CASO CLINICO
Muerte súbita cardíaca asociada a puente miocárdico
Sudden cardiac death associated with myocardial bridge
Morte cardíaca súbita associada à ponte miocárdica
Muerte súbita cardíaca asociada a puente miocárdico
INSUFICIENCIA CARDIACA, vol. 14, núm. 4, pp. 158-161, 2019
Federación Argentina de Cardiología

Recepción: 24 Abril 2019
Aprobación: 20 Julio 2019
Resumen:
La muerte súbita cardíaca en deportistas genera un gran impacto social y familiar, afortunadamente su incidencia es baja. En atletas menores de 35 años las causas más frecuentes son las anomalías genéticas y las miocardiopatías. Presentamos el caso de un paciente masculino de 17 años que presentó muerte súbita reanimada mientras realizaba actividad física. El electrocardiograma post animación evidenció una injuria subepicárdica en cara anterior, encontrándose en la cinecoronariografía como único hallazgo, la existencia de un puente muscular en tercio medio de la arteria descendente anterior.
Palabras clave: Muerte súbita, Deportista, Puente miocárdico, Isquemia miocárdica.
Abstract: Cardiac arrest in athletes has a high impact in family and society, fortunately its incidence is low. In athletes younger than 35 years old the most frequent causes are genetic anomalies and cardiomyopathies. We report the case of a 17 years old male patient who presented cardiac arrest and reanimation while doing physical activity. The post-reanimation electrocardiogram showed a subepicardial injury in the anterior face, detecting in cinecoronariography as only finding the presence of myocardial bridging in the middle third of anterior descending artery.
Keywords: Cardiac arrest, Athlete, Myocardial bridging, Myocardial ischemia.
Resumo: A parada cardíaca em atletas tem um alto impacto na família e na sociedade, felizmente sua incidência é baixa. Em atletas menores de 35 anos as causas mais freqüentes são anomalias genéticas e cardiomiopatías. Relatamos o caso de um paciente do sexo masculino de 17 anos de idade que apresentou parada cardíaca e reanimação durante atividade física. O eletrocardiograma pós-reanimação mostrou lesão subepicárdica na face anterior, detectar na cinecoronariografia como apenas encontrar a presença de ponte miocárdica no terço médio da artéria descendente anterior.
Palavras-chave: Parada cardíaca, Atleta, Ponte miocárdica, Isquemia miocárdica.
Introducción
La muerte súbita cardíaca (MSC) de una persona joven y aparentemente sana es un hecho que produce un gran impacto social y familiar, sobre todo si tiene lugar durante la práctica deportiva1. Afortunadamente, la incidencia en esta población es baja. Son pocos los registros con autopsia publicados de MSC en deportistas durante la práctica o después de ella. En Argentina no existen registros de MSC en atletas. Los datos publicados provienen de Europa y EEUU. Entre los 25 millones de deportistas que existen en los EEUU, se estima que ocurre uno a cinco casos de MSC por millón por año. La incidencia estimada de MSC es de 1/200.000/año en deportistas jóvenes y de 1/18.000/año en el grupo mayor de 35 años2.
Se define MSC como la muerte natural de causa cardiovascular, que se produce en forma inesperada, con un corto intervalo desde el inicio de los síntomas, habitualmente menor de una hora o que acontece durante el sueño3; siendo la causa más probable en atletas mayores de 35 años, la enfermedad coronaria, y en aquellos menores de 35 años, las anomalías genéticas y las patologías cardiovasculares adquiridas, particularmente las miocardiopatías4.
Caso clínico
Paciente masculino de 17 años sin factores de riesgo cardiovascular ni antecedentes familiares de relevancia, presentó paro cardiorrespiratorio mientras se encontraba realizando actividad física (jugando al futbol), se comienza con reanimación cardiopulmonar en el lugar, trasladándose a una institución médica, donde se constató un ritmo de fibrilación ventricular requiriendo cardioversión eléctrica que restauró el ritmo sinusal, quedando en asistencia mecánica respiratoria. El electrocardiograma post cardioversión (Figura1) evidenció una injuria subepicárdica en cara anterolateral, realizándose cinecoronariografía, donde no se observaron lesiones ateromatosas en arterias epicárdicas, y como hallazgo se evidenció la existencia de un puente muscular en tercio medio de arteria descendente anterior con colapso sistólico (Figura 2). El ultrasonido intracoronario y la medición de la reserva fraccional de flujo no evidenciaron disminución del flujo coronario en la región de puente miocárdico.

