Casos Clínicos
Quiste epidermoide intradiploico parietal izquierdo. A propósito de un caso y revisión de la literatura
Intradiploic epidermoid cyst of the left parietal bone. A case report and literature review
Quiste epidermoide intradiploico parietal izquierdo. A propósito de un caso y revisión de la literatura
Avances en Biomedicina, vol. 7, núm. 2, pp. 129-134, 2018
Universidad de los Andes
Recepción: 19 Junio 2018
Aprobación: 26 Septiembre 2018
Resumen: Los quistes epidermoides son lesiones congénitas benignas, de lento crecimiento, que representan el 1% de todos los tumores intracraneales. En un 25% tienen localización intradiploica y excepcionalmente infratentorial. Presentamos a un paciente masculino de 7 años de edad, en quien se observó aumento de volumen en región parietal izquierda, acompañado de cefalea de aparición insidiosa, holocraneana, de leve intensidad. Como antecedentes personales refiere diagnóstico de migraña con aura y epilepsia caracterizada por crisis parciales complejas. Los estudios imagenológicos reportaron una lesión ocupante de espacio en región parietal izquierda, de forma ovoidea, de característica lítica y un tamaño de 8,8x17mm de diámetro. Fue llevado a mesa operatoria para resolución quirúrgica de su patología. Se logró la excéresis total de la lesión y el estudio histopatológico reportó quiste epidermoide.
Palabras clave: Quiste epidermoide, Intradiploico.
Abstract: Epidermoid cysts are congenital benign, slow growing tumors, that account for 1% of all intracraneal tumors. In 25% of the cases they have an intradiploic localization an are exceptionally infratentorial. We present a 7-year-old escolar patient who presented a growing bulging of the scalp, associated with insidious, holocraneal, low intensity headache. The patient had personal history of migraine and epilepsy with complex partial seizures. Imaging studies reported a well-defined ovoid mass in the left parietal bone with lytic characteristics and 8,8x17mm of diameter. The surgical procedure was successful and the removal of the whole tumor was accomplished. Histopathological studies reported an epidermoid cyst.
Keywords: Epidermoid Cyst, Intradiploic.
Introducción
Los quistes epidermoides son lesiones congénitas benignas de lento crecimiento, representan el 1% de todos los tumores intracraneales. En un 25% tienen una localización intradiploica y excepcionalmente infratentorial (1). La fisiopatología de estas lesiones se atribuye clásicamente a defectos congénitos del cierre del tubo neural, dando lugar a inclusiones de células ectodérmicas (2).
Los quistes epidermoides intradiploicos son muy raros; como su nombre lo indica se encuentran entre las dos tablas del cráneo, teniendo un crecimiento lento. El primer caso fue reportado por Müller en 1838 y el primer caso de un quiste epidermoide intradiploico gigante en la fosa craneal posterior fue reportado por Rengachary (3). Aunque el origen de estos tumores sigue siendo controvertido, generalmente se consideran congénitos. El origen adquirido ha sido reportado clásicamente en la columna lumbar con siembra iatrogénica de células epidérmicas tras la realización de una punción lumbar o infiltración anestésica para tratar el dolor lumbar en el adulto. El origen adquirido del quiste epidermoide craneal tras un trauma o cirugía craneal ha sido reportado excepcionalmente en la literatura como posible origen del tumor (4), y cambios malignos pueden ocurrir raramente. (5) Ellos varían en tamaño, ubicación y tasa de crecimiento (6).
Los quistes epidermoides se han encontrado en todos los huesos del calvario. También se encuentran en los senos paranasales y maxilar. Ocurren con mayor frecuencia en las áreas frontal y parietal, suturas y en la base del cráneo. Los huesos parietal, occipitaly frontal representan cada uno del 12 al 15% de los casos. (7) y se ha observado un predominio en el sexo masculino (8). Dado que estos quistes crecen muy lentamente, el inicio de los signos y síntomas es a menudo tardío, durante un período de meses a años. Estas lesiones suelen presentarse como inflamación ósea indolora bajo el cuero cabelludo. Pueden causar cefalea debido a la erosión del calvario y convulsiones debido a la presión local. Estos quistes pueden perforar la duramadre, romperse en el espacio subaracnoideo causando meningitis química o comprometer el parénquima cerebral (9).
