Resumen: El síndrome de Rendu-Osler-Weber (SROW), conocido también como Telangiectasia Hemorrágica Hereditaria (THH), es un desorden vascular infrecuente. Se trata de una alteración vascular displásica multisistémica de carácter autosómico dominante, con diversas complicaciones, siendo las malformaciones arterio-venosas (MAV) responsables de la morbimortalidad de los pacientes cuando no son diagnosticadas ni tratadas a tiempo. Muchas veces este síndrome presenta síntomas sutiles, por lo que puede pasar desapercibida clínicamente. Presentamos un caso de una paciente femenina de 51 años, con historia de epistaxis frecuentes quien acude a nuestro hospital por presentar cefalea de fuerte intensidad, meningismo y pérdida de la consciencia. La tomografía axial computada (TAC) de cráneo identificó hemorragia sub aracnoidea (HSA) difusa. La angiografía cerebral permitió identificar aneurisma arteria comunicante anterior (AcoA) roto que fue tratado por vía endovascular, sin eventualidades. Además, se observó telangectasias mucosas nasales múltiples y fistula arterio-venosa (FAV) dural occipital izquierda. Estudios ulteriores permitieron identificar MAV pulmonares múltiples. Se confirmó el diagnóstico de SROW, con criterios de diagnóstico vigentes (criterios de Curazao). Durante los tres meses posteriores a su egreso el paciente presentó hemoptisis severa y disnea, que no pudo ser tratada a tiempo por lo que falleció.
Palabras clave:Síndrome de Rendu Osler WeberSíndrome de Rendu Osler Weber, malformaciones arterio-venosas malformaciones arterio-venosas, telangiectasia hemorrágica hereditaria telangiectasia hemorrágica hereditaria.
Abstract: Osler-Weber-Rendu syndrome (OWRS), also known as Hereditary Hemorrhagic Telangiectasia (HHT) is a rare, autosomal dominant, dysplastic vascular disorder that usually presents with subtle symptoms, causing frequent delays in diagnosis that lead to many complications, with arteriovenous malformations as the responsible for the highest morbidity and mortality. We present a case of a 51 year old female with history of multiple episodes of epistaxis that presents to the ED with severe headache and shortly thereafter, loss of consciousness. Workup included a CT scan of brain that demonstrated subarachnoid hemorrhage and an Angiogram, that depicted and anterior communicating artery aneurysm. Patient underwent endovascular treatment without complications and other findings included multiple nasal mucosal telangiectasias, left occipital dural arteriovenous Fistula and multiple pulmonary arteriovenous malformations. Diagnosis of HHT was confirmed by the Curazao criteria. Three month later after discharge from hospital she came back to the ED with severe hemoptysis and dyspnea. She died shortly that day without time for surgical treatment.
Keywords: Osler Weber Rendu syndrome, arteriovenous malformations, hereditary hemorrhagic telangiectasia.
Síndrome de Rendu-Osler-Weber: presentación de un caso clínico
Osler-Weber-Rendu Syndrome: a case report
Recepción: 08 Marzo 2016
Aprobación: 19 Junio 2016
Publicación: 26 Junio 2016
El síndrome de Rendu-Osler-Weber (SROW) fue descrito por primera vez en el año 1876, por John Wickham Legg y, posteriormente, por Henri Jules Rendu y Frederick Parkes Weber, en 1896. En el año 1901, William Osler describió 3 pacientes que padecían una forma familiar rara de hemorragias nasales recurrentes (epistaxis), asociada con dilatación de muy pequeños vasos sanguíneos que daba lugar a manchas color púrpura de aspecto de araña en piel y mucosas (telangectasias). Se trata de una angiopatía neoformativa de telangiectasias circunscritas que, al romperse, determinan síndromes hemorrágicos locales (1,2). Este síndrome es infrecuente, se trata de una alteración vascular displásica multisistémica de carácter autosómico dominante con una prevalencia de 2 casos por 100.000 personas. Es más frecuente en algunas áreas geográficas, como en la isla danesa de Fyn, las Antillas Danesas y en algunas regiones de Francia. Esta enfermedad afecta principalmente a pacientes caucásicos, aunque existen reportes ocasionales en pacientes asiáticos y árabes. Afecta por igual a ambos sexos. Se hace sintomático más comúnmente durante la pubertad o adultez (20-40 años), aunque también puede presentarse en niños (3).
