Revisiones de tema
Colitis eosinofílica, un diagnóstico poco sospechado
Eosinophilic colitis: a seldom suspected diagnosis
Colitis eosinofílica, un diagnóstico poco sospechado
Revista Colombiana de Gastroenterologia, vol. 35, núm. 1, pp. 87-91, 2020
Asociación Colombiana de Gastroenterología
Recepción: 17 Marzo 2019
Aprobación: 17 Septiembre 2019
Resumen:
La enfermedad gastrointestinal eosinofílica (EGIE) agrupa diversas patologías que pueden comprometer el tracto gastrointestinal. La más conocida de ellas es la esofagitis eosinofílica, mientras que la menos distinguida es la colitis eosinofílica (CE), que fue informada por primera vez en la literatura de 1959. La CE se caracteriza por la existencia de trastornos funcionales digestivos y la diarrea se constituye en el más importante de estos. Aunque no existen unos criterios diagnósticos claros, se considera que los pacientes deben presentar hemogramas con eosinofilia y hallazgos histológicos de infiltración eosinofílica, los cuales son determinados por el estudio histológico de las biopsias tomadas mediante la colonoscopia. Así pues, la CE afecta especialmente a neonatos y adultos jóvenes, y se ha relacionado con causas genéticas y alérgicas. El tratamiento inicial consiste en la suspensión de los alérgenos. Dentro del arsenal farmacológico, se emplea la prednisolona, así como medicamentos entre los que se incluyen la budesonida y los inmunomoduladores en los casos refractarios, con lo cual se logra una adecuada respuesta. Presentamos una actualización de este tema.
Palabras clave: Colitis, eosinofílica, diarrea, colonoscopia, biopsias.
Abstract:
Eosinophilic gastrointestinal disorders (EGID) are a group of disorders that compromise the gastrointestinal tract. The best known is eosinophilic esophagitis while eosinophilic colitis which was first reported in the literature in 1959 is less well-known. Eosinophilic colitis is characterized by functional digestive disorders, most importantly diarrhea. Although there are no clear diagnostic criteria, blood should be tested for eosinophils and biopsies taken by colonoscopies should be studied for histological findings of eosinophilic infiltration. Eosinophilic colitis especially affects neonates and young adults and has been linked to genetic and allergic causes. Initial treatment consists of the suspension of allergens. Prednisolone is used to treat the disorder, and medications such as budesonide and immunomodulators can be used in refractory cases to achieve adequate response. We present an update.
Keywords: Colitis, eosinophilic, diarrhea, colonoscopy, biopsies.
Introducción
El primer estudio de la enfermedad gastrointestinal eosinofílica (EGIE) fue publicado en Alemania por Kaijser en 1937 1. Posterior a ello, en 1959, emergió la primera publicación sobre esta patología en la literatura inglesa. Dicho trabajo hizo referencia a un caso de colitis eosinofílica (EC) 2.
De acuerdo con su etiología, la EGIE se clasifica en primaria y secundaria, según la patogenia. También se categoriza entre aquella que está mediada por la inmunoglobulina E (IgE) y la que no está mediada por la IgE. Así también, puede dividirse en esofagitis eosinofílica (EE), gastroenteritis eosinofílica (GE) y colitis eosinofílica (CE), a partir del segmento que se halla comprometido 3.
La EGIE y la CE son enfermedades raras y sobre las cuales existe poco conocimiento. Por tanto, no se han establecido criterios histológicos claros, razón por la cual el diagnóstico y la incidencia son difíciles de determinar. En general, los pacientes presentan tres características: hemogramas con un 5-35 % de eosinofilia (hasta en el 23 % de los casos, el hemograma puede ser normal), infiltración eosinofílica del tracto gastrointestinal (TGI) y anomalías funcionales 4,5,6.
De acuerdo con un registro mundial publicado en 2002, la EGIE afecta principalmente a la población pediátrica, aunque se ha reportado su ocurrencia en individuos de hasta 68 años 7. La EE es la variedad más ampliamente estudiada, con investigaciones recientes que revelan una incidencia en crecimiento 8,9 y una prevalencia de 22,7 por cada 100.000 personas en estudios poblacionales de Norteamérica, Europa y Australia 9. En el caso de Estados Unidos, por ejemplo, se ha reportado una prevalencia de 25,9 por cada 100 000 habitantes 10.
