Revisión de tema
Esofagograma: imágenes que valen más que mil palabras
Esophagograms: Images Worth a Thousand Words
Esofagograma: imágenes que valen más que mil palabras
Revista Colombiana de Gastroenterologia, vol. 32, núm. 3, pp. 258-268, 2017
Asociación Colombiana de Gastroenterología
Recepción: 09 Noviembre 2016
Aprobación: 28 Julio 2017
Resumen: El estudio de las enfermedades esofágicas requiere de múltiples exámenes diagnósticos, ya que ninguno, por sí solo, provee total información sobre la funcionalidad y la anatomía del tracto digestivo superior. Para los cirujanos generales y gastrointestinales, el esofagograma constituye una herramienta esencial que, además de sugerir un diagnóstico, ofrece una idea de la anatomía del órgano y nos permite esbozar un mapa de fácil evaluación (sin la necesidad de un radiólogo), para establecer o definir un plan quirúrgico. El objetivo del presente artículo es mostrar al lector la utilidad del esofagograma en centros de referencia en el estudio y el tratamiento de las enfermedades esofágicas, así como su representación en algunas enfermedades frecuentes.
Palabras claves: Esófago, enfermedades del esófago, neoplasias esofágicas, esofagograma.
Abstract: The study of esophageal diseases requires multiple diagnostic tests since no one test alone can provide full information on upper digestive tract anatomy and functionality. For general surgeons and gastrointestinal surgeons, the esophagogram is an essential tool that can suggest a diagnosis while simultaneously providing an idea of the anatomy of the organ and outlining an easily evaluated map without the need of a radiologist. This information can be used to establish a surgical plan. The aim of this article is to show readers the usefulness of esophagograms at referral centers for study and treatment of esophageal diseases while providing representations of several frequent diseases.
Keywords: Esophagus, diseases of the esophagus, esophageal neoplasms, esophagogram.
Introducción
El estudio de las enfermedades del esófago requiere de múltiples ayudas diagnósticas que aporten, dependiendo de la enfermedad, información sobre su funcionalidad o anatomía. El esofagograma es un estudio radiológico dinámico del tracto digestivo superior que utiliza un medio de contraste y aire (doble contraste) y permite realizar una aproximación diagnóstica de anomalías estructurales y funcionales del esófago. Para los cirujanos generales y gastrointestinales, este estudio -cada vez más en desuso- es un instrumento esencial que nos acerca al diagnóstico y planeación de un tratamiento quirúrgico.
El objetivo del presente artículo es mostrar la utilidad del esofagograma en centros de referencia en el estudio y el tratamiento de las enfermedades esofágicas, así como su representación radiológica, los hallazgos más frecuentes y su utilidad en algunas enfermedades.
Esofagograma
Las enfermedades esofágicas pueden ser causadas por alteraciones funcionales y estructurales, y su estudio puede ser complejo, dado que ningún examen ofrece información y evaluación completas del órgano. El esofagograma -o trago de bario- es un estudio sencillo y dinámico que permite la evaluación parcial de la anatomía y la función del esófago 1,2. La técnica consiste en la toma de múltiples imágenes secuenciales después de la deglución de un medio contraste (generalmente, 100 a 250 mL). Estas imágenes se toman cada 1, 2 y 5 minutos después de la ingesta del contraste 1,2. Su interpretación requiere de la correlación clínica, los hallazgos del examen físico y otros estudios (endoscopia, pH-metría y manometría convencional o de alta resolución) 1,2.
Se debe evaluar la columna del medio de contraste, el vaciamiento esofágico y la integridad de las estructuras anatómicas (paredes esofágicas y unión esofagogástrica) 1,2,3,4 (Figura 1).

