CASO CLINICO
Taquicardia ventricular como manifestación de sarcoidosis cardíaca Reporte de un caso
Ventricular tachycardia as a manifestation of cardiac sarcoidosis Case report
Taquicardia ventricular como manifestação de sarcoidose cardíaca Relato de Caso
Taquicardia ventricular como manifestación de sarcoidosis cardíaca Reporte de un caso
INSUFICIENCIA CARDIACA, vol. 14, núm. 4, pp. 162-165, 2019
Federación Argentina de Cardiología

Recepción: 08 Mayo 2019
Aprobación: 20 Agosto 2019
Resumen: La sarcoidosis es una enfermedad inflamatoria crónica que posee una amplia variabilidad de presentaciones clínicas. El compromiso cardíaco de esta patología oscila en el orden del 5%, pudiendo variar desde anormalidades en la conducción hasta la falla cardíaca. Existe poco conocimiento sobre los beneficios de su tratamiento y no hay datos que evalúen la reducción de la mortalidad a largo plazo, por lo que genera este tipo de pacientes un gran desafío para el profesional. A continuación presentamos el caso de un masculino de 37 años con taquicardia ventricular como debut cardiológico de una sarcoidosis.
Palabras clave: Insuficiencia cardíaca, Sarcoidosis, Arritmia ventricular.
Abstract:
Sarcoidosis is a chronic inflammatory disease that has a wide variability of clinical presentations. The cardiac compromise of this pathology ranges in the order of 5%, which can vary from conduction abnormalities to heart failure. There is little knowledge about the benefits of its treatment and there are no data to evaluate the reduction of long-term mortality, so this type of patient creates a great challenge for the professional.
Below we present the case of a 37-year-old male with ventricular tachycardia as a cardiological debut of a sarcoidosis.
Keywords: Heart failure, Sarcoidosis, Ventricular arrhythmia.
Resumo: A sarcoidose é uma doença inflamatória crônica que apresenta uma grande variabilidade de apresentações clínicas. O envolvimento cardíaco dessa patologia varia da ordem de 5%, que pode variar de anormalidades de condução a insuficiência cardíaca. Há pouco conhecimento sobre os benefícios de seu tratamento e não existem dados que avaliem a redução da mortalidade a longo prazo, portanto esse tipo de paciente cria um grande desafio para o profissional. A seguir, apresentamos o caso de um homem de 37 anos com taquicardia ventricular como início cardiológico de sarcoidose.
Palavras-chave: Insuficiência cardíaca, Sarcoidose, Arritmia ventricular.
Introducción
La sarcoidosis es una enfermedad inflamatoria crónica que afecta a adultos jóvenes entre 25 y 60 años de edad con ligero predominio en mujeres. Se caracteriza porla acumulación de granulomas no caseificantes en lostejidos, con franca predilección por el parénquima pulmonar olinfático intra torácico(90%)1. El compromiso cardíaco oscila en el orden del 5%, ysus manifestacionesson anormalidades dela conducción, arritmiaventricular y fallacardíaca.
El diagnóstico se basa en un cuadro clínico e imagenológico compatible, así como en signos histopatológicos hallados median te biopsia del tejido afectado.
Presentación
Paciente masculino de 37 años de edad que consultó en la guardia por dolor precordial tipo opresivo asociado a palpitaciones de reciente comienzo en clase funcional III según NYHA (New York Heart Association).
Al examen físico se encontraba taquicárdico e hipotenso. El electrocardiograma de ingreso reveló taquicardia ventricular sostenida que requirió cardioversión eléctrica (Figura 1), evolucionando posteriormente con ritmo sinusal y estabilidad hemodinámica. El paciente refirió copiosos episodios de cuadros respiratorios (neumonías) durante su infancia.


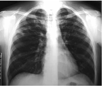
La radiografía de tórax presentaba un patrón intersticial bilateral (Figura 2).
En el ecocardiograma puedo objetivarse una función sistólica moderadamente deprimida con hipoquinesia difusa del ventrículo izquierdo.
Se descartó enfermedad coronaria significativa mediante cineangiocoronariografía.
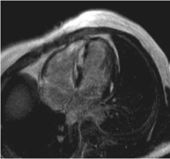
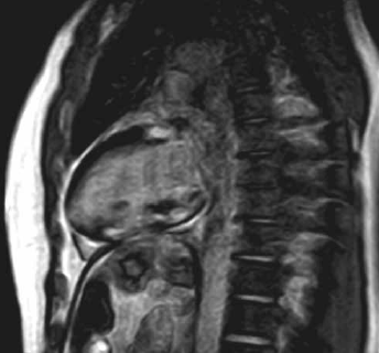
Se solicitó una resonancia magnética nuclear (RMN) cardíaca que mostró hallazgos compatibles con enfermedad infiltrativa, observándose edema miocárdico difuso, que luego del realce tardío con la inyección de gadolinio evidenció áreas de fibrosis focal abarcando segmentos subepicárdicos, intramiocárdicos y suben-docárdico (Figuras 3 y 4).
Mediante el estudio electrofisiológico se indujo una taquicardia ventricular sostenida.
Posteriormente se realizó una tomografía computada multislice de tórax en la que se observaron múltiples imágenes ganglionares mediastinales y retropectorales y nodulillos pulmonares bilaterales a predominio en campos superiores y medios que al confluir formaban conglomerados de aspecto consolidativo (Figura 5). Se confirmó el diagnóstico anatomopatológico de sarcoidosis mediante biopsia ganglionar y endomiocárdica. Se instauró un tratamiento con corticoides endovenosos con un esquema de metilprednisolona 60 mg/día (3 dosis), seguido de 30 mg/día (3 dosis), para continuar con meprednisona 60 mg vía oral con pautas de descenso. Se decidió implantar un cardiodesfibrilador previo al alta médica.

