Reportes de caso
Pancreatitis aguda secundaria a hipertrigliceridemia grave: caso clínico
Acute pancreatitis secondary to severe hypertriglyceridemia: Clinical case
Pancreatitis aguda secundaria a hipertrigliceridemia grave: caso clínico
Revista Colombiana de Gastroenterologia, vol. 35, núm. 4, pp. 522-526, 2020
Asociación Colombiana de Gastroenterología
Recepción: 26 Abril 2019
Aprobación: 10 Octubre 2019
Resumen
Caso: varón de 37 años de edad con cuadro de dolor abdominal en hipogastrio irradiado a la espalda. En el examen físico se encontró taquicárdico, hipertenso, con dolor abdominal a la palpación profunda sin signos de irritación peritoneal. Los paraclínicos mostraban una elevación de los reactantes de fase aguda y amilasa pancreática, los estudios imagenológicos mostraban signos de pancreatitis aguda.
Discusión: la pancreatitis asociada con hipertrigliceridemia se presenta entre el 0,5 % al 1 % de los casos. La tríada inicial del manejo es dieta absoluta, hidratación intravenosa y analgésicos. En el caso de la hipertrigliceridemia, se puede manejar con hipolipemiantes orales o, en caso de niveles mayores de 1000 mg/dL, se puede usar el recambio plasmático, el cual tiene buena efectividad y disminuye los valores a rangos de normalidad en el 80 % de los casos con la primera sesión.
Palabras clave: Pancreatitis+ dislipidemias+ hipertrigliceridemia+ triglicéridos.
Abstract
Introduction: Acute pancreatitis is considered an inflammatory process of the pancreas, which results from the activation of digestive enzymes released by this gland. This pathological entity is associated with multiple etiologies.
Case: 37-year-old male with hypogastrium pain irradiated to the back. On physical examination, the patient was tachycardic, hypertensive, with abdominal pain on deep palpation without signs of peritoneal irritation. Laboratory tests showed an elevation of acute phase reactants and pancreatic amylase, and imaging studies showed signs of acute pancreatitis.
Discussion: Pancreatitis associated with hypertriglyceridemia occurs in 0.5 to 1% of cases. The initial management triad is a clear liquid diet, intravenous hydration, and analgesics. Hypertriglyceridemia can be managed with oral hypolipidemic drugs. When levels are higher than 1 000 mg/dL, plasma exchange can be used due to its good effectiveness, decreasing the values to normal ranges in 80% of the cases with the first session.
Keywords: Pancreatitis, Dyslipidemia, Hypertriglyceridemia, Triglycerides.
Introducción
La pancreatitis aguda se considera un proceso inflamatorio del páncreas, el cual resulta de la activación de enzimas digestivas liberadas por esta glándula, principalmente el tripsinógeno, lo que provoca la autodigestión de las células acinares 1, lesiones locales, síndrome de inflamación sistémica (SIRS) y, en el peor de los casos, falla multiorgánica 2.
Este es uno de los trastornos gastrointestinales más comunes que requieren manejo intrahospitalario, presenta una incidencia anual de 5 a 30 casos por cada 100 000 habitantes 3, una mortalidad global del 5 % al 7 % y hasta el 30 % en casos de pancreatitis grave 4.
Las principales causas de esta enfermedad son las patologías de la vía biliar 5, alcoholismo 6, alteraciones genéticas 7, tabaquismo, medicamentos como la azatioprina, estrógenos, furosemida/tiazidas, sulfonamidas, isotretinoína, tetraciclina, ácido valproico, inhibidores de la enzima convertidora de angiotensina (IECA), antidepresivos, esteroides, bloqueantes β, entre otros 8; la hipertrigliceridemia grave ocurre en un 2 % a 5 % de los casos y se define como la concentración de triglicéridos en plasma ≥ 1000 mg/dL 9, aunque su mecanismo fisiopatológico aún está siendo estudiado; sin embargo, hay distintas hipótesis como la liberación prolongada de calcio intracelular, lo que facilita la apoptosis celular, inhibición de la función mitocondrial en el acino pancreático, efecto de toxicidad con liberación y formación de radicales libres, facilitación de la respuesta inflamatoria y, finalmente, se menciona que el exceso de ácidos grasos puede generar un proceso de obstrucción de la circulación arterial, lo que facilita la isquemia del tejido pancreático 10.
