TRABAJO DE INVESTIGACIÓN
Recepción: 22 Agosto 2016
Aprobación: 12 Octubre 2016
RESUMEN:
Objetivo: Determinar normas cefalométricas relacionadas con el biotipo facial en una población eugnácica chilena adulta y compararla con los parámetros cefalométricos clásicos.
Material y método: Estudio transversal. Se analizaron 96 telerradiografías digitales de adultos jóvenes chilenos eugnácicos entre 18 y 35 años. El análisis cefalométrico fue realizado con el software Quick Ceph 2000®.
Resultados: El ángulo goníaco tuvo un valor promedio de 121.96º, el ratio de Bjork-Jarabak 67.11%, el ángulo SN-GoGn 32.65º, el ángulo interbasal de Schwarz 23.8º, el VERT de Ricketts un valor de 2.33 y la altura facial inferior de Ricketts un valor de 44.1º. Se observaron diferencias significativas entre hombres y mujeres para el ratio de Bjork-Jarabak, ángulo SN-GoGn, ángulo interbasal de Schwarz y el VERT de Ricketts.
Conclusiones: Los parámetros estudiados: ángulo goníaco, ángulo SN-GoGn, ángulo interbasal, altura facial inferior de Ricketts, son similares a las normas cefalométricas establecidas por sus autores originales, a excepción del ratio de Björk-Jarabak y el VERT de Ricketts. Asimismo, existe un fenómeno de dimorfismo sexual significativo, que debe ser tomado en cuenta al momento de diagnosticar a los individuos adultos.
PALABRAS CLAVE: Biotipo Facial, Cefalometría, Maloclusión, Ortodoncia.
ABSTRACT:
Objective: The aim of this study was to determine cephalometric standards related to facial type in a eugnathic adult Chilean population and to compare them with the classical cephalometric parameters.
Methods: Cross-sectional study. Ninety six eugnathic young Chilean adults (between 18 and 35 years old) were included in this study. Lateral digital standardized cephalometric radiographs were used. The cephalometric analysis used Quick-Ceph 2000® software.
Results: The mean value of the gonial angle was 121.96º, the Biörk-Jarabak ratio was 67.11%, SN-GoGn angle was 32.65º, interbasal angle (Schwarz) was 23.8º, Ricketts VERT was 2.33 and Ricketts lower facial height 44.1º. There was a significant difference between men and women for the Biörk-Jarabak ratio, SN-GoGn, interbasal angle and Ricketts VERT.
Conclusion: Cephalometric standards obtained are similar to those established by the original authors, except for the Björk-Jarabak ratio and Ricketts lower facial height. However, there is a significative sexual dimorphism that should be considered when making a patient´s diagnosis.
KEY WORDS: Facial type, Cephalometrics, Malocclusion, Orthodontics.
INTRODUCCIÓN
El biotipo facial corresponde a un conjunto de características morfodiferenciales de individuos de la misma especie, en relación a ciertos rasgos en común del esqueleto facial, determinados por la genética y el ambiente1. La utilidad del biotipo facial es transversal en ortodoncia, cirugía máxilo facial y rehabilitación oral.
En cuanto a la rehabilitación oral de los pacientes desdentados totales y parciales, sus objetivos fundamentales son: conservar el remanente biológico, restablecer la función y devolver la estética perdida. Los cambios que sufre el paciente a lo largo de su vida se deben no sólo al desdentamiento, sino también a modificaciones esqueletales derivadas de la reabsorción del hueso alveolar, migración dentaria patológica, alteración del plano oclusal y remodelación de las ATMs.
Para la restitución de las estructuras dentarias y las dimensiones faciales, el análisis de la dimensión vertical es fundamental. Ésta tiene una íntima relación con el biotipo facial. Por ello, la determinación del biotipo tanto clínica como cefalométrica presenta un desafío en pacientes desdentados totales o parciales con alteraciones en la dimensión vertical, pues no se describen parámetros para estos individuos. Además, en ellos puede ser necesario también ajustar la técnica de toma radiográfica2.
En cuanto a la clasificación de biotipo, de acuerdo a las proporciones del esqueleto facial se encuentran:
• Dolicofacial: Predomina el largo de la cara por sobre ancho.
