Revisiones y Estado Actual del Problema
Citopatología del cáncer en pacientes pediátricos. Revisión bibliográfica
(Cytopathology of cancer in pediatric patients. Bibliographic review)
Citopatología del cáncer en pacientes pediátricos. Revisión bibliográfica
Avances en Biomedicina, vol. 6, núm. 1, pp. 48-58, 2017
Universidad de los Andes
Recepción: 14 Agosto 2016
Aprobación: 08 Diciembre 2016
Publicación: 27 Diciembre 2016
Resumen: El cáncer en pacientes pediátricos es considerado poco frecuente, representando el 2% de todos los cánceres. Los tumores malignos pediátricos suelen presentar dificultades diagnósticas, especialmente en biopsias pequeñas y muestras citológicas. El fin de esta revisión bibliográfica es proporcionar un marco para abordar el diagnóstico citológico de las neoplasias pediátricas, describir las características epidemiológicas y los hallazgos citológicos mediante el método diagnóstico de la punción aspiración con aguja fina (PAAF) de las diferentes neoplasias malignas que afectan a los pacientes pediátricos. A pesar de la sensibilidad, especificidad y ventajas brindadas por la PAAF en el diagnóstico del cáncer pediátrico, la utilidad de la misma como método de rutina en el diagnóstico del cáncer pediátrico es baja. Es importante tomar en cuenta la amplia gama de diagnósticos citológicos e histológicos que existen en torno al cáncer pediátrico y conocer los criterios diagnósticos de cada uno, con el fin de emitir un diagnóstico más preciso.
Palabras clave: Cáncer, pediatría, citología, citopatología, PAAF, patología, neoplasia.
Abstract: Cancer in pediatric patients is considered uncommon, representing arroun 2% of all cancers. Pediatric malignancies usually present diagnostic difficulties, especially in small biopsies and cytological specimens. The aim of this review is provide a guideline to address the cytological diagnosis in pediatric neoplasms, describe the epidemiological characteristics and cytological findings by using fine needle aspiration (FNA) as adiagnostic method in different malignancies that affect pediatric patients. Although the sensitivity, specificity and advantages offered by FNA in pediatric cancer diagnosis, the utility of it as a routine method is low. It is important to take into account the diversity and diagnostic criteria of the cytological and histological studies that exist around pediatric cancer in order to give a more accurate diagnosis.
Keywords: Cancer, pediatrics, cytology, cytopathology, FNA, pathology, neoplasm.
Introducción
El cáncer en pacientes pediátricos es considerado poco frecuente, representando el 2% de todos los cánceres, el porcentaje restante se presenta en la edad adulta. Sin embargo, el cáncer pediátrico constituye la segunda causa de muerte en niños mayores de 4 años. En el cáncer pediátrico, las leucemias representan el 30% de los casos y los tumores sólidos el 70% (1).
Los tumores malignos pediátricos suelen presentar dificultades diagnósticas, especialmente en biopsias pequeñas y muestras citológicas. Esto se debe en parte a la baja incidencia de estos tumores, los diferentes factores de riesgos y asociaciones, y el espectro de diferentes entidades diagnósticas en comparación con los tumores que surgen en los adultos, la complejidad diagnóstica aumenta por las similitudes morfológicas entre varios tumores (2).
La citología por aspiración con aguja fina (PAAF) es una técnica diagnóstica bien establecida para la evaluación de lesiones masivas en pacientes adultos. La citología por PAAF es un procedimiento rápido, seguro, mínimamente invasivo, con buena aceptación por el paciente y de baja morbilidad. Sin embargo, su utilidad en los pacientes pediátricos en comparación con pacientes adultos es baja (3).
El fin de esta revisión bibliográfica es proporcionar un marco para el abordaje diagnóstico citológico de las neoplasias pediátricas, conceptualizar las categorías diagnósticas, describir las características epidemiológicas de las lesiones, analizar y describir los hallazgos citológicos mediante el método diagnóstico de la punción aspiración con aguja fina (PAAF) de las diferentes neoplasias malignas, que afectan a los pacientes pediátricos dado la gran heterogeneidad histológica y complejidad diagnóstica que estas presentan.
Clasificación de las neoplasias infantiles: Tipos de tumores e incidencia
El sistema de clasificación utilizado con mayor frecuencia en el diagnóstico de cáncer pediátrico es la clasificación internacional de cáncer infantil (I.C.C.C. International Classification of Childhood Cancer). Este sistema de clasificación brinda 12 categorías histológicas (tabla 1) en las cuales se ven reflejadas similitudes morfológicas en lugar de ubicaciones anatómicas (4, 5). A continuación se describen las características epidemiológicas de las neoplasias de mayor incidencia de cada una de las categorías.
Leucemias, enfermedades mieloproliferativas, y enfermedades mielodisplásicas. En esta revisión se consideraron las características epidemiológicas y su relación con la edad de la leucemia linfoblástica aguda (LLA), ya que la misma representa el 76% de todas las leucemias. La LLA (incluida en subgrupo Ia) en Estados Unidos representa 12% de todas las leucemias diagnosticadas, un aproximado del 60% de los casos se presenta en pacientes menores de 20 años. La LLA es la neoplasia con mayor incidencia diagnóstica en pacientes menores de 15 años, presentando un pico de incidencia entre los 2 y los 5 años de edad. La LLA constituye la cuarta parte de las neoplasias diagnosticadas en este grupo etario (6). Por su parte la leucemia mieloide aguda (LMA) representa, aproximadamente, el 25% de las leucemias pediátricas (7). La LMA es subdividida en 7 grupos por la organización mundial de la salud, los cuales son: 1) LAM con anomalías genéticas recurrentes; 2) LAM con displasia; 3) LAM relacionadas con tratamientos previos (agentes alquilantes o inhibidores de la topoisomerasa II); 4) LAM no categorizadas previamente (que incluyen: a) Subtipos de la clasificación FAB; b) Leucemia aguda basofílica, y c) Panmielosis aguda con mielofibfrosis); 5) Sarcoma mieloide; 6) Proliferaciones mieloides en relación con el síndrome de Down, y 7) Neoplasias de células blásticas dendríticas plasmocitoides (8).
