Trabajos originales
Infección oculta por el virus de la hepatitis B en pacientes sometidos a trasplante hepático
Occult Hepatitis B Virus Infection in Liver Transplant Patients
Infección oculta por el virus de la hepatitis B en pacientes sometidos a trasplante hepático
Revista Colombiana de Gastroenterología, vol. 31, núm. 4, pp. 347-353, 2016
Asociación Colombiana de Gastroenterologia
Recepción: 07 Marzo 2016
Aprobación: 01 Noviembre 2016
Financiamiento
Fuente: Proyecto de Mediana Cuantía y Estrategia de Sostenibilidad 2013-2014, Vicerrectoría de Investigación, Universidad de Antioquia. Proyecto P10245
Beneficiario: Dirección de Investigación, Instituto Tecnológico Metropolitano
Descripción del financiamiento: Proyecto de Mediana Cuantía y Estrategia de Sostenibilidad 2013-2014, Vicerrectoría de Investigación, Universidad de Antioquia. Proyecto P10245, Dirección de Investigación, Instituto Tecnológico Metropolitano
Resumen:
Introducción: la infección oculta por el virus de la hepatitis B (VHB) se caracteriza por la presencia del genoma viral en suero y/o tejido hepático de individuos negativos para el antígeno de superficie HBsAg. La infección oculta se ha asociado con el desarrollo de cirrosis y carcinoma hepatocelular.
Objetivo: identificar casos de infección oculta por el VHB en pacientes con diagnóstico de cirrosis y carcinoma hepatocelular, sometidos a trasplante hepático.
Materiales y métodos: entre febrero de 2013 y marzo de 2014 fueron obtenidas muestras de explante hepático provenientes de pacientes con diagnóstico de cirrosis y/o carcinoma hepatocelular. Se detectó el genoma del VHB mediante amplificación de tres regiones del genoma viral (S, Core y X). Las muestras positivas se confirmaron por reacción en cadena de la polimerasa (PCR) en tiempo real para la región S.
Resultados: se analizaron 15 muestras de tejido hepático, y en dos (13,3%) se detectó el genoma del VHB mediante PCR anidada para la región S y por PCR semianidada para la región X, resultado confirmado por PCR en tiempo real. Estas muestras provenían de pacientes negativos para los marcadores serológicos de infección por el VHB, anti-HBc y anti-HBs.
Conclusión: la frecuencia de infección oculta reportada en este estudio es similar a lo reportado en Brasil en muestras de biopsias obtenidas de pacientes con hepatitis crónica. Estudios adicionales son necesarios para estimar la frecuencia de infección oculta por VHB (OBI) en pacientes con hepatopatías terminales en Colombia.
Palabras clave: Virus de la hepatitis B, hepatitis B oculta, antígeno de superficie, hepatopatías, trasplante de hígado.
Abstract:
Introduction: Occult hepatitis B virus infection is characterized by the presence of the viral genome in serum and/or liver tissue from individuals who test negative for the HBsAg surface antigen. Occult infection has been associated with the development of cirrhosis and hepatocellular carcinoma.
Objective: The objective of this study was to identify cases of occult hepatitis B virus infection in patients with cirrhosis and/or hepatocellular carcinoma undergoing liver transplantation.
Materials and methods: Between February 2013 and March 2014 hepatic explant samples were obtained from patients with cirrhosis and/or hepatocellular carcinoma. The hepatitis B virus genome was detected by amplification of three regions of the viral genome (S, Core and X). Positive samples were confirmed by real-time PCR for the S region.
Results: Fifteen hepatic tissue samples were analyzed. The genome of the hepatitis B virus was detected in two (13.3%) samples by nested PCR for the S region and by semi-nested PCR for region X. The results were confirmed by real-time PCR. These samples came from patients who had tested negative for anti-HBc and anti-HBs serological markers for hepatitis B virus infection.
Conclusion: The frequency of occult infection reported in this study is similar to that reported in Brazil in biopsy specimens obtained from patients with chronic hepatitis. Additional studies are needed to estimate the frequency of occult hepatitis B in patients with end-stage liver disease in Colombia.
