Reporte de casos
Tuberculosis peritoneal simulando carcinomatosis peritoneal en paciente en hemodiálisis. Reporte de caso
A Case Report Peritoneal Tuberculosis Simulating Peritoneal Carcinomatosis in a Hemodialysis Patient
Tuberculosis peritoneal simulando carcinomatosis peritoneal en paciente en hemodiálisis. Reporte de caso
Revista Colombiana de Gastroenterología, vol. 31, núm. 2, pp. 161-164, 2016
Asociación Colombiana de Gastroenterologia

Recepción: 13 Julio 2015
Aprobación: 18 Abril 2016
Resumen: Se presenta el caso de un hombre de 69 años inmunosuprimido, con insuficiencia renal en hemodiálisis, con cuadro de dolor abdominal crónico y enfermedad diarreica aguda, que progresó a obstrucción intestinal, por lo que fue llevado a laparoscopia diagnóstica que reportó carcinomatosis peritoneal, pero cuyo diagnóstico histológico final fue tuberculosis peritoneal.
Palabras clave: Inmunosupresión, enfermedad renal crónica terminal, tuberculosis peritoneal, carcinomatosis peritoneal.
Abstract: This is a case study of a 69 year old immunosuppressed man with renal failure who was on hemodialysis. He developed chronic abdominal pain and acute diarrhea that progressed to intestinal obstruction. Diagnostic laparoscopy reported peritoneal carcinomatosis, but histological diagnosis showed that it was peritoneal tuberculosis.
Keywords: Immunosuppression, chronic renal disease, peritoneal tuberculosis, peritoneal carcinomatosi.
INTRODUCCIÓN
La tuberculosis (TB) es una enfermedad infecciosa crónica, causada por el complejo Mycobacterium tuberculosis, el cual puede afectar cualquier órgano o tejido; el tejido pulmonar es el que se ve afectado con más frecuencia. En Colombia, según datos del Ministerio de la Protección Social, el compromiso extrapulmonar corresponde al 15% del total de pacientes confirmados con TB. Con respecto a la infección tuberculosa y pacientes con enfermedad renal terminal, se describen varios factores de riesgo para adquirir y desarrollar la infección. Los factores extrínsecos al huésped, al igual que en otros enfermos con tuberculosis, dependen del grado de contagiosidad y el estrecho y prolongado contacto con el caso fuente. Los factores intrínsecos son: en relación a la edad, ser >65 años; género, masculino; nivel socioeconómico, bajo; otras enfermedades relacionadas, diabetes y silicosis/EPOC.
Los mecanismos de infección extrapulmonar abdominal no difieren de los demás pacientes infectados por TB; están dados por la ingestión de leche contaminada (infección primaria), ingesta de esputo infectado (secundaria) y hematógena por extensión directa de órganos vecinos. Las manifestaciones más frecuentes son dolor abdominal crónico, ascitis, diarrea que alternan con constipación y en algunos casos, obstrucción intestinal. Para su diagnóstico, el líquido ascítico suele ser de tipo exudado linfocitario, pero con baja identificación de la micobacteria, no mayor del 3% a la basciloscopia y menor del 30% en el cultivo. Casi siempre se necesita laparoscopia con biopsia peritoneal, que mostrará la lesión granulomatosa específica en el 100% de los casos.
PRESENTACIÓN DE CASO
Paciente masculino de 69 años, natural de Tota, Boyacá, Colombia; procedente de Bogotá. Cesante, pero con historia laboral de pintor de automóviles. Antecedentes de hipertensión arterial, fibrosis pulmonar, esclerosis sistémica, variedad cutánea limitada, insuficiencia renal en hemodiálisis, manejo farmacológico con furosemida 40 mg/día, carbonato de calcio 600 mg/día, prednisolona 7,5 mg/día, losartán 50 mg/día, azatioprina 50 mg/día e hierro parenteral. Se presentó al servicio de urgencias en regulares condiciones generales, con signos vitales: presión arterial (PA) 130/70 mm Hg, frecuencia cardíaca (FC) 100/min, frecuencia respiratoria (FR) 17/min, saturación de oxígeno (SatO2) 90%, fracción de oxígeno del aire inspirado (FiO2) 24%, peso 45 kg (2 meses previos 50 kg), con cuadro de 1 mes de evolución de dolor abdominal inespecífico, no irradiado, de intensidad 4/10 que se asociaba en los últimos 5 días a deposiciones abundantes, líquidas, sin moco ni sangre, en número de 5 al día. Refirió haber consultado 20 días antes por síntomas similares, estableciéndose diagnóstico tomográfico de duodenitis, para la cual recibió manejo antibiótico ambulatorio con ciprofloxacino.