Entre tanto, la CE es la afección menos frecuente de la EGIE y parece tener una distribución bimodal que afecta a los neonatos, con una prevalencia relativamente alta, y a un grupo separado de adultos jóvenes, con una prevalencia menor 11. En efecto, una revisión reciente describió la CE como excepcionalmente rara 12, aunque se estima que esta enfermedad puede llegar a ser más común de lo que se supone 13.
Epidemiología y etiología
En una revisión de 5 años, se determinó que la prevalencia de la CE en Estados Unidos es de 2,1 por cada 100 000 personas y que esta enfermedad es más común en adultos que en niños 14. Asimismo, se estableció que la CE presenta una distribución bimodal: por un lado se da en lactantes y en niños pequeños, y por otro, en adultos entre 30 y 50 años.
La etiología de la CE es poco clara; sin embargo, se han determinado componentes genéticos y alérgicos importantes. En efecto, se estima que cerca del 16 % de los pacientes tienen antecedentes familiares de enfermedades similares, mientras que el 80 % refieren una historia de atopias y hasta el 62 % presentan intolerancia a algún tipo de alimentos 12,15.
El hallazgo histológico de acúmulos de mastocitos y de la pérdida del patrón granular en el tejido colónico de los niños sugiere un papel predominante de la IgE. En los adultos, la inusual anafilaxia a algún tipo de alimentos indica la existencia de un mecanismo asociado a los linfocitos CD4+Th2 16.
Diagnóstico
Los síntomas que presenta el paciente con CE dependen de la capa colónica comprometida. Cuando la mucosa está infiltrada por eosinófilos, los pacientes muestran dolor abdominal, náuseas, vómito, diarrea y desnutrición. Entre tanto, si existe un compromiso transmural, cursan con trastornos de la motilidad y obstrucción intestinal, y si la capa serosa se encuentra comprometida, se puede presentar una ascitis eosinofílica 17,18.
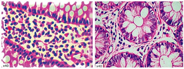
No existe consenso mundial respecto a los criterios diagnósticos de la CE. No obstante, se considera que para establecer dicho diagnóstico el paciente debe presentar síntomas gastrointestinales, eosinofilia en el hemograma y el hallazgo histológico de infiltración eosinofílica (Figura 1) en uno o varios segmentos del colon. Algunos autores mencionan como criterio diagnóstico la exclusión de otras causas de CE 15,18.

Endoscópicamente, hasta el 50 % de los pacientes pueden tener una colonoscopia informada como normal. Los cambios macroscópicos, que por lo general son inespecíficos, se observan en particular en el colon ascendente y el recto 19.
De otro lado, histológicamente se encuentran grupos de eosinófilos que infiltran la lámina propia con una extensión a la submucosa, a través de la muscular propia (Figuras 2Ay2B ), y con un gradiente eosinofílico de proximal a distal. La mayor concentración de eosinófilos (hasta 35 por campo de alto poder) se halla habitualmente en el ciego 20. Una proporción mayoritaria de los autores aceptan como diagnóstica la presencia de 20 o más eosinófilos por campo de alto poder 20.
Entre los principales diagnósticos diferenciales se hallan la infiltración eosinofílica del colon por colitis parasitaria, GE, enfermedad inflamatoria intestinal (EII), colitis medicamentosa (fármacos antiinflamatorios no esteroideos [AINE], rifampicina, carbamazepina, tacrolimus) y otras condiciones 15,18,19.

Por otra parte, algunas causas inusuales de CE incluyen leucemia, linfoma, vasculitis como el síndrome de Churg-Strauss y la poliarteritis nodosa 12,21. Además, se han informado casos en los cuales la CE evoluciona a colitis ulcerativa luego de varios meses 21 y otros relacionados con esclerodermia y con su aparición después de un trasplante hepático en niños 22.
Tratamiento
En los niños, la CE generalmente tiene un curso benigno y los síntomas se resuelven pocos días después de la suspensión de los alérgenos; uno de ellos puede ser la leche de vaca. En ese escenario, se debe continuar la lactancia materna, pero se requiere suspender el consumo de leche de vaca por parte de la madre 11. En los adultos, antes del inicio del tratamiento con esteroideos, es necesario descartar la infección parasitaria a partir de estudios serológicos y de materia fecal 12,19.