Se evalúan 3 porciones anatómicas diferentes según su localización 1,2,3,4:
Esófago cervical: desde la faringe hasta la sexta vértebra cervical y el borde inferior del cartílago cricoides.
Esófago torácico: desde la sexta vértebra cervical hasta el hiato esofágico.
Esófago abdominal: desde el hiato esofágico hasta la unión esofagogástrica (Figura 1).
Además, la cinedeglución es un estudio que evalúa la habilidad de deglutir diferentes sustancias y se enfoca en la orofaringe y el esófago superior. Puede sufrir algunas modificaciones consistentes en la implementación de diferentes texturas del medio de contraste y de distintas viscosidades. Esta modificación permite una evaluación más exhaustiva de la deglución y de los trastornos a este nivel, y permite la planeación e identificación de dietas compatibles, lo cual previene el riesgo de aspiración 2.
En pacientes con disfagia para sólidos o sospecha de estenosis, los alimentos sólidos impregnados de bario pueden ayudar a determinar el calibre del esófago y de la estenosis 2.
Aspiración
Corresponde al paso de alimentos (medio de contraste) desde el tracto digestivo hacia las vías respiratorias, el cual puede ocurrir en pacientes asintomáticos. Puede estar dada por la presencia de enfermedades neuromusculares o del tracto digestivo superior y, entre los factores predisponentes, se encuentran alteraciones en el estado de conciencia, trastornos de la deglución y deficiencias neurológicas 2,5. La aspiración constituye un evento de importante morbimortalidad en pacientes de edades avanzadas y puede ser asintomática hasta en el 55% de los pacientes. El esofagograma, aun con la llegada de nuevas tecnologías, continúa siendo el estudio de elección para su diagnóstico 2,5 (Figura 2).

Reflujo gastroesofágico
El reflujo gastroesofágico es una afección presente en individuos normales que se torna patológica cuando se presenta con síntomas o complicaciones 6,7. Su fisiopatología es multifactorial y corresponde a un desequilibrio de los factores agresores y protectores (falla en la barrera y mecanismos de protección). Aunque el diagnóstico se realiza con la pH-metría de 24 horas, el esofagograma sugiere la presencia de reflujo con los cambios de posición (supino) y las maniobras de Valsalva, y permite la identificación de la presencia de hernias hiatales asociadas 6,7 (Figura 3).

La sensibilidad y la especificidad del esofagograma para el diagnóstico varía según la fase en la que se evalué y las complicaciones que se presenten. En la fase inicial de pie, su sensibilidad es baja, pero aumenta con los cambios de posición y las maniobras de Valsalva. Es así como, en pacientes con esofagitis moderada y severa, su sensibilidad varía de un 71% a un 85 %, con una baja tasa de detección de estenosis pépticas (43%) y un valor predictivo positivo de solo el 25% para la presencia de esófago de Barrett, pero un valor predictivo negativo del 99% 8,9,10.
Hernia hiatal
La hernia hiatal es una protrusión del estómago a través del hiato esofágico al tórax que afecta del 10% al 50% de la población, y su diagnóstico y tratamiento tempranos previenen enfermedades de mayor complejidad 11,12. En la evaluación final del esofagograma, se debe identificar la presencia de hernias hiatales, definidas como un tamaño mayor de 2 cm entre la unión esofagogástrica y el hiato diafragmático (si es menor de 2 cm, la herniación es fisiológica) 11,12. El 95% de las hernias primarias son de tipo I (deslizadas) y los tipos II, III y IV se agrupan en las hernias paraesofágicas (más del 90% son de tipo III, y las menos comunes corresponden al tipo II). El reparo laparoscópico es el estándar de tratamiento, y el esofagograma es de utilidad para establecer el tamaño de la hernia, puesto que se requiere una amplia disección esofágica, el cierre adecuado del hiato (posible uso de malla) y un mecanismo antirreflujo 11,12 (Figura 4).