• Braquifacial: El ancho facial es predominante por sobre el alto.
• Mesofacial: Existe un equilibrio entre ambas dimensiones.
Características de los biotipos faciales3:
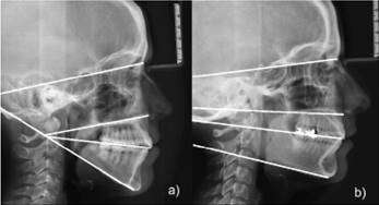
Dolicofacial: Posee mandíbulas con ramas poco desarrolladas en relación al cuerpo, cara alargada, arcadas dentarias angostas. Presentan divergencia entre la mandíbula y la base craneal y entre la base mandibular y el plano biespinal. Predominando el largo sobre el ancho en las dimensiones esqueletales. Su dirección de crecimiento es vertical (Fig 1a).
Mesofacial: Su dirección de crecimiento es normal, con sus diámetros vertical y transversal proporcionados, los maxilares y arcadas dentarias son de configuración similar, el crecimiento va en dirección hacia abajo y hacia adelante.
Braquifacial: Presentan mandíbulas con ramas potentes, caras anchas, arcadas dentarias bien desarrolladas, existe un mayor desarrollo muscular, dirección de crecimiento horizontal; éste se manifiesta por una rotación anterior de la sínfisis mandibular y el eje facial tiende a girar hacia adelante y arriba. El mentón es prominente y el surco mentolabial usualmente es marcado (Fig 1b).

La cefalometría corresponde a un protocolo de mediciones precisas sobre la telerradiografía, que permite objetivar las relaciones entre las estructuras óseas y dentarias, mediante la medición de ángulos, distancias y proporciones. Las medidas obtenidas se comparan con “Normas” establecidas a través de estudios poblacionales representativos4. Las normas cefalométricas que habitualmente se utilizan son obtenidas de niños en crecimiento y/o poblaciones diferentes a la chilena por lo tanto el patrón de referencia podría no ser adecuado para estos individuos5. A raíz de esto, para personas adultas es necesario contar con referencias cefalométricas que sean un punto de partida para planificar un tratamiento odontológico rehabilitador.
Referencias cefalométricas relacionadas con el Biotipo Facial:
Las referencias utilizadas para evaluar Biotipo Facial atribuyen importancia a la dirección de crecimiento facial, a aspectos cualitativos y cuantitativos del crecimiento cráneo mandibular y al desarrollo mandibular propiamente tal. Estas referencias corresponden a:
Ángulo mandibular o ángulo goníaco: Este parámetro es independiente de la edad y el tiempo de desdentamiento e indica la relación entre el cuerpo y la rama mandibular. Se traza la tangente al borde posterior de la mandíbula y la tangente al borde inferior mandibular. La norma de este ángulo es 123º +10º. Un ángulo aumentado da señal de un menor desarrollo de la rama mandibular en relación al cuerpo, característico de los pacientes dolicofaciales y por el contrario un ángulo disminuido es típico de los individuos braquifaciales, en los cuales se encuentra una equivalencia entre el cuerpo y la rama mandibular6,7 (Fig 2)

Análisis de Bjork-Jarabak: Los biotipos faciales fueron definidos en el análisis de Bjork-Jarabak en función de la relación proporcional (ratio) de las alturas faciales posterior y anterior, relación que da cuenta del grado de divergencia del plano mandibular respecto del plano silla-nasion8 (Fig. 3). Se obtiene con la fórmula:
Biotipo Facial = (Altura Facial Posterior/Altura Facial Anterior) *100.

Hiperdivergente (Dólicofacial), si el resultado obtenido está entre 54% y 58%. La cara será de tipo retrognático, con una dirección de crecimiento en el sentido de las manecillas del reloj, también denominado crecimiento rotacional posterior.
Normodivergente (Mesofacial), si el resultado obtenido va entre el 59 al 63%. Corresponde a un crecimiento neutral, con una dirección de crecimiento directamente hacia abajo, sin rotación en ninguno de los dos sentidos.
Hipodivergente (Braquifacial), si el resultado obtenido va entre el 64 y 80%. Presenta una dirección de crecimiento en sentido contrario a las manecillas del reloj, también denominado crecimiento rotacional anterior8.
