Casos clínicos
Uveal melanoma in a canine: a case report
Melanoma uveal en un canino: un reporte de caso
Melanoma uveal em um canino: um relato de caso
Uveal melanoma in a canine: a case report
CES Medicina Veterinaria y Zootecnia, vol. 14, no. 2, pp. 59-70, 2019
Universidad CES
Received: 15 January 2019
Accepted: 12 July 2019
Abstract: In this report we present the clinical case of a Harlequin Great Dane male canine, which presented the opaque and very red right eye. In the ophthalmological examination he presented an acute picture of uveitis, followed by glaucoma and visual deficit, and does not report physical trauma or a blunt force at eye level. The definitive diagnosis was uveal melanoma, confirmed by ultrasound, cytology and histopathology.
Keywords: canine, glaucoma, uveal melanoma, uveitis.
Resumen: En el presente reporte se expone el caso clínico de un canino macho Gran Danés Arlequín, el cual, presentó el ojo derecho opaco y muy rojo. En el examen oftalmológico presentó un cuadro agudo de uveitis, seguido por glaucoma y déficit visual; no reporta trauma físico o algún golpe contundente a nivel ocular. El diagnóstico definitivo fue melanoma uveal, confirmado por ecografía, citología e histopatología.
Palabras clave: canino, glaucoma, melanoma uveal, uveitis.
Resumo: No presente relato, apresenta-se o caso clínico de um canino macho Great Dane Harlequin, que apresentava o olho direito opaco e muito vermelho. No exame oftalmológico, apresentava quadro agudo de uveíte, seguido de glaucoma e déficit visual; não relata trauma físico ou força bruta no nível dos olhos. O diagnóstico definitivo foi o melanoma uveal, confirmado por ultrassonografia, citologia e histopatologia.
Palavras-chave: canino, glaucoma, melanoma uveal, uveite.
Introducción
Los melanomas son tumores que tienen melanoblastos y melanocitos; dichos tumores pueden aparecer en la piel, cavidad oral, o también en el ojo 1. El melanoma oral es una neoplasia altamente agresiva y frecuente que causa metástasis en los caninos. La neoplasia ocular es poco frecuente en los caninos, pero dicha patología puede tener un impacto muy significativo en la visión, en el confort del paciente y en la longevidad del mismo. El pronóstico para el tumor va a ser dependiente del tipo de células que el paciente tenga. El melanoma ocular se puede dividir en superficial ocular, intraocular y orbital; las opciones terapéuticas y pronóstico son variables dependiendo de su ubicación anatómica. Las neoplasias pueden ser primarias o secundarias, primarias cuando provienen del tejido directamente afectado, y secundarias cuando provienen de otros tejidos (esta usualmente es por metástasis) 9.
El melanoma uveal primario es el tumor intraocular más común en caninos 3. Para un buen diagnóstico debe realizarse un examen oftalmológico completo, acompañado con ecografía ocular, resonancia magnética y citología ocular y/o patología 4.
Cuando se habla de ultrasonografía lo ideal para la evaluación del ojo es una ecografía bidimensional en modo B, con una sonda de 10 a 15 MHz, pero también servirá una sonda de 7,5 MHz que se encuentra con mayor facilidad en los centros veterinarios; sin embargo, entre mayor sea la frecuencia del transductor, más detallada será la imagen y mejor será el diagnóstico. La técnica proporciona una imagen de las estructuras intraoculares que permite diferenciar anormalidades anatómicas y realizar mediciones si así se precisa. Es importante realizar siempre la ecografía comparada con el ojo contralateral. La ecografía ocular, se utiliza principalmente cuando los medios de refracción como la córnea, cámara anterior y/o cristalino están opacos y no permite realizar un fondo de ojo adecuadamente, y ante la presencia de neoplasias intraoculares y enfermedades orbitarias 5.
