REPORTE CLÍNICO
Recepción: 15 Septiembre 2018
Aprobación: 08 Abril 2019
DOI: 10.4067/S0719-01072019000200096
RESUMEN: Este caso clínico de boca dividida tiene como objetivo comparar los resultados clínicos obtenidos a 6 meses mediante el uso de técnica VISTA, en combinación con injerto de tejido conectivo (ITC) versus Mucograft® en el tratamiento de recesiones gingivales III de Miller, con fenotipo gingival fino. El resultado muestra que ambos injertos logran mejorar el fenotipo gingival y un mayor porcentaje de cobertura radicular, sin embargo, el ITC provee mayor volumen gingival. No obstante, el Mucograft® proporciona mejores resultados estéticos y menor morbilidad.
PALABRAS CLAVE: Tejido conectivo, Mucograft®, Recesión, Cirugía mucogingival, VISTA.
ABSTRACT: The aim of this split mouth study, is to compare the results obtained in 6 month follow-up by using VISTA technique in combination with connective tissue graft (CTG) versus Mucograft® in the treatment of Miller´s III gingival recessions, with thin gingival phenotype. The results show that both grafts improve the gingival phenotype and provide higher root coverage percentage, however, CTG provides more gingival volume. Nevertheless, Mucograft® shows better aesthetic results and lower morbidity.
KEY WORDS: Connective tissue, Mucograft®, Recession, Mucogingival surgery, VISTA.
INTRODUCCIÓN
La recesión gingival se define como ubicación del margen gingival apical al límite amelocementario1,2,3. La cirugía plástica periodontal es el conjunto de procedimientos destinados a corregir defectos en la morfología, posición y/o cantidad de encía en torno a los dientes4. La demanda de las cirugías de recubrimiento radicular múltiple ha aumentado durante los últimos años5, siendo la estética la principal indicación para el tratamiento de éstas6. Actualmente, una gran cantidad de opciones terapéuticas están disponibles para el tratamiento de defectos gingivales7. El tratamiento más predecible para ésto, es el colgajo desplazado a coronal con injerto de tejido conectivo (CDC+ITC)8,9. Sin embargo, el uso de ITC presenta desventajas relacionadas con la morbilidad del paciente, además es una complicación al requerir injerto para recesiones múltiples en pacientes con paladar delgado, como también el tiempo de sillón adicional requerido para la obtención de éste. Debido a esto, surgen alternativas de injertos, uno de ellos la matriz de colágeno de porcino reabsorbible (Mucograft®, Geistlich), que parece ser un efectivo sustituto de injerto de tejido blando para el tratamiento de recesiones únicas8 y de recesiones múltiples10.
Dentro de las técnicas de colgajo desplazado a coronal, se encuentra la técnica VISTA (vestibular incision subperiostal tunnel access) descrita por el Dr. Homayoun H. Zadeh el año 2011, la cual fue desarrollada con el fin de evitar ciertas complicaciones que poseen las técnicas de tunelización intrasurcular, como un acceso limitado al túnel y riesgo de desgarro de los tejidos11.
El objetivo de este caso clínico de boca dividida, es evaluar los resultados clínicos obtenidos en el tratamiento de recesiones gingivales Clase III Miller, con la realización de técnica VISTA, y utilización de ITC versus Mucograft®.
MATERIALES Y MÉTODO
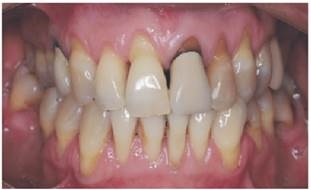
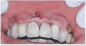
Fue seleccionada una paciente de género femenino, 53 años de edad, con presencia de múltiples recesiones Clase III de Miller y RT2 de Cairo, secuela de enfermedad periodontal y cepillado traumático (fig.1). Se modificó la técnica de cepillado y los elementos de higiene utilizados, además se eliminó el hábito tabáquico de 20 cigarrillos diarios por 25 años, y se le realizó tratamiento periodontal no quirúrgico. Luego, fue informada de las características del estudio dando su consentimiento informado.

