Reporte de casos
Recepción: 14 Agosto 2017
Aprobación: 10 Noviembre 2017
DOI: https://doi.org/10.22516/25007440.282
Resumen
Introducción: el linfoma no Hodgkin (LNH) es una enfermedad maligna que presenta una forma extraganglionar que afecta al tracto gastrointestinal hasta en un 50 % de los casos; el colon es el órgano que con menor frecuencia se ve comprometido por este linfoma. En los pocos casos que presentan afección, el compromiso es principalmente del ciego, por su gran contenido linfoide. Este caso es el de una paciente con compromiso del colon por masa en el ciego. Las biopsias reportan LNH folicular grado II, patrones folicular y difuso, siendo este tipo histológico el de mayor prevalencia y el que ha mostrado los mejores resultados con el manejo con quimioterapia (esquema R-CHOP) sola o en conjunto con radioterapia; también, en ocasiones, con cirugía. La paciente recibió tratamiento con evolución adecuada. La terapia conjunta es la que ha demostrado mayor sobrevida, aunque hay estudios en los que se han reportados buenos resultados con monoterapia, como el caso en cuestión.
Caso clínico: mujer de 38 años, en quien se realiza una colonoscopia que muestra una lesión tumoral en el ciego, con patología compatible con LNH tipo B folicular extranodal, confirmado por inmunohistoquímica. Los estudios de extensión imagenológicos confirman la presencia de adenopatías abdominales y torácicas en conglomerados. Oncología inicia el manejo con quimioterapia con protocolo R-CHOP, con buena respuesta.
Discusión y conclusiones: el LNH extranodal afecta muy rara vez al colon, razón por la que este caso es reportado. El manejo puede ser multidisciplinario y su pronóstico depende de las características individuales en cada caso.
Palabras clave: Linfoma no Hodgkin, compromiso extranodal, malignidad de colon.
Abstract
Introduction: Non-Hodgkin’s lymphoma (NHL) is a malignant disease that presents in an extranodal form. It affects the gastrointestinal tract in up to 50% of cases with the colon being the least frequently compromised portion. In the few cases in which it is affected, the cecum is most often compromised due to its large lymphoid content. The colon of the patient presented here was compromised by a mass in the cecum. Biopsies showed grade II follicular NHL with follicular and diffuse patterns. This histological type has the highest prevalence and has shown the best results with chemotherapy (R-CHOP scheme) alone and in conjunction with radiation therapy and occasionally with surgery. The patient received treatment followed by adequate evolution. Combination therapy has been shown to result in longer survival times, although there are studies which have reported good results with monotherapy as in this case.
Clinical Case: The patient was a 38-year-old woman. A colonoscopy showed a tumor in the cecum. Its pathology was compatible with extra-follicular follicular NHL type B which was confirmed by immunohistochemistry. Imaging extension studies confirmed abdominal and thoracic adenopathies in conglomerates. The oncology department treated the patient with a chemotherapy with R-CHOP protocol with a good response.
Discussion and conclusions: Since extranodal NHL rarely affects the colons, this case deserved to be reported. Management can be multidisciplinary, but the prognosis depends on individual characteristics in each case.
Keywords: Non-Hodgkin’s lymphoma, extranodal involvement, colon malignancy.
Introducción
El linfoma no Hodgkin (LNH) es una entidad maligna y la sexta causa de muerte en Estados Unidos. La forma extraganglionar se presenta en el 10 % al 33 % de la población, y es el tracto gastrointestinal el sitio más común de aparición, con un 50 % de los casos. En Occidente predomina el estómago como sitio más frecuentemente afectado (10 % de las neoplasias gástricas malignas), seguido por el intestino delgado (25 % de los casos) y el colon, que es el menos afectado (4 % para las formas extraganglionares y 0,2 %-0,4 % para las neoplasias colónicas primarias) 1,2.
La inmensa mayoría de los pacientes consultan de forma tardía por síntomas inespecíficos tales como astenia, adinamia y pérdida de peso.
Caso clínico
Paciente femenina de 38 años, con varios meses de evolución de astenia y adinamia. Durante el examen físico se observan adenopatías cervicales y leve dolor a la palpación en la fosa ilíaca derecha. Por estos síntomas, se solicitó endoscopia digestiva alta y colonoscopia.
