Reporte de casos
Apendicitis atípica diagnosticada durante una colonoscopia: reporte de caso clínico
Atypical Appendicitis Diagnosed During a Colonoscopy
Apendicitis atípica diagnosticada durante una colonoscopia: reporte de caso clínico
Revista Colombiana de Gastroenterologia, vol. 32, núm. 3, pp. 269-273, 2017
Asociación Colombiana de Gastroenterología
Recepción: 09 Agosto 2016
Aprobación: 28 Julio 2017
Resumen: Se presenta el caso clínico de una apendicitis atípica diagnosticada durante una colonoscopia en un paciente masculino de 85 años, en estudio por síndrome anémico y hospitalizado por un cuadro de infección neumónica en la Clínica Versalles de Manizales (Caldas). Durante la exploración del ciego, se observa un orificio apendicular prominente, con salida de material purulento hacia la luz del colon. La apendicitis atípica es un cuadro que puede presentarse en ancianos y, en ocasiones, se diagnostica durante una colonoscopia. El manejo de estos pacientes es poco claro y suele ser determinado por el médico tratante.
Palabras clave: Apendicitis, colonoscopia, endoscopia.
Abstract: We present a case of atypical appendicitis diagnosed during a colonoscopy in a 85 year old male patient under study for anemic syndrome while hospitalized because of pneumonia at Clínica Versalles in Manizales, Caldas, Colombia. During the exploration of the cecum, a prominent appendicular orifice discharge purulent material into the lumen of the colon was found. Atypical appendicitis can occur in the elderly and is sometimes diagnosed during a colonoscopy. The management of these patients is unclear and is usually determined by the treating physician.
Keywords: Appendicitis, colonoscopy, endoscopy.
Introducción
La apendicitis aguda la caracterizó como una entidad quirúrgica por primera vez, en 1886, el patólogo Reginald Fitz y, actualmente, constituye la emergencia abdominal más común. En los Estados Unidos, se diagnostican alrededor de 250 000 casos cada año, y existe un riesgo de presentarla a lo largo de la vida del 6,7% y el 8,6% para mujeres y hombres, respectivamente. Es más frecuente durante la segunda y la tercera décadas de la vida 1, mientras que su presentación en ancianos constituye solo un 5%-10% de los casos de apendicitis. Sin embargo, en este grupo poblacional, la mortalidad puede ser hasta ocho veces más alta que en la población general 2.
La clínica típica de la apendicitis aguda se caracteriza por dolor intenso en el epigastrio o en la región periumbilical (49%) 3 que, posteriormente, migra a la fosa ilíaca derecha para aumentar de intensidad (50%-60%) 4. Además, puede acompañarse de anorexia (41%), náuseas (58%), vómitos (43%) 3 y fiebre (66%) 1,3. En la exploración física, suele encontrarse dolor a la palpación de la fosa ilíaca derecha, en el punto descrito por McBurney; defensa localizada (65%) y dolor a la descompresión brusca 3. Los hallazgos paraclínicos clásicos son la leucocitosis marcada 1, con neutrofilia 4 y elevación de marcadores inflamatorios como la proteína C reactiva 5. Asimismo, hay un pequeño porcentaje de pacientes con presentaciones atípicas, constituido por mujeres embarazadas, pacientes inmunocomprometidos y ancianos (6, 7). En estos grupos, la clínica suele ser poco clara y, en algunos casos, incluso puede desaparecer el dolor durante la evolución 8, lo que confunde aún más el diagnóstico. Un buen ejemplo de esto son los ancianos, en los que la triada anorexia, fiebre y dolor en el cuadrante inferior derecho del abdomen solo está presente en un 20% de los pacientes 2. Para orientar el diagnóstico en estos casos, el médico puede apoyarse en instrumentos de guía clínica, como la escala de Alvarado y la escala de respuesta inflamatoria en apendicitis (AIR score) 4.
El diagnóstico es clínico, pero las imágenes resultan útiles para descartar diagnósticos diferenciales, sobre todo en los grupos de presentación atípica. Los dos estudios más utilizados suelen ser la ecografía abdominal y la tomografía. En la primera, se busca aumento del grosor de la pared y dolor al presionar el abdomen con el transductor 3, con una sensibilidad de hasta el 90% y una especificidad de hasta el 100%; en la tomografía helicoidal, se busca principalmente aumento del diámetro, signos de inflamación del apéndice y presencia de apendicolitos, con una sensibilidad de hasta el 100% y una especificidad de hasta el 99% 2,9,10. Aunque es infrecuente, debe mencionarse el diagnóstico de apendicitis durante la exploración endoscópica, ya que existen casos reportados en la literatura, y la mayoría constituyen un hallazgo incidental durante el estudio de otra patología 6,11,12.
