Abstract: Feline diffuse iris melanoma is a statistically atypical pathology that compromises the eye, with the possibility of affecting other organs if a metastatic process occurs. Enucleation is usually a therapeutic alternative to reduce the risk of this process; however, this decision requires an adequate clinical examination. The diagnosis of this disease needs to be confirmed by histopathology and its follow-up must be continuous, through chest radiography, abdominal ultrasound and complete ophthalmological examination. This article presents the analysis and discussion of a feline diffuse iridal melanoma case in a domestic short hair cat, its clinical findings, the use of diagnostic aids and its therapeutic approach.
Keywords: enucleationenucleation,histopathologyhistopathology,iris melanomairis melanoma,metastasismetastasis.
Resumen: El melanoma difuso de iris felino es una patología estadísticamente atípica que compromete el globo ocular, con posibilidades de afectar otros órganos del paciente si llega a existir un proceso metastásico. La enucleación suele ser una alternativa terapéutica para reducir el riesgo de dicho proceso; sin embargo, la decisión requiere de un examen clínico adecuado. El diagnóstico de esta enfermedad requiere ser confirmado por medio de histopatología y su seguimiento debe ser continuo, mediante radiografía torácica, ecografía abdominal y examen oftalmológico completo. Este artículo presenta el análisis y discusión de un caso de melanoma iridal difuso felino en un doméstico de pelo corto, sus hallazgos clínicos, uso de ayudas diagnósticas y su enfoque terapéutico.
Palabras clave: enucleación, histopatología, melanoma de iris, metástasis.
Resumo: O melanoma difuso de íris em felinos é uma patologia estatisticamente atípica que compromete o globo ocular, com possibilidades de afetar outros órgãos do paciente se existir um processo metastático. A enucleação é geralmente uma alternativa terapêutica para reduzir o risco desse processo; entretanto, a decisão requer um exame clínico adequado. Para o diagnóstico desta doença é necessário a análise histoa histopatológica e seu acompanhamento deve ser contínuo, através de radiografia de tórax, ultra-sonografia abdominal e exame oftalmológico completo. Este artigo apresenta a análise e discussão de um caso de melanoma difuso de iris em um gato domestic short hair, seus achados clínicos, o uso de auxiliares de diagnóstico e sua abordagem terapêutica.
Palavras-chave: enucleação, histopatologia, melanoma da íris, metástase.
Casos clínicos
Feline iridal melanoma: a case report
Melanoma iridal felino: un reporte de caso
Melanoma felino iridal: um relato de caso
Received: 08 January 2019
Accepted: 05 July 2019
Un melanoma es un tipo de neoplasia de células melánicas que en gatos domésticos (Felis silvestris catus) tiene una presentación baja, pero que, dentro de las neoplasias oculares, tiene una prevalencia aproximada del 26% 23.
Los melanocitos son células procedentes de los melanoblastos formados en la cresta neural en los extremos dorsales del epitelio neural. Estas células se encargan de la coloración de la piel, ojos y pelo; migrando a lugares como iris, coroides, dermis y epidermis. Los melanocitos protegen las células de estos tejidos, de daños potenciales de la radiación ultravioleta (UV) sobre el ácido desoxirribonucleico (ADN) 2. Dentro del globo ocular, el tejido con mayor abundancia de melanocitos es principalmente la túnica uveal, la cual se compone de iris, cuerpo ciliar y coroides.
Estudios recientes para determinar la prevalencia de neoplasias en gatos domésticos, identificaron al melanoma como uno de los tumores menos usuales, representando solamente el 0,7% para 140 casos de gatos con algún tipo de neoplasia 19. Sin embargo, dentro de las neoplasias felinas oculares, el melanoma se identificó como una de las más frecuentes, acompañado del sarcoma y epitelioma ciliar 18.
