Reporte de casos
Pancreatitis aguda severa por hipertrigliceridemia en el adulto: presentación de caso clínico, diagnóstico y tratamiento
Severe acute pancreatitis due to hypertriglyceridemia in adults: Clinical case presentation, diagnosis and treatment
Pancreatitis aguda severa por hipertrigliceridemia en el adulto: presentación de caso clínico, diagnóstico y tratamiento
Revista Colombiana de Gastroenterologia, vol. 33, núm. 4, pp. 459-463, 2018
Asociación Colombiana de Gastroenterología
Recepción: 24 Octubre 2017
Aprobación: 05 Junio 2018
Resumen:
La pancreatitis es una de las causas más frecuentes de admisión hospitalaria gastrointestinal; en 2009 representó más de 275 000 ingresos a urgencias en Estados Unidos (1). Por su parte, la hipertrigliceridemia es la tercera causa más frecuente, considerándose como de alto riesgo para el desarrollo de pancreatitis los valores superiores a 1000 mg/dL (2); este grupo de pacientes tiene peor pronóstico que quienes cursan con pancreatitis de otra etiología, aunque aún no se logra definir de forma clara y estandarizada un rango de triglicéridos (TAG) que se relacione con la gravedad de la pancreatitis aguda. Existen varios mecanismos fisiopatológicos que explican la aparición de pancreatitis en el contexto de la hipertrigliceridemia, uno de los mejor estudiados es el papel tóxico directo de los ácidos grasos libres sobre el tejido pancreático (3) y otro mecanismo ampliamente acogido es la obstrucción vascular mediada por los quilomicrones, dada la disminución de la expresión genética de la lipoproteína lipasa (LPL) (4). Por su parte, el éxito del tratamiento de esta enfermedad se basa en disminuir los niveles de TAG a menos de 500 mg/dL, teniendo para esto entre otras herramientas la plasmaféresis, tratamiento que ofrece rapidez y efectividad en la reducción de los niveles de TAG.
Palabras clave: Pancreatitis aguda, triglicéridos, plasmaféresis.
Abstract:
Pancreatitis is one of the most frequent gastrointestinal causes of hospital admission. In 2009, it accounted for more than 275,000 admissions to emergency departments in the United States. (1) Hypertriglyceridemia is the third most frequent cause of pancreatitis, and triglyceride levels over 1,000 mg/dl are considering to indicate high risk for its development. (2) This group of patients has a worse prognosis than those with pancreatitis of other etiologies, but to date, no clear standard definition of how the range of triglyceride levels is related to the severity of acute pancreatitis has been defined. There are several pathophysiological mechanisms that explain the onset of pancreatitis in the context of hypertriglyceridemia. One of the best studied is the toxic role of free fatty acids on pancreatic tissue. (3) Another widely accepted mechanism is vascular obstruction mediated by chylomicrons given the decrease in the genetic expression of lipoprotein lipase (LPL). (4)
Successful treatment of this disease is based on lowering triglyceride levels below 500 mg/dl. One fast and effective tool for achieving this is plasmapheresis.
Keywords: Acute pancreatitis, triglycerides, and plasmapheresis.
Introducción
La pancreatitis aguda se define como una respuesta inflamatoria local y sistémica del páncreas, secundaria a diversas causas (cálculos biliares, alcohol, hipertrigliceridemia [HTG], entre otros); puede producir un amplio espectro de complicaciones locales, regionales o sistémicas. Dentro de las complicaciones locales se incluyen necrosis, abscesos, pseudoquistes y ascitis; y las complicaciones sistémicas comprenden una amplia gama de manifestaciones que van desde la aparición de hemorragia gastrointestinal, hiperglucemia, hipercalcemia, desarrollo de diabetes insulinodependiente o cetoacidosis diabética, hasta el desarrollo de síndrome de dificultad respiratoria aguda (SDRA), disfunción multiorgánica, coagulación intravascular diseminada y síndrome compartimental.
Es interesante destacar que en la práctica clínica, el desarrollo de cetoacidosis diabética secundaria a pancreatitis aguda es infrecuente. Los informes de casos y estudios clínicos reportan la aparición de esta complicación en asociación con pancreatitis por HTG 5,6. Adicionalmente, es más infrecuente aún la aparición de insuficiencia multiorgánica en asociación con síndrome compartimental.
Caso clínico
Paciente femenina de 34 años, con antecedente de ovario poliquístico, diabetes mellitus tipo 2 y obesidad mórbida (índice de masa corporal [IMC]: 40 kg/m2) quien consultó por cuadro de 4 días de evolución consistente en náusea asociada con epigastralgia, con aparición de vómito y aumento en la intensidad del dolor hasta 9/10, irradiado en banda, sin fiebre u otros síntomas. Refirió a su ingreso estar en trámites para la realización de cirugía bariátrica; sin embargo, en la última semana había aumentado la ingesta de carbohidratos y grasas, con el fin de lograr el peso mínimo para la realización de la misma.