Vólvulo gástrico
El vólvulo gástrico es una rotación anormal (más de 180º) del estómago sobre sí mismo. El vólvulo gástrico agudo es una emergencia quirúrgica, su tratamiento requiere descompresión y devolvulación gástrica y no permite la realización de un estudio radiológico con medio de contraste debido al alto riesgo de aspiración 12. Cuando su presentación es crónica (generalmente, con síntomas de regurgitación, pirosis, dolor precordial y disfagia), el esofagograma, como parte del estudio sintomático, permite la evaluación de la anatomía para determinar la presencia de la hernia, el tamaño y su eje de rotación 11,12.
Los vólvulos gástricos se clasifican en tres tipos (9) (Figura 5):
Mesenterioaxial (rotación sobre el eje del mesenterio).
Organoaxial (rotación sobre su propio eje).
Mixto

Trastornos de la motilidad esofágica
Los trastornos motores esofágicos constituyen una amplia variedad de padecimientos poco frecuentes de etiología aún desconocida. El uso del esofagograma demuestra una gran sensibilidad para el diagnóstico de una parte de los trastornos funcionales de la motilidad, pero su diagnóstico definitivo depende de los hallazgos de la manometría clásica o de alta resolución 13,14. La acalasia es una enfermedad crónica y progresiva caracterizada por una falla en la relajación del esfínter esofágico inferior, ausencia de peristalsis y aumento de la presión esofágica intraluminal 14,15 (Figura 6).
A pesar de esto, aproximadamente el 20% al 30 % de los pacientes con este diagnóstico y con hallazgos típicos radiológicos no presentan disfunción en el esfínter esofágico inferior 10,14. El espasmo esofágico difuso se presenta con contracciones no coordinadas y dolor retroesternal, y el esófago en cascanueces, con onda de propagación normal, pero con una fuerza de contracción mayor, con una duración aumentada de la contracción 14,15,16 (Figura 6). En los pacientes con espasmo esofágico difuso, las contracciones peristálticas, por su presentación intermitente, se presentan en menos del 15% de los casos 10,14.

Divertículos esofágicos
Los divertículos son una alteración infrecuente de la integridad de la pared esofágica que se presentan clínicamente con disfagia y regurgitación. Se clasifican según su localización anatómica (esófago superior, medio e inferior). El método de evaluación más eficaz de esta enfermedad son los estudios baritados, ya que proporcionan el diagnóstico definitivo en más del 95% de los casos 18,19,20. El divertículo de Zenker es el divertículo más frecuente del esófago superior y, aunque no hay consenso sobre su exacto mecanismo de formación, se asocia con trastornos de la motilidad y la deglución 18,19 (Figura 7).
Los divertículos del esófago medio se clasifican según su etiología; los divertículos por tracción se asocian con procesos inflamatorios o cicatrices (tuberculosis), mientras que los divertículos por pulsión se asocian con trastornos motores. En el caso de los divertículos epifrénicos, adquieren su nombre por su proximidad al diafragma, se asocian con trastornos de la motilidad esofágica y, algunos de ellos, requieren resección 19,20 (Figura 7).

Disfagia cardiovascular
La disfagia cardiovascular hace referencia a múltiples enfermedades de naturaleza cardiovascular que causan compresión esofágica y disfagia secundaria; estas se pueden dividir en congénitas (doble arco aórtico, arco aórtico derecho, arco aórtico cervical, divertículo de Kommerell, arteria subclavia aberrante, arteria pulmonar en cincha, ligamento arterioso), adquiridas (disección aórtica, escoliosis, crecimiento de la aurícula izquierda) o iatrogénicas (fistula aortoesofágica, disfagia posoperatoria) 21,22.
El crecimiento de la aurícula izquierda secundario a enfermedades congénitas o adquiridas y asociado con estenosis mitral puede causar compresión esofágica con disfagia secundaria; esta constituye un diagnóstico diferencial en el estudio de la disfagia. Cuando el crecimiento de la aurícula es secundario a una valvulopatía mitral reumática y a parálisis del nervio laríngeo recurrente izquierdo, se conoce como síndrome de Ortner o disfagia cardiovocal21-23 (Figura 8).

