Carga inmediata con rehabilitación definitiva en maxilar inferior: reporte de caso
Immediate load with definitive prosthesis in the lower jaw: A case report
Carga inmediata con rehabilitación definitiva en maxilar inferior: reporte de caso
Revista Clínica de Periodoncia, Implantología y Rehabilitación Oral, vol. 9, núm. 1, 2016
Sociedad de Periodoncia de Chile
Recepción: 15 Agosto 2014
Aprobación: 20 Abril 2015
Publicación: 29 Julio 2015
Resumen: El objetivo de este artículo es presentar un protocolo simplificado para la instalación inmediata de una prótesis definitiva sobre 4 implantes mandibulares. Fue realizado en una paciente de sexo femenino de 72 a˜nos, desdentada total. Se inició el tratamiento con la confección de una prótesis removible convencional hasta la prueba de articulación dentaria, a partir de lo cual se obtuvo una guía multifuncional. En la cirugía se instalaron 4 implantes Strong SW (SIN®, Sao Paulo, Brasil) entre agujeros mentonianos. Se atornillaron pilares Mini-Abutment y se tomó la impresión utilizando la guía. Al segundo día se probó la estructura metálica con el enfilado dentario en cera y al tercer día se realizó la instalación de la prótesis terminada con torque manual. A los 10 días se retiró la sutura y se dio torque a los tornillos protésicos (10 N/cm). La paciente ha asistido a controles, sin presentar complicaciones hasta este momento. © 2015 Sociedad de Periodoncia de Chile, Sociedad de Implantología Oral de Chile y Sociedad de Prótesis y Rehabilitación Oral de Chile. Publicado por Elsevier España, S.L.U. Este es un artículo Open Access bajo la licencia CC BY-NC-ND (http://creativecommons.org/licenses/by-nc-nd/4.0/).
Palabras clave: Implantes dentales, Carga inmediata implante dental, Mandíbula edéntula.
Abstract: The aim of this paper is to present a simplified protocol for immediate installation of a definitive prosthesis over four jaw implants. This was performed on a totally edentulous female patient of 72 years. The treatment was initiated with the preparation of a conventional removable prosthesis until the dental articulation test from which a multifunctional guide was obtained. At surgery, four Strong SW (SIN®, Sao Paulo, Brazil) implants were installed between mental foramen. Mini-Abutments were screwed and the impression was made using the guide. On the second day the metal structure was tested with the dental articulation in wax and on the third day the definitive prosthesis was installed with manual torque. The suture was removed 10 days after surgery, and the torque was given to prosthetic screws (10 N/cm). The patient was followed up every 6 months, with no complications so far. © 2015 Sociedad de Periodoncia de Chile, Sociedad de Implantología Oral de Chile y Sociedad de Prótesis y Rehabilitación Oral de Chile. Published by Elsevier España, S.L.U. This is an open access article under the CC BY-NC-ND license (http://creativecommons.org/licenses/by-nc-nd/4.0/).
Keywords: Dental implants, Immediate dental implant loading, Edentulous jaw.
Introducción
La necesidad de someter a cargas oclusales los implantes inmediatamente después de haber sido colocados ha estado siempre presente. Progresivamente se ha pasado desde el tradicional protocolo en 2 fases a protocolos de carga inmediata, gracias a las modificaciones que se han desarrollado a nivel de macro y microdiseño de los implantes. Los implantes cónicos se han vuelto muy populares, sobre todo gracias a la facilidad con que logran estabilidad primaria1.
La rehabilitación de un maxilar completamente desdentado, ya sea superior o inferior, con implantes cargados inmediatamente mediante una prótesis total, es actualmente una opción terapéutica válida, bien documentada, que muestra altos rangos de superivencia2, entre 93,8% y 100% en el caso de la mandíbula entre 1 a 10 años de seguimiento3. Sin embargo, la reabsorción ósea y las estructuras anatómicas, como el seno maxilar y particularmente el nervio mandibular, representan una limitante en la reconstrucción de pacientes edéntulos, y habitualmente llevan a la utilización de procedimientos de injerto que son asociados con altos costos, alta morbilidad y baja aceptación por parte del paciente. Por otra parte, las regiones posteriores de los maxilares se caracterizan por grandes fuerzas masticatorias, lo que representa un alto riesgo de problemas en la estabilidad de los implantes a largo plazo. Esto a su vez limita el largo de los cantilever posteriores4.
El concepto All On Four, que utiliza implantes inclinados para restaurar pacientes edéntulos, ha sido propuesto como una alternativa válida a los procedimientos de aumento óseo3,5.
El protocolo inicial de Malo et al. de 2003 contempla la realización de la prótesis definitiva una vez confirmada la oseointegración de los implantes. Ante los auspiciosos resultados de este protocolo, nos cuestionamos sobre la posibilidad de realizar la rehabilitación definitiva dentro de las 48 h después de la cirugía de inserción de los implantes3,6.
Desde el sistema Novum propuesto por Brånemark7 se ha intentado desarrollar distintas técnicas de rehabilitación definitiva con carga inmediata sobre implantes pasando por distintos métodos de barras prefabricadas8, barras soldadas incluso de manera intraoral9, protocolos simplificados10,11, uso de prótesis reforzadas con fibra de carbono12 hasta llegar al uso de tecnología CAD/CAM en la colocación de los implantes y manufactura de la prótesis definitiva13.
Las prótesis removibles convencionales, particularmente en el caso de las inferiores, generan un impacto negativo en la calidad de vida de los pacientes, produciendo sobre todo limitación funcional y dolor físico14.
El objetivo de este artículo es presentar, mediante un reporte de caso, un protocolo simplificado para la instalación inmediata de una prótesis definitiva sobre 4 implantes posicionados en la zona anterior de la mandíbula. Mediante este protocolo el paciente con imposibilidad de utilizar una prótesis convencional podrá recuperar su función masticatoria de manera rápida, fácil de llevar a cabo tanto para el clínico como para el laboratorio y con bajos costos.
Descripción del caso clínico
Paciente de sexo femenino, de 72 años de edad al momento del procedimiento. Desdentada total superior e inferior, portadora de prótesis removible total acrílica superior en mal estado. Consulta por la posibilidad de rehabilitar por medio de implantes la zona mandibular (fig. 1), ya que las prótesis convencionales realizadas hasta ese momento carecen de estabilidad. Dentro de la anamnesis la paciente relata estar en tratamiento con medicamentos para la hipertensión.
El inicio del tratamiento rehabilitador corresponde a los mismos pasos clínicos para la confección de una prótesis removible convencional, tanto superior como inferior, es decir: impresión primaria, confección de placa de altura con base acrílica y recorte de flanco lingual entre premolares similar a lo propuesto por Aalam et al. en 200510. Luego corresponde la prueba de placa de altura y determinación de plano protético inferior, determinación, registro y transferencia de relaciones intermaxilares, montaje y prueba de articulación dentaria (fig. 2). En el caso de la prótesis superior esta se terminó e instaló.

