Casos Clínicos
Adenocarcinoma gástrico metastásico en el embarazo. Reporte de caso
(Metastatic gastric adenocarcinoma in pregnancy. Case report)
Adenocarcinoma gástrico metastásico en el embarazo. Reporte de caso
Avances en Biomedicina, vol. 6, núm. 1, pp. 70-74, 2017
Universidad de los Andes
Recepción: 11 Septiembre 2016
Aprobación: 07 Enero 2017
Publicación: 27 Febrero 2017
Resumen: El cáncer gástrico asociado con el embarazo es infrecuente y generalmente se diagnostica en estadios avanzados. Las embarazadas con cáncer gástrico presentan síntomas similares atribuibles al embarazo y toda paciente debe ser cuidadosamente estudiada ante la presencia de signos-síntomas de advertencia de esta condición ominosa. El pronóstico es desalentador y la muerte ocurre en los meses siguientes al diagnóstico, es por esto que se debe articular un plan terapéutico de acuerdo a las semanas de embarazo. Se presenta un caso de pacientes de 27 años con 32 semanas de gestación que fue ingresada con dolor de cuello, epigastralgia y anorexia. Los hallazgos de la ecografía abdominal, tomografía computada y gastroscopia revelaron una lesión nodular de la pared gástrica sospechosa de malignidad que comprometía a los órganos vecinos y se confirmó histopatológicamente reportando un adenocarcinoma gástrico metastásico en anillo de sello. Se realizó cesárea debido a compromiso del bienestar fetal. Durante la cirugía, se observó enfermedad diseminada (estadio IIIC) y se diagnosticó cáncer gástrico metastásico. La paciente fallece 5 días después.
Palabras clave: Cáncer gástrico metastásico, Cáncer gástrico difuso, Embarazo, Adenocarcinoma.
Abstract: Gastric cancers associated with pregnancy are infrequent and generally diagnosed at advanced stages. Pregnant women with gastric cancer present similar symptoms to those of pregnancy and those patients should be carefully evaluated as they may be warning signs-symptoms of this ominous condition. The outcome is poor and decease occurs within following months to diagnosis, this is why a therapeutic plan should be articulated according to weeks of gestation. We report a case of a 27-years-old woman with a 32-weeks pregnancy was admitted with neck pain, epigastric pain and anorexia. Findings from abdominal ultrasound, computed tomography scan and gastroscopy revealed a nodular lesion in gastric suspicious of malignancy that compromises other abdominal organs and was histologically confirmed confirming signet-ring metastatic gastric adenocarcinoma. A cesarean section was performed due compromised fetal wellbeing. During surgery, widespread disease was found and finally metastatic gastric cancer was diagnosed (IIIC stage). The patient died 5 days after the cesarean section.
Keywords: Metastatic gastric cancer, Diffuse gastric cancer, Pregnancy, Adenocarcinoma.
Introducción
La incidencia de cáncer durante el embarazo es 0,1% y la de cáncer gástrico es 0,026 a 0,1% de todos los embarazos (1). Generalmente se diagnostican en etapas avanzadas. El retraso del diagnóstico se atribuye a su rarísima incidencia y a síntomas gastrointestinales no específicos similares a los del embarazo (2). Además de etiología ambiental y genética, se deben considerar factores asociados al embarazo en su patogénesis (3). Se presenta el caso de un adenocarcinoma gástrico metastásico en el embarazo.
Caso clínico
Se trata de paciente de 27 años de edad, IV gestas, III paras, con embarazo de 32 semanas, no controlado, quien refiere desde hace dos meses dolor de cuello de fuerte intensidad acompañado de disminución de la movilidad, el cual fue tratado con inmovilización - analgésicos y se hospitalizó para valoración por neurología. La paciente negaba antecedentes personales o quirúrgicos de importancia. Negaba antecedentes de neoplasias malignas entre sus familiares de primer orden. Refería solo el uso de mutivitaminicos y minerales en forma irregular durante el embarazo. El examen físico de ingreso estaba dentro de límites normales.