Divergencia facial de Downs-Steiner: Steiner: Ángulo Silla-Nasion Gonion-Gnation, define el tipo de crecimiento mandibular, mide la convergencia o divergencia de la mandíbula en relación a la base craneal anterior. Para determinarlo se traza el plano Silla-Nasion y el Plano Mandibular Presentando una norma de 32º +2 según Steiner y de 32º ±5 según Riedel (Fig. 4). Un ángulo mayor a la norma indica que estamos frente a un paciente dolicofacial. Por otra parte, un ángulo menor indica que el individuo tiene la cara más bien acortada9.

Altura facial inferior de Ricketts: Es equivalente al ángulo B de Schwarz (Fig. 5). Corresponde al ángulo formado entre la línea Xi -ENA y Xi- Pm. Un ángulo mayor que la norma indica divergencia entre la mandíbula y el maxilar superior, correspondiendo a un patrón dolicofacial con musculatura débil y tendencia a mordida abierta esqueletal. De manera inversa valores menores que la norma indican patrones braquifaciales, con musculatura fuerte y generalmente con mordida profunda2.
Ángulo B de Schwarz : Representa la actividad masticatoria y en consecuencia el desarrollo muscular. Este ángulo tiene un valor de 20º + 5º. Para determinarlo se traza el plano Biespinal (ENA-ENP) y la Línea mandibular de Schwarz (Punto Mentón hasta la parte más profunda de la escotadura maseterina). Un ángulo mayor a la norma representa a un individuo dolicofacial3, y podría también presentarse mordida abierta anterior (Fig 4b).
Índice VERT de Ricketts: Define el biotipo facial del paciente, corresponde a un coeficiente de variación que establece numéricamente el tipo y la cantidad de crecimiento vertical del tercio inferior del rostro, provocado por la rotación posterior o anterior de la mandíbula. Incluye 5 ángulos que relacionan la posición mandibular, estos son: eje facial, profundidad facial, plano mandibular, altura facial inferior, y arco mandibular1. Se obtiene con la siguiente fórmula:
VERT= ((Eje Facial -90)/3) + ((Profundidad facial-90)/3) + ((24.5 - Plano Mandibular)/4) + ((47- Altura Facial Inferior)/4) + ((Arco mandibular -28.5)/5)
El propósito de este estudio fue determinar normas cefalométricas relacionadas con el biotipo facial en una población eugnácica chilena adulta, permitiendo obtener referencias aplicables en Chile. Para este estudio se analizaron adultos jóvenes con buena oclusión que no hubieran sufrido ningún deterioro de su sistema estomatognático, concepto conocido como eugnacia10.
MATERIAL Y MÉTODO
Estudio transversal. Se analizaron 96 telerradiografías digitales tomadas el año 2011 de adultos jóvenes chilenos eugnácicos entre 18 y 35 años, pertenecientes a un base de datos de un estudio previo, de la Clínica Integral del Adulto de la Facultad de Odontología, Universidad de Chile.
Criterios de inclusión y exclusión
Se incluyeron en este estudio individuos con dentición natural completa, clase esqueletal I o II leve (sin necesidad de tratamiento), sin apiñamiento dentario (IOTN menor o igual a 2)19, presencia de acople anterior y ATM con rangos de movilidad normales, sin síntomas asociados. Fueron excluidos de este estudio sujetos con cualquier enfermedad que haya provocado una alteración del crecimiento vertical, pacientes en tratamiento de ortodoncia previo o en curso, pacientes sometidos previamente a cirugía ortognática u otra cirugía que altere la morfología facial, malos hábitos orales, apiñamiento dentario moderado o severo.
Análisis cefalométrico y estadístico
Se realizó un análisis cefalométrico con el software Quick Ceph 2000® versión 3.4 (Quick Ceph Systems®), utilizando las referencias relacionadas con biotipo facial.
El análisis estadístico se realizó con el software Stata® (Stata Corporation L.P).
RESULTADOS
La muestra incluyó 48 hombres y 48 mujeres. El ángulo goníaco tuvo un valor promedio de 121.96º ± 6, el ángulo altura facial inferior tuvo un valor promedio de 44.1º, sin diferencia significativa entre sexo para estos dos parámetros.
