Reporte de caso
Tríada de Herbst: una presentación inusual de una patología común. Reporte de caso
Herbst Triad: A rare clinical manifestation of a common pathology
Tríada de Herbst: una presentación inusual de una patología común. Reporte de caso
Revista Colombiana de Gastroenterologia, vol. 35, núm. 3, pp. 372-376, 2020
Asociación Colombiana de Gastroenterología
Recepción: 18 Febrero 2019
Aprobación: 13 Mayo 2019
Resumen : La tríada de Herbst es una manifestación inusual de la enfermedad por reflujo gastroesofágico y de otras patologías esofágicas. Se caracteriza por la presencia de anemia, acropaquias (hipocratismo digital) y enteropatía perdedora de proteínas. Al ser una condición anecdótica, la información disponible deriva de los reportes de caso. La fisiopatología aún no es clara. Se reporta el caso de una escolar, en quien se revierten los síntomas una vez se realiza el manejo quirúrgico.
Palabras clave: Reflujo gastroesofágico, hipoproteinemia, enteropatías perdedoras de proteínas, osteoartropatía hipertrófica, anemia ferropénica.
Abstract: The Herbst triad is a rare manifestation of gastroesophageal reflux disease and other esophageal pathologies. It is characterized by the presence of anemia, digital clubbing, and protein-losing enteropathy. Since evidence on this condition is anecdotal, the available information is mostly derived from case reports and its physiopathology remains unclear. The following is the case of a schoolchild, whose symptoms were reversed once she underwent surgery.
Keywords: Gastroesophageal reflux, Hypoproteinemia, Protein-losing enteropathies, Hypertrophic osteoarthropathy, Iron deficiency anemia.
Introducción
La tríada de Herbst es una manifestación inusual de la enfermedad por reflujo gastroesofágico (ERGE) y de otras patologías esofágicas. Pese a su rareza, debe ser incluida en los diagnósticos diferenciales de acropaquía (hipocratismo digital) y enteropatía perdedora de proteínas en pacientes con síntomas gastrointestinales. Aunque conforma un cuadro clínico característico, su fisiopatología aún no es clara.
Reporte de caso
Se describe el caso de una paciente femenina de 9 años, cuyos síntomas se iniciaron a los 4 años, con regurgitación y emesis con pintas de sangre ocasional. A los 5 años, la niña tuvo un episodio de hematemesis. En principio, fue valorada fuera de nuestra institución, por gastroenterología y pediatría, y recibió un manejo con omeprazol, dado que permaneció durante varios meses con un diagnóstico de ERGE.
De los 4 a los 9 años, la paciente fue sometida a 4 esofagogastroduodenoscopias (EGD), las cuales reportaron la existencia de esofagitis grado C, según la clasificación de Los Ángeles. Dada la persistencia de los síntomas, y a pesar del manejo con un inhibidor de bomba de protones, se le adicionaron alginato y domperidona.
Simultáneamente, desde los 7 años, la niña cursaba con anemia ferropénica (hemoglobina: 7,4 g/dL; hematocrito: 24,4 %; volumen corpuscular medio [VCM]: 65,9 fL, y ferritina: 2 ng/mL). Para ello recibió un tratamiento con hierro oral en diferentes presentaciones, pero presentó una pobre tolerancia y no se observó respuesta, por lo cual requirió de soporte transfusional.
Además, asociado a la anemia, apareció el hipocratismo digital en ambas manos (Figura 1), así como hipoalbuminemia (3 g/dL) y desnutrición crónica agudizada. En vista de este cuadro, fue valorada fuera de la institución por neumología, hematología, reumatología y genética, con múltiples estudios por cada especialidad, sin encontrarse la causa.

Antes de la consulta en nuestra institución, había ocurrido una disminución en la frecuencia de la emesis, pero la paciente permanecía con dolor torácico, halitosis y la aparición de disfagia. Con esos antecedentes, nos la remitieron para valoración por gastroenterología y cirugía pediátrica.
