Reportes Clínicos
Marsupialización modificada de ránula gigante intraoral: reporte de caso
Modified marsupialisation of a giant intraoral ranula: Case report
Marsupialización modificada de ránula gigante intraoral: reporte de caso
Revista Clínica de Periodoncia, Implantología y Rehabilitación Oral, vol. 9, núm. 3, 2016
Sociedad de Periodoncia de Chile
Recepción: 14 Diciembre 2014
Aprobación: 21 Junio 2015
Resumen:
La ránula intraoral es una enfermedad benigna seudoquística de extravasación que tiene su origen en las glándulas salivales sublinguales. Es una entidad poco prevalente. Es más frecuente en niños y adolescentes, con características clínicas propias que la diferencian de otras entidades de la boca. Su tratamiento es quirúrgico y varias técnicas han sido descritas en la literatura: marsupialización simple y modificada, enucleación de la lesión, extirpación de la glándula junto con enucleación de la ránula. Si bien la extirpación de la glándula junto con la enucleación de la lesión es el tratamiento definitivo radical y más aceptado, la marsupialización modificada puede ser útil como alternativa de tratamiento quirúrgico conservador en casos de ránulas intraorales gigantes, disminuyendo los riesgos de morbilidad quirúrgica y presentando bajos índices de recurrencia, mientras su aplicación sea cuidadosa. El siguiente reporte de caso describe el manejo clínico de forma quirúrgica conservadora mediante marsupialización modificada, con un seguimiento de 12 meses sin signos de recidiva.
Palabras clave: Ránula sublingual, Marsupialización, Glándulas salivales.
Abstract:
The intraoral ranula is a benign pseudo-cystic extravasation with its origin in the sublingual salivary glands. It is an infrequent disease. It is more common in children and adolescents, with its own clinical characteristics that differentiate it from other entities in the mouth. The treatment for this condition is surgical, and several techniques have been described in the literature: simple and modified marsupialisation, enucleation of the lesion, and removal of the gland with enucleation of the ranula. While the removal of the gland with enucleation of the lesion is the widely accepted radical and definitive treatment, marsupialisation may be useful as an alternative to conservative surgical treatment in cases of giant intraoral ranula, reducing the risk of surgical morbidity, and presenting with low rates of recurrence, while its application should be performed with care. The case is presented that describes the conservative surgical treatment with marsupialisation in its clinical management, with a 12 months follow up without signs of recurrence.
Keywords: Sublingual ranula, Marsupialization, Salivary glands.
Introducción
La ránula es un tumor benigno seudoquístico en el piso de la boca relacionado con la glándula sublingual1, resultante de un fenómeno de extravasación y acumulación de mucus en el tejido conectivo subyacente2. Se considera un seudoquiste debido a que histológicamente carece de un epitelio de revestimiento1. Su etiología se atribuye a la rotura de los conductos excretores de las glándulas sublinguales debido a un trauma, antecedentes quirúrgicos o fibrosis periductal, al igual que los mucoceles de otros sitios de la boca1,2,3,4. El término ránula también se utiliza a veces para referirse a otras tumefacciones similares del suelo de la boca, como verdaderos quistes de los conductos salivales, quistes dermoides, higromas quísticos, angiomas y lipomas, entre otros2,5. Presentan una prevalencia baja de alrededor de 0,2 a 0,5 casos por cada 1.000 personas5,6. Afecta principalmente a niños y adultos jóvenes, con predilección por los varones, en una proporción de 2:16.
