Reporte de casos
Síndrome de Rapunzel: mito o realidad
Rapunzel Syndrome: Myth or Reality
Síndrome de Rapunzel: mito o realidad
Revista Colombiana de Gastroenterologia, vol. 35, núm. 2, pp. 207-211, 2020
Asociación Colombiana de Gastroenterología
Recepción: 30 Enero 2018
Aprobación: 20 Junio 2018
Resumen: Se presenta el caso de una paciente de 35 años, quien ingresa al servicio de urgencias de un hospital de tercer nivel, por causa de un cuadro de 6 meses de saciedad precoz, pérdida de peso y, en el momento del examen físico de ingreso, se observan signos de desnutrición. En consecuencia, se realiza una endoscopia de las vías digestivas altas en las que se descubre un tricobezoar que ocupa toda la cámara gástrica y se extiende más allá de la tercera porción del duodeno. Mediante una tomografía axial computarizada (TAC) de abdomen, se confirma la presencia de una lesión que ocupa la cámara gástrica y el duodeno, por lo que la paciente es conducida a cirugía. Allí se encuentra el tricobezoar que confirma el diagnóstico de síndrome de Rapunzel. Luego de la cirugía, la paciente presenta una adecuada evolución posoperatoria, con resolución de los síntomas de ingreso. Asimismo, se inicia una intervención por nutrición y psicología, a fin de manejar la desnutrición y el trastorno psiquiátrico de base.
Palabras claves: Endoscopia, estómago, bezoar, tricobezoar, Rapunzel, cirugía, ansiedad.
Abstract: A 35-year-old patient was admitted to the emergency department of a third-level hospital following six months of early satiety and weight loss. Upon physical admission, the patient had signs of malnutrition. Upper digestive tract endoscopy found a trichobezoar that occupied the entire gastric chamber and extended into the third portion of the duodenum. This diagnosis was confirmed by an abdominal CT scan. Surgery confirmed the diagnosis of Rapunzel Syndrome. Following surgery the patient’s evolution was good and symptoms resolved. Nutritional and psychological interventions were initiated to manage malnutrition and an underlying psychiatric disorder.
Keywords: Endoscopy, stomach, bezoar, trichobezoar, Rapunzel, surgery, anxiety.
Introducción
Los bezoares se definen como la acumulación de sustancias orgánicas dentro del tracto gastrointestinal. De los pacientes con tricotilomanía, solo el 30 % desarrolla tricofagia y apenas el 1 % requiere de tratamiento quirúrgico. Descrito inicialmente por Vaughan y colaboradores 1, el síndrome de Rapunzel es una forma rara de tricobezoar que se extiende más allá del estómago. En efecto, los casos reportados en la literatura acerca de este síndrome son escasos, pues se registran menos de 100.
Si bien existen reportes de tricobezoares que se extienden desde el estómago hasta el yeyuno, el íleon e incluso el colon 2-5, hay discrepancia entre los autores con respecto a qué tricobezoares deberían definirse como síndrome de Rapunzel. Para algunos, el síndrome de Rapunzel verdadero es aquel en el que el tricobezoar se extiende hasta la válvula ileocecal, mientras que otros consideran que el tricobezoar que constituye este síndrome es cualquiera que avanza hasta el yeyuno y llega (o no) hasta la válvula ileocecal. Entre tanto, otro grupo de autores estima que el síndrome de Rapunzel lo determina cualquier tricobezoar que se presente junto con una obstrucción intestinal 6.
El 90 % de los tricobezoares se presentan en mujeres y el 80 % de ellos ocurren en menores de 30 años. De hecho, su presencia es rara en la población adulta 7,8,9. Asimismo, la sintomatología depende del tamaño, el tiempo de evolución y su ubicación 10. En la gran mayoría de los casos (70 %), los pacientes presentan dolor abdominal, saciedad precoz, hiporexia, náuseas y vómitos (64 %). También ocurren señales como hematemesis (61 %), pérdida de peso (38 %), diarrea o constipación (32 %) y halitosis.
Otros síntomas que se asocian con la existencia de bezoares de mayor tamaño y extensión son sensación de masa, malabsorción, ictericia obstructiva, úlceras gástricas o duodenales traumáticas, así como obstrucción y perforación 3,10. A continuación, se presenta el caso clínico de una paciente con un cuadro típico de síndrome de Rapunzel: se discutirá el diagnóstico y el tratamiento de esta rara patología.
