Reporte de caso
Pancreatitis necrotizante por áscaris lumbricoides: causas, diagnóstico y tratamiento actual
Necrotizing pancreatitis due to Ascaris lumbricoides: Causes, diagnosis, and current treatment
Pancreatitis necrotizante por áscaris lumbricoides: causas, diagnóstico y tratamiento actual
Revista colombiana de Gastroenterología, vol. 36, núm. 4, pp. 514-518, 2021
Asociación Colombiana de Gastroenterología
Recepción: 04 Octubre 2020
Aprobación: 12 Agosto 2021
Resumen: La necrosis en la pancreatitis aguda muestra una mortalidad muy alta a pesar de los avances en cuidados críticos. Después de la etiología biliar y alcohólica, la tercera causa más común de pancreatitis es la idiopática, con un 10 % de los casos secundarios a parásitos, y el áscaris es el parásito más común implicado en la necrosis e inflamación del páncreas. Teniendo en cuenta la alta mortalidad que representa la pancreatitis necrotizante, se describe un reporte de caso por ascariasis, destacando su creciente epidemiología, sus causas, su diagnóstico clínico e imagenológico, y su tratamiento antiparasitario según la evidencia actual.
Palabras clave: Áscaris lumbricoides, pancreatitis necrotizante.
Abstract: Necrosis in acute pancreatitis presents a high mortality rate despite advances in critical care. After biliary and alcoholic etiology, the third most common cause of pancreatitis is idiopathic etiology, with 10% of cases related to parasites, being Ascaris the most common parasite involved in pancreas necrosis and inflammation. Considering the high rates of mortality related to necrotizing pancreatitis, a case of ascariasis is analyzed, including its growing epidemiology, its causes, its clinical and imaging diagnosis, and its antiparasitic treatment based on current evidence.
Keywords: Ascaris lumbricoides, necrotizing pancreatitis.
Reporte de caso
Se trata de una paciente femenina, de 42 años de edad, proveniente de la Amazonía colombiana, quien ingresó al departamento de emergencias por un cuadro clínico de 4 días de evolución, caracterizado por presentar dolor abdominal de moderada a fuerte intensidad, tipo urente, localizado en el epigastrio irradiado hacia el hipocondrio derecho en banda, asociado con fiebre y múltiples episodios eméticos biliares. En el examen físico se encontró deshidratada, febril, con tinte ictérico y dolor a la palpación abdominal en el epigastrio, sin signos de abdomen agudo.
Se decidió colocar sonda nasogástrica en vista de múltiples episodios eméticos, con posterior mejoría clínica. Se realizaron paraclínicos que reportaron amilasa en 600 U/L (normal: 30-100 U/L), leucocitosis de 21 000 (normal: 5000-10 000 cel/U), 92 % de neutrofilia (normal: 50 %-60 %), transaminasas, electrolitos, lípidos, fosfatasa y bilirrubinas dentro de los límites normales. Durante su estadía en el hospital, la paciente expulsó un áscaris a través de la sonda nasogástrica (Figura 1).

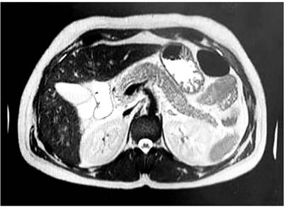
Se realizó una ecografía biliar que descartó colelitiasis y coledocolitiasis, aunque hubo evidencia de inflamación pancreática. Una tomografía axial computarizada (TAC) abdominal contrastada mostró necrosis en el cuerpo del páncreas sin identificar colecciones definidas, compatible con pancreatitis aguda necrotizante (Balthazar C) (Figura 2) y una colangiorresonancia mostró que la paciente tenía pancreatitis aguda edematosa intersticial con una colección peripancreática de 32 x 23 mm (Figura 3), la cual se clasificó como moderada, según el índice de gravedad clínica, con un APACHE II (Acute Physiology and Chronic Health Evaluation II) de 6 puntos, y una valoración de 1 punto en la clasificación modificada de Marshall.