La apendicectomía ha sido históricamente el tratamiento de elección en casos de apendicitis aguda, pero, recientemente, se ha planteado la antibioticoterapia como único manejo en los casos no complicados de apendicitis 2. Se han usado antibióticos como meropenem, metronidazol y ciprofloxacina, y se ha demostrado que este tratamiento puede resolver gran parte de los cuadros agudos, sin complicaciones ni necesidad de cirugía en grupos seguidos durante un año 13. Además, una revisión de Cochrane concluyó que, a pesar de que la apendicectomía es el tratamiento de elección, el manejo antibiótico puede ser una buena opción en aquellos casos en los que la cirugía está contraindicada por alguna razón 14.
Presentación del caso
Paciente masculino de 85 años de edad, con antecedentes de enfermedad pulmonar obstructiva crónica oxigenorequiriente, hipertensión arterial, hipotiroidismo y fibrilación auricular, anticoagulado con dabigatrán, colecistectomía abierta hace más de diez años y hospitalización hace dos meses por infección neumónica. Consultó al servicio de urgencias con cuadro de disnea progresiva, mayor requerimiento de oxígeno suplementario, deterioro de la clase funcional, dolor torácico y lipotimia. Al examen físico de ingreso, presentaba signos vitales dentro de los límites normales, con ruidos cardíacos arrítmicos e hipoventilación de los campos pulmonares, pero sin dolor a la palpación del abdomen ni signos de irritación peritoneal. Los paraclínicos de ingreso mostraron hemoglobina 8,6 g/dL, hematocrito 27,6%, leucocitosis con neutrofilia (16 060 /mm3[94,8%]), plaquetas 244 000/mm3, troponina T cuantitativa 0,023 µg/L, nitrógeno ureico 17,4 mg/dL, sodio plasmático 135,9 mEq/L y potasio plasmático 3,8 mEq/L.
Se le realizó una radiografía de tórax, la cual evidenció infiltrados parailiares algodonosos con tendencia a la consolidación, y un electrocardiograma, que mostró ritmo de fibrilación auricular, con frecuencia cardíaca de 100 lpm, sin trazados sugestivos de isquemia aguda o bloqueo auriculoventricular. Se decidió hospitalizarlo con diagnóstico de infección neumónica y se inició manejo antibiótico con ampicilina/sulbactam y claritromicina. El paciente fue valorado por el servicio de medicina interna y se le solicitaron paraclínicos de control. La troponina T de control fue de 0,023 µg/L, por lo que se descartó un evento coronario.
En el segundo día de hospitalización, se encontró un valor de hemoglobina de 7,5 g/dL y, al interrogar al paciente sobre el síndrome anémico que padecía, refirió gingivorragia en días previos al ingreso. Se le realizó transfusión de hemoderivados, con un control de hemoglobina postransfusión con un valor de 10 g/dL, tiempo de protrombina de 12,9 segundos y TPT de 65,5 segundos (valor de referencia: 24,3-26,00); medicina interna ordenó endoscopia y colonoscopia para descartar hemorragia digestiva.
Al tercer día de hospitalización, se realizó endoscopia, con los siguientes hallazgos: lesiones algodonosas en esófago que se deprenden de forma severa al paso del endoscopio y mucosa antral eritematosa, con edema difuso y reflujo biliar en moderada cantidad. Se establece el diagnóstico de gastritis crónica antral, reflujo duodenogástrico y moniliasis esofágica, por lo que se inició manejo con omeprazol, sucralfato, fluconazol y nistatina.
En el quinto día de hospitalización, se realizó colonoscopia, con los siguientes hallazgos: hemorroides internas grado I en el canal anal, vascularización y morfología de colon ascendente y transverso sin alteraciones, colon descendente y sigmoides con múltiples divertículos no complicados. Además, en la exploración del ciego, se observó orificio apendicular prominente, con drenaje de material purulento hacia la luz del colon (Figura 1), por lo que se determina que el paciente cursa con una apendicitis atípica y se decide valoración conjunta por gastroenterología y cirugía general. Ambas especialidades deciden solicitar paraclínicos de control y tomografía de abdomen para determinar manejo con resultados.