La úvea es la túnica media del ojo, incluye el iris, cuerpos ciliares y coroides. La úvea anterior se refiere al iris y cuerpo ciliar, la úvea posterior es la coroides que en el canino contiene el tapetum celuloso y el cuerpo ciliar es contiguo con la coroides en el aspecto posterior 12. El melanoma intraocular, es un pigmento anormal que generalmente involucra el iris, el cuerpo ciliar y la coroides, y afecta el ángulo de filtración trayendo como consecuencia un glaucoma secundario 4. Los tumores melanociticos pueden ser benignos o malignos. Histológicamente, tienen semejanza con melanocitomas limbales y su predilección por la úvea anterior trae consigo un glaucoma 6. Dichos tumores suelen ser muy pigmentados, aunque se han descrito algunos casos de masas de color tostado a blanco, iris engrosado, pupila irregular, ceguera y dolor ocular, como características más comunes 7. Esto se debe a que los tumores ocupan espacio y pueden crecer hasta cierto tamaño antes de originar signos clínicos. También, es frecuente el edema de los tejidos circundantes. Las neoplasias pueden crecer en la vía visual o comprimirla desde estructuras adyacentes. Las neoplasias metastásicas suelen tener una progresión más rápida que los tumores primarios y con frecuencia son multifocales 5.
Evaluación del paciente
Anamnesis
Canino macho de raza Gran Danés Arlequín, 4 años de edad, el propietario reporta que el cuadro ocular empezó hace 4 días, con ojo derecho opaco y muy rojo. Sin antecedentes de problemas oculares previos o trauma reportado.
Hallazgos al examen clínico
En el examen físico las constantes fisiológicas estaban en parámetros normales, pero se encontraron las siguientes anormalidades en la valoración oftalmológica del ojo derecho: miosis, episcleritis, edema corneal moderado, rubeosis, reflejo de Thindall positivo y presión intraocular de 12 mmHg, sin anormalidad aparente en fondo de ojo derecho. Ojo izquierdo todos los parámetros normales.
Confirmando el diagnóstico inicial de Uveítis Anterior (Figura 1), el paciente recibe tratamiento inicial y se revisa nuevamente a las dos semanas encontrando ojo derecho con mayor congestión escleral, blefarospamo marcado, endoftalmia activa, edema corneal más marcado pero negativo a la prueba de fluoresceína, una pupila dilatada. La presión intraocular del ojo derecho subió significativamente a 38 mmHg y se observa en zona iridial medial entre las 2 y las 5 un abultamiento en iris con cambio de coloración, vascularización iridial, sugestivo de crecimiento neoplásico (Figura 2 y 3). Los resultados del examen oftalmológico sugirieron una uveítis hipertensiva con glaucoma secundario, con posible tejido neoplásico en iris.



Ayudas diagnósticas
Para el plan diagnóstico se recomendó realizar (bajo sedación) una Gonisocopia para determinar el tamaño del ángulo iridio-corneal, una ecografía ocular para determinar la localización y tamaño de la masa y extracción de humor acuoso para citología. Se realizaron todas las ayudas diagnósticas planteadas encontrando un ángulo iridio-corneal estrecho grado III (Figura 4). Se observa cambio de coloración del iris con cavitaciones y deformación de este.

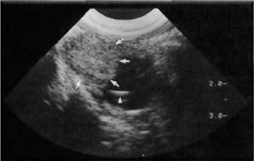
En la ecografía ocular se evidencia masa en cuerpo ciliar derecho de 0,92 por 0,52 cm, no se observa infiltración de masa en cámara vítrea, o anormalidad en retina, ni desplazamiento de cristalino. Se lleva a cabo extracción de humor acuoso, y se envía muestra para citología a laboratorio Corpavet (Figura 5 y 6). Los resultados citológicos confirman depósitos de gránulos de pequeño tamaño, uniformes, negruzcos, compatibles con pigmento melánico y agrupados. Los hallazgos citológicos son morfológicamente compatibles con melanoma (Figura 7). Posteriormente se realiza patología confirmando por laboratorio Corpavet, el diagnóstico fue melanoma uveal (Figura 8), la citología ocular se realizó antes de la enucleación.




Enfoque de tratamiento
El plan terapéutico instaurado inicialmente, consistió en el manejo de la uveítis hipertensiva. Se medica con Zypred (moxifloxacina + prednisolona) gotas oftálmicas cada 6 horas y Dorzolamida gotas oftálmicas cada 12 horas. Por vía sistémica se maneja terapia para dolor y la inflamación con meloxicam 0,1 mg por kg de peso cada 24 horas durante 5 días.