Previo al tratamiento quirúrgico y 6 meses posteriores, se recolectaron los siguientes datos del sector comprendido entre pd 1.3 a 2.3:
Todas las mediciones fueron realizadas por el mismo operador. La elección del lado maxilar por el cual se inició la cirugía, lado de colocación de cada injerto y sitio dador, fue al azar mediante una moneda al aire. Todas las recesiones fueron tratadas en el mismo acto quirúrgico con la utilización de la técnica VISTA (vestibular incision subperiostal tunnel access)11. En el lado derecho se utilizó Mucograft® y en el lado izquierdo injerto tejido conectivo (ITC).
Protocolo quirúrgico
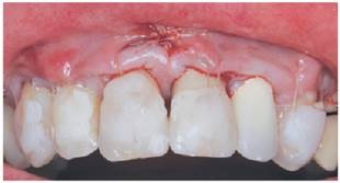
La zona en relación a las recesiones a tratar fue anestesiada con articaína 4% (Septanest®), y luego las superficies radiculares fueron pulidas con cureta Gracey Mini-five 1-2 (Hu-Friedy®). Posteriormente, se realizó una incisión vertical de acceso (hoja 15c Hu-Friedy®) sobre el frenillo medio superior, para lograr un acceso a ambos cuadrantes del maxilar. Esta incisión se realizó con el fin de elevar un colgajo mucoperióstico11 a nivel de encía adherida mediante un tunelizador (TKN2 Hu-Friedy®), alcanzando la zona intrasurcular de piezas 1.4 a 2.4. Posteriormente, a nivel del límite mucogingival, se comenzó a elevar un colgajo mucoso, con el fin de permitir el desplazamiento del colgajo a coronal (fig.2). Una vez eliminada la tensión del colgajo, se procedió a medir la extensión del tejido necesaria para injertar la zona receptora del lado izquierdo y así obtener un injerto libre palatino del lado izquierdo. Se obtuvo injerto libre, ya que permite conseguir un conectivo de mejor calidad y requiere de una técnica menos compleja de obtención. Luego de obtenido, se colocó cemento quirúrgico en la zona dadora, y el injerto se desepitelizó con una hoja de bisturí nueva (hoja 15c Hu-Friedy®). Para posicionar el ITC y el Mucograft® en sus respectivos sitios, se introdujo una sutura reabsorbible multifilamento 5/0 (Safil®) sobre encía adherida en distal de la recesión más distal a injertar de cada lado y se pasó por la incisión vestibular realizada sobre el frenillo medio superior. Luego, la sutura se pasó por el borde de cada injerto y se volvió realizando el camino inverso al de entrada, traccionado el injerto para luego suturarlo en distal y mesial. Una vez posicionado el ITC en la zona receptora del lado izquierdo (pd 2.1 a 2.3) y el Mucograft® en la zona receptora del lado derecho (pd 1.1 a 1.3), el colgajo se desplazó 2mm coronal al LAC, intentando llegar al nivel más coronal de la papila interproximal, fijándolo mediante sutura suspensoria. Para esta técnica de sutura y tracción coronal del colgajo, se realizó un punto simple (sutura reabsorbible multifilamento 5/0, Safil®) 2-3 mm apical al margen gingival de cada diente a tratar, abarcando el ancho del diente. Se acondicionó la cara vestibular de cada diente, en el centro de la corona, con ácido ortofosfórico al 37% por 5 segundos, se lavó con suero y se secó. La sutura fue posicionada y adherida a la cara vestibular de cada pieza con composite (Flow z350 3M®), sin utilización de adhesivo. Posteriormente, la incisión vestibular sobre el frenillo medio superior, se suturó con sutura reabsorbible multifilamento 5/0 (Safil®) (fig.3).


La paciente fue medicada con prednisona 5mg (1 día antes de la cirugía: 20mg, día 0: 15mg, día 1: 10mg, día 2: 5mg) y ketoprofeno 200mg (1 al día por 4 días), y mantenida con un colutorio de clorhexidina al 0,12% (PerioAid®) 2 veces al día durante 21 días, además de indicaciones por escritas entregadas de manejo post-quirúrgico de cirugías mucogingivales6,12.
El retiro del cemento quirúrgico y sutura del paladar se realizó a los 10 días. Las suturas suspensorias adheridas en vestibular de cada diente se retiraron a los 21 días11. Los controles se realizaron cada semana el primer mes, luego cada dos semanas hasta el sexto mes.
RESULTADOS
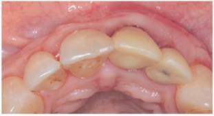
En la figura 4 se observa que ambos injertos logran mejorar el biotipo gingival, sin embargo, con el ITC se obtuvo mayor volumen gingival (fig.5).


La Tabla 1 muestra el resultado de las evaluaciones de ambos sitios quirúrgicos al día 0 y su control a los 6 meses. Se observa que en ambos sitios intervenidos hubo una disminución de las recesiones.

El resultado estético, evaluado en la Tabla 2 mediante el Root Esthetic Score (RES), muestra resultados similares. En relación al color y contorno del margen gingival (CMG), textura de los tejidos blandos (TTB), alineación de la unión mucogingival (UMG) y color de la encía (CE), Mucograft® obtuvo mejores resultados. Se observan diferencias en la posición del margen gingival (PMG), donde en la 1.2 (Mucograft®) se observó menor recubrimiento que la 2.2 (ITC), y en la 1.3 (Mucograft®) mayor que la 2.3 (ITC).