El melanoma uveal felino aparece como una pigmentación progresiva del iris, por lo general es unilateral y su tiempo de evolución puede ir de meses a años 13, no se ha identificado predisposición racial y se puede presentar en gatos de cualquier edad, con una edad promedio de presentación de 11 años 10,13. Esta neoplasia se origina en la cara anterior del iris y, a medida que prolifera, altera la arquitectura más interna del mismo.
Pueden presentarse cambios en el área y motilidad pupilar principalmente debido al engrosamiento iridal. En algunos casos puede desencadenarse glaucoma secundario debido a infiltración celular del ángulo iridocorneal alterando el drenaje del humor acuoso, indicando que la condición es avanzada 5,23.
La metástasis se ha reportado incluso de 1 a 3 años después de la enucleación, principalmente en pulmones e hígado, pero también puede afectar otros órganos18. Las tasas de metástasis son muy variables pueden ser de hasta 63%, pero generalmente es descifrada posmortem. Algunos estudios intentaron demostrar asociación entre el melanoma iridal difuso y la presentación de retrovirus (leucemia y sida felino), pero concluyeron que no existía tal 7.
Los principales indicadores de malignidad histopatológica son la tasa mitótica elevada, el compromiso iridal de espesor completo y la presencia de células tumorales en plexos venosos esclerales 9.
Representa una discusión histórica la decisión de realizar enucleación como medida terapéutica, pues en muchos casos el ojo puede continuar funcional, y cambios pigmentarios leves iridales pueden transformarse en procesos cancerígenos que al infiltrar plexos venosos esclerales y ángulo iridocorneal pueden generar metástasis a diferentes órganos 14,16.
La decisión de enuclear, como en el presente caso, se justifica en base a cambios sugerentes de malignidad como incremento agresivo de área y volumen de regiones pigmentadas, compromiso del ángulo iridocorneal a la gonioscopia, cambios en la motilidad y forma pupilar y aumento de presión intraocular comparada con el ojo contralateral 17,20,21.
Se ha probado el uso de laser diodo para pequeñas manchas pigmentarias iridales en gatos, pero su capacidad de detener la progresión de la enfermedad aún no se ha esclarecido 12.
Debe realizarse diagnóstico diferencial con otro tipo de lesiones como quistes uveales pigmentados, nevus iridal y melanocitoma iridal. Los primeros son redondos u ovalados y contienen humor acuoso, lo que permite detectarlos mediante transiluminación o ultrasonografía. Los nevus iridales son comunes en todas las especies y pueden diferenciarse debido a su aspecto plano y comportamiento estático. Finalmente, los melanocitomas son una variante progresiva en área del nevus iridal, de carácter benigno, congénito y se desarrollan generalmente (al igual que los melanomas) en iris, cuerpo ciliar o coroides 12.
Los melanocitomas se componen histológicamente por células redondas u ovaladas, de pigmentación intensa y con núcleos pequeños y uniformes, además están caracterizadas clínicamente por un color entre la gama del marrón oscuro y el negro11.
El aumento en la pigmentación del iris, esclerótica o limbo esclerocorneal en pacientes felinos, hace necesario realizar un examen y seguimiento oftalmológico especializado. El diagnóstico para melanoma uveal debe confirmarse mediante histopatología, mediante biopsia incisional, la cual representa una técnica quirúrgica de elevada complejidad o tras enucleación temprana del globo ocular afectado cuando existen indicadores de malignidad 22.
Los indicadores de pronóstico que pueden sugerir malignidad en procesos de pigmentación del iris son principalmente pigmentación veloz, engrosamiento iridal, incremento de la presión intraocular frente al ojo contralateral, alteración de tamaño o motilidad pupilar, pigmento en humor acuoso y pigmento en ángulo iridocorneal; estos se evalúan en la monitorización rigurosa como medida que posibilite un diagnóstico más aproximado 23.
Dejando de lado la capacidad visual, que en la mayoría de los pacientes se conserva, se debe destacar la importancia de la comunicación con el propietario, pues en gran cantidad de casos la decisión a tomar es la enucleación de un ojo aun visual, pero que puede representar un riesgo vital para el paciente.
