Rehabilitación de rebordes severamente atróficos mediante prótesis híbridas confeccionadas con tecnología de sinterización láser cromo-cobalto; reporte de caso
Rehabilitation of severely atrophic full arches using hybrid prostheses made with chrome-cobalt laser sintering technology-A case report
Rehabilitación de rebordes severamente atróficos mediante prótesis híbridas confeccionadas con tecnología de sinterización láser cromo-cobalto; reporte de caso
Revista Clínica de Periodoncia, Implantología y Rehabilitación Oral, vol. 9, núm. 1, 2016
Sociedad de Periodoncia de Chile
Recepción: 14 Diciembre 2014
Aprobación: 24 Marzo 2015
Publicación: 16 Mayo 2015
Resumen: Prótesis híbridas metal-acrílico implanto-retenidas han brindado solución funcional y estética para rehabilitar arcos completos severamente atróficos, constituyendo una alternativa a cirugías reconstructivas más complejas. La subestructura protésica debe ajustar pasivamente sobre los implantes. Con la tecnología CAD CAM el dise˜no manual de las subestructuras, mediante cera perdida, se ha reemplazado por dise˜no digital mediado por software. La tecnología de sinterizado láser en la confección de subestructuras metálicas tiene como ventajas la disminución de acumulación de errores, rapidez y dise˜no de geometrías complejas según las necesidades del caso. Caso: Paciente desdentada total. Se planifica prótesis híbrida maxilar (8 implantes) y mandibular (Revitalize®) con subestructuras en aleación Cr-Co mediante sinterizado láser, que presenta resultados a largo plazo similares a estructuras nobles, con menor costo y alta predictibilidad. Conclusiones: Prótesis híbridas con subestructura Cr-Co mediante sinterizado láser podrían mejorar el pronóstico al incorporar CAD-CAM en su confección al obtener ajustes de precisión. © 2014 Sociedad de Periodoncia de Chile, Sociedad de Implantología Oral de Chile y Sociedad de Prótesis y Rehabilitación Oral de Chile. Publicado por Elsevier España, S.L.U. Este es un artículo Open Access bajo la licencia CC BY-NC-ND (http://creativecommons.org/licenses/by-nc-nd/4.0/).
Palabras clave: Implantes dentales, Revitalize®, Prótesis híbridas, Sinterizado láser.
Abstract: Implant-retained metal-acrylic hybrid prostheses provide a functional and aesthetic solution to rehabilitate severely atrophic complete arches, and are an alternative to more complex reconstructive surgeries. the prosthetic substructure must adjust passively on the implants. With the CAD-CAM technology, the manual design of the substructures, by lost wax, has been replaced by digital design. Laser sintering technology in the production of metal substructures has advantages, such as, decreased accumulation of errors, fabrication speed and design of complex geometry, according to the needs of the case. Case report: Hybrid prostheses in the maxilla (8 implants) and jaw (Revitalize®) were planned in a patient with no teeth, using Co-Cr alloy substructures by laser sintering, which have similar long-term results as obtained with noble structures, but with lower cost and high predictability. Conclusions: Hybrid prostheses with Co-Cr substructures using laser sintering could improve prognosis by incorporating CAD-CAM in their preparation to obtain fine adjustments. © 2014 Sociedad de Periodoncia de Chile, Sociedad de Implantología Oral de Chile y Sociedad de Prótesis y Rehabilitación Oral de Chile. Published by Elsevier España, S.L.U. This is an open access article under the CC BY-NC-ND license (http://creativecommons.org/licenses/by-nc-nd/4.0/).
Keywords: Dental implants, Revitalize®, Hybrid prosthesis, Laser sintered.