Los resultados de laboratorio fueron: hemoglobina 6,1 g/dL (valor normal 10 – 14 g/dL), hematocrito 21,1% (valor normal 36 – 46%), plaquetas 57.000 cel/L (valor normal 150.000 – 400.000 cel/L) y leucocitos 13.300 cel/L (valor normal 5.000 – 10.000 cel/L). El resto de las pruebas (perfil coagulación, glicemia, funcionalismo hepático y renal) estaban dentro de límites normales.
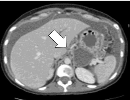
Durante el segundo día de hospitalización la paciente refiere mialgias, epigastralgias, lumbalgia y anorexia, solicitándose ultrasonido abdominal que demuestra engrosamiento de la pared gástrica con tumor de 5 x 4 centímetros y presencia de ascitis. Los valores de antígeno carcinoembriogénico (188 ng/mL, valor normal 0 – 3 ng/mL) y CA19-9 (1.791 U/mL; valor normal 0 – 37 U/mL) estaban elevados. La ecografía fetal y las pruebas de bienestar fetal estaban normales. El peso fetal estimado era de 1700 gramos. Se realizó gastroscopia que reveló linitis plástica y úlcera con bordes rugosos e hipertróficos en antro- cardias. La tomografía abdominal confirmó la tumoración gástrica que infiltra la muscular propia y la sub-serosa con compromiso de por lo menos 15 ganglios linfáticos de los tres niveles, sin metástasis observables (estadificación IIIC) y con ascitis importante (figura 1).
La biopsia gástrica confirmó el diagnóstico de adenocarcinoma gástrico metastásico de tipo difuso con células en anillo de sello con un porcentaje superior al 90% (figura 2) y la inmunohistoquímica reveló reacción positiva para CK AE1 / AE3, citoqueratina 19, citoqueratina 7, CAM 5.2 y positividad focal para CDX2 y negatividad para TTF- 1, citoqueratina 20, receptor tipo 2 del factor de crecimiento epidérmico humano, receptor de estrógenos y receptor de progestagenos. No se pudo realizar las pruebas para determinación de mutaciones del gen CDH1 y expresión de caderina E.


Se consultó el caso con el servicio de oncología y se decidió posponer la cirugía radical hasta después de lograr la maduración pulmonar fetal con esteroides.
Al sexto día de hospitalización, durante la evaluación rutinaria del bienestar fetal, se observa alteraciones de la frecuencia cardiaca fetal (desaceleraciones variables) decidiéndose realizar cesárea de emergencia por sufrimiento fetal agudo en conjunto con los servicios de Cirugía y Oncología, obteniéndose un recién nacido femenino vivo de 1850 gramos en regulares condiciones (Apgar al minuto 4 puntos y Apgar a los 5 minutos 6 puntos). Se continúa con la exploración del abdomen y pelvis encontrándose ascitis y múltiple nódulos en epiplón, peritoneo y apéndice tomándose muestras de líquido peritoneal y múltiples biopsias para evaluación histológica.
Posterior a la cirugía las condiciones clínicas se agravan y es trasladada a la unidad de cuidados intensivos para su manejo, donde fallece al quinto día del post-operatorio.
Las biopsias de epiplón y peritoneo revelaron infiltración masiva por adenocarcinoma con patrón de anillo de sello e invasión linfovascular. La placenta y el cordón umbilical estaban libres de metástasis.
Discusión
Las tasas de cáncer gástrico en las personas de más de 50 años aumentan bruscamente. Los grupos de edades más afectados son la séptima y octava décadas de la vida, promedio 65 años, pero si se considera solo a aquellos pacientes evaluados en etapa precoz (cáncer incipiente), la media desciende a 40-45. La edad menor de 40 años se asocia a tumores con peores características clínicas y patológicas, como los poco diferenciados o con histología de células en anillo de sello. Además, en muchos casos se requiere más de seis meses desde los primeros síntomas (1,2). Las características del cáncer gástrico en el embarazo y el retraso diagnóstico empeoran el pronóstico. Los síntomas relacionados al embarazo (náuseas y dolor epigástrico) pueden también ser manifestaciones del cáncer gástrico. Para el momento del diagnóstico, las lesiones a menudo están en etapas tan avanzadas donde cualquier opción de tratamiento es imposible (2).