Un felino doméstico de pelo corto, hembra de 8 años de edad, fue llevado al Centro de Especialistas Mascotas en Manizales, Outdoor; su plan vacunal y de desparasitación no se encontraban vigentes, fue remitida para evaluación oftalmológica debido a enfermedad en ojo izquierdo de dos meses de evolución, cambio de coloración del iris y blefarospasmo ocasional, le realizaron en otro centro veterinario, test rápido de sida y leucemia felinos (Bionote, República de Corea) cuyo resultado fue negativo.
A excepción de la valoración oftalmológica, todos los sistemas evaluados en la paciente se encontraron normales.
En el examen oftalmológico se evidenció en el ojo izquierdo una marcada pigmentación marrón iridal con presencia de un aumento de volumen hacia lateral, el cual en su región más anterior tenía una porción traslucida sugiriendo la presencia asociada de un quiste (Figuras 1 y 2), se encontró además la presencia de un aparente coágulo de fibrina adherido a la cápsula anterior del cristalino, no presentaba blefarospasmo ni lesiones corneales a la fluoresceína y rosa de bengala, la producción de lágrimas estaba dentro de valores normales al test de Schirmer (Merk Animal Healt, Summit, USA), presión intraocular (PIO) de 28 mmHg, a la gonioscopia se encontró moderado estrechamiento angular en región lateral iridal, los reflejos y respuestas neuro oftálmicas estaban sin alteraciones en ambos ojos, la fundoscopia para ambos ojos se encontró normal, no había presencia de tejido pigmentario que involucrara el limbo esclerocorneal, el ojo contralateral no presento anormalidad en ninguno de sus segmentos, presentaba iris de color amarillo intenso (Figura 3) y PIO de 22mmHg.


Se sospechó entonces melanoma iridal difuso debido a factores pronósticos desfavorables como progresión veloz, aumento marcado de volumen iridal, proceso inflamatorio asociado y aumento de PIO en relación al ojo contralateral.
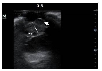
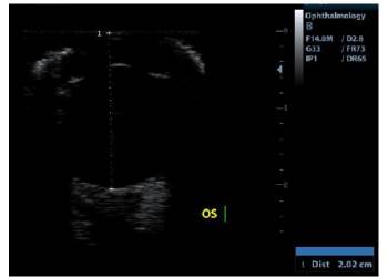
Se realizó ecografía ocular con transductor lineal de 14 MHz para evaluar extensión de la lesión, se apreció engrosamiento iridal severo en región ventrolateral del mismo con presencia de una masa adherida (no medida) con una porción hipoecoica hacia anterior y dos porciones anecoicas hacia posterior de la lesión (Figura 4), la ecogenicidad de la cámara anterior, cámara posterior y cámara vítrea se encontró conservada, la posición y ecogenicidad del lente se encontraron adecuadas, la túnica posterior estaba posicionada adecuadamente (Figura 5).


Adicionalmente, se tomaron radiografías ventrodorsal y lateral de tórax con el fin de descartar focos metastásicos. En la misma se apreciaron los campos pulmonares con la radiopacidad esperada, sin evidencia de lesiones focales o difusas, la silueta cardiaca, tráquea y demás estructuras mediastínicas se encontraron con características normales y no se observaron alteraciones óseas (Figura 6).

Las radiografías torácicas para búsqueda de metástasis deben ser repetidas en intervalos determinados debido a que las lesiones neoplásicas metastásicas inferiores a 8 mm pueden pasar inadvertidas.
Bajo consentimiento informado firmado por el propietario, se tomó la decisión de realizar enucleación del ojo afectado, debido a sus marcadores clínicos de malignidad (progresión veloz, aumento de volumen iridal, proceso inflamatorio asociado y aumento de PIO en relación al ojo contralateral), se realizaron exámenes preanestésicos básicos para paciente categoría ASA II, perfil sanguíneo, renal y hepático básicos. Se realizó hemoleucograma, creatinina, urea, alaninotransferasa (ALT), fosfatasa alcalina (FA) y uroanálisis, los resultados para todos los exámenes arrojaron dentro de rangos normales.