En el momento del examen físico de ingreso, la paciente presentó una talla/edad de -1,84 desviación estándar (DE) y un índice de masa corporal/edad (IMC/E) de -2,7 (DE). Además, se observó una marcada palidez cutánea, así como una flexión cervical lateral izquierda permanente e hipocratismo digital.
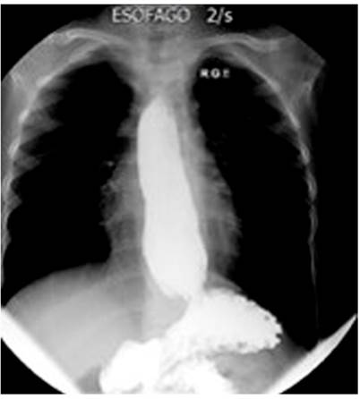
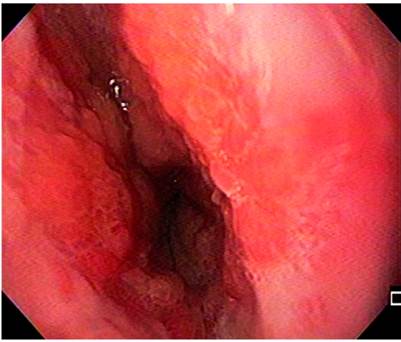
Por la disfagia reciente, se indicaron diversos estudios. En primer lugar, se realizó una radiografía de las vías digestivas altas, la cual evidenció un aumento del diámetro del esófago, reflujo severo y la alteración del peristaltismo con ondas terciarias (Figura 2). Además, se efectuó una EGD, que mostró una esofagitis de grado D (según la clasificación de los Ángeles), un pólipo hiperplásico, una hernia hiatal pequeña, antro con gastritis folicular y un duodeno normal (Figura 3).


Entre tanto, las biopsias mostraron compatibilidad con esofagitis péptica aguda severa, extensa ulceración y tejido de granulación, mientras que en la manometría esofágica de alta resolución se observó hipotonía del esfínter esofágico inferior y aperistalsis esofágica, según la clasificación de Chicago 3 (Figura 4).

En consecuencia, se realizó una búsqueda a fin de correlacionar el compromiso gastrointestinal con los hallazgos en las extremidades, la anemia refractaria, la hipoalbuminemia y el compromiso nutricional. Asimismo, se sospechó que el cuadro correspondía a la tríada de Herbst.
Se presentó el caso en la junta multidisciplinaria y se decidió la preparación prequirúrgica con la colocación de hierro intravenoso y cirugía antirreflujo tipo Nissen, y con la reconstrucción del esfínter esofágico inferior. Todo ello, al considerar que, en el paciente pediátrico con ERGE severo -y a pesar de la poca casuística-, se ha documentado que los trastornos de motilidad esofágica diferentes a la acalasia no contraindican la cirugía antirreflujo. Por tanto, se optó por la cirugía menos ablativa. En dicha cirugía, se observó una periesofagitis severa.
Durante el seguimiento posoperatorio, hubo un enderezamiento cervical al tercer día, y a los 15 días se observó la resolución de la dispepsia, así como ganancia de peso y mejoría del estado nutricional. A los 3 meses, ya había una normalización de los parámetros de IMC/E (-0,5 DE), de la albumina (4 g/dL) y de los índices eritrocitarios (hemoglobina: 14,6 g/L; hematocrito: 41,6 %; VCM: 80,6 fL, y ferritina: 36,7 ng/mL). También se halló la desaparición casi completa del hipocratismo digital (Figura 1). Estos resultados permitieron el reintegro de la paciente a la vida escolar, que había sido interrumpida en los últimos 2 años.