Imagen preoperatoria donde se observa reborde edéntulo desde una vista oclusal.

Enfilado dentario sobre modelo de trabajo con recorte de flanco lingual entre los premolares.
Para la rehabilitación inferior se realizó el duplicado del enfilado dentario en acrílico transparente mediante impresión en 2 pasos con silicona pesada de adición, con ello se obtuvo una guía multifuncional11 (figs. 3 y 4). Esta guía tuvo como objetivos: a) servir de referencia en el momento de la instalación de los implantes; b) utilizarse como cubeta en el momento de la toma de impresión a boca cerrada; y c) registrar y transferir las relaciones intermaxilares. Esta guía fue probada y esterilizada antes de la cirugía.


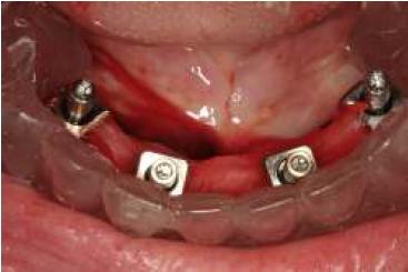
La planificación se realizó por medio de una ortopantomografía (fig. 5), evitando la utilización de cone-beam, siguiendo nuestro objetivo de realizar un tratamiento con un bajo costo. Al momento de la cirugía la paciente se encontraba premedicada con amoxicilina de 500 mg cada 8 h desde el día anterior15,16, ibuprofeno 400 mg cada 8 h10, comenzando 1 h antes de la cirugía17 y colutorios de clorhexidina al 0,12%, habiendo iniciado el tratamiento 48 h antes del procedimiento quirúrgico4. En el pabellón se probó nuevamente la guía multifuncional en boca (fig. 6), se anestesió a la paciente para luego realizar una incisión crestal desde la zona del primer molar derecho a la zona del primer molar izquierdo10,15,18, con incisiones liberadoras bilaterales, para luego realizar la disección subperióstica lingual y vestibular18. Con la plantilla radiográfica proporcionada por el fabricante se seleccionó sobre la radiografía panorámica el largo de los implantes a colocar. La cantidad de tejido óseo en sentido vestíbulo-lingual observada durante la cirugía fue de 5-6 mm, por lo que los implantes utilizados fueron implantes cónicos Strong SW de hexágono interno (SIN®, Sao Paulo, Brasil) de 3,8 mm de diámetro. Con la ayuda de la guía como referencia, se colocó 2 implantes distales, uno en cada lado, en la zona de los primeros premolares, inclinados a distal5, teniendo una longitud de 13 mm. Otros 2 implantes se colocaron a cada lado de la línea media mandibular, con una longitud de 15 mm. Se comprobó que los 4 implantes tuviesen una estabilidad primaria superior a los 30 N/cm (fig. 7). Se instalaron pilares Mini-Abutment y cilindros de protección de pilar, también teniendo como referencia la guía multifuncional. Se eligió suturar los tejidos con sutura no reabsorbible 4-018,19 (Seda, Ethicon, Johnson & Johnson, Brasil), siguiendo nuestro objetivo de disminuir los costos del procedimiento, y se envió a la paciente a la sala de recuperación (fig. 8).