La técnica quirúrgica consistió en realizar una cantotomía lateral de 1 cm e incisión de 360 grados en conjuntiva bulbar perilimbal, debridando conjuntiva y cápsula de Tenon y disecando músculos extraoculares. Se retiraron la membrana nictitante y los bordes palpebrales superior e inferior, posteriormente se ligó y cortó el paquete vasculonervioso caudal al globo ocular. Se cerró la conjuntiva, tabique orbital y la cápsula de Tenon con patrón simple continuo con sutura absorbible de 4-0. Posteriormente se cerró piel con sutura subdérmica. Se envió fórmula médica con collar isabelino, compresas con hielo, meloxicam durante 4 días a dosis de 0,1 mg/kg cada 24 horas y cefalexina durante 7 días a dosis de 15 mg/kg cada 8 horas.
Se envió el globo ocular en formol al 10% para realizar estudio histopatológico en Corpavet, Bogotá y se realizó un control pasados cinco y quince días del procedimiento. Se evidenció evolución favorable.
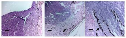
Cortes histopatológicos (Figura 7). Proliferación neoplásica neuroectodérmica, crecimiento infiltrativo organización difusa, en nidos y cordones cortos; células de citoplasma eosinofílico, algunas escasas con gránulos de melanina, pleomorfismo celular leve, anisocitosis moderada; núcleo de cromatina gruesa, pleomorfismo nuclear, cariomegalia moderada y anisocariosis moderados; conteo de 17 figuras mitóticas en 2.37 mm2 (10/hpf), invasión de vasos sanguíneos intratumorales, moderada necrosis e infiltrado mixto multifocal, moderada congestión y edema multifocal.

No se ha logrado determinar con acierto el porcentaje de presentación de metástasis de la enfermedad en gatos, algunos autores han mencionado 62,5% 16, otros han indicado que tiene un porcentaje más bajo 15, han estimado una presentación del 20%12, y otros autores han reportado rangos entre 24% y 63% 23.
Debido a que el progreso de la enfermedad puede ser lento, ha existido mucha discusión al respecto de la enucleación como medida terapéutica, debido a que se trata en muchos casos de un ojo funcional y que adicionalmente el porcentaje de metástasis no está bien definido, retirarlo o preservarlo dependerá estrictamente del clínico según los marcadores de malignidad previamente mencionados y lo signos que puedan sugerir riesgo de la vida para el paciente 15.
Algunos autores optan por realizar biopsia incisional iridal para la confirmación del diagnóstico, sin embargo, se trata de una técnica discutida por su alta complejidad y efectos secundarios presentados, principalmente uveitis y hemorragias uveales que puedes desencadenar sinequias, glaucoma, entre otros, razón por la cual, puede decidirse realizar biopsia excisional posterior a enucleación si la decisión clínica lo sugiere 12.
Para determinar la extensión de la masa y el compromiso de las estructuras intrao-culares la ecografía ocular es usada como herramienta diagnóstica 8. Sin embargo, este examen no define el potencial de malignidad de la neoplasia, como se mencionó, algunos autores siguieren la enucleación temprana, si posterior a un seguimiento oftalmológico existen marcadores de malignidad previamente mencionados 22.
Si bien el melanoma es una neoplasia poco común en felinos, no solo puede llegar a generar glaucoma o uveítis, sino además presentar metástasis en hígado, pulmón, bazo, ganglios linfáticos y hueso. En procesos de pigmentación del iris existen indicadores de pronóstico que pueden sugerir malignidad los cuales deben ser monitoreados rigurosamente para facilitar un diagnóstico adecuado. Se recomienda realizar una enucleación temprana de los globos oculares afectados si existen marcadores de malignidad tras realizar evaluación y seguimiento oftalmológico especializado, el diagnóstico del melanoma uveal se debe confirmar mediante histopatología.