Discusión
La tríada de Herbst es una forma de presentación inusual de la ERGE y de otras patologías esofágicas 1. Se caracteriza por la presencia de anemia ferropénica, enteropatía perdedora de proteínas o hipoalbuminemia e hipocratismo digital 1,2. Esta tríada fue descrita por primera vez en 1976 por Herbst y colaboradores 2, aunque Botha ya había mencionado de manera breve los casos de 2 niños con hernia hiatal e hipocratismo digital, quienes mejoraron luego de la intervención quirúrgica 3,4.
Con respecto a la epidemiología, no se puede establecer con certeza, dado que es una condición anecdótica y tal vez subdiagnosticada 1. En la Tabla 1 se resumen las características de los pacientes hasta el momento reportados en la literatura 1-7.

El tiempo de evolución previo al diagnóstico, reportado en la literatura, oscila entre 6 meses 1 y 5 años y medio 2. En nuestro caso, ese período fue de 5 años. Con frecuencia, los pacientes descritos fueron valorados por otras especialidades como cardiología, hematología, reumatología 4 y neumología, para la búsqueda etiológica antes del diagnóstico definitivo 1.
La anemia con la que cursa la tríada de Herbst es ferropénica, moderada a severa, con niveles de hemoglobina (Hb) reportados entre 5,3 5 y 8,1 mg/dL 1,2, y se ha descrito como refractaria a la terapia con hierro oral 1,2 y sintomática, con manifestaciones como palidez 1,2,5, disnea 1, fatiga 4 e irritabilidad 2. Estas señales se observaron en nuestra paciente.
Otra de las manifestaciones, la enteropatía perdedora de proteínas, se presenta con hipoalbuminemia en rango variable 1. Antes de la primera descripción hecha por Herbst, la única entidad esofágica que se había asociado con la enteropatía perdedora de proteínas era el carcinoma de esófago 2. Posteriormente, se describió en otras condiciones como la acalasia, los pólipos y el leiomioma 6. Esta enteropatía perdedora de proteínas se ha documentado mediante pruebas como la excreción fecal de cromo radiactivo, ligada a albúmina, luego de su inyección intravenosa. No fue posible realizar estas pruebas en nuestra paciente 2.
Entre tanto, el hipocratismo digital (o acropaquias) se ha descrito tanto en los miembros superiores como en los inferiores y es de aparición bilateral, sin presencia de cianosis 1. La fisiopatología del hipocratismo digital y de la enteropatía perdedora de proteínas aún es desconocida. Sin embargo, es claro que estas condiciones se relacionan con el compromiso esofágico. Es importante mencionar que, con la corrección quirúrgica y la resolución de la esofagitis, estos hallazgos se revierten 1,2,4.
En uno de los reportes se describió que, al reaparecer la hernia luego de la cirugía, el resto de manifestaciones de la tríada de Herbst que habían mejorado recurrieron 4. Se postula que la síntesis de factores neurogénicos, el aumento de factores de crecimiento y las alteraciones en la circulación son las responsables de la aparición de la osteopatía hipertrófica, la cual se presenta con los cambios a nivel digital 4.
De otro lado, las manifestaciones gastrointestinales son las típicas de la ERGE, e incluyen vómito y regurgitación frecuentes (incluso desde el nacimiento) 1,2, epigastralgia 1, pirosis 7, singulto 1,5, dolor retroesternal 1,2, dolor abdominal difuso 5 y hematemesis 2.
Asimismo, se ha descrito la asociación entre el síndrome de Sandifer y los movimientos cefálicos y cervicales hacia lateral luego de las comidas, con la exacerbación del reflujo (como ocurrió en nuestro caso) 1,2,5 y con el síndrome de rumiación 2,5. Todos los pacientes descritos requirieron estudios extensivos antes del diagnóstico, similares a los de nuestro caso.