Keywords: Hepatitis b virus, hepatitis b occult, surface antigen, liver diseases, liver transplantation.
INTRODUCCIÓN
La infección por el virus de la hepatitis B (VHB) es un problema de salud pública global. La Organización Mundial de la Salud (OMS) estima más de 240 millones de casos de infección crónica por VHB en el mundo y más de 780 000 muertes cada año como consecuencia de esta infección, debido especialmente al desarrollo de hepatopatías terminales como cirrosis y carcinoma hepatocelular (CHC) (1).
El genoma del VHB es un ADN circular de doble cadena parcial (rcADN), de 3200 pb. Este contiene cuatro marcos abiertos de lectura (ORF) que codifican siete proteínas: el ORF S, para las tres formas del antígeno de superficie (HBsAg); el ORF Core, para la subunidad estructural de la cápside y el antígeno e; el ORF P, para la polimerasa viral; y el ORF X, para la proteína HBx (2, 3).
En 1979 fue descrito un nuevo tipo de infección por VHB: la infección oculta (OBI) (4), caracterizada por la presencia del genoma viral en tejido hepático de individuos con niveles no detectables del marcador serológico antígeno de superficie (HBsAg) y con o sin presencia de ADN del VHB en el suero (5, 6). En estos casos, la carga viral es <200 UI/mL (5) o <1000 UI/mL (6). Alrededor del 80% de los individuos con infección oculta presentan anticuerpos contra la proteína Core (anti-HBc+) y/o contra el antígeno de superficie (anti-HBs+) (7). Los individuos afectados son identificados como negativos para la infección por el VHB según la prueba de ELISA para HBsAg, a pesar de estar infectados por el virus.
La importancia clínica de la OBI radica en el riesgo de desarrollar cirrosis y CHC, como lo revelan diferentes estudios (8, 9). Sumado a esto, la infección puede reactivarse en casos de inmunosupresión, causando incluso insuficiencia hepática y muerte (10, 11); y los individuos con OBI pueden transmitir el virus mediante transfusiones de sangre y trasplante de órganos, especialmente de hígado (7, 12).
En Colombia se han realizado algunos estudios de OBI en pacientes con infección por el virus de la inmunodeficiencia humana (VIH) (13-15), en donantes de sangre (16-19), en pacientes sometidos a hemodiálisis (20) y en estudiantes universitarios (21). El estudio de muestras de tejido hepático es de gran importancia, debido a que la OBI depende de la persistencia del genoma viral en los hepatocitos (5). Sumado a esto, la baja tasa de replicación característica de los casos de infección oculta puede dificultar la detección del genoma viral en suero (22).
Con base en lo anterior, y teniendo en cuenta que en el país se ha realizado un único estudio en este tipo de muestras, con resultados preliminares (23), nuestro objetivo fue identificar casos de infección oculta en pacientes con hepatopatías sometidos a trasplantes, negativos para el marcador serológico HBsAg.
MATERIALES Y MÉTODOS
Población de estudio
Se realizó un estudio descriptivo en muestras de tejido hepático provenientes de pacientes colombianos con diagnóstico de cirrosis y/o CHC, sometidos a trasplante de hígado entre febrero de 2013 y marzo de 2014 en el Hospital Pablo Tobón Uribe (Medellín, Colombia); todos los pacientes fueron negativos para el marcador serológico HBsAg.
El diagnóstico de cirrosis hepática fue establecido por criterios clínicos como hipertrofia de parótidas, presencia o no de ictericia, nevus en araña, ginecomastia, eritema palmar y/o presencia de complicaciones asociadas, como encefalopatía hepática, ascitis, sangrado digestivo por várices esofágicas, coagulopatía, síndrome hepatorrenal y peritonitis bacteriana espontánea. Los casos fueron confirmados por imagenología y, algunos, por histopatología. El diagnóstico de CHC se estableció siguiendo los criterios de la Asociación Europea para el estudio del Hígado (ESAL) y la Asociación Americana para el Estudio de las Enfermedades Hepáticas (AASLD)
Muestras
Se obtuvieron muestras de explante hepático, que fueron conservadas a 4 °C entre 1 y 12 días en tubos estériles, para luego ser almacenadas a -70 °C hasta el análisis. A partir de la historia clínica se recuperó información de diagnóstico, marcadores serológicos y carga viral de la infección por VHB, virus de la hepatitis C (VHC) y VIH.