A los 2 meses se solicitó una tomografía por emisión de positrones (PET) que mostró adecuada respuesta morfológica del compromiso ganglionar y pulmonar comparado con los estudios de imágenes previas, sin evidencia de actividad miocárdica.
Discusión
Las manifestaciones clínicas de la sarcoidosis cardíaca dependen de la localización, de la extensión y de la actividad de la enfermedad. Éstas ocurren solamente en el 5% de los casos, mientras que se estima que un 25% de los individuos con diagnóstico confirmado presentan compromiso cardíaco silente2. Su clínica varía desde arritmias ventriculares potencialmente mortales, como en el caso de nuestro paciente que debutó con una taquicardia ventricular, hasta signos de insuficiencia cardíaca congestiva o trastornos de la conducción aurículo-ventricular.3
El método que presenta mayor especificidad para el diagnóstico es la biopsia endomiocárdica. Sin embargo, la sensibilidad de ésta es sólo del 20%. Además, el procedimiento suele ser técnicamente dificultoso dado que la región anteroseptal del ventrículo derecho muy raramente se afecta4. No obstante, en nuestro pacientepudimos obtener un diagnóstico anatomopatológicoconfirmatorio en la muestra.


En la mayoría de los pacientes, la enfermedad remite sin tratamiento en pocos meses. Los síntomas y las anomalías radiológicas desaparecen hasta en dos terceras partes, y sólo una minoría de ellos presenta enfermedad crónica.
Si bien el tratamiento con corticoides no se ha evaluado en grandes estudios prospectivos aleatorizados, existen varias series publicadas que apoyan su empleo como primera línea terapéutica. Éstos están indicados en caso de afección extrapulmonar, y especialmente en la sarcoidosis cardíaca. En una revisión sistemática, se evidenció una mejoría con su utilización en aquellos pacientes que presentaban trastornos de conducción aurículo-ventricular o deterioro severo de la fracción de eyección, no pudiendo demostrarse reducción de la mortalidad a largo plazo5. Pese a esto, en la práctica clínica es habitual el uso de los corticoides para evitar la progresión del daño inflamatorio, siendo la prednisona el glucocorticoide de elección5.
En caso de intolerancia a la corticoterapia o frente a su fracaso, se ha propuesto la asociación de metotrexato en dosis de 10 mg por semana, siendo considerada una droga de segunda elección por sus efectos secundarios. En nuestro paciente, se administró como conducta inicial pulsos de metilprednisolona en dosis reducidas, seguido de una dosis de mantenimiento vía oral con prednisona, luego de interconsultar a expertos en esta patología. Con este esquema logramos una excelente respuesta terapéutica, ya que a los 60 días de tratamiento la actividad miocárdica había desaparecido y la del parénquima pulmonar se había reducido significativamente.
A pesar de los avances en el conocimiento de la fisiopatología de la sarcoidosis y de la frecuente utilización de los antiinflamatorios esteroideos y los inmuno moduladores, surge la necesidad de esperar grandes estudios clínicos aleatorizados que demuestren un beneficio neto, tanto a mediano como a largo plazo, ya que los resultados publicados sobre la reducción de la mortalidad son limitados. Por este motivo, nos vemos forzados a su uso rutinario basándonos solamente en recomendaciones de expertos y consensos, sin una evidencia sustentable que avale nuestras decisiones terapéuticas.
Referencias bibliográficas
1. Amaral M. Sarcoidosis pulmonar: actualización y reporte de casos. Rev Urug Med Int 2016; 3: 118-131.
2. Birnie DH, Nery PB, Ha AC, Beanlands RSB. Cardiac sarcoidosis. J Am Coll Cardiol 2016; 68: 411-421.
3. Altamar J, Tapia C, Rodríguez D, Sáenz L. Arritmias ventriculares como manifestación de sarcoidosis cardíaca primaria. Rev Colomb Cardiol 2017;24(5):511.e1-e4.
4. Uemura A, Morimoto S, Hiramitsu S, Kato Y, Ito T, Hishida H. Histologic diagnostic rate of cardiac sarcoidosis: evaluation of endomyocardial biopsies. Am Heart J 1999; 138:299-302.
5. Sadek MM, Yung D, Birnie DH, Beanlands RS, Nery PB. Corticosteroid Therapy for Cardiac Sarcoidosis: A Systematic Review. Can J Cardiol 2013; 29: 1030-1041.
Notas de autor
Estomba 143, piso 9 “H”. Bahía Blanca (CP 8000). Provincia de Buenos Aires. República Argentina. Email: f.garmendia@hotmail.com Cel: 291-5076252
Información adicional
Recursos financieros: Los autores no recibieron ningún apoyo económico para la investigación.
Conflicto de intereses: Los autores declararon no tener conflicto de intereses.