El objetivo del siguiente artículo es presentar el caso de un paciente joven con pancreatitis aguda secundaria a hipertrigliceridemia grave, su manejo clínico y la respuesta al tratamiento indicado.
Caso clínico
Paciente masculino de 37 años de edad, quien consultó por un cuadro clínico de 4 días de evolución de dolor abdominal en el hipogastrio de intensidad grave que se irradiaba a la región lumbar, hiporexia, picos febriles no cuantificados acompañados de diaforesis y múltiples episodios eméticos que empezaron luego de una ingesta alta en grasas. No tenía antecedentes de importancia.
En el examen físico tenía los siguientes signos vitales: frecuencia cardíaca (FC): 115 latidos por minuto (lpm), presión arterial (PA): 142/83 mm Hg, frecuencia respiratoria (FR): 22 respiraciones por minuto (rpm), saturación de oxígeno (SatO2) 81 % al ambiente, temperatura 40°, estatura: 168 cm, peso 78 kg, índice de masa corporal (IMC) 27,6 (sobrepeso), escala de Glasgow 15/15, abdomen distendido, doloroso a la palpación y sin signos de irritación peritoneal; y el resto de examen fue normal.
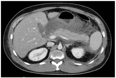
Ante el cuadro sospechoso de patología con afección pancreática (pancreatitis con posible sobreinfección), se decidió realizar estudios de extensión. Los paraclínicos de ingreso mostraban amilasa pancreática en 1229 mg/dL, leucocitosis (21 000/mm3), neutrofilia (92 %) e hipertrigliceridemia (3980 mg/dL), lipoproteína de muy baja densidad (VLDL) elevado (80 mg/dL) con colesterol total (120 mg/dL), lipoproteína de alta densidad (HDL), electrolitos, función renal, función hepática y procalcitonina dentro de los parámetros normales (de esta forma se descartó la probabilidad de un proceso infeccioso); adicionalmente, se solicitó una tomografía axial computarizada (TAC) de abdomen, la cual reportó derrame pleural bilateral, signos de pancreatitis edematosa intersticial asociada con múltiples colecciones peripancreáticas agudas y líquido libre abdominal, considerando el diagnóstico de pancreatitis Balthazar C-D (Figura 1), con puntaje de gravedad clínica APACHE de 8 puntos y Marshall de 2 puntos.

Se dio manejo inicial en urgencias con lactato de Ringer 1000 mL en bolo, meperidina 30 mg cada 8 horas, ranitidina 50 mg cada 12 horas, metoclopramida 10 mg cada 12 horas, atorvastatina 20 mg cada 12 horas y nada por vía oral.
Fue valorado por el servicio de cirugía general y se consideró que el paciente no presentaba sobreinfección de las colecciones pancreáticas y tampoco era candidato a manejo quirúrgico. Posteriormente, fue evaluado por medicina interna y se ajustó el manejo con dipirona 1,5 g cada 8 horas (cambio por la meperidina), ciprofibrato 100 mg cada día (cambio por la atorvastatina) y se inició una dieta blanda hipograsa e hiperproteica.
Finalmente, se decidió trasladar al paciente a la unidad de cuidados intensivos (UCI) para realizar la sesión de plasmaféresis, al considerarse la primera línea de manejo para la hipertrigliceridemia, con lo que se obtuvo una respuesta satisfactoria dada la disminución significativa de las cifras de triglicéridos (410 mg/dL) una vez finalizada la primera sesión. El paciente permaneció durante 48 horas en cuidados intensivos y, posteriormente, al presentar una adecuada evolución clínica y paraclínica, se decidió dar egreso al cuarto día de hospitalización con órdenes médicas de manejo terapéutico, seguimiento ambulatorio e indicaciones.
Consideraciones éticas
Basados en la resolución 8430 de 1193, se dio el debido consentimiento informado; adicionalmente, se tomaron únicamente los datos sociodemográficos, clínicos y paraclínicos de interés en la investigación.