A su ingreso se encontró con deshidratación grado II y glucometría 315 mg/dL. Se realizó la toma de laboratorios (Tabla 1), dentro de los resultados se destacó la aparición de acidemia metabólica, asociado con amilasa de 643 y lipasa 1281; luego de dichos hallazgos se realizó un diagnóstico de pancreatitis moderadamente severa de origen incierto.

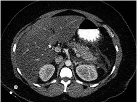
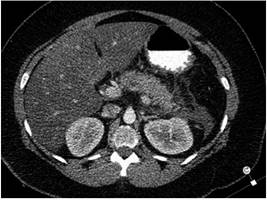
Posteriormente, se procedió a realizar tomografía axial computarizada (TAC) de abdomen contrastada (Figuras 1 y 2) que reportó pancreatitis Baltazar D, permitiendo la reestratificación a pancreatitis Marshall 1 Baltazar D, APACHE-II: 20 (mortalidad: 35%) con criterios de pancreatitis severa e indicación de traslado a la unidad de cuidados intensivos (UCI). Adicionalmente, se complementaron los estudios con perfil metabólico para aclarar la etología con resultados de TAG en 18 060 mg/dL y hemoglobina glucosilada (HbA1c) en 9,87.


12 horas después del ingreso, presentó un deterioro hemodinámico progresivo, con requerimiento de soporte vasopresor dual a dosis escalonadamente mayores, soporte metabólico con infusión de insulina (20 -30 UI/h con mal control glucométrico 235-350 mg/dL) y, finalmente, se definió en junta multidisciplinaria el inicio de plasmaféresis diaria (Figura 3).

Al segundo día de hospitalización, cursaba con choque distributivo refractario, requiriendo además una monitorización temprana de presión intraabdominal (PIA), con aumento progresivo de PIA de 18 a 25 mm Hg, por lo que se indicaron medidas médicas para la reducción de PIA, incluidas la relajación neuromuscular sin mejoría de valores de PIA que entonces llegaron hasta >29 mm Hg, asociado con oligoanuria y empeoramiento de parámetros de oxigenación; por lo anterior se realizó el diagnóstico de síndrome compartimental abdominal refractario a manejo médico y se decidió llevar a laparotomía descompresiva con drenaje de 700 mL de líquido peritoneal seroso sin evidencia de signos de esteatonecrosis. Durante el procedimiento no se realizó la exploración de transcavidad de epiplones y se dejó el abdomen abierto con sistema de presión negativa.
Luego de 3 ciclos de plasmaféresis cursaba con disminución progresiva de niveles de TAG (18 060-12 433-2670-1145-411 mg/dL), además de mejor control de glucometrías.
A pesar del manejo instaurado, la paciente persistió con deterioro hemodinámico progresivo, disfunción multiorgánica, hipoxemia refractaria y, finalmente, falleció a las 72 horas del ingreso.
Discusión
La pancreatitis se define como un proceso inflamatorio localizado en dicha víscera, que en la mayoría de los casos es secundario a la activación enzimática (tripsina) dentro del parénquima pancreático.
Las causas están sujetas a las características demográficas y los hábitos dietéticos de los pacientes. En la actualidad se reconoce como principales causas el consumo de alcohol y los cálculos biliares representando el 80% de los casos, seguido por la HTG en 2%-4% y, por último, otras causas que incluyen fármacos y trauma.
Fisiopatología
Actualmente no se comprende del todo el mecanismo fisiopatológico de la pancreatitis aguda por hipertrigliceridemia (HTG-AP). Dentro de las teorías más ampliamente aceptadas se argumenta el papel nocivo directo de los ácidos grasos sobre el tejido pancreático, que lleva a compromiso de la actividad acinar, inhibición de la función mitocondrial de los complejos I y V, y liberación de calcio ocasionando necrosis celular 3. Otra teoría reciente propone que en los episodios de HTG, la albúmina (proteína transportadora de TAG) se satura, por lo que se aumenta la concentración libre de TAG que, luego de su degradación por parte de la lipasa endotelial y la lisolectina, generan toxicidad celular y desencadenan una respuesta inflamatoria (mediada por el factor de necrosis tumoral alfa [TNF-α] e interleucina 6 [IL-6]) en el páncreas, que puede llevar incluso a compromiso multisistémico inflamatorio 3,7.