Introducción
La rehabilitación mediante prótesis híbridas implantoasistidas ha logrado dar soluciones protésicas a pacientes desdentados totales con rebordes atróficos, consiguiendo resultados funcionales y estéticos al devolver tejidos blandos y duros al mismo tiempo. El primer diseño de prótesis híbrida fue descrito por Bränemark1, conocida con el nombre de Ad-Modum Bränemark®, donde los implantes en el maxilar superior se ubicaban por delante de la pared anterior del seno maxilar, aprovechando la apófisis ascendente del mismo, y en el caso del maxilar inferior por delante del loop del nervio dentario inferior cuando está presente, o por delante del penacho mentoniano cuando aquel está ausente. Este diseño implica un cantilever distal maxilar y/o mandibular que debe ser manejado protésicamente para evitar que este sea la parte débil del diseño protésico. Krekmanov2 avala el uso de implantes inclinados y el diseño protésico soportado y retenido en estos, teniendo como ventaja el acortar el extremo libre distal. Además, el uso de implantes inclinados requiere menor número de estos para la rehabilitación fija, y permite su utilización en mayor longitud, favoreciendo así su distribución poligonal con aprovechamiento máximo del tejido óseo presente3, permitiendo prescindir de procedimientos quirúrgicos reconstructivos complejos4 y haciendo más accesible el tratamiento a un mayor número de pacientes.
El desarrollo de las técnicas quirúrgicas y protésicas dejan avalados protocolos sobre 6 implantes (All-on-6) y sobre 4 implantes con los distales inclinados (All-on-4® y Revitalize®) que aseguran el éxito a largo plazo de la rehabilitación mediante prótesis híbrida implanto-asistida en pacientes desdentados totales5, ya sea con implantes rectos o inclinados6.
La confección de la estructura protésica se realiza generalmente basándose en una estructura metálica interna recubierta con resina acrílica4, que se atornilla a los implantes oseointegrados y puede ser únicamente quitada por el dentista. La subestructura puede ser confeccionada en distintas aleaciones metálicas, recomendándose que esta posea un módulo de elasticidad mayor a 80.000 Mpa, para prevenir la deformación y fractura de los cantilevers7. Además, se debe intentar reducir la transferencia de carga sobre los pilares distales, por medio del uso de una aleación con alto módulo de elasticidad8. La evidencia no ha demostrado diferencias importantes en el desempeño clínico de subestructuras confeccionadas con aleaciones nobles respecto a no nobles8. En este contexto, aleaciones cromo-cobalto constituyen una alternativa viable para la confección de subestructuras protésicas sobre implantes, con un módulo de elasticidad de 225.000 Mpa9, resistente a la corrosión y más económica comparada con aleaciones de oro o titanio10.
Tradicionalmente, esta subestructura se ha obtenido mediante la técnica de colado por cera perdida, pudiendo acumular una serie de errores en su confección, debido a la inevitable cantidad de pasos de laboratorio y a la inherente contracción propia de la aleación en el proceso de colado. Esto puede dificultar el asentamiento pasivo de la estructura sobre los implantes, imprescindible para asegurar el éxito a largo plazo de las estructuras múltiples. Se asume que un mejor ajuste se asocia con un menor riesgo de complicaciones biológicas y/o mecánicas que obliguen a correcciones posteriores8; para ello se han desarrollado nuevas técnicas a la par con el avance de la tecnología que buscan lograr restauraciones con mayor precisión en sus ajustes. Con el advenimiento de la tecnología CAD-CAM (diseño asistido por ordenador-fabricación asistida por ordenador) y su uso en odontología, el diseño de estas estructuras se ha modificado a la manera digital mediante un software específico para este fin y su posterior fabricación asistida por ordenador, mejorando algunas complicaciones asociadas a la posible falta de exactitud al realizar estructuras coladas y eventuales defectos, o poros poscolado que pueden disminuir la calidad de las estructuras y extender los tiempo de confección7,10.
Una vez realizado el diseño asistido por ordenador la estructura puede ser torneada o confeccionada mediante sinterizado láser. Este último, también conocido como impresión tridimensional. Este es un proceso de fabricación aditivo que permite realizar estructuras 3-D complejas directamente del diseño computarizado, mediante la fusión selectiva de capas sucesivas de aleación metálica en polvo por medio de un láser de alto poder (como lo es el láser de dióxido de carbono), convirtiéndola en la masa de aleación con la forma tridimensional previamente diseñada digitalmente11. Por medio de esta tecnología de manufactura aditiva se puede lograr estructuras con anatomías complejas sin limitaciones de las herramientas de corte o tamaño de cubos (como es el caso de las estructuras torneadas)12.