El estudio ecocardiográfico mostró deterioro moderado de la fracción de eyección (40%) con hipoquinesia del casquete apical.
El paciente evolucionó favorablemente, lográndose la extubación orotraqueal a las 72 horas del ingreso.
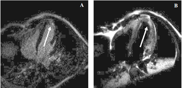
Se solicitó una resonancia magnética cardíaca (RMC), observándose edema y fibrosis miocárdica regional en segmentos ántero y látero apicales compatibles con necrosis miocárdica reciente (Figura 3).
Se realiza un eco-estrés de ejercicio, alcanzando un índice tensión tiempo de 26.250, sin evidencia de isquemia miocárdica.
Se decidió estudiar la reproducibilidad de arritmia ventricular con un estudio electrofisiológico, arrojando resultado negativo.
Ante la duda diagnóstica sobre la causa responsable de la MSC, entendiéndose que la falta de reproducibilidad de isquemia en territorio de puente miocárdico no nos permite una certeza absoluta, se decide la colocación de un cardiodesfibrilador implantable (CDI). A dos años de seguimiento el paciente se encuentra libre de eventos.
Discusión
La prevención de la MSC representa un gran desafío para la comunidad médica en general y hace que pese una gran responsabilidad sobre los especialistas en la materia. La población de pacientes que ha sufrido una MSC reanimada de causa no corregible se constituye en un grupo llamado de riesgo alto por la elevada probabilidad de recurrencia de un nuevo episodio1.
Dado que la perfusión miocárdica ocurre en diástole primariamente, debido a que la contracción transitoria en sístole impide el flujo coronario, especialmente en el subendocardio, la presencia aislada de un puente miocárdico no explica por sí misma la existencia de isquemia miocárdica5, ya que en nuestro caso, la constricción extrínseca del vaso arterial ocurre durante la sístole cardíaca momento en el cual el flujo coronario sólo representa el 15% en condiciones normales6.
Esta entidad puede presentare como síndrome coronario agudo, espasmo coronario, arritmias como taquicardia supraventricular y ventricular inducidos por el ejercicio, aturdimiento miocárdico, disfunción ventricular transitoria, síncope o incluso muerte súbita6. Dada la baja prevalencia de estos hallazgos clínicos, la correlación con los datos de las pruebas diagnósticas para identificar si este amplio espectro de la clínica se relaciona directamente con el puente miocárdico, o indirectamente al vasoespasmo concomitante o ninguno de los anteriores, es extremadamente desafiante7.


La prevención secundaria de MSC se refiere al tratamiento instaurado para evitar o tratar la repetición de nuevos eventos arrítmicos mayores, como son la fibrilación ventricular y la taquicardia ventricular sostenida, arritmias amenazantes para la vida1.
Las guías de práctica clínica actuales sobre la prevención secundaria de MSC no incluyen dentro de sus indicaciones el manejo de pacientes, en los cuales la causa desencadenante de ésta no está del todo aclarada.
Conclusión
En nuestro caso, la presencia de una prueba funcional negativa para la reproducibilidad de isquemia en cara anterior, concordante con el puente miocárdico, nos abre el interrogante de si ésta es la verdadera causa de la MSC. Al no lograr la certeza diagnóstica, no se pudo establecer si el paciente presentaba o no una causa reversible para realizar prevención secundaria. Ante dicha situación y dado que las estadísticas actuales muestran que la supervivencia de la MSC fuera del hospital ronda solamente en un 6%, cifras realmente decepcionantes8, pues luego de un abordaje interdisciplinario en el que participaron diferentes especialistas en la materia se decidió la implantación de CDI.
Referencias bibliográficas
1. Suárez-Mier MP y Aguilera B. Causas de muerte súbita asociada al deporte en España. Rev Esp Cardiol 2002; 55:347-58.
2. Iglesias D. Muerte súbita en deportistas. Evid Act Pract Ambul 2011;14(3):110-113.
3. Retyk EO. Consenso de prevención primaria y secundaria de muerte súbita. Sociedad Argentina de Cardiología - Sociedad Uruguaya de Cardiología (con la colaboración del CONAREC). Rev Argent Cardiol. 2012; 80 (2): 165-84.
4. Semsarian C, Sweeting J, Ackerman MJ . Sudden cardiac death in athletes. Br Med J 2015;350: h1218
5. Laurent G, Cottin Y, Andre F, Pichon E, Piszker G, Gerard C et al. Ponts myocardiques symptomatiques. A propos de 6 cas. Arch Mal Coeur Vaiss 1996; 89: 883-887.
6. Corban MT, Hung OY, Eshtehardi P, Rasoul-Arzrumly E, McDaniel M, Mekonnen G, Timmins LH, Lutz J, Guyton RA, Samady H. Myocardial bridging: contemporary understanding of pathophysiology with implications for diagnostic and therapeutic strategies. J Am Coll Cardiol 2014; 63:2346-55.
7. Tarantini G, Migliore F, Cademartiri F, Fraccaro C, Iliceto S. Left anterior descending artery myocardial bridging: a clinical approach. J Am Coll Cardiol 2016; 68:2887-2899.
8. Al-Khatib SM, Stevenson WG, Ackerman MJ, et al. 2017 AHA/ACC/HRS Guideline for Management of Patients With Ventricular Arrhythmias and the Prevention of Sudden Cardiac Death: a report of the American College of Cardiology/American Heart Association Task Force on Clinical Practice Guidelines and the Heart Rhythm Society. Heart Rhythm 2018;15:e73-e187.
Notas de autor
Calle las Heras 164. Bahía Blanca. Buenos Aires. CP: 8000. República Argentina. Email: marielareisvig@gmail.com.