DISCUSIÓN
Se considera un 100% de recubrimiento total de la recesión si, luego de una completa cicatrización, el margen gingival se ubica en el límite amelocementario y el surco mide 2mm o menos, sin sangrado al sondaje13. En recesiones Clase III se puede esperar un recubrimiento radicular parcial3,6,13,14, siendo el CDC+ITC el Gold Standard para el tratamiento de éstas14.
En este estudio, el uso de Mucograft® en el tratamiento de recesiones gingivales Clase III, en adición a un colgajo desplazado a coronal, demostró una temprana cicatrización, obteniendo un buen resultado estético de los tejidos blandos, así como también en el bienestar postoperatorio y aceptación de tratamiento por parte del paciente. Por otra parte, el ITC obtuvo inferior resultado en algunos parámetros estéticos. Sin embargo, a los 6 meses, se fue observando mayor cobertura con el ITC, lo que se podría asociar al creeping attachment.
Las diferencias obtenidas en el RES pueden deberse a otros factores asociados al sitio, como presencia de provisorio en pieza 2.2 con exceso de cemento y en pieza 1.1 la sutura realizada en la incisión vestibular, puede haber influido en el resultado estético obtenido (UMG).
Además, a pesar de que todas las recesiones fueron clasificadas como III de Miller, no todas presentaban exactamente la misma cantidad de pérdida de tejido interproximal; lo que concuerda con una de las críticas de esta clasificación, que es el poco claro procedimiento para evaluar la pérdida de tejido interproximal para diferenciar entre clase III y IV14). Para determinación del porcentaje de cobertura esperado utilizamos la fórmula de Zucchelli ya que en la mayoría de las piezas tratadas no presentaban un LAC visible6,14. Sin embargo, el LAC no se reconstituyó previo a la cirugía y las abfracciones no fueron evaluadas, lo que podría haber condicionado el resultado de cubrimiento de la recesión y/o volumen obtenido.
CONCLUSIÓN
El presente reporte de caso, dentro de sus limitaciones, muestra que el uso de cualquiera de estos injertos logra a los 6 meses, una cobertura radicular parcial en recesiones gingivales clase III, concordante a lo que indica la literatura.
Ambos injertos logran mejorar el fenotipo, sin embargo, el ITC provee mayor volumen gingival.
Las diferencias observadas en el porcentaje de recubrimiento radicular y en el RES son más atribuibles a factores locales del sitio receptor, que inherentes al injerto utilizado.
Se requieren nuevos estudios clínicos randomizados, de mayor tiempo de seguimiento, con mayor cantidad de casos, para realizar comparaciones más estandarizadas de ambos tipos de injertos




Bibliografía
1. Wennström JL. Mucogingival therapy. Ann Periodontol.1996;1:671-701.
2. Cairo F, Rotundo R, Miller PD, Pini Prato GP. Root coverage esthetic score: A system to evaluate the esthetic outcome of the treatment of gingival recession through evaluation of clinical cases. J Periodontol. 2009;80:705-10.
3. Cortellini P, Pini Prato G. Coronally advanced flap and combination therapy for root coverage. Clinical strategies base don scientific evidence and clinical experience. Periodontol 2000. 2012;59:158-184.
4. Miller PD. Regenerative and reconstructive periodontal plastic surgery. Mucogingival surgery. Dent Clin North Am.1988;32:287-306
5. Lai P, Greenwell H. Root coverage procedures for multiple recession defects. Curr Oral Health Rep. 2017;4:97-104.
6. Zucchelli G, Mele M, Stefanini M, Mazzotti C, Mounssif I, Marzadori M, Montebugnoli L. Predetermination of root coverage. J Periodontol . 2010;81:1019-1026.
7. Cairo F, Pagliaro U, Nieri M. Treatment of gingival recession with coronally advanced flap procedures. A systematic review. J Clin Periodontol. 2008;35:136-162.
8. McGuire M, Scheyer E. Xenogeneic collagen matrix with coronally advanced flap compared to connective tissue with coronally advanced flap for the treatment of dehiscence-type recession defects. J Periodontol . 2010;81:1108-1117.
9. Deliberador TM, Furman DF, Chaves LH, Mueller CL, Rychuv F, Villabona CA. Mucograft® as an alternative treatment in the management of multiple gingival recessions: Case Report. J Int Oral Health.2016;8:1123-1127
10. Rotundo R, Pini-Prato G. Use of a new collagen matrix (Mucograft) for the treatment of multiple recessions: Case reports. Int J Periodontics Restorative Dent. 2012;32:413-419.
11. Zadeh HH. Minimally invasive treatment of maxillary recession defects by vestibular incision subperiostal tunnel acces and platelet-derived growth factor BB. Int J Periodontics Restorative Dent .2011;31:653-60.
12. Burkhardt R, Lang NP. Fundamental principles in periodontal plastic surgery and mucosal augmentation. A narrative review. J Clin Periodontol .2014;41:98-107.
13. Miller PD Jr. A classification of marginal tissue recession. Int J Periodontics Restorative Dent.1985;5:8-13.
14. Zucchelli G, Mounssif I. Periodontal plastic surgery. Periodontol 2000 .2015;68:333-368
Notas
Notas de autor
*Correspondencia autor. María Fernanda Rubio | Dirección: Ramón Harriet 208, Punta del Este, Lonco Norte, Chiguayante. Concepción. | Celular: +56982497212 | E-mail:fernandarubiom@gmail.com
Declaración de intereses