Al realizar control al quinto día del tratamiento se observa un ojo menos doloroso con disminución significativa de la episcleritis, el edema corneal y una pupila que responde a la luz, sin embargo, a nivel del iris se continúa observando marcada rubeosis y cambios en su conformación.
A las dos semanas de la segunda revisión, el paciente presenta una recaída con marcado dolor ocular, buftalmo, midriasis persistente, y cambios más marcados de forma y color a nivel del iris, con un aumento de la presión intraocular. Se aumenta frecuencia de terapia antiglaucomatosa con Dorzolamina cada 6 horas, se suspende Zypred y se inicia Fluorometalona gotas oftálmicas cada 8 horas y se anexa vía oral Amlodipino tableta 5mg totales vía oral cada 24 horas, pero el paciente no responde a terapia instaurada y continua con cambios negativos y déficit visual en ojo derecho. Una vez confirmada la presencia de masa uveal y el posible diagnóstico de melanoma, además de la mala respuesta al tratamiento médico, es informado el propietario del diagnóstico presuntivo, el propietario está de acuerdo, firma consentimiento informado y se decide realizar enucleación de ojo derecho, y enviar el ojo enucleado a estudio por histopatología.
Discusión
La ecografía ocular es una herramienta útil en el diagnóstico de lesiones intraoculares o retrobulbares cuando existe opacidad de los medios oculares, como edema corneal, catarata o enoftalmos 8. La ecografía toma una gran relevancia, ya que se puede realizar directamente sobre la córnea o mediante un abordaje lateral a través de la piel dorsal al arco cigomático. La aspiración de las lesiones orbitarias con aguja fina guiada por ecografía puede ayudar a realizar un mejor diagnóstico 9
Cuando se habla de ecografía ocular es importante realizar comparación del ojo contra lateral, siempre que sea posible, diferenciando las distintas estructuras oculares como lo son: cornea, cámara anterior, lente (cristalino), cuerpo ciliar, cámara posterior, cámara vítrea, retina y nervio óptico (Figura 9) 10. Además de realizar diferentes cortes: longitudinales, transversales y axiales que permitan diferenciar posibles anormalidades, su ubicación y medida.

Comparando con el caso clínico, y de acuerdo a lo reportado en la bibliografía se puede observar que el ojo izquierdo está ecográficamente normal (Figuras 10 y 11), ya que se identifican todas las estructuras anatómicas normales, sin ningún tipo de alteración.


Las lesiones neoplásicas, en la parte anterior del ojo se presentan como estructuras circunscritas, ecodensas; usualmente provienen del iris o del cuerpo ciliar, y pueden invadir la cámara anterior o la cámara vítrea y causar luxación o subluxación del lente (cristalino). El melanoma es la neoplasia más común en el iris. Estos tumores, generalmente surgen como estructuras densas pigmentadas y en la ecografía se evidencian con ecogenicidad densa y sólida 9.
Los melanomas de la úvea normalmente se originan a partir del estroma del cuerpo ciliar. Desde allí, pueden diseminarse hacia el iris, el ángulo de filtración, la porción posterior del ojo o la esclerótica. Los animales pueden presentar uveítis y glaucoma además de la masa pigmentada que se origina en la cámara posterior del ojo. La visualización directa de la masa puede no ser posible cuando el tumor es pequeño o cuando el medio ocular es opaco 11. De ahí, la importancia de la ecografía ocular que permite detectar a tiempo pequeños cambios en la anatomía ocular, definiendo su localización y grado de infiltración.
En las (Figuras 12, 13 y 14) se aprecia cómo a través de la ecografía se logra evidenciar un tumor intraocular que daña la estructura anatómica, mediante una imagen heterogénea en el cuerpo ciliar.


De acuerdo a lo anterior, en el ojo derecho del paciente, se observa gracias a la ecografía, una masa con una densidad heterogénea, bien definida en el cuerpo ciliar derecho (Figura 14), insinuante de una neoplasia a nivel uveal, como diagnóstico.