Adicionalmente, se argumenta que existe una disminución de la expresión genética de la lipoproteína lipasa (LPL), que es una enzima producida en el tejido muscular y en los adipocitos, esta enzima se trasporta al endotelio capilar donde se encarga de hidrolizar quilomicrones y lipoproteínas ricas en TAG en ácidos grasos y glicerol, los cuales finalmente se llevan al hígado, músculo esquelético, miocardio y adipocitos para su utilización; ante el déficit de LPL se genera una degradación anormal de los quilomicrones 8. Así mismo, luego de la alta concentración de quilomicrones, ocurre la obstrucción de la circulación distal pancreática, causando isquemia por alteración de la reología sanguínea; esto genera daño estructural del tejido pancreático, exponiéndolo a los TAG y llevando a la producción de un medio ácido local que facilita la activación de la lipasa y el tripsinógeno.
En relación con lo anterior, también se ha evidenciado la existencia de la destrucción difusa de células β del páncreas, generando principalmente la aparición concomitante de cetoacidosis diabética, esto sumado a la elevada producción de hormonas contrarreguladoras, aumento de glucosa en sangre y disminución de insulina funcional circulante 9.
Diagnóstico
La HTG-AP se presenta en pacientes con antecedente de HTG, definida como un nivel de TAG séricos en ayunas por encima del percentil 95 para la edad y el sexo 10. La concentración elevada de TAG séricos resulta del aumento de la producción o disminución del catabolismo de los productos lipídicos y suele ser causada por factores genéticos y ambientales. Dentro de los factores ambientales se encuentra, por ejemplo, el consumo de alcohol 11, la obesidad, la diabetes mellitus, el embarazo y el uso de fármacos que causan HTG secundaria.
Los niveles de TAG séricos para diagnosticar un cuadro de HTG-AP no están establecidos; sin embargo, la definición más común de HTG-AP reportada en la literatura es con TAG >1000 mg/dL asociado con un aumento de 3 veces el nivel basal de amilasa o lipasa; recientemente se ha se utilizado en reportes de series de casos la definición de HTG como valores >500 mg/dL, y se encontró que la concentración sérica media de TAG de todos los pacientes con HTG-AP es notablemente alta: >2654 mg/dL 12,13.
Tratamiento
No está descrito un tratamiento estándar para el manejo de esta enfermedad, es poca la literatura disponible, pues la mayoría son reportes de casos y las guías disponibles son escasas dado que no es una patología frecuente; el tratamiento gira en torno a la reanimación hídrica adecuada, manejo analgésico convencional titulado, estabilización de niveles de glucosa sérica en metas (140-180 mg/dL) y disminución de los niveles de TAG.
En estos pacientes, por lo general el ayuno juega un papel importante ya que favorece el metabolismo rápido de los quilomicrones y de los TAG. Además, la reanimación hídrica guiada por metas es de vital importancia para disminuir la morbimortalidad de este grupo de pacientes, así como el inicio oportuno de soporte vasopresor o inotrópico es crucial en estos casos.
Respecto al manejo integral de la HTG, se han propuesto diferentes opciones terapéuticas que incluyen:
En la actualidad, no es claro qué pacientes realmente se benefician de la realización de plasmaféresis; sin embargo, algunos trabajos sugieren mejores resultados en pacientes con TAG severamente elevados (TAG >2000 mg/dL) asociado con pancreatitis severa según la Clasificación Revisada de Atlanta 14,15. En una revisión sistemática 14, los pacientes con HTG-AP requirieron >2 ciclos de plasmaféresis, principalmente con niveles iniciales >4425 mg/dL. En el caso clínico presentado, la paciente cursó con un nivel muy elevado de TAG, con reducción del 97% del nivel de TAG inicial (18060 a 411 mg/dL) luego de 3 ciclos de plasmaféresis, datos que se ajustan a los reportados en la literatura con reducciones >84% de nivel de TAG luego de 2 ciclos de plasmaféresis. Adicional a esto, se ha reportado una disminución de la puntuación de APACHE-II en el 42% de pacientes que reciben plasmaféresis, sumado a una disminución de la mortalidad.
También se ha descrito que la pancreatitis severa presenta un riesgo aumentado de generación de síndrome coronario agudo (SCA), razón por la que es necesario reconocer los factores de riesgo (obesidad, reanimación hídrica enérgica y colecciones pancreáticas), que permitan instaurar un seguimiento temprano de PIA y, mediante la utilización de las estrategias médicas convencionales 15, disminuir la incidencia de esta entidad. En el caso clínico presentado, debido al deterioro clínico importante y ante la pobre respuesta al manejo médico del síndrome policompartimental, se decidió realizar laparotomía descompresiva con el fin de disminuir la PIA y las presiones de los diferentes compartimientos comprometidos. Finalmente y debido a las características del líquido peritoneal visualizado durante la exploración quirúrgica y con el fin de disminuir el tiempo de noxa asociada con la cirugía, se decidió la no exploración de la transcavidad de los epiplones en esa primera y única intervención realizada.