En consecuencia, se inició el manejo con reanimación hídrica, restricción de la vía oral, antiemético, analgesia, antibiótico de amplio espectro con ampicilina/sulbactam debido a la colección evidenciada en la colangiorresonancia y albendazol 400 mg en dosis única en vista del antecedente de expulsión de áscaris a través de sonda nasogástrica.
Al tercer día de su ingreso hospitalario la paciente presentó mejoría clínica con disminución de la leucocitosis y del dolor abdominal, y al séptimo día se realizó un nuevo control imagenológico sin evidencia de colecciones con leve edema de páncreas. La paciente fue dada de alta al décimo día de estancia hospitalaria por evolución satisfactoria, en buen estado general y con controles adecuados en la consulta externa un mes después.
Discusión
Las etiologías involucradas en la pancreatitis aguda se identifican en 75 %-85 % de los casos, y la litiasis biliar y el consumo de alcohol son las dos causas más frecuentes en el adulto1. Solo alrededor del 10 % de los casos de pancreatitis aguda son de causa idiopática, entre las cuales se encuentran las infecciones por parásitos2.
La ascariasis es la infección por helmintos más común en el mundo, causada por el Ascaris lumbricoides, y tiene una prevalencia mundial del 25 %. Es un parásito ubicuo en el subcontinente indio, China, continente africano y en América Latina. Se estima que se presenta en aproximadamente el 16 % de los ciudadanos rurales de la Unión Europea3 y en aproximadamente 4 millones de personas en Estados Unidos4. Su prevalencia va en aumento, especialmente en países industrializados debido a la inmigración por la creciente cantidad de refugiados5. Según cifras de la Organización Mundial de la Salud (OMS), las helmintiasis transmitidas por el suelo afectan a más de 2000 millones de personas en todo el mundo, de los cuales; A. lumbricoides infesta a 1221 millones, lo que causa alteraciones en la capacidad de trabajo y aprendizaje, así como retrasos del crecimiento físico infantil6.
El presente caso provino del Amazonas colombiano, un área endémica de áscaris. La prevalencia de la ascariasis se asocia con climas cálidos y húmedos; en estas regiones tropicales y subtropicales, las infecciones por A. lumbricoides son parte de la vida diaria de poblaciones con bajos recursos4,7. Los factores de riesgo asociados con la transmisión son mala higiene, medio ambiente contaminado, pobre nivel educativo, alcantarillado abierto, suministro de agua inadecuado, mal estado nutricional y uso de biosólidos humanos para fertilizantes e irrigación5.
La ascariasis es más prevalente en niños; sin embargo, la evidencia muestra que la pancreatitis aguda secundaria a ascariasis hepatobiliar y pancreática (AHP) es una enfermedad de adultos, con predominio en mujeres4,8. El cuadro clínico se presenta con dolor abdominal grave, cólico biliar, ictericia, vómitos que pueden o no estar acompañados de gusanos adultos vivos y fiebre9,10. Estos síntomas ocurren por la invasión del parásito a los conductos biliares; raramente el parásito invade el conducto pancreático. Los pacientes con ascariasis pancreática presentan con frecuencia pancreatitis necrotizante4,8.
El diagnóstico de la pancreatitis aguda requiere al menos dos de tres criterios: dolor abdominal consistente con la enfermedad, evidencia bioquímica de pancreatitis y hallazgos imagenológicos característicos del cuadro11. El diagnóstico de pancreatitis aguda por ascariasis debe realizarse mediante imágenes clínicas, ya que las pruebas de laboratorio no ayudan en el diagnóstico de AHP. La eosinofilia suele estar presente durante la migración pulmonar y la microscopía de heces solo revela huevos o gusanos adultos. Los recuentos sanguíneos, las pruebas de función hepática, renal y la amilasa sérica ayudan a evaluar el patrón y la gravedad de la enfermedad hepatobiliar y pancreática4,12.
En este caso, el diagnóstico se realizó por exclusión. Se solicitó una ecografía abdominal que descartó etiología biliar; la TAC abdominal contrastada fue la segunda elección, esta mostró la presencia de pancreatitis necrotizante y una posible colección que fue aclarada mediante una colangiorresonancia.
