Casos clínicos
Neumatosis quística intestinal en un adulto joven sin antecedentes clínicos: reporte de caso
Cystic intestinal pneumatosis in a young adult with no clinical history: Case report
Neumatosis quística intestinal en un adulto joven sin antecedentes clínicos: reporte de caso
Revista Colombiana de Gastroenterologia, vol. 36, núm. 1, Supl., pp. 47-51, 2021
Asociación Colombiana de Gastroenterología
Recepción: 03 Abril 2020
Aprobación: 23 Septiembre 2020
Resumen: La neumatosis quística intestinal se refiere a la presencia de gas dentro de la pared del intestino delgado o grueso, puede ser asintomática y potencialmente mortal cuando se presentan complicaciones. Las causas de esta entidad incluyen enfermedades pulmonares, sistémicas, intestinales, medicamentosas, causas iatrogénicas y traumáticas. Se presenta el caso de un hombre de 35 años de edad sin antecedentes de importancia que consultó por dolor en el hemiabdomen inferior, con un diagnóstico imagenológico de neumatosis quística intestinal, neumoperitoneo y peritonitis, complicación secundaria a esta patología, por lo que se realizó el manejo quirúrgico, laparotomía y resección de segmento colónico, que se analizó histopatológicamente y se confirmó el diagnostico; finalmente, fue dado de alta después de finalizar el tratamiento antibiótico.
Palabras clave: Neumatosis quística intestinal.
Abstract: Cystic intestinal pneumatosis refers to the presence of gas within the wall of the small or large intestine. It can be asymptomatic and life-threatening when complications occur. The causes of this entity include pulmonary, systemic, intestinal, drug, iatrogenic and traumatic factors. The following is the case of a 35-year-old man who presented with pain in his lower hemiabdomen and had no previous medical history. Imaging scans showed intestinal cystic pneumatosis and secondary pneumoperitoneum and peritonitis. The patient was taken to laparotomy, and a colonic segment was resected and sent to pathology. The diagnosis was confirmed by a biopsy. The patient was discharged after completing antibiotic treatment.
Keywords: Cystic intestinal pneumatosis.
INTRODUCCIÓN
La neumatosis quística intestinal se define como la presencia de lesiones similares a quistes en la pared intestinal y se divide en dos categorías: neumatosis intestinal potencialmente mortal y neumatosis intestinal benigna 1. Se considera una patología de etiología no clara e incidencia baja, su incidencia en la población general se ha estimado 3 por cada 10 000 individuos 2, tiene una edad de inicio de 45,3 ± 15,6 años, una relación hombre/mujer de 2,4: 1 y el curso medio de la enfermedad es de 6 meses 3. Se han asociado factores de riesgo gastrointestinales como la enfermedad de Crohn, colitis ulcerativa y enfermedades extragastrointestinales como enfermedad pulmonar obstructiva crónica (EPOC), el uso de ciertos fármacos y solo un 15 % es de etiología idiopática 4.
En cuanto a su fisiopatología, se han propuesto tres posibilidades como fuente de gas: gas gastrointestinal intraluminal, producción bacteriana de gas y gas pulmonar. La primera teoría ocurre debido al aumento de la presión intraluminal en el contexto de una lesión en la barrera de la mucosa; la segunda teoría consiste en la colonización de bacterias productoras de gas en los compartimentos intramurales debido al compromiso de la mucosa, estas bacterias producen tensiones de hidrógeno que exceden las presiones de nitrógeno en la sangre, lo que conduce a un gradiente de difusión de hidrógeno hacia los vasos submucosos; y la última teoría postula que la ruptura alveolar podría provocar disección del gas en los canales vasculares del mediastino, siguiendo caudalmente al retroperitoneo y luego al mesenterio del intestino 5.
La presentación clínica es inespecífica, los pacientes pueden ser asintomáticos o presentar dolor abdominal, obstrucción intestinal, diarrea, hematoquecia y tenesmo 1,2. En el presente artículo se presenta el caso clínico de un paciente de 35 años de edad sin antecedentes de importancia quien presentó abdomen agudo quirúrgico y fue llevado a cirugía, en la que se identificó una neumatosis quística intestinal.
CASO CLÍNICO
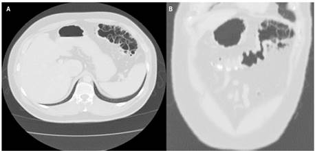
Se trata de un paciente masculino de 35 años de edad que consultó por un cuadro clínico de un mes de evolución de dolor de alta intensidad, inespecífico, localizado en el hemiabdomen inferior, con irradiación a la región lumbar derecha, sin desarrollo clínico de abdomen agudo. Tuvo un diagnóstico inicial de infección de las vías urinarias y tratamiento con levofloxacina ambulatoriamente, pero ante la no mejoría de los síntomas, el paciente volvió a consultar. Se realizó una tomografía axial computarizada (TAC) contrastada de abdomen, en la que se evidenció una neumatosis intestinal quística segmentaria en el ángulo esplénico del colon asociado con áreas de neumoperitoneo adyacentes (Figura 1). Fue valorado por el servicio de cirugía general, en el que se inició el manejo con laparoscopia y se encontró plastrón con epiplón y neumatosis en el ángulo esplénico, por lo que convierten el procedimiento inicial a una laparotomía, en la que decidieron realizar hemicolectomía izquierda, omentectomía parcial y colostomía izquierda.