Tumores benignos del esófago
El esofagograma es un estudio de gran utilidad para la detección, localización y medición de lesiones estenosantes, tanto benignas como malignas, con una sensibilidad del 95% para la detección de estrecheces de la luz esofágica 13. Los quistes de duplicación son alteraciones congénitas infrecuentes del desarrollo del tracto digestivo consideradas el tercer tumor benigno más frecuente del esófago, después de los pólipos y el leiomioma. En adultos, su hallazgo es incidental, su localización más frecuente es el mediastino derecho posteroinferior y su tratamiento es generalmente quirúrgico, incluso en ausencia de síntomas 24,25 (Figura 9).
Los pólipos fibrovasculares son tumores subepiteliales e intraluminales de lento crecimiento que, generalmente, se localizan en el esófago proximal, se presentan con pedículos largos -los cuales crecen distalmente- y el pólipo puede encontrarse distal a su sitio de implantación. La resección endoscópica o quirúrgica representa una opción terapéutica en pacientes con síntomas 26,27 (Figura 9).
El leiomioma es el tumor benigno más común del esófago y, usualmente, se localiza en el tercio inferior del esófago y de forma intramural. Estos tumores se presentan con disfagia y dolor torácico, y son masas generalmente móviles no obstructivas que rara vez causan dilatación esofágica. La cirugía está reservada para los pacientes sintomáticos 27 (Figura 9).

Tumores malignos de esófago
El cáncer de esófago es una patología cada vez más frecuente, con tasas de supervivencia desalentadoras, y su localización nos sugiere el tipo histológico (esófago medio y superior, generalmente escamocelular, y esófago inferior -adenocarcinoma, en su gran mayoría-). El esofagograma, además de permitir localizar el tumor y ayudarnos a generar un plan quirúrgico, nos da una idea de su estadio (los tumores con una longitud mayor de 5 cm y los tumores estenosantes generalmente corresponden a tumores T3 y T4) 28,29 (Figura 10). La sensibilidad del estudio es mayor al 95 % para el diagnóstico de cáncer de esófago, similar a la sensibilidad de la endoscopia digestiva (95% al 100%) (10).

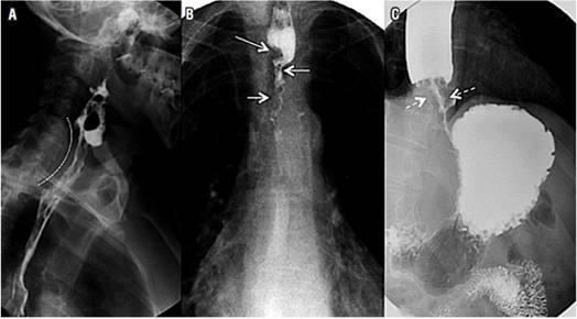
Evaluación de los procedimientos quirúrgicos
Los procedimientos quirúrgicos como la esofagectomía son procedimiento realizados por múltiples indicaciones y tienen una morbimortalidad considerable. La detección temprana de sus complicaciones permite una rápida actuación por parte del cirujano para prevenir mayores complicaciones 30,31. El esofagograma es un estudio de gran utilidad para evaluar el éxito de un procedimiento quirúrgico, así como los problemas que se pueden derivar a partir de este; las estenosis de las anastomosis y las fugas anastomóticas son un claro ejemplo. De su adecuada realización e interpretación deriva el adecuado tratamiento. Aunque algunos estudios reportan baja sensibilidad (36%), la especificidad en presencia de fugas de la anastomosis se acerca al 100% 30,31 (Figura 11).
Este estudio, además, provee información adicional sobre la presencia de aspiración y del adecuado vaciamiento del conducto usado para su reconstrucción (estómago o colon) 30,31 (Figuras 1 y 11).

En pacientes en quienes se realizó cirugía antirreflejo, se observa la presencia del wrap rodeando total o parcialmente la unión esofagogástrica, con una longitud de 2 a 3 cm, lo que permite el adecuado paso del medio de contraste. Se puede evaluar también la presencia de una hernia hiatal recurrente y correlacionar con la presencia de sintomatología. En estos pacientes, somos cuidadosos al evaluar la localización del wrap con respecto a la unión esofagogástrica, así como del diafragma, y la presencia de reflujo del medio de contraste con las diferentes maniobras descritas (Figura 12) 8,9.