El uso de prednisolona a dosis de 1-2 mg/kg/d, durante 8 semanas, y su posterior diminución han mostrado una efectividad del 80-100 % tanto en niños como en adultos, según algunos estudios no aleatorizados 12,18.
Los inmunomoduladores (azatioprina y 6-mercaptopurina) y la budesonida han demostrado su utilidad en casos refractarios, severos o dependientes de esteroideos 17,23. Entre tanto, el uso de los antagonistas de leucotrienos del cromoglicato de sodio ha dado evidencias de relativa efectividad en la GE, pero su papel en la CE aún no ha sido evaluado.
Algunos autores han reportado el uso de ketotifeno, omalizumab (anticuerpo monoclonal contra IgE), mepolizumab (anticuerpo monoclonal contra la interleucina-5), infliximab e inhibidores de la bomba de protones (IBP), pero estos medicamentos cuentan con una menor evidencia de efectividad 19,20,24.
La CE en los adultos es considerada un trastorno crónico con períodos de actividad y de remisión. En efecto, los seguimientos a largo plazo han mostrado que hasta el 30 % de los pacientes tienen remisiones espontáneas, el 60 % de ellos responden a esteroideos o dieta y hasta un 10 % presentan una enfermedad refractaria 12,18.
Conclusiones
El diagnóstico de la CE debe considerarse como parte del estudio de los pacientes con diarrea crónica, en quienes es necesario realizar una colonoscopia con la toma de biopsias escalonadas. Si bien no existe un consenso con respecto a los criterios diagnósticos, se debe sospechar la existencia de CE en personas con síntomas gastrointestinales que, además, presenten eosinofilia en el hemograma y hallazgos histológicos que corroboren el diagnóstico.
Aunque se estima que la CE es una patología de baja prevalencia, es posible que se trate de una enfermedad sin registros suficientes o poco sospechada. En consecuencia, se considera de gran importancia la realización de estudios que evalúen el adecuado diagnóstico y el tratamiento de estos pacientes.
Agradecimientos
Muy especialmente al Dr. Jorge Monroy, jefe de Patología del Hospital Central de la Policía, por las fotografías histológicas.
Referencias
1. Kaiser R. Zur Kenntnis der allergischen affektionen des verdauungskanals vom standput des chirurgen aus. Archiv fur Klinische Chirugie. 1937;188:36-64.
2. Dunstone GH. A case of eosinophilic colitis. Br J Surg. 1959;46(199):474-6. https://doi.org/10.1002/bjs.18004619913
3. Rodríguez R, Bohórquez MA, González I, Torregroza G. Desórdenes eosinofílicos gastrointestinales (DEGI): presentación de dos casos. Rev Colomb Gastroenterol. 2007;22(2):138-148.
4. Talley NJ, Shorter RG, Phillips SF, Zinsmeister AR. Eosinophilic gastroenteritis: a clinicopathological study of patients with disease of the mucosa, muscle layer, and subserosal tissues. Gut. 1990;31(1):54-8. https://doi.org/10.1136/gut.31.1.54
5. Yan BM, Shaffer EA. Primary eosinophilic disorders of the gastrointestinal tract. Gut. 2009;58(5):721-32. https://doi.org/10.1136/gut.2008.165894
6. Okpara N, Aswad B, Baffy G. Eosinophilic colitis. World J Gastroenterol. 2009;15(24):2975-2979. https://doi.org/10.3748/wjg.15.2975
7. Guajardo JR, Plotnick LM, Fende JM, Collins MH, Putnam PE, Rothenberg ME. Eosinophil-associated gastrointestinal disorders: a world-wide-web based registry. J Pediatr. 2002;141(4):576-81. https://doi.org/10.1067/mpd.2002.127663
8. Dellon ES. Diagnosis and management of eosinophilic esophagitis. Clin Gastroenterol Hepatol. 2012;10(10):1066-78. https://doi.org/10.1016/j.cgh.2012.06.003
