Pericarditis constrictiva por tuberculosis, una condición de difícil diagnóstico
Pericarditis constrictiva por tuberculosis, una condición de difícil diagnóstico
INSUFICIENCIA CARDIACA, vol. 13, núm. 2, pp. 97-100, 2018
Federación Argentina de Cardiología
Recepción: 17 Julio 2017
Aprobación: 12 Febrero 2018
Resumen: La pericarditis constrictiva (PC) es una condición clínica caracterizada por la presencia de inflamación del tejido pericárdico, culminando en constricción cardíaca. La tuberculosis puede afectar al pericardio y llevarlo a una condición clínica conocida como pericarditis tuberculosa (PT). Se relata el caso de un paciente joven, internado con síntomas de insuficiencia cardíaca y cuadro de PC en que el diagnóstico etiológico de PT fue confirmado por exclusión y respuesta a la terapéutica.
Palabras clave: Tuberculosis, Pericarditis constrictiva, Insuficiencia cardíaca.
Introducción
La tuberculosis (TB) es una enfermedad infecciosa caracterizada por la presencia de inflamación granulomatosa con necrosis, con localización predominantemente en el tejido pulmonar1. Brasil forma parte del grupo de 22 países responsables del 90% de los casos de TB en el mundo y, a pesar de la reducción de la incidencia de la enfermedad en el país, sigue constituyendo una importante causa de mortalidad, con 52.199 muertes registradas entre los años 2003 y 20132,3.
La pericarditis constrictiva (PC), descrita por Lower en 1669, es una condición clínica caracterizada por la presencia de inflamación del tejido pericárdico, culminando en una constricción cardíaca. La TB puede afectar al pericardio y llevarlo a una condición clínica conocida como pericarditis tuberculosa (PT)4, que en su presentación típica se da en forma de PC.
La PT afecta entre el 1% y el 4% de los pacientes diagnosticados con TB, representa el 10% de todos los casos de pericarditis y su tasa de mortalidad puede llegar al 90% cuando no se realiza un correcto diagnóstico y tratamiento5,6. El cuadro clínico de la PT es variado y puede incluir: fiebre, disnea, dolor torácico, palpitaciones, ganancia o pérdida de peso, pulso paradójico, turgencia yugular, signo de Kussmaul y fricción pericárdica7.
El diagnóstico de la PT se realiza mediante la identificación del bacilo de Koch (BK) en el líquido pericárdico o en su tejido. La pericardiocentesis se debe realizar en todos los pacientes con sospechas de PT. La biopsia pericárdica realizada en conjunto lleva al diagnóstico más precoz, si se compara con la realización de pericardiocentesis aislada6. Debido a la alta tasa de mortalidad, asociada a la ausencia de tratamiento y a la demora de las pruebas diagnósticas tradicionales, los indicios de afectación pericárdica como marcadores de inflamación en el líquido pericárdico, asociados a la sospechosa de pericarditis de etiología tuberculosa deben conducir precozmente al inicio del tratamiento8.
Se comenta el caso de un paciente joven, internado con signos y síntomas de insuficiencia cardíaca y cuadro de PC, en el cual el diagnóstico etiológico de PT fue confirmado por exclusión y respuesta a la terapéutica.
Caso clínico
Se trata de un paciente masculino de 34 años, que acudió a la consulta médica por edemas de miembros inferiores y disnea. Refiere que la sintomatología había comenzado hace seis meses, con astenia, disnea a pequeños esfuerzos, disnea paroxística nocturna y edemas de miembros inferiores indoloro, simétrico y ascendente. También mencionó pérdida de peso de 10 kilos en seis meses y fiebre diaria vespertina con escalofríos. Negó historia de enfermedad cardiovascular previa y de TP.
En el examen físico se encontraba con facies anémica (+/4+), anictérico, acianótico, adelgazado, con turgencia yugular patológica, signo de Kussmaul, adenopatía en trígono cervical anterior y supraclavicular izquierda, soplo holosistólico (3+/6+) en foco mitral con irradiación para región axilar, derrame pleural bilateral, con macizo en bases y murmullo vesicular abolido en las mitades inferiores. El abdomen se presentaba ascítico, distendido, hipertimpánico, doloroso a la palpación, especialmente en hipocondrio derecho, con labios hepáticos palpables a 5 cm del borde lateral derecho y espacio de Traube ocupado. Edema de miembros inferiores (3+/6+), simétrico, indoloro, frío y ascendente.
El electrocardiograma mostraba taquicardia sinusal con crecimiento de aurícula y ventrículo derechos (Figura 1).