Objetivo
Este reporte tiene por objetivo presentar la resolución mediante prótesis híbridas maxilar y mandibular en función de subestructuras metálicas Cr-Co por sinterización láser de paciente con rebordes severamente atróficos.
Reporte del caso
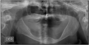
Paciente portadora de prótesis removible desde hace más de 30 años que acude porque desea una rehabilitación fija. En la anamnesis relata que en 2 ocasiones ha perdido implantes en el sector inferior. Al examen clínico y de imagen se observa reabsorción ósea severa de ambos maxilares y neumatización extrema (fig. 1).
Por las características clínicas de la paciente, y ya queno desea someterse a cirugía reconstructiva más compleja, se planifica prótesis híbrida maxilar y mandibular. Para ello es necesaria la elevación bilateral de los senos maxilares. En el mismo tiempo quirúrgico se instalan 8 implantes Zimmer® TSV 3,7×13 (Zimmer Dental, Carlsbad, EE. UU.), en ubicación lateral posterior con relleno de la premaxila. Esto permite la distribución poligonal de las cargas, evita la instalación de implantes anteriores y mejora el ajuste protésico a ese nivel. Para el maxilar inferior se planifica técnica quirúrgica Revitalize (fig. 2). Teniendo enconsideración que uno de los objetivos quirúrgicos en la instalación de los implantes es lograr estabilidad primaria compatible con la carga inmediata, esta se mide con el Figura 2 Cirugía de implantes maxilar inferior. Figura 3 Implantes conectados mediantes pilares cónicos. dinamómetro del motor quirúrgico, confirmando un troque progresivo que no alcanza los 40 N y en la medición con elISQ® (Ostel ISQ) se alcanza una medición de solo 40 ISQ. Esto determina que los implantes queden sumergidos por un período mínimo de 2 meses, tiempo durante el cual la propiedad osteo inductiva de la superficie micro-texturizada del implante (MTX®) transformará la estabilidad mecánica en estabilidad biológica o secundaria.


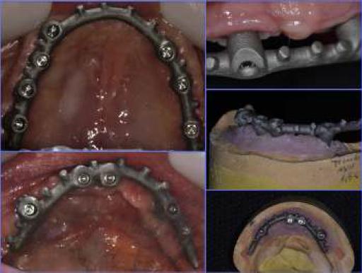
Una vez transcurrido el tiempo necesario para la oseointegración (2 meses en el maxilar inferior y 6 en el superior) se conectan los implantes (ISQ entre 65 a 70 en todos los implantes en mediciones perpendiculares entre sí para cada implante, a excepción de implante en relación a 2,5 que solo logra un ISQ de 45) utilizando pilares cónicos, rectos en los implantes mediales y con angulación de 30◦ en los implantes distales. Además, se confeccionan las prótesis provisorias fijas sobre los implantes, indicando a la paciente las técnicas de cepillado y mantenimiento correspondiente. En el momento de la conexión se pierde un implante en relación con la pieza 2,5, situación que al no afectar en el pronóstico del tratamiento se decide no insistir en su repocisión. Una vez estabilizados los tejidos blandos (fig. 3) se realiza la toma de impresión con silicona por adición Panasil Putty e Initial Contact Light® (Kettenbach GmbH & Co.KG, Eschenburg, Alemania) con cubeta funcional mediante la técnica de cubeta abierta, ferulizando los transfers de impresión con resina bis-acrílica Luxatemp® (DMG, Hambrug, Alemania). Además, se toma impresión a los provisionales y se realiza toma de registros. Los modelos de trabajo y los obtenidos de las prótesis provisorias fueron escaneados en el laboratorio para realizar el diseño asistido por ordenador (CAM) de las subestructuras metálicas para las rehabilitaciones protésicas (fig. 4), utilizando como referencia las prótesis transitorias, respetando así los espacios protésicos necesarios y obtener, de esta manera, una rehabilitación funcional y estética. Las subestructuras diseñadas se confeccionaron mediante sinterizado láser, lo que permitió controlar de forma precisa el diseño de los socavados y perlas de retención para acrílico (fig. 5). La prueba de las barras en boca muestra un ajuste pasivo de estas, lo que se corrobora con la toma de radiografías panorámica y periapicales, observando el correcto asentamiento protésico tanto maxilar como mandibular (fig. 6). Una vez verificado el ajuste pasivo de las subestructuras, se continúa con la confección de las prótesis híbridas, con el recubrimiento acrílico de las barras, logrando resultados satisfactorios, tanto funcionales como estéticos, al devolver el soporte labial y reponer los elementos dentarios perdidos (figs. 7 y 8). Una vez finalizadas las prótesis estas se torquean a 15 N y se sellan las chimeneas con teflón y resina compuesta (Permaflow Pink®, Ultradent Walladent y Amellogen Plus®, Ultradent Walladent, EE. UU.) (fig. 9).