Caso clínico
Se trata de paciente escolar masculino de 7 años de edad, natural y procedente de la localidad de Santa Bárbara del Zulia (Venezuela), quien es traído a consulta de neurocirugía por presentar aumento de volumen en región parietal izquierda, de dos años de evolución, concomitantemente refiere cefalea de aparición insidiosa, holocraneana de leve intensidad, carácter pulsátil sin irradiación que calma ante la administración de analgésicos vía oral. Como antecedentes personales de importancia, refiere diagnóstico de migraña con aura y epilepsia en el año 2015, caracterizada por crisis parciales complejas en tratamiento con Carbamazepina. Así mismo, refiere antecedente quirúrgico en el mismo año donde se realiza toma de biopsia de lesión ósea parietal izquierda en la ciudad de Maracaibo, Estado Zulia, sin resultado anatomopatológico concluyente debido a toma de muestra insuficiente. Actualmente se desempeña como estudiante de educación básica.
A la exploración física el paciente se encontró en condiciones clínicas y hemodinámicas estables, hidratado, normotérmico con adecuada coloración de piel y mucosas, sistema cardiovascular y respiratorio sin alteraciones. Al examen neurológico se encontró consciente, orientado en sus tres planos, pupilas isocóricas con reflejo fotomotor y consensual conservado, sin alteración a la exploración de los pares craneales, fuerza muscular 5/5 en sus cuatro extremidades según escala de Daniel’s, sin déficit sensitivo ni autonómico, normoreflexia osteotendinosa, sin signos de hipertensión intracraneana. Se evidencia y se palpa aumento de volumen en región parietal izquierda de aproximadamente 1.5x1.5cm de diámetro, de consistencia pétrea, no dolorosa, adherida a planos profundos.
Imágenes:
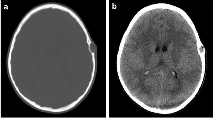
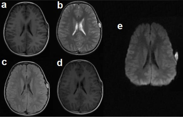
En estudio de Tomografía Computarizada simple de cráneo realizada un mes previo al acto quirúrgico valorada en cortes axiales y coronales se observa en ventana ósea lesión ocupante de espacio (LOE), hipodensa, extradural de forma ovoidea, de característica lítica, ubicada en región parietal izquierda con aproximadamente 8,8x17 mm de diámetro. Ventana parenquimatosa sin alteraciones (Fig. 1a, 1b). En resonancia magnética cerebral contrastada se observa imagen extradural, de forma ovoidea, bien delimitada con bordes regulares de características quísticas en región parietal izquierda, de comportamiento heterogéneo, hipo e isointensa en secuencia T1, hiperintensa en T2 y FLAIR, sin captación tras la administración de contraste endovenoso y restricción en Difusión (Fig. 2). Se realizó reconstrucción 3D postquirúrgica donde se observa defecto óseo en hueso parietal izquierdo (Fig. 3).



Procedimiento Quirúrgico:
Paciente el cual es llevado a mesa operatoria dos meses posterior a su ingreso para resolución de su patología, donde se realiza incisión arciforme en piel en región temporoparietal izquierda con diéresis por planos hasta pericráneo el cual se diseca y se refiere hacia anterior, evidenciándose lesión ósea de bordes nítidos de aproximadamente 3cm de diámetro con invasión a pericráneo. Se realizó agujero de trépano a 15mm del borde de la lesión con posterior realización de craniectomía circunferencial temporo parietal izquierda para excéresis de 100% de la lesión en un solo bloque, tomando la muestra necesaria para su estudio histológico (Fig. 4a). Finaliza el acto quirúrgico sin complicaciones. Paciente con evolución clínica satisfactoria egresando por mejoría a los cinco días de su postoperatorio. Actualmente paciente asintomático en control periódico por la consulta externa del Servicio de Neurocirugía con planificación a futuro para la realización de craneoplastia.
Hallazgos Anatomopatológicos:
Los cortes histológicos fueron teñidos con Hematoxilina y Eosina los cuales demuestran un hueso citológicamente insignificante con un espacio quístico lleno de queratina revestido por un epitelio escamoso con una capa granular íntegra. Los hallazgos fueron consistentes con un quiste de inclusión epidermoide (Fig. 4b, 4c).