Conclusiones
La pancreatitis es una enfermedad frecuente en la población general, pero la HTG como causa de la enfermedad aún carece de caracterización y estandarización del tratamiento, y se desconoce el posible impacto del mismo en el pronóstico de morbimortalidad de los pacientes. Hacen falta estudios y guías para aclarar el panorama de fisiopatología y manejo de esta entidad.
Referencias
1. Peery AF, Dellon ES, Lund J, Crockett SD, McGowan CE, Bulsiewicz WJ, et al. Burden of gastrointestinal disease in the United States: 2012 update. Gastroenterology. 2012;143(5):1179-87.e3. doi: 10.1053/j.gastro.2012.08.002.
2. Berglund L, Brunzell JD, Goldberg AC, Goldberg IJ, Sacks F, Murad MH, et al. Evaluation and treatment of hypertriglyceridemia: an Endocrine Society clinical practice guideline. J Clin Endocrinol Metab. 2012;97(9):2969-89. doi: 10.1210/jc.2011-3213.
3. Navina S, Acharya C, DeLany JP, Orlichenko LS, Baty CJ, Shiva SS, et al. Lipotoxicity causes multisystem organ failure and exacerbates acute pancreatitis in obesity. Sci Transl Med. 2011;3(107):107ra110. doi: 10.1126/scitranslmed.3002573.
4. Gan SI, Edwards AL, Symonds CJ, Beck PL. Hypertriglyceridemia- induced pancreatitis: A case-based review. World J Gastroenterol. 2006;12(44):7197-202. doi: 10.3748/wjg.v12.i44.7197.
5. Aboulhosn K, Arnason T. Acute pancreatitis and severe hypertriglyceridaemia masking unsuspected underlying diabetic ketoacidosis. BMJ Case Rep. 2013;2013. pii: bcr2013200431. doi: 10.1136/bcr-2013-200431.
6. Quintanilla-Flores DL, Rendón-Ramírez EJ, Colunga-Pedraza PR, Gallardo-Escamilla J, Corral-Benavides SA, González-González JG, et al. Clinical course of diabetic ketoacidosis in hyper- triglyceridemic pancreatitis. Pancreas. 2015;44:615-8. doi: 10.1097/MPA.0000000000000300.
7. Pierre N, Deldicque L, Barb!e C, et al. Toll-like receptor 4 knockout mice are protected against endoplasmic reticulum stress induced by a high-fat diet. PLoS One. 2013 May 31;8(5):e65061. doi: 10.1371/journal.pone.0065061. Print 2013.
8. Nair S, Yadav D, Pitchumoni CS. Association of diabetic ketoaci- dosis and acute pancreatitis: observations in 100 consecutive episodes of DKA. Am J Gastroenterol. 2000;95:2795-2800. doi: 10.1111/j.1572-0241.2000.03188.x.
9. Click B, Ketchum AM, Turner R, Whitcomb DC, Papachristou GI, Yadav D. The role of apheresis in hypertriglyceridemia-induced acute pancreatitis: a systematic review. Pancreatology. 2015;15(4):313-20. doi: 10.1016/j.pan.2015.02.010.
10. Yuan G, Al-Shali KZ, Hegele RA. Hypertriglyceridemia: its etiology, effects and treatment. CMAJ. 2007;176:1113-20. doi: 10.1503/cmaj.060963.
11. Bessembinders K, Wielders J, van de Wiel A. Severe hypertriglyceridemia influenced by alcohol (SHIBA). Alcohol Alcohol. 2011;46(2):113-6. doi: 10.1093/alcalc/agq088.
12. Yadav D, Pitchumoni CS. Issues in hyperlipidemic pancreatitis. J Clin Gastroenterol. 2003;36:54-62. doi: 10.1097/00004836-200301000-00016.
13. Ewald N, Hardt PD, Kloer HU. Severe hypertriglyceridemia and pancreatitis: presentation and management. Curr Opin Lipidol. 2009;20:497-504. doi: 10.1097/MOL.0b013e3283319a1d.
14. Banks PA, Bollen TL, Dervenis C, Gooszen HG, Johnson CD, Sarr MG, et al. Classification of acute pancreatitis-2012: revision of the Atlanta classification and definitions by international consensus. Gut. 2013;62(1):102-11. doi: 10.1136/gutjnl-2012-302779.
15. Bhandari V, Jaipuria J, Singh M, Chawla AS. Intra-abdominal pressure in the early phase of severe acute pancreatitis: canary in a coal mine? Results from a rigorous validation protocol. Gut Liver. 2013;7:731-8. doi: 10.5009/gnl.2013.7.6.731.
Notas de autor
*Correspondencia: heconjisan@gmail.com