Extracción de ADN total
La extracción de ADN se realizó con TRIzol ® (Invitrogen) siguiendo las instrucciones del fabricante. El ADN se cuantificó por espectrofotometría (Nanodrop 2000, Thermo Scientific), y una relación 260/280 ≥1,80 se consideró como ADN de buena calidad.
Detección del VHB
Previo a la amplificación del genoma viral, se realizó una PCR para el gen GADPH como control de la calidad del ADN total extraído, adaptando el protocolo descrito por Pitzurra y colaboradores (24).
Para la detección del VHB se realizó PCR para los ORF S, X y Core, siguiendo los protocolos adaptados en el laboratorio de los métodos descritos previamente (19, 25-29). La región del ORF S se amplificó mediante una PCR anidada con los cebadores YS1-YS2 y S3s-S3as, para obtener amplificados de 584 y 336 pb (19, 25, 26). Para el ORF X se realizó una PCR semianidada con los cebadores X4F y X3R o X1R; el amplificado de la primera ronda es de 425 pb y el de la segunda ronda, de 139 pb (27, 30). Finalmente para el ORF Core se llevó a cabo una PCR semianidada con los cebadores 1101P y 2440n o P2; el tamaño de los amplificados es de 1333 pb y 747 pb, respectivamente (28, 29).
El límite de detección de la PCR para el ORF S (50 UI/mL) y para ORF X y Core (500 UI/mL) fue determinado en un estudio previo (19). Para todas las amplificaciones se utilizaron entre 60 y 80 ng de ADN y se incluyó adicionalmente una dilución 1:10 del ADN extraído con el fin de excluir posibles inhibidores que pudieran afectar la amplificación. Todas las muestras se analizaron por duplicado.
En todos los experimentos se incluyó como control negativo ADN extraído de una muestra sin evidencia de VHB; como control positivo, ADN extraído de una muestra proveniente de un individuo con diagnóstico de cirrosis por VHB, positivo para el marcador serológico HBsAg. Los productos de PCR se evaluaron por electroforesis en gel de agarosa al 1,5% y tinción con bromuro de etidio.
PCR en tiempo real
Se realizó PCR en tiempo real de las muestras que fueron positivas para al menos una región del genoma del VHB por PCR anidada o semianidada. Para esto, se utilizó el kit QuantiTect SYBR Green PCR (QIAgen) y los cebadores HBV359F y HBV425R, donados por la Dra. Tonya Mixson-Hayden del Centro para el Control y Prevención de Enfermedades (CDC, Atlanta, Estados Unidos) (19, 31). Como estándar se incluyeron diluciones seriadas de concentración conocida del plásmido pJetTH24_1.5, que fue construido previamente en el laboratorio y contiene el genoma completo del VHB.
Aspectos éticos
Los individuos participaron voluntariamente en el estudio mediante la firma de un consentimiento informado. Este proyecto fue aprobado por los comités de ética de la Universidad de Antioquia y del Hospital Pablo Tobón Uribe.
RESULTADOS
Características de las muestras
En total fueron obtenidas 15 muestras de tejido hepático provenientes de pacientes con cirrosis y/o CHC sometidos a trasplante de hígado como parte de su manejo médico. De estas, 9 provenían de hombres y 6 de mujeres, con un promedio de edad de 49 años (rango 20-64 años). Los pacientes eran negativos para los marcadores serológicos HBsAg y anti-HBc, con excepción de un individuo, positivo para anti-HBc IgG. En cuanto a las coinfecciones virales, 5 pacientes fueron positivos para anticuerpos anti-VHC, y en uno de ellos se detectó además el genoma viral. Los anticuerpos anti-VHC fueron detectados mediante inmunoensayo quimioluminiscente de micropartículas (CMIA; ARCHITECT anti-HCV, Abbott) y la carga viral se determinó por PCR en tiempo real. El diagnóstico consignado en la historia clínica del paciente HT127 indicaba cirrosis por VHC genotipo 1B, a pesar de que no había información sobre carga viral o anticuerpos anti-VHC. Ninguno de los individuos fue positivo para infección por VIH.