Discusión
La hipertrigliceridemia grave se ha descrito como la tercera causa más frecuente de pancreatitis aguda en pacientes jóvenes 9 con edades similares a la del paciente reportado y se ha reportado que la incidencia de esa asociación fisiopatológica es baja 11. Las pancreatitis secundarias a hipertrigliceridemia grave se describen en el 0,5 % a 1 % de los casos 12, con otras incidencias de hasta el 7 % 17; así mismo, esta alteración metabólica se relaciona con el alto riesgo de padecer pancreatitis aguda a partir de niveles séricos de triglicéridos ≥ 500 mg/dL 9; por tal motivo, es necesario conocer las descripciones de estos casos, los manejos clínicos exitosos y los resultados de los estudios ambulatorios.
De esta manera, las hipertrigliceridemias se han clasificado teniendo en cuenta las causas, el patrón de elevación de lípidos y la gravedad, entre otros factores. Según la etiología, se describen como primarias, que incluyen las desarrolladas por defectos genéticos en la síntesis o en el metabolismo de triglicéridos 8; y en secundarias, las que derivan del insuficiente control de desórdenes endocrinos (diabetes, obesidad, síndrome metabólico, hipotiroidismo), las asociadas con la ingesta de medicamentos y las derivadas de la ingesta excesiva de alcohol 13. Este caso correspondió a una pancreatitis aguda secundaria a hipertrigliceridemia, sobrepeso y, probablemente, ingesta alcohólica baja.
Dentro de los mecanismos fisiopatológicos estudiados con los que se ha relacionado la elevación de triglicéridos como causa de pancreatitis se encuentran varias teorías. La hipótesis con mayor fuerza sostiene que el exceso de triglicéridos en plasma junto con la acción de la lipasa pancreática conlleva una acumulación de ácidos grasos en el páncreas, que produce una cantidad elevada de radicales libres y, de este modo, se altera la irrigación por la hiperviscosidad sanguínea y a su vez afecta los ácinos pancreáticos 10.
El manejo intrahospitalario se debe realizar con monitorización estrecha, control del dolor, uso de antiemético, medidas terapéuticas habituales como la dieta restringida, baja o nula de grasa con el fin de estabilizar el metabolismo del paciente y, en caso de requerirse, se puede usar sonda nasoyeyunal 14,15. Un pilar importante dentro del tratamiento es la fluidoterapia con lactato de Ringer, puesto que reduce el riesgo de repuesta sistemática inflamatoria (síndrome de respuesta inflamatoria sistémica [SIRS]) en un 84 % (p = 0,035) comparado con la solución salina normal; el manejo adecuado de los líquidos intravenosos se realiza buscando un gasto urinario adecuado, con estabilidad de electrolitos y glucemia; adicionalmente, se deben usar medidas con el fin de prevenir la hipoxemia, con oxígeno suplementario en caso de estabilización del paciente 16,17.
Para el manejo de la hipertrigliceridemia se cuenta con distintos métodos terapéuticos. El primero de ellos está relacionado con la reducción de estos como consecuencia del ayuno durante el manejo inicial; adicionalmente, se pueden usar hipolipemiantes orales con el fin de mantener los valores dentro de normalidad y, finalmente, se cuenta con medidas extremas como la plasmaféresis, un procedimiento mediante el cual se separa el plasma de las sustancias patológicas, en este caso, el exceso de triglicéridos 17. La plasmaféresis tiene la ventaja de disminuir los valores de triglicéridos a niveles normales con una primera sesión en el 50 % a 80 % de los casos, es por ello que se recomienda usar cuando se tienen valores de triglicéridos por encima de 1000 mg/dL, y está asociado con complicaciones como la presentada por el paciente (pancreatitis aguda) 18-20. Algunos estudios han mostrado que disminuye las tasas de mortalidad en un 24 %, pero estos resultados son estadísticamente no significativos 21,22. Otro de los métodos terapéuticos que puede ser utilizado es la infusión de insulina o heparinas, que son medicamentos que favorecen la degradación de los quilomicrones y disminuyen la actividad de las lipasas plasmáticas 23,24.
Hasta el momento no se conoce el porcentaje de recurrencia de la pancreatitis por hipertrigliceridemia, aunque sí es importante realizar controles periódicos, dar manejo con derivados del ácido fíbrico, tratar la causa secundaria y controlar los factores de riesgo que estén asociados con la patología metabólica 24-26.