Muchos casos del SROW presentan síntomas sutiles, por lo que puede ser sub-diagnosticada. Esta enfermedad se ha asociado con diversas complicaciones, siendo las malformaciones arteriovenosas (MAV) responsables de la morbi-mortalidad en estos pacientes cuando no son diagnosticadas ni tratadas a tiempo (3,4). Las malformaciones arteriovenosas pulmonares, son las más frecuentes en niños y adultos y se detectan por la aparición de hemoptisis, disminución de la capacidad de ejercicio, dolor torácico o la auscultación de un soplo al final de la inspiración. Presentan manifestaciones relacionadas con del “shunt” o derivación de derecha a izquierda como disnea de esfuerzo, cianosis, hipocratismo digital y manifestaciones neurológicas, tales como accidentes isquémicos transitorios, constituidos o abscesos cerebrales (5,6). Aproximadamente en el 80% de los pacientes con telangiectasia hemorrágica hereditaria (THH), muestran una mutación en el gen de la endoglina (ENG) o receptor de activina-kinasa tipo 1 (ALK1). Las hemorragias nasales recurrentes debido a las telangiectasias mucosas son los síntomas más frecuentes y presentan un problema de salud relacionados con THH importante que afecta la calidad de vida del paciente (7). En el presente reporte presentamos un caso clínico de una paciente de 51 años con cefalea intensa severa y hemorragia sub aracnoidea (HSA) difusa. Se muestran los hallazgos angiográficos así como los estudios clínicos e imagenológicos, que permitieron identificar el aneurisma cerebral roto y corroborar el diagnóstico de THH.
La paciente, una mujer de 51 años de edad, ingresa al hospital por presentar cefalea de fuerte intensidad con pérdida de la consciencia. En relación a sus antecedentes personales, manifiesta presentar epistaxis recurrentes desde la juventud y dificultad respiratoria de larga data evaluada clínicamente sin diagnostico definido. Al realizarle el examen físico se encontró, dedos en palillo de tambor, palidez cutáneomucosa, presencia de telangiectasia en región malar y petequias en mucosa oral, así como también disnea a pequeños esfuerzos, sin déficit neurológico. Los antecedentes familiares fueron no contributorios. Los análisis paraclínicos demostraron poliglobulia e hipoxemia (HGB: 15 g/dl, HCT: 49 %, H.C.M: 25,1 pg. Gases arteriales: Ph: 7,4. pCO2: 35 mmHg; pO2: 29 mmHg; HCO3: 22 meq/L; SAT O2: 55%; Dímero D: 0,4 mg/L.
Seguidamente, se realizaron estudios imagenológicos que evidenciaron lo siguiente:
En la radiografía de tórax, en proyección postero-anterior y lateral, se observaron múltiples imágenes radio densas, homogéneas, redondeadas, de contornos bien definidos, distribuidas en ambos campos pulmonares, la de mayor tamaño ubicada en tercio superior de hemitórax izquierdo. Además, prominencia del tronco de la arteria pulmonar izquierda y cardiomegalia (figuras 1a y 1b).
La tomografía axial de cráneo sin contraste (figuras 1c y 1d), demostró la presencia de HSA tipo Fisher grado II a nivel de lóbulos occipitales y parietales. En la Arteriografía cerebral con sustracción digital en carótida externa izquierda, se observó FAV dural distal occipital izquierda con múltiples aferentes hacia seno transverso homo lateral con buen drenaje venoso anterógrado.

Así mismo, se observaron múltiples telangiectasias con opacificación difusa y anormal de la mucosa nasal con irrigación aferente distal de arterias pterigopalatinas (figuras 2a y 2b). La arteriografía cerebral digital con reconstrucciones 3D en carótida interna izquierda, demostró aneurisma sacular roto bilobulado de 6 mm y cuello amplio a nivel de arteria comunicante anterior (ACoA) (figura 2c). En vista de estos hallazgos angiográficos que sugerían ruptura reciente del aneurisma de ACoA, la paciente fue tratada en estado clínico agudo con técnica endovascular de embolización con micro coils, ocluyendo la lesión completamente, sin complicaciones.

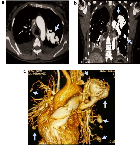
Adicionalmente, durante su hospitalización se le practicó tomografía computarizada de tórax con contraste, reconstrucciones multiplanares axiales (figura 3a), coronales (figura 3b) y reconstrucción 3D (figura 3c); demostraron múltiples MAV pulmonares bilaterales, con lesión dominante y prominente en lóbulo superior izquierdo, así como también derrame pleural bilateral, más acentuado del lado derecho.

Durante la hospitalización la paciente evoluciono satisfactoriamente, por lo que fue egresada 10 días posteriores al tratamiento en buenas condiciones generales. Se le explico a ella y su familia el diagnóstico clínico y la necesidad del tratamiento endovascular de las lesiones vasculares residuales en pulmón y mucosas nasales. Por ello se programó nuevo procedimiento para los 3 meses posteriores a su egreso. Sin embargo, antes de la fecha acordada, se presentó con hemoptisis severa indetenible, que no respondió a esfuerzos médicos agresivos en la emergencia, razón por la cual murió antes de poder ser intervenirla quirúrgicamente.