Discusión
La ubicación de los quistes epidermoides en el 90% de los casos es intradural (extra-axial), presentándose con mayor frecuencia en el ángulo pontocerebeloso y el ápice petroso, seguido de la región paraselar (10). Histológicamente se observa epitelio estratificado, el cual se descama sobre queratina y colesterol formando un cavidad quística. La queratina le confiere una característica blanco perlado a la lesión (11). La presentación de los quistes epidermoides intradiploicos en edades pediátricas es rara (12). Arko et al. realizaron una revisión de 169 casos de quistes epidermoides intradiploicos reportando que los rangos de presentación más comunes fueron entre los 20 y 29 (21.1%) y 50 y 59 (16.9%) años (13). Esto hace nuestro caso aún menos frecuente. A sabiendas que el principal síntoma de los quistes epidermoides es la inflamación indolora del cuero cabelludo (9), se deben conocer los posibles diagnósticos diferenciales, ya que en edades pediátricas existe una amplia variedad. Entre ellos se incluyen tumores benignos y malignos como los quistes dermoides, displasia fibrosa, osteoma, osteoblastoma, histiocitosis de células de Langerhans y hemangiomas intraóseos (12).
Se ha descrito en la literatura que el diagnóstico definitivo se realiza mediante el estudio histopatológico. Holley reporta que el ultrasonido es un paso importante en los estudios de imágenes que deben realizarse. En edades pediátricas es de gran utilidad debido a que la exposición a radiación en estas edades debe ser limitada. Aporta información vital sobre la localización, perfusión y extensión de la erosión, así como la identificación de la lesión entre las tablas óseas del cráneo lo cual es relevante para realizar un diagnóstico diferencial (14). En radiografías se observa como una lesión lítica, de bordes bien definidos con márgenes escleróticos (15). En tomografía computarizada se evidencian como masas homogéneas con una densidad similar al líquido cefalorraquídeo, mientras que los quistes dermoides presentan una característica más heterogénea pudiendo presentar calcificaciones en su pared o en el interior (16). Por su parecido con los quistes dermoides existen errores en el diagnóstico ya que la diferencia entre ellos es principalmente histológica (17).
La resonancia magnética es el estudio de elección para el diagnóstico de los quistes epidermoides. Se evidencian como lesiones hipointensas en T1 e hiperintensas en T2 y FLAIR.También es de gran utilidad la difusión por resonancia magnética para el diagnóstico diferencial ya que éstas lesiones muestran una señal intensa en esta secuencia (8). Los quistes epidermoides no muestran realce posterior a la administración de contraste endovenoso, siendo esto una característica útil para el diagnóstico de los mismos (18). Se ha reportado en la literatura que el tratamiento definitivo de los quistes epidermoides es la resección completa de la lesión para así evitar la recurrencia y el riesgo de meningitis aséptica, por otro lado, Kakane V et al. reportan que puede considerarse una resección conservadora de la lesión si esta se encuentra en proximidad a estructuras neurovasculares o parénquima cerebral vital, dado que los quistes epidermoides presentan un crecimiento lento (19). El pronóstico a largo plazo es excelente si se realiza la resección total de la lesión y su cápsula (20). En nuestro caso se logró la resección total de la lesión sin complicaciones postquirúrgicas. Algunos autores sugieren el lavado del campo quirúrgico con dexametasona disuelta en solución fisiológica para evitar complicaciones como la meningitis química para la cual se describe una incidencia en quistes epidermoides intradurales de hasta 40% (21).
Los quistes epidermoides intradiploicos son raros, así como su presentación en la edad pediátrica. Los estudios de imágenes como la radiografía, tomografía computarizada y resonancia magnética son de gran utilidad para realizar el diagnóstico. El tratamiento quirúrgico debe tener como finalidad la resección total de la lesión para así evitar complicaciones y recidiva.
Conflictos de interés
Los autores de este artículo declaran no tener ningún conflicto de interés.
