IntroduccIón
La prevención del cáncer de cuello uterino ha evolucionado muy rápidamente en los últimos años; ahora se tiene un mejor entendimiento de la historia natural de la infección con los virus de papiloma humano oncogénicos, se conoce más acerca de la génesis de las lesiones pre-cancerosas y su posterior evolución a cáncer invasor( 1 ). Como consecuencia de este mejor entendimiento de la historia natural de la enfermedad, se ha visto también una evolución en las recomendaciones para la detección( 2 ) y manejo de las lesiones precursoras del cáncer de cuello uterino( 3 ).
En este número estamos presentando el primer caso para discusión, el cual debe estar seguido por otros casos compartidos por el autor, o casos que se reciban de los colegas lectores de esta revista.
CASO CLÍNICO
Mujer de 31 años, G: O, P: 1001; número de parejas sexuales, dos. Acude a consulta para despistaje de cáncer de cuello uterino. Refiere tener flujo vaginal escaso, de color blanco amarillento, sin mal olor. Al examen ginecológico se encuentra leucorrea blanco amarillenta, cuello uterino de aspecto normal sin cambios inflamatorios. Los resultados de los exámenes de solicitados son:
Prueba de VPH: positiva.
Serotipificación: positivo para VPH-16; negativo para los otros serotipos
Citología cervical: negativa
¿Cuál sería su manejo estimado lector?
DISCUSIÓN
A la evaluación con los resultados se decide referir a la paciente para colposcopia. Esta decisión está basada en el algoritmo de la American Society for Colposcopia and Clinical Pathology (ASCCP) mostrado en la figura 1.
Como se puede apreciar en el algoritmo, si estamos ante el caso de una mujer mayor de 30 años en la que la citología es normal, pero la prueba de VPH es positiva, tenemos dos opciones:
· Si NO es posible hacer serotipificación para determinar la presencia de los virus VPH 16 y 18, el resultado negativo de la citología permite tener una conducta expectante y repetir la prueba de VPH y citología en un año.
· Pero si se cuenta con la capacidad de realizar serotipificación, entonces se procede a determinar la presencia de los virus 16 y 18. Es importante resaltar que estos son los dos únicos serotipos de VPH que ameritan ser tipificados debido a su relevancia clínica.
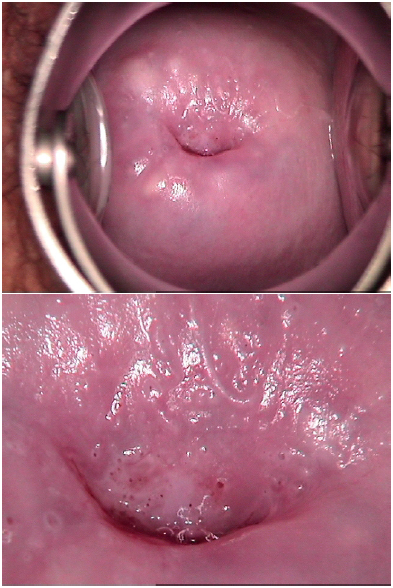
En el caso de nuestra paciente, los resultados de la serotipificación fueron VPH 16 positivo y VPH 18 negativo. De acuerdo a las recomendaciones de la ASCCP (figura 1), por tener más de 30 años y ser portadora de infección por VPH 16 debe ser referida a colposcopia, así la citología sea normal; esto debido a que este serotipo es el que se asocia con un riesgo mayor de persistencia de infección y progresión a lesiones intraepiteliales de alto grado. El reporte de colposcopia fue realizado usando la nomenclatura de la International Federation of Cervical Pathology and Colposcopy (IFCPC) del 2011. El estudio colposcópico fue adecuado, con la zona de transformación parcialmente visible. Se encontró una lesión acetoblanca tenue en el labio anterior, entre radios 11 y 12 (figura 2), de bordes poco definidos; es posible ver el limite interno de la lesión usando un especulo endocervical. No se aprecian vasos atípicos, tampoco mosaico. El reporte de colposcopia fue reportado como “Hallazgos colposcópicos anormales menores (Grado 1)”. La biopsia de esa lesión fue informada como “Displasia Leve”.

El médico tratante decidió aconsejar manejo expectante y nuevo control en un año. Aunque el diagnostico histológico de displasia leve puede hacer pensar a algunos colegas en la necesidad de realizar un tratamiento ablativo (crioterapia) o excisional

(LEEP), la recomendación del médico tratante está de acuerdo con lo aconsejado por la ASCCP. Como se puede apreciar en el algoritmo de la figura 3, si la paciente tiene un diagnóstico histológico de Neoplasia Intraepitelial Cervical Grado 1 (NIC1), y los exámenes previos fueron VPH positivo y/o citología con cambios menores o normal, el riesgo de la paciente de ser portadora de una lesión de alto grado es mínima. Además el riesgo de que la paciente progrese a lesión de alto grado en los siguientes meses también es muy bajo, por lo que el seguimiento en 12 meses es lo recomendable. Hay que recordar además que actualmente se considera que las lesiones de bajo grado solo son la expresión de una infección con VPH, y no son necesariamente lesiones pre-neoplásicas verdaderas.

"Anormalidades de menor importancia" incluyen citologia ASC-US o LSIL, VPH 16+ o 18+, y VPH persistente.
∞ + El manejo varia si la mujer está embarazada o edad entre 21 a 24; citología si edad <30 años, cotesting si edad ≥30 años
† Métodos ablativos o escisionales son igualmente aceptables. La escisión es preferente si la colposcopia no es satisfactoria, el legrado endocervical es positivo, o en casos de antecedente de tratamiento previo.
REFERENCIAS BIBLIOGRÁFICAS
1. Schiffman M, Castle PE, Jeronimo J, Rodiguez AC, Wacholder W. Human papillomavirus and cervical cancer. Lancet. 2007 Sep 8;370(9590):890-907.
2. WHO guidelines: use of cryotherapy for cervical intraepithelial neoplasia. World Health Organization; Geneva, Switzerland; 2011.
3. Massad LS, Einstein MH, Huh WK, Katki HA, Kinney WK, Schiffman M, Solomon D, Wentzensen N, Lawson HW, for the 2012 ASCCP Consensus Guidelines Conference. 2012 Updated Consensus Guidelines for the Management of Abnormal Cervical Cancer Screening Tests and Cancer Precursors. J Low Genit Tract Dis. 2013 Apr;17(5 Suppl 1):S1-S27. doi: 10.1097/ LGT.0b013e318287d329.
Notas de autor
Senior Advisor for Women’s Cancers, PATH, Seattle, USA
Miembro del Board of Directors, International Papilloma Virus Society (IPVS)