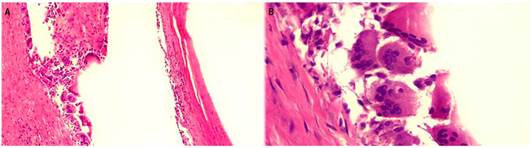
La pieza quirúrgica se envió al servicio de patología, en el que se reconoció un segmento colónico de 15 cm con diámetros variables de 2 a 4 cm, seroso de color pardo claro cubierto en toda su extensión por un mesenterio que medía hasta 4 cm. La mucosa se había remplazado en más del 80 % por formaciones quísticas de aire, la mayor de ellas medía 4,5 x 4 cm y la menor, 2 x 1 cm; con una pared que medía 0,1 cm; estas lesiones también se pudieron observar de menor tamaño en el mesenterio circundante (Figura 2). Además, en el análisis microscópico se encontró en la submucosa y la capa muscular propia múltiples lesiones quísticas (Figura 3), asociadas con células gigantes multinucleadas tipo cuerpo extraño y macrófagos (Figura 4). Las lesiones se extendieron hasta la subserosa, donde también se observaron células mesoteliales reactivas. Con estos hallazgos se confirmó el diagnóstico de neumatosis quística intestinal.



Complementariamente, el paciente recibió terapia antibiótica con carbapenémicos por 14 días como parte del tratamiento de la peritonitis secundaria sin necesidad de ser llevado nuevamente a cirugía. No hubo recurrencia de síntomas del tracto digestivo ni otra sintomatología en los meses siguientes al procedimiento quirúrgico.
DISCUSIÓN
La neumatosis quística intestinal es una patología infrecuente caracterizada por estructuras quísticas en la submucosa intestinal, subserosa y muscular propia en cualquier parte del tracto gastrointestinal, con mayor frecuencia en el colon 3. Se considera que más del 80 % de los casos de neumatosis quística intestinal son iatrogénicos; sin embargo, se atribuye en otras ocasiones a un origen bacteriano, metabólico o pulmonar, trastornos del tejido colágeno, síndrome de inmunodeficiencia humana o consumo de algunos fármacos específicos como glucocorticoides 1,6, lo que provoca el aumento de la presión intraluminal y fuerza la salida de gas a través de la mucosa alterada; esto produce una respuesta tisular, la cual se puede evidenciar por la presencia de células gigantes multinucleadas asociadas con macrófagos a nivel histológico 3, cuyas complicaciones pueden requerir manejo quirúrgico 7.
Li-Li Wu y colaboradores 8, en su estudio de 239 casos con neumatosis quística intestinal, reportaron una edad media de 45,3 ± 15,6 años, el síntoma más común fue dolor abdominal (53,9 %), seguido de diarrea (53,0 %), distensión (42,4 %), náuseas y vómitos (14,3 %), rectorragia (12,9 %), heces mucosas (12,0 %), estreñimiento (7,8 %), y complicaciones como obstrucción intestinal y perforación (16,3 %) 8. Las afecciones potencialmente mortales se asociaron con isquemia mesentérica, necrosis u obstrucción intestinal; estos pacientes presentaron signos clínicos de sepsis y síntomas de choque con una presentación clínica de abdomen agudo y con requerimiento de manejo quirúrgico 7. En conclusión, el resultado de los pacientes con complicaciones es desfavorable en comparación con el de los pacientes asintomáticos 2. Mientras que en el estudio de Alexander J. Greenstein y colaboradores 9 se reportaron indicadores para el manejo quirúrgico: síntomas de obstrucción (emesis, náuseas, dolor), más de 12 leucocitos por mm3, gas en la vena porta visualizado en la tomografía y una edad mayor de 60 años; los pacientes con un lactato > 2,0 mmol/L y un proceso abdominal primario tienen una alta tasa de mortalidad.
Tradicionalmente, la neumatosis intestinal se ha asociado con una tasa de mortalidad alta (20 %) 9; sin embargo, Morris y colaboradores 10, en su estudio de 104 pacientes identificados por imágenes radiológicas con diagnóstico de neumatosis intestinal durante un período de 7 años, reportaron una tasa de mortalidad del 22 % y demostraron que los hallazgos radiológicos no se correlacionan con la gravedad de la isquemia intestinal, que el 56 % de los pacientes requirió resección intestinal debido a isquemia y que el colon estuvo más frecuentemente involucrado (46 %), seguido del intestino delgado (27 %) y ambos (7 %).