Todos los pacientes tenían diagnóstico de cirrosis, y 3 tenían además CHC (20%). En 5 pacientes (33,3%) la etiología fue infección por VHC, 2 de estos con CHC; mientras que en 3 (20%) fue el consumo crónico de alcohol. Solo un caso se diagnosticó como cirrosis criptogénica. Las características de los pacientes se resumen en la tabla 1.

Detección del VHB
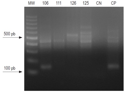
Se logró amplificar un fragmento del genoma del VHB en las muestras HT106 y HT126 mediante PCR para el ORF S (figura 1). Mediante la estrategia ORF X se logró la amplificación del genoma viral a partir de la muestra HT106 (figura 2), mientras que por la estrategia del ORF Core no se logró amplificación en ninguna muestra.


PCR en tiempo real
Teniendo en cuenta que para el diagnóstico de la OBI se recomienda amplificar al menos dos regiones del genoma viral, y que se había logrado la amplificación del genoma del VHB en la muestra HT126 por solo una estrategia de PCR anidada, se realizó PCR en tiempo real para corroborar la presencia del genoma viral en dicha muestra, así como en la muestra HT106. El resultado de la amplificación fue positivo para ambas. De esta manera se confirma la presencia del genoma del VHB en las muestras HT106 y HT126, provenientes de pacientes negativos para el HBsAg, lo que indica que son casos de infección oculta.
DISCUSIÓN
En el presente estudio se describe una frecuencia de infección oculta por el virus de la hepatitis B del 13,3% (2/15) en muestras provenientes de individuos con diagnóstico de cirrosis y/o CHC sometidos a trasplante hepático. Las muestras en las que se detectó el genoma viral eran negativas para los marcadores anti-HBc y anti-HBs, por lo que corresponden a casos de OBI seronegativos, que se estima constituyen el 20% de los casos totales de OBI (7). Esto evidencia la importancia de incluir individuos sin marcadores serológicos de infección por VHB en los estudios de OBI, pues su exclusión puede llevar a una subestimación de la frecuencia de este tipo de infección.
Se ha propuesto que la frecuencia de OBI está relacionada con la endemicidad de la infección por VHB de la población estudiada y sus factores de riesgo. Sin embargo, al no haber claridad con respecto a los mecanismos de patogénesis de la infección oculta, factores como el sistema inmune del hospedero, la carga viral y el genotipo del virus podrían estar implicados (32). Sumado a esto, las frecuencias reportadas de OBI están también condicionadas por la aproximación metodológica utilizada para detectar el genoma del VHB (33, 34): la naturaleza de la muestra (suero o tejido hepático), el análisis por pool y la sensibilidad y especificidad de la técnica pueden afectar la detección del genoma viral.
A pesar de que según los más recientes análisis Colombia es considerado un país de endemicidad baja-moderada para la infección por VHB (35, 36), el patrón de prevalencia en el país es muy heterogéneo, pues existen regiones de baja, media y alta prevalencia. Según el Instituto Nacional de Salud, en el 2015 se presentaron 2227 casos de hepatitis B, lo que representa una incidencia de 4,67/100 000 habitantes (rango 0,29-25,20); la incidencia en el departamento de Antioquia durante este período fue 6,60, que lo ubica como el octavo con mayor incidencia en el país (37).