Linfomas y Neoplasias del reticuloendotelial. Los linfomas, como gran grupo, representan la segunda causa de cáncer infantil en Latinoamérica. Representan aproximadamente el 10% de las neoplasias pediátricas, afectando mayormente a varones que a hembras, con una relación 3:1. De los dos grandes grupos de los linfomas, el linfoma no hodgkin representa el 60% de los casos, mientras que el linfoma de hodgkin aproximadamente el 40%. En los linfomas se puede evidenciar un pico de incidencia entre los 5 y los 10 años de edad (1, 9).
Sistema nervioso central y otras neoplasias intracraneales e intraespinales. Los tumores del Sistema Nervioso Central (SNC) presentan una incidencia anual de 10 y 17 casos por cada 100,000 personas. Representan el 20% de todas las neoplasias malignas pediátricas (10). Ejemplos puntuales de estas patologías del SNC son: el ependimoma (incluido en el subgrupo IIIa) el cual constituye casi el 4% de los tumores neuroepiteliales y aproximadamente el 6% de los tumores intracraneales en edad pediátrica. En pacientes menores de 3 años representa el 30% de todos los tumores intracraneales. La edad de mayor incidencia se estima entre los 6 años de edad (11). El astrocitoma pilocítico (incluido en el subgrupo IIIb) es de las neoplasias del SNC de mayor incidencia en pacientes pediátricos, el 75% de los casos se presentan entre la primera y segunda década de vida. Afectando ambos sexos por igual (12). El meduloblastoma (incluido en el subgrupo IIIc) presenta una incidencia en Estados Unidos de 1,5-2 casos por cada 100.000, se reportan, aproximadamente, 350 nuevos casos al año. Tiene como edad media de inicio los 9 años (13).
Neuroblastoma y otros tumores de células de nervios periféricos. El neuroblastoma es un tumor solido que deriva de las células de la cresta neural y medula suprarrenal, considerado por algunos autores como el tumor solido más frecuente en la infancia (Europa y Estados Unidos) y por otros autores como el segundo (Latinoamérica). Representa del 8 al 10% de los tumores pediátricos, considerada la neoplasia maligna más común en pacientes entre los primeros 12 meses de vida. La edad promedio de presentación y diagnóstico se estima entre los 18 y 22 meses. El 70% de los casos se presentan en las glándulas suprarrenales (14, 15).

Retinoblastoma. El retinoblastoma (Rb) es el tumor maligno primario más frecuente en pacientes pediátricos, tiene una mayor incidencia en niños menores de 5 años de edad, con una incidencia anual que varía en todo el mundo desde 36/1.000.000 nacidos vivos a 67/1.000.000 nacidos vivos. Las tasas de incidencia reales pueden ser difíciles de estimar sobre todo en los países que carecen de un registro nacional de desarrollo de Rb (16).
Tumores renales. El tumor de Wilms representa aproximadamente el 6% de todos los cánceres pediátricos y es el tumor renal maligno más frecuente en la infancia. La mayoría son diagnosticados antes de los 5 años de edad (17).
Tumores hepáticos. El hepatoblastoma es el tumor hepático maligno más común en los niños; representa el 50% de los tumores en el hígado y el hepatocarcinoma 1,3% de los tumores malignos en los niños (18). Aproximadamente el 68% de los hepatoblastomas son diagnosticados en pacientes menores de 2 años y únicamente el 4% son diagnosticados al momento del nacimiento (19).
Tumores óseos malignos. El osteosarcoma es el tumor óseo maligno primario más común en la infancia y la adolescencia, sin embargo, es una neoplasia poco frecuente. La incidencia varía significativamente con la edad, con una mayor incidencia entre los 10 a 20 años de edad, afectando principalmente las extremidades (20). El sarcoma de Ewing es la segunda neoplasia maligna primaria de origen óseo más común en la infancia y la adolescencia, con una frecuencia anual en la población menor de 20 años de aproximadamente el 2,9/1.000.000. La edad pico del sarcoma de Ewing es de 15 a 17 años (21).
Sarcomas de partes blandas y otras ubicaciones extra-óseas. Los sarcomas son neoplasias mesenquimales, con una importante heterogeneidad celular y por ende una gran cantidad de neoplasias, el rabdomiosarcoma (RMS) es el sarcoma de mayor incidencia en edades pediátricas, con una incidencia anual de 4,3/1.000.000 en una población menor de 20 años. Aproximadamente 3 de cada 4 casos ocurren en pacientes menores de 10 años, con un pico de incidencia entre los 3 y 5 años (22).