La patogénesis sigue siendo desconocida. Existen datos contradictorios relativos a la infección por Helicobacter pylori en estos casos (3). Se ha propuesto que los cambios hormonales del embarazo pueden ser un factor etiológico. La progesterona relaja el estómago produciendo aumento de ácidos estomacales y reflujo gastroesofágico. Los estrógenos suprimen el crecimiento de algunos tipos de cáncer gastrointestinales, pero promueven el crecimiento del tipo difuso (4). La gonadotropina coriónica humana está presente en cerca de 60% de los carcinomas gástricos malignos y se asocia con pérdida de diferenciación. La histaminasa placentaria altera la función de la histamina por lo modifica los síntomas del deterioro del cáncer (5,6). Por todo esto, el cáncer gástrico progresa más rápido en el embarazo. Las embarazadas que presentan dolor abdominal superior, náuseas y/o vómitos que persisten más allá del primer trimestre deben ser valoradas en forma más cuidadosa.
El diagnóstico definitivo del cáncer gástrico se confirma por biopsias endoscópicas. Este es seguro en el embarazo y recomendado para casos complicados con dispepsia severa, atípica y refractaria, náuseas y vómitos luego de las 16 semanas de embarazo que no responden a tratamiento convencional (7). La presencia de sangre oculta en heces y concentraciones séricas elevadas de antígeno carcinoembriogénico sérico son marcadores importantes para realizar la evaluación endoscópica (2).
Este caso se podría ser diagnosticado como un cáncer gástrico difuso hereditario. Esta es una enfermedad autosómica dominante poco frecuente que se asocia a mutaciones del gen CDH1, localizado en el brazo largo del cromosoma 16 (16q22.1), en 20%- 40% de los casos que padecen el síndrome. Desde el punto de vista histológico son siempre difusos y muestran alteraciones en la expresión de caderina E. Esta proteína es miembro de la familia de caderinas que contribuyen a la adhesión de las superficies celulares. La caderina E transmite señales químicas inter-celulares que controlan el desplazamiento celular y regula la expresión de algunos genes. Además, se considera una proteína supresora de tumores evitando que las células crezcan y se dividan de forma incontrolada (8). La ausencia o deficiencia de caderina E funcional deteriora la adhesión celular, aumentando la probabilidad de que las células cancerosas invadan la pared del estómago y de que pequeños grupos de células cancerosas provoquen metástasis invadiendo los tejidos cercanos (9).
Las mujeres con estas mutaciones también tienen una probabilidad del 40% -50% de desarrollar cáncer de mama lobular. Estos valores de riesgo de cáncer son similares al de mujeres portadoras de mutaciones de genes BRCA1 y 2 (10). Cuando ambas copias del gen mutan en una célula en particular, la célula no puede codificar ninguna caderina E funcional. La pérdida de esta proteína inhibe su función como un supresor de tumores, lo que contribuye al crecimiento y la división incontrolable de las células. Se postula que la base molecular de las diferencias morfológicas y el comportamiento del cáncer gástrico tipo difuso se puede atribuir, por lo menos en parte, a la expresión de la caderina E (9). En este caso no se pudieron realizar las pruebas para determinación de mutaciones del gen CDH1 y expresión de caderina E por no estar disponibles para el momento.
El tratamiento del cáncer gástrico en el embarazo es complicado, porque existen aspectos controversiales: 1) administración de quimioterapia (paclitaxel, docetaxel, tegafur / gimeracil / oteracil, fluorouracil) tan pronto como sea posible para aumentar la supervivencia materna y 2) necesidad de continuar con el embarazo el mayor tiempo posible para garantizar el desarrollo fetal. El tratamiento depende del deseo y decisión materna, del estadio del cáncer gástrico y la etapa de desarrollo fetal. Cuando se diagnostica antes de las 22 semanas del embarazo, la madre debería ser tratada sin importar el bienestar fetal. Entre las semanas 25 - 29, se recomienda cirugía inmediata, a pesar de los riesgos fetales. Después de 30 semanas, la cirugía radical debería realizarse después la interrupción iatrogénica del embarazo antes del término (11). Aunque se ha informado del uso de agentes quimioterapéuticos durante el segundo y tercer trimestre, la decisión del uso debe ser individualizada por los posibles efectos nocivos fetales (12). La tasa de supervivencia está relacionada al momento del diagnóstico. La literatura muestra que 80% de las pacientes diagnosticados muere durante el primer año y la tasa de supervivencia a los 3 años es sólo de 8% (4).