En Colombia, las primeras aproximaciones al estudio de la OBI se llevaron a cabo en pacientes con infección por VIH y en donantes de sangre. Ramírez Sánchez y Cataño Correa evaluaron 50 pacientes VIH positivo, 12 de los cuales eran HBsAg-/anti-HBc IgG+. En una de las muestras se detectó el genoma viral mediante PCR, lo que corresponde al 2% de la muestra total y al 8,3% de las muestras anti-HBc+ (13). Por otro lado, en 103 pacientes VIH positivo, Polo y colaboradores encontraron 6 individuos HBsAg-/anti-HBc+, pero solo en uno de ellos se logró determinar la carga viral (1/103, equivalente al 0,97%) (14). En esta población, el estudio más reciente fue realizado por Bautista y colaboradores en 275 muestras de suero: todas las muestras fueron analizadas por PCR anidada para el ORF S, y en el 8,7% se diagnosticó OBI (15).
En donantes de sangre, Beltrán y colaboradores analizaron 129 sueros provenientes de bancos de sangre de Bogotá, Cali, Barranquilla y Valledupar, con perfil serológico anti-HBc total reactivo y título de anti-HBs ≤30 mUI/mL. El análisis se realizó mediante amplificación del genoma viral en pool de 6 muestras; los autores reportaron 0% de infección oculta (16). En Antioquia, Arroyave Ospina y colaboradores analizaron 207 sueros de donantes de sangre HBsAg-/anti-HBc+, negativos para otros marcadores de infección, mediante dos estrategias de PCR anidada para el ORF S, que reportaron una frecuencia de OBI de 3,4% (7/207) (17). Ríos-Ocampo y colaboradores evaluaron 302 sueros de donantes HBsAg-/anti-HBc+ mediante PCR anidada para los ORF S, Core y X, y en 6 de estas muestras (2%) se detectó el genoma del VHB (19). En el estudio de Ríos-Ocampo y colaboradores, además, se determinó la presencia de mutaciones en los ORF S y P, y se encontraron cuatro mutaciones sinónimas y tres no sinónimas en S, y seis mutaciones no sinónimas en P (19). Finalmente, Castellanos y colaboradores analizaron mediante PCR anidada para el ORF S 160 sueros de donantes de sangre con un perfil serológico HBsAg-/anti-HBc total+, provenientes de Santander, y encontraron una frecuencia de OBI del 8,75% (18).
Otras poblaciones en las que se ha estudiado la OBI son pacientes sometidos a hemodiálisis en Bogotá (20) y estudiantes universitarios en Bucaramanga, con un frecuencia del 0% de OBI en los dos estudios (21). Adicionalmente, en muestras de niños indígenas del departamento de Amazonas se detectó el genoma viral en 2/24 muestras HBsAg-/anti-HBc+ (8,3%) mediante PCR anidada para diferentes regiones del ORF S (Jaramillo y colaboradores, manuscrito en preparación). Según los resultados de estos estudios, se ha descrito una frecuencia entre el 0% y el 8,75% de OBI en diferentes poblaciones en Colombia.
En el país se ha realizado un único estudio de OBI en tejido hepático, con resultados preliminares, en 63 muestras provenientes de pacientes con hepatopatías terminales sometidos a trasplante hepático, que presentaban un perfil serológico negativo para los marcadores HBsAg y anti-HBc; se detectó el genoma del VHB en 9,5% de las muestras (6/63) por amplificación de al menos dos regiones del genoma viral mediante PCR anidada y/o semianidada (23).
Son pocos los estudios en muestras de tejido hepático de pacientes con enfermedad hepática terminal que se han realizado en otros países. En Brasil se encontró una frecuencia de OBI del 4,4% en una muestra de 68 pacientes con cirrosis sometidos a trasplante hepático (38). Adicionalmente un estudio incluyó 17 biopsias de hígado de pacientes con hepatitis crónica y perfil HBsAg-/anti-HBc+, con una frecuencia de OBI del 17,6% (39).
