Reporte de caso
Reporte de caso de neoplasia biliar metastásica como causa inusual de apendicitis
Case Report of a Metastatic Biliary Tract Neoplasm as an Unusual Cause of Appendicitis
Reporte de caso de neoplasia biliar metastásica como causa inusual de apendicitis
Revista colombiana de Gastroenterología, vol. 37, núm. 1, pp. 99-102, 2022
Asociación Colombiana de Gastroenterología
Recepción: 26 Enero 2021
Aprobación: 07 Abril 2021
Resumen
Introducción: se describe el caso de una paciente con una metástasis apendicular como primera manifestación encontrada de un colangiocarcinoma. Síntomas principales: expresado con dolor abdominal, ictericia, hiporexia y coluria.
Métodos y resultados: se documentó un plastrón apendicular histológicamente compatible con adenocarcinoma apendicular metastásico, estrechez del conducto hepático común, con alta sospecha de colangiocarcinoma, corroborado luego con la realización de una colangiopancreatografía retrógrada endoscópica.
Conclusiones: los tumores apendiculares metastásicos son una presentación infrecuente y poco estudiada, donde los secundarios a neoplasia de vía biliar se han reportados de forma muy escasa en la literatura.
Palabras clave: Apéndice+ metástasis+ cáncer+ colangiocarcinoma+ adenocarcinoma.
Abstract
Introduction: We describe the case of a patient with appendiceal metastasis as the first manifestation of a cholangiocarcinoma. Main symptoms: Abdominal pain, jaundice, hyporexia, and choluria.
Methods and results: We documented an appendiceal plastron histologically compatible with metastatic appendiceal adenocarcinoma, common hepatic duct stricture, and a suspected cholangiocarcinoma, later corroborated by endoscopic retrograde cholangiopancreatography.
Conclusions: Metastatic appendiceal tumors are an infrequent and poorly studied manifestation, whereas those secondary to bile duct neoplasia have rarely been reported in the literature.
Keywords: Appendix, metastasis, cancer, cholangiocarcinoma, adenocarcinoma.
Introducción
Los tumores apendiculares son una entidad relativamente infrecuente, con una incidencia reportada entre el 0,1 %-17 %1. Una de las principales situaciones que ralentizan el diagnóstico de esta patología es su presentación similar al apendicitis, ya que la neoplasia llega a obstruir el orificio apendicular, lo que conlleva a una obstrucción y a un proceso inflamatorio agudo2. Esto ha llevado a la preocupación de que los tumores apendiculares puedan pasar desapercibidos y su incidencia sea más alta.
La mayoría de estos casos se evidencia en apendicetomías, con hallazgos intraquirúrgicos atípicos, como plastrones apendiculares o masas de características neoplásicas no compatibles únicamente con apendicitis3. Asimismo, es menos común las neoplasias del apéndice secundarias a un compromiso metastásico. La literatura reporta que dentro de estos casos, el compromiso secundario maligno del apéndice es más común por la extensión directa de carcinoma de colon, neoplasia de origen pélvico y menos frecuente por metástasis distal4.
Reporte de caso
Se trata de un paciente de sexo masculino de 65 años, natural y procedente de Cartagena, Bolívar, Colombia, quien consultó por cuadro clínico de 15 días de evolución, consistente con dolor abdominal en fosa ilíaca derecha, ictericia, coluria, pérdida involuntaria de peso e hiporexia.
El paciente no tiene antecedentes patológicos relevantes, con historia quirúrgica de herniorrafía inguinal derecha, sin documentación de complicaciones, sin manejo farmacológicos previos. Al ingreso con dolor abdominal generalizado, pero con mayor concentración en la fosa ilíaca derecha, con signos de irritación peritoneal, al igual que ictericia generalizada.