La ecografía hepatobiliar es un método útil para el diagnóstico inicial; sin embargo, presenta una sensibilidad del 25 %-86 % para identificar la AHP y disminuye en cuadros de pancreatitis9. La TAC abdominal contrastada es el estándar de oro imagenológico para determinar el grado de gravedad de la pancreatitis e identificar complicaciones pancreáticas y extrapancreáticas, así como colecciones. La resonancia magnética (RM) es el estudio alternativo en caso de contraindicación o incertidumbre al diagnóstico1.
La colangiorresonancia tiene una sensibilidad del 97 %-98 % y una especificidad del 84,4 % para la coledocolitiasis11; al igual, la ultrasonografía endoscópica biliopancreática es una buena opción ante la sospecha de obstrucción biliar de etiología no esclarecida9. La colangiorresonancia o la ultrasonografía endoscópica deberían ser consideradas como estudios de control para detectar coledocolitiasis oculta cuando la etiología es incierta y para evitar estudios invasivos en pacientes con sospecha4.
La CPRE es el método predilecto para identificar y eliminar el parásito. La intervención temprana con CPRE seguida de medicación antihelmíntica reduce la morbilidad, mortalidad y recurrencia, por lo que se considera la primera línea en el manejo de la AHP(1,13. Sin embargo, esta tiene limitaciones como herramienta diagnóstica, ya que es invasiva, no está disponible para los médicos de atención primaria y presenta riesgo de complicaciones posquirúrgicas (pancreatitis, sangrado, perforación intestinal). Todos los pacientes con pancreatitis grave deberían ser evaluados mediante TAC, colangiopancreatografía por resonancia magnética (CPRM) o ecografía endoscópica para detectar cálculos ocultos en el colédoco11.
Las colecciones líquidas y necrosis en el tejido pancreático son estériles durante las primeras etapas de la pancreatitis aguda; sin embargo, hasta 40 % de los pacientes suele sobreinfectarse en el curso de la enfermedad. Las complicaciones infecciosas locales o sistémicas caracterizan las formas más graves de la fase tardía y pueden llevar incluso a la muerte por infecciones incontrolables. La pancreatitis necrotizante infectada (PNI) es determinante de aumento de mortalidad; en pacientes con pancreatitis aguda, más del 80 % de las muertes son atribuidas a complicaciones sépticas como consecuencia de infecciones bacterianas en PNI14.
El diagnóstico de la PNI puede ser difícil; la fiebre y la elevación de los marcadores inflamatorios son indicativos de infección, estos, en conjunto con los factores de riesgo para desarrollar PNI son útiles en la toma de decisiones clínicas sobre el manejo de la enfermedad15. El tratamiento actual recomendado en PNI y sepsis pancreática es la administración de antibiótico16.
El imipenem, las fluoroquinolonas y el metronidazol son los fármacos de elección debido a que alcanzan concentraciones inhibidoras altas en el tejido pancreático; las acilureidopenicilinas tienen penetrancia intermedia17. En este caso, por el estado clínico de la paciente y la elevación de los marcadores inflamatorios se indicó antibioticoterapia con ampicilina/sulbactam, la cual mostró buenos resultados.
El A. lumbricoides es extremadamente sensible al tratamiento antihelmíntico con benzimidazoles; el mebendazol presenta una eficacia de 84 %-99 %12,18, mientras que el albendazol, del 93,2 %-97,3 %, y se administran en una sola toma de 400 mg19. Este es el fármaco antihelmíntico más utilizado por su alta tasa de curación y reducción de huevos17.
El mecanismo de acción del albendazol está mediado por la unión selectiva a las β-tubulinas del nematodo, que inhibe la polimerización de los microtúbulos y la división celular, y de este modo conduce a la pérdida de la segregación cromosómica y alteración del cinetocoro durante la meiosis, lo que da como resultado aneuploidía e infertilidad20. Se ha reportado resistencia al tratamiento debido a una mutación genética en la proteína β-tubulina a la que se une el albendazol, esto se puede solucionar mediante una sinergia de terapias combinadas con nitazoxanida según la evidencia de la literatura actual5,21.