Tumores de células germinales, tumores trofoblásticos y neoplasias de las gónadas. Los tumores malignos de células germinales (TCG), muestran una importante heterogeneidad desde el punto de vista histológico y anatómico, se producen en todas las edades, con picos de incidencia en la infancia y la edad adulta. De todos los cánceres en pacientes de 0 a 14 años, los TCG representan el 3,3%; mientras que, en el grupo de edad de 15 a 24 años, la proporción aumenta hasta el 13,8%. Los tumores testiculares, de los cuales la gran mayoría son los TCG, representan la neoplasia maligna de mayor incidencia en hombres jóvenes de 15 a 44 años, y se estima que la incidencia de estos cánceres se ha duplicado en los últimos 40 años. En contraste con TCG de testículo, en ovario los TCG representan únicamente el 3% de todos los tumores malignos de ovario. Sin embargo, los TCG son el tumor ovárico maligno más común en las mujeres de edad inferiores a los 20 años (23).
Citopatología Pediátrica
Basados en la ICCC se tomaron en cuenta las neoplasias de mayor incidencia y se describen las características citomorfológicas de las mismas.
Leucemia. Leucemia linfoblástica aguda (LLA): El examen citológico del líquido cefalorraquídeo (LCR) es médicamente aceptado como un procedimiento importante para la detección de procesos metastásicos que implican el sistema nervioso central (SNC). Un aspecto importante de este examen es en el diagnóstico precoz de la leucemia y procesos linfomatosos. Especialistas en el área han sugerido el papel de la citopatología de LCR en el seguimiento clínico de pacientes con leucemia/linfoma del SNC (24).
Las muestras de LCR normales son acelulares o contienen pocas células 0-5 células/μL, constituido casi exclusivamente por linfocitos y monocitos, además de escamas anucleadas. El incremento en el número normal de linfocitos del LCR y la presencia de linfocitos anormales (reactivos o atípicos) es un hallazgo morfológico observado no sólo en el linfoma/leucemia, sino también en las infecciones y otras enfermedades neurológicas de evolución crónica (25). Características puntuales de esta patología son el incremento del tamaño de las células linfoides, los núcleos son hipercromáticos y se presenta de forma redonda u oval. Estas células tienen escaso citoplasma y altas proporciones de núcleo/citoplasma. La cromatina se presenta fina granular. Se pueden observar uno o varios nucléolos en algunas de estas células. Además, estas células linfoides presentan citoplasma basófilo mediante la tinción May-Giemsa. El diagnóstico definitivo de la ALL es difícil de establecer (26).
Para el diagnóstico de los LCR la aplicación de la citometría de flujo es de gran valor y aumentan la sensibilidad de la citología en el diagnóstico de leucemia/linfoma, pero no proporcionan información sobre la morfología de las células. La citología es el método de elección en LCR para el diagnóstico de tumores no hematológicos primarios o metastásicos y procesos inflamatorios (25).
Linfomas. Linfoma No Hodgkin y Linfoma de Hodgkin. El diagnóstico de Linfoma No Hodgkin mediante citología por PAAF puede resultar complejo al momento de clasificar el subtipo histológico del linfoma. La imagen clásica de los linfomas no hodgkin en citología por PAAF muestran una sustitución de la población polimorfa normal de los ganglios linfáticos por una alta celularidad y una población monótona de células linfoides atípicas con o sin nucléolos prominentes y mitosis anormales, además se puede observar amoldamiento nuclear y aplastamiento cromatínico (27, 28).
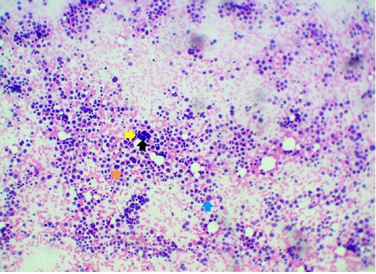
Los casos de linfoma no hodgkin pueden subdividirse en células pequeñas, de células grandes y tipos de células mixtas dependiendo del predominante de población de células en el frotis. Los linfomas no hodgkin de células pequeñas muestran células individuales con núcleos pequeños y redondos u ovalados, la cromatina aglutinada con o sin nucléolos. Los linfomas no hodgkin de células mixtas muestran una población de células pequeñas y grandes, las células pequeñas son redondas con escaso citoplasma, núcleos redondos y hendidos, cromatina fina y nucléolos poco llamativos. Mientras que las células grandes tienen grandes núcleos redondos a ovalados con cromatina aglutinada y nucléolos prominentes (figura 1). La imagen citológica de los linfomas no hodgkin de células grandes presenta grandes células hendidas y no hendidas. Las células grandes no hendidas presentan núcleos redondos u ovalados y uno o más nucléolos diferenciados. Las células grandes hendidas muestran núcleos irregulares, cromatina vesicular, con nucléolos diferenciados (27).
El diagnóstico del linfoma de Hodgkin (LH) mediante la citología por PAAF se basa en la demostración de las células de Reed-Sternberg en un fondo con componentes celulares reactivos apropiados. Las células de Reed-Sternberg son células grandes, se estima una medida entre 15 y 45 μm, presentan un núcleo grande bilobulado o multilobulado (aspecto de núcleo en espejo) en cada lóbulo nuclear se evidencian nucléolos prominentes, generalmente, acidófilos. El fondo celular suele estar constituido por células linfoides en diversos estadios de maduración, se pueden evidenciar también eosinófilos, la población celular presenta un aspecto heterogéneo (29).
Sistema nervioso central. Ependimoma y Astrocitoma pilocitico. En el LCR los ependimomas pueden mostrar características muy discretas, entre ellas observamos células de aspecto epitelioide dispersas y en algunos casos agrupadas, los núcleos presentan agrandamientos y una de las principales características es su ubicación excéntrica, presentan nucléolos pequeños y discretos, y el citoplasma finamente granular (30).
