VALORACIÓN ECOGRÁFICA FETAL EN DISPLASIA ESQUELÉTICA, A PROPÓSITO DE UN CASO DE DISPLASIA TANATOFÓRICA
FETAL ULTRASOUND EVALUATION OF SKELETAL DYSPLASIA, APROPOS OF A CASE OF THANATOPHORIC DYSPLASIA
VALORACIÓN ECOGRÁFICA FETAL EN DISPLASIA ESQUELÉTICA, A PROPÓSITO DE UN CASO DE DISPLASIA TANATOFÓRICA
Revista Peruana de Ginecología y Obstetricia, vol. 62, núm. 2, 2016
Sociedad Peruana de Obstetricia y Ginecología
Recepción: 11 Febrero 2016
Aprobación: 17 Marzo 2016
Resumen: Se presenta el caso de una gestante de 30 semanas con feto afectado por displasia tanatofórica (TD) tipo I, quien fue remitida a la Unidad de Medicina Materno Fetal, Hospital Nacional Daniel Alcides Carrión, Callao, Perú, por sospecha de displasia esquelética. En la ultrasonografía se encontraron signos característicos de TD, con marcadores asociados con alto riesgo de letalidad. A propósito del caso sugerimos algunas recomendaciones para la evaluación ultrasonográfica ante la sospecha de casos de displasia esquelética, como una estrategia de acercamiento al diagnóstico.
Palabras clave: Displasia Tanatofórica, Displasia Esquelética, Ultrasonografía Prenatal.
Abstract: The case of a 30 weeks pregnant woman and her fetus affected by thanatophoric dysplasia (TD) type I, referred to our Maternal Fetal Medicine Unit, Hospital Nacional Daniel Alcides Carrión, Callao, Perú, due to suspicion of skeletal dysplasia is reported. On the ultrasound, characteristic signs of TD and markers related to high risk of lethality were found. Recommendations are suggested for ultrasound evaluation of suspected cases of skeletal dysplasia, as a differentiated approach to diagnosis.
Keywords: Thanatophoric Dysplasia, Skeletal Dysplasia, Ultrasound, Prenatal.
INTRODUCCIÓN
Las displasias esqueléticas (DE) constituyen un conjunto de enfermedades muy diversas y de difícil diagnóstico. Su baja incidencia hace que su estudio y entendimiento sean campo difícil para la medicina fetal. La displasia tanatofórica (TD) constituye la más frecuente de las displasias esqueléticas letales, con una incidencia de 2 a 3 por 100 000(1,2) nacidos vivos. Las características ultrasonográficas más representativas descritas en la literatura son la rizomelia extrema con longitud normal del tronco, tórax estrecho y macrocefalia con frente prominente(3). Se la ha clasificado en dos subtipos: a) el tipo I caracterizado por fémur corto y curvo, rara vez asociado a cráneo en trébol; b) el tipo II muestra fémur corto y recto, casi siempre asociado con deformidad del cráneo en forma de trébol(4).
La exactitud del diagnóstico prenatal de TD basado en hallazgos de ultrasonido ocurre en 40% a 88% de los casos, lo cual refleja la dificultad para establecer con precisión el tipo de DE(4).
La causa de la muerte en TD es por insuficiencia respiratoria producida poco después del nacimiento, debida a hipoplasia pulmonar secundaria al deficiente desarrollo de la caja torácica; en otros casos, la compresión del tronco del encéfalo por un estrecho foramen magnum ocasiona la muerte(5).
A propósito del caso que se presenta, sugerimos algunas recomendaciones para la evaluación ultrasonográfica ante la sospecha de un caso de displasia esquelética, basada en el análisis secuencial de las estructuras.
REPORTE DEL CASO
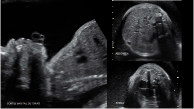
Se presenta el caso de una primigesta de 20 años de edad con 30 semanas de edad gestacional por ecografía precoz. Acudió al servicio de ecografía con diagnóstico de acondroplasia fetal, sin antecedentes personales ni familiares de importancia con relación a patologías de orden genético. Al examen ultrasonográfico se halló ponderado fetal de 2 323 g (p12 para la EG), fémur corto (p< 2DE) y curvo, tórax estrecho (circunferencia de 172 mm cortas, abdomen protuberante, macrocefalia DBP de 93 mm (>p 97,7%) CC de 319 mm (>p 97,7%), con cráneo en forma de trébol, frente prominente y aplanamiento nasal; relación fémur-pie de 0,4 (figuras 1 y 2). Otro hallazgo fue la presencia de polihidramnios leve (pozo mayor de 8,1 cm). No se encontraron malformaciones cardiacas. La reconstrucción 3D evidenció el acortamiento de los miembros superiores e inferiores y las características faciales (figura 3). De acuerdo a los hallazgos, se planteó el diagnóstico de TD, informando a la familia acerca del grave pronóstico del feto. El parto vaginal se dio una semana después, con un recién nacido vivo de sexo masculino de 2 015 g, Ápgar 2 al minuto y 5 a los 5 minutos, requiriendo intubación endotraqueal y soporte ventilatorio. Fue hospitalizado en UCI neonatal con el diagnóstico de insuficiencia respiratoria. El estudio radiográfico evidenció costillas acortadas, con los huesos largos de los miembros superiores e inferiores cortos y curvos (figura 4). El neonato falleció por insuficiencia respiratoria a los 7 días.