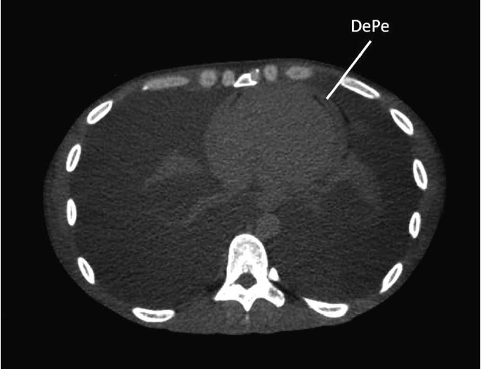
El ecocardiograma reveló insuficiencia mitral grave y pericardio engrosado con reducción del deslizamiento entre sus hojas, con variación respiratoria superior al 25% del flujo mitral, lo que indicó restricción. La tomografía computada mostró derrame pericárdico (Figura 2). A pesar del PPD negativo, la principal sospecha diagnóstica fue una PC causada por TB y, de esta forma, se inició un esquema con rifampicina, isoniazida, pirazinamida y etambutol (RIPE). Este esquema fue suspendido al séptimo día debido a la aparición de ictericia. La búsqueda de BAAR (bacilos acidorresistentes) y el cultivo para el BK en el líquido pleural fueron negativos. Se discutió la posibilidad de la realización de una pericardiectomía, debido al patrón restrictivo, pero no fue realizada, pues hubo un empeoramiento importante del cuadro clínico, con el agravamiento del derrame pleural bilateral según lo demostrado por la resonancia magnética nuclear (Figura 3). Se decidió entonces por el reinicio escalonado del esquema RIPE y mantenimiento de la terapia con corticoides. El paciente no presentó efectos adversos y evolucionó con una mejora progresiva del cuadro clínico. Los signos de restricción desaparecieron en los exámenes ecocardiográficos seriados después de la introducción del esquema RIPE y corticoterapia. Recibió alta hospitalaria después de cuatro meses de internación.
Figura 2. Tomografia computada de tórax mostrando el derrame pericárdico (DePe).
Figura 3. Resonancia magnética nuclear de tórax que muestra el derrame pleural bilateral (DePl) y el derrame pericárdico (DePe).
El resultado de la biopsia pleural reveló exuberante tejido de granulación, rico en hemosiderina, al lado de tejido conjuntivo fibroso y muscular, sin signos de malignidad en las muestras.
Discusión
En el caso presentado, la PPD no fue reactiva, los exámenes de investigación de BAAR y cultivo del líquido pleural para BK también fueron negativos, y la biopsia pleural inespecífica. La pericardiectomía no pudo realizarse por el empeoramiento importante del cuadro al ingreso. Basado en la alta probabilidad por las características clínicas y epidemiológicas se inició el esquema RIPE. El diagnóstico presuntivo fue corroborado por la respuesta terapéutica satisfactoria. A pesar de que las calcificaciones pericárdicas son consideradas una señal importante de PC, cerca del 75% de los pacientes no presentan calcificaciones según el estudio realizado por la Mayo Clinic9,10 que evaluó 135 pacientes con PC entre 1985 y 1995. Estas calcificaciones pueden indicar una mayor probabilidad de incertidumbre acerca de la causa de la PC, así como un período más largo de desarrollo de la pericarditis y también una mayor probabilidad de muerte durante la pericardiectomía. En este paciente, a pesar del carácter crónico de su pericarditis, la ausencia de calcificaciones pericárdicas lo encuadra dentro de la estadística del 75% de los casos de PC sin presencia de depósitos de calcio9.
Conclusión
En pacientes con cuadro de pericarditis en que las características clínicas y epidemiológicas aumentan la sospecha de pericarditis por tuberculosis, el tratamiento por el esquema RIPE asociado a corticoides debe ser realizado aunque los exámenes no comprueben la presencia del agente etiológico.
Pericarditis constrictiva por tuberculosis, una condición de difícil diagnóstico
1. Dheda K, Barry CE, Maartens G. Tuberculosis. Lancet 2016;387:1211-26.
2. Conde MB, Melo FAF, Marques AMC, Cardoso NC, Pinheiro VGF, Dalcin PTR, et al. III Diretrizes para Tuberculose da Sociedade Brasileira de Pneumologia e Tisiologia. J Bras Pneumol 2009;35:1018-48.
3. Brasil. Ministério da Saúde. Secretaria Executiva. Datasus [acesso em jun. 2016]. Informações de Saúde. Estatísticas vitais. Disponível em: http://tabnet.datasus.gov.br/cgi/deftohtm. exe?sim/cnv/obt10uf.def
4. Tse G, Ali A, Alpendurada F, Prasad S, Raphael CE, Vassiliou V. Tuberculous constrictive pericarditis. Res Cardiovasc Med 2015;4:e29614.
5. Echeverri D, Matta L. Tuberculous pericarditis. Biomédica 2014;34:528-34.
6. Schepers GWH. Tuberculous pericarditis. Am J Cardiol 1962;9:248-76.
7. Long R, Younes M, Patton N, Hershfield E. Tuberculous pericarditis: long-term outcome in patients who received medical therapy alone. Am Heart J 1989;117:1133-9.
8. Mayosi BM, Burgess LJ, Doubell AF. Tuberculous pericarditis. Circulation 2005;112:3608-16.
9. Ling LH, Oh JK, Breen JF, Schaff HV, Danielson GK, Mahoney DW, et al. Calcific constrictive pericarditis: is it still with us? Ann Intern Med 2000;132:444-50.
10. Desai HN. Tuberculous pericarditis. A review of 100 cases. S Afr Med J 1979; 55:877-80.