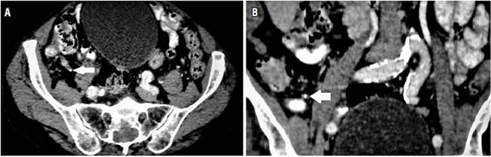
Al sexto día de hospitalización, se realiza una tomografía que reporta apéndice de diámetro normal, sin cambios inflamatorios evidentes, con presencia de fecalito en su interior (Figura 2). Los paraclínicos de control reportan hemoglobina 9,6 g/dL, eritrocitos 3 600 000/mm3, hematocrito 29,8%, leucocitos 5590/mm3 y proteína C reactiva 3 mg/dL. Las especialidades en conjunto examinaron al paciente, quien no evidenció dolor abdominal ni signos de irritación peritoneal, determinaron que el riesgo quirúrgico de este paciente era muy alto y que, al no evidenciarse marcadores de respuesta inflamatoria ni signos de irritación peritoneal, no era candidato para apendicectomía. Decidieron extender el manejo antibiótico con ampicilina/sulbactam hasta 10 días, añadir metronidazol durante 7 días y control con paraclínicos antes del alta.

El séptimo día, los leucocitos estaban en 5000/mm3, y la proteína C reactiva en 2 mg/dL. Además, el paciente ya no presentaba síntomas respiratorios, por lo que se determinó el alta de su cuadro neumónico. Fue valorado por cirugía general, y se lo encontró sin dolor abdominal ni signos de irritación peritoneal; se le dieron recomendaciones sobre signos de alarma, se decidió darle salida y terminar la antibioticoterapia por vía oral en casa. Luego de nueve meses del diagnóstico, el paciente no ha presentado sintomatología abdominal compatible con apendicitis.
Discusión
El enfoque diagnóstico y terapéutico de la apendicitis aguda continúa siendo un reto médico, especialmente en presentaciones atípicas de esta patología. El gran arsenal diagnóstico que actualmente existe y los instrumentos de guía clínica, como la escala de Alvarado 4, pueden contribuir al enfoque de estos pacientes, sobre todo de aquellos que son diagnosticados de forma incidental 6,15. Debe mencionarse también que, actualmente, algunos autores han planteado métodos menos ortodoxos, como la colonoscopia, para el estudio de las formas atípicas 16.
Cuando la clínica es poco clara, como en el caso reportado, el médico debe apoyarse en los hallazgos paraclínicos e imagenológicos 4,10. La leucocitosis y la neutrofilia en este paciente son poco útiles para el diagnóstico, ya que su infección neumónica, por sí sola, podría dar estos hallazgos 17, por lo que el siguiente paso sería el uso de la tomografía 18), que, en este caso, evidenció la presencia de un apendicolito y confirmó el diagnóstico de apendicitis.
El enfoque terapéutico clásicamente ha sido quirúrgico 2,4, pero este manejo puede replantearse en los pacientes con un riesgo quirúrgico elevado y en aquellos con formas no complicadas 14. En este caso, el paciente no cursaba con una forma complicada de apendicitis y presentaba un riesgo quirúrgico alto por sus patologías de base y su síndrome anémico concomitante, por lo que el manejo antibiótico representó una muy buena opción, considerando que no hay evidencia que demuestre su inferioridad frente a la apendicectomía 14.
Este paciente constituye un caso excepcionalmente raro al no tener ningún síntoma previo al diagnóstico, pues son pocos los casos reportados en la literatura, y su manejo sigue siendo controversial 19. Las publicaciones sugieren el drenaje endoscópico del material purulento, que contribuiría al manejo conservador y a evitar la cirugía 20,21. Estos constituyen tipos de manejo frecuentemente reportados 6,22,23, por lo cual queda a criterio del médico tratante determinar la conducta en los pacientes que son diagnosticados de forma incidental, aún más cuando se presentan de forma atípica.
Referencias
1. Fallas J. Revisión bibliográfica: apendicitis aguda. Med Leg Costa Rica [en línea]. 2012. Disponible en: http://webcache.googleusercontent.com/search?q=cache:http://www.scielo.sa.cr/pdf/mlcr/v29n1/art10.pdf
2. Magidson PD, Martínez JP. Abdominal pain in the geriatric patient. Emerg Med Clin North Am [en línea]. 2016;34(3):559-74. Disponible en: http://linkinghub.elsevier.com/retrieve/pii/S0733862716300232
3. Pariente A, Bonnefoy O. Enfermedades del apéndice. EMC - Tratado Med. 2014;18(2):1-5. Doi: https://doi.org/10.1016/S1636-5410(14)67521-8
4. Motta-Ramírez GA, Méndez-Colín E, Martínez-Utrera MJ, et al. Apendicitis atípica en adultos. An Radiol México. 2014;13:143-65.