Clínicamente el contenido de la ránula es de origen seromucoso y aparece como una tumefacción unilateral, redondeada u ovoide, en el piso de la boca, respetando la línea media; es de consistencia blanda, textura suave y no dolorosa6,7. El color varía del translúcido al azulado cuando se localiza superficialmente, y puede tener un color semejante al de la mucosa del suelo bucal cuando se ubica más profundamente1,5,6. De acuerdo con su ubicación puede ser clasificada en 2 variantes clínicas: la oral o superficial (simple) y la cervical o profunda (compleja)7. La primera es delimitada en su porción inferior por el músculo milohioideo en el espacio sublingual, mientras que la segunda supera esta barrera anatómica, extendiéndose a la región cervical alta (espacio submaxilar) e incluso puede llegar al espacio parafaríngeo8. El tamaño de las lesiones intraorales reportado normalmente en la literatura describe variaciones de 2 a 5 cm de diámetro7,8. Inicialmente no presenta sintomatología, pero cuando alcanzan un mayor tamaño pueden interferir en las funciones básicas de fonación, masticación y deglución, considerándolas como ránula gigante9,10
Si bien su diagnóstico es eminentemente clínico, es apropiado el estudio imagenológico más detallado con base en la ultrasonografía, las tomografías computarizadas con medio de contraste y, en casos de mayor complejidad, el uso de resonancias magnéticas para diferenciarlas de otras enfermedades de tipo quístico y tumoral neoplásico, además de establecer si la ránula es de ubicación oral/superficial o cervical/profunda3,4.
El tratamiento de las ránulas es quirúrgico y aún controvertido2,7,11. Varias modalidades terapéuticas han sido utilizadas (tabla 1): vaciamiento, marsupialización simple o modificada, exéresis de la ránula, extirpación de la glándula sublingual o combinación de estas 2 últimas8,9,10,11,12, además de la criocirugía, la cirugía láser, el empleo de la toxina botulínica tipo A13 y la escleroterapia con OK-43214.

De acuerdo con el tratamiento utilizado se describen diferentes tasas de recidiva.
Existen situaciones clínicas en las cuales la ránula puede alcanzar un tamaño considerable (gigantes), donde la enucleación y escisión de la glándula sublingual se hace compleja teniendo en cuenta las delgadas paredes y la nutrida anatomía del piso de la boca, tornándose en un procedimiento invasivo y complejo con potenciales riesgos de lesión del nervio lingual, daño al conducto de Wharton, hemorragia e infección posquirúrgica en el piso de la boca y el espacio submandibular2,8,11. Es en estos casos donde puede ser útil emplear la marsupialización modificada, ya que es una técnica rápida, sencilla, de baja morbilidad y con una baja tasa de recidiva (menor al 10%)1,9.
El propósito del presente caso es describir una alternativa quirúrgica conservadora de una ránula gigante intraoral mediante la marsupialización modificada por taponamiento con gasa medicada.
Caso clínico
Se trata de un varón de 16 años, sin antecedentes mórbidos de relevancia, que consulta por un aumento de volumen indoloro en el lado derecho del piso de la boca, que dificulta la fonación y la masticación, de más de un mes de evolución. No había antecedentes quirúrgicos ni traumas previos en relación con el territorio orofacial, pero sí un relato de vaciamiento en 2 ocasiones de la lesión hace 3 meses.
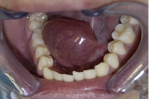
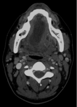
En el examen extraoral presentaba simetría facial, sin adenopatías palpables ni masa cervical evidente. Al realizar el examen intraoral se manifiesta una lesión ovoide de 7 × 4 cm en la región sublingual derecha, unilateral, que no cruza la línea media; fluctuante, de color translúcido edematoso e indoloro, que eleva y desvía la lengua al lado contralateral (fig. 1). Se realizó una hipótesis diagnóstica de ránula intraoral, la cual se complementó mediante examen imagenológico tomográfico (TC) con medio de contraste para confirmar la presencia de una lesión quística unilocular, ovalada, de baja densidad, confinada al espacio sublingual, además de evaluar su extensión anatómica confirmando su ubicación intraoral/superficial (fig. 2).