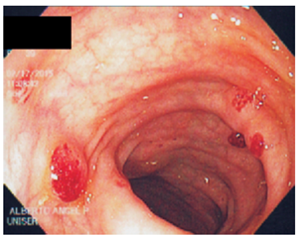
La colonoscopia reporta un pólipo grande en el ciego, de aproximadamente 5 cm de diámetro, que engloba el orificio apendicular, pétreo, del que se toman biopsias. Además, muestra otros múltiples pólipos sésiles de 3 a 15 mm de diámetro, hipervascularizados, con elasticidad conservada, que dan aspecto granuloso a la mucosa a lo largo de todo el colon, incluido el recto. Se toman biopsias. Se hace impresión diagnostica del pólipo gigante en el ciego, para descartar cáncer y poliposis múltiple del colon (Figuras 1, 2, 3 y 4).




Del servicio de patología reportan enfermedad linfoproliferativa compatible con linfoma. La inmunohistoquímica presenta células tumorales con positividad difusa y fuerte para CD20, CD10 y BCL2, positividad local para BCL6 y negatividad en células tumorales para MUM 1, ciclina D1, CD3 y CD5. Hay marcadores positivos en moderada cantidad en la población linfoide T acompañante. El índice de proliferación Ki 67 es del 95 %.
Los perfiles inmunológico e inmunofenotípico de LNH tipo B son inclasificables, con hallazgos intermedios entre linfoma B difuso de célula grande y linfoma de Burkitt. En los cortes histológicos de los otros pólipos se reporta LNH tipo B folicular grado II con patrones folicular y difuso.
Se considera LNH tipo B folicular extranodal intestinal con transformación a linfoma de alto grado a nivel del ciego, con extensión al resto del colon (la mayoría de los casos de compromiso intestinal por linfoma folicular corresponden a compromiso secundario por LNH folicular nodal).
Se obtiene tomografía axial computarizada (TAC) abdominal que muestra adenopatías en la cavidad abdominal, que incluyen espacios retroperitoneal y peritoneal, con compromiso de la raíz del mesenterio. En retroperitoneo ocupan los espacios aortocavo, retrocavo y paraaórtico. También se observan adenopatías en las cadenas ilíacas comunes y en las regiones inguinales, con pérdida de hilio graso. Hay engrosamiento de las paredes del colon, desde el recto hasta el ciego (pancolitis), que mide hasta 13 mm de espesor en los segmentos más afectados, sin compromiso del estómago o del intestino delgado. Lo anterior se encuentra relacionado con enfermedad linfoproliferativa. La TAC de tórax evidencia adenopatías axilares bilaterales, de predominio izquierdo, una de ubicación retropectoral, adyacente a los vasos axilares.
La paciente es valorada por oncología y se inicia manejo con protocolo R-CHOP (rituximab más ciclofosfamida, hidroxidaunorrubicina, vincristina [Oncovin®] y prednisona) dada la extensión de las lesiones, con excelente evolución hasta el momento. La resolución fue completa después del tratamiento (Figura 5).

Discusión
El tracto gastrointestinal es el sitio más común para la presencia de LNH extraganglionar, y este puede presentarse hasta en el 50 % de los casos. Puede aparecer en cualquier localización, desde la cavidad oral hasta el ano; en algunos casos se ha reportado la afección de varios segmentos del intestino, como el estómago, el intestino delgado y el recto, pero con diferencias en la presentación, de acuerdo con el punto de vista clínico, histológico e inmunohistoquímico. Su presentación clínica varía, y el gástrico es el más común en personas mayores, con proliferación superficial y con un tipo histológico de menor grado. En cuanto a los linfomas intestinales, se presentan en grupos más jóvenes, con infiltración más profunda y su tipo histológico, por lo general, es de alto grado. Algunos grupos han reportado aumento de la sobrevida con el tratamiento quirúrgico cuando se comparan con grupos que han recibido solo tratamiento médico 3.