Por otro lado, en China se analizaron 43 muestras de pacientes sometidos a trasplante con cirrosis alcohólica, y en el 41,9% de estas se detectó el genoma viral. En Corea se analizaron 33 muestras de pacientes con CHC criptogénico y 28 con etiología conocida; la frecuencia de OBI en este estudio fue del 73% y 21,4%, respectivamente (40). En Italia, 61,2% de 80 pacientes HBsAg- con cirrosis y/o CHC fueron positivos para el VHB ADN, la mayoría de los cuales estaban infectados por el VHC; otras etiologías fueron NASH, consumo de alcohol y enfermedad criptogénica (41), lo que concuerda con lo reportado por un estudio en una población similar, que detectó el VHB ADN intrahepático en el 64% de los 14 pacientes sometidos a trasplante, la mayoría con infección por VHC (42). La frecuencia de OBI reportada en el presente estudio se ubica dentro del intervalo de lo que se ha reportado en pacientes con enfermedad hepática terminal (4,4%-64%), aunque es menor a lo encontrado por la mayoría de los estudios. Como se mencionó anteriormente, esta frecuencia está relacionada con la prevalencia del VHB en la región de estudio y la sensibilidad de las técnicas utilizadas.
Este es el segundo reporte en Colombia de infección oculta por VHB en pacientes sometidos a trasplante. La frecuencia reportada en este estudio es mayor a lo descrito en otros estudios realizados en el país; sin embargo, los resultados no son comparables por el tipo de población de estudio y los criterios de inclusión y las metodologías. Además se deben tener en cuenta tres limitantes del presente estudio: el tamaño de la muestra, en parte debido a que el trasplante hepático no es un procedimiento de rutina; las muestras se obtuvieron en un único hospital; y el período de estudio corresponde a un año.
La realización y difusión de estos estudios contribuye al conocimiento de la OBI por parte del personal médico, pues a pesar de que fue descrita hace más de 30 años, no es ampliamente reconocida en el entorno clínico. Esto se ve reflejado en la inexistencia de guías para su diagnóstico y manejo, a pesar de que diferentes estudios han mostrado una relación entre la OBI y el desarrollo de cirrosis y CHC. La identificación de la OBI en pacientes con hepatopatías crónicas permite el diagnóstico de infección por VHB en individuos que, de otra manera, no sería posible, al ser los pacientes negativos para el HBsAg identificado en el ELISA de rutina. De esta manera, se puede adaptar el manejo clínico y, de ser necesario, iniciar el tratamiento antiviral, así como disminuir el riesgo de transmisión.
Estudios adicionales con una muestra representativa de varios centros de atención son necesarios para estimar la frecuencia de OBI en pacientes con hepatopatías terminales en Colombia.
Agradecimientos
El desarrollo de este proyecto fue posible gracias a la financiación de mediana cuantía 2547 de la Universidad de Antioquia, al proyecto P10245 del Instituto Tecnológico Metropolitano y a la Estrategia de Sostenibilidad 2013-2014 de la Universidad de Antioquia.
REFERENCIAS
1. World Health Organization. Hepatitis B Fact Sheet [Internet]. World Health Organization. 2015 [citado el 1 de diciembre de 2015]. Recuperado a partir de: http://www.who.int/mediacentre/factsheets/fs204/en/.
2. Baumert TF, Thimme R, von Weizsäcker F. Pathogenesis of hepatitis B virus infection. World J Gastroenterol WJG. 2007;13(1):82-90.
3. Samal J, Kandpal M, Vivekanandan P. Molecular mechanisms underlying occult hepatitis B virus infection. Clin Microbiol Rev. 2012;25(1):142-63.
4. Tabor E, Hoofnagle JH, Smallwood LA, et al. Studies of donors who transmit posttransfusion hepatitis. Transfusion (Paris). 1979;19(6):725-31.
5. Raimondo G, Allain J-P, Brunetto MR, et al. Statements from the Taormina expert meeting on occult hepatitis B virus infection. J Hepatol. 2008;49(4):652-7.
6. Ocana S, Casas ML, Buhigas I, et al. Diagnostic strategy for occult hepatitis B virus infection. World J Gastroenterol WJG. 2011;17(12):1553-7.