El ratio de Bjork-Jarabak arrojó un valor de 67.11% ± 5.15, el ángulo SN-GoGn 32.65º ± 6.15, el ángulo interbasal 23.8º ± 5.57 y el VERT de Ricketts un valor de 2.33 ± 5.14. Se observaron diferencias significativas entre hombres y mujeres para estos parámetros (Tabla 1)

DISCUSIÓN
Una definición fundamental al determinar normas cefalométricas para una población, es establecer si se utilizará el criterio de oclusión normal o un perfil facial equilibrado. En esta investigación se propuso encontrar promedios basados en una población eugnácica; es decir, se privilegió el criterio de oclusión normal.
Los resultados obtenidos evidencian valores bastante cercanos a la norma clásica en el ángulo goníaco, SN-GoGn, ángulo B de Schwarz y altura facial inferior de Ricketts2,3. Sin embargo, el Ratio de Bjork-Jarabak y el VERT están fuertemente desplazados hacia el biotipo braquifacial. Lo anterior muestra que no existe concordancia entre el biotipo determinado por cada uno de los cuatro parámetros por separado, ocurriendo un traslapamiento de biotipos dolicofacial suave o braquifacial suave11,12. Esto incide en las decisiones clínicas, pues dependiendo del método escogido será el biotipo encontrado en el paciente.
Por otra parte, se evidencia un dimorfismo sexual en casi todos los parámetros, exceptuando el ángulo goníaco y altura facial inferior. En el caso de SN-GoGn y ángulo B de Schwarz el ángulo medido es menor en hombres, mientras que el Ratio de Bjork-Jarabak y el VERT es menor en mujeres, siendo estas diferencias significativas. En la literatura se describen diferencias significativas en mandíbulas de hombres y mujeres. Recientemente Alarcón J.A. y cols. (2015) realizaron un estudio analizando el dimorfismo sexual en mandíbulas, comparando tres biotipos faciales. Para determinar este último utilizaron el ángulo entre el plano de Frankfurt y el plano mandibular. Los resultados obtenidos concuerdan con los presentados en este estudio, existiendo diferencias significativas en el análisis por sexo de cada biotipo13. Todo anterior se describe también en estudios en distintas poblaciones14,15.
El predominio braquifacial en este estudio se explica por los criterios de inclusión y exclusión, pues al requerirse características eugnácicas se privilegian rasgos tales como la simetría, dientes alineados y musculatura bien desarrollada, asociados con características esqueletales braquifaciales16,17. Al contrario, las características excluidas tales como el apiñamiento, mordida cruzada, asimetrías faciales, deglución atípica e incompetencia labial, se asocian a características esqueletales dólicofaciales18.
En el VERT, los valores obtenidos para población chilena discrepan de manera significativa respecto la norma descrita por Ricketts. Lo que sugiere que este parámetro podría ser impreciso al determinar el biotipo facial, puesto que la norma presenta un valor absoluto que no se reproduce en una población chilena.
En los ángulos Goníaco y SN-GoGN, se encontraron los mismos valores promedio de los autores originales, sólo sería necesario ajustar los rangos de variación para la población chilena adulta. Así, el ángulo goníaco quedaría en 122° ± 6 y el SN-GoGn en 32° ± 6.
Finalmente, es interesante notar que el ángulo SN-GoGN con el valor de variación ajustado a la población chilena adulta, podría ser utilizado como único parámetro de determinación del biotipo facial debido a su sencillez y alto grado de confiabilidad.
CONCLUSIONES
Los parámetros estudiados son similares a las normas cefalométricas establecidas por sus autores originales, a excepción del ratio de Björk-Jarabak y el VERT de Ricketts. Asimismo, existe un fenómeno de dimorfismo sexual significativo, que debe ser tomado en cuenta al momento de diagnosticar a los individuos.
Por otra parte, los métodos utilizados muestran que no existe concordancia entre ellos al determinar biotipo facial. Por ello se recomienda utilizar en conjunto el ángulo goníaco, SN-GoGn, ángulo B de Schwarz y altura facial inferior de Ricketts pues permiten ser más precisos en población chilena. Además, para el ángulo goníaco y Sn-GoGn se proponen rangos más amplios que los propuestos por los autores, adaptándolos a la población chilena, siendo 122° ± 6 y 32° ± 6 respectivamente
Bibliografía
1. Martins L, Vigorito J. Photometric Analysis Applied in Determining Facial Type. Dental Press J Orthod. 2012 Oct; 17(5): 71-75.