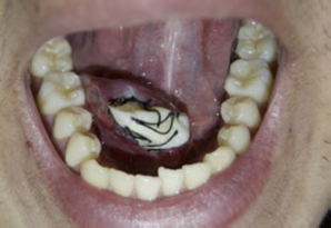
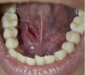
Se decide su tratamiento quirúrgico conservador siguiendo el protocolo de la técnica de marsupialización modificada. Bajo anestesia local (articaína 4%) con bloqueo directo del nervio lingual ipsilateral, se realizó la transfixión con hilo de sutura no absorbible seda 4,0 (Silk®) en la superficie de la mucosa del piso de la boca con los bordes de la lesión. Después de delimitar el campo se realizó una incisión aguda de la mucosa y cápsula a lo largo de su eje mayor (pared superior de la ránula). Con la incisión hecha y la retirada de la pieza para estudio histopatológico, se vació el contenido mucoso, permitiendo la resección de la parte superficial del quiste. Se introdujo con un elemento de contención impregnado con antiséptico intralesional (gasa impregnada en Furacín®) para que no colapse la cavidad quística, la cual se sutura en la periferia para impedir su desalojo con los movimientos (fig. 3). Se indicó irrigar la cavidad con clorhexidina al 0,12% 10 ml 2 veces al día por 10 días. Como tratamiento farmacológico se le indicó amoxicilina comprimidos 500 mg cada 8 h por 7 días, e ibuprofeno 600 mg cada 8 h por 3 días. Para su control y seguimiento se citó a los 3, 7 y 10 días (fig. 4). Al décimo día se eliminó el elemento de contención (fig. 5). Se realizó un seguimiento clínico por 12 meses, sin observarse signos de recidiva de la lesión (fig. 6).




Discusión
Las ránulas tienen su origen en las glándulas sublinguales, y el trauma mecánico en los conductos de estas parece ser el factor etiológico habitual, tanto en la ránula intraoral como en la ránula cervical. En este caso no se pudo precisar la etiología, ya que en la anamnesis no se encontró antecedente de trauma alguno ni intervenciones quirúrgicas previas.
Varias técnicas quirúrgicas han sido descritas en la literatura6,8,10,12, siendo las más utilizadas la marsupialización, la extirpación de la lesión, la extirpación de la glándula sublingual, o una conjugación de las 2 últimas. Se ha reportado que la incisión y drenaje es el tratamiento menos exitoso, con un porcentaje de recidiva que puede llegar a ser de hasta un 100%8, hecho que ocurrió en el paciente según su relato de anamnesis, ya que había sido drenada en 2 ocasiones. Por el contrario, la enucleación de la ránula y la sublingualectomía ipsilateral es el tratamiento que presenta el menor porcentaje de recidiva, de 0-2%7,8, pero siempre conlleva un riesgo quirúrgico adicional de poder lesionar el nervio lingual, dañar el conducto de Wharton o propender al sangrado o hemorragia intraoperatoria, más aún cuando las lesiones son de gran tamaño, resecando tejido mucoso innecesariamente9,12. En el caso que presentamos el tamaño de la ránula está por sobre lo descrito en la literatura y los autores consideran que la marsupialización modificada, al ser una técnica rápida, sencilla, de baja morbilidad y una tasa de recidiva menor al 10%, puede considerarse el tratamiento inicial para estos casos, quedando la sublingualectomía ipsilateral como alternativa frente a una recidiva.
La marsupialización modificada descrita por Baurmash9 consiste en empaquetar un taponamiento de gasa dentro de la lesión luego de eliminar la pared quística superior y suturar dicha membrana a la mucosa del piso de la boca, generando una solución de continuidad. El elemento de contención debe ser mantenido entre 7 y 10 días, siendo un requisito indispensable para el éxito de la técnica, ya que produce una respuesta inflamatoria induciendo la formación de una fibrosis y sello permanente con remisión de la lesión.
En este caso la gasa fue impregnada con un antibacteriano tópico de amplio espectro perteneciente a la familia de los nitrofuranos (Furacín®) por 10 días, ya que sin esta gasa los bordes tienden a colapsar debido a la presencia de un espacio muerto sumado a los movimientos de la lengua, dando como resultado una alta probabilidad de recurrencia10. El mecanismo de acción de la gasa estaría en su capacidad de inducir, a través de una reacción inflamatoria al cuerpo extraño, una atrofia acinar11.
Otro factor a considerar es la utilización de sutura como guía quirúrgica, ya que permite una delimitación anatómica adecuada como garantía de la integridad del marco de la lesión12.
En este caso clínico la ránula fue clasificada con respecto a su tamaño como gigante, ya que sus dimensiones superan las normalmente descritas en la literatura1,2,3,7 (de 2 a 5 cm), y de ubicación superficial porque estaba restringida al espacio sublingual (intraoral).
