Reporte de caso
Poliposis linfomatosa: reporte de caso y revisión de la literatura
Lymphomatous Polyposis: Case Report and Literature Review
Poliposis linfomatosa: reporte de caso y revisión de la literatura
Revista colombiana de Gastroenterología, vol. 37, núm. 1, pp. 95-98, 2022
Asociación Colombiana de Gastroenterología
Recepción: 17 Enero 2021
Aprobación: 18 Febrero 2021
Resumen: La poliposis linfomatosa (PL) es la característica endoscópica del linfoma de células del manto (LCM) gastrointestinal primario, un tipo infrecuente de linfoma no Hodgkin (LNH) de células B, así como un patrón endoscópico típico, pero infrecuente, del compromiso del tracto gastrointestinal (TGI) por LCM nodal. Presentamos el caso de un hombre de 62 años con LCM nodal, con PL como manifestación del compromiso gastrointestinal, y realizamos una revisión de la literatura.
Palabras clave: Poliposis linfomatosa, linfoma de células del manto, tracto gastrointestinal.
Abstract: Lymphomatous polyposis (LP) is the endoscopic feature of primary gastrointestinal mantle cell lymphoma (MCL), a rare type of B-cell non-Hodgkin’s lymphoma (NHL) and a typical but rare endoscopic pattern of gastrointestinal tract involvement (GIT) by nodal MCL. We present the case of a 62-year-old man with nodal MCL, with LP as a manifestation of GIT, and review the literature.
Keywords: Lymphomatous polyposis, mantle cell lymphoma, gastrointestinal tract.
Introducción
El linfoma no Hodgkin (LNH) del tracto gastrointestinal (TGI) es el linfoma extranodal más frecuente. Aproximadamente, el 15 %-30 % de los linfomas extranodales primarios ocurren en el TGI. El linfoma de células del manto (LCM) representa el 3 %-6 % de todos los LNH. Este tiene un comportamiento biológico y clínico heterogéneo, y frecuentemente se diagnostica en un estadio avanzado1,2.
La poliposis linfomatosa (PL) es un hallazgo endoscópico poco común que, aunque se ha descrito típicamente en pacientes con LCM GI primario y extranodal, con infiltración del TGI, no es específico de este tipo de linfoma, también se ha descrito en pacientes con linfoma folicular y linfoma de tejido linfoide asociado con mucosas (MALT). La PL se caracteriza por la presencia de múltiples lesiones polipoides, que comprometen largos segmentos del TGI3,4.
Presentamos el caso de un paciente con PL como manifestación endoscópica de compromiso secundario del TGI por LCM extranodal. Este reporte de caso se realizó siguiendo las pautas del case report guidelines (CARE)5.
Presentación del caso
Hombre de 62 años con antecedente de hipertensión (HTA). Ingresa a urgencias por cuadro clínico de 4 meses de evolución, consistente con aparición de adenopatías no dolorosas en el cuello y la región inguinal, con crecimiento progresivo. Durante los últimos 2 meses asocia cambios en el tono de la voz, disnea mMRC 3 y diaforesis nocturna con el decúbito, disfagia orofaríngea para sólidos y pérdida de 20 kg de peso. A la exploración física se palpa presencia de adenopatías duras de hasta 2 cm en cadenas ganglionares cervicales, axilares e inguinales, y amígdalas palatinas aumentadas de tamaño. Los paraclínicos iniciales mostraron linfopenia (900 µL) sin otras anormalidades.
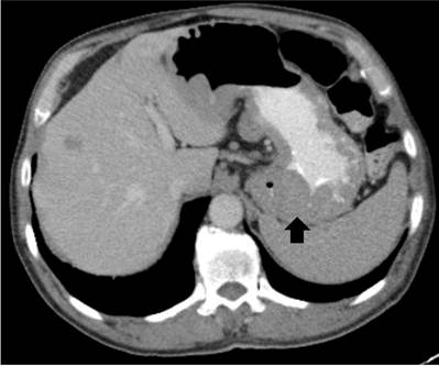
Con sospecha de trastorno linfoproliferativo se realiza tomografía (TC) de cuello, abdomen y pelvis contrastadas, con hallazgo de hipertrofia amigdalina, que condiciona el cierre del 70% de la orofaringe, extenso compromiso por adenopatías en cadenas ganglionares cervicales, axilares, mediastinales, con conglomerado ganglionar subcarinal, con efecto obstructivo sobre bronquios fuente, retroperitoneales y engrosamiento de las paredes gástricas (Figura 1).