La afectación colorrectal usualmente se da en pacientes hacia la cuarta o quinta década de la vida, como el caso reportado, y es el dolor abdominal pobremente localizado uno de sus síntomas más comunes, que puede estar acompañado por cambios en las deposiciones y, en ocasiones, por hemorragia. Al examen físico, el hallazgo más frecuente es la masa palpable, entre el 30 % y el 88 % de los casos. En cuanto a los hallazgos en el estudio endoscópico, se puede evidenciar engrosamiento difuso, que, en principio, puede confundirse con un adenocarcinoma 4,5,6,7,8.
La incidencia en la población general continúa siendo baja (de 0,02 por cada 100 000). Se han identificado factores de riesgo asociados, como los estados de inmunosupresión (pacientes trasplantados, con virus de la inmunodeficiencia humana y desnutrición). Se ha descrito una relación de afectación con respecto al género de 2:1, que es predominante en varones. Cuando hay afectación del colon, la localización más frecuente es el ciego (del 74 % al 86 %), lo que puede estar relacionado con la gran cantidad de tejido linfoide presente en esta zona del tracto gastrointestinal. Hay afectación del sigmoides entre el 2,5 % y el 14,2 % de los casos. El pronóstico de todos los casos que afectan al intestino está relacionado con la estadificación del linfoma, así como con su subtipo histológico. La clasificación más usada en estos casos es la de la organización Mundial de la Salud (OMS), que divide los linfomas en 40 subtipos, siendo más comunes el linfoma difuso de células grandes (31 %), el linfoma folicular (22 %), el linfoma linfocítico pequeño (6 %), el linfoma de células del manto (6 %), el linfoma periférico de células T (6 %) y el linfoma MALT (5 %). En cuanto al manejo quirúrgico, la cirugía más comúnmente reportada es la hemicolectomía derecha, ya que la gran mayoría de lesiones están localizadas solamente en el ciego. El LNH es una enfermedad sistémica de manejo multimodal, que emplea el manejo quirúrgico para los casos que se consideren propensos a tener complicaciones tipo obstrucción o perforación 5.
Las mejores tasas de éxito con la quimioterapia se logran en los tumores que, por su histología, sean considerados rápidamente proliferativos. De estos, el linfoma difuso de células grandes es el más sensible al esquema quimioterapéutico CHOP (ciclofosfamida, hidroxidaunorrubicina, vincristina [Oncovin®] y prednisona). Con este esquema, se espera que haya una respuesta completa (hasta en el 50 % de los pacientes) y una respuesta parcial (hasta en el 30 % de los pacientes). Aunque el pronóstico puede variar con respecto a la etapa en que se encuentre el tumor, también se ha utilizado la terapia regional con radiación para el control local de las lesiones menores de 3 cm, donde se requieren dosis de 30 a 50 Gy para lograr una respuesta. En tumores de mayor tamaño, se evidencian reducciones que pueden llegar hasta el 60 %-70 % 6,7.
Aún no se ha dilucidado cuál es la mejor modalidad terapéutica. Incluso, los resultados de la monoterapia con quimioterapia en el linfoma gástrico han sido extrapolados a otros órganos del tracto gastrointestinal. Hay reportes de revisiones sistemáticas que concluyen que la quimioterapia sin cirugía ni radioterapia es la mejor modalidad de manejo y que se asocia con mayores períodos de supervivencia libres de enfermedad comparada con el manejo quirúrgico con o sin terapia adyuvante 9. Actualmente, se considera que las modalidades de manejo siguen siendo objeto de controversia. Dada la mayoría de los autores que lo respaldan, se acepta el manejo quirúrgico como estrategia primaria de tratamiento; sin embargo, la sobrevida con quimioterapia sola fue del 92 % a los diez años y superó cualquier otro abordaje solo o en combinación, lo que la convierte en el manejo óptimo 10.
Otros estudios demuestran que la modalidad de combinar quimioterapia con procedimiento quirúrgico es superior al procedimiento quirúrgico solo; lo anterior excepto en pacientes con perforación o sangrado, casos en los que la sobrevida cambia drásticamente. En términos generales, los pacientes con linfomas grado I tienen un porcentaje de sobrevida a los cinco años del 60 % al 80 %; en la etapa II, del 40 % al 60 %; y en la etapa III y IV, solamente del 10 % al 20 %. Los anteriores datos toman toda la población de linfomas que se presentan en el intestino, lo que dificulta establecer el pronóstico de los pacientes que tengan afectación del colon o de uno de sus segmentos.