La incidencia de cáncer gástrico en las embarazadas es muy baja. Sin embargo, cuando aparece suele presentarse como formas agresivas y estadios muy avanzados. Clínicamente se manifiesta con síntomas inespecíficos abdominales, frecuentes en las embarazadas sanas. El manejo dependerá de la edad gestacional y debe ser individualizado y consensuado por un equipo multidisciplinario. Generalmente el pronóstico materno es malo, con supervivencia inferior al 15% en el primer año. El pronóstico fetal depende de la edad gestacional a la que produzca el nacimiento y por lo general es bueno.
Referencias
1. Lee HJ, Lee IK, Kim JW, Lee KU, Choe KJ, Yang HK. Clinical characteristics of gastric cancer associated with pregnancy. Dig Surg. 2009;26: 31-6. [PubMed] [Google Scholar]
2. Kamal Y, Sheehan S, Geary M. Gastric carcinoma: an unusual cause of vomiting in pregnancy. J Obstet Gynaecol. 2004: 820 [PubMed] [Google Scholar]
3. Yücesoy G, Büyükgebiz O, Yildiz K, Cakiroğlu Y, Ozkan S, Bodur H. Gastric carcinoma diagnosed at the third trimester: a case report. Arch Gynecol Obstet. 2006; 274: 47-9. [PubMed] [Google Scholar]
4. Tahara E. Genetic pathways of two types of gastric cancer. IARC Sci Publ. 2004: 327-
5. Stenman UH, Alfthan H, Hotakainen K. Human chorionic gonadotropin in cancer. Clin Biochem. 2004; 37: 549-61[PubMed] [Google Scholar]
6. Birkenfeld S, Noiman G, Krispin M, Schwartz S, Zakut H. The incidence and significance of serum hCG and CEA in patients with gastrointestinal malignant tumors. Eur J Surg Oncol. 1989; 15: 103-8. [PubMed] [Google Scholar]
7. Chen Y, Li Y, Wang H, Lu J, Jin M, Zhang Z. Maternal gastric carcinoma with metastasis to the placenta: A case report. Oncol Lett. 2014: 8: 2509-10. [PubMed] [Google Scholar]
8. Braga V. Spatial integration of E- cadherin adhesion, signalling and the epithelial cytoskeleton. Curr Opin Cell Biol. 2016; 42: 138-145. [PubMed] [Google Scholar]
9. Zhang J, Chen XY, Huang KJ, Wu WD, Jiang T, Cao J, Zhou LS, Qiu ZJ, Huang C. Expression of FoxM1 and the EMT- associated protein E-cadherin in gastric cancer and its clinical significance. Oncol Lett. 2016;12: 2445-50. [PubMed] [Google Scholar]
10. Teo WW, Merino VF, Cho S, Korangath P, Liang X, Wu RC, Neumann NM, Ewald AJ, Sukumar S. HOXA5 determines cell fate transition and impedes tumor initiation and progression in breast cancer through regulation of E-cadherin and CD24. Oncogene. 2016; 35: 5539-51. [PubMed] [Google Scholar]
11. Nishie H, Mizushima T, Suzuki Y, Fukusada S, Inoue T, Kachi K, Ozeki T, Anbe K, Iwasaki H, Okumura F, Sano H. Chemotherapy treatment of a pregnant woman with progressive gastric cancer. Intern Med. 2015; 54: 1207-12. [PubMed][Google Scholar]
12. Dekrem J, Van Calsteren K, Amant F. Effects of fetal exposure to maternal chemotherapy. Paediatr Drugs. 2013;15: 329-34. [PubMed] [Google Scholar]
Información adicional
Como citar este artículo: Avan Biomed
Conflictos de interés: Los autores
declaran no tener ningún conflicto.