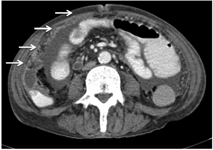
Al examen físico, como hallazgos positivos, se encontró abdomen levemente distendido, ruidos intestinales positivos, dolor a la palpación profunda de hipogastrio, sin irritación peritoneal; no se palpaban masas ni megalias. Los paraclínicos de ingreso no evidenciaron respuesta inflamatoria sistémica; la función renal se encontró alterada en relación a la nefropatía de base, en equilibrio hidroelectrolítico. El único hallazgo en el coprológico fue sangre oculta, por lo que fue llevado a colonoscopia, la cual reportó engrosamiento del pliegue a nivel de la ampolla ileocecal, pólipo en ciego de 2 cm de aspecto adenomatoso sésil, con base de implantación ancha. Se tomaron biopsias que fueron reportadas como adenoma tubular sin displasia de alto grado, y se complementó estudio con tomografía computarizada (TC) abdominal contrastado, que reportó dilatación del tercio medio del esófago, en relación a antecedente de esclerodermia, distensión de asas yeyunales proximales y engrosamiento de las válvulas conniventes, importante alteración de la grasa mesentérica y nodularidad del epiplón en toda su extensión, asociado a múltiples adenopatías con formación de pequeña colección hacia la fascia lateroconal (Figura 1).

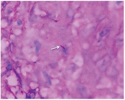
El paciente desarrolló obstrucción intestinal, por lo que fue llevado a laparoscopia diagnóstica, cuyos hallazgos fueron: abundante cantidad de líquido ascítico cetrino, con síndrome adherencial visceroparietal importante e interasas, con siembras peritoneales sobre peritoneo parietal y visceral, lo que sugirió diagnóstico macroscópico de carcinomatosis peritoneal. Después se recibió la citología del líquido ascítico como negativo para malignidad y la prueba de adenosina-desaminasa (ADA) reportó 76,80 U/L (valor positivo >36 U/L), mientras que la biopsia (Figura 2) mostró inflamación crónica granulomatosa con presencia de BAAR, consistente con tuberculosis peritoneal, por la cual se inició manejo con rifampicina/isoniacida 300/150 mg 2/día, pirazinamida 1 g día, etambutol 2 g diarios. Se realizó la búsqueda activa en familiares cercanos del paciente para TB y fueron negativos. Antes del egreso del paciente se recibió el informe del cultivo para BK esputo como positivo para TB pulmonar, por lo que se continuó igual manejo.

DISCUSIÓN
La tuberculosis (TB) es una enfermedad infecciosa crónica que afecta cualquier órgano o tejido, aunque el más frecuentemente afectado es el pulmonar. En Colombia, de 9361 casos reportados al Sistema Nacional de Vigilancia (Sivigila), en 2008, 80,8% (7 566) de los casos fueron de tipo pulmonar, 0,7% (73) tuberculosis meníngea y el 18,3% (1 727) restante correspondió a otras formas extrapulmonares (1). La localización abdominal de la tuberculosis es el sexto sitio más frecuente de compromiso extrapulmonar y afecta más frecuentemente el peritoneo; a nivel gastrointestinal, el íleon terminal es el sitio más frecuente, dada su mayor riqueza en agregados linfoides (2).
Algunas series de casos demuestran la asociación entre TB abdominal y los factores de riesgo clásicos como: VIH, pacientes trasplantados, abuso de sustancias, insuficiencia renal, malignidad, bajo nivel socioeconómico, EPOC y silicosis (3). Así mismo, en pacientes con enfermedad renal terminal, los factores de riesgo asociados son diabetes mellitus, edad mayor a 61 años , género masculino, desnutrición, sobrecarga de hierro (4). Nuestro paciente, presentaba varios factores anteriormente mencionados, así como sintomatología sugerente de la infección, la cual se manifiesta como un síndrome crónico que presenta períodos de diarrea que alternan con constipación y aun con obstrucción intestinal, como lo presentó el paciente; dolor abdominal crónico y posteriormente ascitis en relación a compromiso peritoneal, y que puede ser libre o tabicada, con líquido de tipo exudado linfocitario, pero con baja identificación del bacilo, no mayor del 3% en la baciloscopia y menor del 30% en el cultivo (2). En ambos casos, casi siempre es necesaria la laparoscopia con biopsia peritoneal, como se realizó en este caso (5).
El cultivo del material obtenido por biopsia o del líquido ascítico es el patrón de oro, pero requiere de un mínimo de 2 semanas para dar los resultados con los métodos actuales, y se han reportado resultados positivos en un bajo porcentaje, de 25% a 36% (8). El citoquímico del líquido ascítico suele presentarse con un recuento de proteínas >3 g/dL, conteo celular de 150 a 4000 U/L predominantemente linfocitario (>70%). Con respecto al ADA, se incrementa en el líquido ascítico tuberculoso por la estimulación de células T por los antígenos de la micobacteria; por lo tanto, su determinación en líquido ascítico es de gran utilidad, con una sensibilidad y especificidad superior al 80%, con valores de corte mayor de 35 U/L (9).