Los astrocitoma pilocítico presentan las llamadas células “piloid” (ahusadas) bipolares que exhiben procesos muy largos. Los núcleos son delicados sin mayor atipia y uniformes con contornos suaves. Se evidencian fibras de Rosenthal eosinofílica con un polo o extremo romo y el otro cónico, suelen estar rodeadas por células que presentan citoplasma y núcleo redondeados, mal definido. La presencia de mechones mixoides metacromáticos en el fondo es una pista adicional para el diagnóstico. Presencia de células grandes con cambios atípicos y degenerativos, las cuales pueden presentar múltiples núcleos dispuestos periféricamente como "peniques en un plato" (31).
Meduloblastoma. A pesar de su incidencia, no es usual observar esta neoplasia en citología de LCR. La imagen citológica presenta células de tamaño pequeño a mediano, con núcleos hipercromático y citoplasma escaso, el nucléolo puede ser prominente. La principal característica citológica es el amoldamiento nuclear (31). Sin embargo, no es una característica distintiva de esta neoplasia, ya que la comparte con otros tumores de células pequeñas.
Neuroblastoma. El diagnóstico citológico de esta patología puede resultar complejo, con el fin de facilitar el diagnóstico de la misma algunos autores aplican 3 indicadores/marcadores a los criterios diagnósticos, siendo el número 1 el nivel más bajo del criterio morfológico y el 3 el criterio morfológico adecuado para el diagnóstico. Los criterios para el diagnóstico citológico del neuroblastoma son 5 (32).
El primer marcador es la celularidad, con una puntuación de 1 indica que el número de células fueron satisfactorias o escasas, una puntuación de 2 indica que el número de células es más que satisfactoria o moderada, y una puntuación de 3 indica hipercelularidad. Varios miles de células para el diagnóstico correcto (32).
El segundo criterio es el porcentaje de estroma frente neuroblastos, la puntuación de 1 indica que el frotis está constituido 2/3 estroma y 1/3 neuroblastos, una puntuación de 2 indica 1/3 de estroma y 2/3 neuroblastos, y una puntuación de 3 indica sólo neuroblastos (32).
El tercer criterio es la madurez celular. Una puntuación de 1 indica 100-10% de células maduras, una puntuación de 2 indica un 9-1% de células maduras y una puntuación de 3 indica únicamente células inmaduras (neuroblastos) (32).
En cuarto lugar tenemos el índice de mitosis y cariorrexis (MKI), con una puntuación de 1 se indica una MKI de 0% a 2%, una puntuación de 2 indica un MKI del 3% al 4%, y una puntuación de 3 indica un MKI de >4% (32).
Por último, tenemos las rosetas de Homer Wright, con una puntuación de 1 indica ausente o pocas, un 2 indica moderada y una puntuación de 3 indica numerosas rosetas de Homer Wright (32).
Retinoblastoma. El retinoblastoma suele ser diagnosticado, desde el punto de vista citológico, mediante el análisis de LCR. Los hallazgos citológicos muestran frotis altamente celulares o con moderada celularidad, frecuentemente se evidencian grupos grandes (> 20 células) de células atípicas. Las células tumorales presentan de mediano a gran tamaño, con escaso citoplasma, los núcleos suelen ser angulados, y los nucléolos son escasos o ausentes. Presenta características de un "tumor de células redondas/pequeñas", tales como un aumento de la relación N/C y amoldamiento nuclear (33).

Tumores renales. Tumor de Wilms. Los frotis de esta patología presentan células dispuestas en grupos o sábanas y racimos de tamaños variables, así como células aisladas. Las células pueden presentar morfología redonda, poligonal o ligeramente alargada, la relación núcleo/citoplasma se encuentra elevada. El citoplasma va de escaso a moderado (34).
Las sábanas y grupos de células tumorales podrían dividirse en cuatro categorías o patrones morfológicos dependiendo del grado y tipo de diferenciación mostrado por las células. En primer lugar, el patrón blastemal en racimos. Las células tumorales son inmaduras con una alta relación núcleo/citoplasma. Las células presentan una morfología redonda y/o ligeramente alargada, núcleos con cromatina “grumosa” y escaso citoplasma. El segundo patrón son células tumorales con diferenciación epitelial, en el cual se evidencian células tumorales grandes con abundante citoplasma. Las células epiteliales se disponen en sábanas o en pequeños grupos separados uno de otro por un número variable de células tumorales. El tercer patrón presenta diferenciación tubular, el cual presenta células tumorales inmaduras (pequeñas) y células con diferenciación epitelial; además, algunas de las células epiteliales presentan formaciones tubulares. Algunos de estos túbulos pueden mostrar un centro luminal o ser estructuras sólidas. En algunos casos, aunque poco frecuente, las formaciones tubulares pueden asociarse a formación de estructuras glomerulares fetal, evidenciando elementos del estroma. Estas agrupaciones celulares por lo general consisten en células en forma de huso con una cantidad variable de material mucoide intercelular (34).
Tumores hepáticos. Hepatoblastoma. Las características citológicas de los frotis de esta patología, pueden presentar similitudes con el hepatocarcinoma, sin embargo, este posee características y tres patrones específicos. Tres características puntuales de esta lesión son: en primer lugar el aspecto granular de los frotis, en segundo lugar la presencia de hepatocitos inmaduros y por último la presencia de hematopoyesis extramedular (35).