7. Torbenson M, Thomas DL. Occult hepatitis B. Lancet Infect Dis. 2002;2(8):479-86.
8. Shi Y, Wu YH, Wu W, et al. Association between occult hepatitis B infection and the risk of hepatocellular carcinoma: a meta-analysis. Liver Int Off J Int Assoc Study Liver. 2012;32(2):231-40.
9. Covolo L, Pollicino T, Raimondo G, et al. Occult hepatitis B virus and the risk for chronic liver disease: A meta-analysis. Dig Liver Dis. 2013;45(3):238-44.
10. Hui C, Cheung WWW, Zhang H, et al. Kinetics and risk of de novo hepatitis B infection in HBsAg-negative patients undergoing cytotoxic chemotherapy. Gastroenterology. 2006;131(1):59-68.
11. Zachou K, Sarantopoulos A, Gatselis NK, et al. Hepatitis B virus reactivation in hepatitis B virus surface antigen negative patients receiving immunosuppression: A hidden threat. World J Hepatol. 2013;5(7):387-92.
12. Squadrito G, Spinella R, Raimondo G. The clinical significance of occult HBV infection. Ann Gastroenterol. 2014;27(1):15-9.
13. Ramírez Sánchez IC, Cataño Correa JC. Prevalencia de hepatitis B oculta en una cohorte prospectiva de pacientes con VIH. Iatreia. 2008;21(1):S10-1.
14. Polo P, Castañeda C, Sierra M, et al. Hepatitis B oculta en pacientes VIH positivos de una institución de salud en Barranquilla, Colombia. Infectio. 2010;14(1):39-46.
15. Bautista-Amorocho H, Castellanos-Domínguez YZ, Rodríguez-Villamizar LA, et al. Epidemiology, risk factors and genotypes of HBV in HIV-infected patients in the northeast region of Colombia: high prevalence of occult hepatitis B and F3 subgenotype dominance. PLoS ONE. 2014;9(12):e114272.
16. Beltrán M, Berrío-Pérez M, Bermúdez MI, et al. Detección de hepatitis B oculta en donantes de bancos sangre, Colombia 2008-2009. Biomédica. 2011;31(4):580-9.
17. Arroyave Ospina JC, Loureira CL, Pujol FH, et al. Caracterización molecular de la infección por el virus de la hepatitis B en donantes de sangre HBsAg negativo/anti-HBc positivo. Hechos Microbiológicos. 2011;1(2):22.
18. Castellanos Y, Portilla V, Chacón L, et al. Identificación de casos de hepatitis B oculta en donantes de bancos de sangre de Santander, Colombia. Hechos Microbiológicos. 2013;4(2 Supl 1):43.
19. Rios-Ocampo WA, Cortes-Mancera F, Olarte JC, et al. Occult hepatitis B virus infection among blood donors in Colombia. Virol J. 2014;11(1):206.
20. Delgado S, Triana A. Identificación de infección oculta por virus de hepatitis B en pacientes con insuficiencia renal crónica en hemodiálisis en Unidad Renal del Hospital Militar Central, Bogotá, Colombia, Noviembre 2008. GEN. 2009;63(1):29-31.
21. Bautista Amorocho H, Castellanos Domínguez YZ, Farfán García AE. Marcadores serológicos y moleculares de infección por el virus de la hepatitis B en estudiantes universitarios colombianos. Rev Colomb Gastroenterol. 2012;27(4):282-90.
22. Marrero JA, Lok ASF. Occult hepatitis B virus infection in patients with hepatocellular carcinoma: Innocent bystander, cofactor, or culprit? Gastroenterology. 2004;126(1):347-50.
23. Rendón JC, Cortes-Mancera F, Duque A, et al. Identificación de casos de infección oculta por el virus de la hepatitis B en pacientes sometidos a trasplante hepático en la ciudad de Medellín. Hechos Microbiológicos. 2013;4(2 Supl 1):94.
24. Pitzurra L, Fringuelli R, Perito S, et al. A new azole derivative of 1,4-benzothiazine increases the antifungal mechanisms of natural effector cells. antimicrob agents chemother. 1999;43(9):2170-5.