Discusión
El éxito a largo plazo de la rehabilitación de arco completo con prótesis híbridas utilizando el concepto del implante inclinado8 ha sido demostrado, reflejándose en la baja tasa de reabsorción marginal y la viabilidad de esta a largo plazo5,6. Los implantes inclinados distales permiten devolver hasta arcadas completas con un cantilever corto, consiguiendo una distancia interimplantes favorable, sin comprometer el éxito a largo plazo de la estructura protésica, por lo que su indicación en este caso con reabsorción ósea severa estaría avalada por resultados exitosos anteriores5,6.


En relación con la prótesis híbrida del maxilar superior, es necesario destacar que el desarrollo y la evolución de biomateriales, manejo de ingeniería tisular e ingeniería de forma y superficie de implantes han hecho de la elevación del seno maxilar una técnica de cirugía reconstructiva muy predecible. Debido a esto, la lateralización de los implantes, evitando su instalación en la zona de la premaxila ha mejorado el resultado protésico desde el punto de vista estético y funcional (disminución de seseo, filtración de aire y mejora de la adaptación de la prótesis al sector anterior).
El manejo de la premaxila lo recomendamos como una reconstrucción basada en injertos o rellenos que mejoran la adaptación de la estructura protésica, pero sin la intención de generar tejido óseo para la ubicación de implantes, de tal manera que en casos severamente atrofiados, donde la neumatización está presente, se convierte en una ventaja, ya que con el levantamiento de la membrana de Shneider del piso sinusal se aprovecha el potencial osteogénico de subendostio eventualmente asociado a biomateriales con capacidad principalmente osteoconductiva. En el caso descrito en particular, la utilización de este procedimiento en un solo tiempo (elevación del piso sinusal e implantes) permitió la oseointegración de 7 de los 8 implantes ubicados.
Existen distintas alternativas para la confección de la subestructura de las prótesis híbridas, tanto en materialidad como en su técnica de confección. En el presente caso clínico se optó por su fabricación en aleación de cromocobalto, debido a sus propiedades mecánicas satisfactorias y menor costo. La confección mediante sinterizado láser permitió la obtención de las subestructuras en una pieza, sin limitaciones en su diseño, relacionado con el tamaño de cubos o fresas utilizadas para la confección asistida por ordenador, con un costo menor al utilizar menos materia prima. Los niveles de corrosión en la aleación de Cr-Co por sinterizado láser encontrados por Xin et al. son bajos y similares a los conseguidos con técnica de colado, por lo que cumplen con las necesidades clínicas. Además, se obtuvo una superficie más homogénea y, por lo tanto, con mayor dureza y en un menor tiempo en comparación con la técnica de colado convencional13,14.
En relación con el ajuste pasivo de la subestructura sobre los implantes, en donde es deseable evitar desajustes que puedan ocasionar fallos en la oseointegración de estos, el sinterizado láser ha demostrado ajustes más precisos que los obtenidos mediante cera perdida15, por lo que podría mejorar el éxito a largo plazo de restauraciones múltiples sobre implantes, respetando las propiedades mecánicas que los estándares ISO para aleaciones metálicas10.