Los tres patrones que puede presentar esta patología son: células fetales. Los aspirados presentan fragmentos de hepatocitos inmaduros cohesivos y abundantes núcleos desnudos. Las células neoplásicas se asemejan a hepatocitos fetales con pequeños núcleos redondos y nucléolos poco llamativos, la cantidad de citoplasma se considera moderada y la membrana celular frágil, lo que conlleva a núcleos desnudos en el frotis. La hematopoyesis extramedular con megacariocitos dispersos se presenta con frecuencia (35).
El tipo embrionario y fetal presenta fragmentos de hepatocitos embrionarios con núcleos hipercromáticos y escaso citoplasma, entremezclado con hepatocitos fetales con una cantidad moderada de citoplasma. La hematopoyesis extramedular puede estar presente (35).
Y por último, el tipo mezclado de células epiteliales y mesenquimales, el cual puede presentar tejido mesenquimatoso mezclado con hepatocitos embrionarios y hepatocitos. El tejido mesenquimal puede ser primitivo o puede presentar focos de diferenciación hacia cartílago u osteoide (35).
Hepatocarcinoma. Esta neoplasia evidencia una imagen citológica hipercelular, se observar fragmentos y placas de hepatocitos con pérdida de cohesividad, hepatocitos individuales dispersos. Una característica importante es la formación trabecular, la cual presenta un espesor de más de dos células, las células endoteliales transgreden fragmentos de hepatocitos, además las células endoteliales envuelven grupos de hepatocitos (envoltura endotelial o rimming periférico). Los hepatocitos presentan citoplasma granular, ligera ampliación celular general (tamaño celular y nuclear), la relación núcleo/citoplasma ligeramente aumentada. Se evidencian núcleos desnudos, nucléolos y pigmento biliar intracitoplasmático o extracelular (36).
Tumores óseos. Osteosarcoma y Sarcoma de Ewing. La utilidad de la PAAF en el diagnóstico de lesiones óseas es muy cuestionada, atribuido a dificultades técnicas en el momento de penetrar la corteza del hueso en muchas lesiones. En este caso, todos los pacientes requieren una biopsia adicional y tradicional (37).
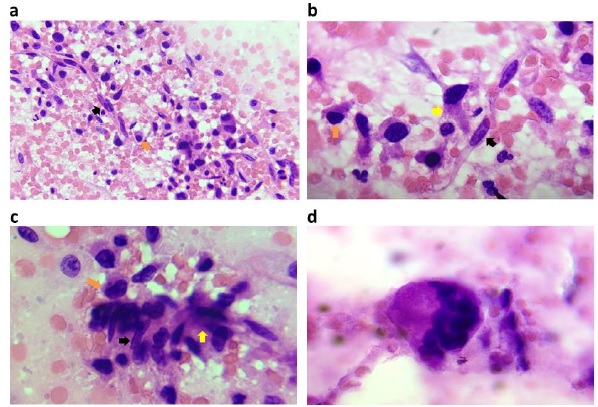
La imagen citológica del osteosarcoma presenta un tumor altamente anaplásico que puede presentar una amplia gama de morfologías, tales como: epitelioide, plasmocitoide, fusiforme, ovoide, pequeña, redonda, células multinucleadas y de células claras. El sello característico de esta lesión es la presencia de material osteoide en el fondo (figura 2.) (37, 38)
El sarcoma de Ewing, bien sea óseo o extra óseo, muestra una imagen muy celular, los frotis están constituidos por células pequeñas y redondas, las células lucen un aspecto de monocapa, pueden presentar amoldamiento nuclear. En los frotis se evidencian grandes núcleos, con cromatina finamente dispersa y escaso citoplasma. Se presentan células con núcleos hipercromáticos. La relación núcleo/citoplasma generalmente es elevada. Los frotis muestran un patrón de células claras y oscuras (39, 40).
Sarcomas de partes blandas. Rabdomiosarcoma. La imagen citológica de esta patología presenta una población celular de moderada a abundante. Se evidencian células discohesivas, la presencia de grupos celulares es poco frecuente. La presencia de fragmentos de tejidos entremezclados con células es común. Se observan dos patrones celulares, en primera instancia células redondas con escaso citoplasma y uno o más nucléolos centrales y prominentes, se pueden evidenciar, aunque en menor cantidad, células binucleadas o multinucleadas con nucléolos prominentes, y células redondas con nucleomegalia y múltiples nucléolos centrales. En segunda instancia se pueden evidenciar células similares a rabdomioblastos, dichas células presentan una morfología de células redonda a células ahusada con núcleo excéntrico, citoplasma amplio y eosinófilo denso. La presencia de figuras mitóticas y necrosis es común, en algunos casos se identifica el fondo de aspecto “tigroide” (41, 42)

Tumores de células germinales, tumores trofoblásticos y neoplasias de las gónadas. Seminoma y disgerminoma. Los seminomas y disgerminomas son tumores histológicamente idénticos, se producen en las gónadas masculinas y femeninas, respectivamente. Estos tumores están compuestos de células germinales indiferenciadas. Los frotis mediante PAAF de seminoma/disgerminoma son por lo general bastante celulares. Las células tumorales pueden estar presentes de manera individual o en pequeños grupos de tamaños y formas variables. Las células tumorales tienen núcleos redondos con un patrón de cromatina fina, por lo general con nucléolos individuales. La cantidad y el carácter del citoplasma son bastante variable, la mayoría de las células tienen de moderada a abundante cantidad de citoplasma, en algunas células se evidencian vacuolas lipídicas pequeñas y redondas. Muchas células presentan grandes vacuolas citoplasmáticas, algunas de estas se pueden moldear alrededor del núcleo. El fondo en estos frotis presenta una cantidad variables de células inflamatorias (linfocitos, plasmocitos, histiocitos, células epitelioides y, rara vez, células gigantes). Otra pista para el diagnóstico es el fondo tigroide (43).
