamiento tópico para sarcoides ocultos y verrucosos siendo eficaz en más del 90% de los las lesiones tratadas 39. Al aplicar XXTERRA® diariamente durante 4-6 días y luego cada 4 días durante 3-36 semanas, alrededor del 53% de las lesiones se resolvieron totalmente en caballos que no habían recibido tratamiento previo. Algunos caballos experimentaron niveles de inflamación local y dolor lo suficientemente graves como para requerir un tratamiento previo con analgésicos. Otros autores han observado un crecimiento rápido y súbito del tumor o arrugas resultantes y deformidad del pabellón auricular cuando los sarcoides fueron tratados con XXTERRA®39.
Los xantatos inhiben la replicación y transcripción de virus de ADN y ARN (incluyendo BPV-1) y tienen actividad antitumoral, especialmente cuando se combinan con ácidos monocarboxílicos 33. Un pequeño número de sarcoides equinos se trató intralesionalmente con un compuesto de xantato con y sin la administración simultánea de TNF-α humano recombinante resultando en la regresión de menos del 50% de las lesiones 39.
La crema de Tazaroteno gel 0,1% (Zorac®), es un retinoide tópico y se ha aplicado en sarcoides con el fin de identificar la zona afectada reduciendo de esta forma su tamaño antes de realizar el tratamiento con cualquiera de los métodos quirúrgicos u otros aquí descritos, incluidos AW4-LUDES, 5-fluorouracilo o Xxterra®24.
Se ha descrito el uso de extracto de muérdago (Viscum álbum), a dosis de 1 ml de manera creciente de 0,1 a 20 mg/ml. por vía subcutánea tres veces por semana durante un periodo de 105 días, resultando en la regresión completa o parcial de los sarcoides en el 41% de los tratados, de igual modo el 14% de los caballos control (que no recibieron tratamiento) presentaron regresión completa o parcial 11.
Con el uso de crioterapia con aerosol de una mezcla de hidrocarburos de éter dimetílico, propano e isobutano (Pointts®) se obtuvieron muy buenos resultados en una potranca para tratar un sarcoide oculto. Este método tiene la ventaja de no requerir instrumental sofisticado ni cuidados postquirúrgicos 53. Los estudios sobre el uso de este producto en sarcoides son escasos, pero parece ser efectivo sobre lesiones de pequeño tamaño.
La forma en que se disemina el VPB-1 y VPB-2 permanece sin conocerse totalmente. Se pensaba que el virus era transmitido desde bovinos a equinos a través de vectores como insectos voladores 2. Sin embargo, al analizar el genoma de VPB-1 aislado de sarcoides equinos se hallaron mutaciones genéticas que lo hacen diferente del genoma de VPB-1 aislado de papilomas de bovinos. Se intentó, mediante transfección in vitro, introducir el ADN de VPB-1 aislado de sarcoides equinos en fibroblastos bovinos, lo cual no fue logrado debido a que los fibroblastos bovinos no lo permitieron 17,48. Lo anterior muestra que la transmisión del VPB ocurre entre equinos y no desde bovinos a equinos, además, ha sido posible aislar el genoma de VPB en moscas y tabánidos capturados en las cercanías de burros y caballos con sarcoides, lo que sugiere que estos insectos podrían participar como vectores en la transmisión de esta enfermedad 21,39.
El sarcoide equino es efectivamente una enfermedad infecciosa 17,39, aunque está claro que en comparación con otras enfermedades contagiosas, tiene una baja virulencia y las medidas que pueden ser aplicadas para disminuir aún más el riesgo de contagio son sencillas. Considerando que los VPB infecciosos son altamente resistentes, que pueden soportar la desecación, persistir en la caspa y en las superficies del medioambiente durante varias semanas, se pueden tomar medidas preventivas bastante sencillas como mantener a los equinos con sarcoides en su propia cuadra, con su comedero y bebedero individual, evitar el contacto con los animales que no tengan sarcoides y se debe evitar que compartan todos los elementos que puedan contener caspa y pelos como cepillos, aperos, monturas, sogas y mantas. Asimismo, es importante mantener los establos libres de moscas y tabánidos que puedan actuar como vectores favoreciendo el contagio entre equinos.
Actualmente se conoce que la patología es más predisponente en ciertas familias de equinos, los cuales presentan los alelos ELA-A3 y W-13 del complejo mayor de histocompatibilidad 8, hecho que probablemente está vinculado a la presentación de cuadros masivos de sarcoides en rebaños de equinos aislados 14,32,37. A partir de lo anterior, se podría establecer la selección genética como una medida preventiva para la presentación de sarcoides descartando de la reproducción a aquellos animales que sean portadores. De esta forma se lograría disminuir la incidencia al evitar la perpetuación de genotipos más susceptibles.
Para favorecer las medidas de prevención, actualmente los investigadores están enfocados en el desarrollo de vacunas sobre la base partículas similares al virus creadas in vitro (VLPs por sus siglas en ingles Virus-Like Particles), que son partes de la cápside del virus con una alta capacidad inmunogénica 1. En equinos, la inoculación intramuscular de VLPs de VPB-1 y VPB-2 es segura e induce una respuesta inmune especifica duradera contra VPB-1 y 2. Además, existe una creciente evidencia de que esta vacuna basada en VLPs protege eficazmente a los caballos de la infección experimental por BPV-1 y con ello previene la formación de tumores asociados 17. Si se obtienen resultados similares para BPV-2, es muy probable que esté disponible en un futuro próximo una vacuna que permita prevenir la presentación de sarcoide en equinos.
A pesar de que la prevalencia total de sarcoide en equinos no supera el 12%, no es correcto restarle importancia a esta patología debido a que presenta un comportamiento impredecible y a que su tratamiento es complejo por la gran cantidad de alternativas terapéuticas disponibles que no han demostrado ser efectivas del todo. Sin embargo, las nuevas modalidades terapéuticas han mejorado las tasas de éxito y han disminuido la recurrencia. Es importante destacar que muy probablemente en un futuro cercano se contará con vacunas contra el VPB que permitirán prevenir la aparición de sarcoides en equinos. Finalmente se concluye que la educación de los propietarios y la actualización de los médicos veterinarios especialistas en equinos es un aspecto muy relevante, ya que la prevención, identificación y tratamiento temprano mejoran las tasas de éxito.