5. Aguirre GA, Falla A, Sánchez W. Correlación de los marcadores inflamatorios (proteína C reactiva, neutrofilia y leucocitosis) en las diferentes fases de la apendicitis aguda. Rev Colomb Cir. 2014.
6. Niknam R, Fattahi MR, Mahmoudi L. Incidental diagnosis of appendiceal abscess by colonoscopy; a case report and review of the literature. Middle East J Dig Dis. 2015;7(2):94-7.
7. Ospina JM, Barrera LF, Manrique FG. Utility of a diagnostic scale scoring system in acute appendicitis. Rev Colomb Cirugía. 2011;26(4):234-41.
8. Korn O. Apendicitis aguda sin dolor o “El paraíso de los tontos”. Caso clínico. Rev Med Chil [en línea]. 2008;136(12):1559-63. Disponible en: http://www.scielo.cl/scielo.php?script=sci_arttext&pid=S0034-98872008001200008&lng=en&nrm=iso&tlng=en
9. Black C, Martin R. Acute appendicitis in adults: clinical manifestations and diagnosis [en línea]. Disponible en: http://cursoenarm.net/UPTODATE/contents/mobipreview.htm?16/55/17265?source=see_link
10. Rossini SA, Haberman D, González Villaveirán RF. Utilidad de la tomografía computada en pacientes con dolor en fosa iliaca derecha: Apendicitis aguda y su diagnóstico diferencial. Rev Argentina Radiol. 2009;73(1):51-63.
11. Tursi A. Endoscopic diagnosis of appendicitis. Intern Med. 2013;52(10):1141. Doi:https://doi.org/10.2169/internalmedicine.52.0012
12. Duarte P, Ramos R, Casteleiro Alves C. Suppurative appendicitis at colonoscopy. Endoscopy. 2010;42(S02):E104.
13. Svensson J, Patkova B, Almstrom M, et al. Tratamiento con antibióticos vs. cirugía para apendicitis aguda no perforada en niños [en línea]. IntraMed. 2015. Disponible en: http://www.intramed.net/contenidover.asp?contenidoID=86400
14. Wilms IM, de Hoog DE, de Visser DC, et al. Appendectomy versus antibiotic treatment for acute appendicitis. En: Janzing HM (editor). Cochrane Database of Systematic Reviews [en línea]. Chichester: John Wiley & Sons, Ltd; 2010. Doi: http://doi.wiley.com/10.1002/14651858.CD008359
15. Chang HS, Yang SK, Myung SJ, et al. The role of colonoscopy in the diagnosis of appendicitis in patients with atypical presentations. Gastrointest Endosc. 2002;56(3):343-8. Doi: https://doi.org/10.1067/mge.2002.1268849
16. Khawaja FI. Diseases of the appendix recognized during colonoscopy. Saudi J Gastroenterol Of J Saudi Gastroenterol Assoc. 2002;8(2):43-52.
17. García-Zenón T, Villalobos-Silva JA, Trabado-López ME. Neumonía comunitaria en el adulto mayor. Evid Médica e Investig en Salud [en línea]. 2013;6:12-7. Disponible en: http://www.medigraphic.com/emis
18. Petroianu A. Diagnosis of acute appendicitis. Int J Surg. 2012;10(3):115-9. Doi: https://doi.org/10.1016/j.ijsu.2012.02.006
19. Petro M, Minocha A. Asymptomatic early acute appendicitis initiated and diagnosed during colonoscopy: a case report. World J Gastroenterol. 2005;11(34):5398-400. Doi: https://doi.org/10.3748/wjg.v11.i34.5398
20. Liu CH, Tsai FC, Hsu SJ, et al. Successful colonoscopic drainage of appendiceal pus in acute appendicitis. Gastrointest Endosc. 2006;64(6):1011. Doi: https://doi.org/10.1016/j.gie.2006.06.001
21. Said M, Ledochowski M, Dietze O, et al. Colonoscopic diagnosis and treatment of acute appendicitis. Eur J Gastroenterol Hepatol. 1995;7(6):569-71.
22. Ostiz M, Campillo A, Amorena E, et al. Apendicitis aguda atípica diagnosticada durante una colonoscopia. An Sist Sanit Navar. 2013;36(1):129-31. Doi: https://doi.org/10.4321/S1137-66272013000100015
23. Benatta MA. Incidental diagnostic and treatment of a suppurative appendicitis at colonoscopy. Case Rep Med. 2012;523708. Doi: https://doi.org/10.1155/2012/523708