En conclusión, la pancreatitis asociada con hipertrigliceridemia tiene una baja prevalencia y sus manifestaciones y métodos diagnósticos son similares a los relacionados con otras etiologías; sin embargo, es necesario el uso de los estudios paraclínicos adicionales con el fin de detectar el tipo de alteraciones asociadas con el metabolismo lipídico. El tratamiento está basado en 3 partes: en la primera fase se maneja de modo similar a las pancreatitis de otra causa; la segunda fase está relacionada con el control agudo de los valores elevados de triglicéridos séricos, para lo cual se utiliza la plasmaféresis; y en la tercera fase es necesario a largo plazo el control estricto de la dieta y el uso de hipolipemiantes orales.
Referencias
1. Quinlan JD. Acute pancreatitis. Am Fam Physician. 2014;90(9):632-9.
2. Krishna SG, Kamboj AK, Hart PA. The changing epidemiology of acute pancreatitis hospitalizations: a decade of trends and the impact of chronic pancreatitis. Pancreas. 2017;46(4):482-8. https://doi.org/10.1097/MPA.0000000000000783
3. Peery AF, Dellon ES, Lund J, Crockett SD, McGowan CE, Bulsiewicz WJ, Gangarosa LM, Thiny MT, Stizenberg K, Morgan DR, Ringel Y, Kim HP, DiBonaventura MD, Carroll CF, Allen JK, Cook SF, Sandler RS, Kappelman MD, Shaheen NJ. Burden of gastrointestinal disease in the United States: 2012 update. Gastroenterology. 2012;143(5):1179-1187.e3. https://doi.org/10.1053/j.gastro.2012.08.002
4. Yadav D, Lowenfels AB. The epidemiology of pancreatitis and pancreatic cancer. Gastroenterology. 2013;144(6):1252-61. https://doi.org/10.1053/j.gastro.2013.01.068
5. Portelli M, Jones CD. Severe acute pancreatitis: Pathogenesis, diagnosis and surgical management. Hepatobiliary Pancreat Dis Int. 2017;16(2):155-9. https://doi.org/10.1016/S1499-3872(16)60163-7
6. Alsamarrau A, Das SL, Windsor JA, Petrov MS. Factors that affect risk for pancreatic disease in the general population: A systematic review and meta-analysis of prospective cohort studies. Clin Gastroenterol Hepatol. 2014;12(10):1635-44.e5; quiz e103. https://doi.org/10.1016/j.cgh.2014.01.038
7. Forsmark CE, Vege SS, Wilcox CM. Acute Pancreatitis. N Engl J Med. 2016;375(20):1972-1981. https://doi.org/10.1056/NEJMra1505202
8. Austin MA, McKnight B, Edwards KL. Cardiovascular disease mortality in familial forms of hypertriglyceridemia: A 20-year prospective study. Circulation. 2000;101(24):2777-82. https://doi.org/10.1161/01.CIR.101.24.2777
9. Guo YY, Li HX, Zhang Y, He WH. Hypertriglyceridemia-induced acute pancreatitis: progress on disease mechanisms and treatment modalities. Discov Med. 2019;27(147):101-109.