Los hallazgos micro y macroscópicos que se han encontrado son la esofagitis severa con engrosamiento del esófago y un edema importante, así como una reacción local del mediastino, que es considerable 2. La histopatología puede mostrar una esofagitis crónica severa ulcerada, el tejido de granulación esofágico 4, una gastritis leve 2 o un estómago normal 4 y, en ocasiones, una enteropatía inflamatoria moderada crónica 1. La biopsia del intestino delgado es normal 2,4. Todos estos hallazgos fueron descritos en nuestra paciente.
Es importante mencionar que la mayoría de los pacientes reportados no tuvieron una mejoría de la anemia ni de las proteínas séricas, mediante el tratamiento farmacológico para la ERGE, y tampoco a partir de la suplencia de hierro oral 2,5.
Con respecto al tratamiento quirúrgico, se han desarrollado varias estrategias a fin de corregir el reflujo y la hernia hiatal, como la combinación de las técnicas de Boereman y Nissen 2, y la fundoplicatura tipo Nissen 4,5,7.
En la serie de casos original, la reparación quirúrgica resultó en una mejoría inmediata del síndrome de Sandifer, de las manifestaciones de reflujo, de la anemia y del retorno de proteínas a niveles normales, con una disminución del hipocratismo digital al cabo del año 2; escenario muy similar al de nuestra paciente.
Dentro de la descripción de estos casos, el primer síntoma en resolver fueron los movimientos cefálicos, los cuales cedieron al tercer día posterior a la operación, seguidos por los síntomas de reflujo y rumiación, que mejoraron a la semana. Las proteínas séricas se normalizaron entre 1 a 2 semanas 5, mientras que la anemia mejoró a las 6 semanas, mediante un tratamiento con sulfato ferroso oral. El hipocratismo digital disminuyó luego de 9 meses a 1 año, en promedio 2,5,7.
Conclusiones
La hernia hiatal y la esofagitis, en el contexto de la ERGE severa, deben ser incluidas en los diagnósticos diferenciales del hipocratismo digital y la enteropatía perdedora de proteínas. Su manejo oportuno evita la aparición de complicaciones y revierte, en su totalidad, las alteraciones clínicas y paraclínicas que desarrollan los pacientes. Esto mejora la calidad de vida de los niños y sus familias.
Referencias
Calçado AC, Percope S, Gracia J, Vital R, Junqueira J. P0957 Herbst’s triad: a rare clinical manifestation of gastroesophageal reflux. J Pediatr Gastroenterol Nutr. 2004;39(1):S421-S422. http://doi.org/10.1097/00005176-200406001-01081
Herbst JJ, Johnson DG, Oliveros MA. Gastroesophageal reflux with protein-losing enteropathy and finger clubbing. Am J Dis Child. 1976;130(11):1256-1258. http://doi.org/10.1001/archpedi.1976.02120120090017
Botha GS. Partial thoracic stomach in infancy. En: Botha GS. The gastro-oesophageal junction: clinical applications to oesophageal and gastric surgery. Boston: Little Brown & Co; 1962. p. 320-322.
Greenwald M, Couper R, Laxer R, Durie P, Silverman E. Gastroesophageal reflux and esophagitis-associated hypertrophic osteoarthropathy. J Pediatr Gastroenterol Nutr. 1996;23(2):178-181. http://doi.org/10.1097/00005176-199608000-00014
Sacher P, Stauffer UG. The Herbst triad: report of two cases. J Pediatr Surg. 1990;25(12):1238-1239. http://doi.org/10.1016/0022-3468(90)90515-b
Rosario N, Farias L. Letter to the Editor. J Pediatr Gastroenterol Nutr. 1998;27:125.
Guerrero J, Guerrero J, García MT, de Paz P, Luengo JL. Tríada de Herbst: acropaquias, hipoproteinemia y anemia ferropénica, asociadas a reflujo gastroesofágico. An Pediatría. 2007;66(5):531-534. https://doi.org/10.1157/13102517
Notas
Notas de autor
*Correspondencia: Clara Plata-García, MD. plata_clara@javeriana.edu.co
Declaración de intereses