DISCUSIÓN
Los signos ecográficos encontrados con mayor frecuencia en estudios rutinarios prenatales y que nos pueden hacer sospechar en una de son el fémur corto y la macrocefalia. En el caso presentado, el motivo de referencia fue un fémur corto, con sospecha de acondroplasia. Ante estos hallazgos, se debe referir a centros con mejor equipamiento y mayor experiencia para evaluación detallada.




Se puede sospechar algunas displasias esqueléticas desde el segundo trimestre y otras son posibles de diagnosticar solo en el tercer trimestre. Cobra importancia entonces la evaluación de estudios anteriores al recibir el caso. Los antecedentes familiares y personales son de vital importancia y pueden ayudarnos a reducir las posibilidades diagnósticas(6,7).
La evaluación de una displasia esquelética plantea un estudio ultrasonográfico exhaustivo y metódico, para un acercamiento al diagnóstico y pronóstico fetal.
El estudio biométrico debe explorar todos los huesos largos, considerando tamaño (algunas displasias tienen leve acortamiento y otras muy severo), la forma, el grado de osificación y presencia de fracturas. El siguiente paso es revisar huesos no habitualmente considerados, como son las costillas, clavícula y escápula, tanto su presencia como tamaño. La visualización de las manos y pies en busca de polidactilia y otras deformaciones ayuda en la búsqueda de síndromes genéticos(6,7,8).
Se continúa con el estudio del cráneo fetal, evaluando la forma, tamaño de la cabeza y grado de mineralización; no se debe olvidar que muchas DE muestran macrocrania o deformaciones(6,7). Estas deformaciones del cráneo se producen por cierres prematuros de las suturas (craneo- sinostosis)(9); una de las más características es el cráneo en trébol, que en el caso se presentó pero como un fenotipo muy leve. La evaluación de la cara fetal debe ser completa, iniciando con el perfil fetal en busca de frente prominente, aplanamiento nasal o micrognatia; luego, se descarta lesiones de la línea media y defectos oculares (hipo o hipertelorismo)(10); característicamente, en la TD se observa frente prominente y aplanamiento nasal, como se observa en la figura 3. El siguiente paso sería la evaluación de la columna fetal, para descartar problemas de escoliosis, hemivértebras, deficiente mineralización o defectos del tubo neural(6,7,8).
Es imprescindible realizar una neurosonografía completa en todos los casos, por la asociación con defectos neurológicos. Los casos de TD se suelen asociar a malformaciones corticales del lóbulo temporal(11). La ecocardiografía fetal es también mandatoria; el hallazgo de cardiopatías ayuda a estrechar aún más las posibilidades diagnósticas y establecer pronóstico(6,7,8).
Una vez establecidos todos los hallazgos, recién podremos iniciar ‘el rompecabezas’ de la displasia esquelética. Múltiples autores han propuesto diversos flujogramas que acercan al diagnóstico. El lector puede revisar artículos más extensos en este tema(6,7). El uso de otras pruebas auxiliares, como la resonancia magnética fetal, puede contribuir y aportar datos definitivos en los casos difíciles. Finalmente, es la tipificación de la mutación que lleva al diagnóstico definitivo y con ello la posibilidad de recurrencia(12), en aras de realizar consejería genética a los padres. En TD, la mutación esporádica se produce en el gen del receptor 3 de crecimiento de fibroblastos (FGFR3), situado en cromosoma 4 p16.3(2,3,4). Lamentablemente, en nuestro país son muy pocos los casos en que se llega a realizar pruebas genéticas, por su alto costo. La necropsia fetal es también poco realizada, principalmente por la negativa de los familiares, perdiendo la oportunidad de confirmar los hallazgos prenatales y establecer riesgo de recurrencia.
Un aspecto importante ante un caso de displasia esquelética es establecer el riesgo de letalidad. Si bien las malformaciones cardiacas o cerebrales de por sí pueden establecer pronóstico, para los casos que no las presentan la posibilidad de muerte está principalmente asociada a problemas de insuficiencia respiratoria por hipoplasia pulmonar(5,13,14). Se ha propuesto muchos marcadores; entre los de aplicación más fácil podemos mencionar la relación longitud de fémur/circunferencia abdominal (FL/AC) menor de 0,16(13,15), la circunferencia torácica (CT) menor al 2,5 percentil(13,16) y la relación CT/AC menor al 5º percentil(13). Entre estos marcadores, el de mayor poder predictivo es la relación FL/AC menor de 0,16; en el caso presentado se encontró una relación de 0,07 y el resultado perinatal fue muerte a los 7 días.