Luego de un tiempo de recuperación para la paciente (30 min aproximadamente) se retiraron los cilindros de protección y se instalaron los transfer (fig. 9), se realizó entramado con seda dental entre ellos y se ferulizaron con acrílico en estado arenoso con método de goteo (Duralay®, Reliance Dental Mfg. Co., Worth, IL, EE. UU.) (fig. 10). Nuevamente se probó la inserción y posicionamiento de la guía en boca, para que esta no interfiriese con los transfer o el acrílico. Se comprobó la correcta oclusión con la arcada antagonista.


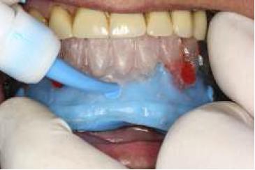
La guía multifuncional debe presentar 3 orificios en el flanco vestibular bajo el talón de los dientes para inyectar silicona monofásica al momento de la impresión, y adicionalmente debe poseer otros 2 orificios a la altura del incisivo lateral/canino de la cara vestibular para unir la guía con los transfer previamente ferulizados entre sí. Con el paciente en oclusión se ferulizó la guía a los transfer con acrílico, a través de los orificios ubicados entre lateral y canino. Se esperó la polimerización del acrílico en oclusión. Luego se inyectó silicona monofásica por los 3 orificios destinados para ello (fig. 11). Se solicitó a la paciente que ubicara su lengua en íntimo contacto con la cara lingual de la guía, esto sirve como contención para el material de impresión. Se esperó la polimerización, se retiró la impresión y se evaluó.



Se instalaron nuevamente los cilindros de protección de pilares con torque manual y se citó al paciente para el día siguiente, previa entrega y explicación de las indicaciones sobre los cuidados posquirúrgicos que la paciente debía seguir.
Previo al envío a laboratorio se desinfectó la impresión y se posicionaron las réplicas de pilares en los transfer. Luego se envió al laboratorio el montaje del modelo superior e inferior con el enfilado, la guía multifuncional con la impresión y las réplicas atornilladas, además de los cilindros sobrecolables sin tornillos.
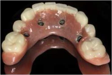
Al laboratorio se le solicitó el vaciado en yeso extraduro con encía artificial en la zona de implantes, montaje del modelo obtenido, confección de la estructura metálica sobre implantes y enfilado dentario sobre la misma estructura metálica, según el diseño previamente realizado. Con respecto a la estructura metálica cabe mencionar que esta corresponde a una barra colada que une los cilindros con pines para la retención de los dientes de acrílico, quedando completamente recubierta por este mismo material.
Al segundo día se retiraron los cilindros de protección, se probó la estructura metálica con el enfilado dentario en cera, relacionándola con la arcada superior y se evaluaron todos los parámetros estéticos y funcionales de una prótesis total. Se envió a terminación (fig. 12).
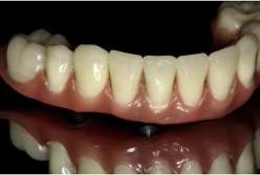
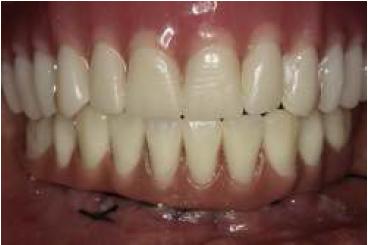
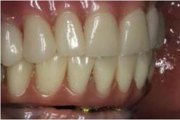
Al tercer día se realizó la instalación con torque manual y ajuste oclusal (figs. 13,14,15,16).