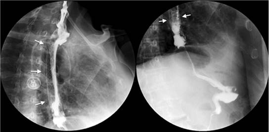
Identificación de prótesis y evaluación de su funcionalidad
Las prótesis endoscópicas se utilizan para mantener la permeabilidad de la luz en casos de obstrucción maligna o benigna, así como para el control de las fugas anastomóticas. Son procedimientos menos invasivos, con menor tasa de complicaciones, estancias hospitalarias cortas y bajo costo 32. El esofagograma es una herramienta de utilidad para evaluar su localización, así como su funcionalidad 32 (Figura 13 y 14).


Conclusiones
En conclusión, a pesar estar progresivamente en desuso por la constante aparición de nuevas tecnologías, podemos concluir en que el esofagograma es un estudio sencillo, fácilmente comprensible, que nos brinda datos acerca de la anatomía, nos ofrece información indirecta de la función esofágica y nos permite trazar un plan terapéutico.
Agradecimientos
Departamento de Cirugía Gastrointestinal y Endoscopia Digestiva Instituto Nacional de Cancerología y Universidad Militar Nueva Granada.
Referencias
1. Neyaz Z, Gupta M, Ghoshal UC. How to perform and interpret timed barium esophagogram. J Neurogastroenterol Motil. 2013;19(2):251-6. Doi: https://doi.org/10.5056/jnm.2013.19.2.251
2. Furlow B. Barium swallow. Radiol Technol. 2004;76(1):49-58.
3. Borraez BA, Gasparaitis A, Patti MG. Esophageal diseases: radiologic images. En: Esophageal diseases. Springer International Publishing Switzerland; 2014. pp. 11-39.
4. Borraez BA, Patti MG. Radiologic evaluation of esophageal diseases. En: Atlas of esophageal surgery. Springer International Publishing Switzerland; 2015. pp. 9-21.
5. Fuentes Santos C, Steen B. Aspiration of barium contrast. Case Rep Pulmonol. 2014;2014:1-3. Doi: https://doi.org/10.1155/2014/215832
6. Baker ME, Einstein DM. Barium esophagram: does it have a role in gastroesophageal reflux disease? Gastroenterol Clin N Am. 2014;43:47-68. Doi: https://doi.org/10.1016/j.gtc.2013.11.008
7. Allaix ME, Fisichella PM, Noth I, et al. Idiopathic pulmonary fibrosis and gastroesophageal reflux. implications for treatment. J Gastrointest Surg. 2014;18(1):100-4. Doi: https://doi.org/10.1007/s11605-013-2333-z
8. Baker ME, Einstein DM. Barium esophagram does it have a role in gastroesophageal reflux disease? Gastroenterol Clin N Am. 2014;43:47-68. Doi: https://doi.org/10.1016/j.gtc.2013.11.008
9. Katzka DA. The role of barium esophagography in an endoscopy world. Gastrointest Endoscopy Clin N Am. 2014;24:563-80. Doi: https://doi.org/10.1016/j.giec.2014.06.004
10. Levine MS, Rubesin SE, Laufer I. Barium esophagography: a study for all seasons. Clin Gastroenterol Hepatol. 2008;6(1):11-25. Doi: https://doi.org/10.1016/j.cgh.2007.10.029
11. Dean C, Etienne D, Carpentier B, et al. Hiatal hernias. Surg Radiol Anat. 2012;34(4):291-9. Doi: https://doi.org/10.1007/s00276-011-0904-9
12. Arévalo C, Luna RD, Luna-Jaspe C, et al. Hernia hiatal recidivante: la visión del cirujano. Revisión de la literatura. Rev Col Gastroenterol. 2015;30(4):447-55.
13. Scharitzer M, Pokieser P. What is the role of radiological testing of lower esophageal sphincter function? Ann N Y Acad Sci. 2016;6:1-11.
14. Maurer AH. Gastrointestinal motility, part 1: esophageal transit and gastric emptying. J Nucl Med Technol. 2016;44(1):1-11. Doi: https://doi.org/10.2967/jnumed.113.134551 / https://doi.org/10.2967/jnumed.112.114314