Discusión
La citología mediante PAAF representa una herramienta diagnóstica confiable, es rápida, segura, económica, con mínima invasión y traumatismo para el paciente. Su mayor utilidad diagnóstico es la de diferenciar entre una neoplasia benigna de una malignidad. Sin embargo, el diagnóstico citológico de los tumores malignos pediátricos presenta varios desafíos. En primera instancia la baja incidencia de los mismos disminuye la práctica para el diagnóstico de estos.
En segundo lugar, las características citológicas de las neoplasias malignas pediátricas presentan una amplia gama de similitudes, aunado a esto existen neoplasias y/o lesiones benignas que pueden presentar características citológicas que se superponen con características de las neoplasias malignas. Estas similitudes citológicas proporcionan dificultad al momento del diagnóstico, y frente a un ojo inexperto podría resultar en diagnósticos falsos positivos y falsos negativos.
La citología mediante PAAF en neoplasias pediátricas además de dificultades diagnóstica, presenta limitaciones, lo hallazgos citológicos en muchos casos no son suficiente para emitir un diagnóstico, por ende deben realizarse estudios complementarios para el diagnóstico como son el caso de la citometría de flujo y la inmunohistoquímica. Además los diagnósticos citológicos deben ser confirmados mediante el diagnóstico histopatológico.
En la actualidad con el desarrollo de métodos como la inmunohistoquímica, inmunocitoquímica y pruebas moleculares, la citología ha quedado, de cierta manera rezagada. Sin embargo, es importante tomar en cuenta que el diagnostico anatomopatologico se realiza y concluye mediante el estudio de la morfología celular, lo que le da importancia a la citología y la citopatología, destacándolo como uno de los pilares de la anatomía patológica.
A la hora de realizar un diagnóstico citológico mediante PAAF de neoplasias de pacientes pediátricos, es importante conocer la historia clínica del paciente, además de las características clínico-epidemiológicas de los tumores con el fin de realizar un diagnóstico certero.
A nivel citológico se evidencian diversos patrones y morfologías (tabla 2), los patrones citológicos y la morfología celular que se observa con mayor frecuencia en los frotis de neoplasias malignas pediátricas, son los tumores de células pequeñas y de células redondas.
Conclusión
A pesar de la sensibilidad, especificidad y ventajas brindadas por la PAAF en el diagnóstico del cáncer pediátrico, la utilidad de la misma como método de rutina en el diagnóstico del cáncer pediátrico es baja, dada a la baja incidencia de las diversas neoplasias malignas pediátricas, la inexperiencia de citotecnólogos, citopatólogos y patólogos en el diagnóstico de las mismas, y la complejidad diagnóstica que estas neoplasias presentan.
Es importante tomar en cuenta la amplia gama de diagnósticos citológicos e histológicos que existen en torno al cáncer pediátrico, a su vez es importante conocer los criterios diagnósticos de cada uno, con el fin de emitir un diagnóstico más preciso.

Dada la complejidad del diagnóstico citológico, es importante la correlación de los datos clínicos del paciente con los hallazgos citológicos del mismo, además de la correlación clínico-patológica, es importante contar con estudios complementarios (citometría de flujo, inmunohistoquímica, entre otros) para poder emitir un diagnóstico definitivo.
A pesar de la complejidad diagnostica antes mencionada, la citología mediante PAAF de neoplasias pediátricas evaluadas por un personal capacitado y experto (citotecnólogos, patólogos y citopatólogos), representa una herramienta diagnostica precisa, certera y rápida.
Agradecimientos
A Danny Jesus Vivas Chettik, quien aportó las imágenes del osteosarcoma de su biblioteca personal de casos.