En la actualidad no se disponen de vacunas contra la ascariasis que hayan progresado hasta la fase clínica5. Sin embargo, estudios realizados sobre inhibidores selectivos que protegen al A. lumbricoides de las enzimas del huésped y del sistema inmunológico han podido identificar una proteína inhibidora de la metalocarboxipeptidasa (MCP), denominada ACI, la cual inhibe la acción de las enzimas del intestino que participan en la digestión, por lo que juega un papel fundamental en la supervivencia del parásito durante la infección, y esto la hace blanco para el desarrollo de la vacuna22.
Conclusión
La ascariasis es el parásito más común implicado en la pancreatitis, con una elevada mortalidad por pancreatitis necrotizante. Su diagnóstico se basa en la exclusión de sus principales causas mediante una adecuada exploración física y exploración por imágenes mediante la ecografía abdominal como primera elección, seguida de la TAC y colangiorresonancia. El tratamiento antiparasitario con albendazol es el más efectivo según la literatura actual; sin embargo, es importante enfatizar que el control de la ascariasis es posible mejorando el saneamiento combinado con educación sanitaria e higiene personal.
Referencias
1. Pérez F, Arauz E. Pancreatitis aguda: artículo de revisión. Rev Med Cient. 2020;33(1):64-85. https://doi.org/10.37416/rmc.v33i1.570
2. Rawla P, Bandaru SS, Vellipuram AR. Review of Infectious Etiology of Acute Pancreatitis. Gastroenterology Res. 2017;10(3):153-158. https://doi.org/10.14740/gr858w
3. Pipiková J, Papajová I, Šoltys J, Schusterová I. Occurrence of the most common helminth infections among children in the Eastern Slovak Republic. Public Health. 2017;150:71-76. https://doi.org/10.1016/j.puhe.2017.05.011
4. Khuroo MS, Rather AA, Khuroo NS, Khuroo MS. Hepatobiliary and pancreatic ascariasis. World J Gastroenterol. 2016;22(33):7507-17. https://doi.org/10.3748/wjg.v22.i33.7507
5. Claus PE, Ceuppens AS, Cool M, Alliet G. Ascaris lumbricoides: challenges in diagnosis, treatment and prevention strategies in a European refugee camp. Acta Clin Belg. 2018;73(6):431-434. https://doi.org/10.1080/17843286.2018.1436956
6. Plan para enfermedades tropicales desatendidas. [Internet] Ginebra: Organización Mundial de la Salud; 2006 [consultado el 15 de septiembre de 2020]. Disponible: Disponible: https://www.who.int/mediacentre/news/releases/2006/pr60/es/index1.html
7. Al-Tameemi K, Kabakli R. Ascaris lumbricoides: Epidemiology, diagnosis, treatment, and control. Asian J Pharm Clin Res. 2020;13(4):8-11. https://doi.org/10.22159/ajpcr.2020.v13i4.36930
8. Klimovskij M, Dulskas A, Kraulyte Z, Mikalauskas S. Ascariasis of the pancreatic duct. BMJ Case Rep. 2015;2015:bcr2014207936. https://doi.org/10.1136/bcr-2014-207936
. 9Polanía-Liscano HA, Jiménez-Sánchez HC, Polanía-Galindo DJ. Ultrasonografía endoscópica para el diagnóstico de áscaris biliar: reporte de caso y revisión de la literatura. Rev Colomb Gastroenterol. 2020;35(4):537-541. https://doi.org/10.22516/25007440.410
10. Macedo C, Almeida N, Ferreria AM, Figueiredo P. Ascariasis as an unexpected cause of obstructive jaundice with ascending cholangitis in an urban area. RPDI. 2019;15(2):83-86.