Después de realizar la enucleación y el estudio histopatológico, se tiene como diagnóstico definitivo melanoma ocular uveal (Figura 8). Los melanomas del tracto uveal pueden ser clasificados en uveales anteriores cuando surgen del iris y uveales posteriores cuando surgen de la coroides o del cuerpo ciliar. Los melanomas intraoculares además pueden envolver más de una estructura uveal. El tejido ocular de donde surgen estos tumores, la úvea, es una capa densamente pigmentada que forma parte de la pared del ojo. La úvea se divide en iris, cuerpo ciliar y coroides 12). El coroides se encuentra por debajo de la retina y su epitelio pigmentado. La función de la úvea es proveer oxígeno y otros nutrientes a los fotorreceptores de la retina, siendo principalmente un tejido vascular con capilares y estroma que contienen melanocitos.
Los signos clínicos dependerán de la localización exacta del tumor, y más frecuentemente se presentan con cambios de coloración y conformación del iris, como en el caso expuesto con evolución a glaucoma y déficit visual. Otros síntomas incluyen edema, hifema, desprendimiento de retina e inflamación ocular severa.
Es frecuente en medicina veterinaria encontrar este tipo de neoplasias oculares en pacientes jóvenes, de iris claro y razas medianas y grandes. Aunque en algunas series se ha encontrado alta incidencia en pacientes adultos y de razas pequeñas. El diagnóstico de las neoplasias uveales requiere de demostración de una masa sólida que afecte el iris o al cuerpo ciliar. Es en este punto que la ecografía tiene gran relevancia, ya que permite identificar la presencia de masas o anormalidades anatómicas diferenciando localización y tamaño. La conformación histopatológica no suele realizarse hasta que sea enucleado el ojo 5. La neoplasia melanocítica uveal es difícil de diferenciar si es benigna o maligna por apariencia clínica, ya que tiene un aspecto variable 13). La literatura reporta que las neoplasias intraoculares son benignas, aunque pueden terminar destruyendo el ojo por uveítis o glaucomas secundarios. Los tratamientos para los tumores uveales mediante fotocoagulación con láser pueden ser útiles en algunos casos 5. En este caso no era posible, debido al grado de infiltración uveal y al cierre del ángulo iridio-corneal, generando un proceso degenerativo en la malla trabecular, que podría exacerbarse con el láser, además de no ser posible retirarlo completamente.
El melanoma uveal es el tumor intraocular más común en perros y en humanos. En los perros se desarrolla más en la úvea anterior y en los humanos en la coroides. El tratamiento para el melanoma uveal en caninos es complicado por el hecho de que no se tiene la certeza si hará metástasis o no; el diagnóstico definitivo solamente se logra realizar por histopatología de un ojo que se ha eliminado y muchas veces los ojos son eliminados innecesariamente. En este caso, se tenía la certeza ya que se realizó citología ocular previamente por punción ecoguiada con aguja fina, revelando alta calidad de melanocitos con diferenciación nuclear y cambios morfológicos anormales, además de la sintomatología del paciente era evidente Mientras que, en los humanos se detecta la monosomia 3 que está fuertemente asociado a metástasis 3.
Es así como en medicina veterinaria se encuentran diversos estudios que demuestran la prevalencia de este tipo de tumor intraocular, no solo en caninos, sino también en otras especies animales, incluyendo al humano 14.
Un estudio reporta 48 globos oculares con historia de ablación química del cuerpo ciliar con Gentamicina, en donde 19 globos contenían neoplasia primaria después de la enucleación, además tumor epitelial iridiociliar, tumores melanociticos, tumores de células fusiformes de los perros de ojos azules, sarcomas y un solo caso de glioma. También fueron estudiados siete globos de felinos, uno equino y un ualabí, donde cinco de los globos oculares felinos fueron diagnosticados con tumor, el del equino y ualabí no presentaban tumor 14. Existe otro estudio donde los perros afectados tenían entre dos eses hasta los 17 años, la mayoría de 7 años o más, no había raza ni preferencia sexual. Sesenta y nueve fueron globos enucleados, de perros con quejas de hifema, glaucoma, uveítis o tumor ocular; cuarenta y ocho tenían masa escleral. En 34 perros la presencia del tumor fue la única evidencia, 26 tenían glaucoma, 9 de los cuales el glaucoma era la única evidencia clínica de un tumor intraocular no detectado. Independiente de los signos 70 de los 72 pacientes tenían diagnóstico de neoplasia intraocular 6.