Presentación del caso
Paciente femenina de 35 años, quien llega a consulta por causa de saciedad precoz con 6 meses de evolución, pérdida de peso cuantificada en 10 kg e intolerancia a la vía oral a 3 semanas previas de su ingreso. Además, la paciente presenta antecedentes de trastorno depresivo, cuyo tratamiento ha sido irregular por la mala adherencia de ella a la terapia.
En el momento del examen físico, la paciente presenta sarcopenia, palidez mucocutánea y bajo peso. De igual forma, los laboratorios de ingreso muestran la existencia de hipoalbuminemia, anemia microcítica hipocrómica e hipocalemia con hipomagnesemia. Estos hallazgos fueron compatibles con la desnutrición proteico-calórica.
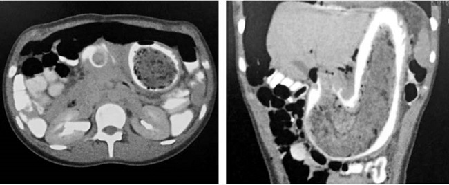
Se realiza una tomografía axial computarizada (TAC) de abdomen, con doble contraste, que muestra la cámara gástrica distendida y ocupada por una lesión de densidades variables, las cuales dan paso parcial al medio de contraste. Luego de valorar los hallazgos radiográficos, se decide efectuar una esofagogastroduodensocopia, en la cual se evidencia la presencia de un conglomerado compacto, compuesto por un cuerpo extraño (bezoar), que ejerce un efecto obstructivo a nivel distal y que se expande desde el cardias hasta más allá de la cuarta porción duodenal (Figura 1).

Así, el diagnóstico endoscópico permite el hallazgo de un cuerpo extraño intragástrico de tipo bezoar que, al ocupar la cámara gástrica y el duodeno en su totalidad, configura un síndrome de Rapunzel (Figura 2).

En vista de los síntomas obstructivos observados en la paciente, y dado que endoscópicamente no era posible realizar la extracción del bezoar, se decide remitirla a cirugía. Allí, se realiza una laparotomía con exploración de la cámara gástrica, proceso durante el cual se halla un tricobezoar que se extiende desde el estómago hasta el yeyuno y que es extraído sin complicaciones (Figura 3).

Luego de esta cirugía, la paciente mejoró de forma significativa en su sintomatología y mostró una adecuada tolerancia a la vía oral, así como la resolución del dolor abdominal. De forma paralela, la intervención de áreas como Psiquiatría, Psicología, Nutrición y Trabajo Social se enfocó en el manejo del trastorno de ansiedad, razón por la cual la paciente recibió medicación y terapia psicológica.
Entre tanto, el área de Nutrición inició su intervención mediante la suplementación nutricional. Para ello, se valoró a la paciente durante control médico y se encontró una ganancia de peso, así como una mejoría de los índices nutricionales. A partir de estas intervenciones, la paciente refirió menores síntomas de ansiedad y negó la ocurrencia de tricofagia.
Discusión
El caso mencionado cumple claramente con los criterios definidos para el síndrome de Rapunzel, ya que en él se presentó un tricobezoar que se extendía desde el estómago hasta más allá del yeyuno, y cuya existencia producía una obstrucción intestinal.
Por lo general, la información suministrada por los pacientes para el diagnóstico del tricobezoar es de escasa utilidad, dado que suelen ocultar detalles sobre la tricofagia. Sin embargo, la presencia de cabello en las heces o el vómito podría orientar hacia dicho diagnóstico.
Asimismo, dentro de los estudios diagnósticos que pueden realizarse se hallan la TAC con contraste y la esofagogastroduodenoscopia. Para el caso del síndrome de Rapunzel, en la TAC suele observarse una lesión bien circunscrita a nivel gástrico, compuesta de espirales concéntricas de diferentes densidades y burbujas de aire enredadas dentro de ellas. El contraste oral llena los intersticios más periféricos de la lesión, lo que produce una banda delgada de contraste que la circunscribe 11.
Entre tanto, la endoscopia digestiva alta puede aportar un diagnóstico inmediato de los bezoares en general, así como un enfoque terapéutico. El tratamiento de los bezoares consiste en la remoción del material orgánico, lo cual puede realizarse mediante el uso de proteolíticos como la papaína o la acetilcisteína. Sin embargo, estos métodos presentan una tasa de éxito <50 %, razón por la cual se prefieren las intervenciones endoscópicas, laparoscópicas o abiertas 12-16.