Con respecto a las desventajas de este tipo de tratamiento, podemos mencionar que debemos considerar la cooperación del paciente para llevar a cabo el protocolo de manejo en los cuidados de la cavidad y respecto a controles y seguimiento, factor que debe ser alertado a los enfermos tras el establecimiento del tratamiento propuesto. Una de las contraindicaciones de la técnica quirúrgica de marsupialización modificada está en las ránulas cervicales o profundas. En primer lugar, existe un acceso inadecuado para la aplicación de las gasas en virtud de la ubicación más inferior y posterior de la extravasación mucosa. Asimismo, la presencia de un drenaje a través de la región cervical, como consecuencia de una secreción continua proveniente de la glándula sublingual afectada, hace inviable la atrofia acinar9. En estos casos la remoción de la lesión de la glándula afectada está indicada2,5,10.
Conclusión
La marsupialización modificada es útil como alternativa de tratamiento quirúrgico conservador en casos de ránulas intraorales, disminuyendo los riesgos de morbilidad quirúrgica en pacientes jóvenes, con baja tasa de recidivas.
Bibliografía
1. Baurmash H.D. Mucoceles and ranulas. J Oral Maxillofac Surg. 2003;61:369-78.
2. Amaral M.B., de Freitas J.B., Mesquita R.A. Upgrading of the micro-marsupialisation technique for the management of mucus extravasation or retention phenomena. Int J Oral Maxillofac Surg. 2012;41:1527-31.
3. Kim S.H., Huh K.H., An C.H., Park J.W., Yin W.J. Giant plunging ranula: A case report. Imaging Sci Dent. 2013;43:55-8.
4. Gupta A., Karjodkar F. Plunging ranula: A case report. ISRN Dent. 2011;2011:806928.
5. Venkat B., Sambhav K. Huge plunging ranula. J Maxillofac Oral Surg. 2012;11:487-90.
6. Sigismund P.E., Bozzato A., Schumann M., Koch M. Management of ranula: 9years’ clinical experience in pediatric and adult patients. J Oral Maxillofac Surg. 2013;71:538-44.
7. Baurmash H.D. Treating oral ranula: Another case against blanket removal of the sublingual gland. Br J Oral Maxillofac Surg. 2001;39:217-20.
8. Zhao Y.F., Jia J., Jia Y. Complications associated with surgical management of ranulas. J Oral Maxillofac Surg. 2005;63:51-4.
9. Baurmash H.D. Marsupialization for treatement of oral ranula: A second look at the procedure. J Oral Maxillofac Surg. 1992;50:1274-9.
10. Chidzonga M.M., Mahomva L. Ranula: Experience with 83 cases in Zimbabwe. J Oral Maxillofac Surg. 2007;65:79-82.
11. Seo J.H., Park J.J., Kim H.Y., Jeon S.Y. Surgical management of intraoral ranulas in children: Analysis of 17 pediatric cases. Int J Pediatr Otorhinolaryngol. 2010;74:202-5.
12. Bonet-Coloma C., Minguez-Martinez I., Aloy-Prósper A., Galán-Gil S., Peñarrocha-Diago M., Mínguez-Sanz J.M. Pediatric oral ranula: Clinical follow-up studio of 57 cases. Med Oral Patol Oral Cir Bucal. 2011;16:e158-62.
13. Chow T.L., Chan S.W., Lam S.H. Ranula successfully treated by botulinum toxin type A: Report of 3 cases. Oral Surg Oral Med Oral Pathol Oral Radiol Endod. 2008;105:41-2.
14. Fukase S., Ohta N., Inamura K., Aoyagi M. Treatment of ranula with intracystic injection of the streptococcal preparation OK-432. Ann Otol Rhinol Laryngol. 2003;112:214-20.
15. Zhao Y.F., Jia Y., Chen X.M., Zhang W.F. Clinical review of 580 ranulas. Oral Surg Oral Med Oral Pathol Oral Radiol Endod. 2004;98:281-7.
16. Crysdale W.S., Mendelsohn J.D., Conley S. Ranulas--Mucoceles of the oral cavity: Experience in 26 children. Laryngoscope. 1988;98:296-8.
Notas de autor
Marcelo Guzmán-Letelier: drmguzmanl@gmail.com
Declaración de intereses