11. Leppäniemi A, Tolonen M, Tarasconi A, Segovia-Lohse H, Gamberini E, Kirkpatrick AW, Ball CG, Parry N, Sartelli M, Wolbrink D, van Goor H, Baiocchi G, Ansaloni L, Biffl W, Coccolini F, Di Saverio S, Kluger Y, Moore E, Catena F. 2019 WSES guidelines for the management of severe acute pancreatitis. World J Emerg Surg. 2019;14:27. https://doi.org/10.1186/s13017-019-0247-0
12. Pimenta D, Dawood N. An unusual cause of pancreatitis in a 46-year-old returning traveller. BMJ Case Rep. 2015;2015:bcr2015210517. https://doi.org/10.1136/bcr-2015-210517
13. Phisalprapa P, Prachayakul V. Ascariasis as an unexpected cause of acute pancreatitis with cholangitis: a rare case report from urban area. JOP. 2013;14(1):88-91. https://doi.org/10.6092/1590-8577/1257
14. Husu HL, Valkonen MM, Leppäniemi AK, Mentula PJ. Occurrence and Risk Factors of Infected Pancreatic Necrosis in Intensive Care Unit-Treated Patients with Necrotizing Severe Acute Pancreatitis. J Gastrointest Surg. 2021;25(9):2289-2298. https://doi.org/10.1007/s11605-021-05033-x
15. Jiang X, Shi JY, Wang XY, Hu Y, Cui YF. The impacts of infectious complications on outcomes in acute pancreatitis: a retrospective study. Mil Med Res. 2020;7(1):38. https://doi.org/10.1186/s40779-020-00265-5
16. Dong X, Mao W, Ke L, Gao L, Zhou J, Ye B, Li G, Phillips A, Tong Z, Windsor J, Li W, Chinese Acute Pancreatitis Clinical Trials Group Capctg. The Diagnosis and Treatment of Local Complications of Acute Necrotizing Pancreatitis in China: A National Survey. Gastroenterol Res Pract. 2021;2021:6611149. https://doi.org/10.1155/2021/6611149
17. Keiser J, Utzinger J. Efficacy of current drugs against soil-transmitted helminth infections: systematic review and meta-analysis. JAMA. 2008;299(16):1937-48. https://doi.org/10.1001/jama.299.16.1937
18. Moser W, Schindler C, Keiser J. Efficacy of recommended drugs against soil transmitted helminths: systematic review and network meta-analysis. BMJ. 2017;358:j4307. https://doi.org/10.1136/bmj.j4307
19. Chai JY, Sohn WM, Hong SJ, Jung BK, Hong S, Cho S, Park JB, Kim IS, Kim S, Lee KH, Jeoung HG, Htoon TT, Tin HH. Effect of Mass Drug Administration with a Single Dose of Albendazole on Ascaris lumbricoides and Trichuris trichiura Infection among Schoolchildren in Yangon Region, Myanmar. Korean J Parasitol. 2020;58(2):195-200. https://doi.org/10.3347/kjp.2020.58.2.195
20. Goldstein P. Loss of the central rachis and synaptonemal complexes during meiotic prophase in female Ascaris lumbricoides var. suum after exposure to albendazole. Journal of Helminthology. 2021;95(32):1-4. https://doi.org/10.1017/S0022149X21000225
21. Krücken J, Fraundorfer K, Mugisha JC, Ramünke S, Sifft KC, Geus D, Habarugira F, Ndoli J, Sendegeya A, Mukampunga C, Bayingana C, Aebischer T, Demeler J, Gahutu JB, Mockenhaupt FP, von Samson-Himmelstjerna G. Reduced efficacy of albendazole against Ascaris lumbricoides in Rwandan schoolchildren. Int J Parasitol Drugs Drug Resist. 2017;7(3):262-271. https://doi.org/10.1016/j.ijpddr.2017.06.001
22. Sanglas L, Aviles FX, Huber R, Gomis-Rüth FX, Arolas JL. Mammalian metallopeptidase inhibition at the defense barrier of Ascaris parasite. Proc Natl Acad Sci U S A. 2009;106(6):1743-7. https://doi.org/10.1073/pnas.0812623106
Notas
Notas de autor
*Correspondencia: Carolina Barbosa. carolinabarbosa232@gmail.com
Declaración de intereses