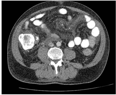
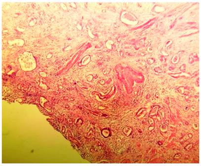
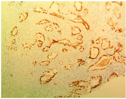
En hospital de remisión requirió manejo con apendicectomía laparoscópica y derivación de vía biliar por colangiopancreatografía retrógrada endoscópica, con inserción de un stent biliar. Hallazgo intraquirúrgico de un plastrón apendicular, abundante líquido peritoneal cetrino, estrechez del conducto hepático común, con sospecha de compromiso neoplásico. Se trasladó al Hospital Militar Central en Bogotá, Colombia, para continuar con manejo integral. Se documentó síndrome biliar obstructivo, con recuento de bilirrubina total de 3,02 mg/dL, bilirrubina directa de 2,71 mg/dL, fosfatasa alcalina de 1006 UI/L, alanina aminotransferasa (ALT) de 149 U/L y aspartato aminotransferasa (AST) de 139 U/L. Los hallazgos de la colangiorresonancia se exponen en la Figura 1 y los de la tomografía axial computarizada (TAC) en la Figura 2. El resultado de la biopsia apendicular evidenció compromiso por adenocarcinoma moderadamente diferenciado de serosa y capa muscular (Figura 3), con inmunohistoquímica positiva para anticuerpos CK7, EMA, CEA monoclonal y CDX2 (Figura 4), que sugirió origen extraapendicular, probablemente de tracto gastrointestinal superior o hepatobiliar.




El paciente se llevó de nuevo a colangiopancreatografía retrógrada endoscópica, con evidencia de tumor de Klatskin tipo IV, que requirió de inserción de stent de 10 x 10 French (Fr) en conducto hepático derecho y stent de 12 x 10 Fr en conducto hepático izquierdo. Asimismo, se indicó cubrimiento antibiótico con piperacilina/tazobactam inicialmente por 72 horas. Sin embargo, ante la persistencia del síndrome obstructivo biliar e inicio de fiebre, se diagnosticó colangitis y requirió escalonamiento terapéutico a meropenem y derivación de vía biliar transcutánea por radiología intervencionista.
El servicio de oncología planteó inicio de quimioterapia paliativa, una vez alcanzara bilirrubinas por debajo de 3 mg/dL. Luego del primer ciclo de quimioterapia se dio egreso para continuar manejo ambulatorio.
Discusión
En este reporte se expone el caso de un paciente con una presentación inusual de un tumor apendicular debido a que inició como un dolor abdominal caracterizado típicamente como el de apendicitis inflamatoria. Sin embargo, los hallazgos intraoperatorios, y luego los anatomopatológicos, mostraron la presencia de un colangiocarcinoma metastásico a apéndice, presentación inusual en la literatura.
La mayoría de los tumores apendiculares son neoplasias epiteliales y tumores neuroendocrinos5, siendo menos frecuentes los tumores metastásicos, linfomas, tumores neuroectodérmicos, mesenquimales y por sarcoma de Kaposi6. En una revisión de la literatura, que evaluó retrospectivamente los hallazgos histopatológicos de apendicetomías, solo 7 pacientes evidenciaron compromiso metastásico, de un total de 80 6987, cifra muy significativa y que pone en perspectiva lo inusual de dicha presentación. De los sitios primarios de metástasis en este estudio no se reportó la vía biliar, siendo esta una presentación atípica8.
En un reporte de caso se denotó un colangiocarcinoma metastásico a apéndice en una paciente que también debutó con síndrome biliar obstructivo, dolor abdominal e ictericia9. Sin embargo, en esta paciente, el hallazgo apendicular derivó de los estudios imagenológicos practicados previamente, como una tomografía computarizada contrastada, que mostró colangiocarcinoma con invasión hepática directa, y luego un PET scan, que denotó una masa en el apéndice proximal sugestiva de malignidad, lo que contrasta con el hallazgo primario intraquirúrgico en apendicectomía en nuestro caso.
Por otro lado, en la literatura también se reportó un caso de apendicitis aguda con ulterior hallazgo de compromiso metastásico apendicular por colangiocarcinoma10, presentación clínica similar a la reportada en este caso. No obstante, los hallazgos radiológicos parecen sugerir preponderancia por extensión metastásica, por contigüidad más que por siembras distantes de células malignas11, lo cual podría estar más a favor de una mayor presencia de compromiso secundario por cáncer colorrectal, que por otros más distantes, como los dependientes de vía biliar.