Endoscopia de vías digestivas altas (EVDA) con amígdalas palatinas severamente aumentadas de tamaño, mucosa esofágica edematizada, engrosamiento de los pliegues gástricos y presencia de múltiples lesiones polipoides, vascularizadas, algunas ulceradas superficialmente de entre 2 y 25 mm (Figura 2).

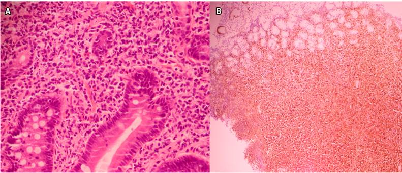
El estudio histopatológico del esófago, estómago y duodeno revela un extenso infiltrado por linfocíticos atípicos, maduros, de tamaño pequeño y monótonos en la lámina propia, con positividad para CD20, CD5, ciclina D1 y bcl-2, con un ki-67 del 60 % en el estudio inmunohistoquímico, compatible con infiltración por LCM variante clásica (Figura 3). Biopsia excisional del ganglio cervical con hallazgos similares. Médula ósea (MO) con infiltración del 10 %.

Ante paciente con LCM ganglionar, con compromiso extranodal del TGI y MO, índice pronóstico internacional para linfoma del manto (MIPI) de riesgo intermedio, con riesgo de obstrucción completa de la vía área por infiltración amigdalina, se administró prefase con esteroide sistémico y luego quimioterapia con esquema R-CHOP (rituximab + ciclofosfamida + vincristina + doxorrubicina + prednisona) intercalado con R-DHAP (rituximab + dexametasona + citarabina + platino). Actualmente se encuentra en cuarto ciclo de quimioterapia, con desaparición de las adenopatías periféricas y normalización del tamaño de las amígdalas.
Revisión de la literatura
El LCM es un subtipo infrecuente de LNH de fenotipo B maduro. Este representa el 3 % al 6 % de los LNH. Afecta predominantemente a hombres (2-3:1) y la edad media al diagnóstico es de 68 años1,2. En el momento del diagnóstico, el 75% de los pacientes presenta un estadio avanzado, con linfadenopatía generalizada, compromiso de la médula ósea y del TGI1. El TGI es el sitio extranodal más comúnmente afectado por el LCM periférico, y existe compromiso microscópico en el 88 %-92 % de los casos, pero solo el 25 % de los pacientes presenta síntomas GI3,4,6,7. Los hallazgos endoscópicos son variables e incluyen lesiones polipoides, patrón granular, úlceras superficiales, infiltración difusa de la pared GI y cambios inespecíficos de la mucosa, como edema4,8.
La PL se reconoció por primera vez hace dos siglos, sin embargo, se describió y revisó por primera vez en 1961, por Cornes y colaboradores9, como la afectación GI primaria del LCM. Representa el 4 % al 9 % de los linfomas B GI primarios y se origina de la zona del manto de los folículos linfoides1-3. Los principales síntomas de presentación son dolor abdominal, diarrea y hematoquecia; la pérdida de peso, la sudoración nocturna y la fatiga también son frecuentes10. El hallazgo endoscópico consiste en la presencia de múltiples lesiones polipoides de 2 mm, hasta varios centímetros de diámetro, con o sin mucosa normal intercalada, en uno o más segmentos del TGI. Se caracteriza por la proliferación de linfocitos monomórficos de tamaño pequeño a mediano y en el estudio de inmunohistoquímica como CD20+, CD5+, CD23-, con sobreexpresión de la traslocación cromosómica t (11;14) y ciclina D13. Con mayor frecuencia afecta la región ileocecal, el íleon, el estómago y el duodeno10,11.
La PL es el patrón endoscópico típico (poco común) del compromiso del TGI por LCM nodal3,4,8,12. El compromiso esofágico por LCM es inusual debido a la baja cantidad de células linfoides3,13. Aunque el compromiso GI por LCM típicamente ocurre como PL, este no es un hallazgo específico de LCM, también se ha descrito en casos de LNH de células T, linfoma folicular, MALT y linfoma difuso de células B grandes3,4.
La afectación primaria TGI por LCM en forma de PL tiene implicaciones pronósticas. Presenta un comportamiento biológico agresivo e implica una mediana de supervivencia de 3 a 4 años3,4,6,12. Por el contrario, la evaluación del TGI, como estadificación de la enfermedad en pacientes con LCM nodal confirmado, tiene poco impacto en las decisiones terapéuticas1,3,4,6.