Conclusiones
Las neoplasias intraoculares son muy comunes en los caninos, teniendo como tumor intraocular más común el melanoma; es muy frecuente encontrar este tipo de lesiones patológicas en el ojo. Este tumor puede ser diagnosticado por el oftalmólogo veterinario usando técnicas simples como fondoscopia, y otras de mayor complejidad como el ultrasonido, esta última, es un método indispensable a la hora de realizar diagnósticos intraoculares sugerentes de neoplasias con desplazamientos de estructuras intraoculares.
También es importante para el diagnóstico de otro tipo de patologías intraoculares como lo son quistes, cataratas, desprendimientos de retina, luxación o subluxación del cristalino. Cabe destacar la importancia de dicha ayuda diagnóstica para realizar citologías de humor acuoso.
Con la ecografía de ojo se puede evidenciar exactamente en qué parte está ubicada la lesión, teniendo así medidas exactas y un diagnóstico más acertado de la patología, observando el compromiso de las estructuras intraoculares.
El tipo histológico tiene un importante valor pronóstico al igual que el tamaño de la lesión 15. Existen varias modalidades de tratamiento, siendo la enucleación el método más ampliamente usado en todos los tiempos.
Referencias
1. Siripoonsub J, Chankow K, Lacharoje S, Rungsipipat A. Primary Retrobulbar and Intraocular Malignant Melanoma in a cat. Research Journal for Veterinary Practitioners. 2016; 4(2): 25 - 29.
2. Carvalho dos santos cunha, Brao Corgozinho K, Basso-Fernandes Silva F, Gomes Coelho da Silva Kv, Reis Ferreira A. Radiation therapy for oral melanoma in dogs: A retrospective study. Ciencia Rural. Volumen 48:04, número e20160396, 2018.
3. Starkey MP, Compston - Garnett L, Malho P, Dunn K, Dubielzig R. Metastasis-associated microRNA expression in canine uveal melanoma. Veterinary and Comparative Ongology. 22 March 2017; 16(1): 81-89.
4. Enache A, Ionascu I, Boydell P, Scase T. Clinical presentation, diagnostic and therapeutic approach of ocular melanosis in a golden retriver - case study. Scientific Works. Series C. Veterinary Medicine. 2013; LIX: p. 85 - 90.
5. Peiffer RL. Oftalmología de animales pequeños: 6th ed. Intermédica ; 1998.
6. Wilcock BP, Peiffer RL. Morphology and Behavior of Primary Ocular Melanomas in 91 Dogs. Ocular melanoma in dogs. 1986; 23: 418-424.
7. Dubielzig RR. The veterinary clinics of North America: Small Animal Practice North America: Elsevier; 1990.
8. Ettinger J, Feldman C. Tratado de Medicina interna veterinaria. 6th ed. Madrid: Elsevier; 2007.
9. Kirk NG. Veterinary Ophthalmology USA: Blackwell Publishing; 2008.
10. Penninck D, d'Anjou M. Atlas de ecografía en pequeños animales. 2nd ed. USA: Multimédica ediciones veterinarias; 2015.
11. Nyland G, Mattoon S. Diagnóstico Ecográfico en pequeños animales. segunda ed.: Multimédica Ediciones Veterinarias; 2006.
12. Saraiva V, Edelstein C, Burnier M. New prognostic factors in uveal melanomas: potential molecular targets for therapy. Can J Ophthalmol. 2004; 34(4): 422-7.
13. Labelle A, Labelle P. Canine ocular neoplasia: a review. Veterinary Opthalmology. 2013; 16(12062): 1-14.
14. Duke FD, Strong TD, Bentley E, Dubielzing RR. Canine Ocular tumors following ciliar body ablation with intravitreal gentamicin. Veterinary Ophthalmology. 2013;16(2): 159-162.
15. McLean I, Saravia V, Burnier M. Pathological and prognostic features of uveal melanomas. Can J ophthalmol. 2004; 39(4): 343-350.
Notes
Author notes
* Autor para correspondencia: Sandra Acevedo Toro Correo electrónico: crisalida18@hotmail.com, carrera 43 A # 10sur 45, La Aguacatala, Medellín, Antioquia.