Es necesaria mayor información sobre la presentación clínica de estos pacientes debido a la importante limitación de evidencia de alta calidad al respecto. La heterogeneidad de la característica de los pacientes con reporte de adenocarcinoma apendicular metastásico y, sobre todo, la extrema escasez de casos reportados en la literatura, no permiten inferir distintivos que expliquen la presentación clínica, ni que permitan discernir de los factores predictores o pronósticos en esta enfermedad.
Consideramos que la fortaleza principal de este caso es la presentación inusual de un tumor apendicular metastásico de origen biliar, reportado ínfimamente en lo revisado en la literatura. Asimismo, la realización de un ejercicio diagnóstico profundo y seguimiento en un hospital de alta complejidad ofrecen información relevante sobre la necesidad e importancia de un abordaje multidisciplinario de pacientes que se presentan con este tipo de patología. Dado esto, en estudios futuros es importante evaluar la presencia de casos similares, que puedan ofrecer información sistematizada y de alta calidad sobre esta presentación clínica.
Referencias
Siddharthan RV, Byrne RM, Dewey E, Martindale RG, Gilbert EW, Tsikitis VL. Appendiceal cancer masked as inflammatory appendicitis in the elderly, not an uncommon presentation (Surveillance Epidemiology and End Results (SEER)-Medicare Analysis). J Surg Oncol. 2019;120(4):736-9. https://doi.org/10.1002/jso.25641
Spanos CP, Kaiser AM. Appendiceal neoplasms. En: Steele S, Hull T, Read T, Saclarides T, Senagore A, Whitlow C (editores). The ASCRS textbook of colon and rectal surgery. New York, NY: Springer; 2016. p. 617‐29.
Teixeira FJR Jr, Couto Netto SDD, Akaishi EH, Utiyama EM, Menegozzo CAM, Rocha MC. Acute appendicitis, inflammatory appendiceal mass and the risk of a hidden malignant tumor: A systematic review of the literature. World J Emerg Surg. 2017;12:12. https://doi.org/10.1186/s13017-017-0122-9
Leonards LM, Pahwa A, Patel MK, Petersen J, Nguyen MJ, Jude CM. Neoplasms of the appendix: Pictorial review with clinical and pathologic correlation. Radiographics. 2017;37(4):1059-83. https://doi.org/10.1148/rg.2017160150
Connor SJ, Hanna GB, Frizelle FA. Appendiceal tumors: Retrospective clinicopathologic analysis of appendiceal tumors from 7,970 appendectomies. Dis Colon Rectum. 1998;41(1):75-80. https://doi.org/10.1007/BF02236899
Shankar S, Ledakis P, El Halabi H, Gushchin V, Sardi A. Neoplasms of the appendix: Current treatment guidelines. Hematol Oncol Clin North Am. 2012;26(6):1261-90. https://doi.org/10.1016/j.hoc.2012.08.010
Akbulut S, Tas M, Sogutcu N, Arikanoglu Z, Basbug M, Ulku A, et al. Unusual histopathological findings in appendectomy specimens: A retrospective analysis and literature review. World J Gastroenterol. 2011;17(15):1961-70. https://doi.org/10.3748/wjg.v17.i15.1961
Benavides F, Marchese V, Aksade A, Ewing E. A case report of metastatic gallbladder cancer as the cause of acute appendicitis. J Surg Oncol. 2019;2(3):1-2. https://doi.org/10.31487/j.JSO.2019.03.02
Kang SI, Kang J, Park HS, Jang SI, Lee DK, Lee KY, et al. Metastatic cholangiocarcinoma as a cause of appendicitis: a case report and literature review. Korean J Hepatobiliary Pancreat Surg. 2014;18(2):60-3. https://doi.org/10.14701/kjhbps.2014.18.2.60
Man KM, Keeffe EB, García-Kennedy R, Hansen JE, Verhille MS. Acute appendicitis secondary to metastatic cholangiocarcinoma. Am J Gastroenterol. 1993;88(11):1966-1968.
Hoeffel C, Crema MD, Belkacem A, Azizi L, Lewin M, Arrivé L, et al. Multi-detector row CT: Spectrum of diseases involving the ileocecal area. RadioGraphics. 2006;26(5):1373-90. https://doi.org/10.1148/rg.265045191
Notas
Notas de autor
*Correspondencia: Rafael Gregorio Peña-Amaya. rg.pena917@gmail.com