15. Krill JT, Naik RD, Vaezi MF. Clinical management of achalasia: current state of the art. Clin Exp Gastroenterol. 2016;9:71-82.
16. Carucci LR, Turner MA. Dysphagia revisited: common and unusual causes. Radiographics. 2015;35(1):105-22. Doi: https://doi.org/10.1148/rg.351130150
17. Aziz Q, Fass R, Gyawali CP, et al. Functional esophageal disorders. Gastroenterology. 2016;150:1368-79. Doi: https://doi.org/10.1053/j.gastro.2016.02.012
18. Tao TY, Menias CO, Herman TE, et al. Easier to swallow: pictorial review of structural findings of the pharynx at barium pharyngography. Radiographics. 2013;33(7):189-208. Doi: https://doi.org/10.1148/rg.337125153
19. Bagheri R, Maddah G, Mashhadi MR, et al. Esophageal diverticula: analysis of 25 cases. Asian Cardiovasc Thorac Ann. 2014;22(5):583-7. Doi: https://doi.org/10.1177/0218492313515251
20. Allaix ME, Borraez Segura BA, Herbella FA, et al. Is resection of an esophageal epiphrenic diverticulum always necessary in the setting of achalasia? World J Surg. 2015;39(1):203-7. Doi: https://doi.org/10.1007/s00268-014-2770-1
21. Yuan SM. Cardiovascular dysphagia: anatomical and clinical implications. Folia Morphol (Warsz). 2014;73(2):113-21. Doi: https://doi.org/10.5603/FM.2014.0026
22. Al-Quthami A, Albloushi A, Alquthami AH. Images in vascular medicine. Dysphagia aortica with left atrial compression. Vasc Med. 2015;20(3):266-7. Doi: https://doi.org/10.1177/1358863X14568445
23. Heng JS, Elghamaz A. Atrial enlargement associated with non-valvular atrial fibrillation: an unusual cause of dysphagia and weight loss. BMJ Case Rep. 2015. Doi: https://doi.org/10.1136/bcr-2014-209213
24. Huang J, Yan ZN. Dysphagia due to esophageal duplication Cyst. Clin Gastroenterol Hepatol. 2016.
25. Al-Riyami S, Al-Sawafi Y. True intramural esophageal duplication cyst. Oman Med J. 2015;30(6):469-72. Doi: https://doi.org/10.5001/omj.2015.91
26. Blacha MM, Sloots CE, Van Munster IP, et al. Dysphagia caused by a fibrovascular polyp: a case report. Cases J. 2008;19(1):334. Doi: https://doi.org/10.1186/1757-1626-1-334
27. Ha C, Regan J, Cetindag IB, et al. Benign esophageal tumors. Surg Clin North Am. 2015;95(3):491-14. Doi: https://doi.org/10.1016/j.suc.2015.02.005
28. Van Dam J, Rice TW, Catalano MF, et al. High-grade malignant stricture is predictive of esophageal tumor stage. Risks of endosonographic evaluation. Cancer. 1993;71(10):2910-7. Doi: https://doi.org/10.1002/1097-0142(19930515)71:10<2910::AID-CNCR2820711005>3.0.CO;2-L
29. Alsop BR, Sharma P. Esophageal cancer. Gastroenterol Clin North Am. 2016;45(3): 993-412. Doi: https://doi.org/10.1016/j.gtc.2016.04.001
30. Upponi S, Ganeshan A, D’Costa H, et al. Radiological detection of post-esophagectomy anastomotic leak: a comparison between multidetector CT and fluoroscopy. Br J Radiol. 2008;81(967):545-8. Doi: https://doi.org/10.1259/bjr/30515892
31. Roh S, Iannettoni MD, Keech JC, et al. Role of barium swallow in diagnosing clinically significant anastomotic leak following esophagectomy. Korean J Thorac Cardiovasc Surg. 2016;49(2):99-106. Doi: https://doi.org/10.5090/kjtcs.2016.49.2.99
32. Kang HW, Kim SG. Upper gastrointestinal stent insertion in malignant and benign disorders. Clin Endosc. 2015;48(3):187-9. Doi: https://doi.org/10.5946/ce.2015.48.3.187
Declaración de intereses