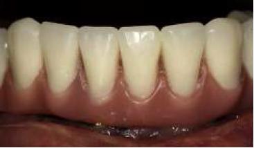
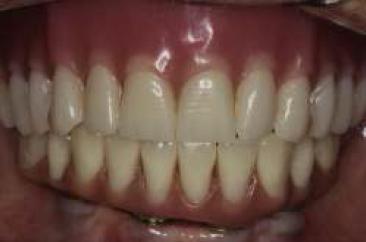
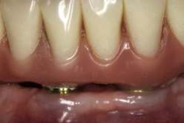
A los 10 días, luego de la cirugía, se citó a la paciente a control para realizar la retirada de la sutura11; se dio torque a los tornillos protésicos (10 N/cm) y se chequeó la oclusión nuevamente. Se ha seguido controlando a la paciente cada 6 meses, hasta cumplir 2 años desde la fecha de instalación de la aparatología, sin manifestar complicación alguna (figs. 17, 18, 19, 20, 21).




Se puede observar un control adecuado de biofilm por parte de la paciente.


Discusión
Si bien la carga inmediata en el maxilar inferior está ampliamente documentada en la literatura, los reportes en relación con la instalación de la rehabilitación definitiva, inmediatamente después de la cirugía, son escasos9,10,12. El objetivo de este protocolo modificado es ofrecer una solución sencilla, eficaz, rápida y al menor costo posible para el paciente, tomando en consideración que no se requiere de un examen de imágenes tipo cone-beam, ni tampoco del aumento de tejido óseo en las zonas posteriores, de una guía quirúrgica estricta o de una prótesis temporal.
En la misma línea, la cantidad de metal utilizado en la confección de la estructura es menor que en una prótesis ad modum Brånemark. Con esto se disminuye el costo, el tiempo que toma su confección y la contracción de la aleación metálica que pudiese comprometer el ajuste pasivo de la estructura20.
Junto con lo antes mencionado, nos parece que son ventajas adicionales de la técnica la fácil confección de la guía, la cual permite tener presente en todo momento la planificación inicial, tanto al momento de colocar los implantes, como al tomar la impresión definitiva. Al tomar la impresión a boca cerrada se registra inmediatamente la relación oclusal con la cual el paciente será rehabilitado.
Consideramos como limitaciones de la técnica que la posición en la cual se colocan los implantes y la selección de los pilares debe ser estricta para facilitar la toma de impresión. El espacio puede resultar bastante disminuido hacia vestibular de los transfer. Si la posición no es la correcta, estos pueden interferir con el reposicionamiento de la guía en el momento de tomar la impresión. Hay que considerar que además estos transfer se encuentran ferulizados con acrílico, lo que ocupa mayor espacio aún.
En el mismo sentido, el tomar la impresión a boca cerrada implica que la posición del tornillo pasante del transfer pudiese interferir con la oclusión del paciente. Por ello se sugiere en estos casos cambiar estos tornillos por tornillos protésicos.
Sin duda se requiere una mayor evaluación con respecto a la previsibilidad de este procedimiento, por lo que este reporte de caso forma parte de un estudio prospectivo, que se encuentra actualmente en desarrollo en dependencias de la Escuela de Odontología de la Universidad Andrés Bello en Viña del Mar. Dicho estudio pretende evaluar los resultados del presente protocolo en 20 pacientes por un periodo de 2 años. Esto podrá dilucidar, en parte, si el comportamiento biomecánico de las estructuras es el adecuado, y si es que existe necesidad de rebasado de la prótesis, tomando en cuenta que el acrílico recubre toda la estructura, quedando este en contacto directo con los tejidos.
En conclusión, la instalación de 4 implantes a nivel interforaminal, con rehabilitación definitiva en un periodo de 48 h, parece ser un procedimiento confiable, sencillo y de bajo costo para la rehabilitación de pacientes que no estén en condiciones de utilizar una prótesis removible convencional.
Agradecimientos
Los autores de la presente investigación desean agradecer a Facultad de Odontología de la Universidad Andrés Bello su valiosa colaboración en el desarrollo de este caso.
Bibliografía
1. Östman PO, Wennerberg A, Ekestubbe A, Albrektsson T. Immediate occlusal loading of NanoTiteTM tapered implants: A prospective 1-year clinical and radiographic study. Clin Implant Dent Relat Res. 2013;15:809---18.