Macroscópicamente, la neumatosis intestinal se caracteriza por múltiples estructuras similares a quistes en la mucosa de la pared intestinal, en algunas ocasiones se describe con aspecto cerebriforme. Microscópicamente, se reconocen estructuras similares a quistes de tamaño variable sobre la mucosa, submucosa o muscular propia con tamaños desde milímetros hasta algunos centímetros; como características histológicas, estas estructuras están revestidas por macrófagos, células gigantes multinucleadas tipo cuerpo extraño e infiltrado inflamatorio mononuclear 3. Los quistes tempranos pueden estar revestidos por células endoteliales, por lo que se puede interpretar en algunas ocasiones como distensión de los vasos linfáticos 11.
El contenido de los quistes es una mezcla de nitrógeno e hidrógeno con cantidades variables de oxígeno, dióxido de carbono, butano, propano, metano, etano y argón, que generan una respuesta inflamatoria de tipo cuerpo extraño mediada por células gigantes multinucleadas que expresan cúmulo de diferenciación 68 (CD68) en los estudios complementarios de inmunohistoquímica 11.
En conclusión, la neumatosis intestinal quística puede ser asintomática o poner en peligro la vida. El diagnóstico se realiza en la mayoría de los casos mediante imágenes diagnósticas 6 en las que se evidencian numerosos espacios quísticos de aire dentro de la pared intestinal dando una apariencia esponjosa 2 o por medio de estudios endoscópicos en los cuales se visualizan numerosos pliegues mucosos en la pared intestinal con apariencia casi cerebriforme 8. El tratamiento de la neumatosis intestinal debe centrarse en la enfermedad subyacente y en las complicaciones graves como infarto mesentérico, perforación intestinal y peritonitis, las cuales deben tener un tratamiento quirúrgico 7; sin embargo, es importante tener en cuenta que el pronóstico es variable según la presentación de los síntomas y complicaciones. A menudo puede ser difícil realizar el diagnóstico y requiere una excelente habilidad clínica.
REFERENCIAS
Di Pietropaolo M, Trinci M, Giangregorio C, Galluzzo M, Miele V. Pneumatosis cystoides intestinalis: case report and review of literature. Clin J Gastroenterol. 2020;13(1):31-36. https://doi.org/10.1007/s12328-019-00999-3
Khalil PN, Huber-Wagner S, Ladurner R, Kleespies A, Siebeck M, Mutschler W, Hallfeldt K, Kanz KG. Natural history, clinical pattern, and surgical considerations of pneumatosis intestinalis. Eur J Med Res. 2009;14(6):231-9. https://doi.org/10.1186/2047-783x-14-6-231
Ling F, Guo D, Zhu L. Pneumatosis cystoides intestinalis: a case report and literature review. BMC Gastroenterol. 2019;19(1):176. https://doi.org/10.1186/s12876-019-1087-9
Cecenarro RR, Gómez ME, Gramática L. Caso clínico: pneumatosis intestinal. Rev Fac Cien Med Univ Nac Cordoba. 2018;75(3):205-211. https://doi.org/10.31053/1853.0605.v75.n4.15717
St Peter SD, Abbas MA, Kelly KA. The spectrum of pneumatosis intestinalis. Arch Surg. 2003;138(1):68-75. https://doi.org/10.1001/archsurg.138.1.68
Pear BL. Pneumatosis intestinalis: a review. Radiology. 1998;207(1):13-9. https://doi.org/10.1148/radiology.207.1.9530294
Greenstein AJ, Nguyen SQ, Berlin A, Corona J, Lee J, Wong E, Factor SH, Divino CM. Pneumatosis intestinalis in adults: management, surgical indications, and risk factors for mortality. J Gastrointest Surg. 2007;11(10):1268-74. https://doi.org/10.1007/s11605-007-0241-9
Wu LL, Yang YS, Dou Y, Liu QS. A systematic analysis of pneumatosis cystoids intestinalis. World J Gastroenterol. 2013;19(30):4973-8. https://doi.org/10.3748/wjg.v19.i30.4973
Greenstein AJ, Nguyen SQ, Berlin A, Corona J, Lee J, Wong E, Factor SH, Divino CM. Pneumatosis intestinalis in adults: management, surgical indications, and risk factors for mortality. J Gastrointest Surg. 2007;11(10):1268-74. https://doi.org/10.1007/s11605-007-0241-9
Morris MS, Gee AC, Cho SD, Limbaugh K, Underwood S, Ham B, Schreiber MA. Management and outcome of pneumatosis intestinalis. Am J Surg. 2008;195(5):679-82; discussion 682-3. https://doi.org/10.1016/j.amjsurg.2008.01.011
Höer J, Truong S, Virnich N, Füzesi L, Schumpelick V. Pneumatosis cystoides intestinalis: confirmation of diagnosis by endoscopic puncture a review of pathogenesis, associated disease and therapy and a new theory of cyst formation. Endoscopy. 1998;30(9):793-9. https://doi.org/10.1055/s-2007-1001424
Notas
Notas de autor
*Correspondencia: Cristian Pérez. crisper01@hotmail.com