Fuente de financiamiento
Autofinanciado
Conflicto de interés
ninguno
REFERENCIAS BIBLIOGRÁFICAS
1. Waller DK, Correa A, Vo TM, Wang Y, Hobbs C, Langlois PH, Pearson K, Romitti PA, Shaw GM, Hecht JT. The population-based prevalence of achondroplasia and thanatophoric dysplasia in selected regions of the US. Am J Med Genet A. 2008;146A(18):2385–9. doi: 10.1002/ajmg.a.32485.
2. Tavormina PL, Shiang R, Thompson LM, Zhu YZ, Wilkin DJ, et al. Thanatophoric displasia (types I and II) caused by distinct mutations in fibroblast growth factor receptor 3. Nature Genet. 1995;9:321–8. doi: 10.1038/ng0395-321.
3. Mesoraca A, Pilu G, Perolo A, Novelli N, Salfi A, et al. Ultra-sound and molecular midtrimester diagnosis of a de novo achondroplasia. Prenat Diagn. 1996;16:764-8. doi: 10.1002/ (sici)1097-0223(199608)16:8<764::aid-pd941>3.0.co;2-m.
4. Nerlich AG, Freisinger P, Bonaventure J. Radiological and histological variants of thanatophoric dysplasia are associated with common mutations in FGFR-3. Am J Med Genet. 1996;63:155-9. doi: 10.1002/(sici)1096-8628(19960503)63:1< 155::aid-ajmg27>3.0.co;2-m.
5. Baker KM, Olson DS, Harding CO, Pauli RM. Long-term survival in typical thanatophoric dysplasia type 1. Am J Med Genet. 1997;70:427-36. doi: 10.1002/(sici)1096-8628(19970627)70:4<427::aid-ajmg18>3.3.co;2-h.
6. Dighe M, Fligner C, Cheng E, Warren B, Dubinsky T. Fetal skeletal dysplasia: an approach to diagnosis with illustrative cases. Radiographics. 2008;28(4):1061-77. doi: 10.1148/ rg.284075122.
7. Krakow D, Lachman RS, Rimoin DL. Guidelines for the pre-natal diagnosis of fetal skeletal dysplasias Genet Med. 2009;11(2):127-33. doi: 10.1097/GIM.0b013e3181971ccb.
8. Schramm T, Gloning KP, Minderer S, Daumer-Haas C, Hört- nagel K, Nerlich A, Tutschek B. Prenatal sonographic diagnosis of skeletal dysplasias. Ultrasound Obstet Gynecol. 2009;34(2):160-70. doi: 10.1002/uog.6359.
9. Kölble N, Sobetzko D, Ersch J, Stallmach T, Eich G, Huch R, et al. Diagnosis of skeletal dysplasia by multidisciplinary assessment: a report of two cases of thanatophoric dysplasia. Ultrasound Obstet Gynecol. 2002;19:92-8. doi: 10.1002/uog. v19:6.
10. Krakow D, Williams J 3rd, Poehl M, Rimoin DL, Platt LD. Use of three-dimensional ultrasound imaging in the diagnosis of prenatal-onset skeletal dysplasias. Ultrasound Obstet Gynecol. 2003;21(5):467-72. doi: 10.1002/uog.111.
11. Wang DC, Shannon P, Toi A, Chitayat D, Mohan U, Barkova E, et al. Temporal lobe dysplasia: a characteristic sonographic finding in thanatophoric displasia. Ultrasound Obstet Gynecol. 2014;44:588–94. doi: 10.1002/uog.13337.
12. Bonafe L, Cormier-Daire V, Hall C, Lachman R, Mortier G, Mundlos S, et al. Nosology and classification of genetic skeletal disorders: 2015 revision. Am J Med Genet A. 2015;167(12):2869-92. doi: 10.1002/ajmg.a.37365.
13. Nelson DB, Dashe JS, McIntire DD, Twickler DM. Fetal skeletal dysplasias: sonographic indices associated with adverse out-comes. J Ultrasound Med. 2014;33(6):1085-90. doi: 10.7863/ultra.33.6.1085.
14. Yeh P, Saeed F, Paramasivam G, Wyatt-Ashmead J, Kumar S. Accuracy of prenatal diagnosis and prediction of lethality for skeletal dysplasias. Prenat Diagn. 2011;31:515–8. doi: 10.1002/pd.2729.
15. Ramus RM, Martin LB, Twickler DM. Ultrasonographic prediction of fetal outcome in suspected skeletal dysplasias with the use of the femur-to-abdominal circumference ratio. Am J Obstet Gynecol. 1998;179:1348–52. doi: 10.1016/s0002- 9378(98)70158-9.
16. Chitkara U, Rosenberg J, Chervenak FA, Berkowitz GS, Levine R. Prenatal sonographic assessment of the fetal thorax: normal values. Am J Obstet Gynecol. 1987;156:1069–74. doi: 10.1177/875647938700300513.