9. Arias Á, Pérez-Martínez I, Tenías JM, Lucendo AJ. Systematic review with meta-analysis: the incidence and prevalence of eosinophilic oesophagitis in children and adults in population-based studies. Aliment Pharmacol Ther. 2016;43(1):3-15. https://doi.org/10.1111/apt.13441
10. Mansoor E, Cooper GS. The 2010-2015 Prevalence of Eosinophilic Esophagitis in the USA: A Population-Based Study. Dig Dis Sci. 2016;61(10):2928-2934. https://doi.org/10.1007/s10620-016-4204-4
11. Rothenberg ME. Eosinophilic gastrointestinal disorders (EGID). J Allergy Clin Immunol. 2004;113(1):11-28. https://doi.org/10.1016/j.jaci.2003.10.047
12. Alfadda AA, Storr MA, Shaffer EA. Eosinophilic colitis: epidemiology, clinical features, and current management. Therap Adv Gastroenterol. 2011;4(5):301-9. https://doi.org/10.1177/1756283X10392443
13. Shaikh TP, Ansari S, Deolekar S, Mandhane N, Karandikar S. Eosinophilic colitis in 36 years old female: a case presentation with review of literature. Revista Internacional de Informes Científicos. 2015;1(3):172-176. https://doi.org/10.18203/issn.2454-2156.IntJSciRep20150354
14. Mansoor E, Saleh MA, Cooper GS. Prevalence of Eosinophilic Gastroenteritis and Colitis in a Population-Based Study, From 2012 to 2017. Clin Gastroenterol Hepatol. 2017;15(11):1733-1741. https://doi.org/10.1016/j.cgh.2017.05.050
15. Coste P, Campos C, Sauma J. Colitis eosinofílica: presentación endoscópica inusual. Endoscopia. 2016;28(4):166-169. https://doi.org/10.1016/j.endomx.2016.08.001
16. Prussin C. Eosinophilic gastroenteritis and related eosinophilic disorders. Gastroenterol Clin North Am. 2014;43(2):317-27. https://doi.org/10.1016/j.gtc.2014.02.013
17. Dionísio de Sousa IJ, Bonito N, Pais A, Gervásio H. Eosinophilic colitis. BMJ Case Rep. 2016;2016. pii: bcr2016214496. https://doi.org/10.1136/bcr-2016-214496
18. Alhmoud T, Hanson JA, Parasher G. Eosinophilic Gastroenteritis: An Underdiagnosed Condition. Dig Dis Sci. 2016;61(9):2585-92. https://doi.org/10.1007/s10620-016-4203-5
19. Gaertner WB, Macdonald JE, Kwaan MR, Shepela C, Madoff R, Jessurun J, et al. Eosinophilic colitis: university of Minnesota experience and literature review. Gastroenterol Res Pract. 2011;2011:857508. https://doi.org/10.1155/2011/857508
20. Hua S, Cook D, Walker MM, Talley NJ. Pharmacological treatment of eosinophilic gastrointestinal disorders. Expert Rev Clin Pharmacol. 2016;9(9):1195-209. https://doi.org/10.1080/17512433.2016.1190268
21. Mamachen A, Al-Hanayneh M, Bilal M, Merwat S, Hashmi A. Eosinophilic Colitis-”Not as rare”. Dig Liver Dis. 2017;49(7):826-828. http://dx.doi.org/10.1016/j.dld.2017.04.014
22. Lee JH, Park HY, Choe YH, Lee SK, Lee SI. The development of eosinophilic colitis after liver transplantation in children. Pediatr Transplant. 2007;11(5):518-23. https://doi.org/10.1111/j.1399-3046.2007.00693.x
23. Kefeli A, Yeniova AÖ, Başyiğit S, Güneş N. Eosinophilic colitis presenting with lower gastrointestinal bleeding: An uncommon entity with a rare presentation. Turk J Gastroenterol. 2015;26(5):440-1. https://doi.org/10.5152/tjg.2015.0180
24. Uppal V, Kreiger P, Kutsch E. Eosinophilic Gastroenteritis and Colitis: a Comprehensive Review. Clin Rev Allergy Immunol. 2016;50(2):175-88. https://doi.org/10.1007/s12016-015-8489-4
Notas
Notas de autor
*Correspondencia: Robin Germán Prieto O., rgprietoo@hotmail.com
Declaración de intereses