El SROW es una enfermedad vascular rara, que se caracteriza por la presencia de múltiples telangiectasias con tendencia a sufrir hemorragias localizadas principalmente en la nariz y en las vías urinarias, aunque también es posible que se desarrollen anomalías vasculares internas al nivel del cerebro, pulmones, hígado, tracto gastrointestinal, laringe, vejiga y vagina. Las telangiectasias suelen verse en labios, lengua y mucosa nasal, y también pueden afectar otras zonas como la cara y las orejas (8-10). El diagnóstico inicial de esta patología continúa basándose en la presencia de signos clínicos compatibles junto con la historia familiar. Para el diagnóstico molecular es necesario secuenciar las regiones codificantes completas de los genes ALK1 y ENG, a pesar de que sólo es posible diagnosticar THH en el 70 % de los casos, ya que se han detectado nuevas variaciones en secuencias de desconocida significancia clínica. El test genético no es positivo en el 100 % de los pacientes con THH, es posible encontrar mutaciones diferentes en el mismo grupo familiar (11).
Un comité de expertos reunidos en el año 1999 en la isla de Curazao y definió los criterios diagnósticos del síndrome de Rendu Osler Weber, actualmente vigentes, conocidos como criterios de Curazao (12). Para considerarse portador del síndrome se deben cumplir al menos 3 de los siguientes criterios: 1) Epistaxis espontaneas y recurrentes; 2) Telangiectasias múltiples en piel y mucosas; 3) Malformaciónes arterio-venosas viscerales probadas (Gastrointestinales, pulmonares, hepáticas, cerebrales y espinales); y 4) Herencia familiar en primer grado con THH (autosómica dominante).
Los estudios para el diagnóstico de las MAV incluyen: Ecosonografia doppler visceral, tomografía de alta resolución combinada con reconstrucción 3D, resonancia magnética nuclear, endoscopia y angiografía digital, que es el método diagnostico de elección por su alta sensibilidad y especificidad. En el presente caso, el diagnóstico se basó fundamentalmente en la clínica y en estudios de imágenes. Considerando los criterios diagnósticos señalados, teniendo en cuenta la presentación clínicos y los estudios realizados, se confirmó el diagnóstico de SROW en la paciente presentada.
Este síndrome es hereditario, con un rasgo autosómico dominante, por lo que basta que uno de los padres la padezca para que el hijo pueda resultar enfermo (5). Se reconocen cinco tipos genéticos de HHT. De éstos, tres han sido relacionados con determinados genes, mientras que los dos restantes han sido actualmente sólo asociados a un determinado lugar. Más de 80% de todos los casos de HHT se deben a mutaciones en cualquiera ENG o ACVRL1, pero puede identificarse en otros genes como el SMAD4 (13,14). Sin embargo, en el caso clínico presentado, la paciente no tenía antecedentes familiares de la enfermedad. Cuando algunos portadores expresan el gen, pero otros no, se habla de penetrancia incompleta. Esto podría explicar la presentación en nuestro caso y el por qué, si esta enfermedad es dominante, no tuvo ninguna expresión fenotípica en la ascendencia de la paciente.
El tratamiento sintomático del sangrado oral y nasal, junto con la prevención de las posibles complicaciones hemorrágicas es el procedimiento terapéutico habitual. Sin embargo, en presentaciones agresivas y recurrentes la embolización endovascular con partículas es el método de elección, con mínima morbi-mortalidad. La recurrencia tras tratamiento endovascular es muy baja (5%), dependiendo fundamentalmente de la complejidad y número de lesiones a tratar (11). En el caso presentado la paciente se presentó con HSA y aneurisma cerebral de ACoA, el cual se procedió a embolización completa sin complicaciones. Otras presentaciones hemorrágicas comunes de este síndrome son hemorragias internas en órganos que presentan lesiones vasculares malformativas. La paciente presentó antes de 3 meses a su egreso en buenas condiciones, hemoptisis severa intratable debida seguramente a MAV pulmonar rota que no pudo ser embolizada, por lo cual fallece. Los familiares rechazaron la autopsia y el complemento de los estudios genéticos.
El conocimiento de la presentación clínica y los hallazgos imagenológicos típicos de este síndrome por parte de médicos que atienden nuestras instituciones públicas y privadas, son indispensables en el diagnóstico y seguimiento de sus complicaciones. Así mismo, es necesario realizar estudios con un mayor número de pacientes con este síndrome, que asisten nuestro recinto hospitalario de manera de evaluar su incidencia local. Por último, es importante destacar el papel de los estudios por imágenes así como los especialistas del área radiológica para el diagnóstico, tratamiento y seguimiento en lesiones vasculares de alto riesgo en el SROW para prevenir complicaciones en estos pacientes (15).
ebustamante@uc.edu.ve