Referencias
1. Alberione F, Caire F, Fischer-Lokou D, Gueye M, Moreau JJ. Quiste epidermoide intradiploico infratentorial gigante. Neurocirugia (Astur). 2007;18:423-6. [PubMed] [Google Scholar]
2. Dupre DA, Pu C, Yu A, Tomycz N. Traumatic intradiploic epidermoid cystmanifest as scalp papule. BMJ Case Rep. 2015;2015: bcr2014207968. [PubMed] [Google Scholar]
3. Rengachary S, Kishore PR, Watanabe I. Intradiploic epidermoid cyst of the occipital bone with torcular obstruction. Case report. J Neurosurg.1978;48:475- 8. [PubMed]
4. Prat Acín R, Galeano I. Giant occipital intradiploic epidermoid cyst associated with iatrogenic puncture. Acta Neurochir (Wien). 2008;150:413-4. [PubMed] [Google Scholar]
5. Krupp W, Heckert A, Holland H, Meixensberger J, Fritzsch D. Giant intradiploic epidermoid cyst with large osteolytic lesions of the skull: a case report. J Med Case Rep. 2012;6:85. [PubMed] [Google Scholar]
6. Khan AN, Khalid S, Enam SA. Erratum: Intradiploic epidermoid cyst overlying the torcula: a surgical challenge. BMJ Case Rep. 2011;2011:bcr0820103245corr1. [PubMed] [Google Scholar]
7. Kumaran SP, Gupta K, Priyadarshini H, Ghosal N. Giant intradiploic epidermoid cyst of occipital bone. A case report and literature review. Neuroradiol J. 2010;23:707-10. [PubMed] [Google Scholar]
8. Chou YW, Tien CH, Lee JS, Chuang MT. Intradiploic Epidermoid Cyst in the Skull. J Craniofac Surg. 2015;26:e662-3. [PubMed] [Google Scholar]
9. Demir MK, Yapıcıer O, Onat E, Toktaş ZO, Akakın A, Urgun K, Kılıç T. Rare and challenging extra-axial brain lesions: CT and MRI findings with clinico-radiological differential diagnosis and pathological correlation. Diagn Interv Radiol. 2014;20:448-52. [PubMed] [Google Scholar]
10. Ng WP, Liew BS, Gee TS, Azmin KR. Posterior Fossa Intradiploic Cyst: A Case Report. IMJM. 2015;14(2): 67-70. [Google Scholar]
11. Samdani S, Kalra GS, Rawat DS. Posttraumatic intradiploic epidermoid cyst of frontal bone. J Craniofac Surg. 2013 Mar;24(2):e128-30. [PubMed] [Google Scholar]
12. Mandelbaum M, Chao JW, Rogers GF, Ho CY, Magge SN. Intradiploic Epithelial Inclusion Cyst of the Cranium Mimicking Fibrous Dysplasia. J Craniofac Surg. 2017;28:1038-1039. [PubMed] [Google Scholar]
13. Arko L, Berry CT, Desai AS, Weaver M. Intradiploic Epidermoid Tumors of the Cranium: Case Report with Review of the Literature. J Neurol Surg A Cent Eur Neurosurg. 2017;78:167-179. [PubMed] [Google Scholar]
14. Holley A. Sonographic diagnosis of intraosseous epidermoid cysts of the calvarium. Sonogr. 2016;3:108–13. [Google Scholar]
15. Hasturk AE, Basmaci M, Yilmaz ER, Kertmen H, Gurer B, Atilgan AO. Giantintradiploic epidermoid cyst presenting as solitary skull mass with intracranial extension. J Craniofac Surg. 2013;24:2169-71. [PubMed] [Google Scholar]
16. Garfinkle J, Melançon D, Cortes M, Tampieri D. Imaging pattern of calvarial lesions in adults. Skeletal Radiol. 2011;40:1261-73. [PubMed] [Google Scholar]
17. Zivković N, Marković M, Mihajlović G, Jovanović M. Surgical treatment of intradiploic epidermoid cyst treated as depression. Srp Arh Celok Lek. 2014;142:67-71. [PubMed] [Google Scholar]
18. Law EK, Lee RK, Ng AW, Siu DY, Ng HK. Atypical intracranial epidermoid cysts: rare anomalies with unique radiological features. Case Rep Radiol. 2015;2015:1–4. [PubMed] [Google Scholar]
19. Kankane V, Jaiswal G, Gupta T. Epidermoid cyst in Anterior, Middle & Extension of Posterior cranial fossa: rare Imaging with review of literature. Romanian Neurosurg. 2016;30:461–6. [Google Scholar]
20. Turkoglu OF, Ozdol C, Gurcan O, Gurcay AG, Tun K, Cemil B. Huge intradiploic epidermoid cyst. Neurol Neurochir Pol. 2010;44:204-7. [PubMed] [Google Scholar]
21. Fuster C, Ferreira M, Alcorta SC, Mormandi R, Cervio A, Salvat J. Quistes Dermoides y Epidermoides Intracraneales. Rev Argent Neuroc. 2007;21:108-110. [Google Scholar]
Notas
Notas de autor