Referencias
1. Pereira A, Santos S, Mota F. Tumores sólidos en niños y adolescentes: Registro hospitalario de Cancer. (1985- 2001). Rev Venez Oncol 2003; 15: 161-9. [Google Scholar]
2. Monaco SE, Teot LA. Cytopathology of pediatric malignancies: Where are we today with fine-needle aspiration biopsies in pediatric oncology? Cancer Cytopathol. 2014; 122: 322-36. [PubMed] [Google Scholar]
3. Prathima S, Suresh T, Harendra Kumar M, Krishnappa J. Fine needle aspiration cytology in pediatric age group with special reference to pediatric tumors: A retrospective study evaluating its diagnostic role and efficacy. Ann Med Health Sci Res. 2014; 4: 44-7. [PubMed] [Google Scholar]
4. Kramárová E, Stiller CA. The international classification of childhood cancer. Int J Cancer. 1996; 68: 759-65. [PubMed] [Google Scholar]
5. Steliarova-Foucher E, Stiller C, Lacour B, Kaatsch P. International Classification of Childhood Cancer, third edition. Cancer, 2005; 103: 1457-67. [Google Scholar]
6. Ortega Sánchez MA, Osnaya Ortega ML, Rosas Barrientos JV. Leucemia linfoblástica aguda. Med Int Mex. 2007; 23: 26-33. [Google Scholar]
7. Taga T, Tomizawa D, Takahashi H, Adachi S. Acute myeloid leukemia in children: Current status and future directions. Pediatr Int. 2016; 58: 71-80. [PubMed] [Google Scholar]
8. Merino, A. Clasificación de las leucemias agudas mieloides. Rev Lab Clin. 2010; 3: 139-47. [Google Scholar]
9. Rangel-Vega A, Villano-Castillejos JC, López-Facio EE, Covarrubias-Espinoza GC, Rendón-García H. Linfomas en Pediatría. Abordaje Clínico. Experiencia en el Hospital Infantil del Estado de Sonora. Bol Clin Hosp Infant Edo Son 2013; 30: 42-7. [Google Scholar]
10. Chater Cure G, Aristizabal G, Aristizabal J, Roa CL, Alvarado H. Características demográficas y patológicas de los tumores del sistema nervioso central estudiados en la clínica El Bosque; Acta Neurol Colomb 2011; 27: 106-13. [Google Scholar]
11. Zuccaro G. Ependimoma intracraneano en la infancia. Rev Argent Neurocir. 2008; 22: 191-6. [Google Scholar]
12. Docampo J, González N, Muñoz A, Bruno C, Morales C. Astrocitoma pilocítico: Formas de presentación. Rev Argent Radiol. 2014; 78: 68-81. [Google Scholar]
13. Ng D, Stavrou T, Liu L, Taylor MD, Gold B, Dean M, Kelley MJ, Dubovsky EC, Vezina G, Nicholson HS, Byrne J, Rutka JT, Hogg D, Reaman GH, Goldstein AM. Retrospective family study of childhood medulloblastoma. Am J Med Genet A. 2005; 134: 399-403. [PubMed] [Google Scholar]
14. Verdecia-U CC, Naranjo-U A, Rivera-L K, Marcano-S LE. Neuroblastoma torácico en la adolescencia: Caso clínico. Rev Chil Pediat. 2012; 83: 170-4. [Google Scholar]
15. Morosini F, Castiglioni M, Pagés C, Simón E, Zuccolo S, Silveira A, Barcelona R, Incoronato A, Schelotto M, Dufort G, Dabezies A, Castillo L. Neuroblastoma en niños menores de 18 meses: Experiencia de 10 años en Centro Hematooncológico Pediátrico del Centro Hospitalario Pereira Rossell. Arch Pediatr Urug. 2013; 84: 84-90. [Google Scholar]
16. Lansingh VC, Eckert KA, Haik BG, Phillipps BX, Bosch-Canto V, Leal-Leal C, Ramírez-Ortiz MA. Retinoblastoma in Mexico: part I. A review of general knowledge of the disease, diagnosis, and management. Bol Med Hosp Infant Mex. 2015; 72: 299-306. [Google Scholar]
17. Provenzi VO, Rosa RF, Rosa RC, Roehe AV, dos Santos PP, Faulhaber FR, de Oliveira CA, Zen PR. Tumor size and prognosis in patients with Wilms tumor. Rev Paul Pediatr. 2015; 33: 82-7. [PubMed] [Google Scholar]
18. Tannuri AC, Cristofani LM, Teixeira RA, Odone Filho V, Tannuri U. New concepts and outcomes for children with hepatoblastoma based on the experience of a tertiary center over the last 21 years. Clinics (Sao Paulo). 2015; 70: 387-92. [PubMed] [Google Scholar]
19. Luque LS, Pinzón WE, Sarmiento A. Diagnóstico prenatal de hepatoblastoma congénito: reporte de un caso. Rev Colomb Obstet Ginecol. 2003; 54: 25-32. [Google Scholar]
20. Kager L, Zoubek A, Dominkus M, Lang S, Bodmer N, Jundt G, Klingebiel T, Jürgens H, Gadner H, Bielack S; COSS Study Group. Osteosarcoma in very young children. Cancer. 2010; 116: 5316-24. [PubMed] [Google Scholar]
21. Gupta AA, Pappo A, Saunders N, Hopyan S, Ferguson P, Wunder J, O'Sullivan B, Catton C, Greenberg M, Blackstein M. Clinical outcome of children and adults with localized Ewing sarcoma: impact of chemotherapy dose and timing of local therapy. Cancer. 2010; 116: 3189-94. [PubMed] [Google Scholar]
22. Bisogno G, Compostella A, Ferrari A, Pastore G, Cecchetto G, Garaventa A, Indolfi P, De Sio L, Carli M. Rhabdomyosarcoma in adolescents: a report from the AIEOP Soft Tissue Sarcoma Committee. Cancer. 2012; 118: 821-7. [PubMed] [Google Scholar]
23. Arora RS, Alston RD, Eden TO, Geraci M, Birch JM. Comparative incidence patterns and trends of gonadal and extragonadal germ cell tumors in England, 1979 to 2003. Cancer. 2012; 118: 4290-7. [PubMed] [Google Scholar]