El tratamiento de la PL consiste en el manejo del linfoma. Existe variabilidad en la práctica clínica en torno al enfoque terapéutico del LCM. En términos generales, la elección del esquema de tratamiento se basa en las características del paciente (edad, comorbilidades, estado funcional), síntomas, estadio de la enfermedad y perfiles de seguridad de los esquemas. La quimioinmunoterapia, seguida o no de consolidación con trasplante autólogo de células hematopoyéticas, es el enfoque usual1,2.
Conclusiones
El TGI es el sitio extranodal más frecuentemente afectado por el LCM periférico y la PL es una manifestación endoscópica poco común de este y otros tipos de LNH, por lo que se debe tener en cuenta en el diagnóstico diferencial de la poliposis múltiple del TGI.
Referencias
Cheah CY, Seymour JF, Wang ML. Mantle cell lymphoma. J Clin Oncol. 2016;34(11):1256-69. https://doi.org/10.1200/JCO.2015.63.5904
Vose JM. Mantle cell lymphoma: 2017 update on diagnosis, risk-stratification, and clinical management. Am J Hematol. 2017;92(8):806-13. https://doi.org/10.1002/ajh.24797
Ruskoné-Fourmestraux A, Audouin J. Primary gastrointestinal tract mantle cell lymphoma as multiple lymphomatous polyposis. Best Pract Res Clin Gastroenterol. 2010;24(1):35-42. https://doi.org/10.1016/j.bpg.2009.12.001
Vetro C, Bonanno G, Giulietti G, Romano A, Conticello C, Chiarenza A, et al. Rare gastrointestinal lymphomas: The endoscopic investigation. World J Gastrointest Endosc. 2015;7(10):928-49. https://doi.org/10.4253/wjge.v7.i10.928
Riley DS, Barber MS, Kienle GS, Aronson JK, von Schoen-Angerer T, Tugwell P, et al. CARE guidelines for case reports: explanation and elaboration document. J Clin Epidemiol. 2017;89:218-35. https://doi.org/10.1016/j.jclinepi.2017.04.026
Burke JS. Lymphoproliferative disorders of the gastrointestinal tract: a review and pragmatic guide to diagnosis. Arch Pathol Lab Med. 2011;135(10):1283-97. https://doi.org/10.5858/arpa.2011-0145-RA
Lewis RB, Mehrotra AK, Rodríguez P, Manning MA, Levine MS. From the radiologic pathology archives: Gastrointestinal lymphoma: Radiologic and pathologic findings. RadioGraphics. 2014;34(7):1934-53. https://doi.org/10.1148/rg.347140148
Montes-Moreno S, King RL, Oschlies I, Ponzoni M, Goodlad JR, Dotlic S, et al. Update on lymphoproliferative disorders of the gastrointestinal tract: Disease spectrum from indolent lymphoproliferations to aggressive lymphomas. Virchows Arch. 2020;476(5):667-81. https://doi.org/10.1007/s00428-019-02704-8
Cornes JS. Multiple lymphomatous polyposis of the gastrointestinal tract. Cancer. 1961;14:249-57. https://doi.org/10.1002/1097-0142(196103/04)14:2<249::aid-cncr2820140205>3.0.co;2-8
Martins C, Teixeira C, Gamito É, Oliveira AP. Mantle cell lymphoma presenting as multiple lymphomatous polyposis of the gastrointestinal tract. Rev Bras Hematol Hemot. 2017;39(1):73-6. https://doi.org/10.1016/j.bjhh.2016.11.005
Xie C, Xu X, Wei S. Multiple lymphomatous polyposis of the intestine with ileocecal intussusception due to mantle cell lymphoma: A case report of a 34-year-old man. Am J Case Rep. 2018;19:262-6. https://doi.org/10.12659/AJCR.907804
Oña-Ortiz FM, Sánchez-del Monte J, Ramírez-Solís ME, de la Mora-Levy JG, Alonso-Larraga JO, Lino-Silva LS, et al. Linfoma del manto con afección del tubo digestivo. Rev Gastroenterol Mex. 2019;84(4):434-41. https://doi.org/10.1016/j.rgmx.2018.07.001
Nopjaroonsri P, Mankongpaisarnrung C. Mantle cell lymphoma presenting as diffuse esophageal, gastric, and duodenal bulb polyposis. Ann Gastroenterol. 2019;32(3):317. https://doi.org/10.20524/aog.2019.0356
Notas
Notas de autor
*Correspondencia: Janeth Bejarano-Rengifo. bejaranorejaneth@javeriana.edu.co
Declaración de intereses