En casos en que se requiera una intervención endoscópica, es necesario administrar anestesia general con intubación orotraqueal, a fin de reducir el riesgo de broncoaspiración 15. No obstante, en escenarios como el referido en este artículo, en el cual se describe la existencia de un cuerpo extraño intragástrico que se extiende por toda la cámara gástrica hasta el intestino delgado, el manejo debe ser quirúrgico, dada la alta tasa de complicaciones 17.
Por otra parte, las recurrencias de este síndrome son raras, aunque se han reportado tres en la literatura 16. De cualquiera forma, la intervención psicológica y el seguimiento endoscópico han demostrado reducir su incidencia 17.
Agradecimientos
A los Doctores Salin Jose Barrios Marenco y Moises Monsalve. Cirujanos generales del Hospital de Engativá ESE, Bogotá D. C., Colombia
Referencias
Vaughan ED Jr, Sawyers JL, Scott HW Jr. The Rapunzel syndrome. An unusual complication of intestinal bezoar. Surgery. 1968;63(2):339‐343.
Rodríguez HM, Schleske A. Tricobezoar: Reporte de un caso. Cir Gen. 2006;28(2):113-117.
Rabie ME, Arishi AR, Khan A, Ageely H, Seif El-Nasr GA, Fagihi M. Rapunzel syndrome: the unsuspected culprit. World J Gastroenterol. 2008;14(7):1141‐1143. http://dx.doi.org/10.3748/wjg.14.1141
Sánchez W, Rodríguez DF, Luna-Pérez P. Síndrome de Rapunzel. Rev Gastroenterol Mex. 1997;62:84-6.
Harikumar R, Kumar S, Kumar B, Balakrishnan V. Rapunzel syndrome: a case report and review of literature. Trop Gastroenterol. 2007;28(1):37‐38.
Naik S, Gupta V, Naik S, Rangole A, Chaudhary AK, Prashant J, Sharma AK. Rapunzel syndrome reviewed and redefined. Dig Surg. 2007;24(3):157‐161. http://doi.org/10.1159/000102098
Gutiérrez JO. Tricobezoar gástrico. Rev Colomb Cir. 2000;15(1):30-2.
Alvarado R, Uribe E, Gallego JE. Tricobezoar. Presentación de dos casos. Acta Pediatr Mex. 2001;22(4):264-7.
Velasco B, Paredes RM. Tricobezoar: un problema psicológico. An Esp Pediatr. 2001;55(4): 383-384. http://doi.org/10.1016/S1695-4033(01)77707-7
Quraishi AH, Kamath BS. Rapunzel syndrome. Gastrointestinal Endoscopy. 2005;62(4):611. http://doi.org/10.1016/S0016-5107(05)01579-8
Balik E, Ulman I, Taneli C, Demircan M. The Rapunzel syndrome: a case report and review of the literature. Eur J Pediatr Surg. 1993;3(3):171‐173. http://doi.org/10.1055/s-2008-1063536
Loja D, Alvizuri J, Vilca M, Sánchez M. Síndrome de Rapunzel: tricobezoar gastroduodenal. An Fac Med. 2003;64(1):71-77. https://doi.org/10.15381/anales.v64i1.1427
Dorn HF, Gillick JL, Stringel G. Laparoscopic intragastric removal of giant trichobezoar. JSLS. 2010;14(2):259‐262. http://doi.org/10.4293/108680810X12785289144520
Chogle A, Bonilla S, Browne M, Madonna MB, Parsons W, Donaldson J, Alonso E. Rapunzel syndrome: a rare cause of biliary obstruction. J Pediatr Gastroenterol Nutr. 2010;51(4):522‐523. http://doi.org/10.1097/MPG.0b013e3181cb950a
Gorter RR, Kneepkens CM, Aronson DC, Heij HA. Management of trichobezoar: case report and literature review. Pediatr Surg Int. 2010;26:457-463. https://doi.org/10.1007/s00383-010-2570-0
Tiwary SK, Kumar S, Khanna R, Khanna AK. Recurrent Rapunzel syndrome. Singapore Med J. 2011;52(6):e128‐e130.
Wolski M, Gawłowska-Sawosz M, Gogolewski M, Wolańczyk T, Albrecht P, Kamiński A. Trichotillomania, trichophagia, trichobezoar - summary of three cases. Endoscopic follow up scheme in trichotillomania. Psychiatr Pol. 2016;50(1):145‐152. http://doi.org/10.12740/PP/43636
Notas de autor
*Correspondencia: Martín Alonso Gómez-Zuleta, Mail: martinalonsogomezz@gmail.com