Esta paciente debutó con síntomas típicos de linfoma, así como con una localización predominante en el ciego, que es la más frecuente en las raras veces en que el colon se ve afectado, como se reporta en la literatura. Se inició manejo con esquema R-CHOP y, según los hallazgos histológicos, su porcentaje de sobrevida a los cinco años se puede ubicar entre el 40 % y el 60 %.
Conclusión
El linfoma no Hodgkin (LNH) es una enfermedad sistémica que afecta al tracto gastrointestinal hasta en un 50 % de los casos, y el colon es el sitio con menor incidencia. Cuando hay afectación del colon, el ciego es el más frecuentemente comprometido, debido a la gran cantidad de tejido linfoide que posee. El manejo debe ser multidisciplinario y la combinación de quimioterapia, radioterapia y cirugía debe individualizarse según la histología del tumor y el estado clínico, sopesando las posibles complicaciones que se pueden presentar dentro de su historia natural, como perforación o sangrado, asociadas con alto riesgo de mortalidad. La monoterapia también es efectiva en casos seleccionados, con adecuada respuesta. Estas variables se deben tener en cuenta, pues repercuten en la sobrevida.
Referencias
1. She WH, Day W, Lau PY, Mak KL, Yip AW. Primary colorectal lymphoma: case series and literature review. Asian J Surg. 2011;34(3):111-4. doi:10.1016/j.asjsur.2011.08.004.
2. Garza-Sánchez J, Hernández-Ramírez DA, Rocha-Ramírez JL, Rojas-Illanes M, Parrado-Montaño W, Cancino-López JA, et al. Non Hodgkin lymphoma of the sigmoid colon: case report. Rev Gastroenterol Mex. 2009;74(2):127-31.
3. Tevlin R, Larkin JO, Hyland JM, O’Connell PR, Winter DC. Primary colorectal lymphoma. A single centre experience. Surgeon. 2014;13(3):1-5. doi: 10.1016/j.surge.2014.01.002.
4. Beaton C, Davies M, Beynon J. The management of primary small bowel and colon lymphoma--a review. Int J Colorectal Dis. 2012;27(5):555-63. doi:10.1007/s00384-011-1309-2.
5. Lai YL, Lin JK, Liang WY, Huang YC, Chang SC. Surgical resection combined with chemotherapy can help achieve better outcomes in patients with primary colonic lymphoma. J Surg Oncol. 2011;104(3):265-8. doi: 10.1002/jso.21927.
6. Inaba K, Kushima R, Murakami N, Kuroda Y, Harada K, Kitaguchi M, et al. Increased risk of gastric adenocarcinoma after treatment of primary gastric diffuse large B-cell lymphoma. BMC Cancer. 2013;13:499. doi: 10.1186/1471-2407-13-499.
7. Lin HH, Jiang JK, Lin JK. Collision tumor of low-grade B-cell lymphoma and adenocarcinoma with tuberculosis in the colon: a case report and literature review. World J Surg Oncol. 2014;12:147. doi: 10.1186/1477-7819-12-147.
8. Iwamuro M, Okada H, Takata K, Takenaka R, Inaba T, Mizuno M, et al. Colorectal Manifestation of Follicular Lymphoma. Intern Med. 2016;55(1):1-8. doi: 10.2169/internalmedicine.55.5393.
9. Lightner A, Shannon E, Gibbons M, Russell M. Primary Gastrointestinal Non-Hodgkin’s Lymphoma of the Small and Large Intestines: a Systematic Review. J Gastrointest Surg. 2016;20(4):827-39. Doi: 10.1007/s11605-015-3052-4.
10. Ding D, Pei W, Chen W, Zuo Y, Ren S. Analysis of clinical characteristics, diagnosis, treatment and prognosis of 46 patients with primary gastrointestinal. Mol Clin Oncol. 2014;2(2):259-64. Doi: 10.3892/mco.2013.224.
Notas de autor
*Correspondencia: Lázaro Antonio Arango M. Mail:lazaro.arango.m@gmail.com