25. Schaefer S, Glebe D, Wend UC, et al. Universal primers for real-time amplification of DNA from all known orthohepadnavirus species. J Clin Virol. 2003;27(1):30-7.
26. Zeng GB, Wen SJ, Wang ZH, et al. A novel hepatitis B virus genotyping system by using restriction fragment length polymorphism patterns of S gene amplicons. World J Gastroenterol WJG. 2004;10(21):3132-6.
27. Abedi-Ardekani B, Gouas D, Villar S, et al. TP53 mutations and HBX status analysis in hepatocellular carcinomas from Iran: evidence for lack of association between HBV genotype D and TP53 R249S mutations. Hepat Res Treat. 2011;2011:475965.
28. Günther S, Li BC, Miska S, et al. A novel method for efficient amplification of whole hepatitis B virus genomes permits rapid functional analysis and reveals deletion mutants in immunosuppressed patients. J Virol. 1995;69(9):5437-44.
29. Hu X, Margolis HS, Purcell RH, et al. Identification of hepatitis B virus indigenous to chimpanzees. Proc Natl Acad Sci. 2000;97(4):1661-4.
30. Navas MC, Suarez I, Carreño A, et al. Hepatitis B and hepatitis C infection biomarkers and TP53 mutations in hepatocellular carcinomas from Colombia. Hepat Res Treat. 2011;2011:1-10.
31. Mixson-Hayden T, Lee D, Ganova-Raeva L, et al. Hepatitis B virus and Hepatitis C virus infections in United States-Bound refugees from Asia and Africa. Am J Trop Med Hyg. 2014;90(6):1014-20.
32. Raimondo G, Caccamo G, Filomia R, et al. Occult HBV infection. Semin Immunopathol. 2013;35(1):39-52.
33. Alavian SM, Miri SM, Hollinger FB, et al. Occult hepatitis B (OBH) in clinical settings. Hepat Mon. 2012;12(8):e6126.
34. Negro F. Diagnostic pitfalls in chronic viral hepatitis: occult hepatitis B, hepatitis D and autoantibodies related to hepatitis C. En: EASL Postgraduate Course: Viral Hepatitis. Londres; 2014.
35. Ott JJ, Stevens GA, Groeger J, et al. Global epidemiology of hepatitis B virus infection: new estimates of age-specific HBsAg seroprevalence and endemicity. Vaccine. 2012;30(12):2212-9.
36. Schweitzer A, Horn J, Mikolajczyk RT, et al. Estimations of worldwide prevalence of chronic hepatitis B virus infection: a systematic review of data published between 1965 and 2013. The Lancet. 2015;386(10003):1546-55.
37. Tolosa Pérez EN. Informe final hepatitis B y C, Colombia, 2014 [Internet]. Bogota: Instituto Nacional de Salud; 2014. Recuperado a partir de: http://www.ins.gov.co/lineas-de-accion/Subdireccion-Vigilancia/Paginas/informes-de-evento.aspx.
38. Ferrari TCA, Xavier MP, Vidigal PVT, et al. Occult hepatitis B virus infection in liver transplant patients in a Brazilian referral center. Braz J Med Biol Res. 2014;47(11):990-4.
39. Júnior B, Maia G, Braga WSM, et al. Occult hepatitis B: prevalence and clinical characteristics in a population with high endemicity of hepatitis B infection in the western Brazilian Amazon region. Rev Soc Bras Med Trop. 2008;41(6):596-601.
40. Wong DKH, Huang FY, Lai CL, et al. Occult hepatitis B infection and HBV replicative activity in patients with cryptogenic cause of hepatocellular carcinoma. Hepatol Baltim Md. 2011;54(3):829-36.
41. Saitta C, Tripodi G, Barbera A, et al. Hepatitis B virus (HBV) DNA integration in patients with occult HBV infection and hepatocellular carcinoma. Liver Int. 2015;35(10):2311-7.
42. Ghisetti V, Marzano A, Zamboni F, et al. Occult hepatitis B virus infection in HBsAg negative patients undergoing liver transplantation: clinical significance. Liver Transpl. 2004;10(3):356-62.