10. Valdivielso P, Ramírez-Bueno A, Ewald N. Current knowledge of hypertriglyceridemic pancreatitis. Eur J Intern Med. 2014;25(8):689-94. https://doi.org/10.1016/j.ejim.2014.08.008
11. Li X, Ke L, Dong J, Ye B, Meng L, Mao W, Yang Q, Li W, Li J. Significantly different clinical features between hypertriglyceridemia and biliary acute pancreatitis: a retrospective study of 730 patients from a tertiary center. BMC Gastroenterol. 2018;18(1):89. https://doi.org/10.1186/s12876-018-0821-z
12. Wang Y, Attar BM, Hinami K, Jaiswal P, Yap JE, Jaiswal R, Devani K, Simons-Linares CR, Demetria MV. Concurrent Diabetic Ketoacidosis in Hypertriglyceridemia-Induced Pancreatitis: How Does It Affect the Clinical Course and Severity Scores? Pancreas. 2017;46(10):1336-1340. https://doi.org/10.1097/MPA.0000000000000937
13. Shah AS, Wilson DP. Primary hypertriglyceridemia in children and adolescents. J Clin Lipidol. 2015;9(5 Suppl):S20-8. https://doi.org/10.1016/j.jacl.2015.04.004
14. Greenberg JA, Hsu J, Bawazeer M, Marshall J, Friedrich JO, Nathens A, Coburn N, May GR, Pearsall E, McLeod RS. Clinical practice guideline: management of acute pancreatitis. Can J Surg. 2016 Apr;59(2):128-40. https://doi.org/10.1503/cjs.015015
15. Srinivasan G, Venkatakrishnan L, Sambandam S, Singh G, Kaur M, Janarthan K, John BJ. Current concepts in the management of acute pancreatitis. J Family Med Prim Care. 2016;5(4):752-758. https://doi.org/10.4103/2249-4863.201144
16. Crockett SD, Wani S, Gardner TB, Falck-Ytter Y, Barkun AN; American Gastroenterological Association Institute Clinical Guidelines Committee. American Gastroenterological Association Institute Guideline on Initial Management of Acute Pancreatitis. Gastroenterology. 2018;154(4):1096-1101. https://doi.org/10.1053/j.gastro.2018.01.032
17. Bollen TL, van Santvoort HC, Besselink MG, van Leeuwen MS, Horvath KD, Freeny PC, Gooszen HG; Dutch Acute Pancreatitis Study Group. The Atlanta Classification of acute pancreatitis revisited. Br J Surg. 2008;95(1):6-21. https://doi.org/10.1002/bjs.6010
18. Schwartz J, Winters JL, Padmanabhan A, Balogun RA, Delaney M, Linenberger ML, Szczepiorkowski ZM, Williams ME, Wu Y, Shaz BH. Guidelines on the use of therapeutic apheresis in clinical practice-evidence-based approach from the Writing Committee of the American Society for Apheresis: the sixth special issue. J Clin Apher. 2013;28(3):145-284. https://doi.org/10.1002/jca.21276
19. Stefanutti C, Labbadia G, Morozzi C. Severe hypertriglyceridemia-related acute pancreatitis. Ther Apher Dial. 2013;17(2):130-7. https://doi.org/10.1111/1744-9987.12008
20. Schaap-Fogler M, Schurr D, Schaap T, Leitersdorf E, Rund D. Long-term plasma exchange for severe refractory hypertriglyceridemia: a decade of experience demonstrates safety and efficacy. J Clin Apher. 2009;24(6):254-8. https://doi.org/10.1002/jca.20224
21. Chen JH, Yeh JH, Lai HW, Liao CS. Therapeutic plasma exchange in patients with hyperlipidemic pancreatitis. World J Gastroenterol. 2004;10(15):2272-4. https://doi.org/10.3748/wjg.v10.i15.2272
22. Gubensek J, Buturovic-Ponikvar J, Romozi K, Ponikvar R. Factors affecting outcome in acute hypertriglyceridemic pancreatitis treated with plasma exchange: an observational cohort study. PLoS One. 2014;9(7):e102748. https://doi.org/10.1371/journal.pone.0102748
23. Banks PA, Bollen TL, Dervenis C, Gooszen HG, Johnson CD, Sarr MG, Tsiotos GG, Vege SS; Acute Pancreatitis Classification Working Group. Classification of acute pancreatitis--2012: revision of the Atlanta classification and definitions by international consensus. Gut. 2013 Jan;62(1):102-11. https://doi.org/10.1136/gutjnl-2012-302779
24. Jiménez Forero SJ, Roa Saavedra DX, Villalba MC. Pancreatitis aguda secundaria a hipertrigliceridemia: presentación de dos casos clínicos. Rev Esp Enferm Dig. 2008;100(6):367-71. https://doi.org/10.4321/S1130-01082008000600012
25. Lankisch PG, Apte M, Banks PA. Acute pancreatitis. Lancet. 2015;386(9988):85-96. https://doi.org/10.1016/S0140-6736(14)60649-8
26. Elkhouly MA, Salazar MJ, Simons-Linares CR. Hypertriglyceridemia-Associated Drug-Induced Acute Pancreatitis. Pancreas. 2019;48(1):22-35. https://doi.org/10.1097/MPA.0000000000001190
Notas
Notas
Notas de autor
*Correspondencia: Edward Jassir Rozo-Ortiz. edwarozo@gmail.com
Declaración de intereses