Conclusiones
La rehabilitación protésica mediante prótesis híbrida implanto-retenida con técnica Revitalize® y subestructura en aleación Cr-Co obtenida por sinterizado láser parece ser predecible y asegurar ajuste pasivo sobre los implantes. Se requieren más estudios sobre el comportamiento a largo plazo de estructuras protésicas conseguidas mediante impresión 3D.
Bibliografía
1. Branemark P, Svensson B, van Steenberghe D. Ten-year survival rates of fixed prostheses on four or six implants ad modum Branemark in full edentulism. Clin Oral Implan Res. 1995;6:231---312.
2. Krekmanov L, Kahn M, Rangert B, Lindström H. Tilting of posterior mandibular and maxillary implants for improved prosthesis support. Int J Oral Max Impl. 2000;15:405---14.
3. Leighton Y, Von Marttens A, Carvajal J. Función protésica inmediata con técnica All on-4 mandibular: Primer reporte al 1er a˜no de carga inmediata. Rev Clin Periodoncia Implant Rehabil Oral. 2014;7:32---6.
4. Kwon T, Bain PA, Levin L. ScienceDirect long-term (10 years or more) survival and success of full-arch fixed dental hybrid prostheses and supporting implants. J Dent. 2014;42:1228---41.
5. Maló P, de Araújo Nobre M, Lopes A, Moss SMMG. A longitudinal study of the survival of All-on-4 implants in the mandible with up to 10 years of follow-up. J Am Dent Assoc. 2011;142:310---20.
6. Maló P, de Araújo N, Lopes A, Francischone CRM. ‘‘All-on-4’’ immediate-function concept for completely edentulous maxillae: a clinical report on the medium (3 years) and long-term (5 years) outcomes. Clin Implant Dent Relat Res. 2012;14:139---50.
7. Gonzalez J. The evolution of dental materials for hybrid prosthesis. Open Dent J. 2014;8:85---94.
8. Teigen K, Jokstad A. Dental implant suprastructures using cobalt-chromium alloy compared with gold alloy framework veneered with ceramic or acrylic resin: a retrospective cohort study up to 18 years. Clin Oral Implants Res. 2012;23:853-- 60.
9. Flores A, González A, Kuk H, Romero J, Henao D. Determinación del módulo de Young en aleaciones de cobalto-cromo nuevas y reutilizadas, coladas en centrífuga convencional y por inducción. Univ Odontológica. 2008;27:6---14.
10. Choi Y-J, Koak J-Y, Heo S-J, Kim S-K, Ahn J-S, Park D-S. Comparison of the mechanical properties and microstructures of fractured surface for Co-Cr alloy fabricated by conventional cast, 3-D printing laser-sintered and CAD/CAM milled techniques. J Korean Acad Prosthodont. 2014;52:67---73.
11. Aleksandrovic S, Egbeer D, Williams R. The analysis of the mechanical properties of F75 Co-Cr alloy for use in selective laser melting (SLM) manufacturing of removable partial dentures (RPD). Metalurgija. 2012;51:171---4.
12. Takaichi A, Suyalatu, Nakamoto T, Joko N, Nomura N, Tsutsumi Y, et al. Microstructures and mechanical properties of Co-29Cr-6Mo alloy fabricated by selective laser melting process for dental applications. J Mech Behav Biomed Mater. 2013;21:67---76.
13. Xin X, Chen J, Xiang N, Wei B. Surface properties and corrosion behavior of Co-Cr alloy fabricated with selective laser melting technique. Cell Biochem Biophys. 2013;67:983---90.
14. Zeng L, Xiang N, Wei B. A comparison of corrosion resistance of cobalt-chromium-molybdenum metal ceramic alloy fabricated with selective laser melting and traditional processing. J Prosthet Dent. 2014;112:1217---24.
15. Örtorp A, Jönsson D, Mouhsen A, Vult von Steyern P. The fit of cobalt-chromium three-unit fixed dental prostheses fabricated with four different techniques: a comparative in vitro study. Dent Mater. 2011;27:356---63.
Notas de autor
Información adicional
Conflicto de intereses: Los autores declaran no tener conflictos de intereses.