Los hallazgos tomográficos incluyen engrosamiento liso y realce del peritoneo, mesenterio engrosado y nodular, ascitis de alta densidad (25-45 UH) y nódulos linfáticos de baja densidad (10). Sin embargo, en ausencia de factores de riesgo o hallazgos clínicos que alerten a la sospecha de TB, es imposible distinguirla de la carcinomatosis peritoneal, la cuál es su principal diagnóstico diferencial (11) y la enfermedad de Crohn, entre otros (12). Nuestro paciente se presentó con manifestaciones clínicas usuales de la tuberculosis abdominal, sin embargo no fue suficiente para tener en cuenta este diagnóstico de entrada. Más aún cuando tenemos de base síntomas B, sumados a un diagnóstico postoperatorio de carcinomatosis peritoneal; el reporte de ADA y la biopsia directa son las herramientas diagnósticas en nuestro paciente. Finalmente, el paciente no presentaba sintomatología respiratoria, sin embargo se documentó en él también TB pulmonar; la mayoría de los pacientes no tienen cuadros pulmonares asociados activos en el momento del diagnóstico, pero se conoce la asociación TB pulmonar y abdominal en el 20% de los pacientes sin coinfección con VIH (13).
REFERENCIAS
1. Instituto Nacional de Salud Colombia. Proceso R-02 vigilancia y control en salud pública, protocolo de vigilancia y control de tuberculosis [Internet]. [citado 28 de mayo de 2016]. Recuperado a partir de: http://www.ins.gov.co:81/lineas-de-accion/Subdireccion-Vigilancia/sivigila/Protocolos%20SIVIGILA/PRO%20Tuberculosis.pdf
2. Ministerio de la Protección Social, República de Colombia. Guía de Atención de la Tuberculosis Pulmonar y Extrapulmonar. Guías y Normas 412 - Tomo 2. p65 - GUIAS DE ATENCION -TOMO DOS.pdf [Internet]. [citado 28 de mayo de 2016]. Recuperado a partir de: https://www.minsalud.gov.co/Documentos%20y%20Publicaciones/GUIAS%20DE%20ATENCION%20-TOMO%20DOS.pdf
3. Chou C-H, Ho M-W, Ho C-M, Lin P-C, Weng C-Y, Chen T-C, et al. Abdominal tuberculosis in adult: 10-year experience in a teaching hospital in central Taiwan. J Microbiol Immunol Infect. 2010;43(5):395-400.
4. Li S-Y, Chen T-J, Chung K-W, Tsai L-W, Yang W-C, Chen J-Y, et al. Mycobacterium tuberculosis infection of end-stage renal disease patients in Taiwan: a nationwide longitudinal study. Clin Microbiol Infect. 2011;17(11):1646-52.
5. García Marcos S, Borrego FJ, Martínez de la Victoria JM, Sánchez Perales C, García Cortés MJ, Pérez del Barrio P, et al. [Ileocecal tuberculosis during hemodialysis simulating carcinoma of the colon]. Nefrología. 2001;21(3):314-8.
6. Shankar MSR, Aravindan AN, Sohal PM, Kohli HS, Sud K, Gupta KL, et al. The prevalence of tuberculin sensitivity and anergy in chronic renal failure in an endemic area: tuberculin test and the risk of post-transplant tuberculosis. Nephrol Dial Transplant. diciembre de 2005;20(12):2720-4.
7. Segall L, Covic A. Diagnosis of tuberculosis in dialysis patients: current strategy. Clin J Am Soc Nephrol. 2010;5(6):1114-22.
8. Sharma MP, Bhatia V. Abdominal tuberculosis. Indian J Med Res. 2004;120(4):305-15.
9. Huertas DG, Maccaferri AE, Cedeño MG, Orozco JC. Utilización de la adenosin desaminasa (ADA) como parámetro en el diagnóstico de pacientes con tuberculosis extrapulmonar: pleural, peritoneal y del SNC. Revista Medicina. 2002;8(3):207-16.
10. Mamo JP, Brij SO, Enoch DA. Abdominal tuberculosis: a retrospective review of cases presenting to a UK district hospital. QJM. 2013;106(4):347-54.
11. Suárez T, García V, Estrada T, Acosta F. Imágenes en tuberculosis abdominal, Rev Col Radiol. 2010;21:(4):3025-35.
12. Pulimood AB, Amarapurkar DN, Ghoshal U, Phillip M, Pai CG, Reddy DN, et al. Differentiation of Crohn’s disease from intestinal tuberculosis in India in 2010. World J Gastroenterol. 2011;17(4):433-43.
13. Martínez Ordaz JL, Benavides RB. [Gastrointestinal tuberculosis]. Rev Gastroenterol Mex. 2004;69(3):162-5.