2. Cochran DL. The evidence for immediate loading of implants. J Evid Based Dent Pract. 2006;6:155---63.
3. Duello GV. Immediate rehabilitation of the edentulous patient. J Evid Based Dent Pract. 2012;12:172---81.
4. Agliardi EL, Francetti L, Romeo D, del Fabbro M. Immediate rehabilitation of the edentulous maxilla: Preliminary results of a single-cohort prospective study. Int J Oral Maxillofac Implants. 2009;24:887---95.
5. Malo P, Rangert B, Nobre M. All-on-four immediate-function concept with Branemark system implants for completely edentulous mandibles: A retrospective clinical study. Clin Implant Dent Relat Res. 2003;5 Suppl 1:2---9.
6. Gallucci G, Benic G, Eckert S, Papaspyridakos P, Schimmel M, Schrott A, et al. Consensus statements and clinical recommendations for implant loading protocols. Int J Oral Maxillofac Implants. 2014;29 Suppl:287---90.
7. Branemark P, Engstrand P, Ohmell L, Grondahl K. Branemark Novum: A new treatment concept for rehabilitation of the edentulous mandible preliminary results from a prospective clinical follow-up study. Clin Implant Dent Relat Res. 1999;1:2-- 16.
8. Klee de Vasconcellos D, Bottino MA, Saad PA, Faloppa F. A new device in immediately loaded implant treatment in the edentulous mandible. Int J Oral Maxillofac Implants. 2005;21:615---22.
9. Degidi M, Nardi D, Piattelli A. Immediate loading of the edentulous maxilla with a definitive restoration supported by an intraorally welded titanium bar and tilted implants. Int J Oral Maxillofac Implants. 2010;25:1175---82.
10. Aalam A, Nowzari H, Krivitsky A. Functional restoration of implants on the day of surgical placement in the fully edentulous mandible: A case series. Clin Implant Dent Relat Res. 2005;7:10---7.
11. Borges AFS, Dias Pereira LAV, Thomé G, Melo ACM, de Mattias Sartori IA. Prostheses removal for suture removal after immediate load: Success of implants. Clin Implant Dent Relat Res. 2010;12:244---8.
12. Van Steenberghe D, Naert I, Andersson M, Brajnovic I, Van Cleynenbreugel J, et al. A custom template and definitive prosthesis allowing immediate implant loading in the maxilla: A clinical report. Int J Oral Maxillofac Implants. 2002;17:663---70.
13. Tahmaseb A, de Clerck R, Aartman I, Wismeijer D. Digital protocol for reference-based guided surgery and immediate loading: A prospective clinical study. Int J Oral Maxillofac Implants. 2012;27:1258---70.
14. Perea C, Suarez-Garcia M, del Rio J, Torres-Lagares D, Montero J, Castillo-Oyague R. Oral health-related quality of life in complete denture wearers depending on their socio-demographic background, prosthetic-related factors and clinical condition. Med Oral Patol Oral Cir Bucal. 2013;18:e371---80.
15. Degidi M, Nardi D, Piatelli A. Immediate rehabilitation of the edentulous mandible with a definitive prosthesis supported by an intraorally welded titanium bar. J Oral Maxillofac Implants. 2009;24:342---7.
16. Marin Escobar A, Fuentes R, Cantín M. Uso de antibióticos en cirugía de implantes: una revisión sistemática. Int J Odontoestomat. 2013;7:59---67.
17. Vadivelu N, Mitra S, Schermer E, Kodumuni V, Kaye A, Urman R. Preventive analgesia for postoperative pain control: A broader concept. Local Reg Anesth. 2014;7:17---22.
18. Crespi R, Vinci R, Capparé P, Romanos G, Gherlone E. A clinical study of edentulous patients rehabilitated according to the All on Four immediate function protocol. Int J Oral Maxillofac Implants. 2012;27:428---34.
19. Vervaeke S, Collaert B, de Bruyn H. The effect of implant surface modifications on survival and bone loss of immediately loaded implants in the edentulous mandible. Int J Oral Maxillofac Implants. 2013;28:1352---7.
20. Drago C, Howell K. Concepts for designing and fabricating metal implant frameworks for hybrid implant prostheses. J Prosthodont. 2012;21:413---24.
Notas de autor
Información adicional
Conflicto de intereses: El desarrollo del caso fue apoyado con implantes y aditamentos protésicos por parte de la empresa SIN, Sao Paulo, Brasil. Los autores declaran no tener vinculación financiera alguna con la empresa antes señalada.