24. Coleman A, Schumann GB. Cytodiagnosis and monitoring of acute lymphocytic leukemia and eosinophilia in cerebrospinal fluid. Diagn Cytopathol. 1987; 3: 330-4. [PubMed] [Google Scholar]
25. Roma AA, Garcia A, Avagnina A, Rescia C, Elsner B. Lymphoid and myeloid neoplasms involving cerebrospinal fluid: Comparison of morphologic examination and immunophenotyping by flow cytometry. Diagn Cytopathol. 2002; 27: 271-5. [PubMed] [Google Scholar]
26. Ikuta A, Saito J, Mizokami T, Asano M, Nakamoto T, Nakajima T, Matsunami M, Yasuda K, Adachi Y, Kanzaki H. Primary relapse of acute lymphoblastic leukemia in a cervical smear: A case report. Diagn Cytopathol. 2006; 34: 499-502. [PubMed] [Google Scholar]
27. Alam K, Jain A, Maheshwari V, Siddiqui FA, Haider N, Khan AH. Fine-needle aspiration cytology diagnosis of non- Hodgkins lymphoma in a resource- challenged environment. Diagn Cytopathol. 2011; 39: 461-7. [PubMed] [Google Scholar]
28. Das DK. Serous effusions in malignant lymphomas: A review. Diagn Cytopathol. 2006; 34: 335-47. [PubMed] [Google Scholar]
29. Das DK, Francis IM, Sharma PN, Sathar SA, John B, George SS, Mallik MK, Sheikh ZA, Haji BE, Pathan SK, Madda JP, Mirza K, Ahmed MS, Junaid TA. Hodgkin's lymphoma: diagnostic difficulties in fine-needle aspiration cytology. Diagn Cytopathol. 2009; 37: 564-73. [PubMed] [Google Scholar]
30. Qian X, Goumnerova LC, De Girolami U, Cibas ES. Cerebrospinal fluid cytology in patients with ependymoma. Cancer. 2008; 114: 307-14. [PubMed] [Google Scholar]
31. Lacruz CR, Catalina-Fernández I, Bardales RH, Pimentel J, López-Presa D, Sáenz-Santamaría J. Intraoperative consultation on pediatric central nervous system tumors by squash cytology. Cancer Cytopathol. 2015; 123: 331-46. [PubMed] [Google Scholar]
32. Klijanienko J, Couturier J, Brisse H, Pierron G, Fréneaux P, Berger F, Maciorowski Z, Sastre-Garau X, Michon J, Schleiermacher G. Diagnostic and prognostic information obtained on fine-needle aspirates of primary neuroblastic tumors: Proposal for a cytology prognostic score. Cancer Cytopathol. 2011; 119: 411-23. [PubMed] [Google Scholar]
33. Ho CY, VandenBussche CJ, Huppman AR, Chaudhry R, Ali SZ. Cytomorphologic and clinicoradiologic analysis of primary nonhematologic central nervous system tumors with positive cerebrospinal fluid. Cancer Cytopathol. 2015; 123: 123-35. [PubMed] [Google Scholar]
34. Akhtar M, Ali MA, Sackey K, Sabbah R, Burgess A. Aspiration cytology of Wilms' tumor: correlation of cytologic and histologic features. Diagn Cytopathol. 1989; 5: 269-74. [PubMed] [Google Scholar]
35. Barwad A, Gupta N, Gupta K, Rajwanshi A, Marwaha RK, Rao KL, Dey P, Srinivasan R, Nijhawan R. Hepatoblastoma—An attempt of histological subtyping on fine-needle aspiration material. Diagn Cytopathol. 2013; 41: 95-101. [PubMed] [Google Scholar]
36. Yang GC, Yang GY, Tao LC. Cytologic features and histologic correlations of microacinar and microtrabecular types of well-differentiated hepatocellular carcinoma in fine-needle aspiration biopsy. Cancer. 2004; 102: 27-33. [PubMed] [Google Scholar]
37. Dodd LG, Scully SP, Cothran RL, Harrelson JM. Utility of fine-needle aspiration in the diagnosis of primary osteosarcoma. Diagn Cytopathol. 2002; 27: 350-3. [PubMed] [Google Scholar]
38. Walaas L, Kindblom LG. Light and electron microscopic examination of fine-needle aspirates in the preoperative diagnosis of osteogenic tumors: a study of 21 osteosarcomas and two osteoblastomas. Diagn Cytopathol. 1990; 6: 27-38. [PubMed] [Google Scholar]
39. Bakhos R, Andrey J, Bhoopalam N, Jensen J, Reyes CV. Fine-needle aspiration cytology of extraskeletal Ewing's sarcoma. Diagn Cytopathol. 1998; 18: 137-40. [PubMed] [Google Scholar]
40. Klijanienko J, Couturier J, Bourdeaut F, Fréneaux P, Ballet S, Brisse H, Lagacé R, Delattre O, Pierron G, Vielh P, Sastre- Garau X, Michon J. Fine-needle aspiration as a diagnostic technique in
41. Nunez AL, Elgin JN, Fatima H. Fine- needle aspiration biopsy of alveolar rhabdomyosarcoma of stensen's duct: A case report and review of the literature. Diagn Cytopathol. 2014; 42: 1069-74. [PubMed] [Google Scholar]
42. Klijanienko J, Caillaud JM, Orbach D, Brisse H, Lagacé R, Vielh P, Couturier J, Fréneaux P, Theocharis S, Sastre-Garau X. Cyto-histological correlations in primary, recurrent and metastatic rhabdomyosarcoma: The institut Curie's experience. Diagn Cytopathol. 2007; 35: 482-7. [PubMed] [Google Scholar]
43. Akhtar M, al Dayel F. Is it feasible to diagnose germ-cell tumors by fine- needle aspiration biopsy?. Diagn Cytopathol. 1997; 16: 72-7. [PubMed] [Google Scholar]
Información adicional
Como citar este artículo: Duque
Prieto AE. Citopatología del cáncer en pacientes pediátricos. Revisión
bibliográfica. Avan Biomed 2017; 6:
48-58.