2. Schulz R, Romo F, Cerda B, Moya M. Visualización del plano oclusal y guía anterior en desdentados parciales en la telerradiografía lateral: Descripción de la técnica a través de casos clínicos. Int J Odontostomat. 2013; 7(3):471- 476.
3. Gregoret J. Instrumentación de la cefalometría estática lateral. En: Ortodoncia y cirugía ortognática, diagnóstico y planificación. Barcelona. Ed. Espaxs S.A 1997. p. 227
4. Zamora C. Compendio de cefalometría. 2° ed. Colombia. Ed. Amolca; 2010. P. 8-16.
5. Montt J, Miquel M, Oyonarte R. Características cefalométricas en jóvenes con oclusión normal y perfil armónico en población chilena. Int J Morphol. 2015; 33(1): 237-244.
6. Siriwat P, Jarabak J. Malocclusion and Facial Morphology; is there a relationship?. Angle Orthod. 1985; 55(2):127-38.
7. Ildiko M, Ákos P, Irinel P. Radiographic Comparison of vertical skeletal and dental parameters in skeletal open bite. Acta Med Marisiensis. 2016; 62(3): 330-333.
8. Barahona J, Benavides J. Principales análisis cefalométricos utilizados para el diagnóstico ortodóntico. Rev Cient Odontol. 2006; 2(1): 11-27.
9. Steiner CC. Cephalometrics in clinical practice. Angle Orthod .1959; 29: 8-29
Riedel RA. The relation of maxillary structures to cranium in malocclusion and in normal occlusion. Angle Orthodontist 1952; 22(3):142-145
10. Gianni E. La Nueva Ortognatodoncia. Italia, Ed. Piccin, 1989. p. 3
11. Claro C; Abrao J, Reis S. Association between overbite and craniofacial growth pattern. Braz. oral res. 2010, 24 (4): 425-32.
12. Benedicto Ede N, Kairalla SA, Oliveira GM, Junior LR, Rosário HD, Paranhos LR. Determination of vertical characteristics with different cephalometric measurements. Eur J Dent. 2016 Jan-Mar; 10(1):116-20.
13. Alarcón JA, et al. Variation of mandibular sexual dimorphism across human facial patterns. HOMO - J. Comp. Hum. Biol. In Press 2016
14. Upadhyay RB, Upadhyay J, Agrawal P, Rao NN. Analysis of gonial angle in relation to age, gender, and dentition status by radiological and anthropometric methods. J Forensic Dent Sci. 2012; 4(1): 29-33.
15. Rodriguez-Cardenas YA, Arriola-Guillen LE, Flores-Mir C. Björk-Jarabak cephalometric analysis on CBCT synthesized cephalograms with different dentofacial sagittal skeletal patterns. J Orthod. 2014; 19(6): 46-53.
16. Kiliaridis S, Kälebo P. Masseter muscle thickness measured by ultrasonography and its relation to facial morphology. J Dent Res. 1991; 70(9): 1262-5.
17. Satiroğlu F, Arun T, Iik F. Comparative data on facial morphology and muscle thickness using ultrasonography. Eur J Orthodont. 2005; 27(6): 562-7.
18. Doyne B. Treatment of a patient with a mutilated Class II, Division 1 malocclusion and a dolichofacial skeletal pattern. Am J Orthod Dentofac Orthop 1995; 108: 542-6.
19. Johansson AM, Follin ME. Evaluation of the dental health component of the index of orthodontic treatment need, by Swedish orthodontists. Eur J Orthod. 2009;31:184-8
Notas
Notas
Notas
Notas de autor
* Correspondencia autor: Dr. Rolando Schulz Rosales, Profesor Asistente | Facultad de odontología Universidad de Chile | E-mail: rschulz@odontologia.uchile.cl | Teléfono: +562 2978 1715 | Dirección postal: Sergio Livingstone Pohlhammer No 943 (ex Olivos)
Declaración de intereses